Unsupported Browser
The American College of Surgeons website is not compatible with Internet Explorer 11, IE 11. For the best experience please update your browser.
Menu
Become a member and receive career-enhancing benefits

Our top priority is providing value to members. Your Member Services team is here to ensure you maximize your ACS member benefits, participate in College activities, and engage with your ACS colleagues. It's all here.

Become a Member
Become a member and receive career-enhancing benefits

Our top priority is providing value to members. Your Member Services team is here to ensure you maximize your ACS member benefits, participate in College activities, and engage with your ACS colleagues. It's all here.

Become a Member
ACS
ACS Case Reviews

Novel Surgical Management of Gastric Herniation around Gastrostomy Tube Site

January 31, 2024

Abstract

Background

A female patient presented with a very rare case of gastric herniation through an active gastrostomy tube site for which she underwent successful surgical reduction, hernia repair, and gastrostomy tube replacement at a separate site, a novel technique that has never before been described in the literature.

Summary

Nutrition is essential for homeostasis, and it is well-documented that enteric feeding is superior to parenteral nutrition in a multitude of ways. Gastrostomy tubes have long been used to maintain enteric nutrition access in patients that cannot tolerate oral intake. Additionally, gastrostomy tubes can be used to vent the stomachs of patients with gastrointestinal motility disorders, as in this patient's case. However, complications are not infrequent and can range in severity and complexity. Our patient presented at age 52 with acutely worsening abdominal pain, hematemesis, and blood from her gastrostomy tube site. Upon further examination, a bulging was noted around the tube site, which was later confirmed on imaging to be a gastric hernia. The patient underwent surgery via a laparoscopic approach with reduction of the gastric hernia, repair of the hernia defect with biologic mesh underlay, and gastrocutaneous fistula takedown. Concern was given to the patient's ability to tolerate the procedure, personal risk factors that may lead to future hernia recurrence, and the possibility of further complications from the new gastrostomy tube. While the prevalence of gastric herniation may be underreported, the surgical decision-making process accounting for these factors is underscored in this case report.

Conclusion

Gastric herniation through an active gastrostomy tube site is a rare occurrence in the literature. Clinicians should consider this in their differential in patients with ongoing leakage, a palpable bulge, or pain at their gastrostomy tube site. Here, we describe such a case treated with successful, safe, and minimally invasive surgical management.

Key Words

gastric hernia; gastrocutaneous fistula; laparoscopic


Case Description

The patient is a 52-year-old female who initially presented with acutely worsening abdominal pain, small-volume hematemesis, and a mild amount of blood coming from her gastrostomy tube site. On physical exam, she was hemodynamically normal; however, she had bulging around her gastrostomy tube site that elicited severe pain on palpation and was not completely reducible.

Her past medical history is significant for morbid obesity, diabetes mellitus type II, gastroparesis, uncontrolled hypertension, systemic lupus erythematosus, rheumatoid arthritis, and cerebrovascular accident secondary to a deep vein thrombosis in the setting of a patent foramen ovale. Complications from her diabetes mellitus led her to develop severe gastroparesis. This gastroparesis resulted in chronic nausea and vomiting when taking food by mouth. She initially had a gastrojejunal tube placed, which allowed venting of her stomach and distal jejunal feeds for nutrition. Over time, the patient noted that she no longer required the jejunal tube for feeds but that she still relied on the gastrostomy tube to vent her stomach to prevent nausea and vomiting after meals.

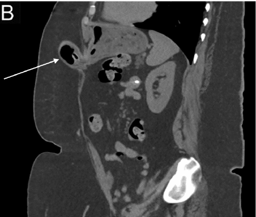
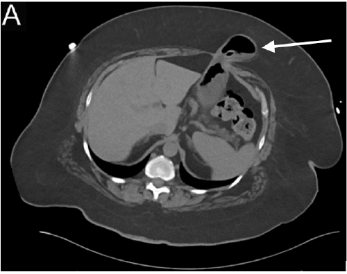
A computed tomography (CT) scan of the abdomen and pelvis revealed gastric herniation through a fascial defect associated with her gastrostomy tube (Figure 1). The stomach had no signs of stranding or ischemia to suggest strangulation, and there was no evidence of surrounding soft tissue edema.

Figure 1. CT Abdomen Without Contrast. Published with Permission

A) Axial slices demonstrating gastric hernia (arrow); the gastrostomy tube is visualized
A) Axial slices demonstrating gastric hernia (arrow); the gastrostomy tube is visualized
B) Sagittal view demonstrating gastric hernia (arrow)
B) Sagittal view demonstrating gastric hernia (arrow)

Based on the acuity of the patient's complaints, the concern was the patient had an acutely incarcerated herniation of the stomach, and the decision was made to take her to the operating room to reduce the herniated contents and repair the defect. Careful surgical decision-making was performed prior to the operation as well as intraoperatively to perform a safe surgery that addressed her gastric herniation, repaired the abdominal wall defect, and also accomplished placement of a new gastrostomy tube to allow for ongoing venting to treat the patient's sequelae of gastroparesis.

The patient ultimately underwent a laparoscopic approach with a reduction of the gastric hernia and repair of the hernia defect with biologic mesh underlay (Figure 2 and Figure 3). Primary repair of the hernia defect was deferred due to the size of the defect. An endoscope was then passed into the stomach for direct visualization and placement of a new gastrostomy tube. The resultant gastrocutaneous fistula present from the prior herniated defect was then taken down by an external dissection, including the removal of the entire hernia sac. The subcutaneous tissue tunnel was closed primarily.

Figure 2. Intraoperative View of Gastric Herniation Through Abdominal Wall Defect. Published with Permission

Figure 3. Intraoperative Repair of Hernia Defect with Biologic Mesh. Published with Permission

The patient tolerated the procedure well and was without surgical complications. Postoperatively, she was admitted to the surgical intensive care unit for management of her baseline uncontrolled hypertension and hyperglycemia, both of which were ultimately corrected, and she was discharged home shortly after that.

Discussion

This case is unique in that it is the first time a successful surgical approach has been described to treat a gastric hernia in the setting of an existing gastrostomy tube. Between 100,000-125,000 gastrostomy tubes are placed annually in the United States, and predictions anticipate this number will continue to rise.1 Despite the ongoing advancements in feeding tube technology, the insertion of gastrostomy and jejunostomy tubes is not without complications.

The incidence of minor complications from gastrostomy tube insertion has been reported to be about 73%, with major complications occurring at a rate closer to 5%.2 Minor complications include insertion site infection, tube obstruction, intussusception, and dislodgement or migration. Fortunately, these complications are not associated with significant morbidity or need for intervention. However, major complications require intervention and can include peritonitis, abscess, septicemia, and gastrointestinal bleeding. A late and exceedingly rare complication of gastrostomy tube placement, as seen in this patient, is gastric herniation. In the literature, only five cases of gastric herniation have been reported.3-7 Only one of these cases described a gastric tube still in place when the herniation occurred.3 That patient presented with leaking around the gastrostomy tube site, and a CT scan showed a portion of the stomach herniated through the tube insertion site. Unfortunately, the patient in that report expired due to complications related to aspiration pneumonia before definitive surgical correction was performed. In another case where gastric herniation was successfully treated surgically, the patient did not have an existing gastrostomy tube through the site where the presented herniation occurred.6

Prevention of gastric tube hernia is difficult as individual patient factors contribute to its occurrence and recurrence. It has been documented that avoiding placing the tube through the linea alba is crucial as this is an area of potential weakness due to the lack of striated muscle.4 Additional areas of weakness include previous incision or trocar sites and gastrostomy sites. Furthermore, individual patient risk factors are associated with a greater risk of hernia occurrence. A retrospective analysis has shown that patients with multiple risk factors, including diabetes mellitus, obesity, current smoking, and an American Society of Anesthesiologists (ASA) classification III or IV are more likely to have a recurrence.8 In the same analysis, mesh was shown to reduce the recurrence rate to as low as 0–8%. Our decision to use a mesh underlay was supported by not only the size of the defect but also the presence of our patient's risk factors, including morbid obesity, diabetes mellitus, immunocompromised state from her immunologic medications, and ASA classification of IV.

In the case of our patient, a biologic porcine mesh was placed in a laparoscopic intraperitoneal underlay fashion with circumferential preplaced sutures. A meta-analysis comparing the overlay, inlay, and sublay mesh approach revealed that sublay intraperitoneal mesh has a lower risk of seroma and hematoma formation as well as a hernia recurrence rate.9 While a sublay hernia repair technique involves additional dissection to place a mesh in the retrorectus or preperitoneal position, an underlay is placed in an intraperitoneal fashion.10 Biologic mesh was selected over synthetic mesh because of evidence-based guidelines set forth by the Ventral Hernia Working Group (VHWG). The VHWG guidelines for appropriate reinforcement material are graded based on the strength of recommendation and supporting evidence congruent with methods that have been previously described. This particular case would be categorized as a grade 3 potentially contaminated site by VHWG guidelines based on the presence of a gastrocutaneous fistula.11 The advantage of biologic mesh placement, in this case, was to reduce the risk of infection and support tissue regeneration in a clinically relevant timeframe through neovascularization and stabilization of the extracellular matrix. In the case of our patient, an underlay mesh placement technique was used rather than a sublay placement to diminish the dissection required, which would, in turn, decrease operative time, as the patient had multiple medical comorbidities and an ASA class of IV. Because of this, there was a vested interest in keeping her operative time shorter to prevent complications associated with anesthetic duration.

Conclusion

Overall, gastrostomy site herniation is exceedingly rare and can be successfully managed surgically with a laparoscopic approach. Surgical planning and preparation are key to optimal repair and patient outcomes. As with any hernia operation requiring mesh, the choice of mesh and the placement technique is individualized based on patient risk factors to optimize surgical outcomes and minimize recurrence.

Lessons Learned

Cases of gastric herniation will likely rise in correlation with the increasing number of gastrostomy tubes placed. It is important to maintain a high index of suspicion with early evaluation and intervention to avoid strangulation. The described method of surgical correction can serve as a guide for future similar cases.

Acknowledgments

We want to thank the Departments of Medical Imaging and Pathology at the Banner University Medical Center in Tucson, AZ, for their support and professional input for this case and manuscript.

Authors

Dohogne BJa; Pollack Nb, Kay Ja; Stewart Cb; Tang Ab

Author Affiliations

  1. University of Arizona College of Medicine, Tucson, AZ 85724
  2. Department of Surgery, University of Arizona College of Medicine, Tucson, AZ 85724

Corresponding Author

Andrew Tang, MD, FACS
Department of Surgery
1501 N Campbell Ave
Tucson, AZ 85724
Email: atang@surgery.arizona.edu

Disclosure Statement

The authors have no conflicts of interest to disclose.

Funding/Support

The authors have no relevant financial relationships or in-kind support to disclose.

Received: April 23, 2021
Revision received: July 11, 2021
Accepted: July 27, 2021

References

  1. Duszak R Jr, Mabry MR. National trends in gastrointestinal access procedures: an analysis of Medicare services provided by radiologists and other specialists. J Vasc Interv Radiol. 2003;14(8):1031-1036. doi:10.1097/01.rvi.0000082983.48544.2c
  2. Friedman JN, Ahmed S, Connolly B, Chait P, Mahant S. Complications associated with image-guided gastrostomy and gastrojejunostomy tubes in children. Pediatrics. 2004;114(2):458-461. doi:10.1542/peds.114.2.458
  3. Chuang CH, Chen CY. Gastric herniation through PEG site. Gastrointest Endosc. 2003;58(3):416. doi:10.1067/s0016-5107(03)00018-x
  4. Kaplan R, Delegge M. An unusual case of a ventral Richter's hernia at the site of a previous PEG tube. Dig Dis Sci. 2006;51(12):2389-2392. doi:10.1007/s10620-006-9357-0
  5. Boldo-Roda E, Peris-Trias A, de Lucia-Peñalver GP, Martinez-Ramos D, Miralles-Tena JM. Reflections in front of a case of ventral hernia after PEG tube removal. Gastrointest Endosc. 2005;62(2):323-324. doi:10.1016/s0016-5107(05)00555-9
  6. Navarro F, Loflin C, Diegidio P, Atwez A, Reeves J. Herniation through gastrostomy site: Case report. Int J Surg Case Rep. 2016;25:165-166. doi:10.1016/j.ijscr.2016.05.054
  7. Ozutemiz O, Oruc N, Tekin F, Ozgenc F, Yagci R. Ventral abdominal herniation through PEG site in a child with cystic fibrosis. Endoscopy. 2007;39 Suppl 1:E281. doi:10.1055/s-2007-966705
  8. Donovan K, Denham M, Kuchta K, et al. Predictors for recurrence after open umbilical hernia repair in 979 patients. Surgery. 2019;166(4):615-622. doi:10.1016/j.surg.2019.04.040
  9. Alimi Y, Merle C, Sosin M, Mahan M, Bhanot P. Mesh and plane selection: a summary of options and outcomes. Plastic and Aesthetic Research. 2020;7:5. http://dx.doi.org/10.20517/2347-9264.2019.39
  10. Holihan JL, Bondre I, Askenasy EP, et al. Sublay versus underlay in open ventral hernia repair. J Surg Res. 2016;202(1):26-32. doi:10.1016/j.jss.2015.12.014
  11. Ventral Hernia Working Group, Breuing K, Butler CE, et al.v Incisional ventral hernias: review of the literature and recommendations regarding the grading and technique of repair. Surgery. 2010;148(3):544-558. doi:10.1016/j.surg.2010.01.008