Unsupported Browser
The American College of Surgeons website is not compatible with Internet Explorer 11, IE 11. For the best experience please update your browser.
Menu
Become a member and receive career-enhancing benefits

Our top priority is providing value to members. Your Member Services team is here to ensure you maximize your ACS member benefits, participate in College activities, and engage with your ACS colleagues. It's all here.

Become a Member
Become a member and receive career-enhancing benefits

Our top priority is providing value to members. Your Member Services team is here to ensure you maximize your ACS member benefits, participate in College activities, and engage with your ACS colleagues. It's all here.

Become a Member
ACS
ACS Case Reviews

Small Bowel Mesenteric Mass: A Rare Mystery

March 8, 2023

Abstract

Background

Mesentery is an important continuation of the peritoneum encasing many arteries, nerves, veins, lymphatics, and fat. Therefore, since mesentery has such a robust vascular supply, there is a vast differential regarding the types of masses that can develop within its borders. One type of mesenteric mass that can develop is cysts. However, mesenteric cysts have a rare incidence, and with imaging alone, their diagnostic specificity can still be a mystery.

Summary

A woman in her late 20s presented to the ED with acute abdominal pain. With her age and lack of significant past medical history, although uncharacteristic, our most suspected diagnosis at the time was a small bowel obstruction. However, the abdominal computed tomography scan revealed a mesenteric mass. This case report describes this clinical scenario, our operative experience, and an unexpected pathologic analysis.

Conclusion

A wide differential exists for masses arising from the mesentery. It is evident that computed tomography (CT) and magnetic resonance imaging (MRI) have enhanced our diagnostic capabilities, especially in determining benign versus malignant findings. Still, pathologic analysis serves as the best definitive tool. Although benign and rare, cystic mesenteric masses can present with many related complications that trigger the need for operative intervention.

Key Words

small bowel mesenteric mass; mesenteric cyst


Case Description

A 29-year-old female with a past medical history of anxiety presented to the ED with mid-abdominal pain that started the night before presentation. The pain was sharp/stabbing in quality, radiated to the back, and was associated with one episode of nausea and vomiting at the onset. Nothing alleviated or exacerbated the symptoms. She denied any fevers, chills, headaches, vision changes, chest pain, SOB, hematemesis, back pain, vaginal bleeding, hematuria, dysuria, or melena. She reported regular bowel movements, denied any history of kidney stones, and her last menstrual period was two weeks prior to symptom onset.

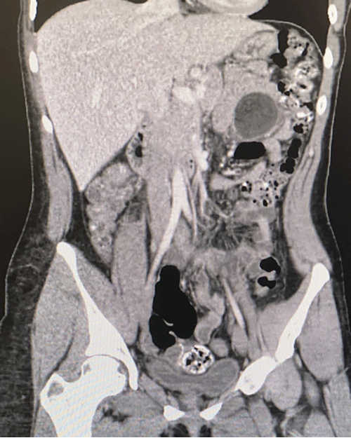
On admission, the patient was afebrile, normotensive, and in no respiratory distress, with oxygen saturation of 97% but was tachycardic to 105. Physical examination revealed a well-developed woman who appeared her stated age. The patient had a soft, nondistended, diffusely tender abdomen without rebound, guarding, or evidence of trauma. A complete blood count revealed a leukocytosis of 13.9 with a normal comprehensive metabolic panel. After a clinical exam and complete workup, the patient was thought to have a small bowel obstruction. With an inconclusive ultrasound (USG), she underwent radiographic evaluation via computed tomography (CT) imaging (Figure 1). CT revealed a LUQ mesenteric fat attenuating mass with mild adjacent mesenteric edema. A magnetic resonance imaging (MRI) was obtained (Figure 2) to evaluate the mass better, including the localization and features of the tissue, revealing an approximate 5 × 4 × 4 cm jejunal mesenteric mass most consistent with a mature cystic teratoma, with induration of surrounding mesentery.

Figure 1. CT of Abdomen and Pelvis Demonstrating LUQ Mesenteric Fat-Containing Mass. Published With Permission

Figure 2. MRI of Abdomen and Pelvis. Published With Permission

Scan demonstrating approximate 5 × 4 × 4 cm jejunal mesenteric mass most consistent with mature cystic teratoma, with induration of surrounding mesentery.
Scan demonstrating approximate 5 × 4 × 4 cm jejunal mesenteric mass most consistent with mature cystic teratoma, with induration of surrounding mesentery.

The patient was given options for management, including laparoscopic assessment and removal of the mass, and she was agreeable with the proposed plan. The procedure was verified as diagnostic laparoscopy, possible small bowel resection with potential for conversion to an open procedure if needed, and informed consent was completed. The patient was taken to the OR two days after presentation, and a Veress needle was used at Palmer’s point to insufflate the abdomen. Once insufflated, the Optiview technique with a 5/30 camera was used to enter the abdomen in the infraumbilical space. Additional trocars were introduced under direct vision, including two 5 mm trocars on the right hemi-abdomen and one in the LLQ. The mass was located in the LUQ and was initially adherent to the colon. However, adhesions were lysed without difficulty, and the mass was found to strictly involve the mesentery at the mid-jejunum only. We alternated using the Maryland dissector and Ligasure to skeletonize and fully resect the mass from the adjacent bowel.

Upon complete circumferential resection of the mass, we completed a careful examination of the small bowel in its entirety from the ligament of Treitz to the terminal ileum. The bowel appeared healthy, and the mass was removed via an extension of the umbilical incision. Pathological examination of the 6.5 × 4.4 × 4.2 cm yellow to red-tan, ovoid, encapsulated, soft mass revealed a fibroinflammatory process with pseudocyst and benign lymph nodes.

Discussion

Mesentery is an important continuation of the peritoneum encasing many arteries, nerves, veins, lymphatics, and fat.1 Whitley et al. describe the small bowel mesentery as layers that encircle and cradle the loops of small bowel, forming the root of the mesentery at the point where the jejunum and ileum attach to the posterior abdominal wall. This root begins at the ligament of Treitz and extends to the ileocecal valve.2 Since the mesentery has such a robust vascular supply, there is a vast differential regarding types of masses that can develop within its folds. Examples of categories of masses included on the differential are neoplastic, infectious, or inflammatory.3 In reference to neoplastic processes, secondary tumors developing as a result of metastasis are significantly more common than primary tumors due to the many potential sources of mesenteric dissemination. Routes of potential metastatic spread are direct via the adjacent vessels and adipose tissue, hematogenous spread, spread via the lymphatics, or intraperitoneal spread. With this in mind, a large study previously published by Whitley et al. found that out of 101 cases of mesenteric neoplasms, only one case was not attributable to metastatic disease.2

Some examples of rare mesenteric tumors included in the differential were sclerosing mesenteritis, neuroendocrine tumors, desmoid tumors, gastrointestinal tumors, such as gastrointestinal stromal tumors, and mesenteric cysts. Types of neuroendocrine tumors to be considered were well-differentiated tumors, such as carcinoid tumors, poorly differentiated neuroendocrine tumors, or neuroendocrine tumors that occur within a syndrome such as multiple endocrine neoplasia type 1 (MEN1) or neurofibromatosis type 1 (NF1). The presence of a single mass in our patient without any additional concerning findings was presumably the result of a primary cause. And luckily, the symptomatic mass identified on imaging resulted in the diagnosis of a benign cyst. Mesenteric cysts have a rare incidence, with some sources citing only 1 in every 250,000 hospital admissions.4 In terms of location, it is noted that most mesenteric cysts are located within the small bowel mesentery (60% in the ileum), the large bowel mesentery (24% in the ascending colon), the retroperitoneum (14.5%), and the omentum.5 In reference to this patient’s pathology, the term pseudocyst means that the wall of the cyst is composed of fibrous tissue with the absence of an epithelial cell lining. Many theories exist that attempt to explain the cause of these mesenteric cysts. Some theories include the potential for malformation or malposition of lymphatic tissue, lymph node degeneration, failure of fusion of mesenteric tissue, or formation secondary to trauma.6,7 Although USG was a useful initial exam tool to characterize the mass and its involvement with surrounding anatomy better, CT and MRI offered greater benefit. Mesenteric findings on CT that can represent pathologic involvement are a thickened appearance of the mesentery, an increasingly dense appearance of the surrounding mesenteric fat, and/or the presence of an encased mass(es). The radiologic report for our case was notable for mesenteric edema and induration surrounding the mass. When symptomatic, some common presentations of mesenteric cysts include vague complaints such as abdominal pain, nausea, or vomiting.8 However, it is reported that many cases of mesenteric cysts are found incidentally, and there is limited literature on the ideal approach to managing patients with asymptomatic presentations.9 Despite being benign, some complications that need to be considered concerning the existence of the mass include compression of adjacent anatomy, potential size progression of the cyst, or leakage of cystic contents that may predispose to infection.

Due to the symptomatic obstruction evident in our patient, excision of the suspected benign cystic mass was determined to be the best treatment strategy. Additionally, the laparoscopic approach was ideal to allow for minimally invasive surgery. A major concern related to the excision was the possible involvement of surrounding vascular structures and the preservation of the small bowel to prevent intestinal insufficiency secondary to short bowel syndrome. The bowel was carefully examined for signs of adequate perfusion after mass removal. The patient had an NG tube placed after the surgery. The NG tube was removed POD 1, her diet was advanced, and she was discharged (POD 2). At two-week follow-up, the patient had returned to baseline function, and incision sites were well-healed without pain or complications.

Conclusion

Mesenteric cysts are a relatively rare entity, but appropriate clinical workup is needed to rule out malignancy and be aware of potential complications resulting from the presence of the mass. CT and MRI have enhanced our diagnostic capabilities, especially in determining benign versus malignant findings. Still, pathologic analysis serves as the best definitive tool.

Lessons Learned

Our case report was representative of a young woman who presented with an acute symptomatic mesenteric cyst that was managed operatively with remarkable success. It is important in cases such as this to identify the presence or absence of clinical symptoms, anticipate potential complications related to the existence of the mass, and weigh the benefit versus the risk of surgical intervention.

Authors

Paskey TLa; Kohli ARb; Kozak GPb; Kohli Ac

Author Affiliations

  1. Sidney Kimmel Medical College at Thomas Jefferson University, Philadelphia, PA 19107
  2. Division of General Surgery, Thomas Jefferson University Hospital, Philadelphia, PA 19107
  3. Division of General and Trauma Surgery, Thomas Jefferson University Hospital, Philadelphia, PA 19107

Corresponding Author

Anirudh Kohli, MD
Division of General and Trauma Surgery
Thomas Jefferson University Hospital
1100 Walnut Street
Philadelphia, PA 19107
Phone: (215) 955-2165
Email: anirudh.kohli@jefferson.edu

Disclosure Statement

The authors have no conflicts of interest to disclose.

Funding/Support

The authors have no relevant financial relationships or in-kind support to disclose.

Received: August 20, 2020
Revision received: November 1, 2020
Accepted: December 7, 2020

References

  1. Diab R, Virarkar M, Saleh M, et al. Imaging spectrum of mesenteric masses [published correction appears in Abdom Radiol (NY). 2020 Jul 18;:]. Abdom Radiol (NY). 2020;45(11):3618-3636. doi:10.1007/s00261-020-02535-1
  2. Whitley NO. Mesenteric Disease. In: Meyers MA, Becker CD, eds. Computed Tomography of the Gastrointestinal Tract: Including the Peritoneal Cavity and Mesentery. New York, NY: Springer-Verlag; 1986:139-181.
  3. Sheth S, Horton KM, Garland MR, Fishman EK. Mesenteric neoplasms: CT appearances of primary and secondary tumors and differential diagnosis. Radiographics. 2003;23(2):457-536. doi:10.1148/rg.232025081
  4. Pithawa AK, Bansal AS, Kochar SP. “Mesenteric cyst: A rare intra-abdominal tumour”. Med J Armed Forces India. 2014;70(1):79-82. doi:10.1016/j.mjafi.2012.06.010
  5. Paramythiotis D, Bangeas P, Karakatsanis A, Iliadis A, Karayannopoulou G, Michalopoulos A. Ideal treatment strategy for chylous mesenteric cyst: a case report. J Med Case Rep. 2018;12(1):317. Published 2018 Oct 17. doi:10.1186/s13256-018-1716-x
  6. Aguirre SV, Mercedes Almagro M, Romero CA, Romero SS, Molina GA, Buenaño RA. Giant mesenteric cyst from the small bowel mesentery in a young adult patient. J Surg Case Rep. 2019;2019(1):rjz002. Published 2019 Jan 24. doi:10.1093/jscr/rjz002
  7. Park SE, Jeon TJ, Park JY. Mesenteric pseudocyst of the transverse colon: unusual presentation of more common pathology. BMJ Case Rep. 2014;2014:bcr2013202682. Published 2014 Oct 15. doi:10.1136/bcr-2013-202682
  8. Shabana A, Dholoo F, Nunn R, Hameed W. Case-report: A rare cause of an intra-abdominal mass. Int J Surg Case Rep. 2019;65:329-332. doi:10.1016/j.ijscr.2019.10.080
  9. Sudiono DR, Ponten JB, Zijta FM. Acute Abdominal Pain Caused by an Infected Mesenteric Cyst in a 24-Year-Old Female. Case Rep Radiol. 2016;2016:8437832. doi:10.1155/2016/8437832