Unsupported Browser
The American College of Surgeons website is not compatible with Internet Explorer 11, IE 11. For the best experience please update your browser.
Menu
Become a member and receive career-enhancing benefits

Our top priority is providing value to members. Your Member Services team is here to ensure you maximize your ACS member benefits, participate in College activities, and engage with your ACS colleagues. It's all here.

Become a Member
Become a member and receive career-enhancing benefits

Our top priority is providing value to members. Your Member Services team is here to ensure you maximize your ACS member benefits, participate in College activities, and engage with your ACS colleagues. It's all here.

Become a Member
ACS
ACS Case Reviews

Incidentally Found Splenic Endometriosis During Laparoscopic Splenectomy for Large Splenic Cyst

December 16, 2022

Abstract

Background

A 26-year-old female patient presented with a large splenic cyst and underwent laparoscopic splenectomy, with final pathology revealing endometriosis of the spleen.

Summary

Our patient presented with a long-standing history of bloating and early satiety, which she had attributed to her diagnosis of eosinophilic esophagitis. Routine surveillance upper endoscopy revealed extrinsic compression of her stomach, and subsequent computed tomography of the abdomen demonstrated a large splenic cyst. She underwent laparoscopic splenectomy with final pathology consistent with endometriosis of the spleen. While endometriosis has been discovered in virtually every pelvic and extrapelvic organ, it has thus far never been reported in the spleen. Symptoms of endometriosis vary widely based on the location and extent of the disease, and many women may even be asymptomatic. Therefore, this renders diagnosis challenging, and endometriosis is frequently found incidentally, such as in this case. This case report highlights the need for a broad differential diagnosis, particularly in the spleen lesions.

Conclusion

Endometrial tissue can implant widely throughout the peritoneum. We present a case demonstrating that endometriosis may involve even the spleen, an organ that had previously been thought immune. This case demonstrates the variability in the presentation of extrapelvic endometriosis and highlights the importance of pathologic examination of tissue for its definitive diagnosis.

Key Words

extrapelvic endometriosis; splenic endometriosis; splenic cyst


Case Description

Endometriosis is a condition characterized by ectopic endometrial tissue. While the pelvis is the most common site of endometrial implants, endometrial cells have been found in numerous other extrapelvic peritoneal organs, as well as on the diaphragm and in the thorax.1‒3 Despite reports of endometriosis in virtually every visceral organ, a literature review yields no prior reports of endometriosis extending to the spleen. This is the case of a 26-year-old female with no previous history of endometriosis who presented with what was ultimately revealed to be a large endometriotic splenic cyst.

The patient, who has a history of type 1 diabetes and eosinophilic esophagitis, presented to our outpatient clinic for surgical consultation regarding a large splenic cyst identified on cross-sectional imaging. On the most recent endoscopy for surveillance of her eosinophilic esophagitis, she was noted to have what appeared to be extrinsic compression of the stomach. Subsequent computed tomography (CT) of the abdomen revealed a large splenic cyst exerting a significant mass effect on the stomach (Figure 1).

Figure 1. CT View of Large Cystic Lesion. Published with Permission

Peripheral calcifications arise from spleen, measure approximately 10 × 9 × 9 cm, and exert mass effect on stomach.

Upon further questioning, the patient endorsed a long-standing history of epigastric pain, bloating, and early satiety, which she had previously attributed to her esophageal disease.

The differential diagnosis for the splenic cyst at the time of presentation was vast and included traumatic, congenital, vascular, and infectious etiologies. Given the size of the cyst and its proximity to the splenic hilum, the decision was made to proceed directly with splenectomy.

Following appropriate pre-operative vaccinations, the patient was taken to the operating room for laparoscopic splenectomy. The cyst was immediately visualized upon entry to the abdomen with a laparoscope. The remainder of the abdomen and the pelvis were inspected, and no abnormalities were noted elsewhere. The cyst was then decompressed using a sharp-tip suction catheter to visualize its attachments and relationship to the splenic vasculature better. It was first carefully liberated of dense adhesions to the omentum and the splenic flexure of the colon, then circumferentially dissected free. After vascular isolation, the spleen and cyst were removed and sent for pathologic evaluation (Figure 2).

Figure 2. Gross Image of Spleen Showing Disrupted Cystic Structure with Surface Fibrosis and Focal Calcifications. Published with Permission

The patient tolerated the procedure well and had an uneventful postoperative course. She was discharged home on the first postoperative day.

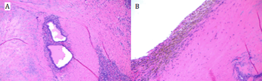
Final pathology revealed splenic tissue with an endometriotic cyst as characterized by endometrial glands and stroma, with areas of fibrous change and chronic hemorrhage (Figure 3). By immunohistochemistry, the glandular epithelium was positive for PAX8 as well as estrogen and progesterone markers, further supporting the diagnosis.

Figure 3. Representative Image of Splenic Cyst Wall. Published with Permission

A) Hematoxylin and eosin (H&E) stained section at 100x magnification showing splenic cyst wall with rare endometrial-type glands with tubal metaplasia; B) H&E stained section at 100x magnification showing splenic cyst wall with fibrosis and focal collections of hemosiderin-laden macrophages.

Of note, our patient was nulliparous, had a regular menstrual cycle, and had no known history of endometriosis.

Discussion

Endometriosis is a condition of ectopic endometrial tissue and has been reported to affect up to 10% of reproductive-aged women.4 It is characterized by the presence of endometrial glands and stroma outside of the uterus. Endometrial implants can also contain fibrous tissue and blood breakdown products, forming what is often referred to as a "chocolate cyst."5 Numerous theories regarding the pathogenesis of endometriosis have been proposed. The predominating theory is ectopic implantation of endometrial cells in the peritoneum from retrograde menstrual flow.6 These implants subsequently induce an inflammatory response and not infrequently can cause pain, dysmenorrhea, and dyspareunia.5

Endometrial cells typically implant in the pelvis, particularly on the ovaries, fallopian tubes, and other adjacent structures. However, ectopic endometrial tissue has been found in virtually all visceral organs, as well as on the diaphragm, in the thoracic cavity, and the soft tissues.2

The presentation of endometriosis is frequently non-specific and varies based on the location of the disease. Additionally, there is rarely pathognomonic imaging, and a prior history of endometriosis may or may not be present. These factors and the need for pathologic examination of tissue render the non-surgical diagnosis of visceral endometriosis particularly challenging. Numerous reports of incidentally found endometriosis have been confirmed only on final surgical pathology. In one large systematic review that included 43 patients with visceral endometriosis, endometriosis was suspected prior to tissue diagnosis in only 37% of patients.1 Notably, our patient denied any cyclical changes in pain related to her menstrual cycle and had no known history of endometriosis. Had she endorsed a prior history of endometriosis or had pelvic endometrial implants been identified intraoperatively, she would have still likely required splenectomy to manage her symptoms, in addition to gynecologic evaluation.

Interestingly, the one organ that previously appeared resistant to endometrial cells was the spleen; although previously reported in mice models,7 splenic endometriosis had never been observed in humans. In fact, it had been previously reported that the spleen might be immune, although the physiology of that immunity was not well characterized.3 This case suggests that that may not be the case and that the spleen is also a target for implantation of endometrial tissue. As illustrated here, endometriosis should be on the differential for cystic neoplasms of virtually all visceral organs, including the spleen.

Conclusion

Endometrial tissue can implant widely throughout the peritoneum. We present a case demonstrating that endometriosis may involve even the spleen, an organ that had previously been thought immune. It reflects the variability in the presentation of extrapelvic endometriosis and highlights the importance of pathologic examination of tissue for its definitive diagnosis.

Lessons Learned

Endometrial tissue can be found throughout the pelvis, peritoneum, and even the thoracic cavity. The diagnosis before surgery is not always obvious, as in this case of splenic endometriosis presenting as a large splenic cyst. A wide differential is crucial, as is pathologic tissue examination.

References

  1. Andres MP, Arcoverde FVL, Souza CCC, Fernandes LFC, Abrão MS, Kho RM. Extrapelvic Endometriosis: A Systematic Review. J Minim Invasive Gynecol. 2020;27(2):373-389. doi:10.1016/j.jmig.2019.10.004
  2. Lee HJ, Park YM, Jee BC, Kim YB, Suh CS. Various anatomic locations of surgically proven endometriosis: A single-center experience. Obstet Gynecol Sci. 2015;58(1):53-58. doi:10.5468/ogs.2015.58.1.53
  3. Markham SM. Extrapelvic endometriosis. In: Thomas EJ, Rock JA, eds. Modern Approaches to Endometriosis. Boston: Springer, Dordrecht; 1991:151-182.
  4. Dunselman GA, Vermeulen N, Becker C, et al. ESHRE guideline: management of women with endometriosis. Hum Reprod. 2014;29(3):400-412. doi:10.1093/humrep/det457
  5. Giudice LC. Clinical practice. Endometriosis. N Engl J Med. 2010;362(25):2389-2398. doi:10.1056/NEJMcp1000274
  6. Sampson JA. Metastatic or Embolic Endometriosis, due to the Menstrual Dissemination of Endometrial Tissue into the Venous Circulation. Am J Pathol. 1927;3(2):93-110.43.
  7. Samani EN, Mamillapalli R, Li F, et al. Micrometastasis of endometriosis to distant organs in a murine model. Oncotarget. 2017;10(23):2282-2291. Published 2017 Apr 6. doi:10.18632/oncotarget.16889

 

Authors

Mills SEAa; Bitar Mb; Mueller KHa

Author Affiliations

  1. Department of Surgery, Northwestern University Feinberg School of Medicine, Chicago, IL 60611
  2. Department of Pathology, Northwestern University Feinberg School of Medicine, Chicago, IL 60611

Corresponding Author

Kyle H. Mueller, MD, FACS
Department of Gastrointestinal Surgery
Northwestern University Feinberg School of Medicine
676 N. St. Clair Street, Ste. 650
Chicago, IL 60611
Phone: 312-282-7177
Email: kylemueller@northwestern.edu

Disclosure Statement

The authors have no conflicts of interest to disclose.

Funding/Support

The authors have no relevant financial relationships or in-kind support to disclose.

Received: August 4, 2020
Revision received: October 26, 2020
Accepted: November 24, 2020