Unsupported Browser
The American College of Surgeons website is not compatible with Internet Explorer 11, IE 11. For the best experience please update your browser.
Menu
Become a member and receive career-enhancing benefits

Our top priority is providing value to members. Your Member Services team is here to ensure you maximize your ACS member benefits, participate in College activities, and engage with your ACS colleagues. It's all here.

Become a Member
Become a member and receive career-enhancing benefits

Our top priority is providing value to members. Your Member Services team is here to ensure you maximize your ACS member benefits, participate in College activities, and engage with your ACS colleagues. It's all here.

Become a Member
ACS
Case Reviews in Surgery

Small Bowel Obstruction caused by Fecalith Arising in a Meckel Diverticulum, Meckel Stone Ileus: A Case Report and Review of the Literature

Small Bowel Obstruction caused by Fecalith Arising in a Meckel Diverticulum, Meckel Stone Ileus: A Case Report and Review of the Literature

March 1, 2021

Abstract

Background

This is a case report of a 50-year-old male who presents with small bowel obstruction secondary to fecalith formed in a Meckel diverticulum.

Summary

Our patient presented with 3-month history of episodic, generalized abdominal pain, which acutely worsened one day prior to arrival. CT scan showed a foreign body in the small bowel causing obstruction. The patient underwent exploratory laparotomy for localization and removal of the obstruction. A fecalith was noted to be the source of the obstruction just distal to a Meckel diverticulum. 10 additional case reports in the literature note a similar phenomenon.

Conclusion

This case report and review of the literature demonstrate the need to consider Meckel stone ileus preoperatively in a patient who presents with a small bowel obstruction secondary to a foreign body.

Key Words

Meckel diverticulum, Meckel stone ileus, fecalith, small bowel obstruction


Case Description

Meckel diverticulum is the most common congenital anomaly of the small intestine, occurring in approximately two percent of the general population.1 It arises from the antimesenteric border of the distal ileum due to incomplete involution of the vitelline duct during the fifth to seventh week of gestation.2 Meckel diverticula typically present due to complications such as gastrointestinal bleeding, intestinal obstruction, volvulus, intussusception, neoplasm, or perforation.

A 50-year old man admitted for small bowel obstruction was found on preoperative imaging to have an obstructing foreign body in the distal small intestine. The exploratory laparotomy performed revealed a large Meckel diverticulum and distal obstructing fecalith. A review of the literature was conducted to evaluate the Meckel stone ileus presentation and management.

A 50-year-old male presented to the emergency department with a three-month history of episodic, generalized abdominal pain, which acutely worsened one day prior to arrival. The patient reported nausea and vomiting. On physical exam, the patient’s abdomen was distended and tender; there was no guarding or rebound. Bowel sounds were absent. A nasogastric tube was placed which produced 2L of bilious fluid. The patient had a computerized tomography (CT) scan, which showed a foreign body in the small bowel causing obstruction. It was noted that there were no gallstones present in the gallbladder, no air in the biliary tree, no pericholecystic fluid, and no common bile duct dilation. The foreign body was thought to represent a stone of natural composition in the distal small bowel. Despite lack of other defining features for gallstone ileus, the preoperative diagnosis was a gallstone ileus.

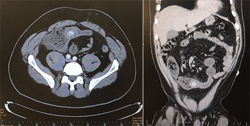
Figure 1a. Sagittal CT Scan image of fecalith causing small bowel obstruction. Figure 1b. Coronal CT Scan image of fecalith causing small bowel obstruction with view of gallbladder.
Figure 1a. Sagittal CT Scan image of fecalith causing small bowel obstruction. Figure 1b. Coronal CT Scan image of fecalith causing small bowel obstruction with view of gallbladder.

Figure 1a. Sagittal CT Scan image of fecalith causing small bowel obstruction.
Figure 1b. Coronal CT Scan image of fecalith causing small bowel obstruction with view of gallbladder.

Patient was taken to the operating room for an exploratory laparotomy. The small bowel was noted to be dilated and edematous. Approximately 55 cm prior to the ileocecal valve there was a large Meckel diverticulum, 7 cm in length. The foreign body was palpated 20 cm proximal to the ileocecal valve, with distal decompressed bowel. An enterotomy was performed at the site of the mass. The mass was removed and noted to be a 3 x 3 cm fecalith. The Meckel diverticulum and the enterotomy site were resected as an en bloc resection of the bowel (Figure 2). A primary stapled anastomosis was performed, the appendix was not removed.

The Meckel diverticulum bowel on final pathology was noted to have mucosal ulceration with hemorrhage and acute and chronic inflammation throughout. There was no ectopic tissue present in the diverticulum, including gastric mucosa.

postoperatively, the patient had slow return of bowel function he was discharged from the hospital on postoperative day 7.

Figure 2. Intraoperative Photos; 2a. Enterotomy and removal of fecalith; 2b. Illustrating similarity in size of fecalith and Meckel diverticulum, suggesting fecalith formed inside diverticulum; 2c. Fecalith measuring approximately 3cm in width; 2d. Diverticula measuring approximately 3 cm in width; 2e. Resection of affected bowel, demonstrating similarity in size between fecalith and Meckel diverticulum, in addition to distance distal from diverticulum where fecalith was found.
Figure 2. Intraoperative Photos; 2a. Enterotomy and removal of fecalith; 2b. Illustrating similarity in size of fecalith and Meckel diverticulum, suggesting fecalith formed inside diverticulum; 2c. Fecalith measuring approximately 3cm in width; 2d. Diverticula measuring approximately 3 cm in width; 2e. Resection of affected bowel, demonstrating similarity in size between fecalith and Meckel diverticulum, in addition to distance distal from diverticulum where fecalith was found.

Figure 2. Intraoperative Photos; 2a. Enterotomy and removal of fecalith; 2b. Illustrating similarity in size of fecalith and Meckel diverticulum, suggesting fecalith formed inside diverticulum; 2c. Fecalith measuring approximately 3cm in width; 2d. Diverticula measuring approximately 3 cm in width; 2e. Resection of affected bowel, demonstrating similarity in size between fecalith and Meckel diverticulum, in addition to distance distal from diverticulum where fecalith was found.

Discussion

The first reported small bowel obstruction from a Meckel diverticulum was by Beal in 1852, and the term “Meckel Stone Ileus” was coined by Kjell H. Christiansen, M.D. in 1967.3,9

Figure 3. Illustration from Field, et. al.11 (1959) depicting abdominal findings at the time of exploratory laparotomy in a patient with intestinal obstruction due to fecalith formed from a Meckel’s diverticulum. This illustration bears a striking resemblance to the findings in our patient. Reproduced with permission.

Our review of the literature included 10 cases spanning over 50 years. The mean age for presentation was 64 years old with almost equal distribution between male and female patients (6 male:4 female ratio). Males tended to be symptomatic more frequently than female patients.4

The incidence of enteroliths is found to be about 0.3–10 percent of all cases of Meckel diverticulum, with a four percent complication rate. Intestinal obstruction and diverticulitis are the main complications seen in adults, occurring in 40 percent and 20 percent of patients, respectively.1 The incidence of enteroliths formed in a Meckel diverticulum is even lower in children. There was only one case of pediatric small bowel obstruction caused by Meckel enterolith noted in our review of the literature (Table 1).5

Table 1. Review of the literature. (“--“ indicates that this finding was not documented in the literature)

Case

Author (Year)

Age (years)

Sex

Pre-Operative Imaging Modality and Impression

Pre-operative Diagnosis

Foreign body size

Ectopic Gastric Tissue on Pathology

Surgical Management

1

Field (1959)11

52

M

Erect x-ray: marked distention of the small bowel, absence of gas in the large bowel. Fluid levels in the small bowel.

Distal small bowel obstruction

“golf-ball-sized”

--

Fecalith manipulated proximally to Meckel diverticulum. Diverticulectomy was performed.

2

Bergland (1962)12

73

F

Abdominal x-ray: Distended small intestinal loops with multi-level fluid and gas-filled segments. No free peritoneal air

Diverticulitis of the sigmoid colon with secondary partial small bowel obstruction

3.0 x 3.0 cm

None

The enterolith was pushed back and removed from the lumen of the distal ileum. The proximal ileum was decompressed by suction. Diverticulectomy and anastomosis were performed.

3

Christiansen (1967)8

48

F

Abdominal x-ray: Multiple distended loops of small bowel without evidence of colon gas. Laminated opacity in the right lower quadrant.
Decubitus x-ray: multiple varying air fluid levels within the small bowel, and no change in position of the laminated calcification.

Small bowel obstruction with possible gallstone ileus

3.5 cm

None

Diverticulectomy including enterolith.

4

Sharma (1970)3

68

F

GI series reported as normal.

--

Multiple small stones

--

Diverticulectomy

5

Benhamou (1979)13

78

M

Abdominal x-ray: Small bowel obstruction with opacity in the right iliac fossa. No radiological evidence of air in the common bile duct.

Gallstone Ileus

--

None

Enterotomy opposite the diverticulum for stone extraction and diverticulectomy.

6

Lopez (1991)14

85

M

Supine abdominal x-ray: 3-cm calcified opacity in the right lower quadrant and multiple dilated loops of small bowel

Gallstone Ileus

3 cm

--

The enterolith was found within the Meckel diverticulum. Diverticulectomy to remove diverticulum and enterolith was performed.

7

Lopez (1991)13

70

M

CT: Small bowel obstruction with a foreign body and possible inflammatory focus in the right lower quadrant.
Barium enema: diverticulosis of the sigmoid colon without evidence of diverticulitis.

Small bowel obstruction of unknown etiology

3.5 cm

--

The enterolith was mobilized to the more distended small bowel, and a longitudinal enterotomy was performed, and the enterolith was removed.

8

Rudge (1992)7

78

M

Abdominal x-ray: markedly distended loops of small bowel

Distal small bowel obstruction of unknown etiology

3.5 x 5cm

None

Diverticulectomy including stone.

9

Hayee (2003)15

79

F

Abdominal x-ray: opacity on the left side
Gastrografin study: numerous small bowel diverticula of varying sizes and minimal passage of barium beyond the mid-jejunum.

--

3 x 4 cm

The stone was found impacted in the middle of the jejunum and was removed via a small enterotomy. No diverticulectomy was documented.

10

Lai (2010)4

9

M

Abdominal x-ray: local ileus, multiple dilated bowel loops

Mechanical Ileus

--

--

Fecalith was manipulated distally to the cecum, diverticulectomy and appendectomy were performed.

The cause of enterolith formation is attributed to multiple factors. Poor coordination of the peristaltic wave at the site of the Meckel diverticulum, which produces decreased motility, and slow flow in that area may lead to stone formation.4,6 Meckel enterolith formation is also related to stasis, foreign bodies (such as seeds) acting as a nidus for precipitation of calcium salts.7 The alkaline environment of the Meckel diverticulum, with the absence of ectopic gastric mucosa, leads to precipitation of the enterolith. An alkaline environment favors precipitation of calcium and other minerals from the small intestine, promoting formation of enteroliths.4,8 In the review of the literature, all the pathology from the Meckel diverticula noted that there was no gastric mucosa in the diverticulum. The Meckel enteroliths in our review, when the size was documented, were all at least 3 cm in size.

The Meckel stone ileus abdominal plain film imaging finding is a laminated calcification in the right lower quadrant in the presence of small bowel obstruction.9 Meckel enteroliths are often not well visualized on abdominal radiographs. Ultrasound and abdominal CT scans are more sensitive imaging modalities for diagnosing an enterolith.10 However, the diagnosis is typically made at the time of surgery.5 No definitive diagnosis was made on imaging prior to surgery in our case report review.

A Meckel Scan, a technetium pertechnetate scan, has been used to detect Meckel diverticula since 1970. The technetium pertechnetate relies on the presence of at least 1.8 cm2 gastric mucosa in the diverticula. In our review, there was no gastric mucosa identified on any pathology of the Meckel diverticula rendering this modality ineffective at diagnosing a diverticula generating a Meckel stone ileus.2

The surgical management of a fecalith generated from a Meckel diverticulum causing small bowel obstruction varied in our review of the literature. In the 10 cases reviewed, three reports described performing an enterotomy to remove the Meckel stone ileus. Stone manipulation more proximal to the site of the Meckel diverticulum and more dilated bowel was described in three cases prior to resection. All case reports the Meckel diverticulum was removed. The pediatric case described a simultaneous appendectomy. The surgical management of the cases is summarized in Table 1.

According to DiGiacomo, if a pathologic Meckel diverticulum is encountered at laparotomy with evidence of chronic or previous inflammation, the diverticulum should be removed. The treatment of choice is ileal resection for Meckel diverticula. Although simple excision of the diverticula may cause less morbidity, there is the possibility of ectopic gastric or pancreatic tissue extending beyond the mouth of the diverticula, which cannot be determined by palpation and necessitates removal of the entire segment of bowel with the diverticulum.10

Conclusion

Meckel stone ileus should be considered preoperatively in a patient who presents with a small bowel obstruction secondary to a foreign body 3 cm or greater on imaging in the distal small bowel with an absence of gallbladder pathology. All cases reviewed have documented the absence of gastric mucosa on pathology specimens in the Meckel diverticulum generating a fecalith. This indicates the role of an alkaline environment in the diverticulum combined with poor peristalsis and foreign bodies as a nidus for the formation of the fecalith. Additionally, it indicates that the Meckel scan would not visualize a stone generating Meckel diverticula. Surgical management varies in the literature review; in each case the Meckel diverticulum was removed with either an enterotomy, diverticulectomy or removing the entire segment of bowel. Current surgical management is to remove the entire segment of bowel adjacent to the diverticula to remove all ectopic mucosa.2 The fecalith can be addressed surgically by creating an enterotomy to remove the fecalith at the site of impaction, manipulating the stone distally to the cecum, or mobilizing the stone proximally into the diverticula before resection to minimize the amount of bowel resected.

Lessons Learned

Meckel diverticula can present with complications well past adolescence. Meckel stone ileus should be considered preoperatively in patients who present with small bowel obstruction secondary to a foreign body 3 cm or greater on imaging in the distal small bowel with an absence of gallbladder pathology.

Authors

Stutz KN, Blackwell LM

Correspondence Author

Kathleen N. Stutz c/o Dr. Lea Blackwell
Associates in General Surgery
21 Barkley Circle
Fort Myers, FL 33907
425-445-0494
kathleen.stutz@gmail.com

Author Affiliations

Healthpark Medical Center
Department of Surgery
Fort Myers, FL

References

  1. Bennett GL, Birnbaum BA, Balthazar EJ. CT of Meckel Diverticulitis in 11 Patients. Am J Roentgenol. 2004;182: 625-29.
  2. Javid P, Pauli EM. Meckel Diverticulum. UpToDate. N.p., 11 May 2016.
  3. Sharma G, Benson CK. Enteroliths in Meckel Diverticulum: Report of a Case and Review of the Literature. Can J Surg. 1970;13: 54-58.
  4. DiGiacomo JC, Cottone FJ. Surgical Treatment of Meckel Diverticulum. South Med J. 1993;86(6):671-5.
  5. Lai HC. Intestinal Obstruction Due to Meckel Enterolith Pediatr Neonatol. 2010;51(2):139-40.
  6. Frazzini VI, English WJ, Bashist B, Moore E. Case Report. Small Bowel Obstruction Due to Phytobezoar Formation within Meckel Diverticulum: CT Findings. J Comput Assist Tomogr. 1996;20(3):390-2
  7. Macari M, Panicek DM. CT Findings in Acute Necrotizing Meckel Diverticulitis Due to Obstructing Enterolith. J Comput Assist Tomogr. 1995;19(5):808-10.
  8. Rudge FW. Meckel Stone Ileus. Mil Med. 1992;157(2):98-100..
  9. Christiansen KH, Cancelmo RP. Meckel Stone Ileus. Am J Roentgenol Radium Ther Nucl Med. 1967;99(1):139-41.
  10. Pantongrag-Brown L, Levine MS, Buetow PC, Buck JL, Elsayed AM. Meckel Enteroliths: Clinical, Radiologic, and Pathologic Findings. AJR Am J Roentgenol. 1996;167(6):1447-50.
  11. Field RJ Sr., Field RJ Jr. Intestinal Obstruction Produced by Fecalith Arising in Meckel Diverticulum. AMA Arch Surg. 1959;79(1):8-9.
  12. Bergland RM, Gump F, Price JB Jr.. An Unusual Complication of Meckel Diverticula Seen in Older Patients. Ann Surg. 1963;158:6-8.
  13. Benhamou, G. Small Intestinal Obstruction by an Enterolith from a Meckel Diverticulum. Int Surg. 1979;64(1):43-5.
  14. Lopez P V, Welch JP. Enterolith Intestinal Obstruction Owing to Acquired and Congenital Diverticulosis. Dis Colon Rectum. 1991;34(10):941-4.
  15. Hayee B, Kahn HN, Al-Mishlab T, McPartlin JF. A Case of Enterolith Small Bowel Obstruction and Jejunal Diverticulosis. World J Gastroenterol. 2003;9(4):883-4.