Unsupported Browser
The American College of Surgeons website is not compatible with Internet Explorer 11, IE 11. For the best experience please update your browser.
Menu
Become a member and receive career-enhancing benefits

Our top priority is providing value to members. Your Member Services team is here to ensure you maximize your ACS member benefits, participate in College activities, and engage with your ACS colleagues. It's all here.

Become a Member
Become a member and receive career-enhancing benefits

Our top priority is providing value to members. Your Member Services team is here to ensure you maximize your ACS member benefits, participate in College activities, and engage with your ACS colleagues. It's all here.

Become a Member
ACS
ACS Case Reviews

Small Bowel Resection of Inflammatory Fibroid Polyp Following Occult Gastrointestinal Bleeding

May 8, 2023

Abstract

Background

A 70-year-old man was incidentally found to have anemia due to occult gastrointestinal (GI) bleeding from a small bowel inflammatory fibroid polyp (IFP).

Summary

Our patient was found to have asymptomatic anemia. He was worked up for occult GI bleeding, through which a capsule endoscopy showed a small bowel mass. Magnetic resonance imaging (MRE) characterized the mass as a 6.5 cm segment of the mid-distal ileum with no small bowel distention or lymphadenopathy. He underwent small bowel resection, and pathological evaluation identified the mass as a CD34+ IFP with overlying mucosal ulcerations, the likely cause of his occult bleeding. IFPs are rare benign mesenchymal tumors found anywhere along the GI tract. However, their location in the small intestine is uncommon. Current literature shows that small intestine IFPs, in particular, often present with signs of intussusception and/or small bowel obstruction (SBO). In contrast, our patient did not have such an acute presentation. Accordingly, our case report discusses the importance of complete resection of small intestine IFP, even in non-emergent situations.

Conclusion

Patients with IFPs found in the small intestine are at high risk for intussusception and/or SBO. Given the benign nature of the tumor and the low likelihood of recurrence, surgical resection can serve as both diagnostic and curative intervention for patients.

Key Words

small bowel neoplasm; small bowel obstruction; gastrointestinal bleed; gastrointestinal


Case Description

A 70-year-old man with a history of diverticulitis and gastroesophageal reflux disease (GERD) who presented with anemia after a low-impact fall. On arrival to the emergency department, the patient's vital signs were stable, and he was alert. On exam, his only evidence of trauma was a 4.0 × 0.3 cm laceration to his forehead. Labs showed a hemoglobin of 8.9. Computed tomography (CT) of his head demonstrated no acute intracranial hemorrhage. The laceration was repaired with sutures, and the patient was recommended to follow up with his primary care physician.

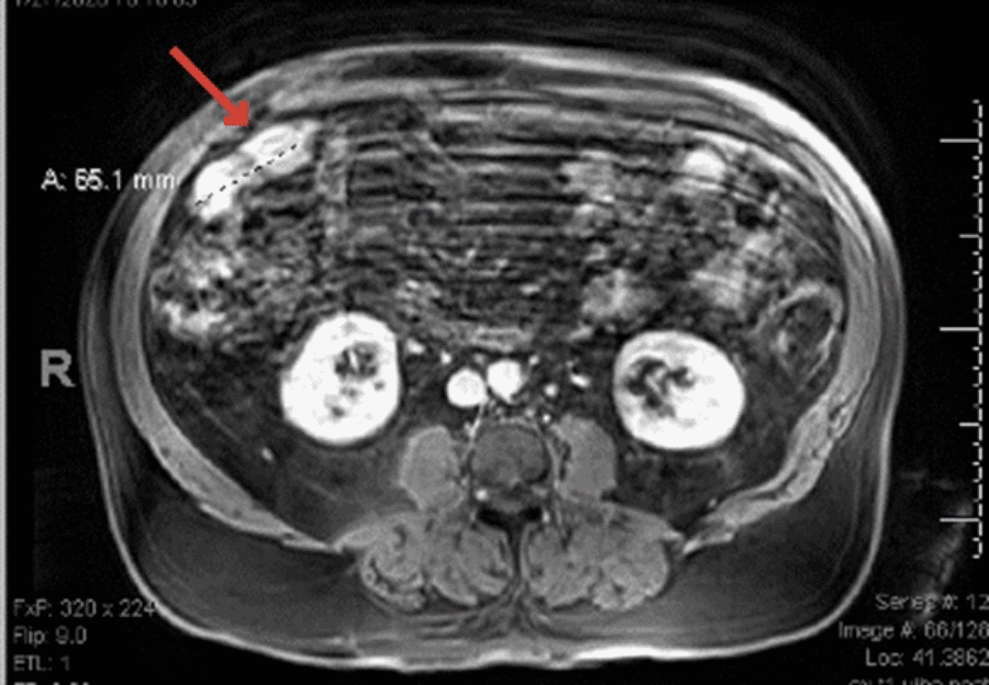
Further investigation identified that the patient had an esophagogastroduodenoscopy (EGD) just prior to this incident for longstanding reflux. The EGD showed multiple gastric antral ulcers and grade B esophagitis with no evidence of bleeding. He then underwent a colonoscopy for his anemia workup, which showed scattered sigmoid diverticula. A capsule endoscopy, performed to evaluate for distal small intestine pathology, demonstrated a friable polypoid lesion in the mid-distal ileum. To further characterize the mass, he had a magnetic resonance enterography scan (MRE), which showed abnormal thickening and enhancement of a 6.5 cm segment of the mid-distal ileum with no small bowel distention or lymphadenopathy (Figure 1). The patient was referred to our colorectal surgery department for surgical resection.

Figure 1. Magnetic Resonance Enterography Showing Mid-Distal Ileum Enhancement (arrow). Published with Permission

Figure 2. Excised Small Bowel Mass. Published with Permission

The patient's postoperative course was complicated by Serratia marcescens septicemia secondary to superficial thrombophlebitis that was treated with antibiotics and removal of the associated IV catheter. He was discharged on postoperative day 8.

Discussion

Inflammatory fibroid polyps (IFP) are benign mesenchymal tumors consisting of spindle and stellate cells in a loose edematous stroma surrounding blood vessels found on diagnostic pathology via resection or endoscopic biopsy.1 These tumors are often, but not always, found to be CD34+ and have platelet-derived growth factor receptor alpha (PDGFRA) mutations.2,3 IFPs can be found throughout the gastrointestinal (GI) tract, with the stomach being the most common location.2 In contrast, IFPs of the small intestine are rare; small intestine stromal tumors generally have an incidence of 0.2 per 100,000 people.4 In our case, the IFP location played a pivotal role as a mass in the small intestine can more easily lead to luminal occlusion.

Imaging, such as MRE, can provide valuable information on the size and location of intestinal masses, but only pathological evaluation will yield a definitive diagnosis. However, small intestine IFPs warrant complete resection rather than endoscopic biopsy to obtain the aforementioned pathological diagnosis due to their tendency to grow and become a lead point for intussusception and obstruction. In fact, the most common reports of small intestine IFPs present with intussusception or small bowel obstruction (SBO).5-7 A single-institution retrospective review of 83 patients over 13 years showed that 20% of their IFPs occurred in the small intestine, and 50% of the small intestine IFPs presented with intussusception.8 IFPs originate from the submucosa and tend to grow inward into the GI lumen.1 Reported IFP size ranges from 0.2 to 4.2 cm, with a mean of 1.7 cm.8 Accordingly, patient presentation, mass size, and mass pathology are three important factors when deciding to resect a small intestine IFP.

Regarding patient presentation, if a patient were to show symptoms of small bowel obstruction (nausea, vomiting, crampy abdominal pain, constipation, etc.) or intussusception, it naturally follows that small bowel resection would be the next step in treatment. In such a case, one can infer that the mass is large enough to occlude the bowel lumen or become a lead point, respectively. Similarly, in cases when the mass is found in non-emergent settings (e.g., incidental finding or hemodynamically stable occult GI bleeding), the mass's size can indicate whether the small intestine IFP should be considered for resection, given its potential to obstruct. A study comparing 280 MREs of normal small intestines showed ileum diameters ranging from 1.47 to 2.31 cm.9 Masses sized beyond such parameters could be concerning for the development of obstruction. However, this idea considers the tendency of masses to grow and, if they were to be resected, their tendency to recur. While their tendency to grow has been explored, IFPs are infrequently reported to recur, making resection a curative treatment option.

In our patient's case, he developed symptomatic anemia from his IFP but did not present with signs or symptoms of SBO or intussusception. However, his tumor measured 4.2 cm in its longest dimension, which reasonably suggests the possibility of obstruction or intussusception in the future. Given these factors, it was deemed appropriate for our patient to proceed with elective small bowel resection for IFP diagnosis and symptomatic management.

As informed by this case, we recommend that IFP of the small bowel be considered when building a differential for asymptomatic anemia. Following more common strategies of diagnostic evaluation (e.g., EGD, colonoscopy), capsule endoscopy can be a favorable strategy in a stable patient without signs of obstruction and a valuable tool to identify the bleeding source when all else fails. If surgery is then deemed appropriate, MRE can provide additional insight into the mass's characteristics.

Conclusion

Small intestine inflammatory fibroid polyps often present with SBO or intussusception. Here, we present a case of a small intestine IFP leading to occult GI bleeding in a 70-year-old man that was successfully treated with operative resection.

Lessons Learned

While small intestine IFPs are benign tumors, their tendency to grow, become a lead point for intussusception, or obstruct is important to consider when deciding to operate. Patient presentation and IFP size are two factors that can guide the surgeon.

Authors

Reddy HG; Gadomski S; Isenberg GA

Author Affiliations

Department of Surgery, Thomas Jefferson University, Philadelphia, PA 19107

Corresponding Author

Haritha G. Reddy, MD
206 S. 13th Street
Philadelphia, PA 19107
Email: haritha.gr@gmail.com

Disclosure Statement

Dr. Isenberg serves as editor-in-chief for Case Reviews in Surgery. He was not involved in the editorial evaluation or decision to accept this article for publication.

Funding/Support

The authors have no relevant financial relationships or in-kind support to disclose.

Received: August 8, 2020
Revision received: December 19, 2020
Accepted: February 1, 2021

References

  1. Shimer GR, Helwig EB. Inflammatory fibroid polyps of the intestine. Am J Clin Pathol. 1984;81(6):708-714. doi:10.1093/ajcp/81.6.708
  2. Johnstone JM, Morson BC. Inflammatory fibroid polyp of the gastrointestinal tract. Histopathology. 1978;2(5):349-361. doi:10.1111/j.1365-2559.1978.tb01727.x
  3. Lasota J, Wang ZF, Sobin LH, Miettinen M. Gain-of-function PDGFRA mutations, earlier reported in gastrointestinal stromal tumors, are common in small intestinal inflammatory fibroid polyps. A study of 60 cases. Mod Pathol. 2009;22(8):1049-1056. doi:10.1038/modpathol.2009.62
  4. Barsouk A, Rawla P, Barsouk A, Thandra KC. Epidemiology of Cancers of the Small Intestine: Trends, Risk Factors, and Prevention. Med Sci (Basel). 2019;7(3):46. Published 2019 Mar 17. doi:10.3390/medsci7030046
  5. Huszar M, Zurkowski Z, Winter S, Herczeg E, Weissberg D. Inflammatory fibroid polyp of the small intestine. JAMA. 1980;243(7):651.
  6. Rajesh A, Chandra A. Re: Ileocolic intussusception from an inflammatory fibroid polyp: a rare cause of adult small bowel obstruction. ANZ J Surg. 2019;89(7-8):981-982. doi:10.1111/ans.15294
  7. Bae JS, Song JS, Hong SM, Moon WS. An unusual presentation of an inflammatory fibroid polyp of the ileum: A case report. Oncol Lett. 2015;9(1):327-329. doi:10.3892/ol.2014.2674
  8. Liu TC, Lin MT, Montgomery EA, Singhi AD. Inflammatory fibroid polyps of the gastrointestinal tract: spectrum of clinical, morphologic, and immunohistochemistry features. Am J Surg Pathol. 2013;37(4):586-592. doi:10.1097/PAS.0b013e31827ae11e
  9. Cronin CG, Delappe E, Lohan DG, Roche C, Murphy JM. Normal small bowel wall characteristics on MR enterography. Eur J Radiol. 2010;75(2):207-211. doi:10.1016/j.ejrad.2009.04.066