Unsupported Browser
The American College of Surgeons website is not compatible with Internet Explorer 11, IE 11. For the best experience please update your browser.
Menu
Become a member and receive career-enhancing benefits

Our top priority is providing value to members. Your Member Services team is here to ensure you maximize your ACS member benefits, participate in College activities, and engage with your ACS colleagues. It's all here.

Become a Member
Become a member and receive career-enhancing benefits

Our top priority is providing value to members. Your Member Services team is here to ensure you maximize your ACS member benefits, participate in College activities, and engage with your ACS colleagues. It's all here.

Become a Member
ACS
ACS Case Reviews

Unusual Retroperitoneal Presentation of a Rare Primary Pancreatic Neoplasm

March 6, 2025

Abstract

Background

Pancreatic lipomatous hamartoma (PLH), a rare benign entity, adds to the complexity of diagnosing retroperitoneal masses. Hamartomas represent disorganized overgrowth of tissue native to the organ of origin and are considered malformations rather than true neoplasms. Pancreatic hamartomas constitute less than 1% of all hamartomas, and cases of pancreatic lipomatous tumors with distinct features of PLH are rare. These tumors can be challenging to diagnose with imaging and biopsy alone, often mimicking malignancy and exerting significant mass effect on surrounding structures, frequently necessitating surgical intervention for definitive diagnosis.

Summary

A 57-year-old male presented with right upper quadrant pain radiating to his left side and back. Ultrasound at an outside facility revealed cholelithiasis and an incidentally discovered large retroperitoneal mass. CT imaging demonstrated a 14.4 × 4.6 × 16.0 cm heterogeneous, fatty-appearing retroperitoneal mass displacing the colon and small bowel, abutting the aorta and IVC without clear invasion.

Laparoscopic cholecystectomy with intraoperative core needle biopsy of the mass was performed at the outside facility, revealing benign adipose tissue without malignancy. The patient was then transferred to our institution. His initial postoperative course was complicated by acute congestive heart failure, delaying definitive surgical intervention for nine months. Serial imaging showed progressive mass growth, reaching 20.2 × 28.2 × 14.1 cm on preoperative CT, with increased mass effect.

The patient underwent open resection of the retroperitoneal mass, including en bloc resection of the third and fourth portions of the duodenum and the uncinate process of the pancreas. Final pathology revealed benign lipomatous proliferation consistent with PLH, weighing 3810g and measuring 35 x 27 x 14 cm.

Conclusion

PLH is an extremely rare benign tumor notoriously difficult to diagnose preoperatively with imaging and biopsy alone. This case highlights the challenges in distinguishing benign from malignant pancreatic and retroperitoneal masses.

Key Words

pancreatic tumor; benign abdominal tumor; pancreatic lipoma; hamartoma; retroperitoneal tumor; retroperitoneal mass

Abbreviations

Pancreatic lipomatous hamartoma (PLH)
Magnetic resonance cholangiopancreatography (MRCP)
Inferior vena cava (IVC)
Mouse double minute 2 homolog (MDM2)
Fluorescence in situ (FISH)
Fluorodeoxyglucose-positron emission tomography (FDG-PET)
Carcinoembryonic antigen (CEA)
Carbohydrate antigen 19-9 (CA 19-9)


Case Description

Pancreatic lipomatous hamartoma (PLH) is an exceedingly rare, benign condition sparsely documented in the literature.1-7 The term “hamartoma” describes a focal overgrowth of native cells and tissues within an organ, representing a malformation rather than a true neoplasm.8 Pancreatic hamartomas constitute less than 1% of all hamartomas and 10% of primary mesenchymal pancreatic tumors.1,2,8 Lipomatous pancreatic masses include lipoma, liposarcoma, lipomatous pseudohypertrophy, and other fat-containing neoplasms such as perivascular epithelioid cell tumors and malignant neoplasms with lipoid degeneration.

Few cases of pancreatic lipomatous tumors with distinct features of pancreatic hamartoma have been reported. Radiographic and pathologic findings suggestive of both pancreatic hamartomas and pancreatic lipomatous hamartomas have been described, including the absence of main pancreatic duct dilation, well-defined slight hyperintensity or isointensity on T2-weighted imaging, isointensity on diffusion-weighted imaging, and obvious progressive enhancement.2,3 However, despite these suggestive features, definitive diagnosis often relies on post-surgical pathological examination, as these lesions can closely mimic other benign and malignant tumors, including retroperitoneal liposarcomas.

A 57-year-old male presented with right upper quadrant pain radiating to his left side and back. Right upper quadrant ultrasound revealed gallbladder wall thickening, cholelithiasis, and a large retroperitoneal mass. Magnetic resonance cholangiopancreatography (MRCP) confirmed gallbladder wall thickening and cholelithiasis along with a large fatty retroperitoneal mass (Figure 1). Laparoscopic cholecystectomy with intraoperative cholangiogram and core needle biopsy of the retroperitoneal mass was performed at an outside facility. The biopsy showed benign adipose tissue with no malignancy.

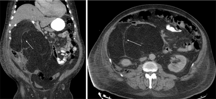
The patient’s postoperative course was complicated by a bile leak requiring percutaneous drainage, atrial fibrillation with rapid ventricular response requiring cardioversion, anasarca, and acute congestive heart failure. Abdominal and pelvic CT demonstrated a large (14.4 × 4.6 × 16.0 cm) heterogenous, fatty-appearing retroperitoneal mass displacing the bowel and abutting the aorta and IVC without obvious invasion of surrounding structures (Figure 2). Due to the concerning size and location of the mass, the patient was referred to our center for further investigation and management.

Figure 1. Initial MRCP. Published with Permission

Large white arrow: Denotes small bowel compression due to mass effect. Small white arrow: Denotes a large retroperitoneal tumor with internal septations
Large white arrow: Denotes small bowel compression due to mass effect. Small white arrow: Denotes a large retroperitoneal tumor with internal septations

Figure 2. Subsequent CT Imaging During Management of Postoperative Bile Leak. Published with Permission

Arrows denote internal septations of retroperitoneal mass.
Arrows denote internal septations of retroperitoneal mass.

The patient’s medical history was significant only for hypertension; his family history included ovarian cancer in a daughter, but no other reported malignancies. He had no palpable abdominal mass. His post-cholecystectomy pain resolved, but he experienced continued shortness of breath and fatigue. Concerned for retroperitoneal sarcoma, staging CT of the thorax was performed, revealing no metastasis. He required multiple readmissions for heart failure exacerbations and underwent left heart catheterization, which showed mild irregularities. His left ventricular ejection fraction was 25% with global hypokinesia, and a wearable cardioverter defibrillator was recommended. Surgical intervention was delayed for at least 90 days to optimize cardiac function. He sought a second opinion, the wearable defibrillator was removed, and he improved.

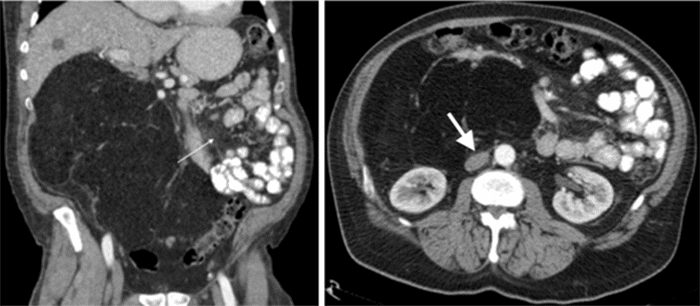
Seven months after the initial presentation, a repeat abdominal and pelvic CT scan revealed significant enlargement of the fatty retroperitoneal mass (20.2 × 28.2 × 14.1 cm) with mass effect on surrounding organs (right kidney, duodenum, colon, liver, inferior vena cava, and pancreas). (Figure 3). Thin internal septations were apparent. Due to rapid tumor growth, significant mass effect, and delays in resection due to post-cholecystectomy complications, the decision was made to proceed with surgical resection without further biopsy. Nine months after initial imaging diagnosis, he was deemed an acceptable surgical risk.

Figure 3. CT Imaging Demonstrates Preoperative Mass Effect. Published with Permission

Small arrow: Denotes the mass significantly impacting adjacent bowel loops. Large arrow: Denotes the mass causing substantial compression of the inferior vena cava
Small arrow: Denotes the mass significantly impacting adjacent bowel loops. Large arrow: Denotes the mass causing substantial compression of the inferior vena cava

He underwent open resection of the retroperitoneal mass. The mass abutted the common bile duct, portal vein, superior mesenteric artery and vein, aorta, and IVC, was densely adherent to the pancreatic uncinate process, and encased the third and fourth portions of the duodenum. The mass was dissected from the inferior border and head of the pancreas. Due to dense uncinate process adhesions and the risk of pancreatic leak, en bloc resection of the third and fourth portions of the duodenum and the uncinate process was performed, followed by duodenojejunostomy (Figure 4). Intraoperative planes were obscured by adhesions from previous percutaneous drain placement for the bile leak. Postoperatively, he was discharged on day six with a Type B pancreatic fistula,9 tolerating a low-fat diet and octreotide. Readmission was required for increased drain output; total parenteral nutrition and percutaneous drain placement were initiated after surgical drain dislodgement. ERCP with pancreatic stent placement was performed, and drains were removed after output cessation. He returned to a regular diet without further complications at his six-month follow-up.

Figure 4. Pancreatoduodenectomy Specimen. Published with Permission

Retroperitoneal tumor, uncinate process of the pancreas, and a portion of the duodenum
Retroperitoneal tumor, uncinate process of the pancreas, and a portion of the duodenum

Initial pathology review at our institution prompted referral to an outside center for further analysis due to the presence of pervasive pancreatic ducts and acinar cells. The specimen, consistent with R0 resection, weighed 3810 grams and measured 35 × 27 × 14 cm.

The final diagnosis was benign lipomatous proliferation most consistent with pancreatic lipomatous hamartoma (Figure 5). Histological examination revealed lobulated mature adipose tissue with interspersed benign pancreatic tissue, including ducts and acini. The adipocytic and epithelial components lacked any malignancy features such as atypia, mitotic figures, hyperchromasia, or necrosis.

Further evaluation using mouse double minute-2 homolog (MDM2) fluorescence in situ (FISH) was performed and did not reveal any amplification. The differential diagnosis included pancreatic lipomatosis, pancreatic lipomatous hamartoma, and well-differentiated lipomatous neoplasm (lipoma and well-differentiated liposarcoma). The absence of MDM2 amplification excluded well-differentiated liposarcoma, and the presence of epithelial elements argued against lipoma. Based on the mass size and histological findings, the tumor was most consistent with pancreatic lipomatous hamartoma.

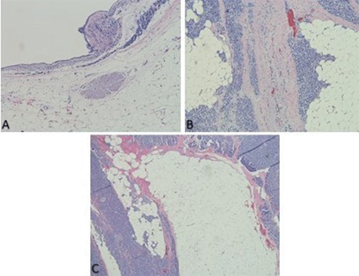
Figure 5. Histopathologic Features of PLH. Published with Permission

(A) Cystically dilated duct with benign epithelium, stroma, and smooth muscle within mature adipose tissue (10x magnification). (B) Benign pancreatic acinar tissue and fibrous stroma interspersed with mature adipose tissue (10x magnification). (C) Mature adipose tissue infiltrating pancreatic tissue (4x magnification)
(A) Cystically dilated duct with benign epithelium, stroma, and smooth muscle within mature adipose tissue (10x magnification). (B) Benign pancreatic acinar tissue and fibrous stroma interspersed with mature adipose tissue (10x magnification). (C) Mature adipose tissue infiltrating pancreatic tissue (4x magnification)

Discussion

Pancreatic lipomatous hamartoma (PLH) is a poorly understood entity due to its rarity, the difficulty in establishing a pre-operative diagnosis, and its radiographic similarity to other retroperitoneal tumors.4,5 PLHs account for less than 1% of all hamartomas and only 10% of primary mesenchymal pancreatic neoplasms.2 Published reports, primarily case reports and small series, are scarce. Many describe small, incidentally discovered tumors in asymptomatic patients, lesions resected due to concern for malignancy, or tumors in patients with vague abdominal complaints likely attributable to other causes.

While advancements in imaging and increased utilization likely contribute to the rise in reported pancreatic lipomas,3 the documented cases typically present with smaller sizes (2 cm to 4 cm in diameter) and occasional multifocality.2,3,5,10,11 One report describes a larger lipoma (6.4 cm × 6.0 cm) mimicking a well-differentiated liposarcoma.11 These reported cases contrast significantly with our patient, whose tumor weighed 3810 grams and measured 35 × 27 × 14 cm, exhibiting rapid growth in a symptomatic individual. However, similar to our case, all previously reported patients underwent complete resection to definitively rule out malignancy, as imaging, serum markers, and biopsy alone proved inconclusive. Extensive surgery, including pancreaticoduodenectomy, was often required.1-3,5,11

The primary indication for surgical resection in these patients is typically the inability to confidently exclude malignancy preoperatively. The diagnosis of PLH is established through histological analysis, which has become increasingly well-defined. Microscopically, PLHs are characterized by small to medium-sized ductal structures lined by non-atypical columnar epithelium, surrounded by disorganized acini and varying amounts of fibrous stroma.2,3,8 Well-defined islets of Langerhans are rarely observed. Pauser et al. have proposed diagnostic criteria for PLH, including: (a) a well-demarcated mass; (b) mature acini and ducts with distorted architecture; and (c) a paucity of discrete islets of Langerhans.6,8, Immunohistochemically, both acinar and ductal cells are positive for epithelial markers, and acinar cells are positive for exocrine markers, similar to normal pancreatic tissue. Stromal spindle cells may express CD34 and CD117, but are typically negative for S100, SMA, desmin, and bcl-2, although S100 positivity has been observed in some tumors within the adipose tissue component.2,8,10 Our patient’s resected tumor exhibited similar findings, demonstrating lobulated mature adipose tissue with interspersed benign pancreatic tissue. Both the adipocytic and epithelial components lacked malignant features. Further analysis, including negative MDM2 amplification by FISH, confirmed the diagnosis of PLH (Figure 5).

Imaging diagnosis of PLH is challenging due to its similarity to other lipomatous tumors. However, recent case series, after reviewing all reported cases, suggest some findings that may aid in diagnosis. Most PLHs are well-demarcated cystic and solid lesions exhibiting progressive or late enhancement on contrast-enhanced CT or MRI. They are most frequently located in the pancreatic head or uncinate process. MRI can demonstrate the solid component as iso- to low-intensity on T1-weighted images and iso- to high-intensity on T2-weighted images.¹˒³ FDG-PET demonstrates uptake in approximately 20% of patients, potentially leading to misdiagnosis as pancreatic adenocarcinoma.³ Many of these lesions remain stable over time on serial imaging, unlike the rapid growth observed in our patient.³ Our patient’s MRCP revealed multiple irregular nodular soft tissue densities with increased T2WI signal. Contrast-enhanced CT showed multiple internal septae without progressive or late enhancement but did reveal increased vascularity. The large size of our patient’s mass caused significant mass effect on surrounding organs and vascular structures, making it difficult to assess invasion, a feature distinguishing this case from others.

Consistent with the literature, our patient exhibited no significant laboratory abnormalities, including normal lipase, amylase, CEA, CA 19-9, and other serum tumor markers. A core needle biopsy of the mass showed no evidence of malignancy and was consistent with lipoma, also consistent with prior reports. This highlights the diagnostic challenges of these tumors without surgical resection. While imaging characteristics may appear benign, biopsies can yield false negatives due to sampling error in larger lesions, even with core needle biopsy, the suggested sampling method, which has a reported 95% concordance for diagnosing adipocytic tumors after excision.¹³

Published cases often lack detailed intraoperative descriptions. However, those available frequently report intimate involvement of the pancreatic head or uncinate process and surrounding structures, often necessitating a pancreaticoduodenectomy.1,2,5,7,11 This aligns with our patient’s findings, although the tumor was resected with a portion of the uncinate process and duodenum without a formal pancreaticoduodenectomy (Figure 4).

The management of retroperitoneal and pancreatic masses varies widely depending on histological subtype and concern for malignancy. CT-guided core needle biopsy is recommended when anatomically feasible, and endoscopic ultrasound has also been suggested.14 Patients should undergo staging with CT of the chest, abdomen, and pelvis, along with serum tumor markers (CEA and CA 19-9). If resection is performed, a microscopically margin-negative resection is recommended to minimize local recurrence risk.

Due to their rarity, there are no formal surveillance guidelines for resected PLHs, and the true local recurrence risk is unknown. Surveillance after retroperitoneal or abdominal sarcoma resection is guided by histology and grading, typically involving history and physical examination every 3–6 months for five years with CT imaging, then annually for at least ten years.15 Therefore, it seems reasonable to follow large PLHs with imaging for at least five years due to the unknown recurrence risk.

Clinically ambiguous masses present a complex management dilemma requiring ongoing risk-benefit discussions with healthcare professionals and patients. Definitive differentiation between benign and malignant lesions often necessitates surgical resection. Choosing between continued surveillance and surgery hinges on several factors:

  1. Diagnostic Uncertainty: Accurately determining the nature of the mass preoperatively can be challenging.
  2. Patient Preferences: Both the healthcare provider’s expertise and the patient’s willingness to undergo potentially extensive surgery are crucial considerations.
  3. Patient Suitability: Resection suitability depends on the patient’s ability to tolerate a potentially demanding surgical procedure.

In our case, the patient was symptomatic due to mass effect, with rapid tumor growth during preoperative optimization, raising significant concern for malignancy. After extensive discussion, he elected for resection. Concerning features that may favor resection include tumor growth, large size, symptoms (biliary or intestinal obstruction, weight loss, early satiety, poor appetite, intractable abdominal pain).

Recommending resection is often difficult, as many patients are asymptomatic with small, incidentally discovered lesions of unknown biologic behavior, in the context of potentially high-morbidity operations. There is no evidence in the literature suggesting malignant transformation of PLH, nor have there been reports of rupture or bleeding.1,3,5,8 Our patient shares similarities with previously reported cases but is notable for a significantly larger tumor, symptomatic mass effect, and rapid growth.

Conclusion

The diagnostic ambiguity surrounding PLH and its differentiation from malignant tumors, such as retroperitoneal liposarcoma, pancreatic carcinoma, and other more common neoplasms, frequently results in highly morbid surgical resections with the final diagnosis established postoperatively via histological examination. Further research is clearly needed to establish guidelines and recommendations for the surveillance and management of suspected PLH, particularly given the recent increase in detection and reporting likely attributable to the more frequent utilization of high-quality imaging for unrelated indications. This case underscores this need, as its presentation differs significantly from previously reported cases.

Lessons Learned

Pancreatic lipomatous hamartoma should be included in the differential diagnosis of all retroperitoneal or pancreatic masses when tumor markers are unrevealing, biopsy pathology is non-diagnostic, and imaging findings are consistent with the described characteristics. A thorough discussion of the risks and benefits associated with surgical resection versus continued surveillance is essential in each case, as these tumors must be approached with extreme caution to avoid overlooking a potentially occult malignant process.

Authors

Clegg DJa; Hammond RPa; Schmocker RKb; Sauls RSc; Duncan LDc; Enomoto LMb

Author Affiliations

  1. Department of Surgery, University of Tennessee Graduate School of Medicine, Knoxville, TN 37920
  2. Department of Surgery, Division of Surgical Oncology, University of Tennessee Graduate School of Medicine, Knoxville, TN 37920
  3. Department of Pathology, University of Tennessee Graduate School of Medicine, Knoxville, TN 37920

Corresponding Author

Laura M. Enomoto, MD, MSC, FACS
University of Tennessee Graduate School of Medicine
1924 Alcoa Highway
Ste. 330
Knoxville TN, 37920
Email: lenomoto@utmck.edu

Disclosure Statement

The authors have no conflicts of interest to disclose.

Funding/Support

The authors have no relevant financial relationships or in-kind support to disclose.

Received: March 15, 2022
Revision received: May 11, 2022
Accepted: May 12, 2022

References

  1. Cui H, Lian Y, Chen F. Imaging findings for pancreatic Hamartoma: two case reports and a review of the literature. BMC Gastroenterol. 2020;20(1):37. Published 2020 Feb 17. doi:10.1186/s12876-020-1185-8
  2. Zhou B, Li G, Xu S, Zhan C, Zheng X, Yan S. Pancreatic lipomatous hamartoma mimicking other pancreatic tumor: a case report and literature review. Am J Transl Res. 2020;12(10):6682-6688. Published 2020 Oct 15.
  3. Katayama H, Azuma K, Koneri K, et al. A typical case of resected pancreatic hamartoma: a case report and literature review on imaging and pathology. Surg Case Rep. 2020;6(1):107. Published 2020 May 24. doi:10.1186/s40792-020-00869-y
  4. Tanaka M, Ushiku T, Ikemura M, et al. Pancreatic Lipomatous Hamartoma: A Hitherto Unrecognized Variant. Am J Surg Pathol. 2018;42(7):891-897. doi:10.1097/PAS.0000000000001075
  5. Matsushita D, Kurahara H, Mataki Y, et al. Pancreatic hamartoma: a case report and literature review. BMC Gastroenterol. 2016;16:3. Published 2016 Jan 14. doi:10.1186/s12876-016-0419-2
  6. Pauser U, da Silva MT, Placke J, Klimstra DS, Klöppel G. Cellular hamartoma resembling gastrointestinal stromal tumor: a solid tumor of the pancreas expressing c-kit (CD117). Mod Pathol. 2005;18(9):1211-1216. doi:10.1038/modpathol.3800406
  7. Shin DH, Rho SY, Hwang HK, Lee WJ, Kang CM. A case of pancreatic hamartoma pathologically confirmed after robot-assisted pancreaticoduodenectomy. Ann Hepatobiliary Pancreat Surg. 2019;23(3):286-290. doi:10.14701/ahbps.2019.23.3.286
  8. Basturk O, Askan G. Benign Tumors and Tumorlike Lesions of the Pancreas. Surg Pathol Clin. 2016;9(4):619-641. doi:10.1016/j.path.2016.05.007
  9. Bassi C, Marchegiani G, Dervenis C, et al. The 2016 update of the International Study Group (ISGPS) definition and grading of postoperative pancreatic fistula: 11 Years After. Surgery. 2017;161(3):584-591. doi:10.1016/j.surg.2016.11.014
  10. Yamaguchi H, Aishima S, Oda Y, et al. Distinctive histopathologic findings of pancreatic hamartomas suggesting their “hamartomatous” nature: a study of 9 cases. Am J Surg Pathol. 2013;37(7):1006-1013. doi:10.1097/PAS.0b013e318283ce4c
  11. Xiao RY, Yao X, Wang WL. A huge pancreatic lipoma mimicking a well-differentiated liposarcoma: A case report and systematic literature review. World J Clin Cases. 2019;7(16):2352-2359. doi:10.12998/wjcc.v7.i16.2352
  12. Pauser U, Kosmahl M, Kruslin B, Klimstra DS, Klöppel G. Pancreatic solid and cystic hamartoma in adults: characterization of a new tumorous lesion. Am J Surg Pathol. 2005;29(6):797-800. doi:10.1097/01.pas.0000157748.18591.d7
  13. Thavikulwat AC, Wu JS, Chen X, Anderson ME, Ward A, Kung J. Image-Guided Core Needle Biopsy of Adipocytic Tumors: Diagnostic Accuracy and Concordance With Final Surgical Pathology. AJR Am J Roentgenol. 2021;216(4):997-1002. doi:10.2214/AJR.20.23080
  14. Suzuki R, Irisawa A, Hikichi T, et al. Pancreatic lipoma diagnosed using EUS-FNA. A case report. JOP. 2009;10(2):200-203. Published 2009 Mar 9.
  15. von Mehren M, Randall RL, Benjamin RS, et al. Soft Tissue Sarcoma, Version 2.2018, NCCN Clinical Practice Guidelines in Oncology. J Natl Compr Canc Netw. 2018;16(5):536-563. doi:10.6004/jnccn.2018.0025