Unsupported Browser
The American College of Surgeons website is not compatible with Internet Explorer 11, IE 11. For the best experience please update your browser.
Menu
Become a member and receive career-enhancing benefits

Our top priority is providing value to members. Your Member Services team is here to ensure you maximize your ACS member benefits, participate in College activities, and engage with your ACS colleagues. It's all here.

Become a Member
Become a member and receive career-enhancing benefits

Our top priority is providing value to members. Your Member Services team is here to ensure you maximize your ACS member benefits, participate in College activities, and engage with your ACS colleagues. It's all here.

Become a Member
ACS
Case Reviews in Surgery

Multifocal Solid and Serous Cystadenomas and a Neuroendocrine Tumor of Pancreas in a Patient with Von Hippel-Lindau Disease

Multifocal Solid and Serous Cystadenomas and a Neuroendocrine Tumor of Pancreas in a Patient with Von Hippel-Lindau Disease

March 1, 2021

Abstract

Background

Patients with von Hippel-Lindau (VHL) disease may have concurrent pathologic abnormalities within the pancreas that may complicate management and surgical decision-making.

Summary

A 56-year-old patient with VHL had developed multiple cystic lesions in the pancreas, but was asymptomatic. A fine needle aspiration (FNA) of a dominant cyst in the body of the pancreas was KRAS was positive, but all other evaluations were unremarkable. The patient was asymptomatic and, after counseling, chose to continue close monitoring. Imaging with ultrasound or MRI was performed every six months for surveillance. No significant changes were noted until an asymptomatic 3 cm mass developed in the pancreas head. A total pancreatectomy was performed.

Conclusion

Pancreatic involvement is common in patients with VHL and is typically benign; however, malignancy can occur, so careful follow-up and, when indicated, assessment with FNA is mandatory. Total pancreatectomy should be considered if pathology involves the entire pancreas.

Key Words

Total pancreatectomy, von Hippel-Lindau, K-RAS, microcystic adenoma


Case Description

Von Hippel-Lindau (VHL) disease is a rare, hereditary cancer syndrome caused by mutations of the VHL tumor suppressor gene, leading to continuous expression of angiogenic and growth factors.1 The incidence of VHL disease is one in 36,000 live births in the United States, with a mean age at diagnosis of 26 years and more than 90 percent penetrance by the age of 65.25

Patients with VHL have an increased risk of developing multi-organ neoplasms. The most common tumor in VHL patients is CNS hemangioblastoma, which affects 70 percent of patients and presents at an average age of 33 years.1,2,68 Retinal angiomas are also common, presenting at an average age of 25 years in 60 percent of patients.3 Benign renal cysts, renal cell carcinoma, and pheochromocytomas are also frequently diagnosed.8 Approximately 60–77 percent of patients with VHL have pancreatic involvement, most often cystadenoma (17–56 percent), neuroendocrine tumor (NET, 10–17 percent), or both in 11.5 percent.9–15 Cystic pancreatic lesions tend to be the least symptomatic of VHL neoplasms, and cystadenomas may with increasing size compress neighboring organs. Cystadenomas are considered benign, but do have an ill-defined risk of malignancy (cystadenocarcinoma). NETs may have malignant potential and 25–50 percent have metastasized at the time of diagnosis.10,13,1621

In this paper, we discuss the management considerations of a patient with VHL who had radiographic abnormalities throughout her pancreas. The patient ultimately underwent a total pancreatectomy after careful consideration of all surgical and follow-up options.

A 56-year-old woman was referred to the pancreas multidisciplinary team for evaluation of multiple pancreas lesions. The patient was initially diagnosed with VHL when she was in her twenties. At age 40, she had a spinal hemangioblastoma removed. On subsequent follow-up imaging, she was noted to have lesions developing in both kidneys and her pancreas. She developed renal cell carcinoma (RCC) and underwent a partial right nephrectomy at age 44. At the time of her partial nephrectomy, several cysts were noted in the pancreas, but none were more than 2 cm in diameter and did not have features worrisome for malignancy.

Over time, imaging of her pancreas revealed an increasing number of cystic lesions. At age 50 (six year prior to being referred to our clinic), an endoscopic ultrasound (EUS) with fine needle aspiration (FNA) of a dominant cyst in the body of the pancreas was sampled. KRAS was positive, but all other evaluations were unremarkable. At that time, a new lesion was noted in the left kidney. She underwent total left nephrectomy.

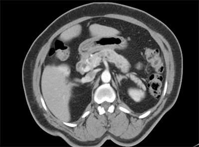
Following the left nephrectomy, the patient was asymptomatic—without abdominal pain or other symptoms of pancreas disease. The patient and her doctors chose to continue close monitoring with ultrasound or MRI imaging performed every six months for surveillance. No significant changes were noted until age 55, when an asymptomatic mass was first noted in the pancreas head. During the next 18 months this mass increased in size to 3 cm and she was referred to us (Figure 1).

Figure 1. CT abdomen demonstrating 2.9 x 2.7 cm enhancing mass in the pancreatic head, multiple cystic structures within the pancreas for which intraductal papillary mucinous neoplasm is not excluded.
Figure 1. CT abdomen demonstrating 2.9 x 2.7 cm enhancing mass in the pancreatic head, multiple cystic structures within the pancreas for which intraductal papillary mucinous neoplasm is not excluded.


Figure 1. CT abdomen demonstrating 2.9 x 2.7 cm enhancing mass in the pancreatic head, multiple cystic structures within the pancreas for which intraductal papillary mucinous neoplasm is not excluded.

An EUS/FNA of the mass done at that time revealed atypical cells, but all tumor markers, including KRAS, were negative. During this time, additional cysts were apparent and/or enlarging throughout the pancreas.

The patient’s past medical history was also significant for obesity, renal insufficiency (baseline creatinine 2.6), hypertension, and symptomatic atrial flutter. In addition to surgeries mentioned above, she had undergone cholecystectomy, hysterectomy, and cardiac ablation. Her social history was unremarkable. Family history was significant for a sister who died from pancreatic adenocarcinoma at age 51, but who did not have VHL.

The patient was counseled about the risk of developing pancreas cancer. The decision regarding definitive surgical management was complicated for several reasons. First, the extent of pathologic changes throughout the pancreas made definitive diagnosis of any given cystic lesion impossible. Second, the etiology of the 3 cm solid tumor was not definitively diagnosed by FNA, except that atypical cells were clearly present. In addition, the mass extended to or even through the posterior uncinate process and abutted the portal vein. All the factors argued against enucleation. Review of the 2008 aspiration of the cyst in the body was confirmed to have been KRAS positive. The entire body and tail contained multiple cystic lesions. The team felt that if any portion of the distal body and tail of the pancreas were left in situ, subsequent monitoring would be difficult, and as long as any pancreas remained, it was impossible to rule out the existence of any type of malignant neoplasm in the pancreas. Finally, there was the family history of adenocarcinoma of the pancreas in the patient’s sister. Based on all this information, the multidisciplinary team felt that total pancreatectomy would be the most appropriate surgical procedure. This was discussed with the patient and she elected to proceed with surgery. The endocrine team was consulted and helped coordinate preoperative education and training so that the patient would be prepared for insulin and enzyme replacement after surgery.

An open, total pylorus preserving pancreatectomy and splenectomy was performed. Reconstruction was done by creating an end-to-side pyloro-jejunostomy and, 12 cm distally, an end-to-side choledocho-jejunostomy. The jejunum was brought to the upper abdomen in a retro-colic position. She did not require a transfusion, and her postoperative course was uncomplicated.

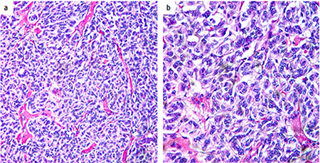
Pathology revealed a single, well-circumscribed, tan, and firm lobulated lesion measuring 2.7 x 2.6 x 2.1 cm in the head of the pancreas. Sections of this lesion demonstrated epithelioid cells forming nests, trabeculae, ribbons, and rosettes, separated by thin fibrovascular septa. Nuclei were mildly atypical with no significant mitotic activity (one mitosis in 50 high power fields). The mass was partially encapsulated with focal nests of cells extending into pancreatic tissue. There was no vascular or perineural invasion present and no necrosis. Tumor cells expressed neuroendocrine immunohistochemical markers NSE, chromogranin, synaptophysin, and CD56. The proliferative index is less than 2 percent by Ki-67 immunohistochemical stain. Gastrin, insulin, and glucagon immunostains were negative. The tumor had features of a low-grade pancreatic neuroendocrine neoplasm (Figure 2).

Figure 2. (a) Low-power H&E depicts low-grade pancreatic neuroendocrine neoplasm composed of epithelioid cells forming nests, trabeculae, ribbons and rosettes that are separated by thin fibrovascular septa. (b) High-power H&E shows the nuclei mildly atypical with no significant mitotic activity.
Figure 2. (a) Low-power H&E depicts low-grade pancreatic neuroendocrine neoplasm composed of epithelioid cells forming nests, trabeculae, ribbons and rosettes that are separated by thin fibrovascular septa. (b) High-power H&E shows the nuclei mildly atypical with no significant mitotic activity.


Figure 2. (a) Low-power H&E depicts low-grade pancreatic neuroendocrine neoplasm composed of epithelioid cells forming nests, trabeculae, ribbons and rosettes that are separated by thin fibrovascular septa. (b) High-power H&E shows the nuclei mildly atypical with no significant mitotic activity.

Additionally, within the pancreatic parenchyma were several tan-pink to tan-white multi-cystic, spongy lesions filed with clear fluid, measuring up to 1.8 cm in greatest dimension, involving the head, body, and tail of pancreas. Sections of pancreas revealed multiple neoplastic processes represented by microcystic and macrocystic spaces lined by small cuboidal epithelial cells with partially clear cytoplasm. Nuclei were small and bland without atypia, hyperchromasia, pleomorphism and mitotic activity. No complex architecture or papillary architecture is present. The lesions had pushing irregular borders, consistent with microcystic serous cystadenomas (Figure 3).

Figure 3. (a) Low-power H&E showing microcystic serous cystadenoma adjacent to the normal pancreatic parenchyma. The microcystic and macrocystic spaces are lined by small cuboidal epithelial cells. (b) High-power H&E demonstrates small and bland nuclei without atypia, hyperchromasia, pleomorphism, and mitotic activity.
Figure 3. (a) Low-power H&E showing microcystic serous cystadenoma adjacent to the normal pancreatic parenchyma. The microcystic and macrocystic spaces are lined by small cuboidal epithelial cells. (b) High-power H&E demonstrates small and bland nuclei without atypia, hyperchromasia, pleomorphism, and mitotic activity.


Figure 3. (a) Low-power H&E showing microcystic serous cystadenoma adjacent to the normal pancreatic parenchyma. The microcystic and macrocystic spaces are lined by small cuboidal epithelial cells. (b) High-power H&E demonstrates small and bland nuclei without atypia, hyperchromasia, pleomorphism, and mitotic activity.

Discussion

Pancreatic involvement is common in patients with VHL. The most common pancreatic lesions seen in VHL are benign simple cysts and microcystic adenomas.12,19,21 Most of these lesions are asymptomatic and only discovered during systematic screening with CT or MRI.12,19,22 Approximately half of these lesions increase in size during follow-up, causing compression of the main pancreatic duct or neighboring organs in almost 20 percent of patients.10 Compression and obstruction of the main pancreatic duct by cysts can be severe enough to cause acute pancreatitis.23 NETs are less common in VHL and tend to be nonfunctional and asymptomatic.24 However, NETs have malignant potential and should be closely monitored.

Two recommendations currently exist for the management of NETs in VHL disease. The first recommends resection of tumors larger than 2 cm in the pancreatic head or greater than 3 cm in the body or tail.24 The second is based on tumor size (≥ 3cm), mutation in exon 3, and tumor doubling time (≤ 500d). If two or more criteria are met, the lesion requires surgical resection, while having one or none can be monitored by CT/MRI every 6–12 months or 2–3 years, respectively.14 MRI may be preferred to lessen radiation exposure, especially in younger patients. However, CT scanning is the most useful imaging modality for detecting pancreatic lesions, with solid enhancing masses of the pancreas strongly suggesting a NET. A follow-up MRI with an increased signal intensity on T2-weighted images is supportive of the diagnosis.24 Any pancreatic lesion found on imaging must be assessed for the possibility of metastatic disease (to the pancreas) due to highly neoplastic nature of VHL patients.11 In our case, RCC metastatic to the pancreas was in the differential.

Cysts and serous cystadenomas appear as circumscribed encapsulated cystic masses on imaging, and usually do not warrant primary resection if the diagnosis is confident, the patient is asymptomatic, and the lesions are less than 4 cm.14 Although our patient discussed had small, asymptomatic cystic lesions in the body of the pancreas, we were unable to definitively rule out an intraductal papillary mucinous neoplasm (IPMN) or other neoplastic process in light of KRAS positivity.

Total pancreatectomy has significant morbidity and mortality due to the loss of endocrine and exocrine function. This has been ameliorated by advancements in the understanding of pancreatic disease and improvement of medications to better control the chronic diabetes and malabsorption that follows a total pancreatectomy, making it a viable option for treating the pathology that involves the entire pancreas. Currently, the indications for total pancreatectomy include large invasive tumors, multifocal IPMNs, multifocal islet cell neoplasms, mutifocal NET, and chronic pancreatitis.2527Recent studies have shown mortality rates for total pancreatectomy have decreased in the last 10 years while morbidity has not significantly changed.2730

Conclusion

VHL patients require life-long screening for malignancy. Total pancreatectomy may be indicated when concerning pathology involves the entire pancreas. In our patient, management decisions began well before surgery and preoperative education reduced patient and family anxiety and helped with postoperative recovery and discharge planning.

Lessons Learned

VHL patients should receive regular MRI/CT screening for malignancy. Pancreas lesions are most commonly benign, but malignancy, both primary and secondary, may occur. Total pancreatectomy may be indicated and can be well-tolerated, but should only be considered in special circumstances. Preoperative education and training by a multidisciplinary can reduce patient anxiety and improve outcomes.31,32

Authors

Lim Sa, Kadi Ab, Heaney JBa, Crawford BEb, Slakey DPa

Correspondence Author

Douglas P Slakey, MD, FACS
Henderson Professor
Tulane University
Department of Surgery
1430 Tulane Avenue
New Orleans, LA 70112
504-988-5111
dslakey@tulane.edu

Author Affiliations

  1. Department of Surgery, Tulane University School of Medicine
  2. Department of Pathology, Tulane University School of Medicine

References

  1. Richard S, David P, Marsot-Dupuch -, Giraud S, Béroud C, Resche F. Central nervous system hemangioblastomas, endolymphatic sac tumors, and von Hippel-Lindau disease. Neurosurg Rev. 2000;23(1):1-22; discussion 23-24.
  2. Lonser RR, Glenn GM, Walther M, et al. von Hippel-Lindau disease. Lancet Lond Engl. 2003;361(9374):2059-2067. DOI:10.1016/S0140-6736(03)13643-4
  3. Maher ER, Iselius L, Yates JR, et al. Von Hippel-Lindau disease: a genetic study. J Med Genet. 1991;28(7):443-447.
  4. Kim JJ, Rini BI, Hansel DE. Von Hippel Lindau syndrome. Adv Exp Med Biol. 2010;685:228-249.
  5. Wilding A, Ingham SL, Lalloo F, et al. Life expectancy in hereditary cancer predisposing diseases: an observational study. J Med Genet. 2012;49(4):264-269. DOI:10.1136/jmedgenet-2011-100562
  6. Maher ER, Yates JR, Harries R, et al. Clinical features and natural history of von Hippel-Lindau disease. Q J Med. 1990;77(283):1151-1163.
  7. Wanebo JE, Lonser RR, Glenn GM, Oldfield EH. The natural history of hemangioblastomas of the central nervous system in patients with von Hippel-Lindau disease. J Neurosurg. 2003;98(1):82-94. DOI:10.3171/jns.2003.98.1.0082
  8. Maher ER, Neumann HP, Richard S. von Hippel-Lindau disease: a clinical and scientific review. Eur J Hum Genet EJHG. 2011;19(6):617-623. DOI:10.1038/ejhg.2010.175
  9. Mukhopadhyay B, Sahdev A, Monson JP, Besser GM, Reznek RH, Chew SL. Pancreatic lesions in von Hippel-Lindau disease. Clin Endocrinol (Oxf). 2002;57(5):603-608.
  10. Hammel PR, Vilgrain V, Terris B, et al. Pancreatic involvement in von Hippel-Lindau disease. The Groupe Francophone d’Etude de la Maladie de von Hippel-Lindau. Gastroenterology. 2000;119(4):1087-1095.
  11. Charlesworth M, Verbeke CS, Falk GA, Walsh M, Smith AM, Morris-Stiff G. Pancreatic lesions in von Hippel-Lindau disease? A systematic review and meta-synthesis of the literature. J Gastrointest Surg Off J Soc Surg Aliment Tract. 2012;16(7):1422-1428.DOI:10.1007/s11605-012-1847-0
  12. Hough DM, Stephens DH, Johnson CD, Binkovitz LA. Pancreatic lesions in von Hippel-Lindau disease: prevalence, clinical significance, and CT findings. AJR Am J Roentgenol. 1994;162(5):1091-1094. DOI:10.2214/ajr.162.5.8165988
  13. Jensen RT, Berna MJ, Bingham DB, Norton JA. Inherited pancreatic endocrine tumor syndromes: advances in molecular pathogenesis, diagnosis, management, and controversies. Cancer. 2008;113(7 Suppl):1807-1843. DOI:10.1002/cncr.23648
  14. Blansfield JA, Choyke L, Morita SY, et al. Clinical, genetic and radiographic analysis of 108 patients with von Hippel-Lindau disease (VHL) manifested by pancreatic neuroendocrine neoplasms (PNETs). Surgery. 2007;142(6):814-818; discussion 818.e1-e2. DOI:10.1016/j.surg.2007.09.012
  15. Elli L, Buscarini E, Portugalli V, et al. Pancreatic Involvement in Von Hippel-Lindau Disease: Report of Two Cases and Review of the Literature. Am J Gastroenterol. 2006;101(11):2655-2658. DOI:10.1111/j.1572-0241.2006.00737.x
  16. Zbar B, Kaelin W, Maher E, Richard S. Third International Meeting on von Hippel-Lindau disease. Cancer Res. 1999;59(9):2251-2253.
  17. Beerman MH, Fromkes JJ, Carey LC, Thomas FB. Pancreatic cystadenoma in Von Hippel-Lindau disease: an unusual cause of pancreatic and common bile duct obstruction. J Clin Gastroenterol. 1982;4(6):537-540.
  18. Horton WA, Wong V, Eldridge R. Von Hippel-Lindau disease: clinical and pathological manifestations in nine families with 50 affected members. Arch Intern Med. 1976;136(7):769-777.
  19. Neumann HP, Dinkel E, Brambs H, et al. Pancreatic lesions in the von Hippel-Lindau syndrome. Gastroenterology. 1991;101(2):465-471.
  20. Cornish D, Pont A, Minor D, Coombs JL, Bennington J. Metastatic islet cell tumor in von Hippel-Lindau disease. Am J Med. 1984;77(1):147-150.
  21. Lubensky IA, Pack S, Ault D, et al. Multiple neuroendocrine tumors of the pancreas in von Hippel-Lindau disease patients: histopathological and molecular genetic analysis. Am J Pathol. 1998;153(1):223-231. DOI:10.1016/S0002-9440(10)65563-0
  22. Choyke PL, Glenn GM, Walther MM, Patronas NJ, Linehan WM, Zbar B. von Hippel-Lindau disease: genetic, clinical, and imaging features. Radiology. 1995;194(3):629-642. DOI:10.1148/radiology.194.3.7862955
  23. Tenner S, Roston A, Lichtenstein D, Sica G, Carr-Locke D, Banks PA. Von Hippel-Lindau disease complicated by acute pancreatitis and Evan’s syndrome. Int J Pancreatol Off J Int Assoc Pancreatol. 1995;18(3):271-275. DOI:10.1007/BF02784952
  24. Libutti SK, Choyke PL, Bartlett DL, et al. Pancreatic neuroendocrine tumors associated with von Hippel Lindau disease: diagnostic and management recommendations. Surgery. 1998;124(6):1153-1159.
  25. Kulu Y, Schmied BM, Werner J, Muselli P, Büchler MW, Schmidt J. Total pancreatectomy for pancreatic cancer: indications and operative technique. HPB. 2009;11(6):469-475. DOI:10.1111/j.1477-2574.2009.00085.x
  26. Heidt DG, Burant C, Simeone DM. Total pancreatectomy: indications, operative technique, and postoperative sequelae. J Gastrointest Surg Off J Soc Surg Aliment Tract. 2007;11(2):209-216. DOI:10.1007/s11605-006-0025-7
  27. Crippa S, Tamburrino D, Partelli S, et al. Total pancreatectomy: indications, different timing, and perioperative and long-term outcomes. Surgery. 2011;149(1):79-86. DOI:10.1016/j.surg.2010.04.007
  28. Suzuki S, Kajiyama H, Takemura A, Shimazaki J, Nishida K, Shimoda M. The Clinical Outcomes after Total Pancreatectomy. Dig Surg. 2017;34(2):142-150. DOI:10.1159/000449234
  29. Reddy S, Wolfgang CL, Cameron JL, et al. Total pancreatectomy for pancreatic adenocarcinoma: evaluation of morbidity and long-term survival. Ann Surg. 2009;250(2):282-287. DOI:10.1097/SLA.0b013e3181ae9f93
  30. Murphy MM, Knaus WJ, Ng SC, et al. Total pancreatectomy: a national study. HPB. 2009;11(6):476-482. DOI:10.1111/j.1477-2574.2009.00076.x
  31. Datta J, Lewis RS, Strasberg SM, et al. Quantifying the burden of complications following total pancreatectomy using the postoperative morbidity index: a multi-institutional perspective. J Gastrointest Surg Off J Soc Surg Aliment Tract. 2015;19(3):506-515. DOI:10.1007/s11605-014-2706-y
  32. Stauffer JA, Nguyen JH, Heckman MG, et al. Patient outcomes after total pancreatectomy: a single centre contemporary experience. HPB. 2009;11(6):483-492. DOI:10.1111/j.1477-2574.2009.00077.x