Unsupported Browser
The American College of Surgeons website is not compatible with Internet Explorer 11, IE 11. For the best experience please update your browser.
Menu
Become a member and receive career-enhancing benefits

Our top priority is providing value to members. Your Member Services team is here to ensure you maximize your ACS member benefits, participate in College activities, and engage with your ACS colleagues. It's all here.

Become a Member
Become a member and receive career-enhancing benefits

Our top priority is providing value to members. Your Member Services team is here to ensure you maximize your ACS member benefits, participate in College activities, and engage with your ACS colleagues. It's all here.

Become a Member
ACS
ACS Case Reviews

Assessing the Utility of Ultrasound-Assisted Percutaneous Gastrostomy Tube Placement in Anticoagulated Patients with Hepatomegaly

July 8, 2024

Abstract

Background

Percutaneous endoscopic gastrostomy (PEG) is the preferred method for long-term enteral access in various clinical pathologies. While PEG tubes can develop complications, these rarely necessitate operative intervention. However, for patients requiring long-term anticoagulation, transhepatic gastrostomy tubes present a unique challenge for managing potential bleeding risks.

Summary

This report presents a unique case of a 63-year-old woman on long-term anticoagulation for prior vascular interventions who developed odynophagia secondary to oral squamous cell carcinoma. Preoperative imaging revealed significant hepatomegaly, posing a challenge for safe PEG tube placement due to the increased risk of liver injury. To mitigate this risk, the procedure utilized ultrasound guidance to ensure accurate placement and avoid transhepatic access. This approach facilitated successful PEG tube insertion without complications.

Conclusion

Ultrasound-guided PEG tube placement offers a valuable approach for patients on long-term anticoagulation with documented hepatomegaly. This technique minimizes the risk of liver injury and associated bleeding complications during the perioperative period.

Key Words

percutaneous endoscopic gastrostomy tube; transhepatic; anticoagulation; ultrasound; interventional sonography


Case Description

Percutaneous endoscopic gastrostomy (PEG) tube placement is favored for long-term enteral feeding due to its cost-effectiveness and bedside placement without general anesthesia.1 Although complications are uncommon, with only 3% requiring surgical intervention,2 transhepatic placement is a rare but documented complication,3,4 which can lead to acute hemorrhage and peritonitis secondary to transhepatic tube migration.5,6 Existing literature reports on 16 cases, with one-third necessitating laparotomy.3 Etiologies of operative intervention include massive hemorrhage, necrotizing fasciitis of the abdominal wall, and septic shock. To potentially minimize these risks, this report explores the use of ultrasound guidance as an adjunct to PEG tube placement.

A 63-year-old woman with a history of multiple vascular interventions requiring dual antiplatelet therapy presented with odynophagia and malnutrition. This was further complicated by a recently diagnosed stage 4a (T4aN2cMo, p16 negative) squamous cell carcinoma of the tongue. Previously, a direct laryngoscopy with biopsy of a protruding, left-sided tongue mass led to bleeding managed conservatively. Due to the patient’s medical history and high-risk tumor features, the tumor board opted for chemo-radiation therapy over surgery. During admission, general surgery was consulted to assess PEG tube placement. Interdisciplinary discussion with radiation oncology revealed a high risk of worsening dysphagia and an inability to maintain nutritional support during radiation therapy. Therefore, the team decided to proceed with PEG tube placement.

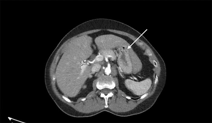
In light of a recent hospitalization for oropharyngeal bleeding, clopidogrel was held for 5-7 days pre-procedure to minimize periprocedural bleeding risks. Preoperative imaging from prior revascularization identified a complex abdominal anatomy: the liver extended beyond the midline and overlapped the stomach anteriorly, limiting the suitable area for gastrostomy tube placement (Figure 1). To mitigate the potential for liver injury during the procedure, the team opted for ultrasound guidance following a collaborative discussion with anesthesia.

Figure 1. Preoperative CT Angiography Demonstrating Aorto-iliofemoral Runoff: Extensive Hepatic Coverage of Stomach. Published with Permission

The arrow denotes a significant portion of the stomach covered by the liver
The arrow denotes a significant portion of the stomach covered by the liver

Given the friable nature of the oropharyngeal mass, nasotracheal intubation was performed for patient safety during the procedure. The stomach was fully insufflated during upper endoscopy, and a targeted insertion point was identified with transillumination and indentation. Ultrasound was utilized to assess the proposed insertion point and ensure no underlying solid organs were present between the abdominal wall and stomach. The PEG tube was subsequently placed using the established Ponsky technique. Finally, a concluding ultrasound scan verified proper gastrostomy tube placement, visualizing the bumper within the stomach and confirming the absence of any intervening structures (Figure 2). The patient recovered appropriately from the procedure.

Figure 2. Ultrasound Confirmation of Gastrostomy Tube Placement. Published with Permission

The arrow denotes the interface between the tip of the gastrostomy tube and the stomach mucosa
The arrow denotes the interface between the tip of the gastrostomy tube and the stomach mucosa

Discussion

Ultrasound has emerged as a valuable tool for safe and effective PEG tube placement. Studies have demonstrated its efficacy in high-risk patients, including those with advanced ovarian cancer and abdominal varices due to cirrhosis.7,8 Ultrasound can even be the primary imaging modality, eliminating the need for endoscopy or laparoscopy.9 In the case presented, ultrasound offered a safe approach for accurate tube placement due to the patient’s high-risk anatomy for transhepatic access. Furthermore, her anticoagulant therapy made ultrasound a preferable option due to the reduced risk of perioperative bleeding compared to transhepatic techniques.

Current techniques for minimizing organ damage during PEG tube placement rely on endoscopic insufflation of the stomach, transillumination, and finger indentation to establish a safe tract.4 While insufflation and transillumination effectively prevent transhepatic misplacement, limitations exist with finger indentation and needle aspiration.

Needle aspiration, while identifying passage through a hollow organ, fails to detect solid organs like the liver.4 Interestingly, reported cases of transhepatic PEG tube placement often describe adequate transillumination or a safe tract established by needle aspiration.3,5,6,9 This suggests potential shortcomings in the current technique and highlights the potential benefit of ultrasound in reducing such complications.

Despite its rarity, transhepatic PEG placement might be underreported due to challenges in identification. Reported cases were identified either incidentally on imaging or due to significant clinical sequelae such as hemorrhage.4,6 A case series reported that of 16 cases, one-third of transhepatic PEG placements were identified incidentally during imaging for unrelated reasons.3 Presenting symptoms can be misleading. Abdominal pain, a common indicator of complications, might be disregarded in recently post-surgical patients who would not undergo additional scans solely for pain management. Additionally, neurological impairments can mask pain entirely, with elevated liver enzymes being the only presenting sign in such cases.6 However, critically ill patients often exhibit abnormal lab values due to various underlying pathologies, further complicating the diagnosis of a transhepatic PEG tube.

Ultrasound guidance during PEG tube placement may offer a valuable tool for ensuring safe tract creation in high-risk populations, particularly morbidly obese patients. The substantial depth of abdominal fat in these individuals creates a significant challenge for needle placement.10 While the Bochicchio zone (B-zone) offers a potentially ideal location due to its lower fat density,11 its medial position can increase the risk of transhepatic puncture in patients with underlying hepatomegaly. Ultrasound with a curvilinear probe can effectively mitigate this risk by allowing for visualization of needle trajectory. Additionally, established techniques like increased abdominal wall transillumination and longer needles/guidewires can be combined with ultrasound to further enhance safety and success rates.12

For patients who recover from the clinical insult that necessitated a PEG tube and regain their baseline function, bedside PEG tube removal can be a viable option, provided sufficient time has elapsed for tract maturation. However, bedside tube removal poses a bleeding risk for transhepatic gastrostomy tubes in patients on anticoagulation and introduces laparoscopic removal into the care plan. In utilizing ultrasound as an adjunct for PEG tube placement, the provider can spare the anticoagulated patient not only post-procedural bleeding risks but also future requirements of surgery.

Conclusion

Traditionally, transhepatic PEG tube placement, a risk factor for liver injury, has occurred in some patients despite the use of standard techniques. This study suggests ultrasound-assisted PEG tube placement in high-risk patients could be a valuable preventative measure. By visualizing the target area and avoiding inadvertent puncture of the liver, ultrasound may eliminate the need for laparoscopy to ensure safe placement and potentially reduce the risk of liver injury.

Lessons Learned

This study highlights the value of ultrasound-assisted PEG tube placement for high-risk patients, like those on anticoagulation or with liver variations. Ultrasound guidance improves targeting and reduces accidental liver puncture, minimizing bleeding risks compared to traditional techniques.

Authors

Rasic Ga; Khatibifar Eb; Nofal Ma; Schumann Rd; DeBord Smith Ac; Sanchez Vc

Author Affiliations

  1. Department of Surgery, Boston University Medical Center, Boston, MA 02118
  2. Boston University School of Medicine, Boston, MA 02118
  3. Department of Anesthesiology, Veterans Affairs Boston Healthcare System, Tufts University School of Medicine, West Roxbury, MA 02132
  4. Department of Surgery, Veterans Affairs Boston Healthcare System, Boston University and Harvard Medical School, West Roxbury, MA 02132

Corresponding Author

Vivian Sanchez, MD
72 E. Concord Street
A212A
Boston, MA 02118
Email: vmsanche@bu.edu

Disclosure Statement

The authors have no conflicts of interest to disclose.

Funding/Support

The authors have no relevant financial relationships or in-kind support to disclose.

Received: September 16, 2021
Revision received: February 9, 2022
Accepted: March 30, 2022

References

  1. Rahnemai-Azar AA, Rahnemaiazar AA, Naghshizadian R, Kurtz A, Farkas DT. Percutaneous endoscopic gastrostomy: indications, technique, complications and management. World J Gastroenterol. 2014;20(24):7739-7751. doi:10.3748/wjg.v20.i24.7739
  2. Larson DE, Burton DD, Schroeder KW, DiMagno EP. Percutaneous endoscopic gastrostomy. Indications, success, complications, and mortality in 314 consecutive patients. Gastroenterology. 1987;93(1):48-52.
  3. Imam Z, Simons-Linares CR. Transhepatic Insertion of Percutaneous Endoscopic Gastrostomy Tube. Case Rep Gastrointest Med. 2020;2020:4516032. Published 2020 Feb 12. doi:10.1155/2020/4516032
  4. Chhaparia A, Hammami MB, Bassuner J, Hachem C. Trans-Hepatic Percutaneous Endoscopic Gastrostomy Tube Placement: A Case Report of A Rare Complication and Literature Review. Gastroenterology Res. 2018;11(2):145-149. doi:10.14740/gr966w
  5. Wiggins TF, Kaplan R, DeLegge MH. Acute hemorrhage following transhepatic PEG tube placement. Dig Dis Sci. 2007;52(1):167-169. doi:10.1007/s10620-006-9446-0
  6. Burke DT, Geller AI. Peritonitis secondary to the migration of a trans-hepatically-placed percutaneous endoscopic gastrostomy tube: a case report. Arch Phys Med Rehabil. 2009;90(2):354-357. doi:10.1016/j.apmr.2008.06.038
  7. Vargo JJ, Germain MM, Swenson JA, Harrison CR. Ultrasound-assisted percutaneous endoscopic gastrostomy in a patient with advanced ovarian carcinoma and recurrent intestinal obstruction. Am J Gastroenterol. 1993;88(11):1946-1948.
  8. Höroldt BS, Lee FK, Gleeson D, McAlindon ME, Sanders DS. Ultrasound guidance in the placement of a percutaneous endoscopic gastrostomy (PEG): an adjuvant technique in patients with abdominal wall varices?. Dig Liver Dis. 2005;37(9):709-712. doi:10.1016/j.dld.2005.01.022
  9. Church JT, Speck KE, Jarboe MD. Ultrasound-guided gastrostomy tube placement: A case series. J Pediatr Surg. 2017;52(7):1210-1214. doi:10.1016/j.jpedsurg.2017.03.061
  10. McGarr SE, Kirby DF. Percutaneous endoscopic gastrostomy (PEG) placement in the overweight and obese patient. JPEN J Parenter Enteral Nutr. 2007;31(3):212-216. doi:10.1177/0148607107031003212
  11. Bochicchio GV, Guzzo JL, Scalea TM. Percutaneous endoscopic gastrostomy in the supermorbidly obese patient. JSLS. 2006;10(4):409-413.
  12. Mogrovejo E, Nojkov B, Cannon M, Cappell M. Technical challenge: PEG tube placement in an obese patient. Am J Gastroenterol. 2013;108:S455.