Unsupported Browser
The American College of Surgeons website is not compatible with Internet Explorer 11, IE 11. For the best experience please update your browser.
Menu
Become a member and receive career-enhancing benefits

Our top priority is providing value to members. Your Member Services team is here to ensure you maximize your ACS member benefits, participate in College activities, and engage with your ACS colleagues. It's all here.

Become a Member
Become a member and receive career-enhancing benefits

Our top priority is providing value to members. Your Member Services team is here to ensure you maximize your ACS member benefits, participate in College activities, and engage with your ACS colleagues. It's all here.

Become a Member
ACS
ACS Case Reviews

Colonic Perforation Due to Port Site Hernia Following Robotic-Assisted Video-Assisted Thoracoscopic Surgery

October 20, 2023

Abstract

Background

An adult male presented ten days following robotic-assisted video-assisted thoracoscopic surgery (VATS) with a colonic perforation into the abdominal wall due to a port site hernia resulting in a complex abdominal wound requiring emergent surgical management.

Summary

Postoperative incisional hernias following VATS are extremely rare. When VATS postoperative incisional hernias do occur, they typically contain pulmonary parenchyma. Here we present a case of a patient who developed a Richter hernia of the splenic flexure of the colon leading to perforation into the abdominal wall and peritoneal space following a robotic-assisted VATS lingula-sparing left upper lobectomy (trisegmentectomy) due to low placement of a port that was subsequently extended for specimen removal causing inadvertent and unrecognized diaphragm injury and entry into the peritoneal cavity.

Conclusion

Incisional hernia with intraabdominal contents is an extremely rare complication of minimally invasive thoracic surgery. Nevertheless, patients undergoing minimally invasive surgery with a port located adjacent to the diaphragm or placed through the diaphragm are at risk of inadvertent injury to intraabdominal organs. The rarity of this complication and its location in a separate body cavity can delay diagnosis. Still, patients presenting with abdominal pain following a robotic-assisted VATS procedure should be worked up expeditiously, as delay in diagnosis can result in severe morbidity and mortality.

Key Words

acute care surgery; robotic-assisted VATS; port site hernia; incisional hernia


Case Description

Our patient is a 73-year-old male with a past medical history of jejunal cancer status post resection, obesity, prior tobacco use, and non-small cell lung cancer confirmed by biopsy. Based on the location of the lesion, the patient was planned for a robotic-assisted video-assisted thoracoscopic surgery (VATS) lingula-sparing left upper lobectomy (trisegmentectomy) to maximize his residual, functional pulmonary parenchyma. On the day of initial resection, five ports were placed with two robotic 8-mm ports and two robotic 12-mm ports in the eighth intercostal space with a 12-mm assistant port in the eleventh intercostal space. The specimen was removed via the assistant port by extending the incision. All ports were closed with 2-0 Vicryl for the deep muscular layer and 4-0 Monocryl for the skin layer. Upon review of the intraoperative records, no intraoperative complications were noted, and there was no mention of inadvertent diaphragm injury and entry into the peritoneal cavity at that time. Final pathology showed invasive squamous cell carcinoma of the lung.

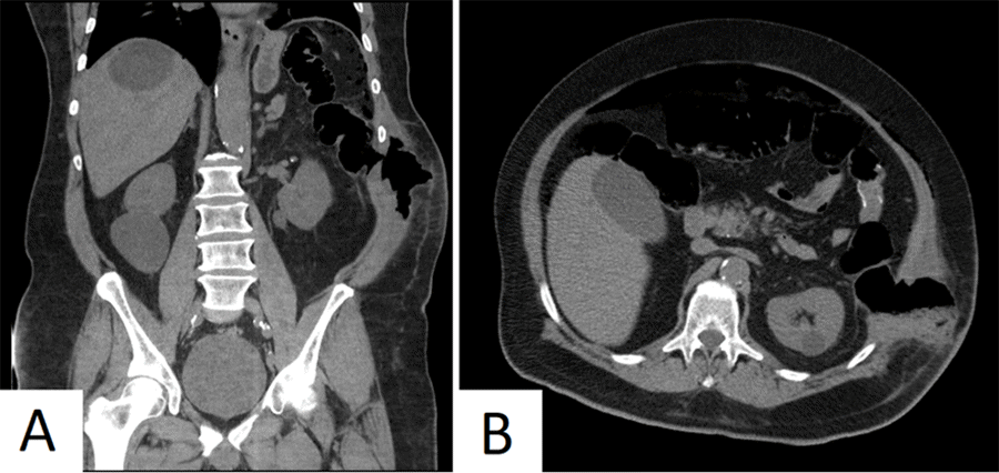
The patient's postoperative course was complicated by atelectasis and postoperative edema of the remaining lingular segments of the left upper lobe requiring diagnostic bronchoscopy on postoperative day (POD) 1 and steroid taper starting at 40 mg daily and dropping by 10 mg every 48 hours. He was discharged to rehab on POD 5 in stable condition while still on his steroid taper, with follow-up scheduled for POD 14. On POD 10, the patient was seen at an outside hospital with a chief complaint of abdominal pain, worsening erythema, and swelling of the left flank with purulent drainage that had been present for five days. He had bowel movements after discharge with no abdominal pain until two days before presentation. A computed tomography (CT) scan showed pneumoperitoneum, subcutaneous emphysema of the left flank, and herniation of the colon into the abdominal wall (Figure 1).

Figure 1. CT Scan of the Abdomen and Pelvis. Published with Permission

Note colonic perforation into abdominal wall and intraperitoneal contamination in A) coronal plane and B) axial plane
Note colonic perforation into abdominal wall and intraperitoneal contamination in A) coronal plane and B) axial plane

He was taken to the operating room emergently for an exploratory laparotomy and was found to have a colonic perforation. A portion of the splenic flexure of the colon had herniated through a previously unrecognized diaphragm injury likely created during specimen extraction at the eleventh intercostal space assistant port incision. Perforation caused contamination initially of the chest/abdominal wall that then extended into the peritoneal cavity. The patient underwent takedown of the splenic flexure, a partial colectomy, creation of end colostomy with mucous fistula, small bowel resection of an adjacent inflamed loop with primary anastomosis, and washout and debridement of the abdominal wall with internal closure of the peritoneum.

Next, the abdominal wall wound that had previously started draining was extended externally. The wound cavity undermined approximately 10 × 12 × 10 cm at the end of the operation and was packed with betadine-soaked gauze. The patient was transferred to the intensive care unit (ICU) postoperatively, and he was hemodynamically unstable, requiring vasopressors and intubated. The patient was weaned off vasopressors on POD 3 and extubated on POD 4. The patient's postoperative course was complicated by delirium in the ICU, brief parenteral nutrition requirement, midline surgical site infection requiring negative pressure wound therapy, and a left-sided pleural effusion. A 12Fr pigtail catheter was placed on POD 6 into the collection due to concern for empyema, given the left flank wound and prior communication with the chest cavity. An exudative fluid was removed with no evidence of empyema, and the chest tube was removed prior to discharge. The patient was discharged on POD 12, at which point he was tolerating a diet, his colostomy was functioning, and he was receiving dressing changes to the midline and left flank wounds.

Discussion

A postoperative incisional hernia is an uncommon complication following minimally invasive surgery in the abdomen occurring in 0.65% to 2.8% of cases.1 For VATS, however, postoperative incisional hernias are extremely rare, with no mention of any in several large case series.2-4 There have been no large studies involving the rates of postoperative incisional hernias involving robotic-assisted VATS. Here we present the case of a patient who developed a Richter hernia of the splenic flexure of the colon leading to perforation into the abdominal wall and peritoneal space following a robotic-assisted VATS lingula-sparing left upper lobectomy (trisegmentectomy) due to low placement of a port that was subsequently extended for specimen removal causing inadvertent and unrecognized diaphragm injury and entry into the peritoneal cavity.

When VATS postoperative incisional hernias occur, they typically contain pulmonary parenchyma.5-9 As such, a hernia containing intraabdominal contents can be difficult to identify, leading to a delay in diagnosis and increased morbidity and mortality due to prolonged contamination. In this case, partial herniation of the colonic wall also delayed the patient's presentation as he likely perforated into the soft tissue of the abdominal wall prior to developing abdominal pain and signs of intraperitoneal perforation. Finally, the involvement of multiple anatomical compartments (thorax and abdomen) as well as adjacent soft tissues complicated management, leading to a complex surgical wound.

Management of colon perforation with gross feculent peritoneal contamination typically involves partial colectomy with proximal diversion with a plan for restoration of intestinal continuity later. Source control becomes paramount in the operative management of these patients, and intraoperative monitoring of the hemodynamic status of the patient plays a crucial role in performing a complete resection with end colostomy versus a damage control operation. Feculent intraperitoneal contamination confers a high risk of developing septic shock and must be managed expediently.

Conclusion

Incisional hernia with intra-abdominal contents is an extremely rare complication of minimally invasive thoracic surgery. The rarity of this complication and its location in a separate body cavity can delay diagnosis. Here we present the case of a patient with a Richter hernia containing the splenic flexure of the colon with perforation into the abdominal wall with feculent intraperitoneal contamination due to low placement of an assistant port that was subsequently extended for specimen removal, causing inadvertent and unrecognized diaphragm injury and entry into the peritoneal cavity.

Lessons Learned

Patients undergoing minimally invasive surgery with ports located adjacent to the diaphragm are at risk of inadvertent injury to intraabdominal organs. In obese patients, port placement may necessitate a more superior intercostal space than routinely used to avoid inadvertent diaphragm injury. Patients presenting with abdominal pain following a robotic-assisted VATS procedure should be worked up expeditiously, as delay in diagnosis can result in severe morbidity and mortality.

Authors

Murray CRa; Acevedo Herman Ja; Alosi Jb

Author Affiliations

  1. Department of Surgery, UMass Medical School, Worcester, MA 01655
  2. Department of Surgery, Saint Vincent Hospital, Worcester, MA 01608

Corresponding Author

Clark R. Murray, MD
Department of Trauma and Burns
John H. Stroger Hospital
1969 W. Ogden Avenue
Chicago, IL 60612
Email: clark.murray@cookcountyhealth.org

Disclosure Statement

The authors have no conflicts of interest to disclose.

Funding/Support

The authors have no relevant financial relationships or in-kind support to disclose.

Received: December 9, 2020
Revision received: February 25, 2021
Accepted: April 19, 2021

References

  1. Tonouchi H, Ohmori Y, Kobayashi M, Kusunoki M. Trocar site hernia. Arch Surg. 2004;139(11):1248-1256. doi:10.1001/archsurg.139.11.1248
  2. Imperatori A, Rotolo N, Gatti M, et al. Peri-operative complications of video-assisted thoracoscopic surgery (VATS). Int J Surg. 2008;6 Suppl 1:S78-S81. doi:10.1016/j.ijsu.2008.12.014
  3. Flores RM, Ihekweazu U, Dycoco J, et al. Video-assisted thoracoscopic surgery (VATS) lobectomy: catastrophic intraoperative complications. J Thorac Cardiovasc Surg. 2011;142(6):1412-1417. doi:10.1016/j.jtcvs.2011.09.028
  4. Bédat B, Abdelnour-Berchtold E, Perneger T, et al. Comparison of postoperative complications between segmentectomy and lobectomy by video-assisted thoracic surgery: a multicenter study. J Cardiothorac Surg. 2019;14(1):189. Published 2019 Nov 7. doi:10.1186/s13019-019-1021-9
  5. David JS, Tassin C, Maury JM. Post-traumatic pulmonary hernia. Thorax. 2013;68(10):982. doi:10.1136/thoraxjnl-2012-203181
  6. Santini M, Fiorello A, Vicidomini G, Busiello L. Pulmonary hernia secondary to limited access for mitral valve surgery and repaired by video thoracoscopic surgery. Interact Cardiovasc Thorac Surg. 2009;8(1):111-113. doi:10.1510/icvts.2008.190744
  7. Cafarotti S, Matarrelli E, Guerra A, Dutly AE. Large intercostal pulmonary hernia secondary to limited-access aortic valve surgery: video-assisted thoracoscopic technique repair. Lung. 2014;192(2):333-334. doi:10.1007/s00408-013-9538-5
  8. Johnson C, Weksler B. Lung hernia after video-assisted thoracoscopic lobectomy. Innovations (Phila). 2010;5(4):300-302. doi:10.1097/IMI.0b013e3181f0076a
  9. Ema T, Funai K, Kawase A, Oiwa H, Iizuka S, Shiiya N. Incarceration hernia of the lung after video-assisted thoracic surgery requiring emergency operation: a case report. J Thorac Dis. 2018;10(7):E541-E543. doi:10.21037/jtd.2018.06.63