Unsupported Browser
The American College of Surgeons website is not compatible with Internet Explorer 11, IE 11. For the best experience please update your browser.
Menu
Become a member and receive career-enhancing benefits

Our top priority is providing value to members. Your Member Services team is here to ensure you maximize your ACS member benefits, participate in College activities, and engage with your ACS colleagues. It's all here.

Become a Member
Become a member and receive career-enhancing benefits

Our top priority is providing value to members. Your Member Services team is here to ensure you maximize your ACS member benefits, participate in College activities, and engage with your ACS colleagues. It's all here.

Become a Member
ACS
ACS Case Reviews

Metallic Clip Migration and Primary Common Duct Stone Formation After Subtotal Cholecystectomy

August 10, 2023

Abstract

Background

An 82-year-old male presented with choledocholithiasis ten years following laparoscopic conversion to open subtotal cholecystectomy.

Summary

A primary common duct stone formation with the nidus of a surgical clip, termed "cat's eye calculi," is reported ten years after subtotal cholecystectomy for severe cholecystitis. Stone and surgical clip retrieval was accomplished by percutaneous transhepatic technique because of a prior Roux-en-Y gastric bypass. A review of possible mechanisms of clip migration, percutaneous transhepatic cholangiogram technique, and treatment of stone/clips within the biliary system is discussed.

Conclusion

Postcholecystectomy clip migration is a rare cause of common duct stone formation. It should be considered in the differential diagnosis of post-cholecystectomy biliary obstruction.

Key Words

postcholecystectomy clip migration; percutaneous transhepatic cholangiogram; cat's eye calculi


Case Description

Migration of surgical clips into the biliary tree is rare but has been reported. They can be a focus for stone formation and often present with signs and symptoms of cholangitis. Previous reports have followed both open and laparoscopic cholecystectomy.1-6 This case illustrates the possibility of clip migration into the bile duct after subtotal cholecystectomy. The wayward stone/clip is most often removed by endoscopic retrograde cholangiopancreatography (ERCP). Very rarely, the stone/clip has been removed by percutaneous transhepatic technique.7,8

An 82-year-old male presented with diffuse abdominal pain via the emergency room, reportedly more severe in the right abdomen. He denied jaundice, fever, or chills but admitted to an episode of "sweating" when the pain was intense.

Past medical history was significant for Roux-en-Y gastric bypass for morbid obesity 15 years prior. Ten years ago, he underwent laparoscopic conversion to open subtotal cholecystectomy with reconstitution for severe acute cholecystitis. Three years ago, he was hospitalized for an episode of acute pancreatitis with bile duct dilation, which self-resolved. In addition to these noted events, he is treated for atherosclerotic heart disease, atrial fibrillation, hypertension, hyperlipidemia, and diabetes mellitus. Recently, he was started on treatment for irritable bowel symptoms.

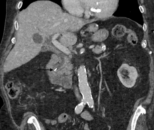
Vital signs were stable, with an obese and nontender abdomen on examination. Initial white blood count and liver function tests were normal. The computed tomography (CT) image suggested a surgical clip in the distal common bile duct (Figure 1). Magnetic retrograde cholangiopancreatography (MRCP) confirmed a surgical clip in the common bile duct surrounded by a lucent 1 cm area, suggestive of a stone. The following morning, his white count remained normal while his liver function tests became diffusely elevated (bilirubin 4.3, alkaline phosphatase 411 IU/L, aspartate aminotransferase (AST) 780 IU/L and alanine aminotransferase (ALT) 560 IU/L).

Figure 1. Coronal CT Image of Abdomen Shows Surgical Clip Migration to Distal Common Bile Duct. Published with Permission

Under fluoroscopic guidance, interventional radiology performed a percutaneous transhepatic cholangiogram (PTC). Antegrade cholangiogram showed intrahepatic and extrahepatic bile duct dilatation. A linear density embedded in a filling defect, compatible with metal clip/stone complex, was seen in the distal common bile duct. There was no antegrade flow of contrast into the duodenum consistent with biliary obstruction (Figure 2). A peripheral right biliary duct was accessed under fluoroscopic guidance. With the placement of an AccuStick coaxial introducer system (Boston Scientific, Marlborough, MA), a 4-French angled Glidecath was advanced over a Glidewire (Terumo Medical, Somerset, NJ), and the distal common bile ductal obstruction was successfully crossed into the duodenum. The introducer system and catheter were exchanged for a 10-French Ansel sheath (Cook Medical, Bloomington, IN) and advanced into the distal common bile duct. A 6-French EN Snare® Endovascular Snare System (Merit Medical, Jordan, UT) was then advanced and used to successfully capture and externalize the metal clip/stone complex. The sheath was exchanged for a 10-French internal/external biliary drainage catheter (Cook Medical, Bloomington, IN). The patient promptly improved, his liver test normalized, and he was discharged four days later. The drainage catheter was removed six weeks following this procedure. Interestingly, his irritable bowel symptoms had completely resolved by this time.

Figure 2. Antegrade Cholangiogram Shows Intrahepatic and Bile Ductal Dilatation with No Contrast Flowing into Duodenum. Published with Permission

Linear density embedded in filling defect compatible with metal clip/stone complex seen in distal common bile duct, commonly termed “cat’s eye calculi” (arrow).
Linear density embedded in filling defect compatible with metal clip/stone complex seen in distal common bile duct, commonly termed “cat’s eye calculi” (arrow).

Discussion

Retained common duct stones (secondary stones) commonly cause biliary tract pathology following cholecystectomy.9 Less commonly, primary common duct stones form within the bile ducts. Stasis related to strictures, tumors, anatomical variants such as choledochocysts, secondary stones, and foreign bodies related to direct migration or enteric ingestion is a few of the etiologies causing primary bile duct stones to form.10-14 Postcholecystectomy clip migration (PCCM) has also been postulated as a nidus for primary common duct stone formation and was first reported in 1979 after an open cholecystectomy.2 The etiology of PCCM has been speculated but not proven. In a 2010 review of 69 cases, Chong and associates suggested that encroachment of the clip on the bile duct wall led to eventual direct erosion into the duct. He suggested another possible etiology: dehiscence of the cystic duct closure with biloma formation preceding migration. Additionally, he felt that using multiple clips was associated with clip migration.2 Our patient underwent a laparoscopic, convert to open subtotal reconstituted cholecystectomy for intense inflammation. Metal clips were used on the retained gallbladder mucosa to control bleeding, and the remnant of the gall bladder was then closed with an absorbable suture. This may suggest an additional hypothesis for surgical clip migration via intraluminal movement through the patent cystic duct within the gallbladder remnant.

Typically, PCCM becomes symptomatic two or more years after the index procedure.4 While most cases have been described after using metallic clips, plastic and absorbable clips have also been implicated occasionally.15-23 The stone/metal clip complex has a distinctive appearance of a linear density embedded in a filling defect in imagining studies. In 1993, the term "cat's eye calculi" was coined by Dr. William Wu for its radiographic appearance (Figure 2).24 ERCP and surgery are the most common methods to remove common duct clips and associated stones. In our case, the PTC technique was successfully utilized because of distorted anatomy from his previous gastric bypass. Chong and associates found only one of three total PTC extraction attempts successful.2

Conclusion

While PCCM is a rare cause of common duct stone formation and/or biliary obstruction, it should be considered in the differential diagnosis, particularly if there was a historically complicated cholecystectomy. In imaging studies, the distinctive cat's eye calculi appearance of the stone/clip complex can aid in revealing the diagnosis.24 Retrieval of the stone/clip complex is most often accomplished by ERCP. In cases such as our patient with aberrant anatomy, percutaneous transhepatic cholangiogram, and surgery can be useful adjuncts when ERCP cannot be accomplished.

Lessons Learned

In an effort to reduce clip migration, it has been recommended to limit the number of clips on the cystic duct and keep the clips well away from the common bile duct.2 Additionally, if subtotal cholecystectomy is chosen, avoiding placement of clips within the reconstituted gall bladder remnant or performing a fenestrated cholecystectomy Is prudent. However, it should be noted that more studies focused on PCCM in the subtotal cholecystectomy population are necessary to draw this conclusion definitively.

Authors

Beadle MA; Erickson MD; Jaffan AA; Kappes SK

Author Affiliations

Department of Surgery and Department of Interventional Radiology, Advocate Aurora Healthcare, Grafton, WI 53024

Corresponding Author

Molly A. Beadle, PAC
AMITA Health Medical Group Heart & Vascular Evanston
800 Austin Street
West Tower, Ste. 207
Evanston, IL 60202
Email: molly.beadle@aah.org

Disclosure Statement

The authors have no conflicts of interest to disclose.

Funding/Support

The authors have no relevant financial relationships or in-kind support to disclose.

Received: July 20, 2020
Revision received: October 28, 2020
Accepted: November 24, 2020

References

  1. AlSamman MA, Mostafa A, Ferreira JD. Iatrogenic Gallstone Pancreatitis Complicated by Cholangitis: Post-Cholecystectomy Clip as a Nidus for Common Bile Duct Stone Formation. Gastroenterology Res. 2019;12(2):100-102. doi:10.14740/gr1147
  2. Chong VH, Chong CF. Biliary complications secondary to post-cholecystectomy clip migration: a review of 69 cases. J Gastrointest Surg. 2010;14(4):688-696. doi:10.1007/s11605-009-1131-0
  3. Pang L, Yuan J, Zhang Y, Wang Y, Kong J. Clip-stone and T clip-sinus: A clinical analysis of six cases on migration of clips and literature review from 1997 to 2017. J Minim Access Surg. 2019;15(3):192-197. doi:10.4103/jmas.JMAS_53_18
  4. Rawal KK. Migration of Surgical Clips into the Common Bile Duct after Laparoscopic Cholecystectomy. Case Rep Gastroenterol. 2017;10(3):787-792. Published 2017 Jan 5. doi:10.1159/000453658
  5. Sanders D, Murray T, Byrne MF. Cholecystectomy Clip Migration and Retrieval. ACG Case Rep J. 2019;6(9):e00216. Published 2019 Sep 10. doi:10.14309/crj.0000000000000216
  6. Walker WE, Avant GR, Reynolds VH. Cholangitis with a silver lining. Arch Surg. 1979;114(2):214-215. doi:10.1001/archsurg.1979.01370260104019
  7. Copelan A, Kapoor BS. Choledocholithiasis: Diagnosis and Management. Tech Vasc Interv Radiol. 2015;18(4):244-255. doi:10.1053/j.tvir.2015.07.008
  8. Desai A, Lamus D, Kalva S. Retrieval of a Migrated Cholecystectomy Clip. J Vasc Interv Radiol. 2019;30(10):1612. doi:10.1016/j.jvir.2018.09.028
  9. Kappes SK, Adams MB, Wilson SD. Intraoperative biliary endoscopy. Arch Surg. 1982;117(5):603-607. doi:10.1001/archsurg.1982.01380290061011
  10. Thistle JL. Pathophysiology of bile duct stones. World J Surg. 1998;22(11):1114-1118. doi:10.1007/s002689900529
  11. Homans J. VIII. Gall-Stones formed around Silk Sutures Twenty Months after Recovery from Cholecystotomy. Ann Surg. 1897;26(1):114-116.
  12. Yu M, Huang B, Lin Y, et al. Acute obstructive cholangitis due to fishbone in the common bile duct: a case report and review of the literature. BMC Gastroenterol. 2019;19(1):177. Published 2019 Nov 7. doi:10.1186/s12876-019-1088-8
  13. Hussain SM, Zulqurnain S, Saleem O. Delayed obstructive jaundice secondary to bullet in common hepatic duct. J Coll Physicians Surg Pak. 2007;17(4):232-233.
  14. Ban JL, Hirose FM, Benfield JR. Foreign bodies of the biliary tract: report of two patients and a review of the literature. Ann Surg. 1972;176(1):102-107. doi:10.1097/00000658-197207000-00018
  15. Qu JW, Wang GY, Yuan ZQ, Li KW. Hem-o-lok Clips Migration: An Easily Neglected Complication after Laparoscopic Biliary Surgery. Case Rep Surg. 2017;2017:7279129. doi:10.1155/2017/7279129
  16. Roh YJ, Kim JW, Jeon TJ, Park JY. Common bile duct stone development due to a Hem-o-lok clip migration: a rare complication of laparoscopic cholecystectomy. BMJ Case Rep. 2019;12(7):e230178. Published 2019 Jul 27. doi:10.1136/bcr-2019-230178
  17. Sharma M, Singh B, Varghese R. Surgical clips in the common bile duct suspected on endoscopic ultrasound and confirmed on endoscopic retrograde cholangiopancreatography. Endosc Ultrasound. 2013;2(3):157-158. doi:10.7178/eus.06.008
  18. Zheng Y, Wang Y, Bai X, Liu D, Li F. Letter to the editor on "The cystic duct and artery were clipped using a clip applier". Nonmetal clip migration after laparoscopic cholecystectomy. Asian J Surg. 2018;41(6):585-587. doi:10.1016/j.asjsur.2018.09.001
  19. Erwin PA, Beffa LR, Jones WB, Hale AL, Scott JD. Metallic Surgical Clip Causing Cholangitis after Cholecystectomy. Am Surg. 2017;83(9):e403-e405.
  20. Peters X, Gannavarapu B, Gangemi A. A case report of choledocholithiasis 33 years after cholecystectomy. Int J Surg Case Rep. 2017;41:80-82. doi:10.1016/j.ijscr.2017.09.029
  21. Schreuder AM, van Gulik TM, Rauws EAJ. Intrabiliary Migrated Clips and Coils as a Nidus for Biliary Stone Formation: A Rare Complication following Laparoscopic Cholecystectomy. Case Rep Gastroenterol. 2018;12(3):686-691. Published 2018 Nov 28. doi:10.1159/000493253
  22. Hai S, Tanaka H, Kubo S, et al. Choledocholithiasis caused by migration of a surgical clip into the biliary tract following laparoscopic cholecystectomy. Surg Endosc. 2003;17(12):2028-2031. doi:10.1007/s00464-003-4517-1
  23. Rastegari S, Brewer C, Hoang L. Endoscopic Management of a Surgical Clip Found Within the Common Bile Duct Following Remotely Performed Laparoscopic Cholecystectomy. Poster presented at: ACG Annual Scientific Meeting; October 25-30, 2019; San Antonio, TX
  24. Wu WC, Katon RM, McAfee JH. Endoscopic management of common bile duct stones resulting from metallic surgical clips (cat's eye calculi). Gastrointest Endosc. 1993;39(5):712-715. doi:10.1016/s0016-5107(93)70231-x