Unsupported Browser
The American College of Surgeons website is not compatible with Internet Explorer 11, IE 11. For the best experience please update your browser.
Menu
Become a member and receive career-enhancing benefits

Our top priority is providing value to members. Your Member Services team is here to ensure you maximize your ACS member benefits, participate in College activities, and engage with your ACS colleagues. It's all here.

Become a Member
Become a member and receive career-enhancing benefits

Our top priority is providing value to members. Your Member Services team is here to ensure you maximize your ACS member benefits, participate in College activities, and engage with your ACS colleagues. It's all here.

Become a Member
ACS
Case Reviews in Surgery

Primary Adrenal Plasmablastic Lymphoma in a Patient with Well-Controlled HIV

Primary Adrenal Plasmablastic Lymphoma in a Patient with Well-Controlled HIV

March 1, 2021

Abstract

Background

In this report, we describe a case of plasmablastic lymphoma (PBL) manifesting as an adrenal mass in a 51-year-old HIV-positive male who presented with diaphoresis and palpitations.

Summary

Our patient is a 51-year-old male who was worked up for an incidental 4 cm left adrenal mass was found on CT. Although the patient’s functional workup for a hormone producing adrenal tumor was negative, he met the criteria for resection based on mass size and concerning radiological characteristics. He underwent an uneventful laparoscopic left adrenalectomy. Final pathology found the tumor to be plasmablastic lymphoma, a rare subtype of diffuse large B-cell lymphoma most commonly seen in HIV-positive patients, although its occurrence has been increasingly reported in immunocompetent patients. PBL poses significant diagnostic challenges amid its aggressive course and poor prognosis.

Conclusion

To our knowledge, this is the second report of adrenal PBL to date and the first in a patient with well-controlled HIV on continuous antiretroviral therapy.

Key Words

Plasmablastic lymphoma, diffuse large B-cell lymphoma, HIV, adrenal mass


Case Description

Plasmablastic lymphoma (PBL) is a rare and highly aggressive CD20-negative diffuse large B-cell lymphoma commonly seen in HIV-positive patients and comprises approximately two percent of HIV-related lymphomas.1 In recent years, the occurrence of PBL has been increasingly reported in immunocompetent individuals, as well as in extra-oral sites.2

The patient is a 51-year-old HIV-positive man with a social anxiety disorder who was referred to endocrine surgery in March 2017 for work-up of a left adrenal mass. While the patient denied hypertension and headaches, he complained of palpitations and sweating that he believed was attributable to his anxiety disorder, which had been diagnosed seven years prior and managed without medications. He also endorsed 15 pounds of intentional weight loss over the last 1—2 years. The patient denied history of muscle cramps, muscle weakness, abdominal pain, or a history of hypertension or diabetes. He did not have a family history of thyroid, parathyroid, adrenal, or gastrointestinal cancers.

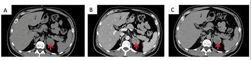
The patient was first diagnosed with an adrenal 4 cm left adrenal mass after a CT scan with contrast was performed following a car accident six months prior to his presentation. A repeat CT with and without contrast confirmed a smoothly marginated but loculated left adrenal gland measuring 40 HU on non-contrast CT (Figure 1A) and an absolute washout of <50 percent (Figure 1B-C).

Figure 1. Computed tomography of abdomen confirming a 4 x 4 cm left adrenal mass on axial view. A: Precontrast view, 40 HU; B: Postconstrast view, 83 HU; C: Washout seen with 15 minute delayed view with contrast, 52 HU
Figure 1. Computed tomography of abdomen confirming a 4 x 4 cm left adrenal mass on axial view. A: Precontrast view, 40 HU; B: Postconstrast view, 83 HU; C: Washout seen with 15 minute delayed view with contrast, 52 HU

Figure 1. Computed tomography of abdomen confirming a 4 x 4 cm left adrenal mass on axial view. A: Precontrast view, 40 HU; B: Postconstrast view, 83 HU; C: Washout seen with 15 minute delayed view with contrast, 52 HU

The patient was subsequently recommended for a laparoscopic adrenalectomy given the size of mass (>4cm) and concerning radiologic characteristics (>10 HU). While a possible differential for a functional adrenal mass initially included pheochromocytoma, aldosteronoma, and cortisol-secreting adenoma, adrenal screening laboratory values (random serum cortisol, 1 mg overnight dexamethasone suppression test, dehydroepiandrosterone, aldosterone, renin, plasma metanephrines and urine metanephrines) were unremarkable.3 Preoperative biopsy was not conducted because there was no concern to suspect metastasis in the absence of an extra-adrenal malignancy, and we had a low suspicion for an adrenal primary lymphoma or sarcoma. Given that adrenal cortical carcinoma could not be fully ruled out prior to surgery, a pre-operative biopsy could also increase risk of abdominal seeding of the disease.

The patient’s medical history is significant for HIV, as well as AIDS at the time of diagnosis in 1998 (CD4 = 150) when the patient presented with candidiasis and a high viral load. The patient currently has asymptomatic HIV with a CD4 count of 715 (September 2016), an undetectable viral load, and excellent adherence to daily antiretroviral therapy (ART, Efavirenz, Emtricitabine, Tenofovir, 600-200-300 mg). His medical history is also significant for human papilloma virus and treated Hepatitis A and B.

During surgery, the patient was placed supine on operating table, and access to his abdominal cavity was achieved through a 5mm direct viewing port in the left rectus abdominis muscle. Once his abdomen was insufflated to 15 mm Hg, one 12mm port and two additional 5 cm ports were placed around the left costal margin. The splenic flexure was mobilized and the splenorenal ligament was incised up to the crus of the left diaphragm. Following medial reflection of the spleen and pancreatic tail, the adrenal gland was identified and dissected. Next the left adrenal vein was identified entering the left renal vein and it was ligated using a LigaSure (Covidien) device. The adrenal gland was readily freed from all attachments with the LigaSure device and placed in an endoscopic retrieval bag and delivered through the abdominal wall by extending the 12mm port site. The specimen was a soft to firm, yellow-tan lobulated fatty specimen measuring 8.2 x 5 x 3.5 cm and weighing 49.5 g (Figure 2A). The mass did not involve nearby extra-adrenal structures. Intraoperative systolic blood pressure ranged between 90 and 140. Total operative time was approximately three hours. Estimated blood loss was minimal. The patient’s postoperative course was uneventful. He remained overnight for observation and he was discharged the following day in hemodynamically stable condition.

Pathology of the adrenal mass returned with the finding of diffuse and discohesive proliferation of large and highly polymorphic cells with plasmacytic differentiation. Serial sectioning of the surgical specimen revealed a 3.0 x 2.5 x 1.5 cm hemorrhagic area surrounded by a 5.3 x 1.0 x 1.0 cm thin rim of distinguishable yellow-tan adrenal gland (Figure 2B).

Figure 2: Gross macroscopic appearance of resected adrenal gland. A: Gross macroscopic appearance of resected left adrenal mass specimen showing a soft to firm, yellow-tan lobulated fatty specimen measuring 8.2 x 5 x 3.5 cm and weighing 49.5 grams; B: Appearance upon serial sectioning of 3.0 x 2.5 x 1.5 cm hemorrhagic area surrounded by a 5.3 x 1.0 x 1.0 cm thin rim of distinguishable yellow-tan adrenal gland.
Figure 2: Gross macroscopic appearance of resected adrenal gland. A: Gross macroscopic appearance of resected left adrenal mass specimen showing a soft to firm, yellow-tan lobulated fatty specimen measuring 8.2 x 5 x 3.5 cm and weighing 49.5 grams; B: Appearance upon serial sectioning of 3.0 x 2.5 x 1.5 cm hemorrhagic area surrounded by a 5.3 x 1.0 x 1.0 cm thin rim of distinguishable yellow-tan adrenal gland.

Figure 2: Gross macroscopic appearance of resected adrenal gland. A: Gross macroscopic appearance of resected left adrenal mass specimen showing a soft to firm, yellow-tan lobulated fatty specimen measuring 8.2 x 5 x 3.5 cm and weighing 49.5 grams; B: Appearance upon serial sectioning of 3.0 x 2.5 x 1.5 cm hemorrhagic area surrounded by a 5.3 x 1.0 x 1.0 cm thin rim of distinguishable yellow-tan adrenal gland.

On histological analysis, frequent mitotic figures were seen with neoplastic cells positive for EBV, CD138, and MUM-1but negative for CD20, inhibin, HHV8, and synaptophysin Figure 3A–F. Ki-67 was 90+ percent in the tumor cells Figure 3G. Immunohistochemistry showed Kappa light chain restriction (Figure 3H–I. Subsequent F-18 FDG PET/CT of skull base to mid thigh conducted two weeks after surgery showed no evidence of hypermetabolic lymphadenopathy and no evidence of residual FDG-avid mass in the surgical bed. A second PET/CT conducted three months after surgery showed no residual FDG-avid tissue in the tumor bed. Given negative PET/CT, stage IAE lymphoma without nodal disease, and gross resection of involved organ, the patient was found to have no evidence of disease radiographically; negative FDG PET/CT in HIV-positive patients with non-Hodgkin’s lymphomas has been associated with more favorable outcomes.4 The patient began chemotherapy with R-EPOCH (Rituxan-Etoposide, Predinisone, Oncovin/Vincristine, Cytoxan, and Hydroxydoxorubicin) three months after surgery. He is planned for six cycles of treatment.

Figure 3. Immunohistochemistry showing plasmablastic lymphoma of the adrenal gland. A: Sheets of pleomorphic and discohesive cells with hyperchromatic nuclei and prominent nucleoli [hematoxylin and eosin (H&E) staining, mag x 400]; B: Dysplastic cells were negative for B-cell marker CD20 [mag x 200]; C: Dysplastic cells were negative for synaptophysin, a neuroendocrine tumor marker [mag x 200]; D: Dysplastic cells were positive for the plasma cell marker CD138 [mag x 200]; E: Dysplastic cells were positive for the plasma cell marker MUM-1 [mag x 200]; F: Nuclei of the dysplastic cells were positive for Epstein Barr virus encoded RNA [mag x 200]; G: Dysplastic cells were positive for Ki-67 [mag x 200]; H: Positive markers show plasma cells expressing Lambda light chains [mag x 200]; I: Positive markers show Kappa light chain restriction, [mag x 200].
Figure 3. Immunohistochemistry showing plasmablastic lymphoma of the adrenal gland. A: Sheets of pleomorphic and discohesive cells with hyperchromatic nuclei and prominent nucleoli [hematoxylin and eosin (H&E) staining, mag x 400]; B: Dysplastic cells were negative for B-cell marker CD20 [mag x 200]; C: Dysplastic cells were negative for synaptophysin, a neuroendocrine tumor marker [mag x 200]; D: Dysplastic cells were positive for the plasma cell marker CD138 [mag x 200]; E: Dysplastic cells were positive for the plasma cell marker MUM-1 [mag x 200]; F: Nuclei of the dysplastic cells were positive for Epstein Barr virus encoded RNA [mag x 200]; G: Dysplastic cells were positive for Ki-67 [mag x 200]; H: Positive markers show plasma cells expressing Lambda light chains [mag x 200]; I: Positive markers show Kappa light chain restriction, [mag x 200].

Figure 3. Immunohistochemistry showing plasmablastic lymphoma of the adrenal gland. A: Sheets of pleomorphic and discohesive cells with hyperchromatic nuclei and prominent nucleoli [hematoxylin and eosin (H&E) staining, mag x 400]; B: Dysplastic cells were negative for B-cell marker CD20 [mag x 200]; C: Dysplastic cells were negative for synaptophysin, a neuroendocrine tumor marker [mag x 200]; D: Dysplastic cells were positive for the plasma cell marker CD138 [mag x 200]; E: Dysplastic cells were positive for the plasma cell marker MUM-1 [mag x 200]; F: Nuclei of the dysplastic cells were positive for Epstein Barr virus encoded RNA [mag x 200]; G: Dysplastic cells were positive for Ki-67 [mag x 200]; H: Positive markers show plasma cells expressing Lambda light chains [mag x 200]; I: Positive markers show Kappa light chain restriction, [mag x 200].

Discussion

Given that it has overlapping histological features of both myeloma and lymphoma, PBL poses significant diagnostic challenges amid its aggressive course and poor prognosis, with an estimated median overall survival ranging from 3 to 15 months among HIV-positive patients.5,6 Even among HIV-positive PBL patients receiving ART, such as the subject of our case study, the median overall survival of such patients has been found in retrospective case series to be under 12 months.7 Other post-ART era case series, however, have been more optimistic, with a recent retrospective analysis of 12 HIV-positive PBL patients on ART showing a one-year survival rate of 67 percent.8

While the pathogenesis of PBL remains unclear, both Myc gene rearrangements and an association with EBV infection have been posited to play an important role in allowing plasmablasts to escape apoptosis during maturation.6,9 Although expression of Ki-67 and EBV-related antigens in PBL, as seen in the case of our patient, have not yet been shown to hold prognostic value, the International Prognostic Index scoring (IPI) system for lymphomas (which includes age, performance status, LDH levels, number of extranodal sites, and clinical stage) has been found to prognosticate survival in PBL cases.6 No standard of care currently exists for PBL, with standard CHOP (cyclophosphamide, doxorubicin, vincristine, prednisone) chemotherapy regimens generally seen as inadequate therapy. While there is no evidence of improved survival with more intensive chemotherapeutic regimens,7 new therapeutic approaches under investigation include EPOCH and stem cell transplantation, as well as EBV- and Myc-directed medical therapies.6 New studies have also highlighted the capacity for DNA sequencing and the detection of circulating tumor DNA in patients’ blood to determine tumor cell origin and quantify micrometastatic burden in diffuse large B-cell lymphomas.10

Given its rarity and dismal prognosis, current knowledge of PBL remains grounded in case reports and case series with no prospective studies conducted to date. However, in a 2015 systematic review of 177 peer-reviewed case series and reports on PBL, of 590 patients, 63 percent were HIV-positive and 70 percent expressed EBV-encoded RNA.6Of the said HIV-positive patients, 95 percent presented extranodally with 48 percent involving the oral cavity and 40 percent with bone marrow involvement and B symptoms. There is only one other case report of adrenal PBL in the literature, found in a 55-year-old male AIDS patient on ART, who presented with fever and abdominal pain with a CD4 count of 72 at the time of diagnosis.11To the best of our knowledge, this is the first case of adrenal PBL reported in a patient with well-controlled HIV on continuous ART. Resection of the patient’s incidental PBL provided an opportunity to diagnose the tumor at an early stage prior to any extra-adrenal involvement. In light of the limited literature base on PBL, it is essential to continue raising awareness of PBL and its diverse presentations in order to facilitate its accurate diagnosis.

Conclusion

Our case highlights a rare presentation of plasmablastic lymphoma in the adrenal gland of an HIV-positive patient with a normal CD4 count and an undetectable viral load.

Lessons Learned

Plasmablastic lymphoma is most common in HIV-positive patients and has a poor prognosis, even in post-HAART era patients adherent to antiretroviral medications. By demonstrating a case of PBL presenting as an incidental adrenal mass, our case further illustrates that PBL is highly heterogeneous in its presentations, leading its B symptoms to unexpectedly masquerade under the guise of pheochromocytoma and anxiety symptoms. Preoperative biopsy of adrenal mass, in the setting of no extra-adrenal malignancy, is not advisable as adrenal cortical carcinoma cannot be ruled out.

Authors

Xu KYa, Teng Ab, Mahabir Rc, Sharabi Ac, Fan Ac, Brody JDd, Inabnet WB 3rdb, Adimoolam De, Taye Ab

Correspondence Author

Aida Taye-Bellistri, MD
Department of Surgery, Mount Sinai St. Luke's Roosevelt
Icahn School of Medicine at Mount Sinai
1000 10th Avenue, Suite 2B10
New York, NY 10019
212-523-6051
aida.taye@mountsinai.org

Author Affiliations

  1. Department of Medical Education, Icahn School of Medicine at Mount Sinai, New York, NY
  2. Department of Surgery, Icahn School of Medicine at Mount Sinai, Mount Sinai Health System, New York, NY
  3. Department of Diagnostic Pathology and Laboratory Medicine, Mount Sinai Health System, New York, NY
  4. Division of Hematology-Oncology, Icahn School of Medicine at Mount Sinai, Mount Sinai Health System, New York, NY
  5. Division of Endocrinology, Diabetes, and Bone Disease, Icahn School of Medicine at Mount Sinai, Mount Sinai Health System, New York, NY

Author Contributions

KYX, AT, and ATB conceived and developed the arguments for the manuscript. KYX wrote the first draft. KYX, AT, ATB, RM, JB, WI, and DA participated in critical revisions of the manuscript for intellectual content. RM, AS, and WF analyzed and provided immunohistochemical content. All authors read and approved the final draft.

Disclosures/Competing Interests

We declare no competing interests.

References

  1. Carbone A. AIDS-related non-Hodgkin's lymphomas: from pathology and molecular pathogenesis to treatment. Hum Pathol.Apr 2002;33(4):392-404.
  2. Sarker AK, Im HJ, Paeng JC, et al. Plasmablastic lymphoma exclusively involving bones mimicking osteosarcoma in an immunocompetent patient: A case report. Medicine. Jul 2016;95(28):e4241.
  3. Zeiger MA, Thompson GB, Duh QY, et al. The American Association of Clinical Endocrinologists and American Association of Endocrine Surgeons medical guidelines for the management of adrenal incidentalomas. Endocr Pract. Jul-Aug 2009;15 Suppl 1:1-20.
  4. Davison JM, Subramaniam RM, Surasi DS, Cooley T, Mercier G, Peller PJ. FDG PET/CT in patients with HIV.Am J Roentgenol. Aug 2011;197(2):284-294.
  5. Castillo J, Pantanowitz L, Dezube BJ. HIV-associated plasmablastic lymphoma: lessons learned from 112 published cases. Am J Hematol. Oct 2008;83(10):804-809.
  6. Castillo JJ, Bibas M, Miranda RN. The biology and treatment of plasmablastic lymphoma. Blood. Apr 09 2015;125(15):2323-2330.
  7. Castillo JJ, Furman M, Beltran BE, et al. Human immunodeficiency virus-associated plasmablastic lymphoma: poor prognosis in the era of highly active antiretroviral therapy. Cancer. Nov 01 2012;118(21):5270-5277.
  8. Noy A, Lensing SY, Moore PC, et al. Plasmablastic lymphoma is treatable in the HAART era. A 10 year retrospective by the AIDS Malignancy Consortium. Leuk Lymphoma. Jul 2016;57(7):1731-1734.
  9. Klapproth K, Wirth T. Advances in the understanding of MYC-induced lymphomagenesis. Br J Haematol. May 2010;149(4):484-497.
  10. Scherer F, Kurtz DM, Newman AM, et al. Distinct biological subtypes and patterns of genome evolution in lymphoma revealed by circulating tumor DNA. Sci Transl Med. Nov 09 2016;8(364):364ra155.
  11. Bishnu S, Banerjee S, Bandyopadhyay D, Samui S, Bhattacharya S, Bose D. Plasmablastic lymphoma in HIV patients: Experience at a tertiary care hospital in eastern India. Indian J Cancer. Oct-Dec 2015;52(4):563-567.