Unsupported Browser
The American College of Surgeons website is not compatible with Internet Explorer 11, IE 11. For the best experience please update your browser.
Menu
Become a member and receive career-enhancing benefits

Our top priority is providing value to members. Your Member Services team is here to ensure you maximize your ACS member benefits, participate in College activities, and engage with your ACS colleagues. It's all here.

Become a Member
Become a member and receive career-enhancing benefits

Our top priority is providing value to members. Your Member Services team is here to ensure you maximize your ACS member benefits, participate in College activities, and engage with your ACS colleagues. It's all here.

Become a Member
ACS
ACS Case Reviews

Urinothorax following Blunt Abdominal Trauma

October 10, 2024

Abstract

Background

A 31-year-old man developed a urinothorax following blunt trauma to the abdomen sustained during a snowboarding accident.

Summary

This case report describes a trauma patient transferred from another hospital following blunt abdominal trauma sustained during a snowboarding accident. Initial CT imaging at the referral hospital revealed a grade IV laceration to both the liver and right kidney. The right kidney injury also involved the collecting system with extravasation of urine and a surrounding perinephric hematoma. Despite hemodynamic stability, the patient's initial management included close observation with continuous bladder irrigation, serial abdominal exams, and monitoring of hemoglobin levels.

However, the patient's condition necessitated the embolization of multiple third-order branches of the right renal artery. During the hospital course, he developed significant shortness of breath and a large pleural effusion on the right side. Subsequent imaging confirmed substantial extravasation of urine within the perinephric space. Further investigation revealed pleural fluid with characteristics consistent with urine, supported by a pleural fluid-to-creatinine ratio exceeding 1. Drainage via a pigtail catheter showed a significant output exceeding 1.3 liters over 4 hours, raising concerns about decompression of the perinephric urine leak into the pleural cavity, resulting in a urinothorax.

To address this complication, a cystoscopy with retrograde pyelogram and placement of a ureteral stent was performed. This intervention led to a prompt resolution of the urinothorax.

Conclusion

This case underscores the importance of maintaining a heightened suspicion for injury to the renal collecting system in such trauma scenarios. Prompt diagnosis and treatment are crucial to ensure adequate decompression and drainage of the collecting system, preventing potential complications.

Key Words

urinothorax; blunt abdominal trauma


Case Description

Urinothorax, a rare yet well-documented complication of various genitourinary (GU) pathologies, primarily arises in cases of obstructive uropathy. While less frequent, it has also been documented following surgical ureteral manipulation and blunt abdominal trauma.1‒3 Corriere et al. first described urinothorax in 1968, associated with ureteral obstruction in dogs. Since then, reported cases have predominantly been through case reports and small case series.2 Diagnosis relies on a high index of clinical suspicion, often bolstered by characteristic biochemical analysis of pleural fluid. Management necessitates a multidisciplinary approach, prioritizing treatment of the underlying GU etiology.1‒3 This case report details a unique instance of urinothorax resulting from blunt abdominal trauma sustained during a snowboarding accident.

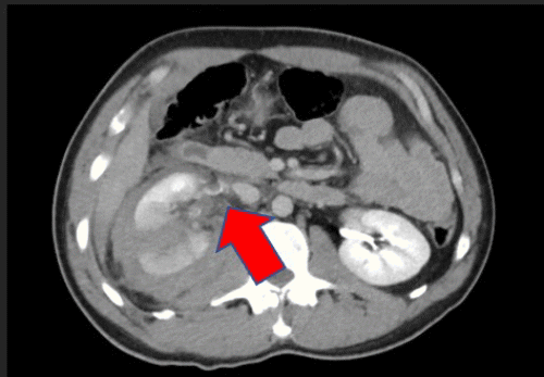
A 31-year-old male trauma transfer from another hospital sustained blunt abdominal trauma following a snowboarding accident. The referring hospital's CT scan revealed a liver laceration (grade IV), extensive right kidney injury (grade IV) with a perinephric hematoma, possible damage to the right renal collecting system with extravasation of urine, and a fractured 10th right rib (Figure 1).

Upon arrival, the primary survey showed normal vital signs and a Glasgow Coma Scale (GCS) of 15. A secondary survey revealed tenderness in the right hemiabdomen and flank, but the abdomen was soft without signs of generalized peritonitis. A Focused Assessment of Sonography for Trauma (FAST) performed in the trauma bay detected fluid in the right upper quadrant and a significant amount of blood clots in the bladder (Figure 2). Initial lab tests showed a hemoglobin level of 13.4 g/dL, elevated white blood cell count (33,400), slightly elevated creatinine (1.20 mg/dL), and elevated liver enzymes (AST: 662 U/L, ALT: 397 U/L).

Considering the patient's hemodynamic stability, he was admitted to the trauma intensive care unit (ICU) for nonoperative management. This involved close monitoring of hemoglobin levels, regular physical examinations of the abdomen, and consultation with a urologist. A three-way Foley catheter was inserted, and continuous irrigation of the bladder was initiated. A repeat CT scan was planned for 48 hours after admission to assess the need for potential surgical intervention.

Figure 1. Preoperative Imaging Findings. Published with Permission

A) Grade IV liver laceration.
A) Grade IV liver laceration.
B) Grade IV right kidney injury with perinephric hematoma and possible injury to the proximal ureter (arrow), evident on delayed films.
B) Grade IV right kidney injury with perinephric hematoma and possible injury to the proximal ureter (arrow), evident on delayed films.

Figure 2. Focused Assessment with Sonography for Trauma (FAST) Images. Published with Permission

A) Significant clot burden within the bladder
A) Significant clot burden within the bladder
B) Fluid collection in the right upper quadrant
B) Fluid collection in the right upper quadrant

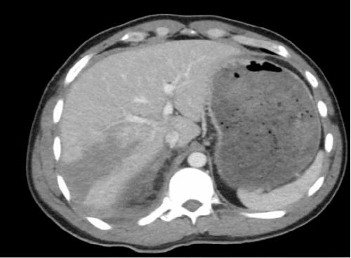
On hospital day (HD) 3, a CT angiography (CTA) of the abdomen was performed to evaluate the possibility of a renal pseudoaneurysm. The findings demonstrated stable lacerations in both the liver and kidney, along with a possible pseudoaneurysm in the kidney. Consequently, consultation with interventional radiology for renal artery angiography with possible embolization was sought. Angiography revealed active bleeding from a distal branch of the mid-renal artery. This bleeding was embolized using gel foam and coils.

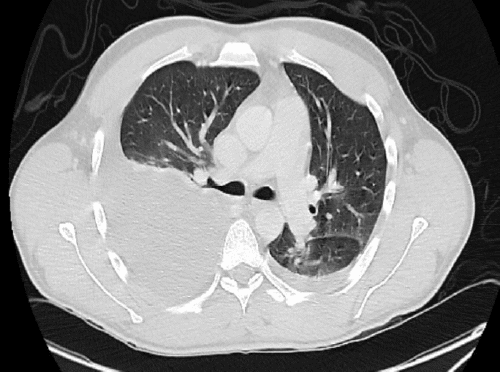
On HD 6, the patient's clinical status deteriorated with worsening shortness of breath, hypoxia, and right flank pain. A chest X-ray (CXR) revealed a new finding of diffuse opacification of the right chest secondary to a large right pleural effusion. A subsequent CT scan confirmed the presence of significant right water density pleural effusion and extravasation of contrast-enhanced urine from the mid-pole calyx into the surrounding right perirenal collection (Figure 3).

Figure 3. CT Scan on Hospital Day 6. Published with Permission

A) Contrast-enhanced CT scan showing a large pleural effusion in the right chest cavity
A) Contrast-enhanced CT scan showing a large pleural effusion in the right chest cavity
B) Delayed CT imaging, demonstrating extravasation of urine from the mid-pole calyx of the right kidney.
B) Delayed CT imaging, demonstrating extravasation of urine from the mid-pole calyx of the right kidney.

An interventional procedure was performed, placing a pigtail catheter into the right pleural space for drainage. The drained fluid was noted to be straw-colored, visually similar to the patient's urine (Figure 4). Lab analysis of the pleural fluid revealed characteristics of a bloody exudate: pH 7.50, protein level of 3.5 g/dL (compared to serum protein 6.6 g/dL), glucose level of 103 mg/dL, and a pleural fluid creatinine level of 1.13 mg/dL. The pleural-to-serum creatinine ratio was calculated to be 1.03.

Figure 4. Comparison of Drainage Outputs. Published with Permission

A) Chest tube drainage
A) Chest tube drainage
B) Urine output
B) Urine output

The patient's chest tube drainage exceeded 1.3 liters over the subsequent four hours. This significant output, coupled with a deteriorating abdominal examination, warranted urgent intervention. The patient was emergently transferred to the operating room for a joint procedure with urology. A cystoscopy with retrograde pyelogram revealed large extravasation from interpolar and lateral upper pole calyces, which was followed by the placement of a 6 × 24 cm ureteral stent to bridge at least two separate defects.

This intervention proved successful. Chest tube drainage significantly decreased to less than 90 milliliters per day over the following 48 hours, allowing for safe removal of the chest tube without fluid reaccumulation in the pleural space. The patient was discharged home on postoperative day (POD) 4. Ureteral stents were removed six weeks after surgery. Follow-up CT imaging at eight weeks post-injury revealed chronic lacerations in both the right liver and kidney but without any complications. Furthermore, the delayed imaging demonstrated no evidence of ongoing urine leakage.

Discussion

Urinothorax, a rare condition characterized by urine accumulation in the pleural space, has been documented in only 57 cases over the past 50 years, as evidenced by a recent systematic review by Austin et al.1 Obstructive uropathy is the most frequent cause; however, various genitourinary procedures can also lead to its development. Less commonly, blunt abdominal trauma causing renal or upper genitourinary tract injury has been described with only four reported cases in the last 50 years.4‒7

The pathophysiology begins with a retroperitoneal collection of urine as a result of obstructive uropathy or GU tract injury. There is no consensus as to the exact mechanism of urinoma progression to urinothorax. Three potential pathways have been proposed: 1) direct transmigration through diaphragmatic pores due to elevated hydrostatic pressure, 2) direct rupture into the pleural cavity caused by a diaphragmatic injury,8‒11, and 3) indirect transmigration of urine via lymphatic channels.12

In our case, the most probable etiology is the decompression of the urinoma across the diaphragm secondary to a hydrostatic pressure gradient. While an undiagnosed diaphragmatic injury is also plausible and cannot be entirely ruled out, the absence of supporting evidence on eight-week follow-up imaging and the relatively low pleural fluid-to-creatinine ratio favors the first mechanism.

Diagnosing a urinothorax draws on the presence of a pleural effusion alongside obstructive or traumatic uropathy, with subsequent resolution of the effusion following treatment of the underlying etiology. Pleural fluid analysis often aids in confirming the diagnosis. Traditionally, the fluid characteristics are indicative of a transudate: low cell count, low pH (<7.40), and a pleural fluid-to-serum creatinine ratio (PF/S) exceeding 1.2 Notably, the PF/S creatinine ratio boasts a high sensitivity (97.9%) for urinothorax diagnosis.2 However, Toubes et al. contend that multiple concomitant pathologies can alter these typical findings in pleural fluid analysis. As such, a strong clinical suspicion coupled with the resolution of the causative factor is critical for a definitive diagnosis.2

Our patient's biochemical analysis revealed characteristics atypical for urinothorax. While the classic presentation is an exudative, alkalotic, high-protein fluid with red blood cells, the presence of blood and high protein content can be misleading.

  • Direct intrathoracic bleeding or
  • Decompression of a concomitant retroperitoneal hematoma with urine into the chest

could explain these deviations. Traditional biochemical analysis in diagnosing urinothorax is controversial and is debated in the literature. For example, a review of 32 cases showed that 43.8% of pleural fluids were exudative, and 24% had a pH ≥7.50, deviating from the expected acidotic state (pH <7.30).2

Hematuria, typically seen in trauma patients, can further complicate pleural analysis by elevating protein levels in the fluid. This elevation can lead to an erroneously high pH (>7.30) and classify the fluid as exudative according to Light's criteria.

Despite these atypical findings, a PF/serum creatinine ratio > 1 supported urinothorax in this case. Furthermore, the rapid resolution of the pleural effusion following ureteral stent placement provided definitive confirmation of the diagnosis.

Management of patients necessitates addressing the underlying urologic pathology with or without thoracic drainage. This approach prioritizes treating the uropathy, leading to favorable patient outcomes. A study by Toubes et al. found a 96.1% success rate when the underlying root cause was directly addressed, compared to a complete absence of favorable outcomes (0/16 patients) with solely thoracic drainage intervention. Uropathic treatment encompasses a spectrum of procedures, ranging from urinary catheter placement to nephrectomy, depending on the specific condition. In this case, ureteral stent placement was chosen to address the urologic pathology.

Conclusion

We report the rare phenomenon of urinothorax following blunt abdominal trauma. This complication has only been documented in four instances over the past 50 years. Our patient presented with an atypical biochemical profile of the pleural fluid in the setting of his traumatic injuries and hematuria. Despite these atypical findings, the pleural effusion resolved promptly upon addressing the underlying urologic injury, ultimately confirming the diagnosis of urinothorax. This case highlights the importance of maintaining a high index of suspicion for urinothorax, even in the absence of classic pleural fluid characteristics.

Lessons Learned

Urinothorax necessitates a high degree of clinical suspicion for timely diagnosis. Pleural fluid analysis often yields inconsistent and variable results. Even in cases of normal or slightly elevated PF/S creatinine ratio, the possibility of urinothorax should not be excluded.

Authors

Allsbrook AP; Hamlin SW; To J; Castillo RC

Author Affiliation

Department of Surgery, St. Luke's University Health Network, Bethlehem, PA 18015

Corresponding Author

Anthony P. Allsbrook, DO
St. Luke's University Health Network
701 Ostrum Street
Ste. 202
Bethlehem, PA 18015
Email: anthony.allsbrook@sluhn.org

Disclosure Statement

The authors have no conflicts of interest to disclose.

Funding/Support

The authors have no relevant financial relationships or in-kind support to disclose.

Received: April 24, 2022
Revision received: September 13, 2022
Accepted: October 17, 2022

 

References

  1. Austin A, Jogani SN, Brasher PB, Argula RG, Huggins JT, Chopra A. The Urinothorax: A Comprehensive Review With Case Series. Am J Med Sci. 2017;354(1):44-53. doi:10.1016/j.amjms.2017.03.034
  2. Toubes ME, Lama A, Ferreiro L, et al. Urinothorax: a systematic review. J Thorac Dis. 2017;9(5):1209-1218. doi:10.21037/jtd.2017.04.22
  3. Casallas A, Castañeda-Cardona C, Rosselli D. Urinothorax: Case report and systematic review of the literature. Urol Ann. 2016;8(1):91-94. doi:10.4103/0974-7796.164851
  4. Parvathy U, Saldanha R, Balakrishnan KR. Blunt abdominal trauma resulting in urinothorax from a missed uretero-pelvic junction avulsion: case report. J Trauma. 2003;54(1):187-189. doi:10.1097/00005373-200301000-00025
  5. Capellier G, Gaussorgues P, Boyer F, Claud B, Robert D. Diagnostic d'un épanchement pleural post-traumatique [Diagnosis of post-traumatic pleural effusion]. Ann Fr Anesth Reanim. 1989;8(2):131-132. doi:10.1016/s0750-7658(89)80165-0
  6. Lahiry SK, Alkhafaji AH, Brown AL. Urinothorax following blunt trauma to the kidney. J Trauma. 1978;18(8):608-610. doi:10.1097/00005373-197808000-00010
  7. Gandhi RK, Dhandapani BS, Barvadheesh RC. Combination injuries of diaphragm and urinary bladder resulting urinothorax. J Minim Access Surg. 2015;11(2):149-150. doi:10.4103/0972-9941.144099
  8. Corriere JN Jr, Miller WT, Murphy JJ. Hydronephrosis as a cause of pleural effusion. Radiology. 1968;90(1):79-84. doi:10.1148/90.1.79
  9. Tortora A, Casciani E, Kharrub Z, Gualdi G. Urinothorax: an unexpected cause of severe dyspnea. Emerg Radiol. 2006;12(4):189-191. doi:10.1007/s10140-006-0468-x
  10. Handa A, Agarwal R, Aggarwal AN. Urinothorax: an unusual cause of pleural effusion. Singapore Med J. 2007;48(11):e289-e292.
  11. Rothstein E. Benign pleural effusion and ascites associated with adenocarcinoma of the body of the pancreas. Dis Chest. 1949;15(5):603-606. doi:10.1378/chest.15.5.603
  12. Lemon WS, Higgins GM. Lymphatic absorption of particulate matter through the normal and the paralyzed diaphragm: an experimental study. Am J Med Sci. 1929;178:536-547.