Unsupported Browser
The American College of Surgeons website is not compatible with Internet Explorer 11, IE 11. For the best experience please update your browser.
Menu
Become a member and receive career-enhancing benefits

Our top priority is providing value to members. Your Member Services team is here to ensure you maximize your ACS member benefits, participate in College activities, and engage with your ACS colleagues. It's all here.

Become a Member
Become a member and receive career-enhancing benefits

Our top priority is providing value to members. Your Member Services team is here to ensure you maximize your ACS member benefits, participate in College activities, and engage with your ACS colleagues. It's all here.

Become a Member
ACS
ACS Case Reviews

Complete Mesh Migration Into the Small Bowel Following Parastomal Hernia Repair

August 1, 2022

Abstract

Background

Abdominal mesh for herniorrhaphy has been associated with various complications. One rare complication involves mesh migration or erosion into an abdominal or pelvic organ. We describe an interesting case of complete mesh migration into the small bowel in a 65-year-old male three years after laparoscopic parastomal hernia repair.

Summary

The patient complained of one year of weekly episodes of self-resolving obstructive symptoms with decreased ostomy output. CT imaging showed a large parastomal hernia recurrence and an intraluminal density of unclear significance within the small bowel. Exploratory laparotomy demonstrated a large and mobile bezoar within the ileum which was extracted via an enterotomy and found to be the previously placed abdominal mesh; there was no identifiable fistula tract.

Conclusion

This case demonstrates that mesh migration into the bowel should be considered in patients with chronic obstructive symptoms following hernia repair, especially if there is CT evidence of an intraluminal bowel density.

Key Words

mesh migration; parastomal hernia; synthetic mesh; hernia recurrence; small bowel


Case Description

Abdominal hernia repairs are among the most common surgical procedures performed by general surgeons.1,2 The advent of synthetic mesh to repair abdominal hernias has drastically reduced hernia recurrence rates.35 However, the use of synthetic mesh has been associated with numerous complications68 and is the source of much research.912 One rare but more recently described complication includes mesh migration or erosion into an abdominal or pelvic organ. Migration refers to whole mesh displacement into an organ, while erosion represents the partial perforation of a mesh into an organ with a portion remaining outside.13 In particular, inguinal mesh erosion into the sigmoid or bladder following inguinal hernia repair has been frequently reported,14,15 and reports of erosion into the large bowel and small bowel following ventral and inguinal repairs have also been described.13 We describe an interesting case of complete mesh migration into the small bowel in a 65-year-old male three years after undergoing a laparoscopic parastomal hernia repair.

A 59-year-old obese male with a history of hypertension and a 25-pack-year smoking history underwent a laparoscopic abdominoperineal resection with the placement of a left-sided end colostomy for rectal adenocarcinoma. Subsequently, he underwent an elective laparoscopic parastomal hernia repair with mesh due to obstructive symptoms at the age of 62 (body mass index [BMI]=40). Prior to his hernia repair, the patient had weekly obstructive episodes characterized by hernia pain, nausea, vomiting, and decreased ostomy output. The patient was advised to undergo a weight loss plan and quit smoking and was reevaluated two months later with continued obstructive episodes and only a net weight loss of one pound. It was believed at that time that due to the frequency and severity of his obstructive episodes, hernia repair could not be delayed for the patient to have significant weight loss. Thus, he underwent a scheduled hernia repair. His hernia defect was approximately 5 × 7 cm. The repair included a 15 × 19 cm Gore® DualMesh® placed intraperitoneal using a Sugarbaker technique with four corner transfascial permanent sutures and additional tacks in each quadrant. Unfortunately, eight months later, he developed a recurrence of his parastomal hernia with a non-dilated loop of transverse colon within the hernia sac superior to his stoma. Immediate repair was not undertaken given a paucity of symptoms, and weight loss was encouraged. Of note, the patient had quit smoking in the weeks leading up to his primary hernia repair; however, he returned to smoking in the weeks after his surgery.

At 65 years old, he presented complaining of greater than one year of weekly episodes of abdominal pain, decreased colostomy output, nausea, and vomiting, eventually followed by high ostomy output and symptom resolution. He was morbidly obese (BMI=36) on physical exam with a large incarcerated nonreducible left parastomal hernia extending 12 cm cephalad with palpable bowel.

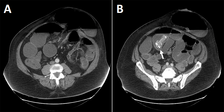
Computed tomography (CT) imagining demonstrated dilated bowel up to 8 cm in diameter with air-fluid levels proximal to and distal to the parastomal hernia consistent with an obstructive process (Figure 1A). Additionally, there was noted to be an intraluminal density of unclear significance within the small bowel, presumed to be fecalized small bowel contents that did not appear to be a source of obstruction (Figure 1B). Compared to two prior annual cancer follow-up CT scans performed one and two years before this study, the size of the parastomal hernia was similar. However, the small bowel proximal and distal to the hernia were notably more dilated in the study shown here. Additionally, prior CT scans did not demonstrate any intraluminal density and showed the mesh at the peritoneal wall with parastomal hernia recurrence.

Figure 1. Computed Tomography (CT) of Abdomen and Pelvis. Published With Permission

Contrast demonstrates A) parastomal hernia sac and loops of dilated bowel and B) intraluminal density within small bowel of unclear significance.

Upon reevaluation, the patient was scheduled for an elective open repair of his hernia with the removal of mesh and resiting his colostomy with possible partial colectomy. Of note, the patient had an unremarkable colonoscopy for cancer screening purposes performed through his colostomy 13 months prior to his proposed parastomal hernia recurrence repair.

The patient was taken to the operating room 37 months after his initial hernia repair. After exposing the hernia defect, the only content within the hernia was the descending colon approaching the colostomy adhered to the hernia sac. The abdominal mesh was unable to be visualized along the abdominal fascia. A large palpable bezoar approximately 2.5 cm in diameter and 8 cm in length was noted within the ileum, and the small bowel was dilated proximally and distally. Due to adherent loops of terminal ileum within the pelvis, the bezoar was milked back to the dilated mid jejunum, and an enterotomy was created for extraction. The foreign body was then unfurled and noted to be the Gore® mesh intact with all corner tacking sutures and numerous ProTack™ tacks (Figure 2).

Figure 2. Explanted Abdominal Mesh With All 4-Corner Tacking Sutures in Place. Published With Permission

There was no identifiable fistula tract between any portion of the colon or the small intestine and the small bowel was not adherent anywhere near the colostomy site. Due to adhesive disease of the distal colon within the hernia sac and the need to resite the colostomy to the contralateral location, a partial left colectomy was performed, and the colostomy was resited to the right side of the abdomen. The plastic surgery team then assisted with the closure of the abdominal cavity. First, the left-sided colostomy defect was repaired. Internally, the rectus abdominis muscle was repaired vertically, and the internal rectus fascia was then repaired with #1 Maxon™ monofilament absorbable sutures. A patch of the preperitoneal flap was then placed over this repair internally. Externally, the rectus was repaired with mattress sutures, and then a transverse repair of the external fascial defect, which was 7 cm in length, was repaired with #0 Maxon™ sutures. Next, the abdominal wall reconstruction was completed with an anterior component separation with left and right rectus abdominis myocutaneous perforator sparing advancement flaps.

The patient recovered well postoperatively. After five days, he regained bowel function and was quickly able to tolerate enteral feeding with well-controlled postoperative pain and was then discharged.

Seventeen months since his procedure, he feels remarkably better. Unfortunately, he has had a recurrence of abdominal hernias with one near his right-sided stoma and one in the left abdomen where his previous colostomy was sited. However, he states that he no longer has any nausea, vomiting, or abdominal pain and can eat well without constipation or obstructive symptoms. He does not wish to have any hernia repair currently.

Discussion

We report the case of a 65-year-old male with complete mesh migration into the lumen of the small bowel that left no evidence of fistula tract 37 months following parastomal hernia repair. The mesh was freely mobile within the small bowel and likely contributed to the obstructive episodes of the patient. The mesh was retrieved via a small enterotomy in the small bowel. The exact mechanism that led to the mesh migration is unclear; however, given the large initial hernial defect, complicated by the patient's morbid obesity, this greatly increased the likelihood of his hernia recurrence and mesh detachment.16,17 It is likely that after the hernia repair failed, reopening the hernial defect dislodged the mesh eventually, allowing it to come into close contact with the small bowel, where it slowly eroded over time through the bowel wall until it had migrated into the bowel lumen. Preoperative imaging demonstrated an intraluminal density presumed to be fecalized contents; however, intraoperative findings verified this density to be the mesh that had migrated into the bowel.

Mesh migration theories have been discussed in previous reports. Agrawal and Avill, in a 2006 literature review of hernia repair mesh migrations, divided migration into two categories: primary mechanical displacements of mesh into adjoining anatomical spaces due to inadequate fixation or external displacing forces and secondary migration due to gradual erosion of the mesh through transanatomical planes, noting that initial primary displacement can eventually lead to secondary erosion.18 The authors suggested mesh fixation as well as mesh size, shape, and material may influence the likelihood of mesh erosion and migration. Meanwhile, Hamouda et al. theorized that postoperative inflammatory reactions and infection might also have a role to play by causing mesh displacement that leads to erosion.19 Recent international guidelines for groin hernia management also contribute mesh displacement to biomechanical strain with displacement in the direction of pulling forces. There is always a lifetime risk for mesh erosion, which may be higher with plugs versus flat mesh.20 The causes and true incidence of mesh migration and erosion remain unknown; however, increased recognition and reporting of these complications may elucidate a more precise understanding.

The majority of cases reporting mesh migration into the bowel have been partial erosions of the mesh into the bowel wall that required surgical resection of the mesh and involved the bowel.13,14 However, few reports of complete migration into the bowel lumen have been reported. A 2005 report by Celik et al. described a complete mesh migration into the colon following a transabdominal preperitoneal laparoscopic inguinal hernia repair21 in which the patient was managed nonoperatively with a colonoscopic retrieval of the mesh. The authors of this study hypothesized that a portion of cecum or ileum was included during mesh fixation, which served as a nidus for mesh erosion into the colon. Another report by Chan et al. describes the complete migration of an inguinal hernia mesh into the colon that left no evidence of a fistula tract, similar to our report.22 Chan et al. hypothesized that the mesh was first displaced and traveled along the inguinal canal. Upon contact with the colon initiated an inflammatory response that led to mesh erosion. Thus, complete mesh migration into the bowel is a rarely described phenomenon that should be considered in patients who present with chronic obstructive symptoms following hernia repair, especially if there is evidence of an unknown intraluminal bowel density on CT imaging.

Conclusion

The risk factors for and causes of hernia mesh migration remain unclear. Without evidence of a fistula tract, complete mesh migration into the bowel is a possible complication of hernia repair with mesh. Mesh migration into the bowel lumen must be considered in the differential diagnosis of an intraluminal density detected via CT imaging in patients who have had a hernia repair with mesh.

Lessons Learned

Complete mesh migration into the small bowel is a rare but important complication of hernia repair with mesh to recognize that may be associated with chronic episodes of bowel obstruction. Awareness of this complication can aid the interpretation of CT imaging to lead to diagnosis and prompt surgical treatment.

References

  1. Dabbas N, Adams K, Pearson K, Royle G. Frequency of abdominal wall hernias: is classical teaching out of date?. JRSM Short Rep. 2011;2(1):5. Published 2011 Jan 19. doi:10.1258/shorts.2010.010071
  2. Rutkow IM. Surgical operations in the United States. Then (1983) and now (1994). Arch Surg. 1997;132(9):983-990. doi:10.1001/archsurg.1997.01430330049007
  3. Aldridge AJ, Nehra D. Mesh compared with non-mesh methods of open groin hernia repair: systematic review of randomized controlled trials and laparoscopic compared with open methods of groin hernia repair: systematic review of randomized controlled trials. Br J Surg. 2001;88(3):471. doi:10.1046/j.1365-2168.2001.01762-7.x
  4. Burger JW, Luijendijk RW, Hop WC, Halm JA, Verdaasdonk EG, Jeekel J. Long-term follow-up of a randomized controlled trial of suture versus mesh repair of incisional hernia. Ann Surg. 2004;240(4):578-585. doi:10.1097/01.sla.0000141193.08524.e7
  5. Arroyo A, García P, Pérez F, Andreu J, Candela F, Calpena R. Randomized clinical trial comparing suture and mesh repair of umbilical hernia in adults. Br J Surg. 2001;88(10):1321-1323. doi:10.1046/j.0007-1323.2001.01893.x
  6. Berger RL, Li LT, Hicks SC, Liang MK. Suture versus preperitoneal polypropylene mesh for elective umbilical hernia repairs. J Surg Res. 2014;192(2):426-431. doi:10.1016/j.jss.2014.05.080
  7. Fitzgibbons RJ Jr, Forse RA. Clinical practice. Groin hernias in adults. N Engl J Med. 2015;372(8):756-763. doi:10.1056/NEJMcp1404068
  8. Fitzgerald JF, Kumar AS. Biologic versus Synthetic Mesh Reinforcement: What are the Pros and Cons?. Clin Colon Rectal Surg. 2014;27(4):140-148. doi:10.1055/s-0034-1394155
  9. Bracco P, Brunella V, Trossarelli L, Coda A, Botto-Micca F. Comparison of polypropylene and polyethylene terephthalate (Dacron) meshes for abdominal wall hernia repair: a chemical and morphological study. Hernia. 2005;9(1):51-55. doi:10.1007/s10029-004-0281-y
  10. Byrd JF, Agee N, Nguyen PH, et al. Evaluation of composite mesh for ventral hernia repair. JSLS. 2011;15(3):298-304. doi:10.4293/108680811X13071180407393
  11. Deligiannidis N, Papavasiliou I, Sapalidis K, Kesisoglou I, Papavramidis S, Gamvros O. The use of three different mesh materials in the treatment of abdominal wall defects. Hernia. 2002;6(2):51-55. doi:10.1007/s10029-002-0054-4
  12. Costello CR, Bachman SL, Ramshaw BJ, Grant SA. Materials characterization of explanted polypropylene hernia meshes. J Biomed Mater Res B Appl Biomater. 2007;83(1):44-49. doi:10.1002/jbm.b.30764
  13. Cunningham HB, Weis JJ, Taveras LR, Huerta S. Mesh migration following abdominal hernia repair: a comprehensive review. Hernia. 2019;23(2):235-243. doi:10.1007/s10029-019-01898-9
  14. Gossetti F, D'Amore L, Annesi E, et al. Mesh-related visceral complications following inguinal hernia repair: an emerging topic. Hernia. 2019;23(4):699-708. doi:10.1007/s10029-019-01905-z
  15. Li J, Cheng T. Mesh erosion into urinary bladder, rare condition but important to know. Hernia. 2019;23(4):709-716. doi:10.1007/s10029-019-01966-0
  16. Nardi M Jr, Millo P, Brachet Contul R, et al. Laparoscopic ventral hernia repair with composite mesh: Analysis of risk factors for recurrence in 185 patients with 5 years follow-up. Int J Surg. 2017;40:38-44. doi:10.1016/j.ijsu.2017.02.016
  17. Siddaiah-Subramanya M, Ashrafi D, Memon B, Memon MA. Causes of recurrence in laparoscopic inguinal hernia repair [published correction appears in Hernia. 2018 Sep 27;:]. Hernia. 2018;22(6):975-986. doi:10.1007/s10029-018-1817-x
  18. Agrawal A, Avill R. Mesh migration following repair of inguinal hernia: a case report and review of literature. Hernia. 2006;10(1):79-82. doi:10.1007/s10029-005-0024-8
  19. Hamouda A, Kennedy J, Grant N, Nigam A, Karanjia N. Mesh erosion into the urinary bladder following laparoscopic inguinal hernia repair; is this the tip of the iceberg?. Hernia. 2010;14(3):317-319. doi:10.1007/s10029-009-0539-5
  20. HerniaSurge Group. International guidelines for groin hernia management. Hernia. 2018;22(1):1-165. doi:10.1007/s10029-017-1668-x
  21. Celik A, Kutun S, Kockar C, Mengi N, Ulucanlar H, Cetin A. Colonoscopic removal of inguinal hernia mesh: report of a case and literature review. J Laparoendosc Adv Surg Tech A. 2005;15(4):408-410. doi:10.1089/lap.2005.15.408
  22. Chan RH, Lee KT, Wu CH, Lin WT, Lee JC. Mesh migration into the sigmoid colon mimics a colon tumor, a rare complication after herniorrhaphy: case report. Int J Colorectal Dis. 2017;32(1):155-157. doi:10.1007/s00384-016-2703-6

Authors

Lutfi Wa; Griepentrog JEb; Russavage JMc, Salgado Jd; Holder-Murray Je

Author Affiliations

  1. Department of Surgery, University of Pennsylvania Health System, Philadelphia, PA 19104
  2. Department of Surgery, University of Tennessee Medical Center, Knoxville, TX 37920
  3. Department of Plastic Surgery, University of Pittsburgh Medical Center, Pittsburgh, PA 15213
  4. Department of Surgery, UT Southwestern Medical Center, Dallas, TX 75390
  5. Division of Colon and Rectal Surgery, Department of Surgery, University of Pittsburgh Medical Center, Pittsburgh, PA 15213

Corresponding Author

Jennifer Holder-Murray, MD
Division of Colon and Rectal Surgery, Department of Surgery
University of Pittsburgh Medical Center
200 Lothrop Street
Pittsburgh, PA, USA 15213
Phone: (412) 864-1192
E-mail: holdermurrayjm@upmc.edu

Meeting Presentation

American College of Surgeons Southwestern Pennsylvania Chapter "Most Interesting Case Presentations," May 2020

Disclosure Statement

The authors have no conflicts of interest to disclose.

Funding/Support

The authors have no relevant financial relationships or in-kind support to disclose.

Received: July 18, 2020
Revision received: November 2, 2020
Accepted: December 7, 2020