Unsupported Browser
The American College of Surgeons website is not compatible with Internet Explorer 11, IE 11. For the best experience please update your browser.
Menu
Become a member and receive career-enhancing benefits

Our top priority is providing value to members. Your Member Services team is here to ensure you maximize your ACS member benefits, participate in College activities, and engage with your ACS colleagues. It's all here.

Become a Member
Become a member and receive career-enhancing benefits

Our top priority is providing value to members. Your Member Services team is here to ensure you maximize your ACS member benefits, participate in College activities, and engage with your ACS colleagues. It's all here.

Become a Member
ACS
ACS Case Reviews

Left Lower Torsion Following Lobectomy, Successfully Managed with Operative Detorsion

March 8, 2023

Abstract

Background

Lung torsion is a rare but serious complication following lung lobectomy. Most cases occur following right lung resection and involve the right middle lobe. Of the few reports involving torsion of the left lower lobe, treatment has consisted of completion pneumonectomy.

Summary

We present a case of left lower lobe torsion diagnosed on postoperative day 3 following an uncomplicated left upper lobectomy. This was treated successfully with operative detorsion without resection.

Conclusion

Lung torsion remains a severe complication following lobectomy and necessitates operative exploration despite its rarity. It is essential to be highly vigilant in early diagnosis as timely intervention improves outcomes, with early detorsion possibly negating the need for further resection.

Key Words

VATS; lung torsion; complications; lobectomy


Case Description

A 63-year-old female presented with a solitary 14 mm nodule in the left upper lobe, confirmed to be squamous cell carcinoma. Preoperative pulmonary function tests were notable for FEV1 of 75% predicted and DLCO of 53% predicted. A video-assisted thoracoscopic (VATS) left upper lobectomy was performed in the standard fashion without intraoperative complications. The inferior pulmonary ligament was taken down in standard fashion, there was not noted to be a complete fissure, and there was no anomaly in the location of the bronchi or pulmonary vessels. She was extubated without difficulty, and chest radiography immediately postoperatively showed expected surgical changes.

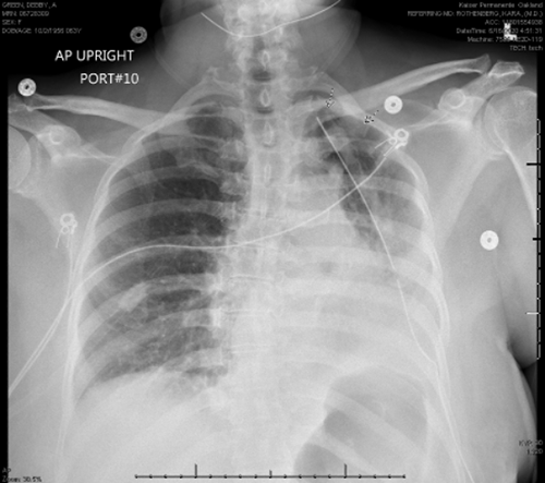
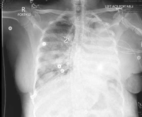
A routine chest X ray on postop day (POD) 1 showed appropriate reinflation of the lung (Figure 1), and the chest tube was removed. She had persistent pain and a brief episode of atrial fibrillation on POD 1-2 and thus remained inpatient for ongoing treatment monitoring. On POD 3, she developed progressively worsening hypoxia with rapid progression, requiring BiPAP with 80% O2 to maintain oxygen saturation >90%. A chest radiograph was obtained, and when compared to the imaging on POD 1, it revealed near whiteout on the left side (Figure 2).

Figure 1. Chest Radiography on POD 1 Following Uncomplicated VATS Left Upper Lobe Lobectomy. Published With Permission

Figure 2. Chest Radiography on POD 3, Revealing Significantly Worse Aeration and “Whiteout” of Remaining Left Lower Lobe. Published With Permission

A bronchoscopy was then performed and revealed occlusion of the left lower lobe bronchus, and the patient was taken to the operating room. A thoracotomy was performed and confirmed the diagnosis of lung torsion. The pedicle was in an anatomic position, with the lung parenchyma twisted circumferentially. The lung was detorsed with immediate improvement of perfusion to the lung parenchyma and no evidence of non-viable lung tissue. No further resection was performed, and the lung was re-inflated under direct visualization. She was admitted to the ICU postoperatively and remained intubated for several days. Her course was also complicated by ventilator-associated pneumonia, pulmonary embolism, and deconditioning. However, her respiratory function gradually improved, and on hospital day 28, she was discharged home without needing supplemental oxygen.

Discussion

Lung torsion is a rare complication of lobectomy, with the reported incidence between 0.09% to 0.4% in all pulmonary resection cases.1 Lung torsion around the hilar pedicle is an often described complication resulting from lung resection, most often described as middle lobe torsion occurring after resectioning the right upper lobe. Few cases have been described in which left lower lobe torsion occurred. Preventing and diagnosing these rare occurrences remains a challenge. Many predisposing factors have been proposed, including a long narrow pedicle, a complete fissure, and excessive mobility after takedown of the inferior pulmonary ligament.2,3 In instances where there is a concern for high-risk features, prophylactic techniques have been described to prevent torsion.4 However, in this case, the patient did not have any risk factors, and these techniques are described for right-sided procedures. Therefore, early suspicion and diagnosis remain keys to achieving a successful outcome in these rare occurrences.

In one series, all cases of lung torsion that were reviewed had chest radiography on POD 1 that revealed atelectasis at the operative side.2 A complete whiteout on radiography was found to be a more specific predictor,3 and other findings that may be suggestive of torsion include progressively worsening consolidations, loss of volume, or lesion shift.5 Given that these are often common findings in patients following lobectomy, relying on initial chest radiography alone will have low specificity. Therefore, CT and bronchoscopy remain the main diagnostic modalities of choice once lung torsion is suspected. Classic CT findings include bronchial and vascular structures that are narrowed, blocked, or inverted.5 Bronchoscopy findings, as was the case in our patient, often reveal narrowed or completely occluded bronchus.

When these findings are observed, and there is suspicion of lung torsion, operative exploration is necessary. However, there is no consensus on the best surgical treatment option. Many previous reports have described completion pneumonectomy, which is clearly indicated if there is evidence of parenchymal compromise or ischemic injury.6,7 In cases of right-sided torsion, previous series have demonstrated no significant difference between surgical repositioning versus resection, as long as the lung parenchyma remained viable.1,5 In our case, the lung tissue was deemed viable, given the immediate improvement in the gross appearance of the parenchyma. The viability of the tissue was not further assessed. However, trans-esophageal echocardiography has been described to assess left pulmonary vein flow8 and doppler or fluorescence9 are theoretical, though not previously described adjuncts.

Right lower and middle lobe pexy are also well described for the prevention and treatment of torsion.10,11 In our case, once the lung parenchyma of the left lower lobe was returned to its anatomic position, there was an immediate improvement in perfusion. Given the patient’s marginal pulmonary function testing preoperatively, it was felt that she was unlikely to tolerate a pneumonectomy, and no further procedures were performed. Other techniques that could potentially be applied to minimize the risk of torsion include securing the remaining left lower lobe to the chest wall and creating a pleural tent or diaphragm paralysis.

Postoperatively, the patient was intubated for several days and developed pulmonary emboli and ventilator-associated pneumonia, which may have been prevented by resection. However, as she eventually made a full recovery, not performing resection ultimately was beneficial, as it avoided the complications of pneumonectomy and preserved lung function. Further studies should be performed to evaluate the necessity of resection and the risk of recurrence without resection or pexy.

Conclusion

Although rare, lung torsion remains a serious complication following lobectomy and necessitates operative exploration. A high index of suspicion remains critical to early diagnosis, as early intervention improves outcomes. Additionally, successful early detorsion may negate the need for further resection.

Lessons Learned

Early diagnosis of lung torsion is critical to successful outcomes. Early detorsion may be successful in cases such as ours where patients may not tolerate further resection. If no resection is performed, adjuncts to evaluating perfusion of the parenchyma and techniques to prevent retorsion should be considered.

Authors

Wilde SA; Le ST; Hsu DS; Elmadhun NY

Author Affiliation

Department of Surgery, University of California, San Francisco-East Bay, Oakland, CA 94602

Corresponding Author

Sawley A. Wilde, MD
Department of Surgery
University of California, San Francisco-East Bay
3600 Broadway
Oakland, CA 94611
Phone: (307) 299-0255
Email: swilde@alamedahealthsystem.org

Disclosure Statement

The authors have no conflicts of interest to disclose.

Funding/Support

The authors have no relevant financial relationships or in-kind support to disclose.

Received: September 25, 2020
Revision received: November 1, 2020
Accepted: November 24, 2020

References

  1. Dai J, Xie D, Wang H, et al. Predictors of survival in lung torsion: A systematic review and pooled analysis. J Thorac Cardiovasc Surg. 2016;152(3):737-745.e3. doi:10.1016/j.jtcvs.2016.03.077
  2. Mansour W, Moussaly E, Abou Yassine A, Nabagiez J, Maroun R. Left Lung Torsion: Complication of Lobar Resection for an Early Stage Lung Adenocarcinoma. Case Rep Crit Care. 2016;2016:9240636. doi:10.1155/2016/9240636
  3. Purohit M, Zacharias J. A simple reproducible method of preventing lobar torsion. J Cardiothorac Surg. 2008;3:22. Published 2008 Apr 30. doi:10.1186/1749-8090-3-22
  4. Sakai M, Kurimori K, Saeki Y, et al. Video-assisted thoracoscopic conservative repair of postoperative lobar torsion. Ann Thorac Surg. 2014;98(5):e119-e121. doi:10.1016/j.athoracsur.2014.07.080
  5. Taira N, Kawasaki H, Takahara S, et al. Postoperative Lung Torsion With Retained Viability: The Presentation and Surgical Indications. Heart Lung Circ. 2018;27(7):849-852. doi:10.1016/j.hlc.2017.06.733
  6. Uramoto H, Takenoyama M, Hanagiri T. Simple prophylactic fixation for lung torsion. Ann Thorac Surg. 2010;90(6):2028-2030. doi:10.1016/j.athoracsur.2010.07.040
  7. Fisher CF, Ammar T, Silvay G. Whole lung torsion after a thoracoabdominal esophagogastrectomy. Anesthesiology. 1997;87(1):162-164. doi:10.1097/00000542-199707000-00021
  8. Pagel PS, Sethi P, Boettcher BT, Dolinski SY. A Pulmonary Venous Blood Flow Problem During Left Upper Lobectomy. J Cardiothorac Vasc Anesth. 2016;30(4):1156-1158. doi:10.1053/j.jvca.2016.01.032
  9. Okusanya OT, Hess NR, Luketich JD, Sarkaria IS. Infrared intraoperative fluorescence imaging using indocyanine green in thoracic surgery. Eur J Cardiothorac Surg. 2018;53(3):512-518. doi:10.1093/ejcts/ezx352
  10. Alassar A, Marchbank A. Left lower lobe torsion following upper lobectomy-prompt recognition and treatment improve survival. J Surg Case Rep. 2014;2014(8):rju078. Published 2014 Aug 11. doi:10.1093/jscr/rju078
  11. Lal A, Akhtar J, Jindal V, Ullah A. Rare Cause of Respiratory Failure: A Twist in the Tale. Ann Am Thorac Soc. 2018;15(7):880-883. doi:10.1513/AnnalsATS.201802-122CC