Unsupported Browser
The American College of Surgeons website is not compatible with Internet Explorer 11, IE 11. For the best experience please update your browser.
Menu
Become a member and receive career-enhancing benefits

Our top priority is providing value to members. Your Member Services team is here to ensure you maximize your ACS member benefits, participate in College activities, and engage with your ACS colleagues. It's all here.

Become a Member
Become a member and receive career-enhancing benefits

Our top priority is providing value to members. Your Member Services team is here to ensure you maximize your ACS member benefits, participate in College activities, and engage with your ACS colleagues. It's all here.

Become a Member
ACS
Case Reviews in Surgery

A Rare Case of Traumatic Bilateral Femoral Arteriovenous Fistulas with Associated High-Output Cardiac Failure

A Rare Case of Traumatic Bilateral Femoral Arteriovenous Fistulas with Associated High-Output Cardiac Failure

March 1, 2021

Abstract

Background

Traumatic arteriovenous fistulas (AVF) are relatively rare, especially in the extremities and especially bilaterally. A rare complication of AVFs is high output cardiac failure.

Summary

A 23-year-old male presented as a trauma transfer after sustaining gunshot wounds to the right hip, left hip, and left lower leg. He was hemodynamically unstable and was taken emergently to the operating room for an exploratory laparotomy. Bleeding from the right hemipelvis persisted despite control of the right internal and external iliac arteries, and he was transferred for endovascular intervention. Angiography revealed bilateral lower extremity AVFs between the common femoral arteries and veins. These were controlled with stent-grafts. While in acute inpatient rehabilitation he developed tachycardia and dyspnea. Transthoracic echocardiogram revealed right sided heart failure, confirmed by cardiac catheterization. Repeat angiogram revealed recurrent bilateral femoral AVFs. These were repaired via endovascular technique.

Conclusion

Traumatic bilateral femoral AVFs are extremely rare, with the added rare example of AVF recurrence resulting in high-output cardiac failure. A high index of suspicion must remain when considering traumatic AVFs, especially in the multisystem injured patient.

Key Words

arteriovenous fistula, cardiac failure, trauma, extremity, endovascular

Case Description

An arteriovenous fistula (AVF) is an anomalous connection between an artery and a vein. The normal anatomical flow of blood occurs from artery to capillary to vein, so an AVF presents as an abnormal pathway. AVFs may be congenital in origin or acquired. Acquired AVFs are generally iatrogenic (postsurgical, post-femoral catheterization), traumatic, or intentionally created, for example AVFs for dialysis purposes.1

In the case of traumatic AVF an injury causes damage to an adjacent artery and vein, typically from a piercing object such as a bullet or a knife. If the fistula is large enough, large volumes of blood travel directly from the arterial system to the venous system, causing complications such as hypotension, fatigue, or light-headedness.2 A rare complication of AVFs is high-output cardiac failure.3,4 To compensate for the fall in blood pressure from arterial blood rapidly entering the venous system, the heart pumps more quickly and forcefully, increasing the output of blood. This continuous increased effort results in strain on the heart and can lead to right-sided cardiac failure, which can manifest as shortness of breath and lower extremity swelling.2

Traumatic AVFs are relatively rare, and although there have been reported cases of bilateral traumatic carotid AVFs,5 upon a review of the literature we could not identify any cases of traumatic bilateral extremity AVFs. We present a case of traumatic bilateral femoral arteriovenous fistulas with recurrence resulting in high-output cardiac failure.

A 23-year-old male was brought to an outside hospital with gunshot wounds from an unknown caliber firearm to the right hip, left hip, and left lower leg. He was hemodynamically unstable. A definitive airway was established, resuscitation was initiated, and the decision was made to transfer the patient to a higher level of care. The patient was transferred to our facility via aeromedical transport. On arrival, approximately two hours after sustaining the injury, he was hypotensive, acidotic, hypothermic, and coagulopathic. He was taken emergently to the operating room for exploratory laparotomy. Upon entrance into the abdomen he was noted to have what seemed to be a large pelvic hematoma. Thought to be an expanding retroperitoneal hematoma, the hematoma was explored. Distal brisk bleeding from the left hemipelvis and an injury to the left internal iliac artery were identified. The left internal iliac artery was ligated and bleeding from the left hemipelvis was controlled. Bleeding from right hemipelvis was also encountered. Despite control of the right internal and external iliac arteries, the bleeding persisted. The patient was then transferred to interventional radiology for angiography and attempt at endovascular intervention.

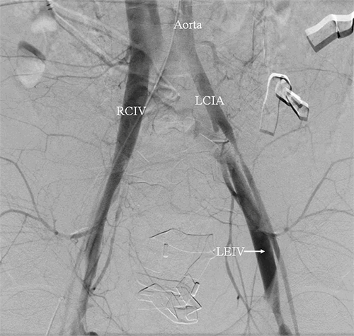
Once in the interventional radiology suite, an arteriogram revealed large bilateral AVFs between the common femoral arteries and veins (Figure 1 and Figure 2).

Figure 1. Aortic run of angiogram with injection of contrast into femoral arteries with immediate opacification of the venous system bilaterally, suggesting presence of an arteriovenous fistula. LCIA=left common iliac artery; RCIV=right common iliac vein; LEIV=left external iliac vein.
Figure 1. Aortic run of angiogram with injection of contrast into femoral arteries with immediate opacification of the venous system bilaterally, suggesting presence of an arteriovenous fistula. LCIA=left common iliac artery; RCIV=right common iliac vein; LEIV=left external iliac vein.

Figure 1. Aortic run of angiogram with injection of contrast into femoral arteries with immediate opacification of the venous system bilaterally, suggesting presence of an arteriovenous fistula. LCIA=left common iliac artery; RCIV=right common iliac vein; LEIV=left external iliac vein.

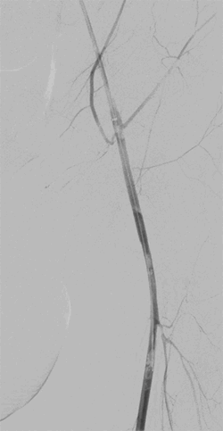
Figure 2. Left sided arteriovenous fistula between common femoral artery and vein. Arterial injection during angiogram reveals contrast in the external iliac artery, through the fistula, and into the common femoral vein, with no contrast in the distal artery. LEIV=left external iliac vein; LEIA=left external iliac artery; AVF=arteriovenous fistula.
Figure 2. Left sided arteriovenous fistula between common femoral artery and vein. Arterial injection during angiogram reveals contrast in the external iliac artery, through the fistula, and into the common femoral vein, with no contrast in the distal artery. LEIV=left external iliac vein; LEIA=left external iliac artery; AVF=arteriovenous fistula.

Figure 2. Left sided arteriovenous fistula between common femoral artery and vein. Arterial injection during angiogram reveals contrast in the external iliac artery, through the fistula, and into the common femoral vein, with no contrast in the distal artery. LEIV=left external iliac vein; LEIA=left external iliac artery; AVF=arteriovenous fistula.

There was no distal flow in either of the lower extremities. A large fistula was noted on the left between the left common femoral artery and common femoral vein near the femoral bifurcation with minimal flow through the left superficial femoral artery. A 6 mm x 38 mm covered balloon-expandable stent-graft was deployed across the fistula. An arteriogram was performed, which showed complete exclusion of the AVF with a patent lumen into the left common femoral artery (Figure 3).

Figure 3. Angiogram after left sided stent deployment in the left common femoral artery. AVF no longer visualized.
Figure 3. Angiogram after left sided stent deployment in the left common femoral artery. AVF no longer visualized.

Figure 3. Angiogram after left sided stent deployment in the left common femoral artery. AVF no longer visualized.

An arteriogram of the right extremity revealed an AVF at the junction of the common femoral vein and superficial femoral artery with no distal flow (Figure 4). This was unable to be traversed and the decision was made to transfer patient back to the operating room with endovascular capabilities for further operative intervention.

Figure 4. Right sided AVF. Catheter seen inserted into femoral artery for retrograde contrast injection, with fistula visualized and opacification of the venous system, with no flow in the distal artery. RCFV=right common femoral vein.
Figure 4. Right sided AVF. Catheter seen inserted into femoral artery for retrograde contrast injection, with fistula visualized and opacification of the venous system, with no flow in the distal artery. RCFV=right common femoral vein.

Figure 4. Right sided AVF. Catheter seen inserted into femoral artery for retrograde contrast injection, with fistula visualized and opacification of the venous system, with no flow in the distal artery. RCFV=right common femoral vein.

The left common femoral artery was accessed via micropuncture proximal to the previously placed stent-graft. Using an angled glidewire, the right external iliac artery was accessed leading to the right superficial femoral artery, and a 5 mm x 5 cm Viabahn stent-graft was deployed from the right superficial femoral artery bridging into the common femoral artery. A repeat arteriogram was performed which revealed persistence of the fistula (Figure 5).

Figure 5. Right AVF after stent deployment. Light blush visualized, demonstrating persistent fistula, although flow through fistula greatly decreased. RCFA=right common femoral artery.
Figure 5. Right AVF after stent deployment. Light blush visualized, demonstrating persistent fistula, although flow through fistula greatly decreased. RCFA=right common femoral artery.

Figure 5. Right AVF after stent deployment. Light blush visualized, demonstrating persistent fistula, although flow through fistula greatly decreased. RCFA=right common femoral artery.

This was then bridged further using a 6 mm x 5 cm Viabahn stent-graft placed into the common femoral artery. A repeat arteriogram revealed exclusion of fistula but the distal right superficial femoral artery was noted to be occluded. A right superficial femoral artery cutdown was then performed using ultrasound guidance directly overlying the right superficial femoral artery. A Fogarty balloon was utilized to perform a thromboembolectomy. At the conclusion of the procedure, distal flow was confirmed with angiography and signals were obtained in the distal right posterior tibial artery and dorsalis pedis artery. Finally, four compartment fasciotomies were performed bilaterally and the patient was transferred to the surgical ICU for ongoing resuscitation.

The patient was stabilized and was successfully extubated. He progressed well and was ultimately transferred to an inpatient rehabilitation facility on posttrauma day 16. On day 12 of his rehabilitation stay, the patient developed tachycardia and dyspnea with exertion. A CTA of his chest was obtained, which ruled out pulmonary embolism. A transthoracic echocardiogram revealed pulmonary hypertension, right ventricular dysfunction, right ventricular enlargement, but preserved left ventricular function. A cardiac catheterization was then performed, which confirmed right sided heart failure. Given the new diagnosis of high-output cardiac failure, there was concern for persistence of the AVFs. This was confirmed with noninvasive Doppler ultrasound.

On post trauma day 31 the patient underwent repeat angiogram which revealed recurrence of bilateral common femoral AVFs. A left large pseudoaneurysm was present with proximal buckling of the stent-graft. This created a type 1a endoleak where flow traveled proximally around the stent-graft. On the right there was evidence of both a type 1a and type 1b endoleak, where flow traveled proximally and distally around the stent-graft causing the entire stent to be floating in a large pseudoaneurysm. On the left, 9 mm x 10 cm and 9 mm x 5 cm Viabahn stent-grafts were utilized to exclude the recurrent AVF and pseudoaneurysm in the common femoral artery (Figure 6).

Figure 6. A. Recurrent left sided AVF, prior to stent deployment. Fistula is seen between the common femoral artery and vein. B. Angiogram after stent deployment. Fistula no longer visualized. LCFV=left common femoral vein; LCFA=left common femoral artery.
Figure 6. A. Recurrent left sided AVF, prior to stent deployment. Fistula is seen between the common femoral artery and vein. B. Angiogram after stent deployment. Fistula no longer visualized. LCFV=left common femoral vein; LCFA=left common femoral artery.

Figure 6. A. Recurrent left sided AVF, prior to stent deployment. Fistula is seen between the common femoral artery and vein. B. Angiogram after stent deployment. Fistula no longer visualized. LCFV=left common femoral vein; LCFA=left common femoral artery.

On the right an 8 mm x 10 cm Viabahn stent-graft was utilized to exclude the recurrent AV fistula and pseudoaneurysm in the common femoral artery. A repeat arteriogram revealed successful repair of the common femoral arteries with adequate distal flow into the bilateral superficial femoral arteries. Following this procedure the patient’s heart failure improved with medical therapy and he was able to resume his rehabilitation. He was eventually discharged home with outpatient therapy. He was seen in clinic several times and was recovering well but unfortunately was lost to follow up from our health system.

Discussion

We present the extremely rare case of traumatic bilateral femoral AVFs, with the added rare example of AVF recurrence resulting in high-output cardiac failure. A high index of suspicion must remain when considering traumatic AVFs, especially in the multisystem injured patient where AVF diagnosis is often delayed due to nonspecific signs and symptoms.6 Time to diagnosis of traumatic AVFs has been found to vary from hours to years.7

Options for repair of lower extremity AVFs include open repair and endovascular techniques. Although open repair can often be performed quickly in cases of acute AVFs, endovascular repair presents a useful option, especially in hemodynamically stable patients, patients at high risk for anesthesia, those with extensive scar tissue in the groin, or patients who may not tolerate hemorrhage that may occur with open surgical repair.1 Typically stent-graft placement is avoided in the common femoral artery due to the risk of stent-graft deformation or fracture from hip flexion or rotation, especially in young, active patients. Furthermore, long-term patency rates are unclear, as many studies have follow-up only to one year.8,9,10 Stent-graft placement at this location also precludes the use of the site for future femoral access.1 Despite these risks, studies have shown successful treatment of lower extremity AVFs with endovascular stenting.1 In our case, the patient was taken to interventional radiology due to the concern of ongoing pelvic bleeding, without an initial suspicion of AVF. Once discovered on angiogram, after discussion between radiology and surgery, the decision was made to proceed with endovascular repair in order to minimize further delays given the patient’s critical state. The recurrence of the bilateral AVFs due to endovascular leak and pseudoaneurysm formation in our patient underscores the importance of ongoing surveillance and monitoring in patients with proximal lower extremity stent-grafts in order to ensure long-term success. Further studies are needed to assess the long-term sequelae and success of proximal lower extremity stent-grafts.

Another important consideration if traumatic AVF is suspected and endovascular repair is to be performed, is treatment in an operating room with endovascular capabilities. In our case, AVF was not suspected at the time the decision was made to proceed to interventional radiology. However, treatment delay did occur once difficulties with access to the right superficial femoral artery were encountered in interventional radiology requiring transfer to an operating room. If available, an operating room with endovascular capabilities provides a broader range of flexibility, as endovascular and/or open surgical techniques can be performed, including thromboembolectomy and four-compartment fasciotomy, as required in the case of our patient.

Finally, our patient not only acquired bilateral femoral AVFs, but also suffered from the rare complication of high-output cardiac failure. Although often described as a hemodynamic complication of AVFs,12 this phenomenon is infrequently reported in the literature.3,4,13,14 Presentation is variable, with signs and symptoms ranging from atrial fibrillation, lower extremity edema, dyspnea, or tachycardia and activity intolerance, as in the case of our patient. Furthermore, cardiac failure can occur at a range of post-trauma times, within weeks, as in our case, up to 63 years.14 Again, this highlights the importance of ongoing follow-up in patients suffering from traumatic AVF.

Conclusion

Traumatic AVF is a relatively infrequent occurrence. We present the rare case of traumatic bilateral femoral AVF with recurrence after endovascular repair due to endoleak and pseudoaneurysm formation as well as high-output cardiac failure. Prompt evaluation and treatment of the AVF is crucial. Endovascular repair has been reported to be successful in lower extremity AVF. Endovascular repair was ultimately successfully performed in our patient and appears to be a safe option in management of traumatic AVF. However long-term follow-up is important in order to monitor for complications due to the potential for stent-graft failure.

Lessons Learned

Traumatic AVFs are a relatively rare occurrence, especially in the extremities. A high index of suspicion must remain when considering AVFs, especially in the multisystem injured trauma patient where diagnosis of an AVF can be delayed due to nonspecific signs and symptoms. High-output cardiac failure is a known potential complication of AVFs, but it is infrequently reported in the literature. Again, a high index of suspicion must remain due to its varying presentation and time-course.

Authors

Shah M, Puzio T, Marston W, Johnson DL

Correspondence Author

Daryhl Johnson MD, MPH, FACS
Department of Surgery
University of North Carolina
4008 Burnett Womack Building
CB 7228
Chapel Hill, NC 27516
919-966-4389
daryhl_johnson@med.unc.edu

Author Affiliations

Department of Surgery
University of North Carolina
Chapel Hill, NC

References

  1. Mohler ER III. Acquired arteriovenous fistula of the lower extremity. UpToDate, Clement DL, Eidt, JF, Mills Sr, JL (Eds), UpToDate, Waltham, MA. (Accessed on April 10, 2016).
  2. http://www.merckmanuals.com/home/heart-and-blood-vessel-disorders/venous-disorders/arteriovenous-fistula. Accessed: April 10, 2106
  3. Hüseyin S, Yüksel V, Güçlü O, Canbaz S. A Rare Etiology of Heart Failure: Traumatic Arteriovenous Fistula Due to Stab Injury 17 Years Ago. Balkan Med J. 2015 Jul; 32(3): 309–311. doi: 10.5152/balkanmedj.2015.15291
  4. Trindade VD, Piantá RM, Heck AA, Goldani MA. High-output heart failure resulting from a traumatic arteriovenous fistula. J Vasc Surg. 2015 May;61(5):1329. doi: 10.1016/j.jvs.2014.01.075.
  5. Chiriac A, Iliescu BF, Dobrin N, Poeata I. One-step endovascular treatment of bilateral traumatic carotid-cavernous fistulae with atypical clinical course. Turk Neurosurg. 2014;24(3):422-6. doi: 10.5137/1019-5149.JTN.8004-13.1.
  6. Roth P, Heiss C, Koshty A, Niemann B, Boening A. Posttraumatic Arteriovenous Fistula of the Distal Posterior Tibial Artery as Cause of Delayed Wound Healing in an Unrecognized Arterial Injury. Thorac Cardiovasc Surg Rep. 2014 Dec; 3(1): 67–70. doi: 10.1055/s-0033-1363167
  7. Baril DT, Denoya PI, Ellozy SH, et al. Endovascular repair of a traumatic arteriovenous fistula 34 years after the injury: report of a case. Surg Today. 2007;37(1):78-81
  8. Thalhammer C, Kirchherr AS, Uhlich F, Waigand J, et al. Postcatheterization pseudoaneurysms and arteriovenous fistulas: repair with percutaneous implantation of endovascular covered stents. Radiology. 2000;214(1):127.
  9. Baltacioğlu F, Cimșit NC, Cil B, et al. Endovascular stent-graft applications in latrogenic vascular injuries. Cardiovasc Intervent Radiol. 2003;26(5):434.
  10. Waigand J, Uhlich F, Gross CM, et al. Percutaneous treatment of pseudoaneurysms and arteriovenous fistulas after invasive vascular procedures. Catheter Cardiovasc Interv. 1999;47(2):157.
  11. Rogel-Rodríguez JF, Zaragoza-Salas T, Díaz-Castillo L, et al. posttraumatic femoral arteriovenous fistula, endovascular treatment. Cir Cir. 2016 Jan 4. doi: 10.1016/j.circir.2015.10.010.
  12. Wilson SE. Vascular Access: Principles and Practice, 5th edition. Philadelphia: Lippincott Williams and Wilkins, 2010.
  13. Vagefi, PA, MD, Kwolek, CJ, MD, Wicky, S, MD, Watkins, MT MD. Congestive heart failure from traumatic arteriovenous fistula. J Am Coll Surg. 2009 Jul;209(1):150. doi: 10.1016/j.jamcollsurg.2008.11.021
  14. Frishman W, Epstein AM, Kulick S, Killip T. Heart failure 63 years after traumatic arteriovenous fistula. Am J Cardiol. 1974 Nov;34(6):733-6.