Unsupported Browser
The American College of Surgeons website is not compatible with Internet Explorer 11, IE 11. For the best experience please update your browser.
Menu
Become a member and receive career-enhancing benefits

Our top priority is providing value to members. Your Member Services team is here to ensure you maximize your ACS member benefits, participate in College activities, and engage with your ACS colleagues. It's all here.

Become a Member
Become a member and receive career-enhancing benefits

Our top priority is providing value to members. Your Member Services team is here to ensure you maximize your ACS member benefits, participate in College activities, and engage with your ACS colleagues. It's all here.

Become a Member
ACS
ACS Case Reviews

Adrenal Epithelioid Angiosarcoma as a Rare Etiology of Chronic Abdominal Pain

March 20, 2024

Abstract

Background

Angiosarcoma is a rare tumor that accounts for 1% of all sarcomas. Advances in therapy and proper surgical technique have contributed to improved survival in an otherwise poor prognosis. We present the case of a 63-year-old male who presented with abdominal pain and weight loss. Imaging revealed a large right adrenal mass, which was surgically removed without complications. Pathological analysis confirmed adrenal epithelioid angiosarcoma. Due to the rarity of this malignancy, we present the case and review the literature to highlight the expertise needed for its diagnosis and management.

Summary

Adrenal angiosarcomas continue to be challenging to diagnose and treat clinically. Patients present most commonly with abdominal pain, and imaging with CT is limited due to the tumor’s ability to mimic other benign etiologies, such as adrenal adenomas with hemorrhage. Adrenal masses require extensive endocrinology workup to rule out other etiologies, such as pheochromocytomas, aldosteronoma, and non-functional adenomas. Histomorphology and immunochemistry can be used for a definitive diagnosis of adrenal angiosarcoma since the markers CD31, CD34, and factor VIII have been commonly reported.

Surgical resection with negative margins remains the mainstay of therapy, and adjuvant radiation may be used in cases with positive margins. Adjuvant anthracycline-based chemotherapy may be used in cases of distant metastases, but its efficacy is not well-established due to limited cases. While visceral angiosarcomas show better five-year survival rates, their prognosis remains poorer compared to angiosarcomas in other body locations.

Conclusion

Adrenal angiosarcoma is an extremely rare tumor currently diagnosed using histomorphology and immunochemistry and treated with surgical resection. Adjuvant radiation and chemotherapy are used in special cases. Although the five-year survival rate has improved for visceral angiosarcomas, most likely due to improved surgical techniques and treatment, its prognosis remains poor in comparison to angiosarcomas that arise from other locations.

Key Words

epithelioid; surgery; soft tissue sarcoma; sarcoma

 


Case Description

The patient is a 63-year-old male with a history of reactive airway disease, well-controlled ulcerative colitis, and colonic polyps, who presented with six weeks of right upper quadrant abdominal pain, back pain, and a 25-pound unintentional weight loss; his BMI was 23.8. He was referred to the general surgery clinic after a computed tomographic (CT) scan of the abdomen/pelvis with IV contrast showed a 16 cm right upper quadrant retroperitoneal mass, favored to be arising from the right adrenal. Work-up with plasma metanephrines was negative and ruled out pheochromocytoma. Based on the size of the adrenal mass, persistent pain, and weight loss, the patient was taken to the operating room for an adrenalectomy. The tumor appeared to potentially involve the liver, right kidney, and diaphragm on the preoperative CT; hence, we also obtained informed consent for a possible right nephrectomy, liver wedge resection, and partial diaphragmatic resection.

The patient received epidural analgesia preoperatively, and his abdomen was entered via a right subcostal open approach. Dissection was performed in the right upper quadrant and retroperitoneum, with findings of a large encapsulated right adrenal mass. It was dissected freely from the surrounding structures without violating the tumor capsule. The mass did not invade the right kidney or liver parenchyma. The posterior right hemidiaphragm was adherent to the mass, leading to partial resection of both the mass and the diaphragm. We took care not to rupture the tumor or violate its capsule throughout the dissection. After resection of the mass, the patient’s abdomen was closed. His postoperative recovery was unremarkable, with adequate pain control and tolerance to oral intake, and he was discharged on postoperative day 3.

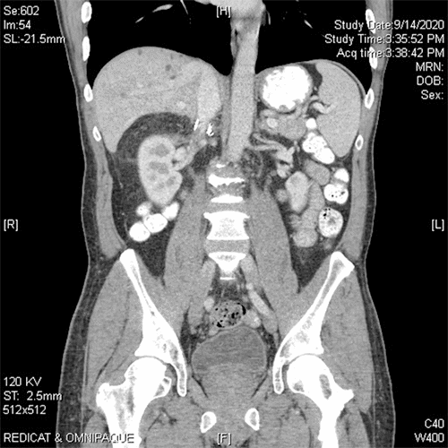
Figure 1. Cross-sectional Imaging of Abdomen. Published with Permission

A.

A) Preoperative CT scan displaying a large right-sided adrenal angiosarcoma
A) Preoperative CT scan displaying a large right-sided adrenal angiosarcoma

B.

B) imaging post-surgery following resection of the right adrenal angiosarcoma
B) imaging post-surgery following resection of the right adrenal angiosarcoma

Figure 2. Surgical Views of Right Adrenal Mass. Published with Permission

A.

A) Exposed right adrenal tumor intraoperatively
A) Exposed right adrenal tumor intraoperatively

B.

B) right adrenal mass after surgical removal
B) right adrenal mass after surgical removal

Figure 3. Gross Cross-section of Right Adrenal Mass. Published with Permission

Green arrow: neoplasm; Purple arrow: surrounding hemorrhage within the adrenal
Green arrow: neoplasm; Purple arrow: surrounding hemorrhage within the adrenal

Figure 4. Low-power Microscopic View (20x) of Arenal Angiosarcoma Stained with Hematoxylin/Eosin (H&E) Published with Permission

Green arrow: atypical endothelial cells; Purple arrow: adrenal hematoma. Note similarities to an aged adrenal hematoma
Green arrow: atypical endothelial cells; Purple arrow: adrenal hematoma. Note similarities to an aged adrenal hematoma

Figure 5. High-magnification view (400x) of Adrenal Angiosarcoma Stained with H&E. Published with Permission

Note atypical endothelial cells having epithelioid morphology, with copious amphophilic cytoplasm and vesicular nuclei
Note atypical endothelial cells having epithelioid morphology, with copious amphophilic cytoplasm and vesicular nuclei

The pathology result for the right adrenal tumor was epithelioid angiosarcoma with extensive surrounding hemorrhage, with negative tumor margins and an intact capsule. Consultation with the Department of Pathology at Brigham and Women’s Hospital confirmed this diagnosis, showing atypical endothelial cells with epithelioid morphology, amphophilic cytoplasm, and vesicular nuclei. The specimen stained positive for CD31 and ERG (ETS-related gene, an oncogene). Figure 1 shows cross-sectional imaging of the abdomen before and after the surgery. Figures 2 and 3 show the gross specimen (green arrows point to the tumor, and the purple arrow to the associated hematoma). Figures 4 and 5 show the microscopic histopathologic view of the specimen (green arrow points to the atypical endothelial cells, purple arrow to the hematoma).

The patient continued to do well postoperatively and followed up in the clinic. Based on the pathological diagnosis, the patient’s medical oncologist completed staging with a CT of the chest and head, which did not reveal evidence of metastases. A surveillance abdominal CT scan was obtained by oncology six weeks postoperatively and did not suggest any residual disease or recurrence of the tumor.

Discussion

Angiosarcoma is a rare, aggressive tumor of endothelial origin that accounts for 1% of all sarcomas and more commonly occurs in the head, neck, breast, skin, liver, heart, bone, and spleen.1,2 Approximately 62 cases of adrenal angiosarcomas have been reported in the last 53 years.1-51 As a whole, angiosarcomas have shown an improvement in the five-year survival rate, which is now 34-41%.49 Visceral angiosarcomas specifically have demonstrated improvement in the two-year survival rate, but the prognosis remains poor.49 One single-center retrospective study reported a median overall survival of five months for patients with visceral/deep soft tissue angiosarcomas versus greater than 60 months for angiosarcomas arising in other locations.49 Few, if any, case series investigate adrenal angiosarcomas alone, but for angiosarcomas as a whole, one retrospective study showed that a histopathological pattern of greater than ten mitotic figures per ten high power fields was associated with a worse prognosis.52

In the setting of an adrenal mass, other malignant neoplasms must be ruled out, such as adrenal cortical carcinoma, pheochromocytoma, metastatic adenocarcinoma, metastatic malignant melanoma, and the primary origin of angiosarcoma.22 Adrenal angiosarcomas may also be mistaken for benign neoplasms, like adrenal adenoma with hemorrhage and epithelioid hemangioendothelioma, especially since imaging may demonstrate benign features like calcification.22 In the case of adrenal incidentalomas, workup should include a history and physical exam. Signs and symptoms of adrenal hormone excess should be elucidated, and a 1 mg overnight dexamethasone suppression test can be performed to exclude hypercortisolism.53 Pheochromocytoma may be excluded by measurement of plasma-free metanephrines or urinary fractionated metanephrines.53 Aldosterone: renin ratio should be used to exclude primary aldosteronism, especially in patients who present with hypertension and hypokalemia.53 Functional adrenal malignancies usually secrete cortisol, though rarely may also secrete androgens such as dehydroepiandrosterone and testosterone,54 hence serum levels of these androgens may be included in the workup. A multiphase CT with adrenal protocol is the usual first-line imaging modality.55 It includes an unenhanced scan, a portal venous phase scan one minute after contrast injection, and a delayed phase scan (15 minutes after contrast). A fatty lesion on the unenhanced scan is diagnostic of a benign myelolipoma.55 A lesion with less than 10 Hounsfield units on the unenhanced scan is usually a benign adenoma.55 Benign adenomas also have rapid contrast washout, while malignant lesions retain contrast longer. Hence, the delayed-phase image can help distinguish these two categories.55 In general, MRIs (non-contrasted) are utilized in adrenal imaging when contrast administration is contra-indicated (e.g., advanced renal failure).55 MRI may also help clarify involvement/invasion of surrounding structures for large tumors. Small lesions on imaging (<4 cm) may need surveillance with sequential follow-up imaging at 6- to 12-month intervals.53 Lesions larger than 4 cm, symptomatic with pain, or lesions with worrisome imaging characteristics should undergo surgical resection. Patients with high-grade sarcoma should undergo a staging non-contrasted CT chest to rule out pulmonary metastases.56 In addition, angiosarcomas may metastasize to the brain; therefore, these patients should receive an MRI of the head (or CT head if an MRI is contra-indicated).56

Adrenal angiosarcoma more frequently affects males (n=39) than females (n=18) and occurs most frequently in the sixth and seventh decades of life (age range=38 to 85 years, with a mean of 60 years). The etiology of adrenal angiosarcoma remains unknown, but prior case reports have suggested an association with long-term vinyl chloride and direct arsenic exposure.8,36 It has not been associated with MEN syndrome, radiation exposure, or anabolic steroid use.22 Patients usually present with abdominal pain and less commonly with fatigue, weakness, and weight loss.1 Diagnostic workup is challenging since imaging shows heterogeneous intensity; biopsy specimens can include hemorrhage, necrosis, and cystic changes, which are non-specific and can be observed in other etiologies such as adrenal adenomas and pheochromocytomas.49 Gross examination findings after resection are variable, as the mass may be well-circumscribed or infiltrative.22 Histomorphology and immunohistochemistry are required to diagnose adrenal angiosarcoma definitively; the antigen markers CD31, CD34, and factor VIII are commonly expressed.49 Pathological diagnosis is occasionally difficult and may require consultation with a pathologist at a specialized cancer center, especially if the mass is large/invasive and the initial histopathological review is not diagnostic of malignancy. Most adrenal angiosarcomas have an epithelioid histologic pattern.43

Given the rarity of adrenal angiosarcomas, most studies of treatment and prognosis are based on retroperitoneal and intra-abdominal sarcomas of any histology. Surgical resection is the mainstay of therapy. As with many other malignancies, tumor rupture, gross residual tumor, and positive margins have been shown to decrease overall survival.57 One study of 500 patients showed that median overall survival was reduced from 103 months to 18 months if margins were positive.58 Some sarcoma centers have performed compartmental resections for retroperitoneal/intraabdominal sarcomas, in which adjacent uninvolved organs (e.g., colon, kidney) are resected due to the possibility of microscopic invasion/seeding.59 Retrospective studies have shown a survival benefit with this aggressive approach,59 but no randomized studies exist to date; thus, further studies are needed to substantiate a benefit. In addition, abdominal visceral angiosarcomas are known to be lymphangiophilic.60,61 Apart from the resection of grossly abnormal lymph nodes, formal guidelines for lymphadenectomy are lacking, given the rarity of these cases.

Current guidelines recommend a multidisciplinary evaluation and treatment approach to retroperitoneal sarcomas.56,62 Radiation therapy has been used in cases of positive margins or when incomplete resection is anticipated preoperatively.62 A large retrospective study showed a benefit to combined surgery and radiation therapy (compared with surgery alone), both for preoperative and postoperative radiation.63 Preoperative radiation is preferred to reduce the risk of tumor seeding and potentially improve the resectability of the tumor.56 If performed preoperatively, the usual dose is 50 Gy of external beam radiation therapy (EBRT). Lower-dose intraoperative radiation therapy or postoperative boost EBRT have been used when microscopic or gross residual diseases are encountered.56 A preoperative biopsy for tissue diagnosis is necessary for neoadjuvant therapies (to guide regimen selection) or if an etiology other than sarcoma is suspected on imaging.56 Chemotherapeutic agents have been used in some cases of retroperitoneal sarcoma, especially high-grade cases. These agents include doxorubicin, gemcitabine, and ifosfamide.62 However, given the rarity of these cases, studies have yet to show a survival benefit of chemotherapy for retroperitoneal sarcoma.64 For resectable tumors, if neoadjuvant therapies will not be utilized due to a large, symptomatic tumor that necessitates an upfront resection, a preoperative biopsy can be avoided given that it would not affect the patient’s management but would carry risks of bleeding and/or tumor seeding. Chemotherapy and radiation have been used for non-resectable tumors to improve resectability.56

Treatment of adrenal angiosarcomas specifically is challenging, given the rarity of the diagnosis. In the published case series to date, surgery is the mainstay of therapy with adjuvant anthracycline-based chemotherapy in cases of distant metastases.24 Although rare, bone, liver, pleura, jejunum, and lung metastases have been reported.1 Metastases are associated with worsened prognosis.65 Surgical resection of adrenal angiosarcomas should follow typical oncologic principles for complete resection without violating the capsule and ensuring negative margins. Radiation to the operative bed has also been utilized in certain cases of adrenal angiosarcoma in which the surgical margins were positive for tumor.66 Tumors less than 5 cm have a median overall survival of >60 months, compared with a median overall survival of 10 months for tumors greater than 5 cm.65 A prior case report also involved adjuvant radiation for a total of 50 Gy delivered after surgical resection of an adrenal angiosarcoma with a very close margin, and the patient was in remission as of 18 months postoperatively.42 Potentially due to the small number of cases, chemotherapy has not been shown to have a survival benefit for patients with angiosarcoma to date.67 Anthracyclines and taxanes have been utilized in patients with metastatic angiosarcoma. However, studies have rarely shown an overall survival greater than one year in these patients, usually less than six months.68

Surveillance is necessary, given the risk of local recurrence after retroperitoneal sarcoma resection. Studies are limited on the optimal surveillance schedule; however, current guidelines recommend a physical exam, chest radiograph, and abdominal CT/MRI every three to six months for the first two to three years postoperatively, then every six months for the next two years, then annually after that.56,62 Chest CT scans have not been shown to be more cost-effective compared with chest radiographs for early detection of pulmonary metastases.62 As with the index tumor, recurrences are treated with surgical resection (if possible) and neoadjuvant chemotherapy or radiation.56 The patient in our case study will continue with this surveillance plan (physical exam, abdominal CT scan, and chest radiograph every six months for the upcoming years).

Conclusion

Adrenal epithelioid angiosarcoma is a rare malignant tumor. Management includes surgical resection to negative margins, with adjuvant radiation in certain instances. Prognosis is worse with tumors larger than 5 cm.

Lessons Learned

Adrenal angiosarcoma is a rare tumor that requires a definitive diagnosis with histomorphology and immunohistochemistry. Treatment is surgical resection, with adjuvant radiation and chemotherapy in cases of positive margins and metastases, respectively. Prognosis is poor, although the five-year survival rate has improved.

Acknowledgments

We thank Drs. Yanxia Li (Advocate Christ Medical Center, Oak Lawn, IL) and Christopher Fletcher (Brigham and Women’s Hospital, Boston, MA) for conducting the histopathological diagnosis in this case study.

Authors

DeBruyn Eb; Hamed ABb; Salloum RHb; Mesleh MGab

Author Affiliations

  1. Department of Surgery, Advocate Christ Medical Center, Oak Lawn, IL 60453
  2. Department of Surgery, University of Illinois at Chicago College of Medicine, Chicago, IL 60612

Corresponding Author

Marc G. Mesleh, MD, FACS
Department of Surgery
4400 W. 95th Street
Ste. 413
Oak Lawn, IL 60453
Email: marc.mesleh@aah.org

Disclosure Statement

The authors have no conflicts of interest to disclose.

Funding/Support

The authors have no relevant financial relationships or in-kind support to disclose.

Received: July 4, 2021
Revision received: December 17, 2021
Accepted: January 24, 2022

References

  1. Stavridis S, Mickovski A, Filipovski V, Banev S, Dohcev S, Lekovski Lj. Epithelioid Angiosarcoma of the Adrenal gland. Report of a Case and Review of the Literature. Maced J Med Sci. 2010 0119.
  2. Young RJ, Brown NJ, Reed MW, Hughes D, Woll PJ. Angiosarcoma. Lancet Oncol. 2010;11(10):983-991. doi:10.1016/S1470-2045(10)70023-1
  3. Rasore-Quartino A. Tumore surrenale congenitao discordante (angiosarcoma) in gemello monozigote [Congenital discordant adrenal tumor (angiosarcoma) in a monozygotic twin]. Pathologica. 1967;59(873):153-158.
  4. Kern WH, Smart RD, Sherwin RP. Angiosarcoma of lungs and adrenal gland: unusual clinical and pathologic manifestations. Minn Med. 1967;50(9):1339-1343.
  5. Kareti LR, Katlein S, Siew S, Blauvelt A. Angiosarcoma of the adrenal gland. Arch Pathol Lab Med. 1988;112(11):1163-1165.
  6. Caplan RH, Kisken WA, Huiras CM. Incidentally discovered adrenal masses. Minn Med. 1991;74(8):23-26.
  7. Bosco PJ, Silverman ML, Zinman LM. Primary angiosarcoma of adrenal gland presenting as paraneoplastic syndrome: case report. J Urol. 1991;146(4):1101-1103. doi:10.1016/s0022-5347(17)38012-6
  8. Livaditou A, Alexiou G, Floros D, Filippidis T, Dosios T, Bays D. Epithelioid angiosarcoma of the adrenal gland associated with chronic arsenical intoxication?. Pathol Res Pract. 1991;187(2-3):284-289. doi:10.1016/S0344-0338(11)80785-5
  9. Ben-Izhak O, Auslander L, Rabinson S, Lichtig C, Sternberg A. Epithelioid angiosarcoma of the adrenal gland with cytokeratin expression. Report of a case with accompanying mesenteric fibromatosis. Cancer. 1992;69(7):1808-1812. doi:10.1002/1097-0142(19920401)69:7<1808::aid-cncr2820690724>3.0.co;2-e
  10. Fiordelise S, Zangrandi A, Tronci A, Rovereto B, Valentino RV, Bezzi E. Angiosarcoma of the adrenal gland. Case report. Arch Ital Urol Nefrol Androl. 1992;64(4):341-343.
  11. Schwenk W, Sarbia M, Haas R, Stock W. Primäres Hämangiosarkom als seltene Form eines Inzidentaloms der Nebenniere [Primary hemangiosarcoma as a rare form of an incidentally discovered mass of the adrenal glands]. Dtsch Med Wochenschr. 1994;119(7):217-221. doi:10.1055/s-2008-1058682
  12. Wenig BM, Abbondanzo SL, Heffess CS. Epithelioid angiosarcoma of the adrenal glands. A clinicopathologic study of nine cases with a discussion of the implications of finding “epithelial-specific” markers. Am J Surg Pathol. 1994;18(1):62-73.
  13. Jochum W, Schröder S, Risti B, Marincek B, von Hochstetter A. Zytokeratin-positives Angiosarkom der Nebenniere [Cytokeratin-positive angiosarcoma of the adrenal gland]. Pathologe. 1994;15(3):181-186. doi:10.1007/s002920050043
  14. McCleary AJ. Massive haemothorax secondary to angiosarcoma. Thorax. 1994;49(10):1036-1037. doi:10.1136/thx.49.10.1036
  15. Kern SB, Gott L, Faulkner J 2nd. Occurrence of primary renal angiosarcoma in brothers. Arch Pathol Lab Med. 1995;119(1):75-78.
  16. Sasaki R, Tachiki Y, Tsukada T, Miura K, Kato T, Saito K. Nihon Hinyokika Gakkai Zasshi. 1995;86(5):1064-1067. doi:10.5980/jpnjurol1989.86.1064
  17. Abboud E, Weisenberg E, Khan S, Rhone DP. Pathologic quiz case. Arch Pathol Lab Med. 1999;123(2):157-158. doi:10.5858/1999-123-0157-PQC
  18. Croitoru AG, Klausner AP, McWilliams G, Unger PD. Primary epithelioid angiosarcoma of the adrenal gland. Ann Diagn Pathol. 2001;5(5):300-303. doi:10.1053/adpa.2001.27917
  19. Ferrozzi F, Tognini G, Bova D, Zuccoli G, Pavone P. Hemangiosarcoma of the adrenal glands: CT findings in two cases. Abdom Imaging. 2001;26(3):336-339. doi:10.1007/s002610000152
  20. Invitti C, Pecori Giraldi F, Cavagnini F, Sonzogni A. Unusual association of adrenal angiosarcoma and Cushing’s disease. Horm Res. 2001;56(3-4):124-129. doi:10.1159/000048104
  21. Krüger S, Kujath P, Johannisson R, Feller AC. Primary epithelioid angiosarcoma of the adrenal gland case report and review of the literature. Tumori. 2001;87(4):262-265. doi:10.1177/030089160108700410
  22. Rodríguez-Pinilla SM, Benito-Berlinches A, Ballestin C, Usera G. Angiosarcoma of adrenal gland: report of a case and review of the literature. Rev Esp Patol. 2002;35(2):227–232.
  23. Mayayo Artal E, Gómez-Aracil V, Solé-Poblet JM, Pereira López JA. Angiosarcoma epitelioide de suprarrenal. A propósito de un caso [Epithelioid angiosarcoma of the adrenal gland. Report of a case]. Arch Esp Urol. 2002;55(10):261-264.
  24. Pasqual E, Bertolissi F, Grimaldi F, et al. Adrenal angiosarcoma: report of a case. Surg Today. 2002;32(6):563-565. doi:10.1007/s005950200099
  25. Sidoni A, Magro G, Cavaliere A, Scheibel M, Bellezza G. Angiosarcoma primitivo del surrene [Primary adrenal angiosarcoma]. Pathologica. 2003;95(1):60-63.
  26. Galmiche L, Morel HP, Moreau A, Labrosse PA, Coindre JM, Heymann MF. Angiosarcome primitif surrénalien [Primary adrenal angiosarcoma]. Ann Pathol. 2004;24(4):371-373. doi:10.1016/s0242-6498(04)93987-9
  27. Al-Meshan MK, Katchy KC. An unusual angiosarcoma. A case report. Med Princ Pract. 2004;13(5):295-297. doi:10.1159/000079532
  28. Azurmendi Sastre V, Llarena Ibarguren R, Eizaguirre Zarza B, Martín Bazaco J, Villafruela Mateos A, Pertusa Peña C. Angiosarcoma suprarrenal de células fusiformes. A propósito de un caso [Adrenal spindle cell angiosarcoma. Report one case]. Arch Esp Urol. 2004;57(2):156-160.
  29. Gambino G, Mannone T, Rizzo A, et al. Adrenal epithelioid angiosarcoma: a case report. Chir Ital. 2008;60(3):463-467.
  30. Schreiner AM, Hoda RS. Primary adrenal epithelioid angiosarcoma showing rhabdoid morphology on air-dried smears. Diagn Cytopathol. 2012;40 Suppl 2:E162-E164. doi:10.1002/dc.21690
  31. Lepoutre-Lussey C, Rousseau A, Al Ghuzlan A, et al. Primary adrenal angiosarcoma and functioning adrenocortical adenoma: an exceptional combined tumor. Eur J Endocrinol. 2012;166(1):131-135. doi:10.1530/EJE-11-0791
  32. Kędzierski L, Hawrot-Kawecka A, Holecki M, Duława J. Angiosarcoma of the adrenal gland. Pol Arch Med Wewn. 2013;123(9):502-503.
  33. Sebastiano C, Zhao X, Deng FM, Das K. Cystic lesions of the adrenal gland: our experience over the last 20 years. Hum Pathol. 2013;44(9):1797-1803. doi:10.1016/j.humpath.2013.02.002
  34. Sung JY, Ahn S, Kim SJ, Park YS, Choi YL. Angiosarcoma arising within a long-standing cystic lesion of the adrenal gland: a case report. J Clin Oncol. 2013;31(9):e132-e136. doi:10.1200/JCO.2012.44.0800
  35. Babinska A, Peksa R, Swiątkowska-Stodulska R, Sworczak K. The collection of five interesting cases of adrenal tumors from one medical center. World J Surg Oncol. 2014;12:377. Published 2014 Dec 8. doi:10.1186/1477-7819-12-377
  36. Criscuolo M, Valerio J, Gianicolo ME, Gianicolo EA, Portaluri M. A vinyl chloride-exposed worker with an adrenal gland angiosarcoma: a case report. Ind Health. 2014;52(1):66-70. doi:10.2486/indhealth.2013-0044
  37. Derlin T, Clauditz TS, Habermann CR. Adrenal epithelioid angiosarcoma metastatic to the epicardium: diagnosis by 18F-FDG PET/CT. Clin Nucl Med. 2012;37(9):914-915. doi:10.1097/RLU.0b013e318262af6b
  38. Hayashi T, Gucer H, Mete O. A mimic of sarcomatoid adrenal cortical carcinoma: epithelioid angiosarcoma occurring in adrenal cortical adenoma. Endocr Pathol. 2014;25(4):404-409. doi:10.1007/s12022-014-9330-y
  39. Hendry S, Forrest C. Epithelioid angiosarcoma arising in an adrenal cortical adenoma: a case report and review of the literature. Int J Surg Pathol. 2014;22(8):744-748. doi:10.1177/1066896914532541
  40. Cornejo KM, Hutchinson L, Cyr MS, et al. MYC Analysis by Fluorescent In Situ Hybridization and Immunohistochemistry in Primary Adrenal Angiosarcoma (PAA): a Series of Four Cases. Endocr Pathol. 2015;26(4):334-341. doi:10.1007/s12022-015-9385-4
  41. Gusenbauer K, Ruzhynsky V, Kak I, et al. Angiosarcoma of the adrenal gland with concurrent contralateral advanced renal cell carcinoma: A diagnostic and management dilemma. Can Urol Assoc J. 2015;9(5-6):E302-E305. doi:10.5489/cuaj.2322
  42. Fuletra JG, Ristau BT, Milestone B, et al. Angiosarcoma of the Adrenal Gland Treated Using a Multimodal Approach. Urol Case Rep. 2016;10:38-41. Published 2016 Dec 1. doi:10.1016/j.eucr.2016.11.003
  43. Grajales-Cruz A, Baco-Viera F, Rive-Mora E, et al. Primary Adrenal Angiosarcoma: A Rare and Potentially Misdiagnosed Tumor. Cancer Control. 2017;24(2):198-201. doi:10.1177/107327481702400213
  44. Miladi S, Harrar Y, Battistella M, et al. Angiosarcome épithélioïde surrénalien primitif simulant un carcinome peu différencié [Primary epithelioid adrenal angiosarcoma mimicking undifferentiated carcinoma]. Ann Pathol. 2017;37(2):162-165. doi:10.1016/j.annpat.2016.10.002
  45. Takizawa K, Kohashi K, Negishi T, et al. A exceptional collision tumor of primary adrenal angiosarcoma and non-functioning adrenocortical adenoma. Pathol Res Pract. 2017;213(6):702-705. doi:10.1016/j.prp.2017.04.017
  46. Cancan G, Teksöz S, Demiryas S, Özcan M, Bükey Y. Adrenal angiosarcoma. Turk J Surg. 2018;34(2):146-148. Published 2018 Jan 3. doi:10.5152/turkjsurg.2017.3141
  47. Ishii S, Omori S, Uesugi N, et al. A case of angiosarcomas which occurred in an adrenal gland and spleen synchronously. Int Cancer Conf J. 2018;7(4):134-136. Published 2018 Jul 6. doi:10.1007/s13691-018-0337-y
  48. Yang F, Yang Y, Yu J, et al. Primary epithelioid angiosarcoma of the adrenal gland: aggressive histological features and clinical behavior. Int J Clin Exp Pathol. 2018;11(5):2721-2727. Published 2018 May 1.
  49. Antao N, Ogawa M, Ahmed Z, Piao J, Poddar N. Adrenal Angiosarcoma: A Diagnostic Dilemma. Cureus. 2019;11(8):e5370. Published 2019 Aug 12. doi:10.7759/cureus.5370
  50. Elbaset MA, Zahran MH, Badawy M, Elhameed MA, Osman Y. Report of two rare cases of adrenal incidentalomas with different origins: revisiting pathological and radiological findings with a short review of the literature. J Egypt Natl Canc Inst. 2020;32(1):25. Published 2020 May 27. doi:10.1186/s43046-020-00039-z
  51. Imran S, Allen A, Saeed DM, Garzon S, Xie K. Adrenal angiosarcoma with metastasis: Imaging and histopathology of a rare adrenal cancer. Radiol Case Rep. 2020;15(5):460-466. Published 2020 Feb 22. doi:10.1016/j.radcr.2020.01.016
  52. Naka N, Ohsawa M, Tomita Y, et al. Prognostic factors in angiosarcoma: a multivariate analysis of 55 cases. J Surg Oncol. 1996;61(3):170-176. doi:10.1002/(SICI)1096-9098(199603)61:3<170::AID-JSO2>3.0.CO;2-8
  53. Strauss SJ, Frezza AM, Abecassis N, et al. Bone sarcomas: ESMO-EURACAN-GENTURIS-ERN PaedCan Clinical Practice Guideline for diagnosis, treatment and follow-up. Ann Oncol. 2021;32(12):1520-1536. doi:10.1016/j.annonc.2021.08.1995
  54. Kumar V, Misra S, Chaturvedi A. Retroperitoneal sarcomas- a challenging problem. Indian J Surg Oncol. 2012;3(3):215-221. doi:10.1007/s13193-012-0152-4
  55. Nussbaum DP, Rushing CN, Lane WO, et al. Preoperative or postoperative radiotherapy versus surgery alone for retroperitoneal sarcoma: a case-control, propensity score-matched analysis of a nationwide clinical oncology database. Lancet Oncol. 2016;17(7):966-975. doi:10.1016/S1470-2045(16)30050-X