Unsupported Browser
The American College of Surgeons website is not compatible with Internet Explorer 11, IE 11. For the best experience please update your browser.
Menu
Become a member and receive career-enhancing benefits

Our top priority is providing value to members. Your Member Services team is here to ensure you maximize your ACS member benefits, participate in College activities, and engage with your ACS colleagues. It's all here.

Become a Member
Become a member and receive career-enhancing benefits

Our top priority is providing value to members. Your Member Services team is here to ensure you maximize your ACS member benefits, participate in College activities, and engage with your ACS colleagues. It's all here.

Become a Member
ACS
ACS Case Reviews

A Large Extraovarian Granulosa Cell Tumor of the Retroperitoneal Space

October 20, 2023

Abstract

Background

A 66-year-old woman with a history of diabetes mellitus, class II obesity, hypothyroidism, hypertension, and hysterectomy with bilateral salpingo-oophorectomy (BSO), presented to her primary care provider eight months after noticing a palpable lump inferior to her umbilicus. She reported increasing levels of pain in her left lower quadrant, fatigue, abdominal distension, and a decreased appetite, resulting in a 30-pound weight loss in the span of four months. A CT scan revealed a large, centrally necrotic mass measuring 13.4 × 11.0 × 14.0 cm in the left lower quadrant. The patient underwent radical resection of the mass, requiring en bloc resection of the sigmoid colon. Immunohistochemistry was positive for inhibin-alpha, S100, actin, SF1, and pan-cytokeratin with retained INI-1 expression, indicating that the tumor was an adult granulosa cell tumor (GCT).

Summary

GCTs of the ovary are rare neoplasms that arise from sex-cord stromal cells and account for 2% to 5% of all ovarian cancers. Interestingly, women who have undergone oophorectomy may still develop GCTs. However, it is exceedingly rare for a GCT to originate primarily in the retroperitoneal space, with only several cases reported in the literature to date. In this particular case, an initial differential diagnosis did not include a GCT, likely due to the patient's history of BSO and the tumor's unusual location. However, after subsequent review and additional immunohistochemistry, the lesion was found to be diffusely positive for inhibin-alpha and SF1, and a definitive diagnosis of adult GCT was made.

Conclusion

This case report illustrates the diagnostic and treatment challenges associated with this rare tumor in an uncommon location. GCT should be considered in the differential diagnosis of tumors in this location, especially in women with a previous history of oophorectomy. Complete surgical resection is recommended. Thorough pathologic assessment, including comprehensive immunohistochemical evaluation, is important in the accurate diagnosis and risk stratification of these tumors.

Key Words

granulosa cell tumor; retroperitoneal tumor; ovarian remnant syndrome


Case Description

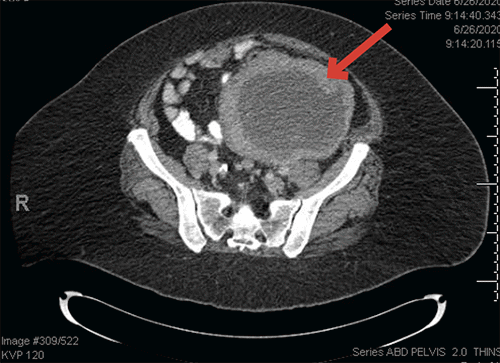
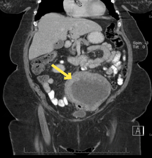
A 66-year-old woman with a history of diabetes mellitus, class II obesity, hypothyroidism, hypertension, and hysterectomy with bilateral salpingo-oophorectomy (BSO) for uterine leiomyoma that was performed 16 years prior presented to her primary care provider eight months after noticing a palpable lump inferior to her umbilicus. She reported increasing levels of pain in her left lower quadrant, fatigue, abdominal distension, and a decreased appetite, resulting in a 30-pound weight loss over four months. A physical exam was pertinent for a nontender palpable mass in the left lower quadrant. Computed tomography (CT) scan revealed a large, centrally necrotic mass measuring 13.4 × 11.0 × 14.0 cm in the left lower quadrant abutting the proximal sigmoid colon with noted enlargement of the left paraaortic, high rectal, perisigmoid, and left external iliac lymph nodes (Figure 1A). A CT-guided biopsy of the mass was concerning for a low-grade epithelioid neoplasm with immunohistochemistry positive for cytokeratin OSCAR, cytokeratin AE1/AE3, S100, smooth muscle actin (SMA), and weakly positive for epithelial matrix antigen (EMA) and calponin, which made it difficult to classify the tumor definitively. There was no evidence of metastatic disease on cross-sectional imaging of the chest or abdomen, and laboratory tests were within normal limits. A colonoscopy was performed due to the proximity of the tumor to the sigmoid colon. It showed congested mucosa within the sigmoid colon but no erosion of the tumor into the lumen.

Figure 1. Abdominal and Pelvic CT. Published with Permission

A) Note large, centrally necrotic mass in the left lower quadrant (red arrow)
A) Note large, centrally necrotic mass in the left lower quadrant (red arrow)
B) Necrotic mass demonstrating adherence to the colon (yellow arrow)
B) Necrotic mass demonstrating adherence to the colon (yellow arrow)

The patient underwent radical resection of the mass. Intraoperatively, the mass was found to be significantly adhered to the sigmoid and descending colon, requiring en bloc resection of the sigmoid colon (Figure 1B). The patient recovered well postoperatively; she did require a postoperative transfusion of one unit of packed red blood cells due to acute blood loss anemia. She was discharged home on postoperative day nine.

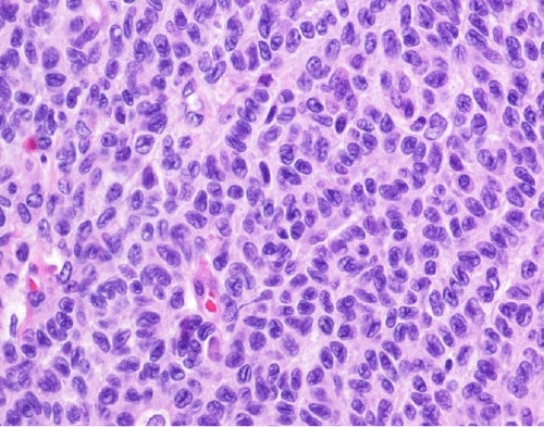
Pathology revealed a 15 × 13 × 10 cm predominantly circumscribed mass with focally infiltrative margins (Figure 2). Histologic assessment of the tumor revealed areas of infarct-like necrosis and hemorrhage. The tumor was composed of cells with indistinct to delicate borders without gland formation with ovoid, grooved nuclei sometimes growing in a distinctive lace-like pattern (Figure 3). The tumor cells had a low mitotic rate without atypical mitosis. Immunohistochemistry was positive for inhibin-alpha, S100, actin, SF1, and pan-cytokeratin with retained INI-1 expression, indicating that the tumor was an adult granulosa cell tumor (GCT). Cytogenetics was negative for abnormalities.

Figure 2. Gross Surgical Specimen of Adult Granulosa Cell Tumor. Published with Permission

Figure 3. Histologic Section From Tumor Mass. Published with Permission

Note cells with indistinct to delicate borders without gland formation arranged in a trabecular pattern with moderately atypical nuclei with nuclear grooves and small nucleoli
Note cells with indistinct to delicate borders without gland formation arranged in a trabecular pattern with moderately atypical nuclei with nuclear grooves and small nucleoli

Discussion

GCTs of the ovary are rare neoplasms that arise from sex-cord stromal cells and account for 2-5% of all ovarian cancers.1-4 They may recur or metastasize many years after initial treatment.5 GCTs may arise in areas of the body besides the ovary but are less commonly observed.3,6 In these instances, the possibility of metastasis has to be ruled out before the diagnosis of extraovarian GCT can be made.5 Interestingly, women who have undergone oophorectomy may still develop GCTs.3,6 Extraovarian GCTs have been reported in the broad ligament, mesentery, omentum, liver, and adrenals.1,5-9 It is exceedingly rare for a GCT to originate primarily in the retroperitoneal space, with only several cases reported in the literature to date.1,3,4

The gross appearance of GCTs is variable but generally exhibits a combination of cystic and solid components, with intracystic hemorrhage being very common.5 Tumor cytology will show cells with moderately pale cytoplasm and monomorphic round to oval nuclei having longitudinal grooves and granular chromatin (aka 'coffee-bean nuclei'), which was seen in our patient.6 The characteristic Call-Exner bodies (amorphous globular structures) are present in 30-60% of cases but were not observed in this case.6 Immunostains can help to diagnose and differentiate GCTs from other malignancies.3 GCTs will be positive for inhibin, SF1, and FOXL2 and negative for epithelial membrane antigen (EMA), cytokeratin 7, and chromogranin.5

In this particular case, an initial differential diagnosis did not include a GCT. The patient's history of BSO and the tumor's unusual location made a GCT highly unlikely. However, after subsequent review and immunohistochemistry that was diffusely positive for inhibin-alpha and SF1, a definitive diagnosis of adult GCT was made.

Another possible explanation for this case presentation is ovarian remnant syndrome (ORS). ORS is rare; however, given this patient's history of BSO and presentation with pelvic pain and mass, the possibility of malignancy arising from ORS is reasonable to include in a differential diagnosis. ORS is characterized by pelvic pain arising from residual ovarian tissue left in situ after incomplete removal following unilateral or bilateral oophorectomy. This syndrome was first described in 1970 by Shemwell and Weed, who showed that de-vascularized ovarian tissue left in situ was able to re-implant and regain endocrine function.10 The major risk factors associated with ovarian remnant syndrome are multiple prior abdominal or pelvic surgeries and a history of endometriosis, pelvic adhesions, or pelvic inflammatory disease.11-13 The incidence of this condition is not defined in the current literature. However, it is suggested that it is on the rise and may be related to the increased use of the laparoscopic approach.13 While chronic pelvic pain is the most common and characteristic outcome of this syndrome, the less frequent development of ovarian tumors from tissue remnants is documented in the literature. Malignant tumors that arise from an ovarian remnant are a rare event; as of 2014, only 12 such tumors have been described in the literature, with no further case studies since that time.14

The recommended treatment for GCT is surgical resection. Our patient underwent radical resection of the tumor with negative surgical margins and lymph nodes negative for malignancy. Her case was discussed in a multidisciplinary tumor board, and it was recommended that no further treatment was necessary given the absence of overt malignancy in the resection specimen. Surveillance of inhibin levels and annual cross-sectional imaging is planned, especially since relapse has been observed with these types of tumors.3

Conclusion

This case report illustrates the diagnostic and treatment challenges associated with this rare tumor in an uncommon location. GCT should be considered in the differential diagnosis of tumors in this location, especially in women with a previous history of oophorectomy. Complete surgical resection is recommended. Thorough pathologic assessment, including comprehensive immunohistochemical evaluation, is important in the accurate diagnosis and risk stratification of these tumors.

Lessons Learned

GCT should be considered a rare cause of retroperitoneal tumors. Complete surgical resection should be completed as soon as possible to prevent potential adherence to surrounding structures, causing increased disease morbidity.

Authors

Ramey SJa; McGough-Maduen Aa,b; Nick CMa,c; Fahy BNd

Author Affiliations

  1. University of New Mexico School of Medicine, Albuquerque, NM 87131
  2. Department of Obstetrics and Gynecology, University of New Mexico, Albuquerque, NM 87131
  3. Department of Pathology, University of New Mexico, Albuquerque, NM 87131
  4. Department of Surgery, Division of Surgical Oncology, University of New Mexico, Albuquerque, NM 87131

Corresponding Author

Bridget N. Fahy, MD
Department of Surgery, Division of Surgical Oncology
University of New Mexico
1 University of New Mexico, MSC-07-4025
Albuquerque, NM 87131
Email: bfahy@salud.unm.edu

Disclosure Statement

The authors have no conflicts of interest to disclose.

Funding/Support

The authors have no relevant financial relationships or in-kind support to disclose.

Received: March 16, 2021
Accepted: August 15, 2021

References

  1. Evans AT 3rd, Gaffey TA, Malkasian GD Jr, Annegers JF. Clinicopathologic review of 118 granulosa and 82 theca cell tumors.Obstet Gynecol. 1980;55(2):231-238.
  2. Pectasides D, Pectasides E, Psyrri A. Granulosa cell tumor of the ovary. Cancer Treat Rev. 2008;34(1):1-12. doi:10.1016/j.ctrv.2007.08.007
  3. Al-Shraideh Y, Mahfooz AB, Aslam M, Alhazmi A, Alshakweer W. Primary retroperitoneal granulosa cell tumor. UroToday Int J. 2012;5 art 61.
  4. Vasu PP, Leelamma JP, Mohammed BA, Yesodharan J. Primary granulosa cell tumor of retroperitoneal origin: A rare presentation with emphasis on cytomorphology. J Cytol. 2016;33(1):52-54. doi:10.4103/0970-9371.175527
  5. Naniwadekar MR, Patil NJ. Extraovarian granulosa cell tumor of mesentery: a case report. Patholog Res Int. 2010;2010:292606. Published 2010 Mar 4. doi:10.4061/2010/292606
  6. Paul PC, Chakraborty J, Chakrabarti S, Chattopadhyay B. Extraovarian granulosa cell tumor. Indian J Pathol Microbiol. 2009;52(2):231-233. doi:10.4103/0377-4929.48928
  7. Kim SH, Park HJ, Linton JA, et al. Extraovarian granulosa cell tumor. Yonsei Med J. 2001;42(3):360-363. doi:10.3349/ymj.2001.42.3.360
  8. Orselli RC, Bassler TJ. Theca granuloma cell tumor arising in adrenal. Cancer. 1973;31(2):474-477. doi:10.1002/1097-0142(197302)31:2<474::aid-cncr2820310227>3.0.co;2-r
  9. Czernobilsky B, Lifschitz-Mercer B, Trejo L, Atlas I. Granulosa cell tumor of the broad ligament: report of a case with emphasis on the differential diagnosis with female adnexal tumor of probable Wolffian origin. Int J Surg Pathol. 2011;19(6):783-786. doi:10.1177/1066896909356104
  10. Shemwell RE, Weed JC. Ovarian remnant syndrome. Obstet Gynecol. 1970;36(2):299-303.
  11. Nezhat CH, Seidman DS, Nezhat FR, Mirmalek SA, Nezhat CR. Ovarian remnant syndrome after laparoscopic oophorectomy. Fertil Steril. 2000;74(5):1024-1028. doi:10.1016/s0015-0282(00)01604-6
  12. Kho RM, Abrao MS. Ovarian remnant syndrome: etiology, diagnosis, treatment and impact of endometriosis. Curr Opin Obstet Gynecol. 2012;24(4):210-214. doi:10.1097/GCO.0b013e3283558539
  13. Magtibay PM, Magrina JF. Ovarian remnant syndrome. Clin Obstet Gynecol. 2006;49(3):526-534. doi:10.1097/00003081-200609000-00012
  14. Imai A, Matsunami K, Takagi H, Ichigo S. Malignant neoplasia arising from ovarian remnants following bilateral salpingo-oophorectomy (Review). Oncol Lett. 2014;8(1):3-6. doi:10.3892/ol.2014.2089