Unsupported Browser
The American College of Surgeons website is not compatible with Internet Explorer 11, IE 11. For the best experience please update your browser.
Menu
Become a member and receive career-enhancing benefits

Our top priority is providing value to members. Your Member Services team is here to ensure you maximize your ACS member benefits, participate in College activities, and engage with your ACS colleagues. It's all here.

Become a Member
Become a member and receive career-enhancing benefits

Our top priority is providing value to members. Your Member Services team is here to ensure you maximize your ACS member benefits, participate in College activities, and engage with your ACS colleagues. It's all here.

Become a Member
ACS
Case Reviews in Surgery

Pleural Pigtail Catheter Malpositioned In Thoracic Aortic Aneurysm Sac in a Hemodynamically Stable Patient: Case Report and Review of the Literature

Pleural Pigtail Catheter Malpositioned In Thoracic Aortic Aneurysm Sac in a Hemodynamically Stable Patient: Case Report and Review of the Literature

March 1, 2021

Abstract

Background

A comprehensive literature review did not reveal any published cases describing management strategies for a thoracic drain accidentally placed within an aneurysm sac.

Case Report Summary

An 85-year-old male with extensive medical history, including a 7.9 cm extent I thoracoabdominal aortic aneurysm (TAAA), presented to a referring hospital with dyspnea. A 7-French pigtail catheter was placed under computed tomography (CT) guidance through a posterior approach to drain a newly identified large left sided pleural effusion. Upon placement, the patient became hypotensive and there was immediate blood return from the catheter. The catheter was found to have been placed in the aneurysm sac. The catheter was clamped and secured before transfer to our institution, where he underwent a thin-slice computed tomography angiography (CTA) of the chest for preoperative planning and then removal of the thoracic drain, without aneurysm repair, in the hybrid operating room. The patient’s postoperative course was uneventful from a vascular perspective.

Conclusion

Iatrogenic aneurysm sac disruption does not always result in aneurysm rupture. Removal of such a misplaced catheter requires preoperative planning with imaging studies as well as intraoperative preparedness and coordination between the surgical and anesthesia teams in the event of loss of containment and the need for emergent aortic repair.

Key Words

Pleural pigtail catheter, thoracic aortic aneurysm, iatrogenic aortic injury


Case Description

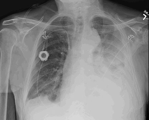
The patient is an 85-year-old male with a 7.9 cm extent I TAAA for which only open repair had been proposed. He and his family had elected against repair due to the severity of his many comorbid conditions and the high risk of the operation. His medical history is also significant for mild dementia, coronary artery disease, oxygen-dependent chronic obstructive pulmonary disease, recent pulmonary embolism (on rivaroxaban), and marginal zone lymphoma with mediastinal spread treated with palliative chemotherapy and radiation that was completed two weeks prior to the patient’s presentation to the referring hospital with dyspnea. Additionally, he had just completed antibiotic therapy for pneumonia and was found to have a fungal urinary tract infection at admission to the referring institution. Chest X ray (Figure 1) revealed a large left sided pleural effusion, presumed to be either malignant or parapneumonic, for which a 7-French pleural pigtail catheter was placed through a posterior approach under CT guidance.

Figure 1. Left sided pleural effusion visible on chest radiograph
Figure 1. Left sided pleural effusion visible on chest radiograph

Figure 1. Left sided pleural effusion visible on chest radiograph

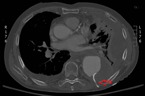
Upon placement, there was immediate brisk and bright red blood return from the catheter as well as transient hypotension that responded to a saline bolus. The catheter was clamped, and a post-procedure non-contrasted CT of the chest confirmed catheter placement within the aneurysm sac of his known TAAA. The patient remained hemodynamically stable after the initial transient drop in blood pressure and was transferred emergently to our institution. A 1 mm slice CTA was obtained for better anatomical detail, three-dimensional reconstruction, and centerline measurements in the event that aortic repair would be required (Figure 2 and Figure 3). At the site of chest wall entry, the aneurysm sac was immediately adjacent to the posterior chest wall. The catheter was primarily traversing organized, mural thrombus, but the curved distal tip was just within the patent lumen.

Figure 2. Axial CT angiogram chest demonstrating pigtail catheter visible in TAA sac with no active extravasation of contrast. Arrow indicates catheter.
Figure 2. Axial CT angiogram chest demonstrating pigtail catheter visible in TAA sac with no active extravasation of contrast. Arrow indicates catheter.

Figure 2. Axial CT angiogram chest demonstrating pigtail catheter visible in TAA sac with no active extravasation of contrast. Arrow indicates catheter.

Figure 3. 3-dimensional reconstruction of CTA in coronal and oblique views demonstrating the catheter within the TAAA
Figure 3. 3-dimensional reconstruction of CTA in coronal and oblique views demonstrating the catheter within the TAAA

Figure 3. 3-dimensional reconstruction of CTA in coronal and oblique views demonstrating the catheter within the TAAA

Open repair was likely prohibitively risky and the patient and his family did not provide consent for that operation. Endovascular aneurysm repair was possible, but not ideal due to active infection. The planned proximal landing zone required coverage of the left subclavian artery. The distal landing zone was planned for just above the celiac artery where the aorta was still clearly diseased, but not so dilated that we could not obtain a seal. There was also a discussion about the role of a closure device, although this was abandoned given the thick mural thrombus and very short distance between the outer wall of the aorta and the patient’s skin. We also decided against obtaining wire access through the pigtail catheter in order to place a plug or coil within the mural thrombus for fear that this manipulation may, in fact, enlarge the defect in the mural thrombus without providing much benefit.

The patient was taken to the hybrid operating room for catheter removal and possible endovascular aneurysm repair. Notably, he was becoming hypotensive prior to entering the operating room, with blood pressures decreasing from the 130/80s range to 100/50s range during induction of anesthesia; small boluses of phenylephrine, norepinephrine, and 500ml of albumin bolus were required to maintain blood pressures of 100/50. The patient was positioned supine with the left chest bumped up into semi-decubitus position to allow visualization of the catheter as it exited the posterolateral chest. At this time, the patient became hypotensive again to 80/40. The left chest, abdomen, and bilateral groins were prepped into the sterile field. With ultrasound guidance, the right common femoral artery was accessed and a 5-French sheath placed. Over a guidewire, a pigtail catheter was advanced into the aortic arch. An aortogram (Figure 4) was obtained and ruled out aortic rupture as the cause of the hypotension.

Figure 4: intraoperative aortogram demonstrating aneurysmal degeneration of the thoracic aorta without evidence of rupture
Figure 4: intraoperative aortogram demonstrating aneurysmal degeneration of the thoracic aorta without evidence of rupture

Figure 4: intraoperative aortogram demonstrating aneurysmal degeneration of the thoracic aorta without evidence of rupture

With continued fluid resuscitation, blood pressures normalized over the duration of the operation and vasoactive medications were no longer needed. Then, the left common femoral artery was accessed and a double curved Lunderquist wire was placed into the ascending aorta in preparation for possible emergent stent graft deployment.

The pleural catheter was then removed by gently pulling it out of the chest. No wire access via the catheter was obtained. An aortogram was repeated immediately and five minutes after removal. Neither demonstrated any evidence of contrast extravasation. There was successful removal of the malpositioned pleural pigtail catheter with no adverse events and no need for endovascular stent deployment for aneurysm exclusion. The patient remained hemodynamically stable during catheter removal and subsequent aortograms. Percutaneous closure devices were used in bilateral groins. The patient was extubated and returned to the critical care unit postoperatively.

Postoperative CTA of the chest was obtained 72 hours later, which also demonstrated no extravasation of contrast or pseudoaneurysm formation at the site of iatrogenic aortic injury.

Discussion

The incidence of pleural catheter placement into a TAAA sac, or other similar iatrogenic injuries, is unknown. A comprehensive literature review reveals no case reports of this occurrence; however, there are reports of pleural catheter placement with injury to other smaller vessels (intercostal vessels).1-4 There are also numerous studies outlining the benefits of image guided pleural catheter placement as one way to decrease complications associated with catheter placement, but none report catheter placement into an aortic aneurysm.5-8 Accidental placement of a pleural catheter into an aneurysm is not one of the many described potential complications of pigtail catheter insertion.9-11

Since there are not any comparable cases in the literature, there were no defined guidelines for management. Anecdotal stories of similar cases resulted in thoracotomy, catheter removal under direct visualization and primary aortic repair; however, the risk of that approach in this chronically ill patient with complex aortic disease outweighed the benefit. Discussion prior to intervention stressed the need for a plan in the event of hemodynamic instability and aortic rupture during catheter removal. We did entertain various options, including deployment of a closure device, coiling or injection of gelfoam along the catheter tract, thoracic endograft placement prior to removal of the catheter, and thoracotomy with removal of the catheter under direct visualization. The decision was made to attempt catheter removal without aortic repair due to poor candidacy for open repair and the risk of placing an endograft in the presence of active infections. However, in the event of rupture, an endograft would be placed despite possible long term risks. For this reason, prior to proceeding to the operating room, CTA endovascular protocol was performed and 3-dimensional aortic reconstruction software was used to prepare for the possible need for emergent stent graft deployment. Additionally, all equipment, including a Coda balloon for aortic occlusion and the appropriately sized thoracic endograft, were immediately available in the operating room.

Conclusion

As previously stated, there are no reported cases involving a malpositioned pleural pigtail catheter located in a TAAA. This case highlights the need for preparedness in the setting of uncertainty when proceeding to the operating room. Since catheter removal is not optional, preoperative planning for an aortic rupture is paramount in preparing for the intervention. Readiness for endovascular control and repair, and in some cases open repair, is key. Luckily, in this case, there was no need for intervention as the patient remained hemodynamically stable during catheter removal. This case, however, highlights the need to be prepared for the worst possible outcome, but also demonstrates that major aortic intervention is not required for all iatrogenic aortic injuries.

Lessons Learned

Pleural pigtail catheter inadvertently placed into a TAAA is an infrequent complication, but one with possibly fatal consequences. If the patient is hemodynamically stable, preoperative imaging, such as CTA is useful in planning for catheter removal. Transfer to a center with advanced vascular surgery capability is also advisable as a precautionary measure. Preparedness for possible endovascular or open repair of the aneurysm upon intraoperative catheter removal is of the utmost importance, but may not be necessary.

Authors

Antonescu I, Charnock BL, McGinigle KL

Correspondence Author

Katharine McGinigle, MD, MPH
UNC Division of Vascular Surgery
3021 Burnett-Womack Bldg. CB#7212
Chapel Hill, NC 27599-7212
919-966-3391
Katharine_mcginigle@med.unc.edu

Author Affiliations

Department of Surgery
University of North Carolina School of Medicine
Chapel Hill, NC

Meeting Presentation

Charnock BL. The case of Mr. PB: An 85-year-old male, emergent transfer for "we put a pigtail in his aorta." Endovascular Therapies, Management Strategies for Vascular Patients. Pinehurst, North Carolina. October 2016. Case presentation.

References

  1. Yacovone ML, Kartan R, Bautista M. Intercostal artery laceration following thoracentesis. Respir Care. 2010; 55: 1495-1498.
  2. Kanai M, Sekiguchi H. Avoiding vessel laceration in thoracentesis: a role of vascular ultrasound with color Doppler. Chest. 2015; 147; 5-7.
  3. De Boer SW, Kastelijn EA, Schramel FMNH. An unusual location of a pleural catheter: Small is the gate and narrow the road that leads to it, and only very few find it. Clin Res Pulmonol. 4(1): 1036 (2016).
  4. Koyanagi T, Kawaharada N, Kurimoto Y, Ito T, et al. Examination of intercostal arteries with transthoracic Doppler sonography. Echocardiography. 2010; 27:17-20.
  5. Sabath B, Hakim R, Yung R. An 87-year-old woman with pleural effusion and tortuous aorta. Chest. 2017; 151(2);e21-e24.
  6. Bartter T, Mayo PD, Pratter MR, et al. Lower risk and higher yield for thoracentesis when performed by experience operators. Chest. 1993; 103:1873-1876.
  7. Seneff MG, Corwin RW, Gold LH, Irwin RS. Complications associated with thoracentesis. Chest. 1986;90:97-100.
  8. Diacon AH, Brutsche MH, Soler M. Accuracy of pleural puncture sites: a prospective comparison of clinical examination with ultrasound. Chest. 2003; 123:436-441.
  9. Hogg JR, Caccavale M, Gillen B, McKenzie G, et al. Tube Thoracostomy: A review for the interventional radiologist. Semin Intervent Radiol. 2011 Mar; 28(1): 39-47.
  10. Tremblay A, Michaud G. Single-center experience with 250 tunneled pleural catheter insertions for malignant pleural effusions. Chest. 2006 Feb; 129(2):362-8.
  11. Van Meter ME, McKee KY, Kohlwes RJ. Efficacy and safety of tunneled pleural catheters in adults with malignant pleural effusions: a systematic review. J Gen Intern Med. 2011; 26(1):70-76.