Unsupported Browser
The American College of Surgeons website is not compatible with Internet Explorer 11, IE 11. For the best experience please update your browser.
Menu
Become a member and receive career-enhancing benefits

Our top priority is providing value to members. Your Member Services team is here to ensure you maximize your ACS member benefits, participate in College activities, and engage with your ACS colleagues. It's all here.

Become a Member
Become a member and receive career-enhancing benefits

Our top priority is providing value to members. Your Member Services team is here to ensure you maximize your ACS member benefits, participate in College activities, and engage with your ACS colleagues. It's all here.

Become a Member
ACS
ACS Case Reviews

A Unique Presentation of Sepsis in a Pediatric Patient with Acute Lymphocytic Leukemia

March 8, 2023

Abstract

Background

Intussusception is a common cause of bowel obstruction in the pediatric population. Malignant lesions account for up to 30% of all cases of intussusception in the small intestine. Leukemic involvement of the gastrointestinal tract is well documented. However, clinically significant gastrointestinal complications in children with acute lymphoblastic leukemia (ALL) are uncommon. The classic symptoms of intussusception in children receiving cancer chemotherapy, including abdominal pain, vomiting, and bloody stool, are often absent or masked, leading to a delay in diagnosis and treatment. Herein, we describe a unique case report involving sepsis and intussusception in a pediatric patient with ALL.

Summary

A 13-year-old female with newly diagnosed high-risk precursor B cell ALL presented to the emergency department with worsening abdominal pain on day 14 of induction chemotherapy. She was febrile, hypotensive, tachycardic, and pancytopenic. A CT scan of the abdomen demonstrated three areas of intussusception within the small bowel. Due to her worsening hemodynamic status and abdominal pain, the patient underwent a diagnostic laparoscopy with a reduction of a long segment of jejunojejunal intussusception and aspiration of ascites fluid for culture. Postoperatively the patient improved quickly.

Conclusion

This report demonstrates a unique presentation of intussusception complicated by Escherichia coli bacteremia and surgical intervention in a pediatric patient with ALL. The intussusception was likely secondary to leukemic infiltrates versus motility changes from the chemotherapy. The bacterial translocation and subsequent bacteremia were likely caused by microscopic mucosal disruption secondary to the intussuscepted state of the intestine.

Key Words

acute lymphoblastic leukemia; intussusception; induction chemotherapy


Case Description

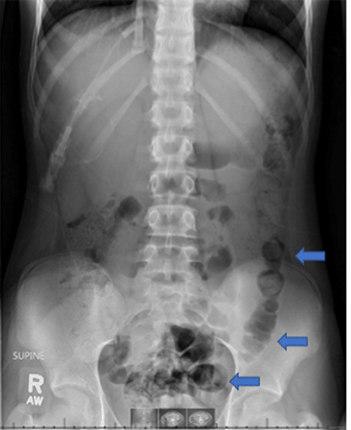
A 13-year-old female with newly diagnosed high-risk precursor B cell acute lymphocytic leukemia (ALL) presented to the emergency department (ED) with worsening abdominal pain on day 14 of her induction chemotherapy (vincristine and daunorubicin). The pain was located in the mid-abdomen, which was described as generalized, worse with movement or palpation. She denied nausea, vomiting, and diarrhea but endorsed recent constipation. The patient was seen the day prior in the ED with abdominal discomfort and was discharged with the diagnosis of constipation (Figure 1).

Figure 1. Abdominal X Ray Suggestive of Colon Containing Stool (blue arrows). Published with Permission

Abdominal X Ray Suggestive of Colon Containing Stool (blue arrows).
Abdominal X Ray Suggestive of Colon Containing Stool (blue arrows).

At the time of her second evaluation, she was febrile to 104°F with hypotension and tachycardia. She complained of abdominal pain and poor appetite. The patient was pancytopenic with a hemoglobin of 7.1 g/dL, white blood cell count of 0.2 thou/cmm, and platelets of 92 thou/cmm. Her lactate was elevated to 6.2 mmol/L. CT imaging of the abdomen was suggestive of three distinct areas of intussusception within the small intestine, and no discrete lead points were seen (Figure 2).

Figure 2. CT Scan of Abdomen with IV and Oral Contrast, Suggestive of Three Distinct Areas of Intussusception within Small Intestine (blue arrows). Published with Permission

CT Scan of Abdomen with IV and Oral Contrast, Suggestive of Three Distinct Areas of Intussusception within Small Intestine (blue arrows).
CT Scan of Abdomen with IV and Oral Contrast, Suggestive of Three Distinct Areas of Intussusception within Small Intestine (blue arrows).

No discrete lead points were identified. No obstruction or bowel thickening was present. There was edema along the right psoas muscle and no findings of appendicitis or diverticulitis.

She was given fluid boluses and started on cefepime and metronidazole. She was admitted to the pediatric intensive care unit for close monitoring and neutropenic precautions. Over the next few hours, her systolic blood pressure dropped to the 70s. She was given two units of blood, one unit of platelets, stress steroids, and she was started on vasopressors. The value for procalcitonin resulted at 7.43, suggestive of exclusively septic shock as the source of her illness.

Due to the patient's worsening hemodynamic status and abdominal pain, a diagnostic laparoscopy was performed, demonstrating a long segment jejunojejunal intussusception, which was reduced (Figure 3). Post-reduction, the intestine appeared pink and viable without signs of ischemia. The small bowel mesentery and even the portion abutting the small bowel itself were full of enlarged lymph nodes, likely leukemia infiltrate. Postoperatively the patient improved quickly. Her lactate normalized, and she hemodynamically stabilized. Two blood cultures were positive for Escherichia coli (E. coli). She completed a two-week course of IV ceftriaxone followed by oral cephalexin for an additional week.

Figure 3. Intraoperative Image of Small Intestine Intussusception (A) and Subsequent Reduction (B). Published with Permission

Intraoperative Image  of Small Intestine Intussusception (A) and Subsequent Reduction (B)
Intraoperative Image of Small Intestine Intussusception (A) and Subsequent Reduction (B)

Discussion

Intussusception is a common cause of acute intestinal obstruction in the pediatric population. Malignant lesions account for up to 30% of all cases of intussusception in the small intestine.4 Leukemic involvement of the gastrointestinal tract is well documented. However, clinically significant gastrointestinal complications in children with ALL are uncommon, although they are increasing due to the current use of more intensive chemotherapeutic regimens. These complications include typhlitis (neutropenic enterocolitis), intestinal perforation, hemorrhage, intussusception, and appendicitis. Hoffman et al. reported the first cases of intussusception in patients with ALL in 1905, and Sinclair et al. in 1920.2 Intussusception as a complication of ALL in children has been rarely reported.2 All cases described have leukemic infiltrates as the lead points. The classic symptoms of intussusception in children receiving cancer chemotherapy, abdominal pain, vomiting, and bloody stool, are often absent or masked, leading to a delay in diagnosis and treatment.1,2 The use of chemotherapy is associated with known gastrointestinal side effects. Vincristine induces constipation, probably related to its neurotoxic effects. Dactinomycin therapy has been associated with the appearance of nausea, vomiting, abdominal pain, and occasional diarrhea. The changes in intestinal motility produced by these agents may factor into the intussusceptions seen in these patients.3

Manglani et al. describe a seven-month-old infant with ALL and an ileocecal intussusception that developed during induction chemotherapy. A barium enema and CT scan were used for the diagnosis of intussusception. Chemotherapy was resumed one week after surgery and resection of the leading edge. Induction chemotherapy included vincristine, daunorubicin, intravenous methylprednisolone, intramuscular pegaspargase, and intrathecal cytosine arabinoside. Despite near universal involvement of the gastrointestinal tract in patients with acute leukemia, clinical manifestations are uncommon and have been reported infrequently.2

Chronic intussusception is a rare childhood disease more commonly accompanied by lead points, such as polyps or neoplasms.1 Choi et al. describe a case of chronic intussusception in intestinal lymphoma that presented as abdominal pain and constipation for two months. This patient presented to the ED with non-bilious vomiting and worsening abdominal pain. An enema relieved her symptoms, and she was discharged. On re-presentation, CT imaging was suggestive of ileocolic intussusception involving lymph nodes. This intussusception was not reducible with an air enema. A laparoscopic exploration was performed, but reduction failed due to adhesions. The patient underwent an open ileocolic resection with an associated mass at the ileocecal valve. Chronic intussusception is a rare disease that can follow repeated episodes of subacute intestinal obstruction without strangulation. A partially maintained blood supply through another mesenteric artery may allow the intussusception to remain viable in a chronic state in other children.1

This case report demonstrates a unique presentation of intussusception complicated by E. coli bacteremia, leading to surgical intervention in a pediatric patient with ALL. This patient was difficult to diagnose due to the abnormal presentation of intussusception, likely secondary to the immunosuppression from induction chemotherapy. Additionally, there are many other causes of sepsis in a neutropenic ALL patient. The intussusception was likely secondary to leukemic infiltration in the regions of the affected bowel versus a motility change from the chemotherapy, such as vincristine-mediated ileus progressing to a dynamic length of bowel.

The patient's septic shock was likely secondary to the translocation of bacteria due to the absence of bowel ischemia on intraoperative evaluation. The bacterial translocation and subsequent bacteremia were likely caused by microscopic mucosal disruption secondary to the intussuscepted state of the bowel. Metastatic tumors serve as "lead points" for intussusception.3 The transient bacteremia or endotoxemia is due to bacterial translocation through the intestinal wall due to stagnation of enteral contents, edema of the bowel wall, and mucosal necrosis similar to the process described in other forms of intestinal obstruction.5

Conclusion

Intussusception as a complication of ALL in children has been rarely reported. All cases described have leukemic infiltrates as the lead points. A high level of suspicion for intussusception should be had for leukemic patients with abdominal pain and clinical obstruction. We recommend surgical intervention if a patient does not improve quickly or has signs of shock and/or end organ perfusion.

Lessons Learned

Intussusception as a complication of leukemic infiltrates from ALL is rare. Intussusception can be a complication of motility changes from chemotherapy. Immunosuppressed patients are at risk of bacterial translocation and subsequent bacteremia caused by microscopic mucosal disruption secondary to the intussuscepted state of the bowel. A high level of suspicion for intussusception should be had for leukemic patients with abdominal pain and clinical obstruction.

Authors

Appelbaum Ra; Relles Db

Author Affiliations

  1. Department of Surgery, Division of Acute Care Surgery, Vanderbilt University Medical Center, Nashville, TN 37232
  2. Division of Pediatric Surgical Specialties, Lehigh Valley Reilly Children's Hospital, Allentown, PA 18105

Corresponding Author

Rachel Appelbaum, MD
Department of Surgery
Division of Acute Care Surgery
Vanderbilt University Medical Center
1211 Medical Center Drive
Nashville, TN 37232
Email: rachel.appelbaum@vumc.org

Disclosure Statement

The authors have no conflicts of interest to disclose.

Funding/Support

The authors have no relevant financial relationships or in-kind support to disclose.

Received: August 25, 2020
Revision received: November 2, 2020
Accepted: December 7, 2020

References

  1. Choi SH, Han SA, Won KY. Chronic Intussusception Caused by Diffuse Large B-Cell Lymphoma in a 6-Year-Old Girl Presenting with Abdominal Pain and Constipation for 2 Months. J Korean Med Sci. 2016;31(2):321-325. doi:10.3346/jkms.2016.31.2.321
  2. Manglani MV, Rosenthal J, Rosenthal NF, Kidd P, Ettinger LJ. Intussusception in an infant with acute lymphoblastic leukemia: a case report and review of the literature. J Pediatr Hematol Oncol. 1998;20(5):467-468. doi:10.1097/00043426-199809000-00011
  3. Dudgeon DL, Hays DM. Intussusception complicating the treatment of malignancy in childhood. Arch Surg. 1972;105(1):52-56. doi:10.1001/archsurg.1972.04180070050010
  4. D'Angelo G, Marseglia L, Manti M, et al. An unusual and malignant intussusception in a child. Ital J Pediatr. 2016;42(1):72. Published 2016 Aug 1. doi:10.1186/s13052-016-0283-2
  5. Luks FI, Yazbeck S, Brandt ML, Desjardins JG. Fièvre transitoire associée à la réduction de l'invagination intestinale [Transient fever associated with a reduction of intestinal invagination]. Chir Pediatr. 1990;31(3):157-159.

 

Discussion

 

Conclusion

 

Lessons Learned

 

References

Authors

 

Author Affiliations

 

Corresponding Author

 

Disclosure Statement

 

Funding/Support

 

Received: 
Revision received: 
Accepted for publication: