Unsupported Browser
The American College of Surgeons website is not compatible with Internet Explorer 11, IE 11. For the best experience please update your browser.
Menu
Become a member and receive career-enhancing benefits

Our top priority is providing value to members. Your Member Services team is here to ensure you maximize your ACS member benefits, participate in College activities, and engage with your ACS colleagues. It's all here.

Become a Member
Become a member and receive career-enhancing benefits

Our top priority is providing value to members. Your Member Services team is here to ensure you maximize your ACS member benefits, participate in College activities, and engage with your ACS colleagues. It's all here.

Become a Member
ACS
ACS Case Reviews

Rare Preauricular Lipoblastoma in a 27-Year-Old Man

Abstract

Background

Preauricular masses encompass a diverse range of etiologies, with those of soft tissue origin presenting unique diagnostic considerations. Lipoblastoma, a benign adipocytic tumor, typically occurs in infancy and early childhood, most commonly on the trunk or extremities. Its presentation as a preauricular soft tissue mass in an adult is exceptionally rare. This report details such a case in a 27-year-old male.

Summary

A 27-year-old male presented with a two-year history of a progressively enlarging, non-tender, mobile, soft 3 cm mass in the right preauricular region. He reported intermittent swelling of the mass, particularly after alcohol consumption, but denied associated pain or drainage. A prior two-week course of antibiotics had yielded no reduction in size. Ultrasound characterized the mass as hyperechoic, while magnetic resonance imaging (MRI) revealed a superficial, well-circumscribed lesion without involvement of the parotid gland or external auditory canal.

The mass was subsequently resected under local anesthesia. Intraoperatively, the 3 cm lesion was bluntly dissected from the surrounding tissues down to the superficial musculoaponeurotic system (SMAS) layer; no distinct capsule was identified. Facial nerve function was confirmed to be intact following excision. The wound was irrigated, hemostasis was achieved, and the incision was closed in layers without complication. Histopathological examination revealed adipocytic tissue in various stages of maturation, occasional lipoblasts, and a myxoid to fibroid stroma. Immunohistochemical staining demonstrated tumor cells positive for CD34 and S100, with expression of RB1, consistent with a diagnosis of lipoblastoma.

Conclusion

The differential diagnosis for preauricular masses is broad, including benign lipomas, myxoid liposarcomas, lymphangiomas, and benign or malignant parotid neoplasms. Lipoblastomas, while benign, are predominantly tumors of early childhood and are rarely encountered in adults, especially in the head and neck region. This case highlights an unusual presentation of lipoblastoma in an adult male. Definitive diagnosis relies on histopathological examination following complete surgical excision with clear margins, which is crucial to minimize the risk of local recurrence.

Key Words

lipoblastoma; preauricular; soft tissue mass; mass of unknown origin


Case Description

A 27-year-old male presented with a two-year history of a right preauricular mass. He reported that the mass intermittently increased in size, particularly following alcohol consumption, but denied any associated pain, drainage, or constitutional “B” symptoms (fever, night sweats, weight loss). An empirical two-week course of antibiotics prescribed prior to our evaluation had resulted in no discernible change in the size of the mass.

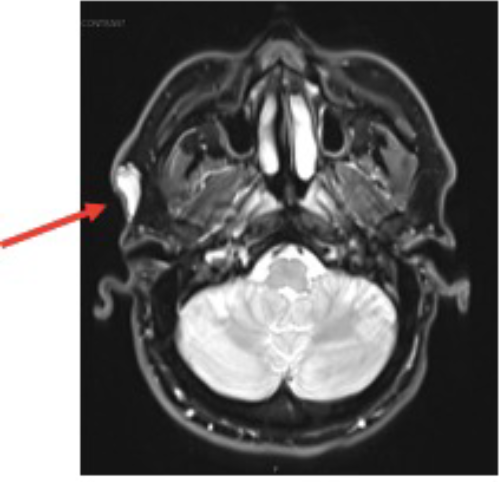
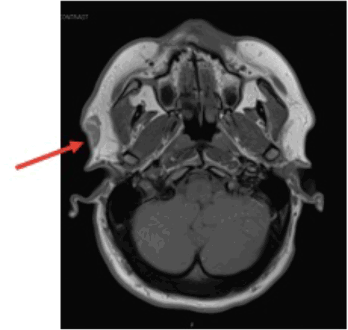
On physical examination, a 3 cm, non-tender, mobile, soft subcutaneous mass was palpated in the right preauricular region. Initial ultrasonography characterized the lesion as a hyperechoic soft tissue mass. Subsequent magnetic resonance imaging (MRI) revealed a well-circumscribed, non-specific lesion confined to the superficial soft tissues of the right preauricular area, without evidence of involvement of the underlying parotid gland or external auditory canal (Figure 1).

Figure 1. MRI of Preauricular Lipoblastoma. Published with Permission

A.

Axial T1-weighted image demonstrating a well-circumscribed lesion (arrow) within the superficial soft tissues, appearing hyperintense to muscle
Axial T1-weighted image demonstrating a well-circumscribed lesion (arrow) within the superficial soft tissues, appearing hyperintense to muscle

B.

Axial T2-weighted image showing the lesion (arrow) as predominantly hyperintense with some internal heterogeneity
Axial T2-weighted image showing the lesion (arrow) as predominantly hyperintense with some internal heterogeneity

C.

Coronal T1-weighted fat-suppressed (FS) image post-contrast, illustrating the lesion (arrow) with peripheral and some internal enhancement, confirming its superficial location without invasion of the parotid gland or external auditory canal
Coronal T1-weighted fat-suppressed (FS) image post-contrast, illustrating the lesion (arrow) with peripheral and some internal enhancement, confirming its superficial location without invasion of the parotid gland or external auditory canal

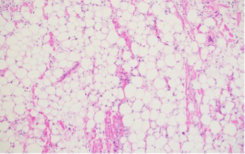
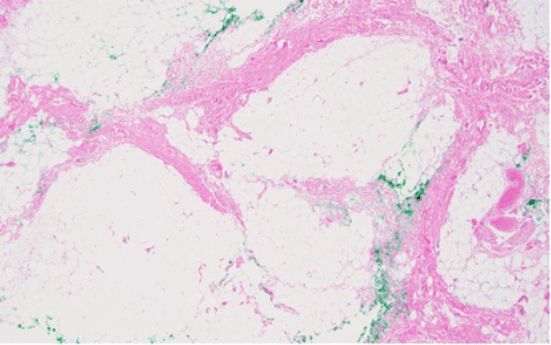
Given the diagnostic uncertainty and the patient’s symptoms, complete surgical excision was recommended and performed under local anesthesia. Intraoperatively, the mass appeared unencapsulated and was carefully dissected from the surrounding subcutaneous tissue down to the level of the superficial musculoaponeurotic system (SMAS). Facial nerve integrity was confirmed throughout the procedure. As the lesion was benign and surgically resectable with clear margins, neoadjuvant or adjuvant therapies such as chemotherapy or radiation (which could be considered for size reduction in unresectable benign tumors or for malignant lesions) were not indicated. Histopathological examination of the excised specimen revealed tumor cells positive for CD34 and S100, with expression of RB1 (Figure 2), findings consistent with a diagnosis of lipoblastoma.

Figure 2. Immunohistochemical Stains of Soft Tissue Mass Biopsy. Published with Permission

A.

H&E stain (40x original magnification) showing lobules of adipocytic cells in varying stages of maturation, separated by fibrous bands
H&E stain (40x original magnification) showing lobules of adipocytic cells in varying stages of maturation, separated by fibrous bands

B.

At 40x magnification, an admixture of mature adipocytes, occasional lipoblasts (immature fat cells with vacuolated cytoplasm and scalloped nuclei), and a myxoid to fibrous stroma is highlighted
At 40x magnification, an admixture of mature adipocytes, occasional lipoblasts (immature fat cells with vacuolated cytoplasm and scalloped nuclei), and a myxoid to fibrous stroma is highlighted

C.

A higher-power view (100x magnification) further details the adipocytic tissue, lipoblasts, and primitive ovoid stromal cells within the myxoid stroma
A higher-power view (100x magnification) further details the adipocytic tissue, lipoblasts, and primitive ovoid stromal cells within the myxoid stroma

D.

mmunohistochemical stain for CD34 (100x magnification) demonstrating diffuse positive staining within the spindled stromal cell component and capillary endothelium
mmunohistochemical stain for CD34 (100x magnification) demonstrating diffuse positive staining within the spindled stromal cell component and capillary endothelium

Discussion

Lipoblastomas are benign neoplasms arising from embryonic fat cells (lipoblasts) and are predominantly tumors of infancy and early childhood.1 They are relatively rare, with an estimated prevalence of approximately 3.5 per 1,000,000 individuals.2 Current literature suggests a male predominance, with reported male-to-female ratios around 2:1.3

Lipoblastomas are histologically subclassified into two main types: circumscribed and diffuse. The circumscribed variant, which is typically superficial and often encapsulated, accounts for approximately 70% of cases. Diffuse lipoblastomas, representing about 30% of cases, are poorly circumscribed and exhibit a more infiltrative growth pattern into deeper tissues.4 Radiologically, lipoblastomas present as soft tissue masses. Ultrasound typically demonstrates a hyperechoic fatty component interspersed with hypoechoic myxoid areas.4 Computed tomography (CT) and MRI often depict regions of low signal intensity consistent with fat.1 Histologically, lipoblastomas are characterized by a lobular architecture with fibrous septa, containing a mixture of mature adipocytes, primitive mesenchymal cells, myxoid stroma, and hallmark lipoblasts in various stages of differentiation.4 Cytogenetic analysis, often utilizing fluorescence in situ hybridization (FISH), can aid in distinguishing lipoblastomas from other adipocytic tumors; rearrangements involving the PLAG1 gene region on chromosome 8 (particularly 8q11-13) and polysomy of chromosome 8 are characteristic findings.5

Although benign, lipoblastomas can exhibit rapid growth and, depending on their location, may impinge upon or damage adjacent structures. For instance, head and neck lipoblastomas can potentially lead to airway compromise if they attain significant size. The definitive treatment for lipoblastoma is complete surgical excision with negative margins. Despite their benign nature, local recurrence has been reported in up to 25% of cases, particularly for the diffuse subtype or when complete excision is challenging.1,6 A general diagnostic and management algorithm is often followed (Figure 3).7 Resection of recurrent lipoblastomas can be complicated by scarring from prior surgery and the infiltrative nature of some tumors, especially in anatomically complex or sensitive regions like the head and neck.1 Lipoblastomas occurring near critical neurovascular structures often have higher recurrence rates due to the increased difficulty in achieving wide negative margins.8 Nevertheless, complete resection, when feasible, is critical, particularly in areas like the head and neck, to prevent functional compromise from continued tumor growth. Potential complications of surgical excision include intraoperative bleeding, hematoma formation, infection, injury to adjacent neurovascular structures, postoperative venostasis (a concern particularly with large retroperitoneal lipoblastomas9), and tumor recurrence if complete excision is not achieved. Long-term follow-up, typically for five to ten years, is generally recommended, as recurrences have been documented even a decade after initial resection.1,10

Figure 3. Lipoblastoma Diagnosis and Management Algorithm.

While lipoblastomas can arise anywhere in the body, they are most commonly located on the trunk and extremities. The head and neck region is a less frequent site, accounting for only 10-15% of cases.11 Various preauricular masses are described in the literature, though few are of purely soft tissue origin without parotid involvement. Differential diagnoses include angiomatoid fibrous histiocytoma (AFH),12 tumor calcinosis (presenting as a bony swelling),13 and subcutaneous adipose tissue deposits in patients with lipodystrophy.14

When considering the broader differential for a preauricular soft tissue mass, common entities include benign lipomas, myxoid liposarcomas (a key malignant differential), lymphangiomas, and benign or malignant parotid gland tumors (e.g., pleomorphic adenomas, mucoepidermoid carcinomas, adenoid cystic carcinomas).3 A combination of imaging, meticulous histological examination, and, increasingly, cytogenetic analysis (FISH or karyotyping) is utilized to differentiate lipoblastomas from these other head and neck tumors. Definitive diagnosis relies on histopathology, which reveals immature fat cells at various stages of differentiation, organized into lobules separated by fibrous septae.3 A crucial distinguishing feature from liposarcomas is the absence of significant nuclear atypia in lipoblastomas. Furthermore, the characteristic chromosomal rearrangements involving chromosome 8 (PLAG1) are specific to lipoblastomas and are not found in liposarcomas.15,16

Conclusion

The presented case of a preauricular soft tissue mass in a 27-year-old male, confirmed histopathologically as a lipoblastoma, is unusual given the patient’s age and the tumor’s location. While the male predominance aligns with typical epidemiology, adult presentations, especially in the head and neck, are rare. Complete surgical excision was achieved, and the patient had no evidence of recurrence at four-month follow-up, with no further concerns reported after one year. The superficial location of the tumor, without involvement of critical neurovascular structures, facilitated complete resection, thereby likely reducing the risk of recurrence. The patient remained tumor-free at his four-month postoperative follow-up.

This case study serves as an important reminder for clinicians to include lipoblastoma in the differential diagnosis of head and neck soft tissue masses, even in adult patients. The findings also offer further support for the established diagnostic criteria and histopathological features of lipoblastomas currently noted in the literature.

Lessons Learned

The presented case underscores the necessity of careful surgical resection and comprehensive histopathological evaluation for soft tissue masses of unknown origin, even in seemingly straightforward locations. Lipoblastomas, in particular, have a wide differential diagnosis and require meticulous pathological assessment, including immunohistochemistry and potentially cytogenetics, to confirm the diagnosis and differentiate them from malignant adipocytic tumors. The optimal diagnostic approach, as employed in this case, involves thorough preoperative imaging followed by complete surgical excision and detailed pathological analysis. Although lipoblastomas possess no malignant potential, complete resection with clear surgical margins is paramount to minimize the likelihood of local recurrence. Consequently, longitudinal clinical follow-up, potentially for five to ten years, is recommended to monitor for late recurrences. Follow-up for the patient described is ongoing, and continued surveillance will be essential to ensure optimal long-term surgical outcomes.

Acknowledgements

The authors gratefully acknowledge Farres Obeidin, MD (Department of Pathology, Northwestern University Feinberg School of Medicine), for his expertise in providing the pathology report and descriptions of the histological slides pertinent to this case.

Authors

Owen MMa; Obeidin Fb; Wang JCc

Author Affiliations

  1. Northwestern University Feinberg School of Medicine, Chicago, IL 60611
  2. Department of Pathology, Northwestern University, Chicago, IL 60611
  3. Division of Facial Plastic and Reconstructive Surgery, Department of Otolaryngology-Head and Neck Surgery, Northwestern University, Chicago, IL 60611

Corresponding Author

James C. Wang, MD, PhD
Division of Facial Plastic and Reconstructive Surgery
Department of Otolaryngology-Head and Neck Surgery
Northwestern University
675 N. St. Clair Street
15th Fl., Ste. 200
Chicago, IL 60611
Email: james.wang@nm.org

Disclosure Statement

The authors have no conflicts of interest to disclose.

Funding/Support

The authors have no relevant financial relationships or in-kind support to disclose.

Received: September 16, 2024
Revision received: November 26, 2024
Accepted: January 30, 2025

References

  1. Tyra J, Mierzwińska-Dolny P, Fishman AJ, Mierzwiński J. Head and neck lipoblastoma in children: a case report and systematic review. Int J Pediatr Otorhinolaryngol. 2023;173:111699. doi:10.1016/j.ijporl.2023.111699
  2. Jain R, Betancourt RL, Rose AS. Lipoblastomatosis: an unusual midline neck mass in a young child. Int J Pediatr Otorhinolaryngol. 2021;140:110544. doi:10.1016/j.ijporl.2020.110544
  3. Pham NS, Poirier B, Fuller SC, Dublin AB, Tollefson TT. Pediatric lipoblastoma in the head and neck: a systematic review of 48 reported cases. Int J Pediatr Otorhinolaryngol. 2010;74(7):723-728. doi:10.1016/j.ijporl.2010.04.010
  4. Bruyeer E, Lemmerling M, Poorten VV, Sciot R, Hermans R. Paediatric lipoblastoma in the head and neck: three cases and review of literature. Cancer Imaging. 2012;12(3):484-487. doi:10.1102/1470-7330.2012.0037
  5. de Saint Aubain Somerhausen N, Coindre JM, Debiec-Rychter M, Delplace J, Sciot R. Lipoblastoma in adolescents and young adults: report of six cases with FISH analysis. Histopathology. 2008;52(3):294-298. doi:10.1111/j.1365-2559.2007.02954.x
  6. Chun YS, Kim WK, Park KW, Lee SC, Jung SE. Lipoblastoma. J Pediatr Surg. 2001;36(6):905-907. doi:10.1053/jpsu.2001.23969
  7. Kolb L, Yarrarapu SNS, Ameer MA, Rosario-Collazo JA. Lipoma. In: StatPearls. StatPearls Publishing; 2024. Accessed November 21, 2024.
  8. Dao D, Najor AJ, Sun PY, Farrokhyar F, Moir CR, Ishitani MB. Follow-up outcomes of pediatric patients who underwent surgical resection for lipoblastomas or lipoblastomatosis: a single-institution experience with a systematic review and meta-analysis. Pediatr Surg Int. 2020;36(3):341-355. doi:10.1007/s00383-019-04612-z
  9. Elrouby A, Waheeb S, Elsabaa B, Abdelmalak M. Giant mesenteric lipoblastoma; a rare presentation of childhood abdominal mass. J Pediatr Surg Case Rep. 2022;76:102118. doi:10.1016/j.epsc.2021.102118
  10. Séguier-Lipszyc E, Baazov A, Fichman S, Ash S, Freud E. Current management of lipoblastoma. Eur J Pediatr. 2018;177(2):237-241. doi:10.1007/s00431-017-3059-9
  11. Lomoro P, Simonetti I, Nanni AL, et al. Imaging of head and neck lipoblastoma: case report and systematic review. J Ultrasound. 2021;24(3):231-239. doi:10.1007/s40477-020-00439-w
  12. Patrizi A, Tabanelli M, Filippi G, et al. An angiomatoid fibrous histiocytoma over the left pre auricular region in a 13-year-old boy. Dermatol Online J. 2010;16(5):4.
  13. Sha Y, Hong K, Liew MKM, Lum JL, Wong RCW. Juxta-articular tumoral calcinosis associated with the temporomandibular joint: a case report and concise review. BMC Oral Health. 2019;19(1):138. doi:10.1186/s12903-019-0816-3
  14. Miehle K, Stumvoll M, Fasshauer M, Hierl T. Facial soft tissue volume decreases during metreleptin treatment in patients with partial and generalized lipodystrophy. Endocrine. 2017;58(2):262-266. doi:10.1007/s12020-017-1437-8
  15. Brodsky JR, Kim DY, Jiang Z. Cervical lipoblastoma: case report, review of literature, and genetic analysis. Head Neck. 2007;29(11):1055-1060. doi:10.1002/hed.20633
  16. Sakaida M, Shimizu T, Kishioka C, Majima Y. Lipoblastoma of the neck: a case report and literature review. Am J Otolaryngol. 2004;25(4):266-269. doi:10.1016/j.amjoto.2003.12.008