Unsupported Browser
The American College of Surgeons website is not compatible with Internet Explorer 11, IE 11. For the best experience please update your browser.
Menu
Become a member and receive career-enhancing benefits

Our top priority is providing value to members. Your Member Services team is here to ensure you maximize your ACS member benefits, participate in College activities, and engage with your ACS colleagues. It's all here.

Become a Member
Become a member and receive career-enhancing benefits

Our top priority is providing value to members. Your Member Services team is here to ensure you maximize your ACS member benefits, participate in College activities, and engage with your ACS colleagues. It's all here.

Become a Member
ACS
ACS Case Reviews

Massive Retroperitoneal Abscess: A Case Study of Perforated Appendicitis

Abstract

Background

Acute appendicitis typically presents with classic signs of peritonitis, but atypical presentations can pose significant diagnostic challenges. Perforated appendicitis leading to the formation of a massive retroperitoneal abscess, particularly in a patient presenting without abdominal pain but with chronic, nonspecific symptoms and acute clinical decompensation, is an exceptionally rare and life-threatening scenario.

Summary

We present the case of a 63-year-old male who was brought to the emergency department with a 3-to-4-day history of altered mental status, a one-year history of chronic back pain, a one-month history of inability to ambulate, and a one-week history of fecal incontinence. Shortly after arrival, he suffered a cardiac arrest with return of spontaneous circulation after six minutes of cardiopulmonary resuscitation. Initial workup revealed severe metabolic acidosis, and imaging identified a massive 27.2 × 14.2 × 16.1 cm rim-enhancing retroperitoneal fluid collection extending down the right iliopsoas musculature to the thigh, as well as a pulmonary embolism. The patient's presentation was managed as sepsis of unknown origin; the retroperitoneal abscess was initially treated with percutaneous drain placement and broad-spectrum intravenous antibiotics. Subsequent imaging eventually suggested a perforated appendicitis as the underlying etiology. After an eight-week course of conservative management to stabilize the patient and control the septic source, he was ultimately taken to the operating room for a successful robotic-assisted appendectomy and drainage of the residual psoas abscess.

Conclusion

Acute appendicitis can present atypically, without abdominal pain, and instead manifest with chronic, seemingly unrelated complaints such as back pain and functional decline. This case illustrates that a smoldering, perforated appendicitis can lead to the insidious formation of a massive retroperitoneal abscess, culminating in a near-fatal presentation with septic shock and cardiac arrest. It highlights the utility of a staged management approach in critically ill patients, utilizing initial source control with percutaneous drainage and prolonged antibiotic therapy to allow for clinical stabilization before undertaking definitive surgical intervention, such as a minimally invasive appendectomy.

Key Words

perforated appendicitis, ruptured appendicitis, retroperitoneal abscess, psoas abscess


Case Description

A 63-year-old male with a past medical history of hypertension was brought to the emergency department by emergency medical services with fever, altered mentation, cough, and subacute incontinence of bowel and bladder. According to the patient’s wife, his confusion had been progressing for three to four days. Further history revealed a chronic, one-year history of back pain, a one-month history of progressive inability to ambulate, and a one-week history of new-onset fecal incontinence and dysuria. Notably, the patient denied any acute or chronic abdominal pain.

On arrival, he was afebrile but exhibited tachycardia, tachypnea, and hypotension. Shortly after his arrival, he suffered cardiac arrest. Cardiopulmonary resuscitation (CPR) was initiated, with return of spontaneous circulation (ROSC) achieved after six minutes. The patient was subsequently intubated and mechanically ventilated; a comprehensive physical examination was deferred due to his critical instability. Initial laboratory investigations were consistent with severe metabolic acidosis and sepsis. An emergent computed tomography (CT) scan of the abdomen and pelvis revealed a massive 27.2 × 14.2 × 16.1 cm rim-enhancing retroperitoneal fluid collection, consistent with an abscess, which extended inferiorly along the right iliopsoas muscle to the level of the right thigh (Figure 1). Concurrently, a CT of the chest identified left-sided subsegmental pulmonary emboli (PE). Although the appendix was poorly visualized on the initial CT, perforated appendicitis could not be excluded as a potential etiology.

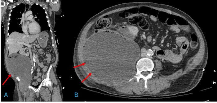
Figure 1. Initial CT Demonstrating Massive Retroperitoneal Abscess. Published with Permission

(A) Coronal and (B) axial views from a contrast-enhanced CT scan on presentation. The images reveal a massive, 27.2 × 14.2 × 16.1 cm, multiloculated, rim-enhancing fluid collection in the right retroperitoneum, extending along the iliopsoas musculature and through the femoral canal into the thigh
(A) Coronal and (B) axial views from a contrast-enhanced CT scan on presentation. The images reveal a massive, 27.2 × 14.2 × 16.1 cm, multiloculated, rim-enhancing fluid collection in the right retroperitoneum, extending along the iliopsoas musculature and through the femoral canal into the thigh

The patient was admitted to the intensive care unit (ICU) with a diagnosis of acute respiratory failure secondary to cardiopulmonary arrest, acute PE, and severe lactic acidosis. Broad-spectrum antibiotics, fluid resuscitation, vasopressor support, and venous thromboembolism prophylaxis were initiated. Interventional radiology (IR) was consulted for percutaneous drainage. Under fluoroscopic guidance, IR successfully accessed the retroperitoneal abscess, draining approximately 2.8 liters of purulent fluid (Figure 2). Further imaging revealed an extensive deep venous thrombosis (DVT) involving the right common femoral vein and extending to the calf veins, as well as the deep femoral and greater saphenous veins. This was presumed to be secondary to mass effect and compression of the femoral vasculature by the large abscess.

Figure 2. Percutaneous Drainage of Retroperitoneal Abscess. Published with Permission

Image obtained during IR placement of a percutaneous drain under fluoroscopic guidance. The catheter is seen being advanced into the large right retroperitoneal fluid collection for initial source control
Image obtained during IR placement of a percutaneous drain under fluoroscopic guidance. The catheter is seen being advanced into the large right retroperitoneal fluid collection for initial source control

The patient’s vasopressor support was weaned, and he was successfully extubated on the day of the percutaneous drainage. Blood and urine cultures subsequently returned positive for Escherichia coli bacteremia. Microbiological analysis of the retroperitoneal abscess aspirate grew polymicrobial flora, including Escherichia coli, Streptococcus anginosus, and Bacteroides ovatus—organisms commonly associated with acute appendicitis.1 The patient's cardiac arrest was attributed to a type II non-ST elevation myocardial infarction (NSTEMI) in the setting of profound septic shock. A subsequent coronary angiogram revealed severe multivessel coronary artery disease, prompting a referral to cardiovascular surgery for outpatient evaluation upon recovery. His condition improved, and he was transferred out of the ICU to the general floor. A follow-up abdominal CT scan on hospital day eleven demonstrated an ill-defined phlegmon at the tip of the appendix, further supporting perforated appendicitis as the primary etiology. The patient was discharged home on hospital day nine with a plan for a six-week course of intravenous and oral antibiotics, with the percutaneous drain managed by IR.

Two months later, despite the prolonged antibiotic course, serial imaging revealed a persistent 9 cm iliopsoas abscess. While the patient was being considered for coronary artery bypass grafting due to his severe coronary artery disease (ejection fraction 23%), this was deferred in the setting of persistent deep-seated infection. Therefore, definitive surgical source control via a robotic-assisted approach was planned. He subsequently underwent a robotic-assisted appendectomy with drainage of the psoas abscess. Intraoperatively, the appendiceal tip was found to be densely adhered to the right pericolic gutter at the site corresponding to the retroperitoneal abscess. Dissection of the appendix from the retroperitoneum revealed a sinus tract communicating between the appendiceal lumen and the abscess cavity, definitively confirming a contained perforation as the etiology. The appendix was resected, and a round surgical drain was placed into the abscess cavity for ongoing drainage (Figure 3).

Figure 3. Intraoperative Findings During Robotic-Assisted Appendectomy. Published with Permission

Composite of intraoperative images. (A) The appendiceal tip is seen densely adhered to the right pericolic gutter. (B) The appendix has been dissected from the retroperitoneum, revealing evidence of a chronic fistulous tract at its base. (C) A surgical drain is inserted into the residual retroperitoneal abscess cavity following appendectomy
Composite of intraoperative images. (A) The appendiceal tip is seen densely adhered to the right pericolic gutter. (B) The appendix has been dissected from the retroperitoneum, revealing evidence of a chronic fistulous tract at its base. (C) A surgical drain is inserted into the residual retroperitoneal abscess cavity following appendectomy

The patient recovered uneventfully from this procedure. Postoperatively, his initial presenting complaints of right hip pain and leg weakness were further evaluated and attributed to a right femoral nerve neurapraxia, likely secondary to compression from the massive retroperitoneal abscess within the iliopsoas compartment. He was subsequently able to follow up with cardiology to further discuss the need for elective cardiac surgery.

Discussion

Since Reginald Fitz first described the increased mortality associated with undiagnosed perforated appendicitis in 1886, understanding its varied presentations has been crucial.2 Appendiceal perforation occurs in approximately 13.8% of all appendicitis cases, with a higher incidence noted in males and individuals aged 21-30 years.3 In cases of perforated appendicitis with abscess formation, initial management with percutaneous drainage has been associated with fewer complications and shorter hospital lengths of stay compared to immediate surgical intervention.4 The anatomical position of the appendix is a key factor in the clinical presentation; in 54.7% of perforated appendicitis cases, the rupture occurs from a retrocecally positioned appendix.4 A delay in presentation significantly impacts outcomes, with mortality rates rising to 4.8% for patients presenting more than 48 hours after symptom onset.5 This mortality risk is dramatically compounded by the presence of significant comorbidities such as hypertension, diabetes mellitus, stroke, and chronic obstructive pulmonary disease, where mortality rates can be as high as 67%.6 Furthermore, the presence of 150 mL or more of purulent intraperitoneal fluid has been correlated with a 100% increase in morbidity and mortality.3

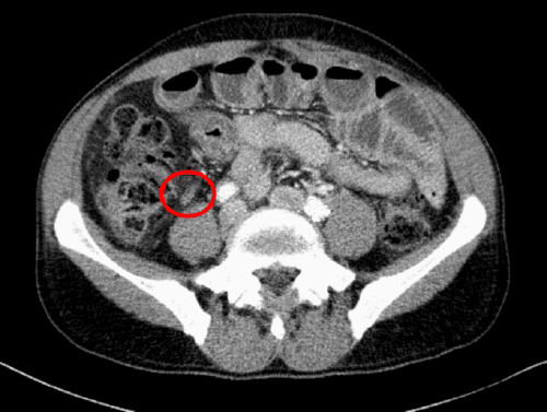
This case demonstrates an exceptionally atypical presentation, as the absence of abdominal pain complaints obscured the timeline of his illness. Retrospective review of imaging confirmed a retrocecal position of the appendix (Figure 4), which predisposed him to the formation of a contained retroperitoneal perforation, fistula, and subsequent massive abscess. This insidious process, coupled with his undiagnosed medical comorbidities and florid sepsis, culminated in a near-fatal outcome. The management strategy of interval appendectomy following initial source control with percutaneous drainage and antibiotic therapy is well-described for contained perforations with abscess formation. While some studies suggest little difference in surgical complications between early and delayed laparoscopic appendectomy,7 in this critically ill patient with an unclear initial etiology, a staged approach was a clinical necessity rather than an elective choice.

Figure 4. Retrospective CT Confirming Retrocecal Appendix. Published with Permission

Axial view from a prior CT scan from 2017. This image retrospectively confirms the retrocecal position of the patient’s normal-appearing appendix (arrow), demonstrating its close proximity to the right psoas muscle, which explains its predisposition to form a contained retroperitoneal perforation
Axial view from a prior CT scan from 2017. This image retrospectively confirms the retrocecal position of the patient’s normal-appearing appendix (arrow), demonstrating its close proximity to the right psoas muscle, which explains its predisposition to form a contained retroperitoneal perforation

Retroperitoneal abscesses originating from the alimentary tract typically occur in the anterior pararenal space and can extend inferiorly along the iliopsoas sheath, as observed in this case.8 This anatomical progression can lead to compression of neurovascular structures within the femoral triangle, explaining our patient’s presenting symptoms of extremity pain and immobility. A key pathophysiological distinction is that extraperitoneal tissues are far less reactive to inflammatory or infectious processes compared to the peritoneum. Consequently, infections within retroperitoneal spaces can progress insidiously over weeks to months before a diagnosis is made, with presenting symptoms often being non-specific, such as the constitutional and musculoskeletal complaints seen in this patient.8 This chronicity and vague symptomatology directly align with the patient’s delayed presentation and the massive size of the abscess. A similar presentation was recently reported in a case of perforated retroperitoneal diverticulitis, where a patient presented with leg swelling and discomfort and was found to have a large retroperitoneal abscess extending into the inguinal region, which was also successfully managed with initial percutaneous drainage and prolonged antimicrobial therapy.7

Conclusion

Acute appendicitis is a common finding seen in the emergent setting often resulting in urgent or emergent surgical intervention, yet clinical presentation can be quite variable. While laparoscopic appendectomy remains the mainstay treatment for most cases of acute uncomplicated appendicitis, the patient’s presentation, comorbid conditions, and surgical risk must be weighed.9 In this case, percutaneous drain placement with medical management and optimization allowed for an interval appendectomy to be completed without complication, offering a definitive treatment without the heightened risk in the acute infectious setting.

Lessons Learned

The formation of a 27 cm retroperitoneal fluid collection is certainly a surprising finding, especially when ultimately attributed to perforated appendicitis. While rare and peculiar, having a defined etiology initially would not have changed the patient’s course of management. Patient stabilization and percutaneous drain placement were appropriately performed. The course of this patient’s condition differed so much from the typical presentation of acute appendicitis that the attending providers were required to rely on clinical skill and diagnostic algorithms. As with all acute presentations, emphasis on timely identification and management are paramount to effective patient outcome.

Authors

Vitale AE; Steinman MD; Krosch TCK; Partridge JE

Author Affiliation

Division of General Surgery, Mayo Clinic Health System, Mankato, MN 56001

Corresponding Author

Ashley E. Vitale, DHSc, MPAS, PA-C
Department of Surgery
Mayo Clinic Health System
1025 Marsh Street
Mankato, MN 56001
Email: vitale.ashley@mayo.edu

Disclosure Statement

The authors have no conflicts of interest to disclose.

Funding/Support

The authors have no relevant financial relationships or in-kind support to disclose.

Received: November 14, 2024
Revision received: March 20, 2025
Accepted: May 1, 2025

References

  1. Lotfollahzadeh S, Lopez RA, Deppen JG. Appendicitis. In: StatPearls [Internet]. StatPearls Publishing; 2024. Updated February 12, 2024. PMID: 29630245.
  2. Fitz RH. Perforating inflammation of the vermiform appendix with special reference to its early diagnosis and treatment. Am J Med Sci. 1886;92:321-346.
  3. Potey K, Kandi A, Jadhav S, Gowda V. Study of outcomes of perforated appendicitis in adults: a prospective cohort study. Ann Med Surg (Lond). 2023;85(4):694-700. doi:10.1097/MS9.0000000000000277
  4. Brown CV, Abrishami M, Muller M, Velmahos GC. Appendiceal abscess: immediate operation or percutaneous drainage? Am Surg. 2003;69(10):829-832. PMID: 14570357.
  5. Singh JP, Mariadason JG. Role of the faecolith in modern-day appendicitis. Ann R Coll Surg Engl. 2013;95(1):48-51. doi:10.1308/003588413X13511609956294
  6. Andersson RE. Short- and long-term mortality after appendectomy in Sweden 1987 to 2006: influence of appendectomy diagnosis, sex, age, co-morbidity, surgical method, hospital volume, and time period. A national population-based cohort study. World J Surg. 2013;37(5):974-981. doi:10.1007/s00268-013-1991-y
  7. Hoffmann JC, Trimborn CP, Hoffmann M, et al. Classification of acute appendicitis (CAA): treatment directed new classification based on imaging (ultrasound, computed tomography) and pathology. Int J Colorectal Dis. 2021;36(11):2347-2360. doi:10.1007/s00384-021-03940-8
  8. Lin HF, Lai HS, Lai IR. Laparoscopic treatment of perforated appendicitis. World J Gastroenterol. 2014;20(39):14338-14347. doi:10.3748/wjg.v20.i39.14338
  9. Simons GW, Sty JR, Starshak RJ. Retroperitoneal and retrofascial abscesses: a review. J Bone Joint Surg Am. 1983;65(8):1041-1058. PMID:6353979.