Unsupported Browser
The American College of Surgeons website is not compatible with Internet Explorer 11, IE 11. For the best experience please update your browser.
Menu
Become a member and receive career-enhancing benefits

Our top priority is providing value to members. Your Member Services team is here to ensure you maximize your ACS member benefits, participate in College activities, and engage with your ACS colleagues. It's all here.

Become a Member
Become a member and receive career-enhancing benefits

Our top priority is providing value to members. Your Member Services team is here to ensure you maximize your ACS member benefits, participate in College activities, and engage with your ACS colleagues. It's all here.

Become a Member
ACS
ACS Case Reviews

Splenic Flexure Volvulus Case Report: From Failed Colonoscopy to Successful Laparotomy 

Abstract

Background

Splenic flexure volvulus (SFV), an uncommon etiology of large bowel obstruction, is defined by torsion of an abnormally mobile splenic flexure. This hypermobility often results from congenital laxity or absence of normal colonic ligamentous attachments. We report a rare case of SFV, which necessitated emergent laparotomy after an attempted decompressive colonoscopy was unsuccessful.

Summary

A 36-year-old nonverbal female presented to the emergency department with acute abdominal distension and malaise. Due to the patient’s inability to provide a verbal history, the diagnostic evaluation relied heavily on physical examination findings and radiographic imaging. A CT scan of the abdomen and pelvis confirmed the diagnosis of SFV. An initial attempt at endoscopic detorsion and decompression via colonoscopy was unsuccessful in reducing the volvulus. Consequently, the patient underwent an emergent exploratory laparotomy, which revealed a volvulized splenic flexure. A subtotal colectomy with an ileo-descending colonic anastomosis was performed. Intraoperative findings confirmed the rare occurrence of SFV. Timely and appropriate surgical management resulted in a full and uneventful postoperative recovery.

Conclusion

Splenic flexure volvulus is a rare condition, often attributed to the congenital absence or abnormal laxity of the phrenicocolic, gastrocolic, and splenocolic ligaments, or acquired mobilization of the descending colon from its retroperitoneal attachments, leading to hypermobility and subsequent torsion. While treatment options are limited, surgical resection of the involved segment is the most common and definitive management. Failure to promptly diagnose and adequately manage SFV can lead to significant complications, including ischemia, gangrene, visceral perforation, and sepsis. This case underscores the importance of accurate diagnosis and diligent surgical management in rare presentations of SFV to optimize patient outcomes and contributes to the limited body of literature, offering further guidance for medical and surgical specialties responsible for managing this challenging condition.

Key Words

splenic flexure volvulus; colonic obstruction; colonic volvulus


Case Description

A 36-year-old female with a complex medical history, including a partial chromosome 22q13 deletion associated with developmental delay and mutism, a body mass index of 31.5 kg/m², and chronic epilepsy, was brought to the emergency department (ED) by her mother, her primary caregiver. The presenting concerns were worsening abdominal distension, increasing malaise, and constipation. Her pertinent past surgical history included vagus nerve stimulator placement, total abdominal hysterectomy, and bilateral oophorectomy, all performed more than a decade prior to this presentation.

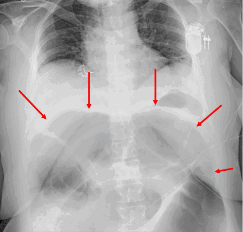
Upon initial physical examination in the ED, her blood pressure was 130/89 mmHg, pulse rate was 94 beats/minute, and temperature was 36.9°C. The abdominal examination was notable for a rotund, markedly distended, tympanic, and firm abdomen. Laboratory investigations revealed a normal hemoglobin and platelet count, with a white blood cell (WBC) count of 7.2 × 10⁹/L (reference range: 3.4-9.6 × 10⁹/L). Significant hypokalemia was present, with a serum potassium level of 2.7 mmol/L (reference range: 3.6-5.2 mmol/L). Her serum lactate was 1.3 mmol/L (reference range: 0.5-2.2 mmol/L), while her ammonia level was elevated at 73 mcmol/L (reference range: <51 mcmol/L), and arterial pH was 7.42 (reference range: 7.32-7.43). An episode of hypoxemia, with oxygen saturation dropping to 88% on room air, necessitated the initiation of supplemental oxygen at 2 liters/minute via nasal cannula. An immediate chest X-ray revealed significant colonic distension (Figure 1). Subsequently, an abdominal computed tomography (CT) scan was obtained, which demonstrated a large bowel volvulus localized to the region of the splenic flexure, with marked distension of the proximal large bowel up to 11 cm in diameter (Figure 2). A urinalysis was positive for a urinary tract infection, and intravenous ceftriaxone was initiated.

Figure 1. Initial Chest Radiograph Demonstrating Colonic Distension. Published with Permission

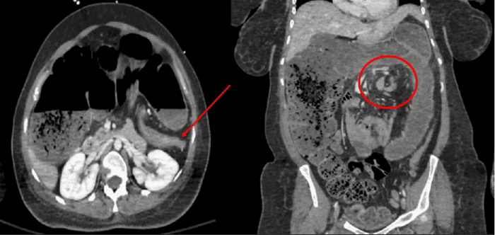
Figure 2. CT Confirming Splenic Flexure Volvulus. Published with Permission

(A) Axial and (B) Coronal views from a contrast-enhanced CT scan of the abdomen and pelvis. Note  massive distension of the transverse and descending colon, with a characteristic "whirl sign" or abrupt transition point at the splenic flexure, confirming splenic flexure volvulus
(A) Axial and (B) Coronal views from a contrast-enhanced CT scan of the abdomen and pelvis. Note  massive distension of the transverse and descending colon, with a characteristic "whirl sign" or abrupt transition point at the splenic flexure, confirming splenic flexure volvulus

Consultations were obtained from both general surgery and gastroenterology services. After careful review and consideration of the patient’s clinical status, an attempt at decompressive colonoscopy was made. However, this procedure was unsuccessful in reducing the volvulus. The endoscopist was able to advance the colonoscope to approximately 90 cm from the anal verge but could not navigate past an identifiable swirl of tissue, presumed to be the site of torsion. Although significant evacuation of stool and gas was achieved during the colonoscopy, there was no discernible improvement in the patient’s abdominal distension. This failure of non-operative management necessitated progression to emergent exploratory laparotomy.

Intraoperative findings were consistent with the preoperative imaging studies, revealing a significantly dilated proximal colon and transverse colon, with a volvulus identified at the distal transverse colon extending into the splenic flexure region (Figure 3). The volvulus was attributed to redundancy and laxity of the phrenicocolic and splenocolic ligaments, as well as abnormal mobility of the descending colon in the left colic gutter, which allowed for a complete inward torsion of the colon around its mesentery. Importantly, there were no gross signs of ischemia or necrosis of the involved bowel segment. The volvulus was manually reduced by untwisting the colon, which restored normal anatomical transit. Given the extensive colonic laxity and redundancy, and the high risk of recurrence, a subtotal colectomy with a primary ileo-descending colonic anastomosis was performed. No intraoperative complications were encountered.

Figure 3. Intraoperative Findings of Splenic Flexure Volvulus. Published with Permission

(A) Eviscerated dilated colon demonstrating the severely distended segment involved in the splenic flexure volvulus, prior to detorsion; note the viable appearance without overt signs of ischemia or perforation. (B) Appearance of the ascending, transverse, and descending colon after successful manual detorsion of the splenic flexure volvulus, illustrating the resolution of the torsion and restoration of more normal anatomical alignment, though with persistent dilatation
(A) Eviscerated dilated colon demonstrating the severely distended segment involved in the splenic flexure volvulus, prior to detorsion; note the viable appearance without overt signs of ischemia or perforation. (B) Appearance of the ascending, transverse, and descending colon after successful manual detorsion of the splenic flexure volvulus, illustrating the resolution of the torsion and restoration of more normal anatomical alignment, though with persistent dilatation

Histopathological examination of the resected colonic specimen reported a segment of large bowel dilated up to 15 cm in maximum diameter. Microscopic examination revealed focal infarction of the bowel wall, without evidence of malignancy. The colonic wall was noted to be markedly thinned and almost semitranslucent secondary to the severe chronic dilatation. The patient's postoperative recovery was uneventful, requiring no further surgical procedures. She was discharged from the hospital on postoperative day 7.

Discussion

Colonic volvulus is an established, albeit relatively infrequent, cause of large bowel obstruction, accounting for approximately 1-5% of such cases upon evaluation.1 Splenic flexure volvulus itself is an exceptionally rare entity, with fewer than 100 cases documented in the literature since its initial description in 1953.2,3 The splenic flexure is the least common colonic segment to undergo torsion, with SFV comprising only about 2% of all colonic volvuluses.2 The primary predisposing factor for SFV is abnormal hypermobility of the splenic flexure, often due to congenital absence or laxity of its normal ligamentous attachments (phrenicocolic, gastrocolic, and splenocolic ligaments) or acquired conditions leading to mobilization of the descending colon from its retroperitoneal fixation.4 Additional etiological factors implicated in SFV include prior abdominal surgery leading to adhesions, the presence of congenital bands, chronic constipation, colonic dysmotility syndromes (e.g., Ogilvie syndrome), inflammatory conditions like Crohn’s disease or Chagas disease, and pregnancy.3,4 In the presented case, while the patient had a history of prior abdominal surgeries (total abdominal hysterectomy and bilateral oophorectomy), no distinct acquired adhesive bands were identified intraoperatively as the primary cause; rather, inherent ligamentous laxity and colonic redundancy appeared to be the predominant factors. The clinical presentation of SFV typically involves obstipation and a gradual onset of progressively worsening abdominal distension, which may or may not be associated with hemodynamic instability.5

The diagnostic workup for suspected SFV usually includes plain abdominal radiography and CT. Radiographic findings suggestive of SFV include a massively dilated, air-filled colon with an abrupt transition point at the splenic flexure.6 Barium enema fluoroscopy, though less commonly used in the acute setting, classically reveals a “bird’s beak” sign, indicating termination of contrast distal to the splenic flexure. CT imaging is often more definitive, classically demonstrating a “whirl sign,” which signifies a twist in the colonic mesentery, along with proximal colonic dilatation and distal decompression.5,7

Initial management of a diagnosed colonic volvulus involves aggressive fluid resuscitation and the administration of broad-spectrum antibiotics, particularly if signs of sepsis or ischemia are present.8 For sigmoid and cecal volvulus, endoscopic detorsion (e.g., via sigmoidoscopy or colonoscopy) is often considered the initial therapeutic maneuver in stable patients without evidence of peritonitis or bowel gangrene.8 While various treatment options exist for SFV, including colopexy or resection, an initial attempt at decompressive colonoscopy can be considered if there is no clinical or radiographic evidence of peritonitis or bowel compromise.9 However, endoscopic decompression of SFV is often technically challenging and frequently unsuccessful. If endoscopic detorsion fails, or if there are signs of mucosal ischemia, perforation, or peritonitis, urgent surgical intervention is mandated.9,10 When surgery is indicated, the presence of peritoneal soiling, gangrenous changes, or bowel perforation generally contraindicates primary anastomosis, often necessitating a Hartmann's procedure or stoma creation.2 In high-risk or frail geriatric patients, colopexy (fixation of the detorsed colon to the abdominal wall) has been considered as a less invasive surgical option to prevent recurrence, though its efficacy for SFV is not well established.11 Laparoscopic colon resection has also been reported as a viable option following successful colonoscopic decompression in select cases.10 Failure to promptly and adequately manage SFV can lead to severe complications, including bowel ischemia, gangrene, visceral perforation, and ultimately, life-threatening sepsis.1

It is important to acknowledge that even if endoscopic decompression of SFV were successful, it should be viewed as a temporizing measure, as the risk of recurrence is exceedingly high. Therefore, following successful non-operative detorsion, patients should typically be counseled for and undergo elective colectomy to prevent future episodes. Continuous monitoring for signs of recurrent volvulus, ischemia, or perforation is essential in the interim.

Conclusion

Given the rarity of splenic flexure volvulus, the examination and dissemination of individual case studies, such as the one presented, are warranted to expand the collective surgical knowledge base and contribute to the establishment of operative precedent and management guidelines. The diagnostic and therapeutic approach utilized in this case, culminating in subtotal colectomy, proved successful and aligns with the principles outlined in similar, albeit limited, reports addressing this uncommon condition.

Lessons Learned

Splenic flexure volvulus is an infrequent cause of acute large bowel obstruction, and failure to recognize and appropriately manage this condition can result in significant patient morbidity and mortality, including ischemia, gangrene, visceral perforation, and sepsis. Initial management may involve an attempt at colonoscopic decompression in stable patients without signs of peritonism or bowel compromise. However, if endoscopic detorsion is unsuccessful or contraindicated, urgent surgical exploration is imperative. This case also highlights that patients with developmental delay and communication disabilities may be at increased risk for delayed diagnosis and progression of intra-abdominal pathologies due to challenges in obtaining an accurate history and interpreting subtle clinical signs, making timely and thorough diagnostic evaluation even more critical in this vulnerable population.

Authors

Steinman MD; Vitale AE; Krosch TCK

Author Affiliation

Division of General Surgery, Mayo Clinic Health System, Mankato, MN 56001

Corresponding Author

Mark D. Steinman, MS, PA-C
Department of Surgery
Mayo Clinic Health System
1025 Marsh Street
Mankato, MN 56001
Email: steinman.mark@mayo.edu

Disclosure Statement

The authors have no conflicts of interest to disclose.

Funding/Support

The authors have no relevant financial relationships or in-kind support to disclose.

Received: November 20, 2024
Revision received: April 20, 2025
Accepted: May 1, 2025

References

  1. Jones O, Srivastava V, Cochrane R. Splenic flexure volvulus. BMJ Case Rep. 2010;2010:bcr10.2009.2357. doi:10.1136/bcr.10.2009.2357
  2. Sharifi A, Tafti SMA, Keramati M, Kazemeini A, Behboudi B. Splenic flexure volvulus, a rare etiology of colonic obstruction: case report. Int J Surg Case Rep. 2021;86:106128. doi:10.1016/j.ijscr.2021.106128
  3. Bullen A, Lewin J, Cross T, Woolven B. A case report of a rare and challenging gangrenous splenic flexure volvulus in a pregnant patient. Int J Surg Case Rep. 2018;53:171-174. doi:10.1016/j.ijscr.2018.10.075
  4. Cho YU, Sohn SK, Chi HS, Kim KW. Volvulus of the splenic flexure of the colon. Yonsei Med J. 1994;35(1):97-100. doi:10.3349/ymj.1994.35.1.97
  5. Koh SZ, Low AS, Quah HM. Multidetector computed tomography diagnosis of splenic flexure volvulus: usefulness of multiplanar reformats. Singapore Med J. 2013;54(4):e79-e82. doi:10.11622/smedj.2013086
  6. Mahajan R, Seth S, Braithwaite PA. Volvulus of the splenic flexure of colon: a case report and review. Int J Colorectal Dis. 2000;15(3):182-184. doi:10.1007/s003840000222
  7. Hsueh CC, Jaw TS, Lin JY, Chan HM. Splenic flexure colonic volvulus: a pediatric case report. Kaohsiung J Med Sci. 2007;23(4):207-210. doi:10.1016/S1607-551X(09)70400-0
  8. Le CK, Nahirniak P, Qaja E. Cecal volvulus. In: StatPearls. StatPearls Publishing; 2022.
  9. Mittal R, Samarasam I, Chandran S, Mathew G. Primary splenic flexure volvulus. Singapore Med J. 2007;48(3):e87-e89.
  10. Mori T, Kitagawa K, Yoshida S, Hiyama K, Oota K, Sasaki A. The first case of splenic flexure volvulus treated with reduced port surgery using single-incision laparoscopy. Int J Surg Case Rep. 2023;110:108722. doi:10.1016/j.ijscr.2023.108722
  11. Umbu L, Muttana S, Best K, Kamagate N, DeVito P. Splenic flexure volvulus: a rare case report. J Surg Case Rep. 2022;2022(7):rjac354. doi:10.1093/jscr/rjac354