Unsupported Browser
The American College of Surgeons website is not compatible with Internet Explorer 11, IE 11. For the best experience please update your browser.
Menu
Become a member and receive career-enhancing benefits

Our top priority is providing value to members. Your Member Services team is here to ensure you maximize your ACS member benefits, participate in College activities, and engage with your ACS colleagues. It's all here.

Become a Member
Become a member and receive career-enhancing benefits

Our top priority is providing value to members. Your Member Services team is here to ensure you maximize your ACS member benefits, participate in College activities, and engage with your ACS colleagues. It's all here.

Become a Member
ACS
ACS Case Reviews

Unveiling the Hidden Disease: A Rare Case of Umbilical Endometrioma and its Management

Abstract

Background

Umbilical endometriosis, characterized by the presence of endometrial tissue within the umbilicus, is an uncommon condition. While most cases are secondary, occurring in patients with a history of abdominal or pelvic surgery (iatrogenic implantation), primary umbilical endometrioma (PUE) arising spontaneously in the absence of prior surgical intervention is notably rare. This report details a case of PUE presenting as a symptomatic umbilical hernia with cyclical bleeding in a 34-year-old female.

Summary

A 34-year-old female with a past medical history of anxiety, anemia, alopecia, and uterine fibroids presented to the general surgery clinic with a chief complaint of an umbilical mass associated with cyclical pain and bleeding, correlating with her menstrual cycle, for two years. Clinical evaluation and imaging studies were performed, followed by an open umbilical hernia repair. Histopathological examination of the excised umbilical tissue confirmed the presence of an endometrioma. Subsequently, the patient was referred for gynecological follow-up to evaluate for potential pelvic endometriosis.

Conclusion

The majority of umbilical endometriomas are secondary to prior abdominal or pelvic surgery. This report highlights a rare case of primary umbilical endometrioma in a 34-year-old female with no such surgical history, presenting as a symptomatic umbilical hernia. A thorough clinical evaluation, including a detailed menstrual history, and a high index of suspicion are critical in these patients to avoid misdiagnosis and ensure appropriate surgical management and subsequent gynecologic referral for comprehensive assessment of potential associated pelvic endometriosis.

Key Words

umbilical endometrioma; umbilical hernia; endometriosis; cyclical umbilical bleeding


Case Description

A 34-year-old G1P1 female presented with a two-year history of cyclical umbilical pain and bleeding, synchronous with her menses, associated with an umbilical hernia. Her past medical history was significant for anxiety, anemia, alopecia, and uterine fibroids; notably, she had no prior abdominal surgeries. The patient reported cyclical umbilical bleeding directly correlating with her menses. Her menstrual history was notable for polymenorrhea, with each cycle lasting seven days, and menorrhagia, evidenced by the need to change a menstrual cup every two hours on heavy flow days. She also reported a long-standing history of dysmenorrhea. Previous gynecological attempts to manage her menstrual symptoms with oral contraceptives and tranexamic acid were discontinued due to intolerable side effects. Upon presentation to the general surgery clinic, a non-contrast computed tomography (CT) scan of the abdomen and pelvis revealed a fat-containing umbilical hernia with associated nodularity at the umbilicus. At the time of this surgical consultation, the patient did not carry a prior diagnosis of endometriosis. She was subsequently referred to obstetrics and gynecology for further evaluation of her abnormal uterine bleeding and dysmenorrhea, where she was counseled on the probable diagnosis of an umbilical endometrioma and the high likelihood of concomitant pelvic endometriosis.

An open umbilical hernia repair was planned. However, due to scheduling constraints, concurrent diagnostic laparoscopy to assess for pelvic endometriosis could not be performed on the same date as the hernia repair. The patient was presented with several options: coordinating both procedures for a later date, proceeding with the hernia repair as scheduled with a subsequent diagnostic laparoscopy, or pursuing medical management and monitoring after the hernia repair. She elected to proceed with the umbilical hernia repair alone at that time and was advised to wait at least six weeks postoperatively before considering a diagnostic laparoscopy with the gynecology service, if she still desired.

The patient subsequently underwent an open umbilical hernia repair with en bloc excision of the umbilicus to ensure complete removal of the suspected endometriotic tissue. A circumferential incision was made around the umbilicus, and dissection was carried down to the level of the fascia. The umbilicus, along with the associated nodular tissue, was excised. The operative field was carefully inspected for any additional endometriotic implants, none of which were identified. The fascial defect was closed with interrupted 0 Prolene figure-of-eight sutures. Subsequently, 10 mL of 0.25% bupivacaine was infiltrated into the fascial repair for local analgesia. An umbilicoplasty was performed by securing the dermal edges of the circular skin defect to the underlying fascia with 0 Prolene sutures on opposing sides, creating a neoumbilicus. The dermis was reapproximated with interrupted 2-0 Vicryl (polyglactin 910) sutures, followed by a subcuticular skin closure with running 4-0 Monocryl (poliglecaprone 25) suture.

Final histopathological examination of the excised umbilical specimen confirmed the diagnosis of endometrioma, with associated inflammatory changes in the surrounding tissue. The patient received standard postoperative instructions, including avoidance of heavy lifting for at least six weeks to minimize the risk of hernia recurrence, and guidance on appropriate wound care. She was strongly advised to follow up with her gynecologist for further investigation and management of potential pelvic endometriosis.

Figure 1. Clinical Appearance of Symptomatic Umbilical Endometrioma. Published with Permission

Clinical photograph of the patient’s umbilicus prior to surgical intervention. Note visible nodularity and superficial discoloration of the umbilical skin, with evidence of dried blood consistent with the patient's history of cyclical umbilical bleeding
Clinical photograph of the patient’s umbilicus prior to surgical intervention. Note visible nodularity and superficial discoloration of the umbilical skin, with evidence of dried blood consistent with the patient's history of cyclical umbilical bleeding

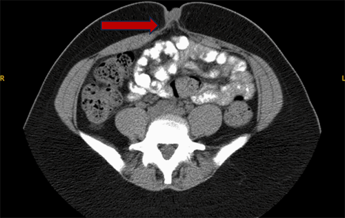
Figure 2. CT of Umbilical Hernia and Associated Nodule. Published with Permission

Axial view from a non-contrast CT scan of the abdomen and pelvis. The image shows a fat-containing umbilical hernia (arrow) with associated soft tissue nodularity at the umbilicus, findings which, in conjunction with the clinical history, were suspicious for an umbilical endometrioma
Axial view from a non-contrast CT scan of the abdomen and pelvis. The image shows a fat-containing umbilical hernia (arrow) with associated soft tissue nodularity at the umbilicus, findings which, in conjunction with the clinical history, were suspicious for an umbilical endometrioma

Discussion

Umbilical endometriomas are most frequently encountered in patients with a history of prior abdominal or pelvic surgery, where endometrial tissue is thought to implant iatrogenically onto scar tissue, leading to secondary umbilical endometriosis. In contrast, primary umbilical endometriomas, also referred to as Villar’s nodules, develop spontaneously in the absence of previous surgical intervention and are considerably rarer.1 While the precise prevalence of primary umbilical endometriosis remains unknown, it is estimated to constitute approximately 0.5-1% of all cases of extragenital endometriosis.2 These primary lesions are uncommon and can be easily misdiagnosed, potentially being mistaken for other umbilical pathologies such as melanoma, granuloma, omphalitis, or metastatic adenocarcinoma (e.g., Sister Mary Joseph nodule).3 Such misdiagnosis carries the risk of inappropriate or overly aggressive treatment, increased healthcare costs, patient anxiety, and a delay in reaching the correct diagnosis and implementing appropriate management.

Conclusion

Umbilical endometriomas, particularly primary variants, may be overlooked, especially in women without a formal prior diagnosis of endometriosis or a history of abdominal surgery. This case highlights the necessity for increased awareness and further documentation of such presentations to enhance understanding of the disease process and to minimize the risk of misdiagnosis.

Lessons Learned

Umbilical endometrioma, though often presenting as a seemingly benign umbilical lesion or hernia, can be a source of significant and debilitating cyclical symptoms for patients. This condition may go unrecognized until definitive histopathology is obtained following surgical excision. While primary umbilical endometriomas are rare, this case reaffirms that they can occur even in the absence of prior abdominal surgery. A comprehensive clinical evaluation, including a detailed menstrual history and careful physical examination, augmented by appropriate imaging such as computed tomography or ultrasound of the abdomen and pelvis, is pertinent in identifying potential umbilical endometriomas. Crucially, patients suspected of having this condition warrant prompt referral to a gynecologist for a thorough assessment, with particular emphasis on investigating for concurrent pelvic endometriosis, to facilitate timely diagnosis and comprehensive management of all potential sites of endometriotic disease.

Authors

Lakic Na; Catedral Pb; Lighter MKb

Author Affiliations

  1. Royal College of Surgeons in Ireland, Dublin 2, D02 YN77, Ireland
  2. Department of Surgery, UI Health, Chicago, IL 60612

Corresponding Author

Natalija Lakic
Royal College of Surgeons in Ireland
123 St. Stephen’s Green
Dublin 2, D02 YN77
Ireland
Email: natalijalakic@rcsi.com

Disclosure Statement

The authors have no conflicts of interest to disclose.

Funding/Support

The authors have no relevant financial relationships or in-kind support to disclose.

Received: September 19, 2024
Revision received: November 22, 2024
Accepted: February 5, 2025

References

  1. Bindra V, Sampurna S, Kade S, Mohanty GS, Madhavi N, Swetha P. Primary umbilical endometriosis - case series and review of clinical presentation, diagnosis and management. Int J Surg Case Rep. 2022;94:107134. doi:10.1016/j.ijscr.2022.107134
  2. Efremidou EI, Kouklakis G, Mitrakas A, Liratzopoulos N, Polychronidis ACh. Primary umbilical endometrioma: a rare case of spontaneous abdominal wall endometriosis. Int J Gen Med. 2012;5:999-1002. doi:10.2147/IJGM.S37302. Epub 2012 Dec 5. PMID:23271917; PMCID:PMC3526876.
  3. Yahaya JJ, Morgan ED, Abraham ZS. Endometriosis of the umbilicus in a 36-year-old woman: a case report and literature review. Ann Med Surg (Lond). 2023;85(4):1011-1014. doi:10.1097/MS9.0000000000000306.