Unsupported Browser
The American College of Surgeons website is not compatible with Internet Explorer 11, IE 11. For the best experience please update your browser.
Menu
Become a member and receive career-enhancing benefits

Our top priority is providing value to members. Your Member Services team is here to ensure you maximize your ACS member benefits, participate in College activities, and engage with your ACS colleagues. It's all here.

Become a Member
Become a member and receive career-enhancing benefits

Our top priority is providing value to members. Your Member Services team is here to ensure you maximize your ACS member benefits, participate in College activities, and engage with your ACS colleagues. It's all here.

Become a Member
ACS
ACS Case Reviews

Solitary Fibrous Tumor of the Parotid Gland: A Case Report Highlighting Challenges in Management

Abstract

Background

Solitary fibrous tumors (SFTs) are uncommon mesenchymal neoplasms, typically characterized by slow growth and most frequently identified in soft tissues. Originally described in the pleura in 1931, SFTs usually present as well-circumscribed, homogeneous masses and can occur in various anatomical locations, including the head and neck region. Histologically, these tumors exhibit a diverse spectrum of spindle cell morphologies and often display irregular vascular patterns. Believed to be of submesothelial origin, SFTs can be either benign or malignant. Their varied histopathological features often lead to a broad differential diagnosis. Notably, SFTs arising in the parotid gland are exceptionally rare, with a recent literature review from Japan citing only 43 reported cases. This paper aims to describe a case of SFT involving the parotid gland and briefly review the existing literature regarding its diagnostic workup and management.

Summary

Solitary fibrous tumors of the parotid gland represent a significant diagnostic rarity. A definitive diagnosis necessitates a multimodal approach, integrating clinical findings, imaging characteristics, and detailed histopathological evaluation, including immunohistochemistry. Prompt and accurate diagnosis is crucial for appropriate management and optimal patient prognosis. Given their presentation as solid, slow-growing masses within a salivary gland, SFTs should be considered in the differential diagnosis of such lesions.

Conclusion

This report contributes another rare instance of a SFT of the parotid gland to the existing medical literature. The diagnosis of SFT can be challenging due to its wide diagnostic criteria and the considerable overlap of its histological features with many other neoplasms affecting the salivary glands. The treatment of these potentially aggressive neoplasms is often more invasive than that for other common salivary gland tumors, underscoring the importance of a confirmed SFT diagnosis to guide appropriate therapeutic intervention and achieve favorable patient outcomes. Currently, complete surgical excision remains the cornerstone of treatment for SFTs, consistent with the management approach undertaken in the case presented. This report intends to highlight the clinical presentation, diagnostic techniques, and treatment of an SFT of the parotid gland, thereby providing additional guidance for the management of SFTs and raising awareness of this unusual tumor entity.

Key Words

surgical oncology; fibroepithelial lesion; mass; epithelioid


Case Description

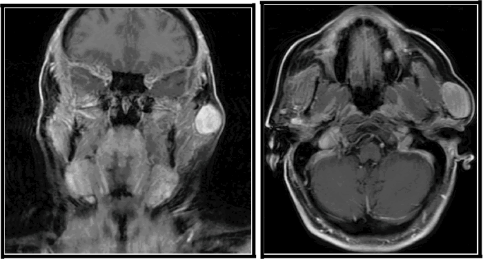
A 65-year-old female presented with a mass in the left parotid gland, which had been present for several years but had recently exhibited an increase in size. She was initially referred to a plastic surgeon for evaluation. Physical examination revealed a firm, mobile mass within the superficial lobe of the left parotid gland. Magnetic resonance imaging (MRI) confirmed the presence of a well-circumscribed, superficial lesion within the left parotid gland, without evidence of invasion into surrounding structures or cervical lymphadenopathy (Figure 1). Following these findings, the patient was referred to a head and neck surgical oncologist for further management.

Figure 1. MRI of Left Parotid Gland Solitary Fibrous Tumor. Published with Permission

(A) Coronal view and (B) Axial view demonstrating a well-circumscribed, avidly enhancing, oval-shaped soft tissue mass, measuring approximately 3.3 × 2.1 cm. The lesion appears to arise from or is immediately adjacent to the superior pole of the superficial lobe of the left parotid gland, without definitive invasion of surrounding structures
(A) Coronal view and (B) Axial view demonstrating a well-circumscribed, avidly enhancing, oval-shaped soft tissue mass, measuring approximately 3.3 × 2.1 cm. The lesion appears to arise from or is immediately adjacent to the superior pole of the superficial lobe of the left parotid gland, without definitive invasion of surrounding structures

An in-office fine-needle aspiration (FNA) of the mass was performed. Cytological examination of the aspirate revealed cellular atypia of undetermined significance. Immunohistochemical stains performed on the FNA material were negative for S100, P63, cytokeratin AE1/AE3, and Alcian Blue/Periodic Acid-Schiff (AB/PAS). After a thorough discussion of the diagnostic uncertainty, risks, and benefits of surgical intervention, the patient elected to undergo a left superficial parotidectomy. The surgery was performed, and intraoperative facial nerve monitoring confirmed the integrity of the facial nerve, with no postoperative weakness or facial asymmetry noted. Given the complete excision of the mass with negative margins, no adjuvant chemotherapy or radiotherapy was deemed necessary.

Final histopathological examination of the resected specimen revealed a 2.6 × 2.5 × 1.7 cm tumor with uninvolved surgical margins. A risk stratification score, as developed by Demicco and colleagues specifically for solitary fibrous tumors (SFTs), indicated a low risk.1 A lymph node removed concurrently during the procedure was benign. Microscopically, the tumor cells exhibited minimal mitotic activity and no evidence of necrosis. Immunohistochemical staining demonstrated positivity for STAT6 and CD34. Based on these comprehensive histopathological and immunohistochemical findings, a definitive diagnosis of solitary fibrous tumor (SFT) was established. Postoperatively, the patient has recovered well, with no signs of recurrence. Two subsequent annual PET/CT scans have been negative for disease.

Discussion

Solitary fibrous tumors are uncommon neoplasms of mesenchymal origin, typically characterized by slow growth.2,3 The first SFT was reported in the pleura by Klemperer and Rabin in 1931.2 While SFTs are most frequently found in the pleura and peritoneum, approximately 16% of cases arise in the head and neck region, with involvement of the parotid gland being exceptionally rare, accounting for less than 1% of all SFTs.4 The World Health Organization (WHO) recognizes over 40 distinct histological types of parotid gland tumors. Of these, approximately 80% are benign, and among benign neoplasms, pleomorphic adenomas are the most common (accounting for about 80% of benign cases). Other relatively common benign parotid tumors include Warthin tumors, myoepitheliomas, basal cell adenomas, oncocytomas, and cystadenomas.5 According to existing literature, SFTs of the parotid gland tend to occur in middle-aged adults, with a mean age at diagnosis of approximately 49.8 years, and exhibit a slight male predominance.6 More broadly, benign parotid gland masses typically arise in the fourth and fifth decades of life, whereas malignant parotid tumors are more frequently diagnosed in the sixth decade and beyond.5 Grossly, SFTs are usually well-circumscribed, firm masses that may be partially encapsulated.7 Histologically, these tumors can display a wide spectrum of spindle cell morphologies and characteristically feature irregular, often prominent, vascular patterns. The diverse histopathological features of SFTs can lead to a broad differential diagnosis.8 The primary aim of this article is to report an additional case of SFT arising in the parotid gland and to contribute the clinical, histological, and surgical aspects of this case to the existing literature on these rare tumors.

Our patient, a 65-year-old female, presented with a parotid gland mass that was confirmed to be an SFT following surgical excision and detailed histopathological examination. SFTs of the head and neck are unique entities, often demonstrating considerable histological heterogeneity, which can make definitive diagnosis, particularly of parotid gland SFTs, extremely challenging. SFTs are soft tissue tumors thought to originate from mesenchymal stem cells and are typically benign.3 Their occurrence in salivary glands is particularly infrequent. Only 43 cases of SFT specifically involving the parotid gland have been reported in the literature, representing approximately 3% of all SFT cases.8

Clinically, parotid SFTs typically present as painless, slow-growing, well-circumscribed masses that may enlarge over months or even years.8 Symptoms such as facial nerve compression leading to facial paralysis, significant swelling, or respiratory distress (if the tumor extends into the pharyngeal space) may eventually prompt patients to seek medical attention.9 Although uncommon, obstructive sleep apnea can also be a presenting symptom if a large tumor compresses adjacent anatomical structures in the head and neck region.10 Prior to definitive histological confirmation of a parotid SFT, the differential diagnosis is extensive. It includes common benign and malignant salivary gland tumors (as referenced by the WHO classification), as well as conditions like Sjogren’s syndrome, lymphoma, schwannoma, neurofibroma, benign fibrous histiocytoma, fibrosarcoma, spindle cell squamous cell carcinoma, sarcoidosis, spindle cell melanoma, Kaposi sarcoma, and various infectious or inflammatory processes that can cause parotid enlargement, mimicking an SFT.6

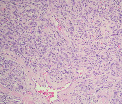
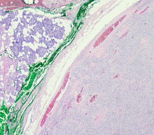
In this case, the initial fine-needle aspiration (FNA) biopsy performed in the office revealed cellular atypia of undetermined significance. FNA findings typically consistent with SFT would include oval or spindle-shaped cells, often arranged in irregular clusters, within a background of irregular collagen fragments. The non-diagnostic FNA result prompted a discussion with the patient regarding options, including repeat FNA versus excisional biopsy for definitive diagnosis, leading to her consent for the superficial parotidectomy. Grossly, the excised mass was described as a tan-to-white, partially encapsulated, firm lesion with well-circumscribed borders, consistent with the macroscopic appearance of other parotid SFTs reported in the literature. Histologically, SFTs often exhibit a “patternless” architecture of ovoid or spindle-shaped cells with high vascularity, although significant histological variability can exist.9 These characteristic features were observed in the tumor resected from this patient (Figures 2-4).

Figure 2. Low-Power Histopathology of Parotid Solitary Fibrous Tumor. Published with Permission

H&E stain, 5x original magnification of the resected parotid tumor. The image shows benign salivary gland acini and adipose tissue (left side of field) adjacent to the spindle cell lesion (right side of field), which exhibits a circumscribed, “pushing” border against the normal parotid parenchyma
H&E stain, 5x original magnification of the resected parotid tumor. The image shows benign salivary gland acini and adipose tissue (left side of field) adjacent to the spindle cell lesion (right side of field), which exhibits a circumscribed, “pushing” border against the normal parotid parenchyma

Figure 3. Medium-Power Histopathology Demonstrating Characteristic Features of Solitary Fibrous Tumor. Published with Permission

H&E stain, 20x original magnification illustrating the classic “patternless pattern” of the solitary fibrous tumor. Note the relatively uniform spindle cells, some with an epithelioid appearance, interspersed with prominent, branching, “staghorn” or hemangiopericytoma-like blood vessels, and areas of extravasated red blood cells within a collagenous stroma
H&E stain, 20x original magnification illustrating the classic “patternless pattern” of the solitary fibrous tumor. Note the relatively uniform spindle cells, some with an epithelioid appearance, interspersed with prominent, branching, “staghorn” or hemangiopericytoma-like blood vessels, and areas of extravasated red blood cells within a collagenous stroma

Figure 4. High-Power Histopathology of Lesional Cells in Solitary Fibrous Tumor. Published with Permission

H&E stain, 40x original magnification detailing the cytological features of the lesional spindle cells. The cells exhibit ovoid to spindle-shaped nuclei with irregular nuclear membranes and, in some cells, prominent nucleoli. Extravasated red blood cells are scattered throughout the lesion
H&E stain, 40x original magnification detailing the cytological features of the lesional spindle cells. The cells exhibit ovoid to spindle-shaped nuclei with irregular nuclear membranes and, in some cells, prominent nucleoli. Extravasated red blood cells are scattered throughout the lesion

Histological features suggestive of malignancy in SFTs include a high mitotic rate (e.g., ≥4 mitoses per 10 high-power fields), significant hypercellularity, moderate-to-marked cytologic atypia and nuclear pleomorphism, tumor necrosis, and infiltrative (rather than circumscribed) borders. A definitive diagnosis of SFT typically requires comprehensive immunohistochemical examination post-excision. In this case, a panel of immunostains including S100, P63, CK AE1/3, and AB/PAS were negative on the initial FNA. While these stains are useful for excluding many epithelial neoplasms, they are not specific for identifying SFT. For instance, melanomas, schwannomas, and neurofibromas are typically S-100 positive, distinguishing them from SFTs, which are S-100 negative.9 Other negative immunostains that can help narrow the diagnosis of a suspected SFT include SOX10, broad-spectrum cytokeratins, desmin, and CD117.9,11 Currently, there are no universally uniform diagnostic criteria for SFT. The most widely accepted features include alternating hypocellular and hypercellular fibrous areas, the presence of inflammatory cells such as mast cells, and isolated stromal tumor giant cells; this inherent variability contributes to the diagnostic ambiguity and challenges in managing these lesions.6 Additionally, significant histological overlap has been noted between SFT and entities previously classified separately, such as hemangiopericytomas (HPC), giant cell angiofibromas (GCA), and orbital fibrous histiocytomas (OFH). Recent classifications suggest that these tumor types may represent subtypes or variants within the SFT spectrum.12

Immunohistochemically, the most sensitive and specific markers for SFT diagnosis are somewhat debated, with different reports emphasizing the primacy of either STAT6 or CD34.13,14 STAT6 positivity is a highly valuable marker, reflecting the presence of the NAB2-STAT6 gene fusion on chromosome 12q, which is considered a key pathognomonic molecular event in SFT development.15,16 This gene fusion is suspected to be an early initiating event in SFT pathogenesis.17 Importantly, STAT6 remains highly sensitive and specific even in dedifferentiated SFTs, whereas CD34 immunoreactivity may be reduced or lost in these more aggressive forms.15,18 Other immunohistochemical markers such as CD99, Bcl-2, and vimentin have also demonstrated fair sensitivity and specificity for SFTs.19 In the present case, the tumor cells stained positively for both CD34 and STAT6, providing strong immunohistochemical confirmation of the SFT diagnosis.

Complete surgical excision with negative microscopic margins is currently the universally accepted standard of care and primary treatment approach for SFTs of the parotid gland.11,20 Due to the rarity of parotid SFTs, there have been no randomized controlled trials to establish definitive best practices for management, and the literature primarily consists of case reports and small series.7 Depending on the success of achieving complete excision and the presence of adverse prognostic factors, adjuvant chemotherapy or radiation therapy may be considered to improve outcomes, though their roles are not clearly defined.20,21 In this case, complete R0 resection was achieved, and thus no postoperative adjuvant therapy was required. A notable intraoperative consideration during the excision of parotid SFTs is the risk of profuse bleeding, owing to the highly vascular nature of these neoplasms.22 Preoperative tumor embolization can be considered in select cases to minimize this risk. Indeed, recent work by Demicco et al. has suggested that antiangiogenic therapies targeting VEGF might show promise in the treatment of SFTs, particularly unresectable or metastatic disease.23 Although the risk of recurrence for most SFTs is relatively low, with reported 5- and 10-year survival rates of approximately 89% and 73%, respectively, metastases can occur, sometimes years after the initial tumor removal.11,24 Therefore, regular long-term follow-up with clinical examination and imaging is encouraged, typically for at least the first 3-5 years post-surgery, and potentially longer for higher-risk lesions.

“Malignant” SFTs of the parotid gland, or those with high-risk features, behave more aggressively and present greater diagnostic and therapeutic challenges. There have been a few recent reports of malignant SFTs specifically in the parotid gland.6,9,10 In 2020, the WHO recommended transitioning from a binary “benign” versus “malignant” classification for SFTs to a risk stratification system.25 The risk stratification model developed by Demicco et al., referenced earlier, incorporates patient age, tumor size, mitotic count, and the presence or absence of tumor necrosis to predict the risk of metastasis (Figure 5).1 The most aggressive histological variant of SFT is the dedifferentiated type, which is characterized by an abrupt transition from typical SFT morphology to a high-grade sarcomatous or anaplastic component.26 Genetically, TP53 mutations and loss of RB1 expression have been commonly identified in dedifferentiated and other high-grade SFTs.27 Systemic chemotherapy and antiangiogenic agents are currently considered first-line treatments for metastatic or unresectable, aggressive SFTs. However, it is important to note that much of the research supporting these systemic therapies has been conducted in the context of pleural and abdominal SFTs. The paucity of data specifically evaluating parotid SFTs necessitates caution when extrapolating these findings.

Risk factor

Score

Age

<55

0

≥55

1

Tumor size (cm)

<5

0

5 to <10

1

10 to <15

2

≥15

3

Mitotic count (/10 high-power fields)

0

0

1-3

1

≥4

2

Tumor necrosis

<10%

0

≥10%

1

Figure 5. Risk Stratification Model for Solitary Fibrous Tumors.
Risk stratification model for predicting metastatic risk in solitary fibrous tumors, as proposed by Demicco et al. (Modern Pathology 2017;30(10):1433-1442).

Risk factor

Score

Age

<55

0

≥55

1

Tumor size (cm)

<5

0

5 to <10

1

10 to <15

2

≥15

3

Mitotic count (/10 high-power fields)

0

0

1-3

1

≥4

2

Tumor necrosis

<10%

0

≥10%

1

Conclusion

Solitary fibrous tumors arising in the head and neck are uncommon, with occurrences within the parotid gland being exceptionally rare. Nevertheless, any slow-growing, well-circumscribed, solid mass identified in the parotid gland should prompt consideration of SFT within the differential diagnosis. Definitive diagnosis hinges on comprehensive histopathological evaluation and immunohistochemical staining, with STAT6 and CD34 currently regarded as among the most useful markers for confirming an SFT. The mainstay of treatment for localized SFTs is complete surgical resection. Adjuvant therapies, such as radiotherapy or chemotherapy, may be considered in cases of incomplete resection or for tumors exhibiting aggressive features. Given the potential for local recurrence, even years after initial surgical excision and treatment, diligent long-term follow-up with clinical examination and imaging is essential to ensure optimal patient outcomes and to achieve high 5- and 10-year survival rates.

Due to the unique anatomical location and overall rarity of parotid SFTs, there is a limited evidence base to guide precise classification, treatment algorithms, and prognostic determinations. A comprehensive diagnostic approach, integrating clinical findings, advanced imaging, meticulous histological assessment, and immunohistochemistry, is vital for accurate diagnosis. It is hoped that this case report will meaningfully contribute to the existing literature on this rare condition, thereby aiding in the development of more systematic approaches to its identification and treatment. Furthermore, by highlighting the distinctive features that can help differentiate SFTs from more common parotid gland lesions, this report aims to reduce the likelihood of misdiagnosis and ultimately lead to improved patient outcomes.

Lessons Learned

The development and validation of a standardized, multivariate risk assessment model will be a key factor in refining the treatment and prognostication of solitary fibrous tumors, including those in rare locations like the parotid gland, in the future. Such a tool would aid clinicians in tailoring surveillance strategies and considering adjuvant therapies for patients with higher-risk disease.

Acknowledgements

Special thank you to our pathologist, Dr. Kristen Adams, with the Prisma Health – Baptist Department of Pathology, for providing the images and detailed descriptions of the histological slides included in this report.

Authors

Holley ZCa,b; Halbach Ab; Steiniger Jb; Rivera Mb,c

Author Affiliations

  1. Department of Surgery, Prisma Health, Columbia, SC 29203
  2. University of South Carolina School of Medicine, Columbia, SC 29209
  3. Department of Surgery, Division of Surgical Oncology, University of South Carolina School of Medicine/Prisma Health, Columbia, SC 29209

Corresponding Author

Zachary C. Holley, DO
Department of Surgery
Prisma Health – Midlands
2 Medical Park
Ste. 306
Columbia, SC 29203
Email: zachary.holley@prismahealth.org

Meeting Presentations

Discover: University of South Carolina; Columbia, SC; April 2024
South Carolina Medical Association (SCMA) Annual Meeting; Greenville, SC; April 2024

Disclosure Statement

The authors have no conflicts of interest to disclose.

Funding/Support

The authors have no relevant financial relationships or in-kind support to disclose.

Received: December 2, 2024
Revision received: April 21, 2025
Accepted: May 1, 2025

References

  1. Demicco EG, Wagner MJ, Maki RG, et al. Risk assessment in solitary fibrous tumors: validation and refinement of a risk stratification model. Mod Pathol. 2017;30(10):1433-1442. doi:10.1038/modpathol.2017.54
  2. Klemperer P, Rabin CB. Primary neoplasms of the pleura: a report of five cases. Arch Pathol. 1931;11:385-412.
  3. Fletcher CDM. The evolving classification of soft tissue tumours: an update based on the new WHO classification. Histopathology. 2006;48(1):3-12. doi:10.1111/j.1365-2559.2005.02284.x
  4. Yang XJ, Zheng JW, Ye WM, et al. Malignant solitary fibrous tumors of the head and neck: a clinicopathological study of nine consecutive patients. Oral Oncol. 2009;45(8):678-682. doi:10.1016/j.oraloncology.2008.10.013
  5. Alvi S, Chudek D, Limaiem F. Parotid cancer. In: StatPearls [Internet]. StatPearls Publishing; 2024. Updated May 19, 2023. https://www.ncbi.nlm.nih.gov/books/NBK538340/
  6. Sousa AA, Souto GR, Sousa IA, Mesquita RA, Gomez RS, Jham BC. Solitary fibrous tumor of the parotid gland: case report. J Clin Exp Dent. 2013;5(4):e208-e211. doi:10.4317/jced.51103
  7. Tariq MU, Din NU, Abdul-Ghafar J, et al. The many faces of solitary fibrous tumor; diversity of histological features, differential diagnosis and role of molecular studies and surrogate markers in avoiding misdiagnosis and predicting the behavior. Diagn Pathol. 2021;16(1):32. doi:10.1186/s13000-021-01096-8
  8. Suzuki K, Noda Y, Sakagami T, Yagi M, Kusafuka K, Iwai H. Head and neck solitary fibrous tumor presenting as salivary gland tumor: two case reports and review of the literature. Case Rep Oncol. 2023;16(1):471-479. doi:10.1159/000531757
  9. Saraniti C, Burrascano D, Verro B, De Lisi G, Rodolico V. A solitary fibrous tumor of the parotid gland: case report. Int J Surg Case Rep. 2023;111:108855. doi:10.1016/j.ijscr.2023.108855
  10. Lee CK, Liu KL, Huang SK. A dedifferentiated solitary fibrous tumor of the parotid gland: a case report with cytopathologic findings and review of the literature. Diagn Pathol. 2019;14(1):20. doi:10.1186/s13000-019-0792-6
  11. Bauer JL, Miklos AZ, Thompson LDR. Parotid gland solitary fibrous tumor: a case report and clinicopathologic review of 22 cases from the literature. Head Neck Pathol. 2012;6(1):21-31. doi:10.1007/s12105-011-0305-8
  12. Smith SC, Gooding WE, Elkins M, et al. Solitary fibrous tumors of the head and neck: a multi-institutional clinicopathologic study. Am J Surg Pathol. 2017;41(12):1642-1656. doi:10.1097/PAS.0000000000000940
  13. Geramizadeh B, Marzban M, Churg A. Role of immunohistochemistry in the diagnosis of solitary fibrous tumor, a review. Iran J Pathol. 2016;11(3):195-203. PMID:27956870.
  14. Vogels RJ, Vlenterie M, Versleijen-Jonkers YM, et al. Solitary fibrous tumor – clinicopathologic, immunohistochemical and molecular analysis of 28 cases. Diagn Pathol. 2014;9:224. doi:10.1186/s13000-014-0224-6
  15. Doyle LA, Vivero M, Fletcher CDM, Mertens F, Hornick JL. Nuclear expression of STAT6 distinguishes solitary fibrous tumor from histologic mimics. Mod Pathol. 2014;27(3):390-395. doi:10.1038/modpathol.2013.164
  16. Chmielecki J, Crago AM, Rosenberg M, et al. Whole-exome sequencing identifies a recurrent NAB2-STAT6 fusion in solitary fibrous tumors. Nat Genet. 2013;45(2):131-132. doi:10.1038/ng.2522
  17. Mohajeri A, Tayebwa J, Collin A, et al. Comprehensive genetic analysis identifies a pathognomonic NAB2/STAT6 fusion gene, nonrandom secondary genomic imbalances, and a characteristic gene expression profile in solitary fibrous tumor. Genes Chromosomes Cancer. 2013;52(10):873-886. doi:10.1002/gcc.22085
  18. Yokoi T, Tsuzuki T, Yatabe Y, Suzuki M, Kurumaya H, Koshikawa T. Solitary fibrous tumour: significance of p53 and CD34 immunoreactivity in its malignant transformation. Histopathology. 1998;32(5):423-432. doi:10.1046/j.1365-2559.1998.00430.x
  19. Hanau CA, Miettinen M. Solitary fibrous tumor: histological and immunohistochemical spectrum of benign and malignant variants presenting at different sites. Hum Pathol. 1995;26(4):440-449. doi:10.1016/0046-8177(95)90147-7
  20. Rais M, Kessab A, Sayad Z, El Mourabit S, Zrarqi R, Benazzou S. Solitary fibrous tumor occurring in the parotid gland: a case report. BMC Clin Pathol. 2017;17:22. doi:10.1186/s12907-017-0059-4
  21. Ralli M, Marwah N, Agarwal M, Sawhney A, Bhatia Y, Kumari N. Solitary fibrous tumor of the parotid gland in a young female: a rare case report and review of the literature. Middle East J Cancer. 2018;9(1):65-69.
  22. Ridder GJ, Kayser G, Teszler CB, Pfeiffer J. Solitary fibrous tumors in the head and neck: new insights and implications for diagnosis and treatment. Ann Otol Rhinol Laryngol. 2007;116(4):265-270. doi:10.1177/000348940711600405
  23. Demicco EG, Wani K, Fox PS, et al. Histologic variability in solitary fibrous tumors reflects angiogenic and growth factor signaling pathway alterations. Hum Pathol. 2015;46(7):1015-1026. doi:10.1016/j.humpath.2015.03.014
  24. Demicco EG, Park MS, Araujo DM, et al. Solitary fibrous tumor: a clinicopathological study of 110 cases and proposed risk assessment model. Mod Pathol. 2012;25(9):1298-1306. doi:10.1038/modpathol.2012.83
  25. WHO Classification of Tumours Editorial Board. Soft Tissue and Bone Tumours. 5th ed. International Agency for Research on Cancer; 2020. (WHO Classification of Tumours Series, Vol 3).
  26. Thway K, Hayes A, Ieremia E, Fisher C. Heterologous osteosarcomatous and rhabdomyosarcomatous elements in dedifferentiated solitary fibrous tumor: further support for the concept of dedifferentiation in solitary fibrous tumor. Ann Diagn Pathol. 2013;17(5):457-463. doi:10.1016/j.anndiagpath.2012.08.006
  27. Dagrada GP, Spagnuolo RD, Mauro V, et al. Solitary fibrous tumors: loss of chimeric protein expression and genomic instability mark dedifferentiation. Mod Pathol. 2015;28(8):1074-1083. doi:10.1038/modpathol.2015.70