Unsupported Browser
The American College of Surgeons website is not compatible with Internet Explorer 11, IE 11. For the best experience please update your browser.
Menu
Become a member and receive career-enhancing benefits

Our top priority is providing value to members. Your Member Services team is here to ensure you maximize your ACS member benefits, participate in College activities, and engage with your ACS colleagues. It's all here.

Become a Member
Become a member and receive career-enhancing benefits

Our top priority is providing value to members. Your Member Services team is here to ensure you maximize your ACS member benefits, participate in College activities, and engage with your ACS colleagues. It's all here.

Become a Member
ACS
ACS Case Reviews

Successful Minimally Invasive Management of Giant Type IV Paraesophageal Hernia in Ehlers-Danlos Syndrome

Abstract

Background

Ehlers-Danlos Syndrome (EDS) encompasses a group of inherited connective tissue disorders characterized by generalized tissue fragility, which can affect multiple organ systems, including the gastrointestinal tract. Patients with EDS are predisposed to various complications, notably an increased incidence of hernias, including paraesophageal hernias (PEH). Type IV PEH, defined by the herniation of abdominal organs other than or in addition to the stomach into the mediastinum, is the least common and most complex type, posing significant clinical challenges due to the risk of volvulus, strangulation, and organ dysfunction. Surgical management of large PEH in patients with EDS is particularly demanding due to inherent tissue friability, which can complicate both the operative technique and postoperative healing.

Summary

We report the case of a 35-year-old male with a confirmed diagnosis of Ehlers-Danlos Syndrome who presented with a three-year history of gastroesophageal reflux disease (GERD) symptoms, chronic cough, and dyspnea. Diagnostic imaging revealed a large type IV PEH, with herniation of the stomach, small bowel, large bowel, and pancreas into the mediastinum. A laparoscopic approach was undertaken for repair, which involved meticulous reduction of the herniated viscera, excision of the hernia sac, a Collis gastroplasty to achieve adequate intra-abdominal esophageal length, and a Dor fundoplication. The procedure was complicated by the presence of significant adhesions within the mediastinum. To mitigate the risk of postoperative delayed gastric emptying, a concern given the extensive dissection and potential vagal nerve manipulation, botulinum toxin was injected into the pylorus. The patient experienced an uneventful postoperative recovery and, at follow-up, reported complete resolution of his preoperative symptoms and maintained a regular diet.

Conclusion

This case demonstrates that despite the inherent challenges posed by connective tissue fragility in patients with Ehlers-Danlos Syndrome, laparoscopic repair is a feasible and effective approach for the management of complex type IV paraesophageal hernias. The minimally invasive technique allowed for successful symptomatic resolution with minimal postoperative complications in this high-risk patient. Key considerations highlighted by this case include the necessity for meticulous surgical technique, personalized operative planning to address tissue friability, and the potential utility of adjunctive measures, such as pyloric botulinum toxin injection, to prevent anticipated postoperative complications. While preoperative assessment of gastrointestinal motility might have offered additional insights, the overall management strategy proved appropriate. This case supports the continued application of minimally invasive techniques in carefully selected EDS patients with complex PEH and underscores the need for further research to establish optimal surgical guidelines and long-term outcomes for hernia repair in this specific patient population.

Key Words

Type IV paraoesophageal Hernia; Ehlers-Danlos Syndrome; minimally invasive surgery; laparoscopic hernia repair


Case Description

A 35-year-old male with a clinical diagnosis of Ehlers-Danlos Syndrome (EDS) presented to the foregut clinic with a three-year history of progressively worsening heartburn, chronic cough, and dyspnea. His Reflux Symptom Index (RSI) score was 15, and his GERD-Health Related Quality of Life (HRQL) score was 1, indicative of significant symptomatic burden. The patient reported a known family history of EDS and exhibited clinical features consistent with the syndrome, including joint hypermobility and skin hyperextensibility.

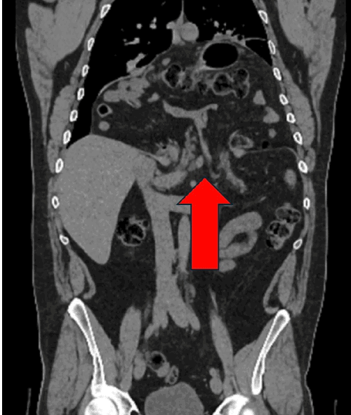
Preoperative evaluation included a computed tomography (CT) scan of the chest and abdomen, which demonstrated a large hiatal defect with extensive herniation of multiple abdominal organs—including the stomach, small bowel, large bowel, and pancreas—into the mediastinum (Figure 1). An upper gastrointestinal (UGI) series further characterized the defect as a type IV hiatal hernia, confirming an intrathoracic stomach complicated by organoaxial volvulus without evidence of acute outlet obstruction, and mild gastroesophageal reflux.

Figure 1. Preoperative CT Coronal View of Type IV Paraesophageal Hernia. Published with Permission

The patient subsequently underwent a laparoscopic paraesophageal hernia repair. Intraoperatively, the hiatal defect was noted to be significantly enlarged. Reduction of the herniated viscera commenced with careful mobilization and retrieval of the small bowel from the mediastinum (Figure 2). The greater omentum and transverse colon also required extensive mediastinal dissection before complete reduction into the abdominal cavity could be achieved. The stomach was found to be densely tethered within the mediastinum, necessitating division of the short gastric vessels to facilitate its full reduction. Following extensive blunt and electrocautery dissection, the stomach was successfully repositioned intra-abdominally, and both diaphragmatic crura were clearly visualized (Figure 3).

Figure 2. Intraoperative Laparoscopic Reduction of Herniated Viscera. Published with Permission

This image captures a moment during the meticulous reduction of herniated contents, showing loops of bowel and portions of solid organs being carefully mobilized and returned from the mediastinum through the large diaphragmatic defect into the abdominal cavity
This image captures a moment during the meticulous reduction of herniated contents, showing loops of bowel and portions of solid organs being carefully mobilized and returned from the mediastinum through the large diaphragmatic defect into the abdominal cavity

Figure 3. Intraoperative Visualization of the Diaphragmatic Defect Post-Reduction. Published with Permission

The image provides a clear and full visualization of the large diaphragmatic defect (hiatus) prior to surgical repair
The image provides a clear and full visualization of the large diaphragmatic defect (hiatus) prior to surgical repair

Due to insufficient intra-abdominal esophageal length to permit a tension-free hiatal repair, a Collis gastroplasty was performed using three applications of a GIA blue stapler to create a neo-esophagus. Primary repair of the diaphragmatic defect was then completed, and this repair was reinforced with a prosthetic mesh. An intraoperative endoscopic assessment confirmed the integrity of the gastroplasty and fundoplication without evidence of leakage.

Given concerns for potential postoperative delayed gastric emptying, secondary to possible vagal nerve manipulation during the extensive mediastinal dissection, botulinum toxin was injected endoscopically into and around the pylorus. A Dor (anterior) fundoplication was then constructed, and its satisfactory appearance was confirmed by repeat intraoperative endoscopy.

The patient experienced an uneventful postoperative recovery. On postoperative day two, a UGI study demonstrated normal passage of contrast through the esophagus and stomach without evidence of anastomotic leak or obstruction. He tolerated a clear esophageal diet, was ambulating independently, remained hemodynamically stable, and his pain was well controlled. He was discharged home on postoperative day two. At follow-up, the patient reported complete resolution of his preoperative symptoms and was tolerating a regular diet.

Discussion

Ehlers-Danlos Syndrome represents a heterogeneous group of inherited connective tissue disorders characterized by generalized tissue fragility, which significantly impacts multiple organ systems, including the gastrointestinal tract. Patients with EDS exhibit an increased predisposition to various types of hernias, including paraesophageal hernias (PEH).1 While PEH are rare in the general population, the underlying connective tissue abnormalities in EDS patients may contribute to diaphragmatic weakness and the subsequent development of such hernias.2,3 Type IV PEH, defined by the herniation of abdominal organs other than or in addition to the stomach into the thoracic cavity, poses substantial clinical risks, including volvulus, obstruction, and strangulation, necessitating surgical intervention.4,5 However, the surgical management of PEH in individuals with EDS is particularly challenging due to inherent tissue friability, which can complicate intraoperative dissection, compromise suture holding capacity, and impair postoperative healing, thereby increasing the risk of surgical complications.3 The case presented is notable due to the patient’s young age, the diagnosis of EDS, and the massive nature of the type IV PEH, which involved herniation of the stomach, small bowel, large bowel, and pancreas, underscoring the profound anatomical derangement.

The successful application of a laparoscopic approach in this patient aligns with existing literature suggesting that minimally invasive techniques can be effective in managing complex hernias, even in the challenging context of EDS.6 Nevertheless, it is well-documented that surgical interventions in the EDS population are associated with increased morbidity, primarily attributable to tissue fragility and potential issues with wound healing.2,6 The management strategy in this case was therefore carefully tailored, considering both the severity of the PEH and the patient’s underlying EDS. The decision to proceed with a laparoscopic repair was appropriate, given the established benefits of minimally invasive surgery in reducing postoperative pain, shortening recovery times, and potentially lowering the risk of certain complications, which are particularly relevant in patients with connective tissue disorders.6 The necessity for a Collis gastroplasty to achieve adequate tension-free intra-abdominal esophageal length highlights the anatomical complexities often encountered in large PEH, where chronic herniation can lead to esophageal shortening.2

Intraoperative challenges, such as the extensive adhesions and significant tethering of the stomach within the mediastinum, necessitated meticulous and prolonged dissection, further emphasizing the technical demands of repairing large PEH in EDS patients. The prophylactic injection of botulinum toxin into the pylorus, aimed at preventing postoperative delayed gastric emptying, reflects a proactive approach to mitigating potential complications. Such complications can arise from vagal nerve manipulation or injury during extensive mediastinal dissection, a known risk in complex hiatal hernia surgery.2

This case underscores the critical importance of individualized surgical planning and meticulous technique when managing patients with EDS. Minimally invasive approaches, combined with adjunctive procedures such as esophageal lengthening techniques (Collis gastroplasty) and measures to address potential postoperative dysmotility (pyloric botulinum toxin injection), can help navigate the unique risks posed by connective tissue fragility. While preoperative assessment of gastrointestinal motility was not explicitly detailed as being performed in this case, such evaluations could, in future similar scenarios, provide valuable insights to further refine postoperative management strategies, particularly given the higher prevalence of underlying gastrointestinal dysmotility in the EDS population.1 Ultimately, this case supports laparoscopic repair as a viable and effective option for managing complex type IV PEH in carefully selected EDS patients, offering the potential for excellent clinical outcomes with reduced morbidity. Further research is warranted to establish optimal surgical guidelines and long-term outcomes for hernia repair specifically within the EDS population. In retrospect, the surgical decision-making process, including the Collis gastroplasty, mesh-reinforced hiatal repair, and prophylactic botulinum toxin injection, was appropriate and well-justified given the patient’s complex anatomy and underlying risk factors.

Conclusion

This case illustrates a rare presentation of a giant type IV paraesophageal hernia in a young adult male with Ehlers-Danlos Syndrome. While patients with connective tissue disorders such as EDS are recognized to have an increased predisposition to diaphragmatic defects, the development of such extensive herniation involving multiple abdominal organs in young adulthood is uncommon.3 The underlying genetic disorder, which adversely affects collagen synthesis and tissue integrity, likely played a significant role in the pathogenesis of this complex hernia.3

Despite the inherent technical challenges and the patient’s underlying connective tissue fragility, laparoscopic repair proved to be a highly effective and safe approach. The successful application of minimally invasive techniques in this extreme case aligns with, and extends, existing literature suggesting the feasibility of laparoscopy for complex hernias, even in patients with EDS.6 The comprehensive surgical strategy, which included meticulous hernia reduction, a Collis gastroplasty to address esophageal shortening, Dor fundoplication for antireflux control, and prophylactic pyloric botulinum toxin injection to mitigate potential delayed gastric emptying, resulted in a tension-free repair and complete resolution of the patient’s preoperative symptoms. The rapid postoperative recovery and sustained symptomatic relief further support the utility of a minimally invasive approach in this challenging patient population. This case reinforces that giant paraesophageal hernias, though formidable, can be effectively managed via laparoscopic techniques, offering a durable solution even for patients with complicating connective tissue disorders like Ehlers-Danlos Syndrome. Given the rarity of such presentations, continued reporting and further research are warranted to refine optimal management strategies for PEH in patients with EDS and similar conditions.

Lessons Learned

This case contributes significantly to the understanding of managing complex type IV paraesophageal hernias in patients with Ehlers-Danlos Syndrome, affirming that a laparoscopic approach can be safely and effectively performed despite the inherent challenges posed by tissue fragility. It particularly underscores the importance of meticulous, individualized surgical planning, which may necessitate the incorporation of adjunctive procedures such as esophageal lengthening techniques (Collis gastroplasty) and measures to prevent postoperative dysmotility (e.g., pyloric botulinum toxin injections), to navigate the unique risks and achieve favorable outcomes in this specific patient population.

Authors

Hersh BLa; Horsley RDb

Author Affiliations

  1. Department of Surgery, Geisinger Northeast, Geisinger Wyoming Valey, Wilkes-Barre, PA 18777
  2. Division of Minimally Invasive and Bariatric Surgery, Geisinger Community Medical Center, Scranton, PA 18510

Corresponding Author

Beverly L. Hersh, MD, MS
Department of Surgery
Geisinger Wyoming Valley Medical Center
1000 E. Mountain Boulevard
Wilkes-Barre, PA, 18777
Email: bhersh@geisinger.edu

Meeting Presentation

Society of American Gastrointestinal and Endoscopic Surgeons, Cleveland, OH, March 2024

Disclosure Statement

The authors have no conflicts of interest to disclose.

Funding/Support

The authors have no relevant financial relationships or in-kind support to disclose.

Received: October 31, 2024
Revision received: January 18, 2025
Accepted: February 5, 2025

References

  1. Malfait F, Wenstrup RJ, De Paepe A. Clinical and genetic aspects of Ehlers-Danlos syndrome, classic type. Genet Med. 2010;12(10):597-605. doi:10.1097/GIM.0b013e3181eed412
  2. Kulas Søborg ML, Leganger J, Rosenberg J, Burcharth J. Increased need for gastrointestinal surgery and increased risk of surgery-related complications in patients with Ehlers-Danlos syndrome: a systematic review. Dig Surg. 2017;34(2):161-170. doi:10.1159/000449106
  3. Nelson AD, Mouchli MA, Valentin N, et al. Ehlers Danlos syndrome and gastrointestinal manifestations: a 20-year experience at Mayo Clinic. Neurogastroenterol Motil. 2015;27(11):1657-1666. doi:10.1111/nmo.12665
  4. Sfara A, Dumitrascu DL. The management of hiatal hernia: an update on diagnosis and treatment. Med Pharm Rep. 2019;92(4):321-325. doi:10.15386/mpr-1323
  5. Tam V, Luketich JD, Winger DG, et al. Non-elective paraesophageal hernia repair portends worse outcomes in comparable patients: a propensity-adjusted analysis. J Gastrointest Surg. 2017;21(1):137-145. doi:10.1007/s11605-016-3231-y
  6. Ignoto A, Ambrogio M, Distefano N, et al. Acute para-esophageal hernia in Ehlers-Danlos Syndrome. Chir Ital. 2006;58(6):797-801.