Unsupported Browser
The American College of Surgeons website is not compatible with Internet Explorer 11, IE 11. For the best experience please update your browser.
Menu
Become a member and receive career-enhancing benefits

Our top priority is providing value to members. Your Member Services team is here to ensure you maximize your ACS member benefits, participate in College activities, and engage with your ACS colleagues. It's all here.

Become a Member
Become a member and receive career-enhancing benefits

Our top priority is providing value to members. Your Member Services team is here to ensure you maximize your ACS member benefits, participate in College activities, and engage with your ACS colleagues. It's all here.

Become a Member
ACS
ACS Case Reviews

Pleural Effusion Entericus from Strangulated Giant Ventral Hernia: A Case of Extraperitoneal Bowel Perforation with Thoracic Extension

Abstract

Background

The development of a pleural effusion containing enteric contents is an exceedingly rare and often life-threatening condition, typically reported as a consequence of intrathoracic perforation of the colon or direct enteric fistulization into the pleural space. However, the occurrence of a pleural effusion secondary to succus entericus originating from an extraperitoneal perforation of the small bowel, particularly in the context of a complicated ventral hernia, has not been previously documented in the literature.

Summary

We present an unprecedented case of a 51-year-old morbidly obese male who developed a large pleural effusion entericus complicated by sepsis and acute respiratory failure. The underlying etiology was a strangulated giant left flank ventral hernia, which led to an extraperitoneal perforation of the incarcerated small bowel within the hernia sac and subsequent tracking of enteric contents into the ipsilateral pleural cavity. Emergent management included surgical resection of the necrotic bowel segment with a stapled anastomosis, combined with thoracoscopic irrigation and drainage of the large pleural effusion. His postoperative course was further complicated by the formation of a loculated empyema, necessitating an open thoracotomy and total lung decortication.

Conclusion

This case demonstrates that pleural effusion entericus, a highly unusual and severe condition, can rarely arise from an extraperitoneal perforation of the small bowel, particularly in the setting of a complicated giant ventral hernia. Clinicians should maintain a high index of suspicion for this atypical pathway of contamination in patients with large ventral hernias presenting with concurrent acute abdominal and thoracic sepsis.

Key Words

ventral hernia; strangulated hernia; pleural effusion; bowel perforation; sepsis; small bowel obstruction


Case Description

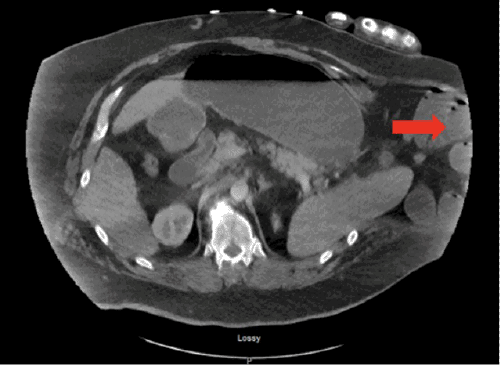
A 51-year-old morbidly obese male (body mass index [BMI] 47 kg/m²) with a remote history of laparoscopic cholecystectomy presented to the emergency department complaining of left-sided abdominal pain, nausea, and vomiting. An initial abdominal computed tomography (CT) scan revealed a large, left-sided lateral ventral hernia containing incarcerated bowel loops, consistent with a partial small bowel obstruction. Notably, due to the patient’s body habitus, the entirety of the hernia sac was not completely visualized on this initial study (Figure 1).

Figure 1. Initial CT Demonstrating Large Left Flank Hernia with Incomplete Visualization. Published with Permission

A.

Axial view from the initial abdominal CT scan on presentation. The images demonstrate a large, left-sided lateral ventral hernia containing bowel loops. Note the incomplete visualization of the entire hernia sac due to the patient’s body habitus, with possible early fluid accumulation noted near the subcostal margin (arrow)
Axial view from the initial abdominal CT scan on presentation. The images demonstrate a large, left-sided lateral ventral hernia containing bowel loops. Note the incomplete visualization of the entire hernia sac due to the patient’s body habitus, with possible early fluid accumulation noted near the subcostal margin (arrow)

B.

Coronal view from the initial abdominal CT scan on presentation. The images demonstrate a large, left-sided lateral ventral hernia containing bowel loops. Note the incomplete visualization of the entire hernia sac due to the patient’s body habitus, with possible early fluid accumulation noted near the subcostal margin
Coronal view from the initial abdominal CT scan on presentation. The images demonstrate a large, left-sided lateral ventral hernia containing bowel loops. Note the incomplete visualization of the entire hernia sac due to the patient’s body habitus, with possible early fluid accumulation noted near the subcostal margin

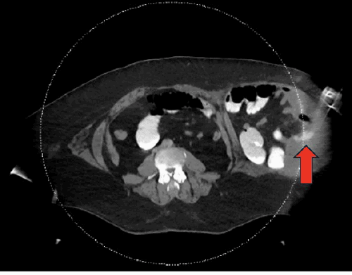
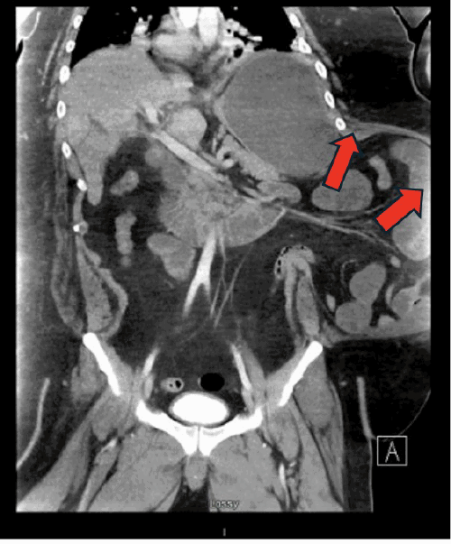
The patient was initially managed conservatively with bowel rest, intravenous hydration, and electrolyte repletion, targeting standard resuscitation parameters (mean arterial pressure >65 mmHg, heart rate <120 bpm, urine output ≥0.5 mL/kg/hr, capillary refill <2 seconds, and normalization of BUN, creatinine, electrolytes, and lactate). A nasogastric tube was placed for decompression, and intravenous analgesia was administered judiciously, avoiding narcotics where possible. Serial laboratory evaluations and physical examinations were performed to monitor for signs of worsening systemic inflammatory response, metabolic acidosis, increasing abdominal distension, or the development of peritonitis. Despite these measures, on hospital day five, the patient experienced a significant clinical deterioration, manifesting as sepsis and acute respiratory failure. A repeat CT scan at this time demonstrated a new, large, loculated, mixed-density pleural effusion on the left side (Figure 2). Crucially, this scan provided complete visualization of the hernia sac, revealing a persistent small bowel obstruction and a new extraperitoneal fluid collection within the abdominal wall, which appeared to be tracking superiorly into the pleural cavity (Figure 3).

Figure 2. CT Revealing Large Left Pleural Effusion. Published with Permission

Figure 3. CT Demonstrating Extraperitoneal Bowel Perforation and Pleuro-Abdominal Communication. Published with Permission

Image shows extraperitoneal collection of fluid and gas within the left abdominal wall (arrow), consistent with bowel perforation within the hernia sac. Note the evidence of contrast extravasation and a communicating tract (arrow) extending from this collection superiorly towards the left pleural cavity
Image shows extraperitoneal collection of fluid and gas within the left abdominal wall (arrow), consistent with bowel perforation within the hernia sac. Note the evidence of contrast extravasation and a communicating tract (arrow) extending from this collection superiorly towards the left pleural cavity

Given these findings, the patient was taken emergently to the operating room. A left-sided Wayne pigtail catheter was initially placed into the pleural space for decompression, yielding an immediate return of approximately 3,000 mL of succus entericus (Figure 4A), confirming a pleural effusion entericus. Correct intrapleural placement of the catheter was verified. Subsequently, the hernia sac was explored via a left flank incision. This revealed a 5 cm rupture of the hernia sac containing a strangulated and perforated loop of small bowel. Enteric contents were observed draining from this perforation into the abdominal wall planes and tracking superiorly through fascial defects into the pleural space (Figure 4B). The necrotic segment of small bowel was resected, and intestinal continuity was restored with a stapled anastomosis; the repaired bowel was then returned to the peritoneal cavity. A diagnostic laparoscopy was performed, which confirmed the absence of any primary diaphragmatic defect, further intraperitoneal bowel ischemia, or gross peritoneal contamination. Further exploration of the abdominal wall revealed that the chronic, large left flank hernia had significantly distorted the normal anatomical planes, including the fascial and muscular connections with the diaphragm and chest wall. This distorted anatomy likely facilitated the upward tracking of the succus entericus from the extraperitoneal perforation along the path of least resistance into the pleural space, as depicted on the CT images (Figure 3). This abnormal abdominal wall-to-pleural communication was also visualized thoracoscopically using a 30-degree scope.

The patient’s abdominal fascial defect, as measured on CT, was approximately 11 cm in diameter, associated with a very large hernia sac. Given his critical condition, a formal, definitive hernia repair was deferred. Instead, a primary repair of the 5 cm rupture within the existing hernia sac was performed as a damage control measure to contain the bowel and allow for stabilization in the intensive care unit (ICU), with a plan for staged, definitive hernia repair at a later date. A follow-up CT scan of the abdomen and pelvis one month later showed persistent chronic hernia findings but with an intact hernia sac containing non-obstructed loops of small bowel and colon, and resolution of the acute abdominal fluid collections and inflammatory changes.

Thoracoscopic examination of the left pleural cavity, following evacuation of the enteric contents, did not reveal gross signs of established infection such as purulence or overt inflammatory exudates suggestive of a mature empyema at that initial stage; the pleural effusion was clearly composed of succus entericus. Extensive thoracoscopic pleural and tract irrigation was performed, and an additional chest tube was placed. The patient was subsequently transferred to the ICU for continued resuscitation and monitoring, with a plan for a second-look thoracoscopy or video-assisted thoracoscopic surgery (VATS) within 48 hours.

Figure 4: Clinical and Intraoperative Findings of Pleural Effusion Entericus and Strangulated Bowel. Published with Permission

A.

Clinical photograph showing marked skin changes (erythema, ecchymosis) overlying the left flank hernia and the drainage of frank succus entericus from a percutaneously placed Wayne pleural catheter
Clinical photograph showing marked skin changes (erythema, ecchymosis) overlying the left flank hernia and the drainage of frank succus entericus from a percutaneously placed Wayne pleural catheter

B.

Intraoperative photograph during exploration of the left flank hernia, revealing a loop of necrotic, strangulated small bowel protruding through a defect in the hernia sac
Intraoperative photograph during exploration of the left flank hernia, revealing a loop of necrotic, strangulated small bowel protruding through a defect in the hernia sac

Initial empiric antibiotic coverage consisted of piperacillin-tazobactam and vancomycin, which was later tailored to daptomycin and micafungin based on culture results (details of specific organisms not provided here). A repeat CT scan of the chest at 48 hours showed near-complete resolution of the initial large pleural effusion, but a small, residual loculated fluid collection was noted just superior to the pulmonary hilum (Figure 5). This collection was deemed unsafe for percutaneous drainage by interventional radiology. Given its small size and the patient’s initial positive clinical response, a trial of non-operative management for this residual collection was pursued. Unfortunately, this collection progressed to a loculated empyema, ultimately requiring conversion from VATS to an open left thoracotomy due to dense adhesions and inadequate visualization. The empyema was evacuated, and a complete decortication of the left lung was performed (Figure 6). Following this definitive thoracic procedure, the patient recovered successfully and was eventually discharged to a skilled nursing facility after a total hospital stay of 28 days.

Figure 5. Follow-up CT Showing Residual Apical Pleural Collection. Published with Permission

Image demonstrates near-complete resolution of the large pleural effusion, with a small, residual loculated fluid collection (arrow) noted in the apex of the left lung, superior to the pulmonary hilum
Image demonstrates near-complete resolution of the large pleural effusion, with a small, residual loculated fluid collection (arrow) noted in the apex of the left lung, superior to the pulmonary hilum

Figure 6. Intraoperative Thoracoscopic View of Loculated Left Empyema. Published with Permission

Note the presence of a thick, fibrinous peel and purulent material consistent with a loculated empyema within the left pleural cavity, necessitating decortication
Note the presence of a thick, fibrinous peel and purulent material consistent with a loculated empyema within the left pleural cavity, necessitating decortication

Discussion

This case underscores the significant challenges and potential for severe complications associated with long-standing, large abdominal hernias, particularly in morbidly obese patients. The initial incomplete CT scan, a consequence of the patient’s body habitus, may have obscured early signs of critical small bowel incarceration, which likely progressed to perforation during the initial period of hospitalization. We postulate that the chronically debilitated and distorted fascial planes of his thoracoabdominal wall, a result of the giant ventral hernia, facilitated the unusual upward tracking of succus entericus from the extraperitoneal perforation into the pleural space, leading to a further complexification of his bowel perforation.

Bowel incarceration is a well-recognized risk factor for acute complications in patients with abdominal wall hernias and serves as an absolute indication for emergency surgery, with reported rates of emergency operation for incarcerated hernias ranging from 4% to 15%.1 Incarcerated hernias are the second most common cause of small bowel obstruction (SBO), surpassed only by postoperative adhesions.2 Paradoxically, smaller hernia defects (e.g., 3-4 cm) and those in periumbilical or umbilical locations are often cited as having a higher risk of incarceration.1 However, incarceration can also occur in hernias with large sac defects, as seen in this case.3 Factors known to increase the risk of hernia incarceration include those that elevate intra-abdominal pressure, such as obesity, chronic cough, ascites, and constipation, as well as advanced age and higher ASA (American Society of Anesthesiologists) class.1,3-5

SBO secondary to an incarcerated hernia is a serious complication, with mortality rates reported as high as 25% if bowel strangulation and/or perforation ensues.6 While bowel perforation typically occurs intraperitoneally, associated pleural effusions can develop as a reactive phenomenon to peritonitis or due to fluid overload from aggressive resuscitation.

However, the direct contamination of the pleural space with bowel contents, resulting in an acute pleural effusion entericus, is an exceedingly rare event. Such occurrences, often termed fecothorax or fecopneumothorax, have been described primarily in the context of intrathoracic bowel perforation, usually involving the colon, secondary to traumatic diaphragmatic rupture or complicated incarcerated diaphragmatic hernias.7-9 In contrast, the authors have found no prior reports in the literature detailing a total extraperitoneal perforation of the small intestine with subsequent tracking and drainage of succus entericus into the pleural space, as a complication of a strangulated giant ventral hernia.

Management of such a complex scenario necessitates a multifaceted approach. Beyond definitive repair of the ventral hernia (which was appropriately staged in this critically ill patient), prompt and aggressive management of both the abdominal and thoracic septic sources is paramount. This includes early administration of broad-spectrum antibiotics, comprehensive irrigation of the contaminated pleural cavity under thoracoscopic visualization, and establishment of adequate pleural drainage. While large-bore chest tubes have traditionally been favored for empyema, recent evidence suggests that smaller-bore catheters may be non-inferior in selected cases.10 Nevertheless, despite initial aggressive drainage and appropriate antibiotic therapy, the development of a loculated empyema from such a large burden of enteric contamination of the pleural space is a likely sequela, often requiring further intervention.

Following initial ICU stabilization and source control, repeat chest CT imaging within 48 hours is advisable, guided by the patient’s clinical status, to assess for residual or evolving pleural collections. The decision for further intervention, such as attempted intrapleural fibrinolytics or early re-operation (VATS or open thoracotomy), should be based on these imaging findings in conjunction with the patient's overall clinical trajectory.11

Conclusion

This case illustrates that morbidly obese patients with long-standing, giant ventral hernias are susceptible to developing strangulated small bowel obstruction with subsequent extraperitoneal perforation. Furthermore, we highlight an exceptionally rare sequela wherein chronically debilitated and distorted fascial planes of the thoracoabdominal wall can permit the tracking of enteric contents from such an extraperitoneal perforation into the pleural cavity, resulting in a pleural effusion entericus. This complex presentation underscores the potential for severe, atypical complications in this patient population.

Lessons Learned

A critical lesson from this case is the importance of achieving complete radiological assessment of the entire abdominal wall and hernia contents in morbidly obese patients presenting with suspected small bowel obstruction and a giant ventral hernia; incomplete initial scanning can delay recognition of incarceration and its sequelae. The development of a pleural effusion entericus secondary to an extraperitoneal small bowel perforation is an exceedingly rare event, and its diagnosis can be particularly challenging. Clinicians must maintain a high index of suspicion for such atypical pathways of contamination, especially when confronted with concurrent acute abdominal and thoracic sepsis in patients with large ventral hernias. Finally, significant pleural contamination with bowel contents carries a high risk for subsequent empyema formation, necessitating vigilant postoperative monitoring and a low threshold for aggressive thoracic intervention if indicated.

Authors

Leary Ca; Fernandez CAa,b

Author Affiliations

  1. School of Medicine, Creighton University, Omaha, NE 68198
  2. Department of Trauma Surgery and Critical Care, Creighton University Medical Center, Omaha, NE 68198

Corresponding Author

Carlos A. Fernandez Acosta, MD
Department of Surgery
Division of Trauma Surgery and Critical Care
CHI Creighton University Medical Center
7500 Mercy Road
Ste. 2871
Omaha, NE 68124
Email: carlosfernandezacosta@creighton.edu

Disclosure Statement

The authors have no conflicts of interest to disclose.

Funding/Support

The authors have no relevant financial relationships or in-kind support to disclose.

Received: December 17, 2024
Revision received: March 25, 2025
Accepted: May 1, 2025

References

  1. Sneiders D, Yurtkap Y, Kroese LF, et al. Risk factors for incarceration in patients with primary abdominal wall and incisional hernias: a prospective study in 4472 patients. World J Surg. 2019;43(8):1906-1913. doi:10.1007/s00268-019-04989-x
  2. Schick MA, Kashyap S, Collier SA, Meseeha M. Small bowel obstruction. In: StatPearls [Internet]. StatPearls Publishing; January 19, 2025.
  3. Mueck KM, Holihan JL, Mo J, et al. Computed tomography findings associated with the risk for emergency ventral hernia repair. Am J Surg. 2017;214(1):42-46. doi:10.1016/j.amjsurg.2016.09.035. PMID:28277230.
  4. Li LT, Jafrani RJ, Becker NS, et al. Outcomes of acute versus elective primary ventral hernia repair. J Trauma Acute Care Surg. 2014;76(2):523-528. doi:10.1097/TA.0b013e3182ab0743. PMID:24458061.
  5. Lau B, Kim H, Haigh PI, Tejirian T. Obesity increases the odds of acquiring and incarcerating noninguinal abdominal wall hernias. Am Surg. 2012;78(10):1140-1143. PMID:23025954.
  6. Paulson EK, Thompson WM. Review of small-bowel obstruction: the diagnosis and when to worry. Radiology. 2015;275(2):332-342. doi:10.1148/radiol.15131519.
  7. Price BA, Elliot MJ, Featherstone G, Blesovsky A. Perforation of intrathoracic colon causing acute pneumothorax. Thorax. 1983;38(12):959-960. doi:10.1136/thx.38.12.959.
  8. Phipps RF, Jackson BT. Faeco-pneumothorax as the presenting feature of a traumatic diaphragmatic hernia. J R Soc Med. 1988;81(9):549-550. doi:10.1177/014107688808100922.
  9. Chatzoulis G, Papachristos IC, Daliakopoulos SI, et al. Septic shock with tension fecothorax as a delayed presentation of a gunshot diaphragmatic rupture. J Thorac Dis. 2013;5(5):E195-E198. doi:10.3978/j.issn.2072-1439.2013.08.63. PMID:24255791; PMCID:PMC3815718.
  10. Sorino C, Mondoni M, Lococo F, Marchetti G, Feller-Kopman D. Optimizing the management of complicated pleural effusion: from intrapleural agents to surgery. Respir Med. 2022;191:106706. doi:10.1016/j.rmed.2021.106706.
  11. Chaddha U, Agrawal A, Feller-Kopman D, et al. Use of fibrinolytics and deoxyribonuclease in adult patients with pleural empyema: a consensus statement. Lancet Respir Med. 2021;9(9):1050-1064. doi:10.1016/S2213-2600(20)30533-6.