Unsupported Browser
The American College of Surgeons website is not compatible with Internet Explorer 11, IE 11. For the best experience please update your browser.
Menu
Become a member and receive career-enhancing benefits

Our top priority is providing value to members. Your Member Services team is here to ensure you maximize your ACS member benefits, participate in College activities, and engage with your ACS colleagues. It's all here.

Become a Member
Become a member and receive career-enhancing benefits

Our top priority is providing value to members. Your Member Services team is here to ensure you maximize your ACS member benefits, participate in College activities, and engage with your ACS colleagues. It's all here.

Become a Member
ACS
ACS Case Reviews

Use of Single-Photon Emission Computed Tomography for Difficult Diagnosis of Acute Cholecystitis: A Case Report

Abstract

Background

We describe the case of a 70-year-old female diagnosed with acute cholecystitis using single-photon emission computed tomography/computed tomography (SPECT/CT) after equivocal conventional planar hepatobiliary iminodiacetic acid (HIDA) scintigraphy.

Summary

A 70-year-old female presented with sudden onset epigastric pain, nausea, and vomiting. Initial work up revealed a mildly elevated white blood cell count with right upper quadrant ultrasound demonstrating gallbladder sludge without gallbladder wall thickening or pericholecystic fluid. Due to the patient’s persistent severe pain, HIDA scintigraphy was performed. Conventional planar images were equivocal for radiotracer filling of the gallbladder. A SPECT/CT was performed to assist with anatomic delineation and confirmed the absence of radiotracer within the gallbladder, suggesting acute cholecystitis. The patient underwent operative intervention and was found to have a severely inflamed gallbladder necessitating subtotal cholecystectomy. 

Conclusion

SPECT/CT is a valuable adjunct to HIDA scintigraphy when planar images are inconclusive for diagnosing acute cholecystitis.

Key Words

acute cholecystitis; ultrasound; SPECT/CT; HIDA; cholecystectomy; surgery

Abbreviations

SPECT/CT: single-photon emission computed tomography/computed tomography
HIDA: hepatobiliary iminodiacetic acid


Case Description

A 70-year-old female with a past medical history of hyperlipidemia, pre-diabetes, gastritis, and obesity presented with sudden onset epigastric pain, nausea, and vomiting within an hour of eating spicy chicken wings. She initially attributed her pain to gastritis, for which she followed closely with gastroenterology and had recently undergone esophagogastroduodenoscopy with biopsies negative for H. pylori. She sought care when the pain persisted and intensified. She reported one similar self-limited episode a year prior while traveling, at which time right upper quadrant ultrasound showed small gallstones and no further interventions were pursued.

In the emergency department, she was afebrile and hemodynamically normal. On exam, she was exquisitely tender in the epigastrium with voluntary guarding but no signs of peritonitis. Work up was notable for a mildly elevated white blood cell count of 11,400 with normal lipase and liver function tests. Ultrasound demonstrated sludge without sonographic findings of acute cholecystitis such as gallbladder wall thickening or pericholecystic fluid. Due to the severity of her pain, which had lasted more than six hours and was refractory to intravenous opioids and a GI cocktail, there was clinical concern for acute cholecystitis that warranted cholecystectomy. This recommendation was discussed with the patient, who was reluctant to procced with an operation without a definitive radiographic diagnosis. Hence, further imaging by hepatobiliary iminodiacetic acid (HIDA) scintigraphy was performed.

Dynamic anterior planar images from HIDA scintigraphy obtained over 60 minutes immediately after intravenous radiotracer administration (5.36 mCi of 99mTc-Mebrofenin) demonstrated adequate clearance of the radiotracer from the blood pool, normal hepatic radiotracer uptake, and timely excretion of radiotracer into the common bile duct (CBD) and duodenum (Figure 1). Based on a prior CT, it was known the patient’s gallbladder was adjacent to the second portion of the duodenum, which made determining whether radiotracer was filling the gallbladder on anterior planar views challenging, even on 4-hour delayed images (Figure 1). Additional right lateral and left anterior oblique planar views were obtained but did not confirm the presence or absence of radiotracer within the gallbladder. Given the high clinical suspicion for acute cholecystitis and the patient’s desire for diagnostic certainty in order to avoid an unnecessary operation, the decision was made to obtain additional images using single-photon emission computed tomography-computed tomography (SPECT/CT). SPECT/CT utilizes the radiotracer injected as part of the HIDA scan and generates cross-sectional, rather than planar, scintigraphy images that allow for improved anatomic localization. SPECT/CT confirmed the absence of radiotracer within the gallbladder and presence of excreted radiotracer in the duodenum, concordant with the clinically-suspected diagnosis of acute cholecystitis (Figure 2). 

Figure 1. Planar HIDA scintigraphy images demonstrate an area of uptake with uncertain anatomic correlation. Published with Permission

Anterior planar images from HIDA scintigraphy at 5, 10, and 60 minutes postintravenous radiotracer injection (A, B, and C, respectively) demonstrate normal hepatic radiotracer uptake (black arrows), as well as excretion of radiotracer into the common bile duct and small bowel (yellow and red arrows, respectively). Given the proximity of the gallbladder and duodenum seen on a prior CT (D, blue and white arrows, respectively), the uptake near this region on 60 minute images (C, *) is of indeterminate locality
Anterior planar images from HIDA scintigraphy at 5, 10, and 60 minutes postintravenous radiotracer injection (A, B, and C, respectively) demonstrate normal hepatic radiotracer uptake (black arrows), as well as excretion of radiotracer into the common bile duct and small bowel (yellow and red arrows, respectively). Given the proximity of the gallbladder and duodenum seen on a prior CT (D, blue and white arrows, respectively), the uptake near this region on 60 minute images (C, *) is of indeterminate locality

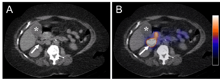
Figure 2. SPECT/CT confirms absence of radiotracer filling of the gallbladder. Published with Permission

Axial CT (A) and fused SPECT/CT (B) images of the abdomen at the level of the gallbladder demonstrate excreted radiotracer within the duodenum (white arrows) without evidence of radiotracer within the gallbladder more anteriorly (*)
Axial CT (A) and fused SPECT/CT (B) images of the abdomen at the level of the gallbladder demonstrate excreted radiotracer within the duodenum (white arrows) without evidence of radiotracer within the gallbladder more anteriorly (*)

Based on these results, the patient was taken to the operating room for laparoscopic cholecystectomy. Upon entry into the abdomen, the gallbladder was noted to be severely inflamed with a thick rind, and the cystic duct and artery were unable to be safely dissected. The decision was made to convert to a fenestrated subtotal cholecystectomy, and a drain was left in the gallbladder fossa.

The following day, the surgical drain was noted to have bilious output. She underwent an endoscopic retrograde cholangiopancreatography (ERCP), which revealed a cystic duct leak and debris in the CBD, and a stent was placed. The rest of her hospital course was notable for mild post-ERCP pancreatitis. She was discharged on post-operative day three and was seen in clinic a week later, at which time her surgical drain was removed. She was seen in clinic for management of a wound infection but ultimately recovered fully and was back to her baseline one month post-operatively. She underwent repeat ERCP two months after the first with uneventful stent removal and has had no further surgical follow up.

Discussion

Acute cholecystitis is a common surgical diagnosis that affects nearly 300,000 individuals in the United States each year.1,2 The diagnosis is made based on the Tokyo Guidelines, which include local signs of inflammation (Murphy’s sign or right upper quadrant tenderness), signs of systemic inflammation (fever, elevated white blood cell count, or elevated C-reactive protein), and characteristic imaging findings.3 Ultrasound or CT are the initial imaging modalities of choice, but HIDA scintigraphy is frequently used if initial results are equivocal and has the highest sensitivity for diagnosing acute cholecystitis.4,5

HIDA scintigraphy is based on gamma-camera imaging over the liver after intravenous administration of radiotracers that are taken into functioning hepatocytes. In normal subjects, radiotracer is excreted into the biliary system and small bowel and also fills the gallbladder. Radiotracer filling of the gallbladder suggests cystic duct patency, arguing against acute calculus cholecystitis. Conversely, the absence of gallbladder filling at four hours after administration is suggestive of either acute calculous or acalculous cholecystitis.6

As part of planar HIDA scintigraphy, additional lateral and oblique views are often obtained to confirm the findings on anterior images in challenging cases. However, false negatives may still occur when other structures, such as the duodenum, are mistaken for the gallbladder.7 Hence, the addition of cross-sectional imaging such as SPECT can help further delineate indeterminate findings.8 Current SPECT scanners are a combined SPECT/CT platform and thus provide attenuation correction and accurate anatomic localization, as seen in this case. As a result, cross-sectional images provided by SPECT/CT have been reported to improve intra-observer agreement and improve diagnostic accuracy.9 For these reasons, SPECT/CT is also used to better localize disease processes beyond the biliary system such as sentinel lymph node mapping, radioactive iodine treatment for thyroid cancer, benign and malignant boney disease, pulmonary embolism, and myocardial perfusion.10

Despite the clinical advantages of SPECT/CT, its associated cost is important to take into account, especially since acute cholecystitis can often be diagnosed with less expensive modalities such as ultrasound. No cost effectiveness studies have been published for SPECT/CT in the setting of acute cholecystitis, likely because it is not a routinely indicated study. However, SPECT/CT has been shown to be cost-saving for pulmonary embolism,11 non-small cell lung cancer,12 and knee pain after total knee replacement13 due to its high sensitivity, specificity, and diagnostic accuracy. It is possible similar trends could be observed for select patients presenting with epigastric or right upper quadrant abdominal pain and diagnostic uncertainty if the use of SPECT/CT avoids future presentations and work up for the same complaint.

We highlight this case because even though utilizing SPECT/CT to diagnose acute cholecystitis is not new to the field of nuclear medicine, it is a diagnostic adjunct our team had not previously used despite being at a high-volume academic center that routinely uses HIDA scintigraphy to diagnose acute cholecystitis. Given how SPECT/CT positively impacted this patient’s management by providing the correct diagnosis in a timely manner, it is a powerful tool for surgeons to be aware of and familiar with.

Conclusion

Diagnosing acute cholecystitis is generally straightforward based on clinical exam, basic labs, and widely-accessible imaging modalities. However, SPECT/CT is a useful and effective adjunct to planar HIDA scintigraphy for challenging indeterminate cases.

Lessons Learned

Discordance between a patient’s presentation and diagnostic work up can make otherwise routine diagnoses challenging. This case highlights the added diagnostic value of SPECT/CT as an adjunct to indeterminate HIDA scintigraphy exams, especially in the setting of a challenging acute cholecystitis diagnosis.

Authors

Lauer KVa; Pirasteh Ab,c; Banez Rueda GJb; Busch RAa

Author Affiliations

  1. Department of Surgery, University of Wisconsin School of Medicine and Public Health, Madison, WI 53726
  2. Department of Radiology, University of Wisconsin School of Medicine and Public Health, Madison, WI 53726
  3. Department of Medical Physics, University of Wisconsin School of Medicine and Public Health, Madison, WI 53726

Corresponding Author

Rebecca Busch, MD
600 Highland Avenue
Madison, WI 53792
Email: busch@surgery.wisc.edu

Disclosure Statement

The authors have no conflicts of interest to disclose.

Funding/Support

The University of Wisconsin-Madison Department of Radiology receives research support from GE Healthcare and Bracco Diagnostics.

Received: November 21, 2024
Revision received: March 20, 2025
Accepted: May 1, 2025

References

  1. Peery AF, Crockett SD, Murphy CC, et al. Burden and cost of gastrointestinal, liver, and pancreatic diseases in the United States: update 2018. Gastroenterology. 2019;156(1):254-272.e11. doi:10.1053/j.gastro.2018.08.063
  2. Wadhwa V, Jobanputra Y, Garg SK, Patwardhan S, Mehta D, Sanaka MR. Nationwide trends of hospital admissions for acute cholecystitis in the United States. Gastroenterol Rep (Oxf). 2017;5(1):36-42. doi:10.1093/gastro/gow015
  3. Yokoe M, Hata J, Takada T, et al. Tokyo Guidelines 2018: diagnostic criteria and severity grading of acute cholecystitis (with videos). J Hepatobiliary Pancreat Sci. 2018;25(1):41-54. doi:10.1002/jhbp.515
  4. Gallaher JR, Charles A. Acute cholecystitis: a review. JAMA. 2022;327(10):965-975. doi:10.1001/jama.2022.2350
  5. Kiewiet JJ, Leeuwenburgh MM, Bipat S, Bossuyt PM, Stoker J, Boermeester MA. A systematic review and meta-analysis of diagnostic performance of imaging in acute cholecystitis. Radiology. 2012;264(3):708-720. doi:10.1148/radiol.12111561
  6. Tulchinsky M, Ciak BW, Delbeke D, et al. SNM practice guideline for hepatobiliary scintigraphy 4.0. J Nucl Med Technol. 2010;38(4):210-218. doi:10.2967/jnmt.110.082289
  7. Low CS, Ahmed H, Notghi A. Pitfalls and limitations of radionuclide hepatobiliary and gastrointestinal system imaging. Semin Nucl Med. 2015;45(6):513-529. doi:10.1053/j.semnuclmed.2015.06.001
  8. Ziessman HA, O’Malley JP, Thrall JH. Nuclear Medicine: The Requisites. 5th ed. Elsevier; 2024:chap Single-photon emission computed tomography, positron emission tomography, and hybrid imaging.
  9. Arabi M, Brown RKJ, Dwamena BA, et al. Single-photon emission computed tomography/computed tomography as a problem-solving tool in patients with suspected acute cholecystitis. J Comput Assist Tomogr. 2013;37(6):844-848. doi:10.1097/RCT.0b013e3182a604ae
  10. Israel O, Pellet O, Biassoni L, et al. Two decades of SPECT/CT - the coming of age of a technology: an updated review of literature evidence. Eur J Nucl Med Mol Imaging. 2019;46(10):1990-2012. doi:10.1007/s00259-019-04404-6
  11. Toney LK, Kim RD, Palli SR. The economic value of hybrid single-photon emission computed tomography with computed tomography imaging in pulmonary embolism diagnosis. Acad Emerg Med. 2017;24(9):1110-1123. doi:10.1111/acem.13247
  12. Romsa J, Imhoff RJ, Palli SR, Inculet R, Mehta S. SPECT/CT versus planar imaging to determine treatment strategy for non-small-cell lung cancer: a cost-effectiveness analysis. J Comp Eff Res. 2022;11(4):229-241. doi:10.2217/cer-2021-0139
  13. Van den Wyngaert T, Palli SR, Imhoff RJ, Hirschmann MT. Cost-effectiveness of bone SPECT/CT in painful total knee arthroplasty. J Nucl Med. 2018;59(11):1742-1750. doi:10.2967/jnumed.117.205567