Unsupported Browser
The American College of Surgeons website is not compatible with Internet Explorer 11, IE 11. For the best experience please update your browser.
Menu
Become a member and receive career-enhancing benefits

Our top priority is providing value to members. Your Member Services team is here to ensure you maximize your ACS member benefits, participate in College activities, and engage with your ACS colleagues. It's all here.

Become a Member
Become a member and receive career-enhancing benefits

Our top priority is providing value to members. Your Member Services team is here to ensure you maximize your ACS member benefits, participate in College activities, and engage with your ACS colleagues. It's all here.

Become a Member
ACS
ACS Case Reviews

Pleomorphic Dermal Sarcoma of the Posterior Thorax

Abstract

Background

Pleomorphic dermal sarcoma (PDS) is a rare, high-grade cutaneous neoplasm that typically arises in the sun-damaged skin of elderly individuals, most commonly on the scalp. It represents the more aggressive end of a spectrum of disease that includes atypical fibroxanthoma (AFX). PDS is distinguished from AFX by the presence of high-grade histologic features or invasion into deeper tissues, such as fascia or muscle, and is associated with significantly higher rates of local recurrence and distant metastasis.

Summary

We present the case of a 46-year-old male with PDS of the left posterior thorax, an atypical location for this malignancy. The patient’s initial presentation of a tender mass was clinically suspicious for an abscess, for which he underwent incision and drainage. Subsequent histopathological analysis established a differential diagnosis of PDS versus AFX. After appropriate staging evaluations, the patient was treated with wide local excision. Adjuvant therapy was not administered, and follow-up imaging at seven months demonstrated no evidence of disease recurrence.

Conclusion

This case highlights a rare tumor presenting with an unusual patient demographic and anatomic location. Sarcomas are notorious diagnostic challenges and can frequently masquerade as more common benign or infectious pathologies. Reporting atypical presentations of PDS is critical for raising clinical suspicion, thereby preventing potential delays in definitive diagnostic and therapeutic management.

Key Words

pleomorphic dermal sarcoma; atypical fibroxanthoma; sarcoma; immunohistochemistry; diagnostic challenge


Case Description

A 46-year-old Hispanic male with a past medical history notable only for well-controlled hypertension presented to the emergency department with a painful, erythematous mass on his left posterior axillary line, measuring approximately 3.5 × 3.5 cm (Figure 1). His vital signs were normal. The patient, a former smoker with a 15 pack-year history and a social alcohol consumer, reported that the mass appeared three weeks prior following a deep-tissue massage. An initial ultrasound demonstrated a 4.8 × 3.3 × 5.4 cm complex collection with increased peripheral vascularity, concerning for either a hematoma or an abscess. Consequently, the patient was referred to general surgery for a presumed incision and drainage.

Figure 1. Clinical Presentation of Left Dorsal Mass. Published with Permission

Intraoperatively, the cavity was found to contain a gelatinous white fluid, without evidence of frank pus or foul odor, prompting a biopsy for pathological assessment. Histopathology revealed a pleomorphic spindle cell neoplasm with significant mitotic activity (15 mitoses/10 high-power fields) and scattered areas of necrosis estimated at 10-20% of the tumor volume. Immunohistochemical (IHC) staining was positive for CD163 and CD68, with focal positivity for smooth muscle actin (SMA). Stains for desmin, pan-keratin (AE1/AE3), CD34, and myogenin were all negative (Figure 2). These findings narrowed the histological differential diagnosis to atypical fibroxanthoma (AFX) and pleomorphic dermal sarcoma (PDS). Upon retrospective review, the initial ultrasound was likely misinterpreted, as evidence of both peripheral and internal flow was indicative of a vascularized mass, making a simple hematoma or abscess less likely (Figure 3).

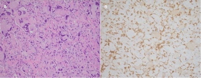
Figure 2. Histopathological and Immunohistochemical Features. Published with Permission

(A) H&E stain (20x original magnification) reveals a highly cellular neoplasm composed of markedly pleomorphic cells with significant variation in cell size and shape. Two mitotic figures are seen in close proximity. (B) Immunohistochemical stain for CD163 (20x original magnification) highlights numerous tumor cells with positive (light brown) cytoplasmic staining, supporting a fibrohistiocytic line of differentiation
(A) H&E stain (20x original magnification) reveals a highly cellular neoplasm composed of markedly pleomorphic cells with significant variation in cell size and shape. Two mitotic figures are seen in close proximity. (B) Immunohistochemical stain for CD163 (20x original magnification) highlights numerous tumor cells with positive (light brown) cytoplasmic staining, supporting a fibrohistiocytic line of differentiation

Figure 3. Ultrasound Imaging of the Dorsal Mass. Published with Permission

(A) Grayscale ultrasound image demonstrates a round, heterogeneous, echogenic mass located within the subcutaneous fat, exerting mass effect on the underlying latissimus dorsi muscle (arrow). (B) Color Doppler imaging of the mass shows evidence of both peripheral and internal arterial and venous flow, indicative of significant vascularity and making a simple abscess or hematoma unlikely
(A) Grayscale ultrasound image demonstrates a round, heterogeneous, echogenic mass located within the subcutaneous fat, exerting mass effect on the underlying latissimus dorsi muscle (arrow). (B) Color Doppler imaging of the mass shows evidence of both peripheral and internal arterial and venous flow, indicative of significant vascularity and making a simple abscess or hematoma unlikely

Following these pathological results, the patient was re-evaluated by the surgical oncology service (Figure 4). A magnetic resonance imaging (MRI) scan revealed a residual heterogeneous mass centered in the posterolateral subcutaneous adipose tissue, and staging CT scans showed no evidence of regional or distant metastasis (Figure 5). A wide local excision (WLE) was recommended to achieve negative margins. The procedure was performed, with resection carried down to and including the underlying fascia. Final margins were negative: the deep margin was 0.2 cm (with fascia confirmed histologically), the superior margin was 1.1 cm, and all other margins exceeded 1.5 cm. Pathological examination of the resected specimen noted areas of florid giant cell and histiocytic reaction adjacent to the primary tumor. A complex, multilayered closure of the surgical defect was performed by the plastic surgery team, and the patient was discharged home on the same day (Figure 6). Based on the surgical correlation with the final, comprehensive pathological findings, a definitive diagnosis of PDS was established.

Figure 4. Clinical Appearance Prior to Definitive Resection. Published with Permission

Clinical photograph on POD 36 following the initial incision and drainage with incisional biopsy showing the state of the wound and residual/recurrent tumor prior to definitive wide local excision by the surgical oncology service
Clinical photograph on POD 36 following the initial incision and drainage with incisional biopsy showing the state of the wound and residual/recurrent tumor prior to definitive wide local excision by the surgical oncology service

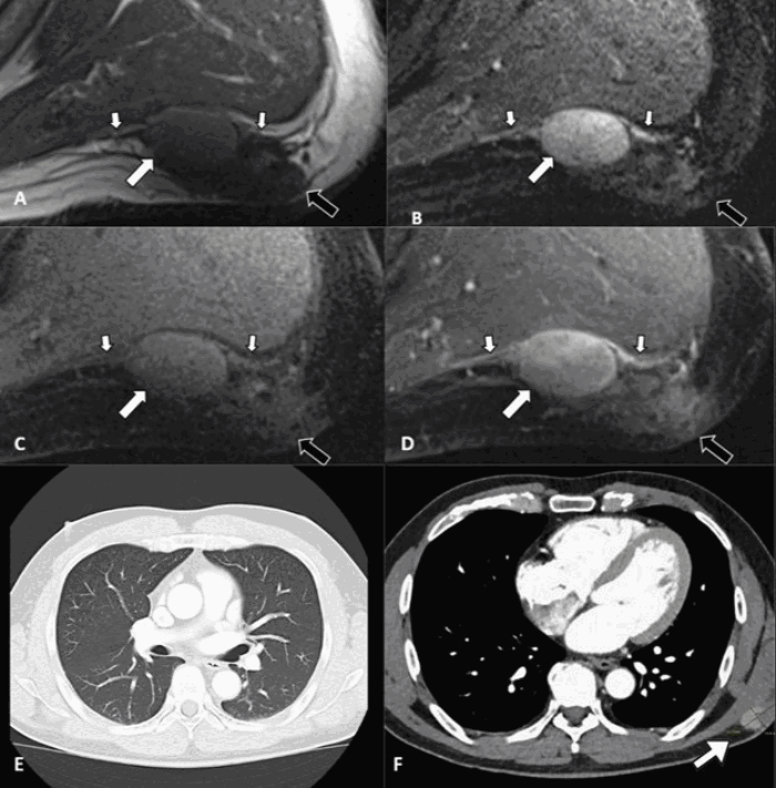
Figure 5. Preoperative MRI and Staging CT Scans. Published with Permission

(A-D) Multiplanar MRI of the mass. (A) T1-weighted, (B) T2-weighted with fat suppression, (C) T1-weighted with fat suppression, and (D) T1-weighted with fat suppression post-contrast images demonstrate a heterogeneous mass centered in the posterolateral subcutaneous fat. The lesion shows intermediate T1 signal, hyperintense T2 signal, and avid enhancement (arrows). An enhancing “tail” is seen emanating from the mass along the muscle fascia (small arrows), concerning for disease involvement, while a less-defined area of signal change more posteriorly (black arrow) likely represents postsurgical inflammation. (E, F) Axial contrast-enhanced CT images for staging. (E) CT of the chest reveals no evidence of pulmonary metastasis. (F) CT of the primary site shows the 3.3 × 1.9 cm subcutaneous mass.

Figure 6. Postoperative Follow-up After Wide Local Excision. Published with Permission

Clinical photographs demonstrating the healed surgical site. (A) Appearance on POD 6 and (B) POD 8 following definitive wide local excision and complex closure by the surgical and plastic surgery teams
Clinical photographs demonstrating the healed surgical site. (A) Appearance on POD 6 and (B) POD 8 following definitive wide local excision and complex closure by the surgical and plastic surgery teams

The patient’s postoperative course was complicated only by a small, subclinical seroma that drained spontaneously and resolved without intervention. His case was discussed at the multidisciplinary sarcoma tumor board, where a consensus was reached that adjuvant radiation and systemic therapy were not indicated. This decision was based on his young age, the relatively small tumor size, the achievement of optimal negative margins, the high likelihood of successful surgical salvage in the event of a local recurrence, and the relative resistance of PDS to both radiation and chemotherapy. He is currently on a regimen of active surveillance, which includes imaging of the primary site and restaging chest CT scans every 3-4 months, with a plan to increase this interval after two years. At seven months post-surgery, he remains free of recurrent disease.

Discussion

While over five million people are diagnosed with skin cancer annually in the United States, soft tissue sarcomas (STS) account for less than 1% of these cutaneous malignancies and are consequently often underrecognized or misdiagnosed at initial presentation.1‒3 Cutaneous soft-tissue sarcomas (CSTS) are a heterogeneous group of neoplasia arising from connective tissue, smooth muscle, vascular tissue, or adipose tissue.2 Pleomorphic dermal sarcoma, while considered one of the four most common CSTS, remains a rare entity with an estimated incidence of 1-2 cases per 1,000,000 individuals per year.4 PDS typically presents in elderly male patients (median age ~80 years) as a rapidly growing, often ulcerated or bleeding lesion on sun-exposed areas such as the head and neck.6,7 The risk of local recurrence is significant, estimated at around 28%, with a risk of metastasis to the lungs, skin, and regional lymph nodes of up to 20%.8,9 Although a consensus on the optimal management of CSTS, in general, is still evolving, complete surgical resection is considered the standard of care for PDS. Adjuvant radiation therapy may offer additional benefit when clear surgical margins cannot be obtained.8,10 We report an atypical presentation of PDS in a young male with a painful posterior trunk mass that appeared after a deep-tissue massage.

This case highlights an atypical presentation of PDS, a rare spindle cell sarcoma. The patient’s younger age, the location of the tumor on the trunk, and the evolution of symptoms following trauma are unique. Furthermore, the initial clinical picture mimicked an infected fluid collection, underscoring the need to maintain a high index of suspicion for malignancy when presented with such a mass. Upon re-evaluation of the clinical history, it was noted that the patient had a mass growing for over a year in the same location, which had been previously evaluated by a primary care physician and deemed a benign lipoma. This discussion will review the diagnostic workup, differential diagnosis, and treatment options for PDS, with clinical ties to our patient's presentation and management.

PDS, historically known as malignant fibrous histiocytoma of the skin, was only recently recognized as a distinct entity in the 2013 World Health Organization (WHO) classification of soft tissue tumors.6,10 The term PDS has been proposed to describe tumors of cutaneous origin that share clinical, morphological, and immunohistochemical (IHC) features with atypical fibroxanthoma but are distinguished from AFX by the presence of necrosis, invasion into the deep subcutis (subcutaneous fat), or lymphovascular or perineural invasion.4,8,10 These two malignancies are thought to exist on a biological spectrum; while AFX is typically considered more benign, PDS exhibits a higher rate of local recurrence (23.9%) and metastasis (7.1-20%).9,11

Clinically, PDS typically presents as a rapidly growing, exophytic, ulcerated, or bleeding skin tumor with an average size of about 2.0 cm.11,12 It most commonly manifests on sun-exposed areas, with the head and neck being the most frequent sites (91.2%), although it can also be seen on the trunk and limbs (9%) at a higher rate than AFX.4,11,12 Elderly (median age = 79.3), Caucasian (94.1%) males (88.5%) are at particular risk, especially those with a history of UV-associated premalignant lesions like actinic keratosis or Bowen’s disease.11,12 Histopathologically, PDS is characterized by atypically arranged spindle cells and pleomorphic epithelioid cells, often in combination with multinucleated giant cells.7,8 High mitotic activity (median = 25 mitoses/5mm²), as observed in our patient, is also a frequent finding.13

Currently, there are no formal diagnostic evaluation guidelines specifically for PDS; however, cross-sectional imaging followed by biopsy is the standard diagnostic workup for any suspected soft tissue sarcoma.14 CT or MRI scans are the typical imaging modalities used, and core needle or incisional biopsies are the preferred methods for obtaining diagnostic tissue.14 In our case, due to a low initial clinical suspicion of malignancy, an ultrasound followed by incision and drainage was performed instead of a formal biopsy. Fortunately, as intraoperative findings were inconsistent with the preoperative diagnosis of an abscess, tissue was appropriately sent for histologic review. Following the diagnosis of a sarcoma, a comprehensive metastatic workup, including CT scans to evaluate for pulmonary metastatic disease, is critical.14 Given the location of the tumor on the trunk and the patient’s younger age, dermatofibrosarcoma protuberans (DFSP) was a key consideration in the differential diagnosis. This differential can be particularly challenging, as cases with pleomorphic and multinucleated giant cells have been reported in DFSP.9 The negative staining for CD34 was therefore especially important in this case to help exclude DFSP and narrow the differential diagnosis to AFX and PDS.

PDS is considered a diagnosis of exclusion, requiring an extensive IHC panel and close clinicopathological correlation to distinguish it from other pathologies with similar presentations. The differential diagnosis includes cutaneous angiosarcoma, spindle cell melanoma, leiomyosarcoma, and DFSP.9,11 PDS characteristically stains negative for cytokeratins, S100 protein, CD34, Melan-A, and desmin.8,9 Conversely, PDS consistently stains positive for CD10 and vimentin.8,9 Other commonly positive stains include CD68 (positive in approximately 83% of cases), smooth muscle actin (SMA) (positive in approximately 64% of cases), and pan-muscle actin (HHF35) (positive in approximately 50% of cases).8,9

The exclusion of cutaneous angiosarcoma (cAS) can be a particular diagnostic challenge, as it shares significant morphological and clinical overlaps with PDS.9 While CD31 is traditionally considered a sensitive and specific marker for cAS, this is complicated by the fact that a subset of PDS cases (up to 48%) can also express CD31.8,13 Therefore, negative results for other endothelial cell markers, such as CD34, are often necessary to confidently rule out cAS.9

Genetically, PDS frequently exhibits a UV signature mutational profile, with C→T (G→A) and CC→TT (GG→AA) substitutions accounting for over half of all mutations.15 Frequently altered genes include CDKN2A, NOTCH1, TERT promoter, and TP53.15 Notably, the high mutational burden of TP53 suggests that patients with Li-Fraumeni syndrome may be at a greater risk of developing PDS.16 Furthermore, a recent study suggested that the gene mutation status of TP53 is associated with tumor depth, while TERT promoter mutations are associated with necrosis.15 Besides UV radiation, other risk factors such as prior radiation therapy, immunosuppression, burns, and trauma have been proposed, although the mechanisms of these non-UV contributors are poorly understood.17 In the case presented here, the location of the tumor in a non-sun-exposed area may suggest that non-UV mechanisms, such as the preceding trauma from the deep-tissue massage, were at play. This case, like others in the literature, highlights the importance of further investigation into the pathogenesis of PDS.

Complete surgical excision is the standard of care for PDS, with wide local excision (WLE) and Mohs micrographic surgery (MMS) being the typical modalities employed.10 Whether there is a meaningful difference in recurrence rates between WLE and MMS remains controversial.10,11 Some studies have suggested that MMS is correlated with lower recurrence rates for PDS, consistent with other studies demonstrating the superiority of MMS for the management of AFX.12,18 However, the paucity of data for PDS specifically prevents any definitive recommendations.12,18 Furthermore, these findings could be confounded by selection bias, as smaller and consequently less invasive tumors may be more likely to be treated with MMS than with WLE.19 Further investigation comparing these two modalities is necessary.

Comprehensive margin control for PDS is paramount, as literature demonstrates that margins <2 cm are correlated with an increased risk of local recurrence and metastasis.10 Prognostic factors for PDS are not yet well-defined; however, it has been suggested that lymphovascular invasion and high mitotic activity (>18 mitoses/10 hpf) are correlated with increased recurrence risk.20 A tumor size greater than 4 cm may be a risk factor for metastasis.21 Interestingly, the presence of ulceration may be associated with improved progression-free survival time.22 The lungs, skin, and regional lymph nodes are the most common sites of metastasis.23 Up to 20% of metastatic cases result in disease-specific death, with patients typically succumbing 12-33 months after diagnosis.9,16 The effectiveness of sentinel lymph node biopsy, adjuvant radiotherapy, or chemotherapy is currently unknown, and there is limited data to support their routine use in the adjuvant setting.10 However, there are reports of metastatic PDS being successfully managed with chemotherapy.11,22,23 Emerging literature has also suggested that PD-1/PD-L1-blocking antibodies may be effective for cases of unresectable or metastatic PDS.22,24

A recent study has suggested that patients with PDS should undergo a minimum follow-up duration of four years, as the risk of metastasis appears to decrease to approximately 1% after this point.4

Conclusion

This case report underscores the diagnostic challenges associated with PDS, particularly when it presents in an uncommon location and patient demographic. A definitive diagnosis requires a comprehensive approach, integrating clinical findings with thorough histopathological and immunohistochemical evaluation to distinguish it from its various mimics. Complete surgical resection with histologically clear margins remains the cornerstone of curative-intent treatment, as this has been shown to reduce the risk of both local recurrence and distant metastasis.

Lessons Learned

Clinicians should be aware of rare clinical variants of PDS and maintain this entity within their differential diagnosis for cutaneous and subcutaneous masses, even in younger patients or in non-sun-exposed locations. When a soft tissue sarcoma is suspected, appropriate cross-sectional imaging, such as CT or MRI, followed by a planned diagnostic biopsy (e.g., core needle or incisional biopsy) should be pursued prior to definitive excision. This approach helps prevent an inadequate or non-oncologic initial procedure, such as a simple incision and drainage, which could compromise subsequent curative resection.

Authors

Shyu Ea; Arias-Espinosa La; Pereira Xa; Samim MMb; Hoda STc; Friedman EBd

Author Affiliations

  1. Division of General Surgery, NYU Langone Health, New York, NY 10016
  2. Division of Musculoskeletal Imaging, NYU Langone Health, New York, NY 10016
  3. Department of Pathology, NYU Langone Health, New York, NY 10016
  4. Division of Surgical Oncology, NYU Langone Health, New York, NY 10016

Corresponding Author

Luis Arias-Espinosa, MD
Division of General Surgery
NYU Langone Health
550 1st Avenue
New York City, NY, 10016
Email: luisariasespinosa@gmail.com

Disclosure Statement

The authors have no conflicts of interest to disclose.

Funding/Support

The authors have no relevant financial relationships or in-kind support to disclose.

Received: September 16, 2024
Revision received: November 26, 2024
Accepted: January 30, 2025

References

  1. Lewis KG, Weinstock MA. Trends in nonmelanoma skin cancer mortality rates in the United States, 1969 through 2000. J Invest Dermatol. 2007;127(10):2323-2327. doi:10.1038/sj.jid.5700897
  2. Rouhani P, Fletcher CDM, Devesa SS, Toro JR. Cutaneous soft tissue sarcoma incidence patterns in the U.S.: an analysis of 12,114 cases. Cancer. 2008;113(3):616-627. doi:10.1002/cncr.23571
  3. Messina V, Cope B, Keung EZ, Fiore M. Management of skin sarcomas. Surg Oncol Clin N Am. 2022;31(3):511-525. doi:10.1016/j.soc.2022.03.010
  4. Ørholt M, Abebe K, Rasmussen LE, et al. Atypical fibroxanthoma and pleomorphic dermal sarcoma: local recurrence and metastasis in a nationwide population-based cohort of 1118 patients. J Am Acad Dermatol. 2023;89(6):1177-1184. doi:10.1016/j.jaad.2023.08.050
  5. Kohlmeyer J, Steimle-Grauer SA, Hein R. Cutaneous sarcomas. J Dtsch Dermatol Ges. 2017;15(6):630-648. doi:10.1111/ddg.13249
  6. Lonie S, Yau B, Henderson M, Gyorki D, Angel C, Webb A. Management of pleomorphic dermal sarcoma. ANZ J Surg. 2020;90(11):2322-2324. doi:10.1111/ans.15909
  7. Brenn T. Pleomorphic dermal neoplasms: a review. Adv Anat Pathol. 2014;21(2):108-130. doi:10.1097/PAP.0000000000000009
  8. Miller K, Goodlad JR, Brenn T. Pleomorphic dermal sarcoma: adverse histologic features predict aggressive behavior and allow distinction from atypical fibroxanthoma. Am J Surg Pathol. 2012;36(9):1317-1326. doi:10.1097/PAS.0b013e31825359e1
  9. Tardío JC, Pinedo F, Aramburu JA, Suárez-Massa D, Pampín A, Requena L, Santonja C. Pleomorphic dermal sarcoma: a more aggressive neoplasm than previously estimated. J Cutan Pathol. 2016;43(2):101-112. doi:10.1111/cup.12603
  10. Soleymani T, Aasi SZ, Novoa R, Hollmig ST. Atypical fibroxanthoma and pleomorphic dermal sarcoma: updates on classification and management. Dermatol Clin. 2019;37(3):253-259. doi:10.1016/j.det.2019.02.001
  11. Lo ACQ, McDonald S, Wong KY. Case of pleomorphic dermal sarcoma with systematic review of disease characteristics, outcomes and management. BMJ Case Rep. 2021;14(8):e244522. doi:10.1136/bcr-2021-244522
  12. Logan IT, Vroobel KM, le Grange F, Perrett CM. Pleomorphic dermal sarcoma: clinicopathological features and outcomes from a 5-year tertiary referral centre experience. Cancer Rep (Hoboken). 2022;5(11):e1583. doi:10.1002/cnr2.1583
  13. Oliveira Monteiro A, Branco Ferreira I, César A, Mota A, Pinheiro J, Lopes JM, Cardoso MT. Cutaneous angiosarcoma in an unusual location and without predisposing factors. Eur J Case Rep Intern Med. 2020;7(12):001939. doi:10.12890/2020_001939
  14. Garcia del Muro X, de Alava E, Artigas V, et al. Clinical practice guidelines for the diagnosis and treatment of patients with soft tissue sarcoma by the Spanish Group for Research in Sarcomas (GEIS). Cancer Chemother Pharmacol. 2016;77(1):133-146. doi:10.1007/s00280-015-2809-5
  15. Griewank KG, Wiesner T, Murali R, et al. Atypical fibroxanthoma and pleomorphic dermal sarcoma harbor frequent NOTCH1/2 and FAT1 mutations and similar DNA copy number alteration profiles. Mod Pathol. 2018;31(3):418-428. doi:10.1038/modpathol.2017.146
  16. Kim H, Noh H, Shim J, Oh SJ, Lee JH, Lee DY, Park JH. Pleomorphic dermal sarcoma presenting in a child with Li-Fraumeni syndrome: a case report and review of the literature. Pediatr Dermatol. 2024;41(2):311-314. doi:10.1111/pde.15452
  17. McCoppin HH, Christiansen D, Stasko T, Washington C, Martinez JC, Brown MD, Zwald FO. Clinical spectrum of atypical fibroxanthoma and undifferentiated pleomorphic sarcoma in solid organ transplant recipients: a collective experience. Dermatol Surg. 2012;38(2):230-239. doi:10.1111/j.1524-4725.2011.02180.x
  18. Ríos-Viñuela E, Serra-Guillén C, Llombart B, et al. Pleomorphic dermal sarcoma: a retrospective study of 16 cases in a dermato-oncology centre and a review of the literature. Eur J Dermatol. 2020;30(5):545-553. doi:10.1684/ejd.2020.3875
  19. Meyer SN, Ren Y, Taylor S, Kiuru M, Eisen DB. Mohs micrographic surgery versus wide local excision for the treatment of atypical fibroxanthoma: a retrospective cohort analysis. JAAD Int. 2023;12:174-176. doi:10.1016/j.jdin.2023.06.003
  20. Pons Benavent M, Ríos-Viñuela E, Nagore E, et al. Lymphovascular invasion and high mitotic count are associated with increased risk of recurrence in pleomorphic dermal sarcoma. Actas Dermosifiliogr. 2023;114(7):T572-T579. doi:10.1016/j.ad.2023.04.018
  21. Perez AN, Dashti NK, Cates JMM. Prognostic factors for pleomorphic dermal sarcoma: analysis of 1911 cases from the SEER database. J Clin Pathol. 2023;76(6):424-428. doi:10.1136/jcp-2022-208570
  22. Helbig D, Klein S. Immune checkpoint inhibitors for unresectable or metastatic pleomorphic dermal sarcomas. Front Oncol. 2022;12:975342. doi:10.3389/fonc.2022.975342
  23. Persa OD, Loquai C, Wobser M, et al. Extended surgical safety margins and ulceration are associated with an improved prognosis in pleomorphic dermal sarcomas. J Eur Acad Dermatol Venereol. 2019;33(8):1577-1580. doi:10.1111/jdv.15493
  24. Klein S, Mauch C, Wagener-Ryczek S, et al. Immune-phenotyping of pleomorphic dermal sarcomas suggests this entity as a potential candidate for immunotherapy. Cancer Immunol Immunother. 2019;68(6):973-982. doi:10.1007/s00262-019-02339-3