Unsupported Browser
The American College of Surgeons website is not compatible with Internet Explorer 11, IE 11. For the best experience please update your browser.
Menu
Become a member and receive career-enhancing benefits

Our top priority is providing value to members. Your Member Services team is here to ensure you maximize your ACS member benefits, participate in College activities, and engage with your ACS colleagues. It's all here.

Become a Member
Become a member and receive career-enhancing benefits

Our top priority is providing value to members. Your Member Services team is here to ensure you maximize your ACS member benefits, participate in College activities, and engage with your ACS colleagues. It's all here.

Become a Member
ACS
ACS Case Reviews

A Unique Entrapment: A Ureter-containing Inguinal Hernia

Abstract

Background

Ureteroinguinal hernias, characterized by the protrusion of the ureter into the inguinal canal, are a rare clinical entity, with fewer than 150 cases documented in the literature. These hernias are most often not detected preoperatively, which poses a significant risk of iatrogenic ureteral injury during routine hernia repair if a high index of suspicion is not maintained. While typically occurring on the right side, we present an unusual case of a left-sided ureteroinguinal hernia in a 65-year-old male with a history of prior robotic-assisted prostatectomy and a failed robotic inguinal hernia repair.

Summary

A 65-year-old male with a known recurrent inguinal hernia presented to the emergency department with acute-onset flank pain, gross hematuria, and dysuria. Computed tomography (CT) imaging confirmed a large, recurrent left inguinal hernia causing obstructive uropathy secondary to entrapment of a hydronephrotic left ureter. Preoperative identification of the ureter within the hernia sac guided definitive surgical management via an open approach. The dilated ureter was carefully dissected from the hernia sac and reduced into its proper intra-abdominal position, followed by a tension-free repair utilizing mesh plugs. Postoperatively, the patient required temporary ureteral stenting for persistent hydronephrosis but ultimately fully recovered from his acute kidney injury, with the stent later removed without complication.

Conclusion

Being cognizant of the condition and maintaining acute clinical awareness when evaluating patients who are at risk for or display symptomatology of ureteral herniation can lead to preoperative identification and better patient outcomes, as seen in this case. For patients without significant hydronephrosis, the ureter could be harder to detect and could lead to injury. A multidisciplinary approach involving both general surgery and urology is invaluable for navigating the diagnostic and therapeutic challenges of this rare clinical scenario.

Key Words

ureteral hernia; inguinal hernia; obstructive uropathy; hydronephrosis; hematuria


Case Description

A 65-year-old male presented to the emergency department with malaise, palpitations, and new-onset hematuria. His significant past medical history included a remote robotic-assisted left inguinal hernia repair with mesh in 2018, a history of prostate cancer status post robotic-assisted prostatectomy with pelvic lymph node dissection in 2021, smoking, obesity, atrial fibrillation (on apixaban), hypertension, sleep apnea, and alcohol misuse.

Upon initial evaluation, he was tachycardic to 113 beats per minute and tachypneic with a respiratory rate of 27 breaths per minute. Urinalysis was abnormal, showing a cloudy appearance and positive results for bilirubin, ketones, red blood cells, protein, nitrites, and bacteria. Admission laboratory values were notable for a leukocytosis of 13.9 x 10⁹/L, a serum creatinine (Cr) of 0.85 mg/dL, and an elevated lactate level of 3.5 mmol/L. A computed tomography (CT) scan of the abdomen and pelvis was performed, which demonstrated a large, recurrent left inguinal hernia causing left-sided obstructive uropathy secondary to ureteral entrapment within the hernia. Of note, a review of imaging performed prior to the patient’s prostatectomy confirmed that his ureter was located within the hernia at that time. No imaging was available from the time of his initial hernia repair in 2018.

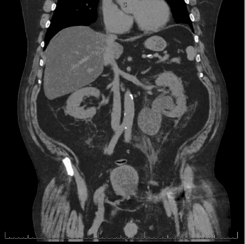
Figure 1. Preoperative CT Imaging of Ureteral Inguinal Hernia. Published with Permission

A.

Coronal view demonstrating severe left-sided hydronephrosis and hydroureter proximal to the point of herniation
Coronal view demonstrating severe left-sided hydronephrosis and hydroureter proximal to the point of herniation

B.

Axial view showing the incarcerated and hydronephrotic distal left ureter contained within the left inguinal hernia sac
Axial view showing the incarcerated and hydronephrotic distal left ureter contained within the left inguinal hernia sac

After consultation with the on-call urology service, the recommendation was to proceed with emergent hernia repair, with the expectation that hernia reduction would decompress the ureter and resolve the obstruction. Postoperative ureteral stenting was considered as a contingency if obstructive signs persisted. A Foley catheter was placed for urinary decompression, systemic antibiotics were initiated, and the patient was taken emergently to the operating room for an open repair of his inguinal hernia.

Dissection was carried down to the inguinal ligament, which was opened along its longitudinal plane. The normal tissue architecture was found to be significantly distorted, likely a consequence of the previous repair and the large size of the recurrent hernia, which made identification of the true hernia defect challenging; the previously placed mesh was not identified during dissection. The hernia sac was entered, revealing a large amount of preperitoneal fat, the spermatic cord structures, and a markedly dilated ureter, which was easily identified. The inguinal floor was found to be deficient, with the hernia sac passing inferiorly, consistent with a femoral recurrence in addition to the inguinal component.

The fat was carefully dissected and reduced from the hernia sac, isolating the spermatic cord structures and the entrapped ureter. The ureter was protected and gently reduced into the abdominal cavity. Two Ventralight™ ST mesh plugs were fashioned and placed to occlude the defects in the inguinal ligament region and the femoral space. The incision was then closed in standard layers using 3-0 Vicryl and 4-0 Monocryl sutures.

Figure 2. Intraoperative Findings During Open Repair. Published with Permission

A.

Significant volume of retroperitoneal fat excised from the hernia sac
Significant volume of retroperitoneal fat excised from the hernia sac

B.

Isolation of the markedly dilated (hydronephrotic) and redundant herniated left ureter with a Penrose drain prior to reduction
Isolation of the markedly dilated (hydronephrotic) and redundant herniated left ureter with a Penrose drain prior to reduction

On postoperative day 1, a CT urogram was performed which showed persistent, significant hydronephrosis, although the ureter was noted to be in a more appropriate anatomical position. The patient’s serum creatinine rose to 1.19 mg/dL from the admission value of 0.85 mg/dL, though he maintained good urinary output (UOP). Given these findings, the urology service placed a left ureteral stent. On postoperative day 2, his creatinine decreased to 1.01 mg/dL with continued adequate UOP. His course was then complicated by worsening shortness of breath necessitating supplemental oxygen and new-onset atrial fibrillation with a rapid ventricular rate. Clinical symptoms, including agitation and tremulousness, raised concern for alcohol withdrawal. The patient was subsequently transferred to the intensive care unit (ICU) for closer monitoring and treatment with phenobarbital.

By postoperative day 3, his acute kidney injury had resolved with normalization of his creatinine. He underwent a successful trial of void following Foley catheter removal. His clinical condition continued to improve, and he was discharged on hospital day 8. At his 30-day outpatient follow-up, he was doing well. One week later, he underwent ureteral stent removal and a retrograde pyelogram, which showed mild-to-moderate tortuosity of his left ureter with mild residual hydronephrosis. As prompt urinary drainage was observed after stent removal, a decision was made not to replace the stent.

Discussion

While inguinal hernia repairs are among the most common surgical procedures performed globally, the herniation of a ureter through the inguinal canal is a rare occurrence, with fewer than 150 cases reported in the literature.1 Identified risk factors for this phenomenon include male gender, age over 50 years, obesity, and a history of kidney transplantation.2 Typically, these hernias are right sided and indirect.3 Although ureteral herniation can occur through other pelvic and abdominal defects such as the femoral ring, sciatic foramen, or diaphragm, the inguinal canal remains the most common location.4-6 Identified risk factors for this phenomenon include male gender, age over 50 years, obesity, and a history of kidney transplantation.2 In most instances, ureteroinguinal hernias are asymptomatic and discovered incidentally during herniorrhaphy, placing the ureter at significant risk of iatrogenic injury. Less commonly, as in our patient, they may present with specific symptoms such as hematuria, dysuria, flank pain, or signs of obstructive uropathy and acute renal failure.

Ureteral hernias are classified into two main types: paraperitoneal and extraperitoneal, distinguished by the presence or absence of a true hernia sac encompassing the ureter. The extraperitoneal type, which accounts for only about 20% of cases and was the type present in our patient, is thought to be congenital. This variant is hypothesized to result from a malformation during embryonic development where delayed separation of the ureteric bud from the Wolffian duct causes the ureter to be drawn down into the scrotum, typically along with retroperitoneal fat.7 The more common paraperitoneal type is acquired; in these cases, an abnormally fixed ureter becomes part of the wall of a sliding hernia sac as it descends into the inguinal canal.8 Kidney transplantation is a notable risk factor for the development of paraperitoneal ureteral hernias.9

Interestingly, ureteroinguinal hernias are more frequently observed on the right side. This predisposition is largely attributed to anatomical differences, including the position of the fascia of Toldt on the left side, which, at the level of the sigmoid mesocolon, tends to anchor the left ureter more securely within the retroperitoneum.10 Additionally, inguinal hernias, in general, are more common on the right side, a phenomenon often ascribed to the later descent of the right testicle and delayed closure of the processus vaginalis.11 The left-sided ureteral hernia in our patient is therefore atypical and may be related to his specific surgical history, which likely altered the normal retroperitoneal anatomy.

Preoperative diagnosis of a ureteroinguinal hernia is challenging, especially in asymptomatic patients. However, when clinical suspicion is high, imaging modalities such as CT urograms and MRI can be invaluable for confirming the diagnosis and facilitating surgical planning.11,12 In our case, the combination of a known inguinal hernia history with a clinical presentation of flank pain, hematuria, and dysuria prompted a CT scan that confirmed left-sided obstructive uropathy secondary to ureteral entrapment. This preoperative knowledge allowed for meticulous intraoperative dissection and preservation of the ureter.

The patient’s history of a failed robotic-assisted inguinal hernia repair in 2018 is a significant factor. While it is unclear what led to the initial recurrence and subsequent ureteral involvement, contributing factors could include his smoking history, obesity, and underlying embryologic predisposition. Scarring from the prior robotic repair and his subsequent prostatectomy may have contributed to tethering the ureter to surrounding fat, which was then drawn into the recurrent hernia sac. Given this complex history, an open surgical approach was appropriately chosen for the repair. The decision to utilize macroporous mesh plugs, despite the presence of active pyelonephritis, was based on an assessment of risks and benefits; in this case, the risk of recurrence in a large defect was deemed greater than the risk of mesh infection, particularly as the contamination was urinary and not enteric. Finally, postoperative ureteral stenting was a necessary intervention to address the persistent hydronephrosis, likely caused by edema and loss of peristalsis in a chronically obstructed ureter.

Conclusion

This case illustrates a rare but significant complication of a recurrent inguinal hernia: ureteral entrapment leading to obstructive uropathy. It underscores the necessity for a high index of suspicion for ureteral herniation in at-risk patients—particularly those with a history of prior hernia repair, obesity, or kidney transplantation who present with urinary symptoms. Preoperative diagnosis via advanced imaging, such as CT urography, is paramount. Such imaging is critical not only to prevent iatrogenic ureteral injury during dissection but also to facilitate appropriate multidisciplinary surgical planning between general surgery and urology.

While it is not feasible to perform advanced imaging on every patient undergoing hernia repair, maintaining acute clinical awareness is essential for preoperative identification and improved outcomes. A history of pelvic or inguinal surgery can create complex scar tissue and alter anatomical planes, increasing the risk for atypical hernia contents. In this instance, the ureter was significantly dilated from chronic hydronephrosis, which paradoxically rendered it more easily identifiable. However, in cases without such pronounced pathology, the ureter can be far more elusive, making a high index of suspicion and meticulous surgical technique prudent to avoid inadvertent injury.

Lessons Learned

This case reinforces several key lessons for the management of complex groin hernias. A multidisciplinary approach involving both general surgery and urology is invaluable for successfully managing cases that present with urological complications. Surgeons must maintain a low threshold to convert to an open procedure for complex or recurrent hernias where distorted anatomy from prior operations places critical structures at risk. Lastly, synthetic mesh may be considered a viable repair option even in the setting of a concomitant urinary tract infection, provided the significant risk of hernia recurrence outweighs the risk of a surgical site infection.

Authors

Andronic Fa; Fulginiti Ab; Glaser JAc

Author Affiliations

  1. Department of Surgery, Lehigh Valley Health Network, Allentown, PA 18104
  2. Philadelphia College of Osteopathic Medicine, Philadelphia, PA 19131
  3. Trauma and Acute Care Surgery, Lehigh Valley Health Network, Allentown, PA 18104

Corresponding Author

Francesca Andronic, MD
Department of Surgery
Lehigh Valley Health Network
1200 S. Cedar Crest Boulevard
Allentown, PA 18104
Email: francesca.andronic@lvhn.org

Disclosure Statement

The authors have no conflicts of interest to disclose.

Funding/Support

The authors have no relevant financial relationships or in-kind support to disclose.

Received: December 1, 2024
Revision received: March 4, 2025
Accepted: May 1, 2025

References

  1. Pucheril D, Chun B, Dalela D, Abdollah F, Laker SA, Rogers CG. Robot-assisted laparoscopic repair of extraperitoneal ureteral inguinal hernia with mesh placement. J Endourol Case Rep. 2017;3(1):97-100. doi:10.1089/cren.2017.0046
  2. Won ACM, Testa G. Chronic obstructive uropathy due to uretero-inguinal hernia: a case report. Int J Surg Case Rep. 2012;3(8):379-381. doi:10.1016/j.ijscr.2012.04.004
  3. Yahya Z, Al-habbal Y, Hassen S. Ureteral inguinal hernia: an uncommon trap for general surgeons. BMJ Case Rep. 2017;2017:bcr2017219288. doi:10.1136/bcr-2017-219288
  4. Catalano O, Nunziata A, Cusati B, Siani A. Retrocrural loop of the ureter: CT findings. AJR Am J Roentgenol. 1998;170(5):1293-1294. doi:10.2214/ajr.170.5.9574604
  5. Noller MW, Noller DW. Ureteral sciatic hernia demonstrated on retrograde urography and surgically repaired with Boari flap technique. J Urol. 2000;164(3 Pt 1):776-777. doi:10.1097/00005392-200009010-00039
  6. Giuly J, François GF, Giuly D, Leroux C, Nguyen-Cat RR. Intrascrotal hernia of the ureter and fatty hernia. Hernia. 2003;7(1):47-49. doi:10.1007/s10029-002-0091-z
  7. Gourgiotis S, Falidas E, Veloudis G, Exarchou E, Vlachos K, Villias C. Asymptomatic extraperitoneal inguinoscrotal hernia involving ureter: a case presentation and review of the literature. J Nat Sci Biol Med. 2015;6(Suppl 1):S153-S155. doi:10.4103/0976-9668.166126
  8. Bertolaccini L, Giacomelli G, Bozzo RE, Gastaldi L, Moroni M. Inguino-scrotal hernia of a double district ureter: case report and literature review. Hernia. 2005;9(3):291-293. doi:10.1007/s10029-004-0296-4
  9. Ghielmini E, Julita L, Cerantola Y, Matter M, Zingg T. Inguinal bladder hernia with acute ureteral obstruction 14 years after kidney transplantation: a case report. Transplant Proc. 2017;49(7):1593-1595. doi:10.1016/j.transproceed.2017.04.003
  10. Hammoud M, Gerken J. Inguinal hernia. In: StatPearls [Internet]. StatPearls Publishing; 2025. Updated August 8, 2023. PMID: 30020704.
  11. Morrison Z, Nirujogi VL. Adult inguinal hernia. In: StatPearls [Internet]. StatPearls Publishing; 2024. Updated August 28, 2023. PMID: 30725926.
  12. Renzulli M, Marzocchi G, Vara G, et al. Inguinal ureter herniation evaluated with Magnetic Resonance Imaging: a case report. J Med Case Rep. 2020;14(1):198. doi:10.1186/s13256-020-02521-7