Unsupported Browser
The American College of Surgeons website is not compatible with Internet Explorer 11, IE 11. For the best experience please update your browser.
Menu
Become a member and receive career-enhancing benefits

Our top priority is providing value to members. Your Member Services team is here to ensure you maximize your ACS member benefits, participate in College activities, and engage with your ACS colleagues. It's all here.

Become a Member
Become a member and receive career-enhancing benefits

Our top priority is providing value to members. Your Member Services team is here to ensure you maximize your ACS member benefits, participate in College activities, and engage with your ACS colleagues. It's all here.

Become a Member
ACS
ACS Case Reviews

From Complexity to Clarity: A Case Study of Gastric Outlet Obstruction Secondary to Gallstone Ileus

Abstract

Background

Gallstone ileus, a mechanical intestinal obstruction, typically results from chronic inflammation and adhesions between the gallbladder and an adjacent segment of the gastrointestinal (GI) tract, leading to cholecystoenteric fistula formation and subsequent passage of gallstones into the GI lumen. Diagnosis requires a high index of clinical suspicion, often confirmed by abdominal computed tomography (CT), with treatment usually involving open or laparoscopic enterolithotomy. This condition is frequently associated with complications such as proximal bowel distension and potential GI perforation, and predominantly affects elderly female patients.

Summary

Our patient, whose clinical course commenced with an episode of acute cholecystitis, initially managed with the placement of a percutaneous cholecystostomy tube. During a subsequent outpatient clinic visit, she reported the unusual symptom of observing orally consumed liquids draining into the cholecystostomy tube collection bag, alongside persistent, intractable nausea and vomiting. Further abdominal imaging revealed a large gallstone impacted within the second portion of the duodenum. Consequently, the patient underwent a complex surgical procedure involving enterolithotomy for removal of the obstructing gallstone, repair of the cholecystoduodenal fistula, and cholecystectomy. This presentation is characteristic of Bouveret syndrome, an uncommon entity accounting for only 1-4% of all gallstone ileus cases.

Conclusion

This patient’s progression from acute cholecystitis with percutaneous drainage to the eventual diagnosis and successful surgical management of Bouveret syndrome underscores the critical importance of vigilant follow-up and prompt, definitive intervention in managing complex gallstone-related complications. The unusual symptom of oral intake appearing in the cholecystostomy drainage served as a key indicator of a proximal cholecystoenteric fistula. This rare case serves as a valuable reminder of the diverse and occasionally challenging manifestations of gallstone disease, emphasizing the need for a high index of suspicion for Bouveret syndrome in patients with gastric outlet or duodenal obstruction and a history of cholelithiasis.

Key Words

gallstone ileus; gastric outlet obstruction; Bouveret syndrome; cholecystenteric fistula; Rigler’s triad


Case Description

An 82-year-old female, with a past surgical history notable for percutaneous cholecystostomy tube placement four months prior for acute cholecystitis, presented to the emergency department with nausea, right upper quadrant (RUQ) abdominal pain, and a two-day history of vomiting. A particularly concerning symptom was her observation of cholecystostomy tube output resembling her recent oral fluid intake. The patient had been followed by her primary care physician and an interventional radiology team for the management of her cholecystostomy tube; however, no scheduled surgical follow-up for definitive biliary intervention, such as an interval cholecystectomy, had been arranged, nor had interval imaging been performed to assess for potential complications of prolonged tube drainage. This lack of surgical continuity may have contributed to a delayed recognition of the developing cholecystoenteric fistula and the subsequent onset of gastric outlet obstruction.

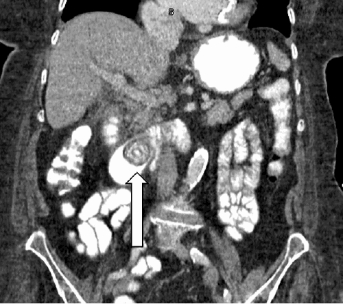
On examination, she exhibited tachycardia and clinical signs of dehydration, though without overt evidence of peritonitis. An abdominal ultrasound demonstrated a mildly dilated extrahepatic biliary duct, measuring 12 mm in diameter. The cholecystostomy tube appeared dislodged and was causing local pain, leading to its removal by the emergency physician. Subsequent computed tomography (CT) imaging of the abdomen and pelvis with oral and intravenous contrast revealed a 2.7 cm calcified gallstone impacted in the proximal duodenum. Associated findings included mucosal edema proximal to the impaction site, significant gastric distension, and pneumobilia, collectively consistent with Rigler’s triad and indicative of a gallstone-induced obstruction (Figure 1).

Figure 1. Contrast-enhanced CT of Calcified Stone at Proximal Duodenum. Published with Permission

Based on the clinical presentation and imaging features, a high suspicion arose for duodenal gallstone ileus (Bouveret syndrome) with possible gastric outlet obstruction secondary to a cholecystoduodenal fistula proximal to the stone impaction. The case was managed by a multidisciplinary team comprising general surgery, gastroenterology, and interventional radiology. Gastroenterology was consulted regarding potential endoscopic retrieval of the impacted gallstone; however, due to its large size (>2 cm) and imaging findings concerning for possible compromised bowel viability, a primary surgical approach was deemed necessary.

The patient subsequently underwent an open exploratory laparotomy. Operative findings included the takedown of a cholecystoduodenal fistula, cholecystectomy, and drainage of a 6 × 6 cm intra-abdominal abscess located in the subhepatic space. A 3 × 3 cm gallstone was extracted from the third portion of the duodenum via a duodenotomy. The duodenotomy, performed longitudinally on the anterolateral aspect of the distal second portion of the duodenum for optimal access to the impacted stone, was closed transversely. This repair was reinforced with an omental pedicle flap. The decision to resect the fistula tract was made due to its large diameter (approximately index-finger size), which posed a significant risk for ongoing bile leakage and recurrent gallstone ileus. A Stamm gastrojejunostomy feeding tube was placed for postoperative nutritional support.

Postoperatively, the patient was admitted to the intensive care unit (ICU) for close monitoring, given her age and the complexity of the surgical procedure. She remained hemodynamically stable, with effective pain control and early indicators of gastrointestinal recovery. She was afebrile and exhibited no signs of wound infection, anastomotic leakage, or recurrent gastrointestinal obstruction. Enteral feeding was initiated via the Stamm gastrojejunostomy tube and gradually advanced, facilitating adequate nutritional support while oral intake was cautiously reintroduced. Her gastrointestinal function continued to improve, leading to the resumption of a soft oral diet as tolerated.

Her total hospital length of stay was 12 days, after which she was discharged to a skilled nursing facility for continued rehabilitation and nutritional support. At her three-month follow-up appointment, the patient reported satisfactory oral intake, adequate nutritional status, and no signs or symptoms of recurrent obstruction. Repeat imaging at that time demonstrated no residual gallstones or evidence of persistent fistula formation.

Discussion

Gallstone ileus is a mechanical intestinal obstruction that arises when chronic inflammation of the gallbladder leads to adhesion formation with an adjacent segment of the gastrointestinal (GI) tract, culminating in the development of a cholecystoenteric fistula and subsequent passage of one or more gallstones into the bowel lumen. Due to its anatomical proximity to the gallbladder, the duodenum is the most commonly involved segment in fistula formation, reportedly affected in approximately 60% of cases. While the fistula often forms with the duodenum, the gallstone typically migrates distally, with the distal ileum and ileocecal valve being the most common sites of impaction and obstruction (60%-75% of cases).1 Less frequently, obstruction can occur in the colon (approximately 4%) secondary to a cholecystocolonic fistula.1 Bouveret syndrome represents a rare and proximal variant of gallstone ileus, occurring in only 1 to 4% of all gallstone ileus cases, wherein an impacted gallstone obstructs the gastric outlet or duodenum after traversing a cholecystogastric or cholecystoduodenal fistula.2

The diagnosis of gallstone ileus, including Bouveret syndrome, requires a high index of clinical suspicion, as presenting symptoms—typically nausea, vomiting, and abdominal pain—are often nonspecific, particularly in elderly patients who form the predominant demographic. CT of the abdomen and pelvis is considered the gold standard for diagnosis. Rigler’s triad, consisting of pneumobilia, an ectopic gallstone, and signs of intestinal obstruction, is observed in a significant majority of cases (85 to 90%) and is highly suggestive of the diagnosis.3 Management strategies for gallstone ileus generally involve surgical intervention, typically enterolithotomy to relieve the obstruction. The decision for concomitant or delayed cholecystectomy and fistula repair is individualized, based on the patient’s overall surgical risk, the presence of ongoing biliary sepsis or a patent fistula, and the risk of recurrent gallstone ileus.4,5 While a laparoscopic approach to enterolithotomy may be feasible in select, stable patients, open surgery is often preferred, particularly in the presence of significant bowel distension, suspected ischemia, perforation, or intra-abdominal abscess.6

This particular case highlights the importance of recognizing gastric outlet obstruction due to gallstone ileus and underscores the complex surgical considerations inherent in the successful management of Bouveret syndrome (Table 1). Our patient’s history of percutaneous cholecystostomy tube placement for acute cholecystitis four months prior is a significant factor. It is plausible that persistent inflammation from the underlying cholelithiasis and cholecystitis, potentially exacerbated by the chronic irritation from the indwelling cholecystostomy tube, contributed to the formation of the cholecystoduodenal fistula. While postoperative adhesion formation is typically associated with intra-abdominal scarring rather than direct fistula formation, the prolonged presence of a foreign body (the cholecystostomy tube) in an inflamed gallbladder may have promoted local tissue necrosis and facilitated eventual fistulization into the adjacent duodenum. Indeed, in patients deemed poor surgical candidates for definitive cholecystectomy, cholecystostomy tubes may remain in situ for extended periods, potentially increasing the risk of complications such as biliary-enteric fistulas.3

Patient Factors

Preferred Approach

Rationale

Stable patient, no fistula, no abscess

Laparoscopic enterolithotomy

Minimally invasive, faster recovery

Large stone (> 2 cm), proximal duodenal impaction, no peritonitis

Open enterolithotomy with or without cholecystectomy

Higher success rate for complete stone removal

Suspected gangrenous bowel, peritonitis, cholecystoenteric fistula, intra-abdominal abscess

One-stage procedure (Enterolithotomy + Cholecystectomy + Fistula Closure)

Prevents recurrence and fistula-related complications

High surgical risk (elderly, severe comorbidities, poor functional status)

Enterolithotomy alone, (no cholecystectomy/fistula closure) 

Reduces operative time and morbidity

Table 1. Proposed Clinical Algorithm for Managing Gastric Outlet Obstruction Due to Gallstone Ileus

Patient Factors

Preferred Approach

Rationale

Stable patient, no fistula, no abscess

Laparoscopic enterolithotomy

Minimally invasive, faster recovery

Large stone (> 2 cm), proximal duodenal impaction, no peritonitis

Open enterolithotomy with or without cholecystectomy

Higher success rate for complete stone removal

Suspected gangrenous bowel, peritonitis, cholecystoenteric fistula, intra-abdominal abscess

One-stage procedure (Enterolithotomy + Cholecystectomy + Fistula Closure)

Prevents recurrence and fistula-related complications

High surgical risk (elderly, severe comorbidities, poor functional status)

Enterolithotomy alone, (no cholecystectomy/fistula closure) 

Reduces operative time and morbidity

Our patient exhibited several classic features of Bouveret syndrome, including advanced age (>75 years), nausea, vomiting, abdominal pain, tachycardia, and gastric distension. The abdominal and pelvic CT scan with intravenous contrast clearly demonstrated Rigler’s triad: an ectopic gallstone impacted in the duodenum, significant gastric distension with proximal duodenal mucosal edema, and pneumobilia (Figure 1).7

Given the size of the impacted stone (>2 cm), the presence of duodenal mucosal edema concerning for compromised bowel viability, and the clear evidence of a cholecystoenteric fistula, a definitive surgical approach involving enterolithotomy with concurrent cholecystectomy and fistula takedown was undertaken. This management strategy aligns with treatment algorithms proposed for similar complex presentations of gallstone ileus.4,5,8 While enterolithotomy alone is often advocated as the preferred initial treatment in frail, elderly patients to minimize surgical morbidity, our surgical team opted for a single-stage procedure. This decision was primarily influenced by the patient’s large fistula diameter (approximately index-finger size) and the presence of an associated intra-abdominal abscess. The potential for persistent bile leakage, recurrent gallstone ileus, and other long-term morbidities associated with an untreated large cholecystoenteric fistula were key considerations favoring a more comprehensive initial operation (Table 1).

Conclusion

Gastric outlet obstruction secondary to gallstone ileus, particularly Bouveret syndrome, can present with a wide spectrum of symptoms, often necessitating a high index of suspicion for timely and accurate diagnosis. This case highlights the critical importance of a comprehensive clinical and radiological evaluation to identify atypical presentations and associated complications. Early recognition, coupled with an individualized surgical approach tailored to the patient's physiological status and the specific anatomical derangements, is crucial for optimizing patient outcomes, especially in complex cases requiring fistula takedown and cholecystectomy. Furthermore, this case underscores the need for diligent multidisciplinary collaboration and proactive follow-up in patients with prolonged cholecystostomy tube placement to prevent or promptly address delayed complications such as cholecystoenteric fistula formation.

Lessons Learned

Patients with prolonged cholecystostomy tube placement warrant routine surgical follow-up and consideration for interval imaging to evaluate for potential complications, including cholecystoenteric fistula formation. Without such regular monitoring, these patients may be at risk for developing biliary-enteric fistulas that can progress to gallstone ileus or other severe complications. In cases of gallstone ileus due to Bouveret syndrome, management decisions must be individualized, with careful consideration given to patients at risk of recurrent obstruction or persistent bile leakage from a patent fistula. While enterolithotomy alone is often the preferred approach in elderly or high-risk patients to minimize immediate surgical stress, a single-stage procedure encompassing cholecystectomy and fistula takedown may be appropriate and beneficial in select cases, particularly when the cholecystoenteric fistula is large or associated with ongoing biliary sepsis or other complications.

Authors

Alanis Aa; Sheikh-Salah Ma,b; Dalhausen Ca,b; Kruse Ea,b; Albo Da,b

Author Affiliations

  1. University of Texas Rio Grande Valley School of Medicine, Edinburg, TX 78539
  2. Department of Surgery, Valley Baptist Medical Center, Harlingen, TX 78550

Corresponding Author

Anthony Alanis
4537 N. 1st Lane
McAllen, Texas
Email: anthony.alanis01@utrgv.edu

Disclosure Statement

The authors have no conflicts of interest to disclose.

Funding/Support

The authors have no relevant financial relationships or in-kind support to disclose.

Received: August 31, 2024
Revision received: March 11, 2025
Accepted: May 1, 2025

References

  1. Turner AR, Sharma B, Mukherjee S. Gallstone ileus. In: StatPearls. Treasure Island (FL): StatPearls Publishing; September 19, 2022.
  2. Gaikwad S, Marathe M. Gallstone ileus: clinical presentation and radiological diagnosis. Cureus. 2023;15(7):e42059. doi:10.7759/cureus.42059
  3. Alemi F, Seiser N, Ayloo S. Gallstone disease: cholecystitis, Mirizzi syndrome, Bouveret syndrome, gallstone ileus. Surg Clin North Am. 2019;99(2):231-244. doi:10.1016/j.suc.2018.12.005
  4. Ravikumar R, Williams JG. The operative management of gallstone ileus. Ann R Coll Surg Engl. 2010;92(4):279-281. doi:10.1308/003588410X12628812456494
  5. Teelucksingh S, Boppana LKT, Goli S, Naraynsingh V. Gallstone ileus 1 year after cholecystectomy. J Surg Case Rep. 2018;2018(7):rjy153. doi:10.1093/jscr/rjy153
  6. Bircan HY, Koc B, Ozcelik U, Kemik O, Demirag A. Laparoscopic treatment of gallstone ileus. Clin Med Insights Case Rep. 2014;7:75-77. doi:10.4137/CCRep.S17984
  7. Inukai K. Gallstone ileus: a review. BMJ Open Gastroenterol. 2019;6(1):e000344. doi:10.1136/bmjgast-2019-000344
  8. Requena-López AA, Mata-Samperio BK, Solís-Almanza F, Casillas-Vargas R, Cuadra-Reyes LA. Comparison between surgical techniques in gallstone ileus and outcomes. Cir Cir. 2020;88(3):292-296. doi:10.24875/CIRU.19000900