Unsupported Browser
The American College of Surgeons website is not compatible with Internet Explorer 11, IE 11. For the best experience please update your browser.
Menu
Become a member and receive career-enhancing benefits

Our top priority is providing value to members. Your Member Services team is here to ensure you maximize your ACS member benefits, participate in College activities, and engage with your ACS colleagues. It's all here.

Become a Member
Become a member and receive career-enhancing benefits

Our top priority is providing value to members. Your Member Services team is here to ensure you maximize your ACS member benefits, participate in College activities, and engage with your ACS colleagues. It's all here.

Become a Member
ACS
ACS Case Reviews

Navigating Complex Para-aortic Metastasectomy for Recurrent Rectal Cancer with Magnetic Seed Localization

Abstract

Background

Management of isolated, recurrent colorectal cancer metastases in previously treated anatomical regions, particularly outside the liver and lungs, presents significant therapeutic challenges. Surgical resection can be curative in select cases but is often complicated by prior therapies and difficult lesion localization. This report describes a case where preoperative magnetic seed placement facilitated the successful surgical resection of a recurrent para-aortic rectal cancer metastasis after failure of chemotherapy and stereotactic radiation.

Summary

A 57-year-old male, initially treated for T3N2a rectal adenocarcinoma with neoadjuvant chemoradiation, surgical resection (ypT2N2aM0), and adjuvant chemotherapy, developed a 2.5 cm isolated left para-aortic lymph node recurrence at the inferior mesenteric artery (IMA) origin two years later. This recurrence was treated with stereotactic body radiation therapy (40 Gy in 5 fractions) with a good initial response. However, after another two years, further recurrence in the same location was managed with systemic chemotherapy, again with a good clinical response followed by eventual progression after a treatment holiday. Faced with this third isolated progression in the challenging para-aortic region, surgical metastasectomy was pursued. To aid intraoperative identification in a scarred and irradiated field, magnetic seeds were placed percutaneously under CT guidance, bracketing the lesion. Guided by intraoperative magnetic probe localization, a complete R0 resection was achieved. Final pathology confirmed a 3.2 cm metastatic lymph node consistent with rectal primary.

Conclusion

Surgical resection of isolated colorectal cancer metastases, even in non-traditional sites like the para-aortic region and after multiple prior treatments, may offer significant therapeutic benefit for carefully selected patients. Preoperative lesion localization techniques, such as the placement of magnetic seeds, can be instrumental in overcoming the technical difficulties associated with reoperative surgery in complex anatomical fields or previously irradiated tissues. Magnetic seeds offer practical advantages over radioactive alternatives, including the absence of burdensome radiation regulatory processes and safety concerns related to seed handling or irretrievability, making them a valuable tool for facilitating challenging oncologic resections.

Key Words

para-aortic lymph nodes; recurrent colorectal cancer; seed localization; magnetic marker


Case Description

The patient is a 57-year-old male who presented with a third recurrence of rectal adenocarcinoma, localized to the left para-aortic region at the level of the inferior mesenteric artery (IMA) origin. CT staging revealed no metastatic disease and no enlarged nodes at the origin of the IMA. His oncologic history began five years prior with the diagnosis of a rectal adenocarcinoma located 15 cm from the anal verge. Initial treatment consisted of neoadjuvant long-course chemoradiation followed by a laparoscopic low anterior resection. Final pathology revealed ypT2N2aM0 disease, with four of eight lymph nodes positive for metastasis and a negative circumferential radial margin. He subsequently completed adjuvant FOLFOX chemotherapy.

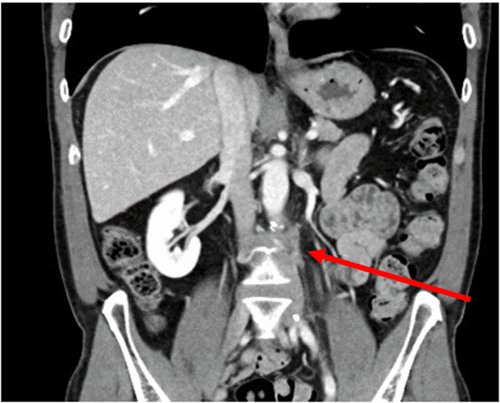
Approximately two years after his initial surgery, a rising carcinoembryonic antigen (CEA) level prompted investigation. A computed tomography (CT) scan identified a 2.5 cm left para-aortic lesion at the IMA origin, which biopsy confirmed as metastatic adenocarcinoma. This first recurrence was treated with stereotactic body radiation therapy (SBRT) to a total dose of 40 Gy in 5 fractions, after which his CEA levels and imaging findings normalized. Two years following SBRT, his CEA levels again began to rise, and surveillance CT imaging demonstrated regrowth of the tumor in the previously irradiated left para-aortic area. He received systemic chemotherapy for three months with a good clinical response. However, after a subsequent chemotherapy holiday, his CEA rose once more. Repeat CT and positron emission tomography (PET) scans (Figure 1) confirmed an isolated recurrence in the same left para-aortic location. After multidisciplinary tumor board discussion, which included input from a new surgical oncologist, the decision was made to pursue surgical resection.

Figure 1. Preoperative Imaging of Para-aortic Rectal Cancer Recurrence. Published with Permission

A.

B.

Composite image demonstrating the recurrent para-aortic metastasis. (A) Coronal contrast-enhanced CT scan revealing a soft tissue mass (arrow) in the left para-aortic region, consistent with nodal recurrence. (B) Corresponding PET scan image showing intense fluorodeoxyglucose (FDG) uptake (arrowhead) within the left para-aortic lesion, indicative of metabolically active malignant disease
Composite image demonstrating the recurrent para-aortic metastasis. (A) Coronal contrast-enhanced CT scan revealing a soft tissue mass (arrow) in the left para-aortic region, consistent with nodal recurrence. (B) Corresponding PET scan image showing intense fluorodeoxyglucose (FDG) uptake (arrowhead) within the left para-aortic lesion, indicative of metabolically active malignant disease

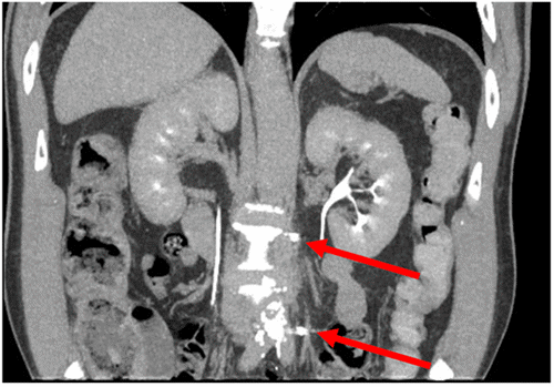
In anticipation of a technically challenging dissection due to prior surgery and radiation, MOLLI Markers® (magnetic seeds) were placed percutaneously by interventional radiology under CT guidance two weeks before the planned operation. These markers were positioned just cephalad and caudal to the recurrent lesion to facilitate intraoperative localization (Figure 2). A left ureteric stent was also placed preoperatively. The abdomen was entered via a lower midline incision, and the aortic bifurcation was exposed. The MOLLI markers were easily identified using a handheld magnetic probe, and superficial marking stitches were placed on the overlying retroperitoneal tissues to visually bracket the target area. Dissection revealed a short IMA remnant coursing leftward over the fibrotic tumor mass. Consistent with the patient's history, all surgical planes were densely fibrotic. The MOLLI markers proved critical in guiding the vertical extent of the dissection. The most demanding portion of the procedure involved sharp dissection to develop a plane between the adventitia of the aorta and the recurrent tumor mass.

Figure 2. CT Confirmation of Magnetic Seed (MOLLI Marker®) Placement. Published with Permission

Coronal reformatted CT scan obtained after percutaneous, image-guided placement of MOLLI Markers®. The image demonstrates the precise positioning of the magnetic seeds (arrows) bracketing the recurrent para-aortic lesion, confirming their suitability for intraoperative localization
Coronal reformatted CT scan obtained after percutaneous, image-guided placement of MOLLI Markers®. The image demonstrates the precise positioning of the magnetic seeds (arrows) bracketing the recurrent para-aortic lesion, confirming their suitability for intraoperative localization

Sequential strategic intraoperative frozen sections from the periphery of the dissection, including medially along the final aortic plane, were negative for malignancy. The main tumor mass, along with the MOLLI markers and associated surrounding para-aortic tissue, was resected en bloc. The patient tolerated the procedure well and was discharged home on the first postoperative day. Final pathology demonstrated a 3.2 cm metastatic colorectal adenocarcinoma, interpreted as a completely replaced lymph node, with all surgical margins negative.

At six months postoperatively, the patient’s CEA level had decreased significantly, and surveillance imaging showed no evidence of disease recurrence. Of note, a retrospective review of the initial staging CT scan performed prior to his original rectal resection five years earlier showed no evidence of nodal disease near the origin of the IMA.

Discussion

The management of metastatic colorectal cancer (CRC) involving common sites such as the liver and lungs is relatively well-established and supported by extensive literature.1,2 However, isolated metastases to less common locations, such as para-aortic lymph nodes—which occur in approximately 2-6% of CRC patients—present a more ambiguous therapeutic landscape with less defined management protocols.3,4 While surgical resection of recurrent para-aortic lymph node disease has been associated with improved overall survival in select, small case series.1,3,5-8, the intraoperative identification and complete extirpation of these nodes can be exceptionally challenging. These difficulties often arise from extensive fibrosis secondary to previous radiation therapy and surgery, compounded by the complex anatomy of the operative field, where critical vascular, nervous, and urologic structures are in close proximity. In such intricate scenarios, some form of precise intraoperative guidance is highly desirable.

Preoperative localization techniques have evolved significantly, particularly for non-palpable lesions. In many centers, radioactive seed localization (RSL) has largely supplanted wire localization for guiding surgery in non-palpable breast cancer, offering improved patient convenience and potentially minimizing procedural invasiveness without compromising oncologic outcomes.9-11 Despite these advantages, RSL is not without limitations. These include the burdensome regulatory requirements associated with handling radioactive materials, logistical complexities, and concerns regarding the potential inability to retrieve placed seeds or issues related to radiation safety for staff and patients.

Magnetic markers have emerged as an appealing non-radioactive alternative to RSL and have gained traction, particularly in breast surgery.9,11-13 Similar to radioactive seeds, these markers are placed preoperatively by radiologists under imaging guidance (ultrasound or CT). The implanted magnetic seed creates a static magnetic field that can be precisely detected intraoperatively using a specialized probe, thereby guiding the surgical dissection.13 A key advantage of magnetic seed localization is the absence of radioactivity, which eliminates the need for specialized handling protocols, radiation safety measures, and complex regulatory oversight. Furthermore, the lack of retrieval of a biocompatible magnetic seed is generally considered to have minimal, if any, clinical consequence for the patient. Theoretically, magnetic markers can be deployed in various anatomically challenging locations, including the pelvic sidewall, deep within the liver parenchyma, the lung, or even the brain, with recent reports demonstrating successful application for the resection of small pulmonary lesions.14

The MOLLI® System (MOLLI Surgical, ON, Canada), utilized in this case, employs a 3.2 mm cylindrical magnetic seed coated in gold for biocompatibility. The magnetic field generated by this seed is detected intraoperatively by the MOLLI Wand®. This system provides the surgeon with multimodal feedback: a precise real-time measurement in millimeters from the wand’s tip to the center of the marker, a graphical “bullseye” display that diminishes in circumference as the wand approaches the seed, and a modulated auditory signal that intensifies with proximity. A significant practical benefit is that the MOLLI System can be used with standard metal surgical instruments, facilitating its seamless integration into the existing operating room setup and workflow. The application in this complex para-aortic dissection highlights its potential utility in navigating scarred, irradiated fields where anatomical landmarks are obscured and precision is paramount.

Conclusion

In select patients with colorectal cancer, following comprehensive multidisciplinary review, surgical resection of isolated metastatic lesions beyond the liver and lungs may offer a viable therapeutic option with potential survival advantages. However, such resections can be technically demanding, often complicated by the effects of previous treatments, such as radiation-induced fibrosis and altered anatomy, as well as by the lesion's proximity to critical neurovascular or visceral structures. This report details, to our knowledge, the first published case of preoperatively placed magnetic seeds (MOLLI Markers®) successfully facilitating the resection of a challenging recurrent para-aortic rectal cancer metastasis. Magnetic seeds present a compelling alternative to radioactive seeds for intraoperative lesion localization, primarily due to the absence of burdensome radioactive regulatory processes and radiation safety concerns. Furthermore, they require minimal specialized staff training for handling, and there is generally little clinical concern if a placed biocompatible magnetic seed cannot be retrieved.

Lessons Learned

The successful application of the MOLLI® magnetic seed localization system in this complex para-aortic resection of recurrent rectal cancer underscores its significant potential as an intraoperative guidance tool. Magnetic seeds offer distinct advantages over traditional radioactive seeds, including simplified logistics, enhanced safety profiles, and reduced regulatory burdens, making them a highly practical option for modern surgical oncology. Beyond this specific application, magnetic seed localization technology can likely facilitate the precise and potentially less invasive resection of a variety of lesions that are identifiable on preoperative imaging but are difficult to approach or accurately delineate intraoperatively without extensive dissection of normal tissue. This includes deep-seated or small metastatic lesions in organs such as the liver, lung, or brain, as well as those situated in anatomically constrained regions or near critical structures, like the para-aortic area exemplified in this case.

Authors

Withers Ra; Lovrics Pa; Markose Gb; Nair Sb; Simunovic Mac

Author Affiliations

  1. McMaster University, Department of Surgery, Hamilton, ON L8S 1C7
  2. McMaster University, Department of Radiology, Hamilton, ON L8S 4K1
  3. McMaster University, Department of Oncology, Hamilton, ON L8V 5C2

Corresponding Author

Marko Simunovic, MD
Department of Surgery B3
Juravinski Hospital
711 Concession Street
Hamilton, ON L8V 1C3
Canada
Email: simunovi@hhsc.ca

Disclosure Statement

The authors have no conflicts of interest to disclose.

Funding/Support

The authors have no relevant financial relationships or in-kind support to disclose.

Received: July 10, 2024
Revision received: October 20, 2024
Accepted: December 3, 2024

References

  1. Zizzo M, Dorma MPF, Zanelli M, et al. Long-term outcomes of surgical resection of pathologically confirmed isolated para-aortic lymph node metastases in colorectal cancer: a systematic review. Cancers (Basel). 2022;14(3):661. doi:10.3390/cancers14030661
  2. National Comprehensive Cancer Network. NCCN Clinical Practice Guidelines in Oncology: Colon Cancer. Version 2.2023. National Comprehensive Cancer Network website. Accessed January 1, 2024. https://www.nccn.org/professionals/physician_gls/pdf/colon.pdf
  3. Zarzavadjian Le Bian A, Genser L, Tabchouri N, et al. Abdominal lymph node recurrence from colorectal cancer: resection should be considered as a curative treatment in patients with controlled disease. Surg Oncol. 2020;35:206-210. doi:10.1016/j.suronc.2020.08.019
  4. Glynne-Jones R, Harrison M. Colorectal cancer para-aortic lymph node metastases: surgery should not be considered. Br J Surg. 2024;111(3):znad443. doi:10.1093/bjs/znad443
  5. Kim YI, Park IJ, Park JH, et al. Management of isolated para-aortic lymph node recurrence after surgery for colorectal cancer. Ann Surg Treat Res. 2020;98(3):130-138. doi:10.4174/astr.2020.98.3.130
  6. Nakai N, Yamaguchi T, Kinugasa Y, et al. Long-term outcomes after resection of para-aortic lymph node metastasis from left-sided colon and rectal cancer. Int J Colorectal Dis. 2017;32(7):999-1007. doi:10.1007/s00384-017-2806-8
  7. Zhao P, Yang X, Yan Y, et al. Effect of radical lymphadenectomy in colorectal cancer with para-aortic lymph node metastasis: a systematic review and meta-analysis. BMC Surg. 2022;22(1):181. doi:10.1186/s12893-022-01631-x
  8. Bae SU, Han YD, Cho MS, et al. Oncologic outcomes of colon cancer patients with extraregional lymph node metastasis: comparison of isolated paraaortic lymph node metastasis with resectable liver metastasis. Ann Surg Oncol. 2016;23(5):1562-1568. doi:10.1245/s10434-015-5027-9
  9. Lovrics PJ, Goldsmith CH, Hodgson N, et al. A multicentered, randomized, controlled trial comparing radioguided seed localization to standard wire localization for nonpalpable, invasive and in situ breast carcinomas. Ann Surg Oncol. 2011;18(12):3407-3414. doi:10.1245/s10434-011-1699-y
  10. Look Hong N, Wright FC, Semple M, Nicolae AM, Ravi A. Results of a phase I, nonrandomized study evaluating a Magnetic Occult Lesion Localization Instrument (MOLLI) for excision of non-palpable breast lesions. Breast Cancer Res Treat. 2020;179(3):671-676. doi:10.1007/s10549-019-05499-z
  11. Zacharioudakis K, Down S, Bholah Z, et al. Is the future magnetic? Magseed localisation for non palpable breast cancer: a multi-centre non randomised control study. Eur J Surg Oncol. 2019;45(11):2016-2021. doi:10.1016/j.ejso.2019.06.035
  12. Eom A, Muhn N, Heller B, Lovrics P. MOLLI for excision of nonpalpable breast lesions: a case series. Can J Surg. 2022;65(6 Suppl 2):S101. PMID:36539193.
  13. Harvey JR, Lim Y, Murphy J, et al. Safety and feasibility of breast lesion localization using magnetic seeds (Magseed): a multi-centre, open-label cohort study. Breast Cancer Res Treat. 2018;169(3):531-536. doi:10.1007/s10549-018-4709-y
  14. Gonzalez Garcia JA, Rodriguez Alvarado EI, Gutierrez Ramirez MC, Laforga Canales JB, Gregorio Hernandez A. Magnetic-guided occult lesion localization (M-GOLL): an exploratory feasibility study of preoperative CT-guided puncture and intraoperative magnetic seed localization for minimally invasive surgical resection of nonpalpable pulmonary lesions. Ann Surg Oncol. 2023;30(3):1309-1311. doi:10.1245/s10434-022-12903-4