Unsupported Browser
The American College of Surgeons website is not compatible with Internet Explorer 11, IE 11. For the best experience please update your browser.
Menu
Become a member and receive career-enhancing benefits

Our top priority is providing value to members. Your Member Services team is here to ensure you maximize your ACS member benefits, participate in College activities, and engage with your ACS colleagues. It's all here.

Become a Member
Become a member and receive career-enhancing benefits

Our top priority is providing value to members. Your Member Services team is here to ensure you maximize your ACS member benefits, participate in College activities, and engage with your ACS colleagues. It's all here.

Become a Member
ACS
ACS Case Reviews

Ruptured IPMN-Derived Pancreatic Adenocarcinoma: A Pseudomyxoma Peritonei Mimic with Acellular Mucin

Abstract

Background

Although the association of pseudomyxoma peritonei (PMP) with mucinous appendiceal neoplasms is well established, pancreatic mucinous neoplasms resulting in PMP are infrequent. A review of published literature to date reveals only a limited number of cases describing PMP arising from a pancreatic neoplasm, highlighting the rarity of this specific etiology.

Summary

We report on a 54-year-old woman presenting with vague abdominal symptoms, elevated tumor markers, and imaging evidence of a large pancreatic cystic neoplasm (17.7 cm) with diffuse peritoneal mucinous disease. After an initial diagnostic laparoscopy yielded non-diagnostic peritoneal biopsies and an endoscopic ultrasound biopsy suggested an intraductal papillary mucinous neoplasm (IPMN), she failed to respond to FOLFIRINOX chemotherapy and subsequently underwent extensive cytoreductive surgery, including subtotal pancreatectomy, for what proved to be a ruptured pancreatic mass. Final histopathology confirmed an 18.5 cm IPMN-derived pancreatic adenocarcinoma (pT3N0) with only acellular peritoneal mucin.

Conclusion

This case illustrates an exceptionally rare presentation of a ruptured IPMN-derived pancreatic adenocarcinoma mimicking PMP due to extensive but acellular peritoneal mucin spillage. It underscores the critical importance of meticulous histopathological evaluation to differentiate true PMP (characterized by cellular peritoneal implants) from acellular mucinous ascites secondary to primary tumor rupture. This distinction is paramount as it directly influences therapeutic strategies, particularly regarding the indication for hyperthermic intraperitoneal chemotherapy (HIPEC). In cases of ruptured pancreatic neoplasms with acellular peritoneal mucin, extensive cytoreductive surgery focused on resection of the primary tumor and thorough mucin debulking, without HIPEC, can achieve favorable outcomes.

Key Words

pseudomyxoma peritonei; intraductal papillary mucinous neoplasm; cystic pancreatic neoplasm; hyperthermic intraperitoneal chemotherapy; peritoneal carcinomatosis index; cytoreductive surgery


Case Description

A 54-year-old woman with a past medical history of hyperlipidemia and hypothyroidism presented to an outside hospital to evaluate vague symptoms of abdominal pain, bloating, and weight loss for several months. Her initial workup revealed significantly elevated tumor markers: CA 19-9 at 1834 U/mL, CEA at 10.8 ng/mL, and CA 125 at 64.9 U/mL. Computed tomography (CT) of the abdomen and pelvis demonstrated a large 17.7 × 11.2 × 15 cm multiloculated cystic neoplasm with multiple enhancing septations, appearing to replace the pancreatic parenchyma distal to the pancreatic neck. A subsequent positron emission tomography (PET) scan characterized the large pancreatic mass as ametabolic, but noted diffuse fluorodeoxyglucose (FDG) activity within the nodular mesentery.

Figure 1. Radiographic Delimitation of Pancreatic Involvement at the Neck. Published with Permission

Axial contrast-enhanced CT of the pancreas. The image demonstrates the interface of the large cystic neoplasm with the more proximal pancreas. A small amount of preserved pancreatic parenchyma is noted at the level of the pancreatic neck, demarcating the proximal extent of the tumor’s involvement
Axial contrast-enhanced CT of the pancreas. The image demonstrates the interface of the large cystic neoplasm with the more proximal pancreas. A small amount of preserved pancreatic parenchyma is noted at the level of the pancreatic neck, demarcating the proximal extent of the tumor’s involvement

An initial diagnostic laparoscopy revealed a moderate volume of murky, mucinous fluid throughout the abdomen (approximately 2300 mL aspirated) and diffuse peritoneal mucinous nodules. A 2 cm mass at the tip of the appendix was noted, and an appendectomy was performed. A bulky, mucinous mass originating from the lesser sac and appearing to drain via the gastrocolic ligament was also visualized and biopsied. Frozen section analysis of peritoneal nodules was non-diagnostic but suggestive of myxoid versus mucinous changes without obvious cellularity. Biopsy of the pancreatic mass at this time indicated a low-grade mucinous adenocarcinoma, while the appendiceal pathology showed endometriosis with no evidence of malignancy.

Given the inconclusive nature of some initial pathology findings, the patient subsequently underwent an endoscopic ultrasound (EUS). This study visualized a 12 × 8 cm cystic mass within the pancreas and confirmed diffuse abdominal ascites. EUS-guided biopsy results of the pancreatic lesion were suggestive of an intraductal papillary mucinous neoplasm (IPMN), characterized by tall, mucinous, columnar cells with minimal cribriforming and no involvement of ovarian-type stroma.

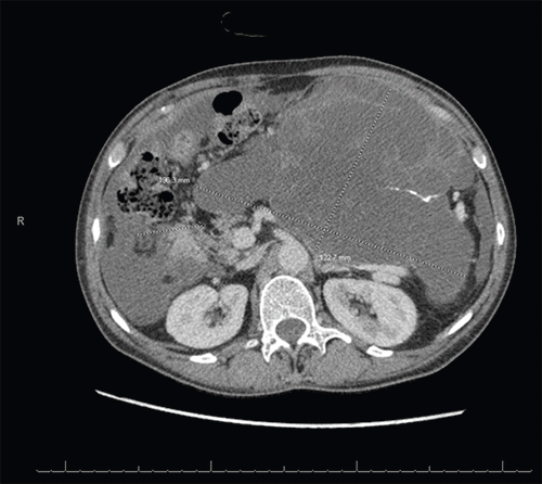
Figure 2. Imaging of Large Multiseptated Pancreatic Cystic Neoplasm with Ascites. Published with Permission

This image reveals the extensive 19.6 cm × 12.3 cm × 13.9 cm multiseptated cystic mass occupying a significant portion of the abdominal cavity. Note the associated mass effect on adjacent organs and the presence of moderate intra-abdominal ascites
This image reveals the extensive 19.6 cm × 12.3 cm × 13.9 cm multiseptated cystic mass occupying a significant portion of the abdominal cavity. Note the associated mass effect on adjacent organs and the presence of moderate intra-abdominal ascites

The patient’s case was discussed at a regional multidisciplinary tumor board. In light of the presumed pancreatic primary and disseminated peritoneal disease observed during laparoscopy, an initial course of FOLFIRINOX (leucovorin calcium, fluorouracil, irinotecan hydrochloride, and oxaliplatin) chemotherapy was recommended, with subsequent re-evaluation for surgical candidacy. The patient commenced FOLFIRINOX, requiring a 25% dose reduction during the first cycle due to systemic side effects, but received full doses for the second and third cycles. However, throughout this period, her tumor markers remained persistently elevated, and interval imaging showed no change in tumor size. Consequently, chemotherapy was discontinued due to a lack of biochemical and radiographic response and concerns for ongoing toxicity.

Following the failure of systemic chemotherapy, a second multidisciplinary discussion considered the potential utility of cytoreductive surgery (CRS) with hyperthermic intraperitoneal chemotherapy (HIPEC). The decision against HIPEC was based on several factors: the limited established evidence for its efficacy in pancreatic adenocarcinoma, uncertainty regarding the ability to achieve complete cytoreduction (R0/R1) given the findings from the diagnostic laparoscopy and imaging, and the lack of overt cellularity in the previously biopsied mucinous peritoneal specimens.

Subsequently, the patient proceeded with definitive surgery. Intraoperatively, approximately 2.3 liters of mucinous ascites were again encountered, along with diffuse peritoneal disease characterized by small colonies of mucin studding all peritoneal surfaces, including the diaphragmatic peritoneum, pelvic peritoneum, abdominal sidewalls, and the small and large bowel mesentery. The large pancreatic mass, primarily located in the lesser sac, was found to have ruptured intraperitoneally. Due to the extensive disseminated mucinous disease, a complete CRS was performed. This encompassed a subtotal pancreatectomy with splenectomy, extensive peritoneal stripping (including diaphragmatic peritonectomy), omentectomy, cholecystectomy, and completion appendectomy. At the conclusion of the cytoreductive surgery, no macroscopic residual disease (nodules or mucinous deposits) was observed.

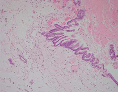
The final histopathological report of the primary tumor described a well-differentiated mucinous cystic neoplasm with an associated invasive adenocarcinoma (pancreatic ductal adenocarcinoma, PDAC) of the distal pancreas, without perineural or lymphovascular invasion. All other cytoreduction specimens (peritoneal and diaphragmatic stripping) contained acellular mucin with associated lymphohistiocytic inflammatory infiltrate. Microscopically, the pancreatic mass exhibited dissecting mucin pools derived from a low-grade mucinous carcinoma, associated with sparse cribriform epithelium, infiltrating ducts, and dense stroma (Figures 3-6).

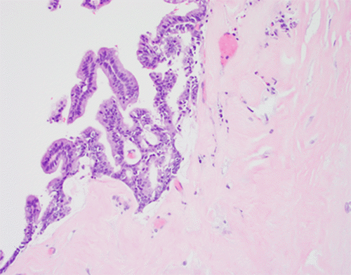
Figure 3. Histopathology of Pancreatic Neoplasm: Low-Grade Mucinous Carcinoma and Infiltrating Ducts. Published with Permission

H&E stain (10x original magnification) of the pancreatic tumor. This field demonstrates features of a low-grade mucinous carcinoma characterized by atypical epithelial cells forming glandular structures and infiltrating ducts embedded within a desmoplastic stroma
H&E stain (10x original magnification) of the pancreatic tumor. This field demonstrates features of a low-grade mucinous carcinoma characterized by atypical epithelial cells forming glandular structures and infiltrating ducts embedded within a desmoplastic stroma

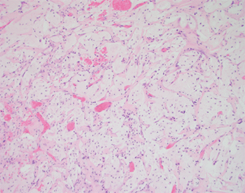
Figure 4. Histopathology of Pancreatic Neoplasm: Dissecting Mucin Pools. Published with Permission

H&E stain (10x original magnification) illustrating characteristic dissecting pools of extracellular mucin within the pancreatic parenchyma. These mucin pools are associated with the mucinous neoplasm and are a hallmark feature
H&E stain (10x original magnification) illustrating characteristic dissecting pools of extracellular mucin within the pancreatic parenchyma. These mucin pools are associated with the mucinous neoplasm and are a hallmark feature

Figure 5. Histopathology of Pancreatic Neoplasm: Low-Grade Mucinous Carcinoma with Cribriforming. Published with Permission

H&E stain (20x original magnification) showcasing the neoplastic epithelium of the low-grade mucinous carcinoma. Note the presence of focal cribriform architecture (gland-in-gland formation) and the surrounding dense desmoplastic stroma
H&E stain (20x original magnification) showcasing the neoplastic epithelium of the low-grade mucinous carcinoma. Note the presence of focal cribriform architecture (gland-in-gland formation) and the surrounding dense desmoplastic stroma

Figure 6. Histopathology of Pancreatic Neoplasm: High-Power View of Carcinoma and Stroma. Published with Permission

H&E stain (40x original magnification) providing a higher-power view of the low-grade mucinous carcinoma cells. The atypical epithelial cells are seen infiltrating within a prominent, dense desmoplastic stroma
H&E stain (40x original magnification) providing a higher-power view of the low-grade mucinous carcinoma cells. The atypical epithelial cells are seen infiltrating within a prominent, dense desmoplastic stroma

Importantly, after extensive histopathological evaluation, malignant cells were confined to the pancreas, with no evidence of malignancy in any of the resected peritoneal or other specimens. The final pathology demonstrated an 18.5 cm mucinous cystic neoplasm with associated invasive carcinoma invading into peripancreatic soft tissue, with all surgical margins negative (pT3N0).

Genetic analysis of the tumor specimen using the STRATA panel revealed a GNAS p.R201S mutation (variant allele frequency [VAF] 31%) and a KRAS p.Q61R mutation (VAF <10%). Tumor mutational burden (TMB) and PD-L1 expression were low. No reportable alterations in BRCA1/2 or NTRK1/2/3 fusion genes were identified. The absence of ovarian-type stroma in the pathological specimen was re-confirmed. Based on the comprehensive gross, microscopic, and genetic findings, the tumor was ultimately classified as an invasive, malignant IPMN-derived PDAC.

The patient’s postoperative hospital course was uncomplicated. She tolerated a regular diet, and her pain was well controlled by postoperative day four. Currently, 15 months following surgery, she continues to recover well, reporting no issues with pain control, diet tolerance, abdominal bloating, or distension. Surveillance with interval CT scans has shown no evidence of disease recurrence to date.

Discussion

Pseudomyxoma peritonei is a rare clinical syndrome characterized by the intra-abdominal accumulation of voluminous, gelatinous mucinous ascites, typically resulting from the peritoneal dissemination of mucin-secreting tumor cells.1,2 The historical description of PMP dates back to 1842, when Rokitansky detailed the condition in the context of pseudomucinous degeneration of an appendiceal mucocele.3 Werth subsequently coined the term “pseudomyxoma peritonei” in 1884 while describing a similar presentation associated with an ovarian tumor.4 Since these initial reports, mucinous neoplasms of the appendix have been firmly established as the most common primary origin of PMP, implicated in nearly 94% of cases, with mucinous ovarian tumors being the second most frequent source.4-6 Considerably rarer sites of origin for PMP include mucinous neoplasms arising in the pancreas, stomach, gallbladder, colon, fallopian tube, lung, breast, and urachus.7

The histopathological classification of PMP is critical for prognostication and guiding management, with various systems proposed based on features such as cellularity, the degree of cytologic atypia, mitotic activity, and specific immunohistochemical profiles.8 For the purpose of this discussion, we primarily refer to the criteria adapted from the American Joint Committee on Cancer (AJCC) and the World Health Organization (WHO), which distinguish between low-grade and high-grade PMP, largely based on cellularity and cytologic features (Table 1). Low-grade PMP is characterized by abundant extracellular mucin with scant, cytologically bland epithelial cells, typically exhibiting low cellularity (<10%) and non-stratified cuboidal epithelium. In contrast, high-grade PMP features mucinous ascites with moderate to severe cytologic atypia, often with cribriform architecture or signet ring cells, higher cellularity (>10%), and frequently a desmoplastic stromal response.

Low-grade PMP Pools of mucin with unremarkable cytology, low cellularity of <10% and non-stratified cuboidal epithelium
High-grade PMP Pools of mucin with moderate to severe cytological atypia, cribriform or signet ring cell morphology, high cellularity of >10%, and desmoplastic stroma
Table 1: Histological Classification of PMP adapted from the WHO 2010 and AJCC14
Low-grade PMP Pools of mucin with unremarkable cytology, low cellularity of <10% and non-stratified cuboidal epithelium
High-grade PMP Pools of mucin with moderate to severe cytological atypia, cribriform or signet ring cell morphology, high cellularity of >10%, and desmoplastic stroma

While PMP originating from appendiceal or ovarian neoplasms is well-documented, PMP arising from pancreatic cystic lesions (PCLs) is exceedingly rare. PCL is an umbrella term for a diverse group of pancreatic lesions characterized by mucin-producing epithelium, which may be benign, dysplastic (low-grade or high-grade), or overtly malignant. Benign PCLs include entities such as serous cystadenomas, pseudocysts, and squamous epithelium-lined cysts like lymphoepithelial and epidermoid cysts. PCLs with recognized malignant potential include IPMNs, mucinous cystic neoplasms (MCNs), solid pseudopapillary tumors, and cystic neuroendocrine tumors.9-11

Among PCLs with malignant potential, IPMNs and MCNs are notable for their capacity to transform into pancreatic ductal adenocarcinoma (PDAC).9,11 Specifically, IPMNs are characterized by tumors composed of columnar, mucin-producing epithelial cells, which may or may not exhibit papillary proliferations, involving the main pancreatic duct, branch ducts, or both, and critically, lack ovarian-type stroma (a defining feature of MCNs).12 PDAC remains the predominant form of pancreatic cancer, accounting for over 90% of pancreatic malignancies, and is associated with a generally poor prognosis and an increasing global incidence.13 The aggressive nature of PDAC and its propensity for early dissemination are partly attributed to the unique plasticity of the pancreatic cellular environment, which, while allowing for regenerative capacity, may also increase susceptibility to metaplastic and dysplastic transformations.14,15

Regardless of the specific histological classification or primary site of origin, extensive research over the past four decades has established CRS combined with HIPEC as the most effective treatment modality for “classical” PMP, particularly that arising from appendiceal or ovarian sources.16 However, significant controversy persists regarding the optimal application of CRS and HIPEC, as well as the role of systemic chemotherapy, when PMP originates from rarer primary sites, such as pancreatic cystic lesions. In this report, we describe an unusual case of extensive mucinous ascites in a patient with PDAC originating from a well-differentiated IPMN, which presented clinically in a manner mimicking PMP.

The initial diagnostic uncertainty regarding the cellularity of the diffuse intraperitoneal mucin presented a significant challenge in this case, necessitating the inclusion of PMP in the differential diagnosis and thereby complicating the initial treatment planning. PMP, by definition, involves the intraperitoneal accumulation of mucin produced directly by disseminated malignant mucus-secreting cells on peritoneal surfaces or within the omentum, leading to progressive mucinous ascites and often mucocele-like masses.17,18 While the management of PMP, particularly of appendiceal or ovarian origin, has largely standardized towards CRS combined with HIPEC, clear guidelines for PMP arising from rarer tumor types are less established.19 Furthermore, the standard approach for non-metastatic, resectable PDAC derived from an IPMN typically involves surgical resection, often with adjuvant or neoadjuvant chemotherapy, and selectively, radiation therapy;12 HIPEC is not a standard component. Treatment recommendations for IPMN-derived PDAC presenting with diffuse peritoneal mucinous disease are exceptionally limited. Consequently, the eventual confirmation that the peritoneal mucin in our patient was acellular, resulting from spillage from the primary pancreatic lesion rather than peritoneal carcinomatosis, was pivotal. This understanding clarified that the presentation was not true PMP, indicating that HIPEC would offer no benefit, and instead, extensive mucin debulking combined with resection of the primary pancreatic tumor was the most appropriate and ultimately successful surgical strategy.

The acellular nature of all evaluated peritoneal mucinous deposits was the critical finding that refuted a diagnosis of true PMP in our patient. We hypothesize that spontaneous rupture of the primary IPMN-derived PDAC led to the widespread spillage of this acellular mucin throughout the peritoneal cavity.9 A review of prior literature describing PMP-like syndromes associated with pancreatic lesions reveals that the distinction between simple mucinous ascites (often acellular) and true PMP with cellular peritoneal implants can be challenging, and the exact mechanism of peritoneal involvement from pancreatic primaries is not always detailed, leaving tumor rupture as a plausible, though rarely confirmed, process.20

Definitive characterization of the primary pancreatic cystic neoplasm (PCN) was crucial. Histopathological findings from the resected pancreatic specimen, including dissecting mucin pools associated with ductal epithelial cells demonstrating limited cribriform morphology (indicative of low-grade invasive carcinoma) and, critically, the absence of ovarian-type stroma on microscopic evaluation, allowed for the classification of the mass as an IPMN rather than a mucinous cystic neoplasm (MCN). This distinction was further corroborated by the tumor's genetic profile, which revealed GNAS p.R201S and KRAS p.Q61R mutations—oncogenic alterations characteristic of IPMNs (present in 91-99%) and typically absent in other PCNs such as MCNs or serous cystadenomas.12,21,22 The low tumor mutational burden (TMB) and low PD-L1 expression are also frequently observed in pancreatic adenocarcinomas.

An IPMN-derived PDAC leading to a PMP-like presentation through mucinous degeneration and rupture is a highly unusual clinical scenario.12 Patients with advanced or metastatic PDAC typically receive chemotherapy as first-line treatment.13 Accordingly, given the initial interpretation of diffuse mucinous peritoneal spread, our patient was treated with neoadjuvant FOLFIRINOX. The subsequent lack of therapeutic effect may be attributable to the distinct biological behavior of this particular tumor. Unlike many typical pancreatic adenocarcinomas that exhibit aggressive systemic dissemination, this IPMN-derived PDAC appeared to follow a more indolent course characterized by substantial local growth, extensive mucinous production, and eventual rupture with peritoneal spillage of acellular mucin, rather than widespread cellular metastatic seeding.8,16 This indolent nature, coupled with the large volume of the primary mucinous tumor, might also explain the persistently elevated tumor markers (CEA, CA 19-9, CA 125) despite chemotherapy, as these likely reflected the bulk of the primary tumor rather than a response from viable systemic disease. The prognostic and predictive utility of these standard tumor markers in the context of “pseudo-PMP” secondary to IPMN rupture is not well established, unlike their role in classic PMP. Further investigation into MUC1 and MUC2 expression, mucins often associated with the malignant transformation of IPMNs, could have potentially offered additional insights into this tumor’s specific biology.8

Conclusion

This case highlights a critical diagnostic and therapeutic distinction: not all presentations of diffuse mucinous peritoneal ascites constitute true PMP. A meticulous assessment based on PMP classification criteria and, most importantly, definitive identification of the cellularity and origin of the mucogenic tumor cells, is paramount. In our patient, what initially appeared to be PMP, prompting consideration of multimodal therapies including neoadjuvant chemotherapy and CRS-HIPEC, was ultimately determined to be a PMP-like presentation from a ruptured primary IPMN-derived PDAC with acellular mucin spillage. This refined diagnosis correctly identified extensive cytoreductive surgery, focused on resection of the primary tumor and mucin debulking without HIPEC, as the most efficacious treatment modality.

Lessons Learned

While PMP most commonly arises from appendiceal or ovarian mucinous neoplasms, its association with pancreatic sources is rare, with only a few publications detailing such origins. Our case is distinct in describing an IPMN-derived pancreatic adenocarcinoma that ruptured, leading to a PMP-like clinical picture due to widespread acellular mucin. This highlights a critical lesson: a definitive diagnosis of PMP necessitates not only identifying the primary mucin-producing tumor but also confirming the presence of neoplastic cells within the peritoneal mucinous deposits. The absence of such cells, as in our patient, fundamentally alters the diagnosis from true PMP to a PMP-like syndrome secondary to primary tumor spillage, which in turn drastically influences the therapeutic approach, particularly regarding the indication for HIPEC.

Reflecting on the diagnostic pathway in this complex presentation, several insights emerge. When confronted with extensive mucinous peritoneal disease and a suspected pancreatic cystic neoplasm, prioritizing EUS with fine-needle aspiration or biopsy of the primary pancreatic lesion can be highly advantageous. In our case, EUS provided more definitive cytohistological information regarding the pancreatic primary compared to the initial biopsies obtained during diagnostic laparoscopy, especially given the confounding presence of diffuse mucin. While diagnostic laparoscopy remains invaluable for staging the extent of peritoneal involvement, early, precise characterization of the primary tumor via EUS can better inform subsequent treatment decisions, including the necessity and timing of surgical intervention.

Based on this experience, we advocate for comprehensive and meticulous histopathological sampling of both the primary tumor and multiple peritoneal sites in patients presenting with mucinous peritoneal disease. This is essential to differentiate between true PMP (with cellular peritoneal implants) and acellular mucin spillage. This distinction is paramount when considering treatments like HIPEC; while established for low-grade (DPAM) and selected high-grade appendiceal PMP (which are inherently cellular processes), HIPEC is not standard and likely not beneficial for acellular mucin resulting from a ruptured pancreatic primary, where management should focus on addressing the primary malignancy and symptomatic mucin debulking. Furthermore, we strongly emphasize the importance of early and repeated multidisciplinary tumor board discussions for patients with unusual or diagnostically challenging presentations of mucinous abdominal disease. Such collaborative expert review ensures that all potential differential diagnoses are considered, leading to the most appropriate, individualized treatment plan and contributing to the refinement of clinical guidelines for these rare and complex oncologic scenarios.

Authors

Pasumarthi A; O’Connor VV

Author Affiliation

Department of Surgery, Kaiser Permanente Los Angeles Medical Center, Los Angeles, CA 90027

Corresponding Author

Anusha Pasumarthi, MD, MSc
Department of Surgery
Kaiser Permanente Los Angeles Medical Center
4860 W. Sunset Boulevard
Los Angeles, CA 90027
Email: panusha16@gmail.com

Disclosure Statement

The authors have no conflicts of interest to disclose.

Funding/Support

The authors have no relevant financial relationships or in-kind support to disclose.

Received: November 8, 2023
Revision received: March 10, 2024
Accepted: January 2, 2024

References

  1. Chejfec G, Rieker WJ, Jablokow VR, et al. Pseudomyxoma peritonei associated with colloid carcinoma of the pancreas. Gastroenterology. 1986;90(1):202-205.
  2. Shen DH, Ng TY, Khoo US, Xue WC, Cheung AN. Pseudomyxoma peritonei—a heterogenous disease. Int J Gynaecol Obstet. 1998;62(2):173-182.
  3. Werth R. Klinische und anatomische Untersuchungen zur Lehre von den Bauchgeschwulsten und der Laparatomie. Pseudomyxoma peritonei. Arch Gynakol. 1884;24:100-118.
  4. Spyropoulos C, Rentis A, Alexaki E, Triantafillidis JK, Vagianos C. Appendiceal mucocele and pseudomyxoma peritonei; the clinical boundaries of a subtle disease. Am J Case Rep. 2014;15:355-360. Published 2014 Aug 27.
  5. Laila TR, Das S, Ahmed SS, Hoque MR. Pseudomyxoma peritonei—a case report. Mymensingh Med J. 2012;21(4):759-762.
  6. Kopp JL, von Figura G, Mayes E, et al. Identification of Sox9-dependent acinar-to-ductal reprogramming as the principal mechanism for initiation of pancreatic ductal adenocarcinoma. Cancer Cell. 2012;22(6):737-750.
  7. Basturk O, Hong SM, Wood LD, et al. A revised classification system and recommendations from the Baltimore consensus meeting for neoplastic precursor lesions in the pancreas. Am J Surg Pathol. 2015;39(12):1730-1741.
  8. Taflampas P, Dayal S, Chandrakumaran K, Mohamed F, Cecil TD, Moran BJ. Pre-operative tumour marker status predicts recurrence and survival after complete cytoreduction and hyperthermic intraperitoneal chemotherapy for appendiceal pseudomyxoma peritonei: analysis of 519 patients. Eur J Surg Oncol. 2014;40(5):515-520.
  9. Ye S, Zheng S. Comprehensive understanding and evolutional therapeutic schemes for pseudomyxoma peritonei: a literature review. Am J Clin Oncol. 2022;45(5):223-231.
  10. Mitsuhashi T, Murata N, Sobajima J, et al. [A case of pseudomyxoma peritonei with a pancreatic cancer treated by the intraperitoneal administration of cisplatinum.] Gan To Kagaku Ryoho. 2001;28(11):1670-1673.
  11. Tanaka M. Intraductal papillary mucinous neoplasm of the pancreas: diagnosis and treatment. Pancreas. 2004;28(3):282-288.
  12. Tan MC, Basturk O, Brannon AR, et al. GNAS and KRAS mutations define separate progression pathways in intraductal papillary mucinous neoplasm-associated carcinoma. J Am Coll Surg. 2015;220(5):845-854.e1. doi:10.1016/j.jamcollsurg.2014.12.050
  13. Kataoka A, Ito K, Takemura N, et al. Immunohistochemical staining as supportive diagnostic tool for pseudomyxoma peritonei arising from intraductal papillary mucinous neoplasm: a report of two cases and literature review. Pancreatology. 2020;20(6):1226-1233.
  14. Werner J, Combs SE, Springfeld C, Hartwig W, Hackert T, Büchler MW. Advanced-stage pancreatic cancer: therapy options. Nat Rev Clin Oncol. 2013;10(6):323-333.
  15. Gillen S, Schuster T, Meyer Zum Büschenfelde C, Friess H, Kleeff J. Preoperative/neoadjuvant therapy in pancreatic cancer: a systematic review and meta-analysis of response and resection percentages. PLoS Med. 2010;7(4):e1000267. Published 2010 Apr 20.
  16. Rizvi SA, Syed W, Shergill R. Approach to pseudomyxoma peritonei. World J Gastrointest Surg. 2018;10(5):49-56. doi:10.4240/wjgs.v10.i5.49
  17. Di Fabio F, Aston W, Mohamed F, Chandrakumaran K, Cecil T, Moran B. Elevated tumour markers are normalized in most patients with pseudomyxoma peritonei 7 days after complete tumour removal. Colorectal Dis. 2015;17(8):698-703.
  18. Longacre TA. Pancreas. In: [Editors of the 2021 edition, eds]. Mills and Sternberg's Diagnostic Surgical Pathology. Lippincott Williams & Wilkins; 2021.
  19. Moran BJ, Cecil TD. The etiology, clinical presentation, and management of pseudomyxoma peritonei. Surg Oncol Clin N Am. 2003;12(3):585-603.
  20. Mizuta Y, Akazawa Y, Shiozawa K, et al. Pseudomyxoma peritonei accompanied by intraductal papillary mucinous neoplasm of the pancreas. Pancreatology. 2005;5(4-5):470-474. doi:10.1159/000086441
  21. García KM, Flores KM, Ruiz A, González FL, Rodríguez ÁM. Pseudomyxoma peritonei: case report and literature review. J Gastrointest Cancer. 2019;50(4):1037-1042.
  22. Govaerts K, Lurvink R, De Hingh I, et al. Appendiceal tumours and pseudomyxoma peritonei: literature review with PSOGI/EURACAN clinical practice guidelines for diagnosis and treatment. Eur J Surg Oncol. 2021;47(1):11-35.