Unsupported Browser
The American College of Surgeons website is not compatible with Internet Explorer 11, IE 11. For the best experience please update your browser.
Menu
Become a member and receive career-enhancing benefits

Our top priority is providing value to members. Your Member Services team is here to ensure you maximize your ACS member benefits, participate in College activities, and engage with your ACS colleagues. It's all here.

Become a Member
Become a member and receive career-enhancing benefits

Our top priority is providing value to members. Your Member Services team is here to ensure you maximize your ACS member benefits, participate in College activities, and engage with your ACS colleagues. It's all here.

Become a Member
ACS
ACS Case Reviews

A Case of Hemorrhagic Cholecystitis and Morgagni Hernia Managed with Robotic-Assisted Subtotal Cholecystectomy and Primary Repair

Abstract

Background

Hemorrhagic cholecystitis (HC) is a rare yet potentially life-threatening complication of acute cholecystitis, while Morgagni hernia (MH) represents a rare form of congenital diaphragmatic hernia. The synchronous presentation of these two distinct pathologies is exceedingly rare. We report a case of concurrent HC and MH in a 69-year-old male with a history of multiple myeloma, who was successfully managed with a robotic-assisted approach.

Summary

A 69-year-old male with a history of multiple myeloma presented to our hospital with a one-day history of severe right upper quadrant (RUQ) abdominal pain. A recent prior admission had noted significant gallbladder distension on imaging (CT and MRCP) but without acute cholecystitis at that time. On the current presentation, he was hemodynamically stable. A computed tomography angiogram revealed findings consistent with a gallbladder hematoma, diagnostic of HC, and a coexisting anterior diaphragmatic hernia containing omentum and small bowel, characteristic of a Morgagni hernia. The patient underwent urgent robotic-assisted subtotal cholecystectomy for the HC and primary suture repair of the diaphragmatic hernia. The procedure was completed without intraoperative complications, and he was discharged in stable condition on postoperative day (POD) 5.

Conclusion

Hemorrhagic cholecystitis remains a rare and serious complication of acute cholecystitis, associated with significant morbidity and mortality. This case demonstrates that a robotic-assisted surgical approach can be a safe and effective option for the simultaneous management of HC via subtotal cholecystectomy and the primary repair of an incidental MH.

Key Words

hemorrhagic cholecystitis; gallbladder hematoma; gallbladder hydrops; diaphragmatic hernia; Morgagni hernia; robotic-assisted cholecystectomy


Case Description

A 69-year-old male with a complex past medical history—notably including multiple myeloma, hypertension, insulin-dependent type 2 diabetes mellitus, and chronic obstructive pulmonary disease (COPD)—presented with a one-day history of severe right upper quadrant (RUQ) abdominal pain. This presentation occurred three weeks after a complicated hospital admission for anaplasmosis, Listeria monocytogenes and Pseudomonas aeruginosa bacteremia, during which he also experienced a cerebellar infarction and a provoked deep vein thrombosis (DVT) of the right upper extremity, necessitating anticoagulation with apixaban. Importantly, imaging during that prior admission (CT and MRCP) had revealed gallbladder hydrops (13 cm distension) without evidence of acute cholecystitis or ductal obstruction (Figures 1 and 2), for which no specific biliary intervention was undertaken at that time.

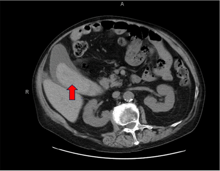
Figure 1. Initial CT Findings of Gallbladder Hydrops. Published with Permission

Axial view from a CT scan of the abdomen obtained during a prior admission. Note significant gallbladder distension (hydrops, red arrow), without evidence of cholelithiasis or pericholecystic inflammatory changes at that time
Axial view from a CT scan of the abdomen obtained during a prior admission. Note significant gallbladder distension (hydrops, red arrow), without evidence of cholelithiasis or pericholecystic inflammatory changes at that time

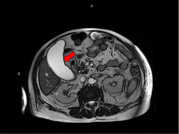
Figure 2. MRCP Demonstrating Gallbladder Hydrops. Published with Permission

MRCP image confirming marked gallbladder distension (hydrops, red arrow). The gallbladder measured approximately 13 cm in its maximum anterior-posterior dimension, and there was no evidence of biliary ductal obstruction
MRCP image confirming marked gallbladder distension (hydrops, red arrow). The gallbladder measured approximately 13 cm in its maximum anterior-posterior dimension, and there was no evidence of biliary ductal obstruction

On initial interview, the patient reported the acute onset of constant RUQ pain following a meal the previous evening. He denied vomiting, diarrhea, hematochezia, fever, or chills, and had no similar prior episodes. His active medications included apixaban and aspirin, along with intravenous vancomycin, acyclovir, cefepime, and ampicillin for his recent bacteremia. His chemotherapy regimen for multiple myeloma (pomalidomide, daratumumab, zoledronic acid, dexamethasone) had been held since his admission for bacteremia.

On physical exam, the patient was afebrile and hemodynamically stable. His abdomen exhibited mild RUQ tenderness on palpation; however, Murphy’s sign was absent, and there was no rebound tenderness or guarding. Initial laboratory evaluation revealed a mild anemia, while aminotransferase, alkaline phosphatase, and lipase levels were within normal limits. A computed tomography angiogram (CTA) of the abdomen and pelvis re-demonstrated significant gallbladder distension and showed non-enhancing, hyperdense material consistent with a large blood clot occupying approximately 75% of the gallbladder lumen, diagnostic of hemorrhagic cholecystitis (Figure 3). Additionally, a right-sided anterior diaphragmatic hernia, consistent with a Morgagni hernia, was incidentally found, containing omentum and loops of small bowel without evidence of obstruction (Figures 4 and 5). By the second day of admission, repeat laboratory tests showed a new elevation in liver enzymes (AST 130 IU/L, ALT 101 IU/L, alkaline phosphatase 250 IU/L) and a decline in hemoglobin from 10.7 to 9.0 g/dL. Following a multidisciplinary conference involving hematology, neurology, and perioperative care services, a decision was made to proceed with urgent surgical intervention.

Figure 3. CT Angiography Revealing Features of Hemorrhagic Cholecystitis. Published with Permission

Axial image from a contrast-enhanced CTA of the abdomen, arterial phase. The gallbladder is markedly distended, and its lumen is predominantly occupied by high-attenuating material (red arrow), consistent with an intraluminal blood clot, characteristic of hemorrhagic cholecystitis
Axial image from a contrast-enhanced CTA of the abdomen, arterial phase. The gallbladder is markedly distended, and its lumen is predominantly occupied by high-attenuating material (red arrow), consistent with an intraluminal blood clot, characteristic of hemorrhagic cholecystitis

Figure 4. CT Demonstrating Anterior Diaphragmatic (Morgagni) Hernia. Published with Permission

Axial reformatted CT scan of the lower chest and upper abdomen. Note right-sided anterior diaphragmatic defect through which omentum and loops of small bowel (red arrow indicating herniated contents) are seen traversing the right hemidiaphragm and extending into the region of the epicardial fat pad, consistent with a Morgagni hernia
Axial reformatted CT scan of the lower chest and upper abdomen. Note right-sided anterior diaphragmatic defect through which omentum and loops of small bowel (red arrow indicating herniated contents) are seen traversing the right hemidiaphragm and extending into the region of the epicardial fat pad, consistent with a Morgagni hernia

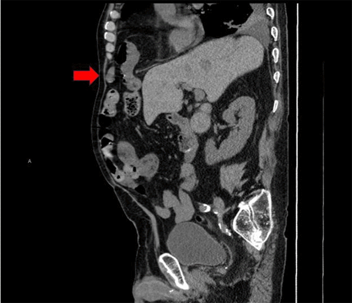
Figure 5. Sagittal Computed Tomography View of Morgagni Hernia. Published with Permission

Sagittal reformatted view from a CT scan of the abdomen. This image clearly displays the anteriorly positioned diaphragmatic defect characteristic of a Morgagni hernia, with loops of small bowel and omentum (red arrow) seen protruding superiorly through the diaphragm
Sagittal reformatted view from a CT scan of the abdomen. This image clearly displays the anteriorly positioned diaphragmatic defect characteristic of a Morgagni hernia, with loops of small bowel and omentum (red arrow) seen protruding superiorly through the diaphragm

On the second day of admission, the patient underwent a robotic-assisted subtotal cholecystectomy and primary repair of the incarcerated diaphragmatic hernia. Upon entering the abdomen, bilious fluid was noted, raising concern for gallbladder perforation. Utilizing robotic-assisted electrocautery, omentum within the diaphragmatic defect was carefully reduced, allowing exposure of the gallbladder. The gallbladder was markedly distended with extensive adhesions to surrounding omentum and hepatic tissue. After identification and division of the cystic artery and duct, dissection along the superior cystic plate was complicated by dense adhesions between the posterior gallbladder wall and the liver, from which hematoma was observed to be leaking. At this juncture, the gallbladder was intentionally opened, allowing for the evacuation of large blood clots from its lumen. Removal of these clots revealed active arterial extravasation from the posterior intraluminal gallbladder wall. Hemostasis was achieved with bipolar cautery applied to the remnant gallbladder wall, and no further sites of hemorrhage or bile leak were identified. The amputated portion of the gallbladder and evacuated clots were retrieved and sent for pathological evaluation.

Following copious irrigation and confirmation of hemostasis, attention was turned to the diaphragmatic hernia. The defect, consistent with a Morgagni type, measured approximately 8 cm in width. After reduction of the falciform ligament from the defect, a primary repair was performed by approximating the diaphragm to the anterior abdominal wall musculature using a running permanent 0 V-Loc suture (Medtronic; Minneapolis, MN). This achieved a tension-free closure without the need for mesh reinforcement. Prior to concluding the procedure, a 19-French round Blake drain was placed through a port site overlying the gallbladder fossa. The patient tolerated the procedure well and was transferred to the recovery room in stable condition.

Gross surgical pathology examination revealed a 12.0 × 3.5 cm gallbladder with a hemorrhagic and erythematous mucosa. Its lumen contained loosely adherent blood clots, with no evidence of calculi or other discrete lesions. The final pathological diagnosis was acute cholecystitis with associated hemorrhage and serositis.

The patient’s postoperative course was uncomplicated. He was successfully restarted on apixaban for DVT treatment on POD 3 without bleeding complications. The surgical drain had minimal output and was removed on POD 5. He was discharged home in stable condition on POD 5.

Discussion

Hemorrhagic cholecystitis (HC) is a rare and potentially fatal complication of acute cholecystitis, estimated to affect between 0.55% and 7% of cholecystitis cases.1,2 Identified risk factors for HC include underlying malignancy, anticoagulant therapy, prolonged use of non-steroidal anti-inflammatory drugs (NSAIDs), and pre-existing bleeding diatheses.3-5 The presentation of HC is typically emergent, with the definitive diagnosis often made intraoperatively.2 While biliary obstruction secondary to gallstones is the most commonly implicated etiology in nontraumatic HC,2 acalculous HC, as observed in the present case, has been rarely reported.6 Broadly, the pathogenesis of HC is thought to involve inflammation-mediated mucosal and/or vascular compromise within the gallbladder wall, leading to intraluminal hemorrhage. In many instances, gallbladder outflow obstruction likely contributes to mural distension, ischemia, and eventual hemorrhage.2 The natural history of HC remains incompletely understood due to its low incidence and the acuity of its presentation.

To our knowledge, this case represents the first reported instance of robotic-assisted subtotal cholecystectomy performed for hemorrhagic cholecystitis. Subtotal cholecystectomy is a recognized and valuable surgical alternative to conversion to open cholecystectomy when severe inflammation and dense adhesions in the porta hepatis preclude safe identification and dissection of the cystic duct and artery during laparoscopic cholecystectomy.7-9 In this patient, the decision to perform a subtotal cholecystectomy was made intraoperatively due to the presence of dense adhesions between the posterior gallbladder wall and the liver. Given the patient’s heightened bleeding risk secondary to anticoagulation and underlying hematologic malignancy, complete dissection of the gallbladder from the liver bed was deliberately avoided to minimize the risk of significant hepatic parenchymal bleeding or injury.

Subtotal cholecystectomies are generally classified as either fenestrating or reconstituting.7 In this case, a fenestrating technique was employed, wherein the remnant gallbladder stump is left open to drain freely, rather than being closed as in a reconstituting technique. While both approaches are acceptable, some evidence suggests that reconstituting techniques may be associated with a reduced risk of recurrent biliary symptoms and reoperation in the context of acute cholecystitis.10 However, comparative data for these techniques specifically in HC cases are lacking. Furthermore, in the setting of HC, prolonged gallbladder distension and inflammation-induced wall friability may render primary closure of the gallbladder remnant unfeasible or unsafe.

This case is also notable for the simultaneous robotic-assisted subtotal cholecystectomy and repair of a diaphragmatic hernia (DH). DH, characterized by the protrusion of abdominal contents through a diaphragmatic defect into the thoracic cavity, is an uncommon condition, with only approximately 5% of cases diagnosed in adulthood.11 Congenital DHs are further classified by the location of the defect. Bochdalek hernias, occurring posterolaterally, account for the majority (70–75%) of congenital DH cases. In contrast, Morgagni hernias, as encountered in this patient, result from anteromedial diaphragmatic defects, specifically through the foramen of Morgagni located posterior to the xiphoid process. MH is exceptionally rare, comprising only 2–5% of all congenital diaphragmatic hernias.12 Surgical repair, either with or without mesh reinforcement, is indicated to prevent complications such as incarceration or strangulation.13 For our immunocompromised patient on anticoagulation, a primary suture repair effectively closed the diaphragmatic defect without the use of prosthetic mesh, thereby avoiding potential mesh-related infectious complications.

While most hemodynamically stable patients with HC typically undergo urgent laparoscopic cholecystectomy,2 and exploratory laparotomy with open cholecystectomy has been utilized, particularly in cases of profound hemorrhage or hemodynamic instability, our case is the first to detail a robotic-assisted approach for subtotal cholecystectomy in HC. Previous studies comparing robotic and laparoscopic approaches for routine cholecystectomy have suggested potential benefits for the robotic platform, including lower hospital lengths of stay and 90-day readmission rates.13,14 Data specifically concerning robotic-assisted subtotal cholecystectomy are more limited, although case reports have indicated its utility in challenging patient populations, such as severely obese or geriatric acute care surgery patients.15 In our patient, the decision to utilize the DaVinci robotic system was predicated on its potential to enhance maneuverability, precision, and visualization, particularly during the dissection in the inflamed porta hepatis and the repair of the diaphragmatic hernia. For diaphragmatic hernia repairs, existing literature suggests that robotic approaches offer comparable morbidity, mortality, and complication rates when compared with open techniques.16

Conclusion

Hemorrhagic cholecystitis represents an exceedingly rare and severe variant of acute cholecystitis, while Morgagni hernia is an uncommon type of congenital diaphragmatic hernia. The synchronous surgical management of these distinct and individually rare pathologies is exceptional. This case report demonstrates that a robotic-assisted surgical approach is a feasible and effective option for concurrently treating HC via subtotal cholecystectomy and repairing an incidental Morgagni hernia, offering potential advantages in visualization and instrument maneuverability in complex operative fields.

Lessons Learned

Clinicians should maintain a heightened index of suspicion for hemorrhagic cholecystitis in patients presenting with acute right upper quadrant pain, particularly if risk factors such as underlying malignancy or the use of anticoagulant or antiplatelet therapy are present, as its presentation can mimic uncomplicated acute cholecystitis. While cholecystectomy is the definitive treatment for HC, a subtotal cholecystectomy serves as a crucial and often safer alternative in instances of severe inflammation or dense adhesions that obscure critical anatomy in the porta hepatis. Finally, the robotic surgical platform can be a valuable tool in managing such challenging cases, potentially offering enhanced three-dimensional visualization and instrument articulation that facilitate precise dissection and repair, which may be particularly beneficial in difficult cholecystectomies or when addressing concomitant pathologies like a diaphragmatic hernia.

Authors

Rahman Ha; Moses JBb; Neal MDa,b

Author Affiliations

  1. University of Pittsburgh School of Medicine, Pittsburgh, PA 15213
  2. Department of Surgery, University of Pittsburgh Medical Center, Pittsburgh, PA 15213

Corresponding Author

JB Moses, MD
University of Pittsburgh
Department of Surgery
UPMC Presbyterian Hospital F1281
200 Lothrop Street
Pittsburgh, PA 15213
Email: mosesj5@upmc.edu

Disclosure Statement

The authors have no conflicts of interest to disclose.

Funding/Support

The authors have no relevant financial relationships or in-kind support to disclose.

Received: July 17, 2024
Revision received: October 29, 2024
Accepted: February 7, 2025

References

  1. Chinn DH, Miller EI, Piper N. Hemorrhagic cholecystitis: sonographic appearance and clinical presentation. J Ultrasound Med. 1987;6(6):313-317. PMID:3298503.
  2. Khan Hotak M, Fadia M, Gananadha S. The clinical significance of hemorrhagic cholecystitis. JSLS. 2022;26(2):e2021.00082. doi:10.4293/JSLS.2021.00082.
  3. Kwon JN. Hemorrhagic cholecystitis: report of a case. Korean J Hepatobiliary Pancreat Surg. 2012;16(3):120-122. doi:10.14701/kjhbps.2012.16.3.120.
  4. Zhang X, Zhang C, Huang H, Wang J, Zhang Y, Hu Q. Hemorrhagic cholecystitis with rare imaging presentation: a case report and a lesson learned from neglected medication history of NSAIDs. BMC Gastroenterol. 2020;20(1):172. doi:10.1186/s12876-020-01313-z.
  5. Parekh J, Corvera CU. Hemorrhagic cholecystitis. Arch Surg. 2010;145(2):202-204. doi:10.1001/archsurg.2009.275.
  6. Leaning M. Surgical case report-acalculous hemorrhagic cholecystitis. J Surg Case Rep. 2021;2021(3):rjab075. doi:10.1093/jscr/rjab075.
  7. Tay WM, Toh YJ, Shelat VG, et al. Subtotal cholecystectomy: early and long-term outcomes. Surg Endosc. 2020;34(10):4536-4542. doi:10.1007/s00464-019-07242-7. Epub 2019 Nov 7. PMID:31701285.
  8. Chávez-Villa M, Dominguez-Rosado I, Figueroa-Méndez R, De Los Santos-Pérez A, Mercado MA. Subtotal cholecystectomy after failed critical view of safety is an effective and safe bail out strategy. J Gastrointest Surg. 2021;25(10):2553-2561. doi:10.1007/s11605-021-04934-1. Epub 2021 Feb 2. PMID:33532977.
  9. Nakajima J, Sasaki A, Obuchi T, Baba S, Nitta H, Wakabayashi G. Laparoscopic subtotal cholecystectomy for severe cholecystitis. Surg Today. 2009;39(10):870-875. doi:10.1007/s00595-008-3975-4. Epub 2009 Sep 27. PMID:19784726.
  10. Ramírez-Giraldo C, Torres-Cuellar A, Van-Londoño I. State of the art in subtotal cholecystectomy: an overview. Front Surg. 2023;10:1142579. Published April 21, 2023. doi:10.3389/fsurg.2023.1142579. PMID:37151864; PMCID:PMC10162495.
  11. Svetanoff WJ, Sharma S, Rentea RM. Morgagni hernia. In: StatPearls [Internet]. StatPearls Publishing; 2024. Updated August 12, 2024. Accessed May 18, 2025. https://www.ncbi.nlm.nih.gov/books/NBK557501/
  12. Ocampo Acosta CA, Torres Razente S, Alhousseini A, Lindsey H. Incarcerated Morgagni hernia presenting after robotic-assisted laparoscopic total abdominal hysterectomy and bilateral salpingo-oophorectomy. Cureus. 2021;13(11):e19429. doi:10.7759/cureus.19429.
  13. Kane WJ, Charles EJ, Mehaffey JH, et al. Robotic compared with laparoscopic cholecystectomy: a propensity matched analysis. Surgery. 2020;167(2):432-435. doi:10.1016/j.surg.2019.07.020. Epub 2019 Sep 3. PMID:31492434; PMCID:PMC6980975.
  14. Kalata S, Thumma JR, Norton EC, Dimick JB, Sheetz KH. Comparative safety of robotic-assisted vs laparoscopic cholecystectomy. JAMA Surg. 2023;158(12):1303-1310. doi:10.1001/jamasurg.2023.4389. PMID:37728932; PMCID:PMC10512167.
  15. Bronikowski D, Lombardo D, DeLa’O C, Szoka N. Robotic subtotal cholecystectomy in a geriatric acute care surgery patient with super obesity. Case Rep Surg. 2021;2021:9992622. doi:10.1155/2021/9992622. PMID:34239755; PMCID:PMC8238595.
  16. Nistri C, Marinelli L, Di Giacomo A, Bonariol L, Massani M. Robotic repair of a giant Larrey-type congenital left-sided diaphragmatic hernia in a young woman: a case report and literature review. Int J Surg Case Rep. 2022;98:107507. doi:10.1016/j.ijscr.2022.107507.