Unsupported Browser
The American College of Surgeons website is not compatible with Internet Explorer 11, IE 11. For the best experience please update your browser.
Menu
Become a member and receive career-enhancing benefits

Our top priority is providing value to members. Your Member Services team is here to ensure you maximize your ACS member benefits, participate in College activities, and engage with your ACS colleagues. It's all here.

Become a Member
Become a member and receive career-enhancing benefits

Our top priority is providing value to members. Your Member Services team is here to ensure you maximize your ACS member benefits, participate in College activities, and engage with your ACS colleagues. It's all here.

Become a Member
ACS
ACS Case Reviews

Femoral Fracture Unveiling Metastatic Colorectal Cancer in a Young Adult

Abstract

Background

Skeletal metastasis from colorectal adenocarcinoma is rare, particularly when manifesting as a spontaneous pathological femoral shaft fracture in a young adult male. This report highlights the diagnostic and management complexities posed by such an unusual initial presentation of metastatic disease.

Summary

We describe a 41-year-old male with a history of hypertension and heart failure, who initially presented with chronic left hip and inguinal discomfort managed as a musculoskeletal issue. His family history was significant for colon cancer in his father and grandfather (who passed away at age 65). Over three months, his symptoms progressed to include constipation and a decrease in stool caliber. Subsequent diagnostic evaluation, including endoscopy, revealed a near-obstructing, 6.8 cm sigmoid colon mass with imaging findings suspicious for metastasis to the left femur. Following a laparoscopic resection of the primary sigmoid tumor, the patient sustained a spontaneous left femoral shaft fracture postoperatively, necessitating orthopedic surgical intervention and a bone biopsy.

Histopathological examination of the femoral bone biopsy confirmed metastatic colorectal adenocarcinoma. The patient's initial presentation, dominated by musculoskeletal symptoms rather than typical colorectal manifestations, underscored the advanced and metastatic nature of his disease at diagnosis.

Conclusion

This case underscores the critical importance of considering metastatic disease in the differential diagnosis of patients, including younger adults, presenting with atypical or persistent musculoskeletal symptoms, especially in the absence of trauma and with a relevant family history. Early recognition, comprehensive screening, and timely multidisciplinary intervention are paramount to improving outcomes in such scenarios. The rising incidence of colorectal cancer in young adults may necessitate adjustments to screening guidelines. Furthermore, the association between primary tumor location and the propensity for bone metastasis warrants increased clinical attention, as the prognosis for patients with skeletal involvement from colorectal cancer remains poor. The potential utility of biomarkers such as alkaline phosphatase (ALP), carcinoembryonic antigen (CEA), and CA-125 in the early detection of bone metastasis, and the need for further research to refine treatment strategies for colorectal cancer with skeletal involvement, are also highlighted.

Key Words

colorectal adenocarcinoma; absent ascending colon; metastasis, colorectal cancer, complications; hemicolectomy


Case Description

A 41-year-old male with a past medical history significant for hypertension, congestive heart failure (requiring an implantable cardioverter-defibrillator), and chronic left hip pain, initially attributed to a musculoskeletal (MSK) etiology, presented with progressive symptoms. His family history was notable for colon cancer on his paternal side, with his grandfather succumbing to the disease at age 65. Social history included occasional alcohol consumption and a daily exercise regimen; he denied smoking or illicit drug use. The patient initially reported left inguinal discomfort, which evolved over three months to include constipation and a noticeable decrease in stool caliber. After an initial period of management by a physical medicine and rehabilitation physician for suspected MSK pathology, a magnetic resonance imaging (MRI) scan of the left hip revealed inguinal lymphadenopathy and findings suspicious for a pathological fracture of the femoral shaft, raising concern for metastasis.

He was subsequently referred to a gastroenterologist who performed an urgent outpatient endoscopy. This procedure identified a large, friable sigmoid colon mass that nearly obstructed the lumen, preventing further passage of the endoscope. Following this finding, the patient was urgently referred to the emergency department, where our surgical service was consulted. On evaluation, he was in no acute distress. His abdominal examination was unremarkable: soft, symmetric, and non-tender, without distension or visible scars. Normoactive bowel sounds were present in all quadrants, and no masses, hepatomegaly, or splenomegaly were palpated. A digital rectal examination revealed an empty rectal vault without palpable masses or tenderness.

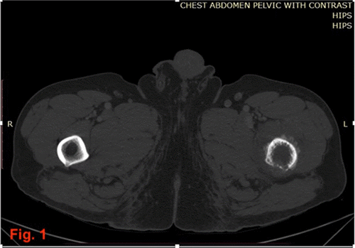
Computed tomography (CT) of the abdomen and pelvis confirmed a 6.8 cm sigmoid colon mass with imaging characteristics suspicious for osseous metastasis to the left proximal femur (Figure 1); no other intra-abdominal pathology or hepatic metastases were identified. A chest CT was negative for pulmonary metastatic lesions. Dedicated lower extremity imaging confirmed a pathological fracture of the femoral shaft. His preoperative carcinoembryonic antigen (CEA) level was elevated at 3.19 ng/mL.

Figure 1. Preoperative CT of Left Femoral Metastasis. Published with Permission

While an urgent oncologic colorectal resection was planned, definitive orthopedic intervention for the stable pathological fracture was initially postponed. This decision was influenced by the patient’s preference to be treated by a specific orthopedic surgeon unavailable at our institution and the near-obstructing nature of the colonic tumor, which prioritized the colorectal surgery. The patient underwent an oncologic laparoscopic low anterior resection under general anesthesia, performed by a board-certified colorectal surgeon assisted by a PGY-5 resident. The perioperative, intraoperative, and immediate postoperative course was unremarkable. Due to his underlying congestive heart failure, he was transferred to the intensive care unit for close cardiac monitoring postoperatively and was subsequently moved to the surgical ward on postoperative day (POD) 3. On POD 4, while ambulating in his room, the patient reported hearing a “cracking sound” and experienced a fall. A spontaneous, closed, displaced left femoral shaft fracture with associated skin tenting was diagnosed. Orthopedic surgery was consulted immediately; the fracture was reduced, and a Buck’s traction device was applied (Figure 2). This unexpected event prompted further surgical intervention, consisting of intramedullary nailing of the femur, during which a bone biopsy was obtained. Histopathological examination of this biopsy unequivocally confirmed metastatic colorectal adenocarcinoma as the underlying cause of the pathological fracture.

Figure 2. Post-Reduction Radiographs of Left Femur with Buck’s Traction. Published with Permission

A.

B.

(A) Anteroposterior and (B) Lateral radiographs of the left femur obtained after closed reduction of a spontaneous pathological shaft fracture. The images demonstrate alignment of the fracture fragments with a Buck's traction device in place
(A) Anteroposterior and (B) Lateral radiographs of the left femur obtained after closed reduction of a spontaneous pathological shaft fracture. The images demonstrate alignment of the fracture fragments with a Buck's traction device in place

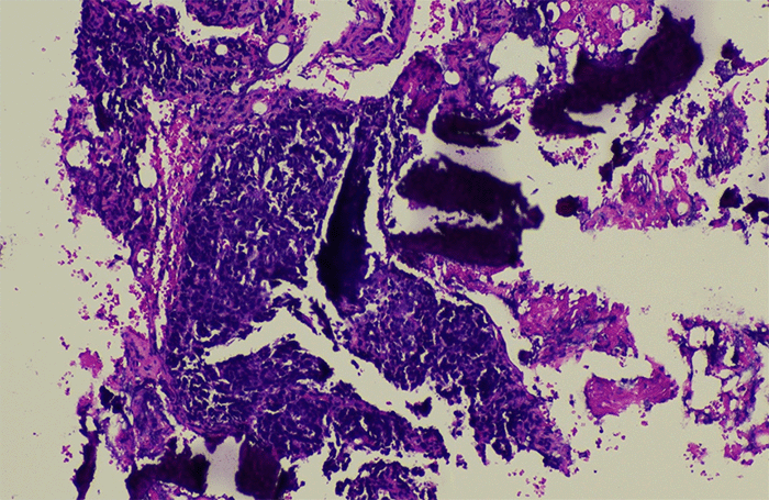
The patient was eventually discharged on POD 7. The final pathological staging of his sigmoid primary was Stage IV adenocarcinoma, pT3 N2b M1, with wild-type BRAF, KRAS, and NRAS. The bone biopsy revealed poorly differentiated adenocarcinoma consistent with a colorectal origin (Figure 3). Subsequent positron emission tomography-computed tomography (PET-CT) demonstrated extensive metastatic disease, including diffuse hypermetabolic activity in the peritoneal lining of the pelvis and widespread skeletal involvement. The surgically repaired pathological fracture of the left femur was noted, with associated lytic lesions (Figure 4). Numerous additional hypermetabolic foci were identified throughout the axial and appendicular skeleton, consistent with disseminated metastatic spread from the primary colorectal malignancy. The patient received induction chemotherapy with FOLFOX 6 plus bevacizumab (AVASTIN) and palliative radiation therapy. Despite aggressive multimodal treatment, his disease progressed, and he ultimately succumbed to complications of metastatic cancer seven months after his initial surgical resection.

Figure 3. Histopathology of Femoral Bone Biopsy Confirming Metastatic Adenocarcinoma. Published with Permission

Photomicrograph of the femoral bone biopsy. The specimen reveals malignant glandular structures composed of atypical epithelial cells infiltrating the native bone matrix, consistent with poorly differentiated adenocarcinoma of colorectal origin
Photomicrograph of the femoral bone biopsy. The specimen reveals malignant glandular structures composed of atypical epithelial cells infiltrating the native bone matrix, consistent with poorly differentiated adenocarcinoma of colorectal origin

Figure 4. Postoperative PET-CT Demonstrating Hypermetabolic Activity at Left Femoral Fracture Site. Published with Permission

Fused PET-CT images of the left femur obtained following orthopedic fixation. The image demonstrates intense focal fluorodeoxyglucose (FDG) uptake (SUVmax 19.30, arrow) at the site of the pathological fracture and surgical repair, consistent with metabolically active metastatic adenocarcinoma. Note the associated expansile osteolytic destruction and adjacent soft tissue involvement
Fused PET-CT images of the left femur obtained following orthopedic fixation. The image demonstrates intense focal fluorodeoxyglucose (FDG) uptake (SUVmax 19.30, arrow) at the site of the pathological fracture and surgical repair, consistent with metabolically active metastatic adenocarcinoma. Note the associated expansile osteolytic destruction and adjacent soft tissue involvement

Discussion

Colorectal cancer (CRC) represents a significant public health burden, with an estimated 106,590 new colon cancer diagnoses and 46,220 new rectal cancer diagnoses anticipated in the United States in 2024, contributing to an expected 53,010 deaths.1 While hepatic and pulmonary metastases are common patterns of dissemination in advanced CRC, osseous involvement is relatively infrequent and typically signifies a more advanced disease stage with a poorer prognosis.1 This report details an unusual presentation of metastatic colorectal adenocarcinoma manifesting as a spontaneous pathological femoral shaft fracture in a young adult, highlighting the diagnostic and therapeutic challenges posed by such atypical metastatic presentations.

A critical aspect underscored by this case is the patient’s age at diagnosis (41 years), which precedes the current general population screening age of 45 recommended by recent guidelines.3 Although these guidelines were lowered in response to the rising incidence of early-onset CRC, this patient possessed no identifiable risk factors that would have prompted earlier screening, raising pertinent questions about the adequacy of current screening paradigms for select individuals or the need for novel risk stratification tools.

Metastatic colorectal adenocarcinoma presenting initially as a spontaneous femoral shaft fracture is exceptionally rare. Data from the Digestive Cancer Registry of Burgundy, France, analyzing 5,199 patients diagnosed with synchronous CRC metastases between 1991 and 2020, reported a low incidence of bone metastasis: 2.2% in men and 3.4% in women over the entire study period. For the most recent sub-period (2016-2020), the age-standardized incidence of bone metastasis per 1,000,000 inhabitants was 5.68 in men and 1.46 in women.4 These figures illustrate the relative infrequency of osseous metastases compared to more common sites like the liver, peritoneum, and lungs. The prognosis following a diagnosis of bone metastasis from CRC is generally poor, with a reported median survival of approximately 5.0 months and a one-year survival rate of 30.0%.2 While the spine is the most common site for osseous CRC metastases, an interesting association has been noted: right-sided colon cancers appear to have a higher propensity for metastasis to long bones, whereas left-sided colon cancers (as in our patient’s primary sigmoid tumor) are more frequently associated with spinal metastases.

Isolated bone metastasis, without concurrent involvement of other organs, is particularly uncommon, accounting for only about 1.1% of metastatic CRC cases.5 Metastases to the spine and pelvis are more frequent, likely due to dissemination via arterial pathways and Batson’s vertebral venous plexus; other reported sites include the skull, femur, and humerus.6 The occurrence of isolated bone metastasis without prior or concurrent liver or lung involvement has been a subject of debate.5-7 Some research suggests that visceral metastases, particularly to the liver or lungs, often precede osseous spread, sometimes remaining subclinical or eluding detection by routine imaging. A retrospective analysis from The University of Texas Medical School at Houston, utilizing whole-body 18F-FDG PET and CT/PET-CT for staging, found no instances of isolated osseous metastasis at initial diagnosis, nor did any patient develop isolated bone metastasis without other organ involvement during their survey period.8 This study also noted a longer interval to the development of lung (23.3 months) or bone (21.2 months) metastases compared to liver metastases (9.8 months).8 These findings challenge previous assumptions by suggesting that isolated bone metastasis in CRC, without concurrent visceral involvement, is exceedingly rare. The research further proposed that resistance to the development of lung metastasis might be a better predictor of subsequent bone metastasis in this patient population than the presence or absence of liver metastasis. While early-stage liver and lung metastases are often asymptomatic, bone metastases frequently present with pain or pathological fractures, potentially leading to earlier detection of skeletal involvement. This highlights the potential for bone to be an initial symptomatic site of metastatic disease, emphasizing the importance of vigilant investigation of musculoskeletal symptoms in CRC patients or those at risk.

Early recognition of skeletal metastases in CRC is crucial for optimizing treatment strategies and prognostic discussions. Certain tumor markers have been identified as potential independent risk factors for bone metastasis in CRC, including elevated alkaline phosphatase (ALP) (cut-off value 85.5 U/L), carcinoembryonic antigen (CEA) (cut-off value 6.9 ng/mL), and cancer antigen 125 (CA-125) (cut-off value 16.8 U/mL).9 This case resonates with the importance of considering metastatic disease in the differential diagnosis of unusual fractures, particularly in patients with a cancer history or suspicious imaging. It is noteworthy that the median interval reported between primary CRC therapy and the metachronous diagnosis of bone metastasis is approximately 20.0 months.3 In our patient, however, musculoskeletal symptoms preceded the definitive diagnosis and treatment of his primary gastrointestinal malignancy.

The strength of this report lies in its detailed documentation of a rare presentation of metastatic colorectal adenocarcinoma with initial osseous involvement manifesting as a pathological fracture, thereby providing valuable insights into the diagnostic and management challenges. A limitation, inherent to single case reports, is that its findings may not be generalizable. The overall rarity of bone metastasis as the primary symptomatic manifestation of CRC also makes direct comparison with other cases or the establishment of broad treatment guidelines based on this single experience difficult.

Conclusion

This case highlights the importance of considering metastatic disease in patients with unusual musculoskeletal symptoms, especially without trauma. Early recognition, careful screening, and timely multidisciplinary intervention are key to improving outcomes. CRC in young adults is rising, and screening guidelines may need to be adjusted to lower the starting age. The link between tumor location and bone metastasis requires increased attention, as the prognosis for these patients remains poor. Biomarkers like ALP, CEA, and CA-125 could help identify bone metastasis earlier. More research is needed to improve treatment strategies for colorectal cancer with skeletal involvement.

Lessons Learned

Several key insights emerge from this challenging case. Firstly, the rising incidence of colorectal cancer in younger adults warrants ongoing evaluation of current screening guidelines and consideration for earlier screening in select individuals, potentially guided by refined risk stratification tools beyond family history alone. Secondly, clinicians must be vigilant for atypical presentations of metastatic disease; musculoskeletal symptoms, particularly persistent pain or unexplained fractures, should prompt consideration of an underlying malignancy, even if gastrointestinal symptoms are not predominant. Thirdly, the potential utility of biomarkers such as ALP, CEA, and CA-125 in identifying patients at higher risk for, or with early signs of, bone metastasis deserves further investigation as a means to facilitate earlier detection. Finally, this case emphasizes the continued need for research into more effective systemic and targeted therapies for colorectal cancer with skeletal involvement to improve the currently unfavorable prognosis associated with this pattern of metastasis.

Acknowledgments

We would like to thank our patient for granting permission to share his case, contributing to the medical literature.

Authors

Medina-Morell JRa,b; Rovira-Bellido Oa,b; Rodriguez-Fernandez LFc; Rodriguez-Rapale Victorb,d

Author Affiliations

  1. St. Luke’s Episcopal Medical Center, Ponce, 00733, Puerto Rico
  2. Department of Surgery, St. Luke’s Episcopal Medical Center, Ponce, 00733, Puerto Rico
  3. Ponce Health Sciences University, Ponce, 00716, Puerto Rico
  4. Colorectal Clinic of Puerto Rico, San Juan, 00918, Puerto Rico

Corresponding Author

Juan R. Medina-Morell, MD
Department of Surgery
St. Luke’s Memorial Episcopal Medical Center
Ponce, 00733
Puerto Rico
Email: jmedinamorell@gmail.com

Meeting Presentation

72nd Annual American College of Surgeons - Puerto Rico Chapter Meeting, San Juan, Puerto Rico, February 2023

Disclosure Statement

The authors have no conflicts of interest to disclose.

Funding/Support

The authors have no relevant financial relationships or in-kind support to disclose.

Received: September 13, 2024
Revision received: December 9, 2024
Accepted: February 4, 2025

References

  1. American Cancer Society. Cancer Facts & Figures 2024. American Cancer Society; 2024. Accessed May 19, 2025. https://www.cancer.org/content/dam/cancer-org/research/cancer-facts-and-statistics/annual-cancer-facts-and-figures/2024/2024-cancer-facts-and-figures-acs.pdf
  2. American College of Gastroenterology. Colorectal Cancer. American College of Gastroenterology website. Accessed July 13, 2024. https://gi.org/topics/colorectal-cancer/
  3. Jooste V, Lepage C, Manfredi S, Bouvier AM. Trends in incidence of infrequent and frequent synchronous metastases from colorectal cancer. Dig Liver Dis. 2025;57(1):83-88. doi:10.1016/j.dld.2024.06.018
  4. Kanthan R, Loewy J, Kanthan SC. Skeletal metastases in colorectal carcinomas: a Saskatchewan profile. Dis Colon Rectum. 1999;42(12):1592-1597. doi:10.1007/BF02236213
  5. Babu S, Garg S, Lakshmaiah KC, et al. Colorectal cancer presenting as bone metastasis. J Cancer Res Ther. 2017;13(1):80-83. doi:10.4103/0973-1482.181177
  6. Nozue M, Oshiro Y, Kurata M, et al. Treatment and prognosis in colorectal cancer patients with bone metastasis. Oncol Rep. 2002;9(1):109-112.
  7. Jimi S, Yasui T, Hotokezaka M, et al. Clinical features and prognostic factors of bone metastases from colorectal cancer. Surg Today. 2013;43(7):751-756. doi:10.1007/s00595-012-0372-3
  8. Roth ES, Fetzer DT, Barron BJ, et al. Does colon cancer ever metastasize to bone first? A temporal analysis of colorectal cancer progression. BMC Cancer. 2009;9:274. doi:10.1186/1471-2407-9-274
  9. Li AA, Cao ZY, Liu JM, Huang SH, Liu ZL. The risk factors for bone metastases in patients with colorectal cancer. Medicine (Baltimore). 2018;97(40):e12694. doi:10.1097/MD.0000000000012694. PMID:30290664; PMCID:PMC6200451.