Unsupported Browser
The American College of Surgeons website is not compatible with Internet Explorer 11, IE 11. For the best experience please update your browser.
Menu
Become a member and receive career-enhancing benefits

Our top priority is providing value to members. Your Member Services team is here to ensure you maximize your ACS member benefits, participate in College activities, and engage with your ACS colleagues. It's all here.

Become a Member
Become a member and receive career-enhancing benefits

Our top priority is providing value to members. Your Member Services team is here to ensure you maximize your ACS member benefits, participate in College activities, and engage with your ACS colleagues. It's all here.

Become a Member
ACS
ACS Case Reviews

Takotsubo Cardiomyopathy Precipitated by Anaphylaxis to Ketorolac Following Laparoscopic Cholecystectomy

Abstract

Background

The pathophysiology of Takotsubo cardiomyopathy (TCM) is poorly understood. It is characterized by transient left ventricular dysfunction, often presenting with regional wall motion abnormalities that can mimic acute coronary syndrome (ACS) in the absence of obstructive coronary artery disease. Typically precipitated by significant physical or emotional stress, TCM is a largely reversible condition, but its acute presentation can be difficult to distinguish from ACS, making accurate and timely diagnosis imperative.

Summary

A 28-year-old previously healthy female underwent an uncomplicated elective robotic-assisted laparoscopic cholecystectomy. Shortly following extubation, she developed acute cardiorespiratory collapse with flash pulmonary edema and profound hypotension, necessitating re-intubation and aggressive hemodynamic support with high-dose vasopressors and inotropes. Electrocardiography revealed sinus tachycardia without ischemic changes. A transthoracic echocardiogram demonstrated severely reduced left ventricular systolic function (estimated ejection fraction <30%) with a distinct pattern of mid-chamber hypokinesis and preserved apical and basal segment contractility, characteristic of atypical (mid-ventricular) TCM. Additional workup indicated a distributive shock pattern with decreased systemic vascular resistance despite adequate fluid resuscitation, which responded favorably to epinephrine and high-dose corticosteroid administration; ketorolac was identified as the only new medication administered during the perioperative period, raising suspicion for an anaphylactic trigger. Guideline-directed medical therapy for heart failure with reduced ejection fraction was initiated, and the patient was discharged home in stable condition on hospital day six, with resolution of her initial cholelithiasis symptoms.

Conclusion

This case highlights several unique aspects of Takotsubo cardiomyopathy, including its rare mid-ventricular variant in a young, premenopausal patient, and its presumed precipitation by ketorolac-induced anaphylaxis following robotic-assisted laparoscopic cholecystectomy. This report underscores the importance of considering TCM in the differential diagnosis of unexpected, acute perioperative hemodynamic instability and flash pulmonary edema, particularly when evidence of acute coronary syndrome is absent and features suggestive of an allergic or profound stress response are present. Early recognition of this reversible cardiomyopathy is crucial for appropriate management.

Key Words

Takotsubo cardiomyopathy; laparoscopic cholecystectomy; ketorolac anaphylaxis


Case Description

We report the case of a 28-year-old, previously healthy female who underwent an elective robotic-assisted laparoscopic cholecystectomy. The surgical procedure itself was uneventful, with an operative duration of one hour and twenty-six minutes. Ketorolac was administered approximately ten minutes prior to extubation. Immediately thereafter, the patient developed acute cardiorespiratory collapse, characterized by flash pulmonary edema and profound hypotension with a recorded blood pressure of 86/52 mmHg.

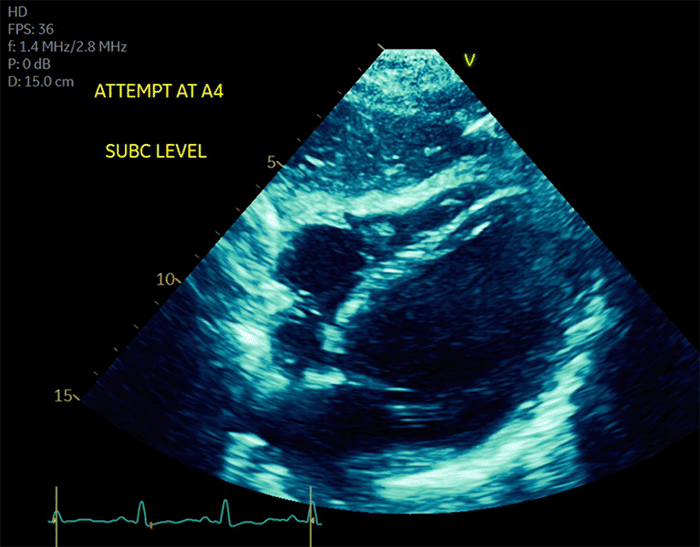
She was promptly re-intubated and emergently transferred from the outpatient surgery center to the Trauma Surgical Intensive Care Unit (TSICU) at our university hospital. Initial resuscitation involved aggressive hemodynamic support, including high-dose vasopressors and inotropes, with norepinephrine initiated up to 0.2 mcg/kg/min and epinephrine up to 0.26 mcg/kg/min. In the TSICU, a transthoracic echocardiogram (TTE) revealed severely reduced left ventricular systolic function, with an estimated ejection fraction (LVEF) of less than 30% (Figure 1). The echocardiogram demonstrated a distinct pattern of mid-chamber hypokinesis with preserved contractility at the base and apex of the left ventricle, characteristic of mid-ventricular Takotsubo cardiomyopathy (TCM). Concurrent electrocardiography showed sinus tachycardia without ST-segment changes or other findings indicative of acute coronary syndrome or myocardial infarction (Figure 2). Her high-sensitivity troponin level was elevated, peaking at 227 ng/L on postoperative day one.

Figure 1. Transthoracic Echocardiogram Demonstrating Mid-Ventricular Dysfunction. Published with Permission

Apical four-chamber view from a transthoracic echocardiogram performed on postoperative day 0
Apical four-chamber view from a transthoracic echocardiogram performed on postoperative day 0

Figure 2. Initial Electrocardiogram During Acute Presentation. Published with Permission

A 12-lead ECG obtained on postoperative day 0 during the acute cardiorespiratory event. The tracing demonstrates sinus tachycardia (approximate heart rate [107-111 beats per minute]) without ST-segment elevations, significant ST-segment depressions, pathological Q waves, or new T-wave inversions that would typically indicate acute myocardial ischemia or infarction
A 12-lead ECG obtained on postoperative day 0 during the acute cardiorespiratory event. The tracing demonstrates sinus tachycardia (approximate heart rate [107-111 beats per minute]) without ST-segment elevations, significant ST-segment depressions, pathological Q waves, or new T-wave inversions that would typically indicate acute myocardial ischemia or infarction

Additional hemodynamic assessment, despite adequate fluid resuscitation, demonstrated decreased systemic vascular resistance, consistent with a distributive shock state. An extensive workup revealed no evidence of an infectious or primary neurogenic etiology for her shock. Notably, the profound shock responded well to the ongoing epinephrine infusion and the administration of high-dose corticosteroids. A review of her perioperative medications identified ketorolac as the only new agent administered. Guideline-directed medical therapy (GDMT) for heart failure with reduced ejection fraction was initiated (Figure 3). The patient stabilized and was discharged home on hospital day six, with resolution of her preoperative symptomatic cholelithiasis.

Figure 3. Guideline-Directed Medical Therapy.8

A follow-up TTE performed three months post-discharge demonstrated complete recovery of left ventricular function, with a normal LVEF of 67.7%. The patient currently remains on GDMT, with a planned duration of at least one year.

Discussion

Three short paras:

What we know

What we do not know

What we are presenting with goals

Takotsubo cardiomyopathy also known as stress-induced cardiomyopathy or “broken heart syndrome,” is characterized by acute, transient left ventricular systolic dysfunction, often with regional wall motion abnormalities (most frequently apical hypokinesis) that mimic acute coronary syndrome (ACS) but occur in the absence of obstructive coronary artery disease.1,2 Most frequently in perioperative TCM, hypokinesis affects the ventricular apex, followed by the basal and rarely mid-chamber segments.3 However, some data suggests that the apical sparing variants may be more common in women of premenopausal age.2 The onset in non-cardiac surgical patients commonly occurs upon emergence from anesthesia or within the initial 24 hours postoperatively.4 The pathophysiology is partly attributed to surges in endogenous or exogenous catecholamines precipitated by significant emotional or physical stressors, with catecholamine-mediated cardiotoxicity being a leading proposed mechanism.5,6

While the link between profound stress, catecholamine excess, and TCM is increasingly understood, the precise mechanisms by which specific triggers, such as drug-induced anaphylaxis, precipitate this syndrome remain less clear. Although TCM has been reported following epinephrine administration for anaphylaxis,7 highlighting the role of exogenous catecholamines, there is a paucity of data specifically implicating non-steroidal anti-inflammatory drug (NSAID)-induced anaphylaxis as a direct cause of TCM. The nuanced interplay between the mediators released during an anaphylactic reaction to an NSAID and the subsequent development of distinct myocardial stunning characteristic of TCM is an area requiring further investigation.

In the presented case, our patient’s initial hemodynamic profile, characterized by a low systemic vascular resistance (SVR) indicative of distributive shock, and her robust clinical improvement following treatment with epinephrine and high-dose corticosteroids, were highly suggestive of anaphylaxis as the primary insult leading to the profound stress that precipitated TCM. While a serum tryptase level was not obtained for definitive confirmation of anaphylaxis, this clinical picture strongly supported it. Furthermore, although potent catecholamines like epinephrine can themselves induce a surge that might contribute to or precipitate stress cardiomyopathy, the patient's overall marked improvement with epinephrine (administered for life-threatening anaphylactic shock) and corticosteroids argues against iatrogenic catecholamine excess as the primary etiology of her TCM

Furthermore, other potential causes of acute postoperative flash pulmonary edema were considered and excluded. Laryngospasm or negative pressure pulmonary edema were deemed unlikely, as the patient's airway was patent upon extubation, and she exhibited no characteristic signs such as choking, inspiratory stridor, or tracheal tug. The onset of her symptoms approximately 5-10 minutes after extubation also made these less probable.

The diagnosis of TCM can be supported by established criteria, such as the International Takotsubo (InterTAK) Diagnostic Criteria (Table 1).9 The associated InterTAK Diagnostic Score (Table 2) is a bedside tool with reported high sensitivity and specificity for differentiating TCM from ACS.9,10 A score exceeding 70 points indicates a high probability of TCM. Our patient’s score of 74 out of 100 placed her in this high-probability category, lending further support to the diagnosis despite the atypical features.

Criterion Description
1 Patients show transient left ventricular dysfunction (hypokinesia, akinesia or dyskinesia) presenting as apical ballooning or midventricular, basal or focal wall motion abnormalities. Right ventricular involvement can be present. Besides these regional wall motion patterns, transitions between all types can exist. The regional wall motion abnormality usually extends beyond a single epicardial vascular distribution; however, rare cases can exist where the regional wall motion abnormality is present in the subtended myocardial territory of a single coronary artery (focal TTS).
2 An emotional, physical or combined trigger can precede the takotsubo syndrome event, but this is not obligatory.
3 Neurologic disorders (eg, subarachnoid haemorrhage, stroke/transient ischaemic attack or seizures) as well as pheochromocytoma may serve as triggers for takotsubo syndrome.
4 New ECG abnormalities are present (ST-segment elevation, ST-segment depression, T-wave inversion and QTc prolongation); however, rare cases exist without any ECG changes.
5 Levels of cardiac biomarkers (troponin and creatine kinase) are moderately elevated in most cases; significant elevation of brain natriuretic peptide is common.
6 Significant coronary artery disease is not a contradiction in takotsubo syndrome.
7 Patients have no evidence of infectious myocarditis.
8 Postmenopausal women are predominantly affected.
Table 1. InterTAK Diagnostic Criteria.
Criterion Description
1 Patients show transient left ventricular dysfunction (hypokinesia, akinesia or dyskinesia) presenting as apical ballooning or midventricular, basal or focal wall motion abnormalities. Right ventricular involvement can be present. Besides these regional wall motion patterns, transitions between all types can exist. The regional wall motion abnormality usually extends beyond a single epicardial vascular distribution; however, rare cases can exist where the regional wall motion abnormality is present in the subtended myocardial territory of a single coronary artery (focal TTS).
2 An emotional, physical or combined trigger can precede the takotsubo syndrome event, but this is not obligatory.
3 Neurologic disorders (eg, subarachnoid haemorrhage, stroke/transient ischaemic attack or seizures) as well as pheochromocytoma may serve as triggers for takotsubo syndrome.
4 New ECG abnormalities are present (ST-segment elevation, ST-segment depression, T-wave inversion and QTc prolongation); however, rare cases exist without any ECG changes.
5 Levels of cardiac biomarkers (troponin and creatine kinase) are moderately elevated in most cases; significant elevation of brain natriuretic peptide is common.
6 Significant coronary artery disease is not a contradiction in takotsubo syndrome.
7 Patients have no evidence of infectious myocarditis.
8 Postmenopausal women are predominantly affected.
Criterion Score
Female sex 25 points
Emotional stress 24 points
Physical stress 13 points
No ST-Segment depression 12 points
Psychiatric disorders 11 points
Neurologic disorders 9 points
QTC prolongation 6 points
Table 2. InterTak Diagnostic Score.
Criterion Score
Female sex 25 points
Emotional stress 24 points
Physical stress 13 points
No ST-Segment depression 12 points
Psychiatric disorders 11 points
Neurologic disorders 9 points
QTC prolongation 6 points

This case presents several unique characteristics. Our patient was a previously healthy, premenopausal 28-year-old female who underwent an uncomplicated, elective, minimally invasive, non-cardiac surgery. To our knowledge, this is among the first documented instances of TCM occurring in this specific demographic and surgical setting. The development of TCM in the postoperative period is itself rare, with an even lower reported incidence in premenopausal women. Furthermore, this case appears to be one of the first, if not the first, to describe TCM secondary to presumed ketorolac-induced anaphylaxis, and also the first report of TCM following a robot-assisted laparoscopic cholecystectomy. Additionally, the patient exhibited a mid-chamber (mid-ventricular) variant of TCM, which is less common than the typical apical ballooning form. Given the clinical context, anaphylaxis to ketorolac is the most plausible precipitating factor, and there is a paucity of literature documenting anaphylaxis to NSAIDs as an etiology for TCM.

The successful outcome in this case underscores the importance of maintaining a high index of clinical suspicion for TCM and initiating appropriate treatment, even in uncommon clinical scenarios. Despite the patient's atypical demographic, surgical context, precipitating factor, and TCM variant, timely recognition and management of both the anaphylactic shock and the resultant cardiomyopathy led to a favorable outcome. The inherent rarity of TCM, especially with such unique features, can lead to diagnostic delays or misdiagnosis, potentially missing opportunities for effective, life-saving interventions. This case emphasizes that TCM should be considered a reversible cause of acute postoperative hemodynamic instability, warranting consideration even in settings deemed low risk.

Regarding the management of stress cardiomyopathy, GDMT for heart failure with reduced ejection fraction is the standard approach, with medications typically tapered as cardiac function recovers. Literature suggests that adherence to GDMT is associated with improved outcomes and a lower likelihood of subsequent adverse cardiac events.11 A critical aspect of management involves avoiding or minimizing excessive endogenous or exogenous catecholamine exposure where possible, although this can be challenging in acute settings or certain physiological states (e.g., pregnancy and childbirth, which our patient has appropriately postponed).

This case report has limitations. Cardiac magnetic resonance imaging (CMR), often used for diagnostic confirmation and detailed myocardial assessment in TCM, was not performed. Similarly, an endomyocardial biopsy to definitively exclude infectious or inflammatory myocarditis was not undertaken. Coronary angiography, the gold standard for ruling out obstructive coronary artery disease, was also deferred, given the classic echocardiographic findings of regional wall motion abnormalities characteristic of TCM (mid-chamber hypokinesis) in the presence of a normal electrocardiogram without ischemic changes.

Conclusion

This case of perioperative mid-chamber TCM in a previously healthy 28-year-old female underscores several unique facets of this intriguing syndrome. To our knowledge, this is the first report detailing TCM precipitated by presumed ketorolac-induced anaphylaxis in a patient undergoing robotic-assisted laparoscopic cholecystectomy. Furthermore, it represents an uncommon presentation of mid-ventricular TCM in a premenopausal individual. The clinical manifestations of TCM are diverse, ranging from symptoms mimicking ACS, such as chest pain, to profound hemodynamic instability, including hypotension and hypoxia, as observed in this patient.

Lessons Learned

This case offers several important clinical takeaways pertinent to the recognition and management of perioperative TCM. Firstly, anaphylaxis to commonly administered perioperative medications, including non-steroidal anti-inflammatory drugs like ketorolac, should be considered as a potential, albeit unexpected, trigger for this stress-induced cardiomyopathy. Secondly, while TCM is classically more prevalent in postmenopausal females, clinicians should remain cognizant that atypical variants, such as mid-ventricular or basal TCM (apical-sparing forms), may occur in younger, premenopausal women. Consequently, in any patient experiencing unexpected acute perioperative hemodynamic instability or flash pulmonary edema, TCM warrants inclusion in the differential diagnosis. Prompt diagnostic workup, including echocardiography and careful exclusion of ACS, is crucial. Finally, early recognition of TCM and the institution of appropriate supportive care and guideline-directed medical therapy for transient left ventricular dysfunction generally lead to a favorable prognosis, given the inherently reversible nature of this condition.

Acknowledgments

We would like to thank our patient for granting permission to share her case, contributing to the medical literature.

Authors

Sandoval-Eddy Pa; Alaouieh DAb; Fisher ADa,c; McClain LEa

Author Affiliations

  1. Department of Surgery, University of New Mexico School of Medicine, Albuquerque, NM 87106
  2. Department of Surgery, University of Utah, Salt Lake City, UT 84123
  3. Texas Army National Guard, Austin, TX 78703

Corresponding Author

Lauren E. McClain, MD, FACS
UNM School of Medicine
Department of Surgery, MSC10 5610
1 University of New Mexico
Albuquerque, NM 87131
Email: lemcclain@salud.unm.edu

Meeting Presentation

Poster presentation at the 10th Annual Departments of Surgery and Ophthalmology & Visual Sciences Research Symposium 2024

Disclosure Statement

AD Fisher has received funding from the Department of Defense in the form of grants to their institution.

Funding/Support

The authors have no relevant financial relationships or in-kind support to disclose.

Received: August 11, 2024
Revision received: November 26, 2024
Accepted: February 5, 2025

References

  1. Andrade AA, Stainback RF. Takotsubo cardiomyopathy. Tex Heart Inst J. 2014;41(3):299-303. doi:10.14503/THIJ-14-4108. PMID:24955046; PMCID:PMC4060336.
  2. Boyd B, Solh T. Takotsubo cardiomyopathy: review of broken heart syndrome. J Am Acad Physician Assist. 2020;33(3):24-29. doi:10.1097/01.JAA.0000654368.35241.fc
  3. Abdulla I, Kay S, Mussap C, et al. Apical sparing in tako-tsubo cardiomyopathy. Intern Med J. 2006;36(7):414-418. doi:10.1111/j.1445-5994.2006.01095.x. PMID:16780446.
  4. Alhuarrat MAD, Barzallo D, Seo J, et al. Meta-analysis and clinical features of perioperative Takotsubo cardiomyopathy in noncardiac surgery. Am J Cardiol. 2023;201:78-85. doi:10.1016/j.amjcard.2023.06.015. Epub 2023 Jun 21. PMID:37352669.
  5. Kounis NG, Mplani V, de Gregorio C, Koniari I. Attack the ATAK; a challenging contemporary complex: pathophysiologic, therapeutic, and preventive considerations. Balkan Med J. 2023;40(5):308-311. doi:10.4274/balkanmedj.galenos.2023.2023-4-96. Epub 2023 May 23. PMID:37218727; PMCID:PMC10500137.
  6. Awad HH, McNeal AR, Goyal H. Reverse Takotsubo cardiomyopathy: a comprehensive review. Ann Transl Med. 2018;6(23):460. doi:10.21037/atm.2018.11.08.
  7. Wei J, Zhang L, Ruan X, He K, Yu C, Shen L. Case report: Takotsubo syndrome induced by severe anaphylactic reaction during anesthesia induction and subsequent high-dose epinephrine resuscitation. Front Cardiovasc Med. 2022;9:842440. doi:10.3389/fcvm.2022.842440. PMID:35369310; PMCID:PMC8968145.
  8. British Columbia Ministry of Health. Heart failure - diagnosis and management. Province of British Columbia website. Updated October 26, 2023. Accessed July 2, 2024. https://www2.gov.bc.ca/gov/content/health/practitioner-professional-resources/bc-guidelines/heart-failure-chronic
  9. Assad J, Femia G, Pender P, Badie T, Rajaratnam R. Takotsubo syndrome: a review of presentation, diagnosis and management. Clin Med Insights Cardiol. 2022;16:11795468211065782. Published January 4, 2022. doi:10.1177/11795468211065782.
  10. Ghadri JR, Wittstein IS, Prasad A, et al. International expert consensus document on Takotsubo syndrome (Part II): diagnostic workup, outcome, and management. Eur Heart J. 2018;39(22):2047-2062. doi:10.1093/eurheartj/ehy077.
  11. Khalighi K, Farooq MU, Aung TT, Oo S. Takotsubo cardiomyopathy: a long-term follow-up shows benefit with risk factor reduction. J Cardiovasc Dev Dis. 2015;2(4):273-281. doi:10.3390/jcdd2040273.