Unsupported Browser
The American College of Surgeons website is not compatible with Internet Explorer 11, IE 11. For the best experience please update your browser.
Menu
Become a member and receive career-enhancing benefits

Our top priority is providing value to members. Your Member Services team is here to ensure you maximize your ACS member benefits, participate in College activities, and engage with your ACS colleagues. It's all here.

Become a Member
Become a member and receive career-enhancing benefits

Our top priority is providing value to members. Your Member Services team is here to ensure you maximize your ACS member benefits, participate in College activities, and engage with your ACS colleagues. It's all here.

Become a Member
ACS
ACS Case Reviews

First Robotic Repair of a Colo-Vesico-Urachal Fistula with Umbilical Drainage

Abstract

Background

Complex fistulae involving the urachus, colon, and bladder, particularly those with cutaneous extension, represent an exceedingly rare and challenging surgical condition. This report details the case of a 57-year-old male who presented with acute right-sided abdominal pain and intermittent serous umbilical drainage, ultimately diagnosed with a colo-vesico-urachal fistula.

Summary

We present the first documented instance, to our knowledge, of a multidisciplinary robotic-assisted approach to manage an exceptionally rare colo-vesical-urachal fistula with associated cutaneous umbilical extension in a 57-year-old male. The patient had a history of intermittent urinary drainage from the umbilicus, which later progressed to feculent-like discharge, associated with recurrent episodes of diverticulitis and urinary tract infections. This represents only the second reported case of such a complex three-way fistula. A collaborative surgical effort involving urological and colorectal surgeons facilitated a technically successful robotic procedure, which included takedown of the colo-vesical-urachal fistula, en-bloc excision of the urachal sinus tract with its cutaneous fistula, partial cystectomy, and sigmoidectomy with a primary intracorporeal anastomosis. The patient experienced an uncomplicated postoperative course. Historically, similar complex fistulae described in the literature have predominantly been managed via open surgical exploration, with only a very limited number of cases attempted laparoscopically.

Conclusion

This case report highlights an innovative and successful multidisciplinary robotic-assisted surgical approach to a rare and complex disease process: a colo-vesical-urachal fistula with cutaneous umbilical extension. The minimally invasive robotic technique proved feasible and effective, resulting in a favorable patient outcome. This report contributes to the sparse literature on this condition and should be considered for reference in establishing future standardized management protocols and for investigating the potential long-term benefits of robotic surgery in managing complex fistulae involving urachal remnants.

Key Words

robotic surgery; urachal anomaly, colo-urachal fistula, diverticulitis


Case Description

A 57-year-old male with a complex past medical history—including recurrent sigmoid diverticulitis, osteomyelitis, type II diabetes mellitus, hypertension, coronary artery disease, and a prior open appendectomy—presented to the emergency department of a small community hospital with acute-onset, sharp, right-sided abdominal pain radiating to the right flank. He also reported a six-month history of dysuria and foul-smelling urine, along with occasional pneumaturia.

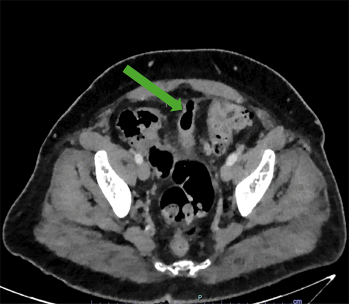
Initial evaluation via computed tomography (CT) of the abdomen and pelvis identified findings consistent with acute-on-chronic diverticulitis of the mid-sigmoid colon, without evidence of abscess or frank perforation. A mass-like inflammatory appearance at the dome of the bladder suggested a colo-vesical fistula, although a definitive fistulous communication between the inflamed colon and the bladder was not unequivocally visualized. Additionally, a prominent midline gas-filled outpouching was noted extending superiorly from the bladder dome into the prevesicular extraperitoneal space, consistent with a urachal remnant or diverticulum (Figure 1). The patient was diagnosed with a urinary tract infection and complicated diverticulitis and was discharged with a 10-day course of antibiotics, with referrals for outpatient follow-up with colorectal surgery and urology.

Figure 1. CT Demonstrating Urachal Remnant. Published with Permission

Axial CT scan of the pelvis. The image shows a gas-filled outpouching (green arrow) arising from the dome of the bladder and extending superiorly into the prevesicular extraperitoneal space, consistent with a urachal remnant
Axial CT scan of the pelvis. The image shows a gas-filled outpouching (green arrow) arising from the dome of the bladder and extending superiorly into the prevesicular extraperitoneal space, consistent with a urachal remnant

At his subsequent urology follow-up, the patient provided a more detailed history, revealing 15-20 years of intermittent brown-colored urine and long-standing serous umbilical drainage. He reported that approximately six months prior, coinciding with his last episode of acute diverticulitis, the character of the umbilical discharge had changed, becoming feculent-like and associated with the passage of gas from the umbilicus (Figure 4). A fluoroscopic cystogram performed at this time confirmed a patent colo-vesical fistula and raised strong suspicion for a patent urachus communicating with a colo-cutaneous fistula via the umbilicus. Gastroenterology consultation and colonoscopy were pursued but proved non-diagnostic for defining the fistula due to the presence of liquid stool obscuring visualization. The patient was then evaluated by a colorectal surgeon for multidisciplinary surgical management of this complex fistulous disease. A robotic-assisted sigmoid colectomy was recommended to address the complicated diverticulitis and the colovesical fistula component, to be performed in conjunction with the urological team for definitive management of the urachal remnant and its associated fistulae.

Figure 2. Clinical Presentation of Feculent Umbilical Drainage. Published with Permission

Following comprehensive preoperative assessment and planning, the patient underwent a combined robotic-assisted procedure involving both urology and colorectal surgical teams. Intraoperatively, extensive inflammatory changes and dense adhesions were encountered throughout the pelvis, necessitating significant adhesiolysis. A fibrotic and inflamed urachal sinus tract was clearly identified, extending from the umbilicus inferiorly to the dome of the bladder (Figure 3, Figure 4). A complex three-way fistulous connection was confirmed between the sigmoid colon, the dome of the bladder, and this urachal sinus tract (Figure 5).

Figure 3. Intraoperative View of Urachal Sinus with Cutaneous Extension. Published with Permission

Figure 4. Intraoperative Dissection of Urachal Sinus Tract. Published with Permission

Figure 5. Intraoperative View of Colo-Uracho-Vesical Fistula Complex. Published with Permission

After delineation of the relevant urologic and colorectal anatomy, the sigmoid colon was meticulously mobilized from the dome of the bladder using sharp dissection and judicious electrocautery, and the colo-vesical fistula was sharply transected. Once the colon was fully mobilized away from the bladder and urachal structures, the urology team proceeded with an en-bloc excision of the urachal sinus (Figure 6). A partial cystectomy was performed, excising the dome of the bladder at the site of urachal insertion; this resected bladder segment also encompassed the area involved in the colo-vesical fistula. Following urachal detachment and partial cystectomy, the bladder was reconstructed in multiple layers. The urachal sinus tract, along with its cutaneous fistula, was then excised via an elliptical incision incorporating the umbilicus (Figure 7, Figure 8). Subsequently, the colorectal team performed a robotic-assisted sigmoidectomy with a primary intracorporeal anastomosis. A 19-French Jackson-Pratt drain was placed in the pelvis, and an indwelling Foley catheter was left for bladder drainage to facilitate healing of the cystorrhaphy.

Figure 6. En Bloc Excision Specimen (Urachal Sinus Component). Published with Permission

Figure 7. Umbilical Incision for Excision of Cutaneous Fistula. Published with Permission

Figure 8. Gross Specimen of Excised Urachal Sinus Tract and Cutaneous Fistula. Published with Permission

The patient experienced an uncomplicated postoperative course. He tolerated oral intake on the first postoperative day. The Jackson-Pratt drain was removed prior to discharge on the fourth postoperative day. As planned, the Foley catheter remained in place for two weeks. At his two-week outpatient follow-up, a cystogram demonstrated no evidence of extravasation from the bladder repair, and the Foley catheter was removed. All surgical incisions were well-healed. The patient denied any further abdominal or umbilical drainage and reported resolution of his urinary symptoms. The final surgical pathology report confirmed the presence of a urachus and urachal cyst with moderate mixed inflammation and fibrosis.

Discussion

This case report details the successful multidisciplinary robotic-assisted surgical management of an exceptionally rare colo-vesico-urachal fistula with cutaneous umbilical extension. The rarity and inherent complexity of such a condition underscore the importance of understanding urachal embryology and the potential for associated anomalies to manifest with significant complications in adulthood.1

The urachus, a vestigial remnant of the fetal allantois, normally connects the bladder dome to the umbilicus during embryonic development. Postnatally, it typically obliterates to form the median umbilical ligament. Incomplete obliteration, however, can result in a spectrum of urachal anomalies, including a patent urachus, urachal cysts, urachal diverticula, or urachal sinus tracts.2 These remnants can become symptomatic, leading to complications such as infection, abscess formation, and, in rare instances, fistula formation involving adjacent viscera or extending to the skin.3

In this patient, the development of a complex colo-uracho-vesical fistula with cutaneous extension was likely a consequence of chronic inflammation and recurrent infection, primarily related to his underlying sigmoid diverticulitis. The patient’s protracted history of intermittent umbilical fluid leakage, evolving to feculent drainage and pneumaturia following an acute diverticular flare, strongly suggests a progressive pathological process culminating in this intricate three-way fistulous communication.

Given the multifaceted nature of the fistula, involving the sigmoid colon, bladder, urachal sinus, and umbilicus, a coordinated multidisciplinary surgical approach was essential. The combined expertise of urological and colorectal surgical teams facilitated a comprehensive and safe operative strategy, addressing all components of the fistulous disease simultaneously.

A recent comprehensive literature review by Vyas et al. identified only approximately ten previously reported cases of colo-urachal fistulas confirmed intraoperatively, with roughly half of these exhibiting cutaneous extension.4 Historically, the surgical management of such complex urachal fistulae has predominantly involved open laparotomy, with very few cases managed via conventional laparoscopy.5 The traditional surgical approach typically entails an en-bloc excision of the urachus along with any involved portions of the colon, umbilicus, and a cuff of the bladder.6 The case reported by Vyas et al. in 2022, which also described a three-way fistulous connection, was managed via an open approach. Soyster et al. previously reported the first documented case of a successful laparoscopic-assisted excision of a colo-urachal fistula;5 their review noted eight additional successful laparoscopic excisions of urachal cysts, often accompanied by umbilicoplasty. Our case appears to be the first to detail a fully robotic-assisted approach for such a complex three-way fistula. This minimally invasive technique allowed for successful bladder reconstruction, complete excision of the patent urachus, and sigmoidectomy for complicated diverticulitis, affording the patient a shortened hospital stay, minimal postoperative pain, and an excellent surgical outcome. However, the decision to utilize robotic assistance should be individualized, influenced by the surgical team’s training, experience, and available resources.

Conclusion

This case report documents the first known instance, to our knowledge, of a successful multidisciplinary, fully robotic-assisted surgical approach to a rare and complex colo-uracho-vesical fistula with associated cutaneous umbilical extension. The patient's expedient postoperative recovery and restoration of normal urinary and bowel function underscore the potential benefits of a collaborative, minimally invasive strategy in managing such intricate cases involving multiple anatomical structures and organ systems. Further case reports and larger series are needed to help establish standardized management protocols and to more definitively explore the long-term outcomes associated with innovative robotic techniques for complex fistulae involving urachal remnants.

Lessons Learned

Complex fistulous disease, particularly involving multiple organ systems such as the urachus, colon, and bladder, often necessitates a carefully coordinated multidisciplinary surgical approach to achieve optimal clinical outcomes and minimize patient morbidity. This case demonstrates that such complex reconstructive procedures can be successfully performed via a robotic-assisted minimally invasive technique, potentially offering benefits such as reduced postoperative pain and shortened hospital length of stay.

Authors

Marchuk Ta; Greco La; Ginzburg Sb; Uppaluri Cb

Author Affiliations

  1. Department of Surgery, Jefferson Einstein Philadelphia Hospital, Philadelphia, PA 19141
  2. Department of Urology, Jefferson Einstein Philadelphia Hospital, Philadelphia, PA 19141

Corresponding Author

Tsimafei Marchuk, DO
Department of Surgery
5501 Old York Road
Philadelphia, PA 19141
Email: txm033@jefferson.edu

Disclosure Statement

The authors have no conflicts of interest to disclose.

Funding/Support

The authors have no relevant financial relationships or in-kind support to disclose.

Received: July 1, 2024
Revision received: September 25, 2024
Accepted: September 27, 2024

References

  1. Cadeddu JA, Boyle KE, Fabrizio MD, Schulam PG, Kavoussi LR. Laparoscopic management of urachal cysts in adulthood. J Urol. 2000;164(5):1526-1528. doi:10.1016/s0022-5347(05)67016-8
  2. Parada Villavicencio C, Adam SZ, Nikolaidis P, Yaghmai V, Miller FH. Imaging of the urachus: anomalies, complications, and mimics. Radiographics. 2016;36(7):2049-2063. doi:10.1148/rg.2016160062
  3. Naiditch JA, Radhakrishnan J, Chin AC. Current diagnosis and management of urachal remnants. J Pediatr Surg. 2013;48(10):2148-2152. doi:10.1016/j.jpedsurg.2013.02.069
  4. Vyas A, Mulkalwar A, Singh K, Patil B. A peculiar three-way connection: colo-urachal-vesical fistula with cutaneous extension. J Clin Diagn Res. 2022;16(8):PD01-PD03. https://www.jcdr.net/articles/PDF/16808/56764_CE%5bOM%5d_F%5bSH%5d_PF1(AG_SS)_PFA(AG_KM)_PN(KM).pdf
  5. Soyster M, Ristau BT, Girard ED, Liang Y, Hegde P, Harnisch BA. An unlikely connection: rare case of colo-urachal fistula, surgical management, and review of the literature. Urol Case Rep. 2018;18:9-10. Published February 23, 2018. doi:10.1016/j.eucr.2018.02.015
  6. Yamzon J, Kokorowski P, De Filippo RE, Chang AY, Hardy BE, Koh CJ. Pediatric robot-assisted laparoscopic excision of urachal cyst and bladder cuff. J Endourol. 2008;22(10):2385-2388. doi:10.1089/end.2008.0338