Unsupported Browser
The American College of Surgeons website is not compatible with Internet Explorer 11, IE 11. For the best experience please update your browser.
Menu
Become a member and receive career-enhancing benefits

Our top priority is providing value to members. Your Member Services team is here to ensure you maximize your ACS member benefits, participate in College activities, and engage with your ACS colleagues. It's all here.

Become a Member
Become a member and receive career-enhancing benefits

Our top priority is providing value to members. Your Member Services team is here to ensure you maximize your ACS member benefits, participate in College activities, and engage with your ACS colleagues. It's all here.

Become a Member
ACS
ACS Case Reviews

Perforated Colon Adenocarcinoma Invading Through a Chronic Ventral Hernia

Abstract

Background

Invasion of a chronically incarcerated ventral hernia by an underlying colonic adenocarcinoma, leading to perforation and sepsis, represents a rare and complex surgical challenge.

Summary

We present the case of a 62-year-old male with a history of obesity, diabetes mellitus, and a long-standing incarcerated ventral hernia acquired after a motor vehicle collision; he had previously not met medical optimization criteria for elective hernia repair. The patient presented acutely with worsening abdominal pain, erythematous skin changes overlying the hernia, and clinical signs of sepsis. Diagnostic imaging revealed a nearly obstructing transverse colonic adenocarcinoma that had perforated through the hernia sac and directly invaded the abdominal wall musculature. Initial management focused on sepsis control with intravenous antibiotics, followed by en bloc surgical resection of the involved colon segment and compromised abdominal wall, with subsequent complex abdominal wall reconstruction.

Conclusion

While abdominal wall hernias and colon cancer are independently prevalent, their co-occurrence in this aggressive manner is uncommon. This case underscores the need for a high index of suspicion for underlying malignancy in patients with complicated chronic hernias and highlights a management strategy prioritizing initial sepsis control followed by definitive oncologic resection and immediate abdominal wall reconstruction.

Key Words

hernia; tumor perforation; colorectal adenocarcinoma; colorectal cancer; abdominal wall reconstruction


Case Description

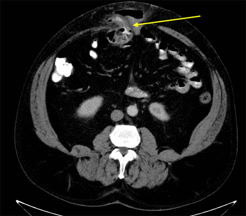
A 62-year-old male presented with a complex abdominal emergency rooted in a remote history of trauma and chronic comorbidities. His past medical history was notable for chronic obstructive pulmonary disease, obstructive sleep apnea, type 2 diabetes mellitus (HbA1c 6.6%), obesity (BMI 40.52 kg/m²), and an extensive 60 pack-year smoking history. His surgical history began in 1982 with an exploratory laparotomy for a liver laceration sustained in a motor vehicle crash, from which he had an uneventful initial recovery. Decades later, in 2019, he presented to a local hospital with acute abdominal pain, an enlarging abdominal bulge, and nausea. A computed tomography (CT) scan at that time revealed a ventral hernia containing incarcerated bowel, without radiographic evidence of ischemia or strangulation (Figure 1). The hernia was successfully reduced manually in the emergency department, and he was discharged with outpatient general surgery follow-up.

Figure 1. Initial Computed Tomography of Ventral Hernia (October 2019). Published with Permission

Axial CT scan from October 24, 2019, demonstrating the patient’s chronic ventral abdominal wall hernia. The image shows bowel loops and their associated mesentery (arrow) incarcerated within the hernia sac, without radiographic evidence of strangulation or perforation at that time
Axial CT scan from October 24, 2019, demonstrating the patient’s chronic ventral abdominal wall hernia. The image shows bowel loops and their associated mesentery (arrow) incarcerated within the hernia sac, without radiographic evidence of strangulation or perforation at that time

Over the subsequent years, the patient did not undergo elective surgical repair of the ventral hernia as he was unable to meet his surgeon’s preoperative medical optimization criteria. In June 2023, his condition acutely worsened, prompting presentation to a local hospital with a two-week history of escalating abdominal pain and new-onset erythematous skin changes overlying the longstanding hernia. His review of systems was positive for rust-colored stools but otherwise negative. On admission, he was febrile to 39.4°C with a heart rate of 99 bpm. His abdominal examination was described as benign, without signs of generalized peritonitis despite the systemic signs of infection. A CT scan demonstrated a colonic mass within the known ventral hernia sac, which appeared to be perforating directly into the abdominal wall musculature (Figure 2A), complicated by a superimposed abdominal wall abscess (Figure 2B). There were no CT findings suggestive of acute bowel ischemia or distant metastatic disease. Intravenous antibiotics were initiated for the cellulitis and underlying abscess, leading to clinical improvement.

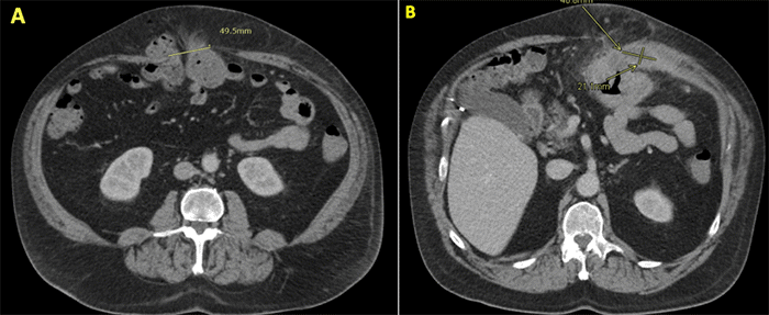
Figure 2. CT Findings at Acute Presentation (June 2023). Published with Permission

(A) Axial view depicting the large ventral hernia (hernia defect measuring approximately 49.5 mm in this image) containing a significant colonic mass (arrow) with evidence of invasion through the fascial defect into the abdominal wall. (B) Axial view demonstrating an associated complex fluid collection within the abdominal wall soft tissues (arrow), measuring approximately 40.8 × 21.1 mm, consistent with an abscess and surrounding inflammatory fat stranding.
(A) Axial view depicting the large ventral hernia (hernia defect measuring approximately 49.5 mm in this image) containing a significant colonic mass (arrow) with evidence of invasion through the fascial defect into the abdominal wall. (B) Axial view demonstrating an associated complex fluid collection within the abdominal wall soft tissues (arrow), measuring approximately 40.8 × 21.1 mm, consistent with an abscess and surrounding inflammatory fat stranding.

Prior to transfer, an urgent colonoscopy was performed to assess the colonic mass and evaluate for synchronous lesions. This revealed a nearly obstructing, non-traversable mass at the distal transverse colon (Figure 3); a pediatric colonoscope could not be advanced beyond this point. The patient reported no prior colonoscopies.

Figure 3. Preoperative Colonoscopic View of Distal Transverse Colon Mass. Published with Permission

Following stabilization, the patient was transferred to our academic tertiary care center. Upon arrival, his vital signs were: temperature 36.2°C (98.1°F), heart rate 79 bpm, and blood pressure 157/84 mmHg. Physical examination revealed a soft abdomen with a large ventral hernia and multiple palpable fascial defects. Mild tenderness to palpation was elicited in all four quadrants, but without guarding or rebound tenderness indicative of peritonitis. The overlying skin showed no evidence of necrotizing soft tissue infection. Laboratory studies were notable for a mild leukocytosis (11,950/mm³), a hematocrit of 38.1%, and microcytic anemia with a hemoglobin of 12.1 mg/dL and a mean corpuscular volume (MCV) of 74.6 fL. He was admitted in stable condition and continued on intravenous piperacillin/tazobactam. After multidisciplinary discussion, the decision was made to proceed with a complex oncological surgical resection and abdominal wall reconstruction.

Intraoperatively, the colonic tumor was found to be densely adherent to and invading the left rectus abdominis muscle, including its anterior and posterior sheaths. The mass also infiltrated the overlying adipose tissue and extended close to the skin. Due to the extensive local tumor invasion, an en bloc resection was performed, encompassing the involved fascia, rectus abdominis muscle, subcutaneous adipose tissue, and overlying skin along with the tumor (Figure 4). Subsequently, a transverse colectomy was completed, including a formal lymph node harvest around the middle colic artery, followed by creation of an isoperistaltic side-to-side stapled colocolonic anastomosis. This aggressive oncologic approach aimed to achieve negative margins and adequate locoregional control in the context of a perforated, high-risk cancer. The resultant large fascial defect measured 16 × 14 cm. For initial reconstruction, a Strattice™ acellular dermal matrix was selected as an underlay graft to bridge this defect, a choice supported by its reported durability in complex abdominal wall reconstruction scenarios.1 However, complete primary fascial apposition over the mesh was not achievable, leaving a residual 10 × 8 cm area without fascial coverage, which necessitated a myofascial tissue transfer flap for definitive closure.

Figure 4. Gross Surgical Specimen Following En Bloc Resection. Published with Permission.

Components are labeled as follows: (A) overlying skin ellipse, (B) segment of rectus abdominis muscle invaded by tumor, (C) the exophytic and invasive colonic adenocarcinoma, (D) proximal colonic resection margin, (E) distal colonic resection margin, (F) resected mesentery containing the vascular pedicle and lymph nodes, and (G) an opened segment of adjacent, uninvolved colon demonstrating healthy plicae circulares. The specimen illustrates the full-thickness involvement of the abdominal wall by the tumor.
Components are labeled as follows: (A) overlying skin ellipse, (B) segment of rectus abdominis muscle invaded by tumor, (C) the exophytic and invasive colonic adenocarcinoma, (D) proximal colonic resection margin, (E) distal colonic resection margin, (F) resected mesentery containing the vascular pedicle and lymph nodes, and (G) an opened segment of adjacent, uninvolved colon demonstrating healthy plicae circulares. The specimen illustrates the full-thickness involvement of the abdominal wall by the tumor.

Final pathological examination revealed a moderately differentiated invasive adenocarcinoma of the colon, with the primary tumor measuring 11.8 × 8.2 cm. The tumor invaded through the visceral peritoneum into the adjacent mesentery and directly into the abdominal wall. The proximal and distal resection margins were clear of malignancy by 6.5 cm and 9.5 cm, respectively, and were negative for dysplasia. There was no evidence of perineural or lymphovascular invasion. All twelve resected lymph nodes were negative for metastatic disease. The final pathological stage was pT4bN0M0, Stage IIc. Immunohistochemical analysis demonstrated loss of mismatch repair proteins MLH1 and PMS2, consistent with microsatellite instability-high (MSI-H) status. Subsequent testing for MLH1 promoter hypermethylation was positive, indicating a sporadic (somatic) origin for the mismatch repair deficiency rather than a hereditary (Lynch syndrome-associated) mutation.

Discussion

Colorectal cancer (CRC) ranks as the third most frequently diagnosed cancer in the United States and is the second leading cause of cancer-related mortality. In 2023, the estimated incidence exceeded 150,000 new cases, with over 52,000 attributable deaths.2 Encouragingly, the overall incidence of CRC has demonstrated a declining trend since 1985, largely credited to increased awareness and uptake of screening modalities such as colonoscopy, fecal immunochemical tests (FIT), and fecal occult blood tests (FOBT).3 Concurrently, however, a concerning rise in early-onset CRC (diagnosed in individuals <50 years old) has been observed, prompting the American Cancer Society to recommend initiating average-risk CRC screening at age 45.4 Established lifestyle risk factors for CRC include alcohol and excessive red meat consumption, tobacco smoking, and obesity.3 While a family history of CRC represents the most significant known risk factor, accounting for approximately 30% of cases,4 its absence does not preclude disease development, as illustrated by our patient whose primary risk factors included a significant smoking history, obesity, and no prior colonoscopic screening. Emergent presentations of CRC, such as malignant obstruction or perforation requiring urgent surgical intervention, occur in an estimated 15-30% of primary CRC resections.5 These acute presentations are associated with significantly poorer oncologic outcomes, including lower 3-year disease-free survival rates (80.4% in emergent vs. 94.5% in elective cases), higher recurrence rates (30.5% vs. 14.0%), and a greater incidence of metastasis (27.1% vs. 11.6%).6

Abdominal wall hernias are also a common gastrointestinal ailment encountered in both outpatient and emergency settings in the United States.7 For asymptomatic or mildly symptomatic hernias, watchful waiting is a recognized management strategy. However, when surgical repair is contemplated, patient comorbidities, particularly obesity and diabetes, are known to adversely affect outcomes in both elective and emergent settings.8 Obesity, specifically a BMI >35 kg/m², has been shown to elevate abdominal wall reconstruction complication rates from approximately 24.7% in non-obese patients to 43.4%.9 Furthermore, uncontrolled diabetes is associated with at least a 1.5-fold increased risk of postoperative complications following hernia repair.10 Consequently, many institutions, including ours, advocate for preoperative optimization, targeting a BMI <35 kg/m² and HbA1c <6.5% for elective ventral hernia repair—criteria our patient was unable to meet. Nevertheless, ventral hernias complicated by incarceration or strangulation can lead to acute obstructive symptoms, mandating emergent surgical intervention. The choice between minimally invasive and open approaches in such urgent scenarios is typically guided by surgeon preference and individual patient factors.11

The convergence of colonic malignancy within a ventral hernia sac, particularly leading to perforation and abdominal wall invasion, is an exceptionally rare clinical scenario. While case reports describe colonic cancers perforating through inguinal hernia defects,12,13 to our knowledge, this is the first published case detailing a primary colonic adenocarcinoma originating within, and perforating through, a chronically incarcerated ventral abdominal hernia. The established management principles for perforated CRC emphasize initial resuscitation and control of sepsis, followed by prompt oncologic resection.14 The extent of colectomy is dictated by the tumor location and site of perforation. For a right-sided perforation, a right hemicolectomy, typically with creation of a terminal ileostomy, is often performed. For a transverse colon perforation at the tumor site, as in our patient, a formal segmental resection with primary anastomosis is generally warranted. Had the perforation occurred proximal to the obstructing tumor, recommendations might include simultaneous tumor resection and a subtotal colectomy.14

Recent advancements in the management of non-perforated, locally advanced mismatch repair deficient (dMMR) or microsatellite instability-high (MSI-H) CRC, such as the tumor biology identified in our patient, have demonstrated promising results with neoadjuvant immunotherapy. Specifically, regimens like nivolumab plus ipilimumab have achieved pathological complete response rates of up to 67% and major pathological responses in 93% of selected patients.15 Similarly, PD-1 inhibitors alone have resulted in complete response rates of 23% and partial responses in 77% in this setting.16 Thus, had our patient presented without perforation, he might have been a candidate for such neoadjuvant systemic therapy. In retrospect, his extensive comorbidities placed him at high risk for surgical complications. Nonetheless, the acute presentation with a perforated, invasive cancer necessitated urgent surgical intervention, which offered the best prospect for oncologic control and survival in this unique and complex situation. At present, our patient remains without postoperative complications. Despite a recommendation for adjuvant chemotherapy, he opted against it and has completed six months of follow-up, including CT imaging and colonoscopy, without evidence of disease recurrence.

Conclusion

This case report details a rare and complex presentation of colorectal cancer: a colonic adenocarcinoma perforating through a chronically incarcerated ventral hernia sac with direct invasion into the abdominal wall. The patient possessed known risk factors for colorectal cancer, including a significant tobacco history and the absence of prior colonoscopic screening, alongside comorbidities such as obesity and diabetes mellitus that inherently elevated his surgical risk. Despite these challenges, the cornerstone of successful management was initial aggressive sepsis control with broad-spectrum intravenous antibiotics, followed by prompt and definitive surgical intervention.

This entailed an appropriate oncologic segmental colectomy—in this instance, a transverse colectomy—guided by the tumor’s location, performed with an en-bloc resection of all involved abdominal wall structures, including muscle, fascia, and overlying skin. Such an approach was critical to achieve negative surgical margins and minimize the risk of locoregional recurrence, even though it resulted in a substantial full-thickness abdominal wall defect requiring complex reconstruction.

Lessons Learned

The diagnostic pathway, involving CT imaging and confirmatory colonoscopy, was crucial in defining the extent of disease and planning this extensive procedure. This challenging scenario underscores the critical importance of a multidisciplinary approach, integrating expertise in oncologic surgery and reconstructive surgery, to optimize both radical tumor extirpation and functional abdominal wall restoration, thereby offering the best possibility of a favorable outcome in these unique and high-risk presentations.

Authors

Lipps Ca; Chang Cb; Martindale Rb; Fang Sb

Author Affiliations

  1. School of Medicine, Oregon Health & Science University, Portland, OR 97239
  2. Department of Surgery, Oregon Health & Science University, Portland, OR 97239

Corresponding Author

Colin Lipps
School of Medicine
Oregon Health & Science University
3181 SW Sam Jackson Park Road
Mail Code L223A
Portland, OR 97239
Email: lipps@ohsu.edu

Disclosure Statement

The authors have no conflicts of interest to disclose.

Funding/Support

The authors have no relevant financial relationships or in-kind support to disclose.

Received: July 16, 2023
Revision received: October 23, 2023
Accepted: January 2, 2024

References

  1. Asaad M, Kapur SK, Baumann DP, Liu J, Butler CE. Acellular dermal matrix provides durable long-term outcomes in abdominal wall reconstruction: a study of patients with over 60 months of follow-up. Ann Surg. 2022;276(5):e563-e570. doi:10.1097/SLA.0000000000004454. Epub 2020 Oct 19. PMID: 33086319.
  2. Surveillance, Epidemiology, and End Results (SEER) Program. Cancer Stat Facts: Colorectal Cancer. SEER*Stat Database: Estimated New Cases 2023. Estimated Deaths 2023. Surveillance Research Program, Division of Cancer Control and Population Sciences, National Cancer Institute; based on the November 2022 submission.
  3. Siegel RL, Wagle NS, Cercek A, Smith RA, Jemal A. Colorectal cancer statistics, 2023. CA Cancer J Clin. 2023;73(3):233-254. doi:10.3322/caac.21772
  4. Done JZ, Fang SH. Young-onset colorectal cancer: a review. World J Gastrointest Oncol. 2021;13(8):856-866. doi:10.4251/wjgo.v13.i8.856
  5. Kızıltan R, Yılmaz Ö, Aras A, Çelik S, Kotan Ç. Factors affecting mortality in emergency surgery in cases of complicated colorectal cancer. Med Glas (Zenica). 2016;13(1):62-67. doi:10.17392/831-16
  6. Biondo S, Martí-Ragué J, Kreisler E, et al. A prospective study of outcomes of emergency and elective surgeries for complicated colonic cancer. Am J Surg. 2005;189(4):377-383. doi:10.1016/j.amjsurg.2005.01.009
  7. Peery AF, Crockett SD, Murphy CC, et al. Burden and cost of gastrointestinal, liver, and pancreatic diseases in the United States: update 2021. Gastroenterology. 2022;162(2):621-644. doi:10.1053/j.gastro.2021.10.017
  8. Peterman DE, Warren JA. Ventral hernia management in obese patients. Surg Clin North Am. 2021;101(2):307-321. doi:10.1016/j.suc.2020.12.014
  9. Giordano SA, Garvey PB, Baumann DP, Liu J, Butler CE. The impact of body mass index on abdominal wall reconstruction outcomes: a comparative study. Plast Reconstr Surg. 2017;139(5):1234-1244. doi:10.1097/PRS.0000000000003264
  10. Shanahan J, Vimalananda VG, Graham L, Schumann R, Mull HJ. Association between preoperative diabetes control and postoperative adverse events among Veterans Health Administration patients with diabetes who underwent elective ambulatory hernia surgery. JAMA Netw Open. 2023;6(3):e236318. doi:10.1001/jamanetworkopen.2023.6318
  11. Pastorino A, Alshuqayfi AA. Strangulated hernia. In: StatPearls [Internet]. StatPearls Publishing; 2024. Updated December 19, 2022. Accessed May 14, 2025. PMID: 32310432.
  12. Benfatto G, Catania G, Tenaglia L, et al. Abscess and cecum carcinoma in inguinal hernia: case report. G Chir. 2006;27(6-7):262-264.
  13. Mizuno H, Nagai H, Maeda S, Miyake H, Yoshioka Y, Yuasa N. Incarcerated sigmoid colon cancer in an inguinal hernia sac associated with an abdominal wall abscess: a case report. Surg Case Rep. 2019;5(1):189. doi:10.1186/s40792-019-0742-2
  14. Pisano M, Zorcolo L, Merli C, et al. 2017 WSES guidelines on colon and rectal cancer emergencies: obstruction and perforation. World J Emerg Surg. 2018;13:36. doi:10.1186/s13017-018-0192-3
  15. Chalabi M, Verschoor YL, van den Berg J, et al. LBA7 Neoadjuvant immune checkpoint inhibition in locally advanced MMR-deficient colon cancer: the NICHE-2 study. Ann Oncol. 2022;33(suppl 7):S1389. doi:10.1016/j.annonc.2022.08.016.
  16. Xiao B, Zhang X, Cao T, et al. Neoadjuvant immunotherapy leads to major response and low recurrence in localized mismatch repair–deficient colorectal cancer. J Natl Compr Canc Netw. 2023;21(1):60-66.e5. doi:10.6004/jnccn.2022.7060