Unsupported Browser
The American College of Surgeons website is not compatible with Internet Explorer 11, IE 11. For the best experience please update your browser.
Menu
Become a member and receive career-enhancing benefits

Our top priority is providing value to members. Your Member Services team is here to ensure you maximize your ACS member benefits, participate in College activities, and engage with your ACS colleagues. It's all here.

Become a Member
Become a member and receive career-enhancing benefits

Our top priority is providing value to members. Your Member Services team is here to ensure you maximize your ACS member benefits, participate in College activities, and engage with your ACS colleagues. It's all here.

Become a Member
ACS
ACS Case Reviews

Severe Loss of Domain Complicating Robotic Bilateral Morgagni Hernia Repair

Abstract

Background

Congenital diaphragmatic hernias (CDH) involve the protrusion of abdominal contents into the thoracic cavity through diaphragmatic defects. Morgagni hernias, resulting from failed fusion of the seventh costochondral arch with the pars sternalis, represent a rare anterior type, accounting for only 2-3% of CDH cases, and are predominantly right-sided (90%) due to pericardial buttressing. Chronic, large diaphragmatic hernias can lead to significant loss of abdominal domain (LOD), where the abdominal cavity volume is substantially reduced, posing considerable challenges for surgical repair and increasing the risk of postoperative complications due to elevated intra-abdominal pressures.

Summary

This report describes the case of a 50-year-old male with large, bilateral Morgagni hernias who initially underwent a combined minimally invasive repair utilizing robotic-assisted laparoscopy and right video-assisted thoracic surgery (VATS) with a Gore-Tex patch. Postoperatively, he experienced a complete diaphragmatic avulsion, attributed to severe LOD and acutely increased intra-abdominal pressure. This necessitated an emergent re-operation via right thoracotomy for diaphragmatic reconstruction using Gore-Tex mesh. This case underscores the formidable challenges encountered in repairing large, chronic diaphragmatic hernias with significant LOD and explores the potential utility of adapting preoperative optimization techniques from complex abdominal wall reconstruction—such as progressive preoperative pneumoperitoneum and botulinum toxin A injections into the lateral abdominal wall muscles—to improve abdominal cavity compliance and muscle length for these difficult diaphragmatic repairs.

Conclusion

Repair of large bilateral Morgagni hernias complicated by severe loss of domain presents a substantial surgical challenge, with a high risk of postoperative failure, such as diaphragmatic avulsion, as illustrated in this rare case. This report highlights the critical impact of LOD on diaphragmatic hernia repair outcomes and strongly advocates for the consideration and further investigation of preoperative strategies, including progressive preoperative pneumoperitoneum and botulinum toxin A injections, to optimize patient preparedness and potentially mitigate such devastating complications in select high-risk patients.

Key Words

minimally invasive surgery; diaphragm hernia; loss of abdominal domain; progressive preoperative pneumoperitoneum; Botulinum toxin injection


Case Description

Bilateral Morgagni hernias are rare congenital diaphragmatic defects arising from the failure of fusion between the seventh costochondral arch and the pars sternalis. Chronic, large diaphragmatic hernias often present significant reconstructive challenges due to the phenomenon of loss of abdominal domain (LOD). LOD occurs when the volume of herniated visceral content exceeds the functional capacity of the abdominal cavity, thereby compromising the ability to achieve a tension-free hernia repair and elevating the risk of postoperative complications such as abdominal compartment syndrome, fascial dehiscence, respiratory compromise, or impaired bowel function.

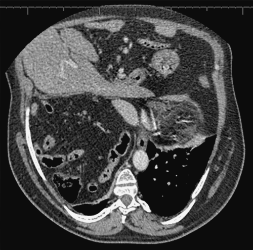
We present the case of a 50-year-old male with a remote history of a repaired left congenital diaphragmatic hernia in infancy and chronic obstructive pulmonary disease requiring 2 liters/minute of supplemental oxygen (with no history of tobacco use). He presented with chronic shortness of breath, dyspnea on exertion, and orthopnea. Pulmonary evaluation led to a chest computed tomography (CT) scan, which revealed an exceptionally large right diaphragmatic hernia containing significant portions of the liver, mesenteric fat, and loops of both small and large bowel herniated into the right hemithorax (Figure 1). He was subsequently referred for thoracic surgical consultation for diaphragmatic hernia repair.

Figure 1. Preoperative CT of Large Right Diaphragmatic Hernia. Published with Permission

A.

B.

Axial views from a preoperative CT scan of the chest and abdomen. Note a large right-sided diaphragmatic hernia with substantial herniation of abdominal contents, including segments of the liver, mesenteric fat, and loops of small and large bowel, into the right hemithorax
Axial views from a preoperative CT scan of the chest and abdomen. Note a large right-sided diaphragmatic hernia with substantial herniation of abdominal contents, including segments of the liver, mesenteric fat, and loops of small and large bowel, into the right hemithorax

Figure 2. Intraoperative View of Bilateral Morgagni Hernias and Contents. Published with Permission

A.

B.

Intraoperative photographs depicting the anterior diaphragm with bilateral Morgagni hernia defects. The larger right-sided defect is shown containing herniated loops of small bowel, while the left-sided defect contained omentum prior to reduction
Intraoperative photographs depicting the anterior diaphragm with bilateral Morgagni hernia defects. The larger right-sided defect is shown containing herniated loops of small bowel, while the left-sided defect contained omentum prior to reduction

Due to the difficulty in mobilizing the large bowel and lysing extensive adhesions, a combined right video-assisted thoracic surgery (VATS) and robotic-assisted laparoscopic approach was utilized to achieve complete reduction of the herniated viscera and excision of the hernia sac. Once the abdominal contents were fully reduced into the peritoneal cavity, attention was turned to the diaphragmatic defects using the robotic platform. A profound loss of domain became immediately apparent upon reduction of the viscera (Figure 3). Insufflation, even at increased pressures, provided inadequate visualization and minimal working space for robotic instrumentation, confirming acute LOD. Each defect was then repaired individually using a 2 mm thick Gore-Tex mesh, tailored and secured as an inlay graft with initial 0-silk horizontal mattress corner sutures followed by a running 0-V-Lock nonabsorbable suture circumferentially (Figure 4). The mesh was anchored to the anterior abdominal wall. The smaller left-sided defect was primarily closed with interrupted 0-silk horizontal sutures. The assistant port site was closed using a Carter-Thomason suture passer with #1 Vicryl, while robotic port sites were closed with 2-0 Vicryl subdermal sutures followed by 4-0 Monocryl subcuticular sutures.

Figure 3. Intraoperative Demonstration of Loss of Abdominal Domain. Published with Permission

Figure 4. Mesh Repair of Bilateral Diaphragmatic Hernia Defects. Published with Permission

Intraoperative photograph showing the prosthetic repair of the bilateral Morgagni hernia defects using a tailored Gore-Tex (polytetrafluoroethylene) mesh
Intraoperative photograph showing the prosthetic repair of the bilateral Morgagni hernia defects using a tailored Gore-Tex (polytetrafluoroethylene) mesh

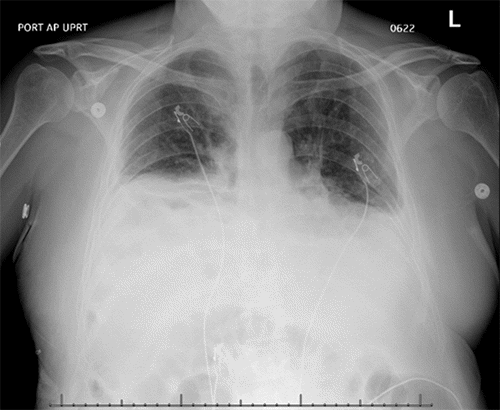
An immediate postoperative chest X-ray (CXR) demonstrated an appropriate position of the right hemidiaphragm (Figure 5). Serial bladder pressure measurements were monitored for potential abdominal compartment syndrome due to the LOD; on postoperative day (POD) 0, bladder pressure was 16 mmHg. The patient required reintubation on POD 1 due to concerns for delirium tremens. On POD 4, he was successfully extubated and placed on 15 L/min of oxygen via nasal cannula. Concurrently, his bladder pressure acutely decreased to 9 mmHg. A follow-up CXR obtained after extubation revealed a significant elevation of the right hemidiaphragm (Figure 6). This finding, coupled with the change in bladder pressure and concern for herniated bowel visible on CXR, prompted an urgent CT scan of the chest. The CT confirmed recurrence of a large right diaphragmatic hernia containing the liver, small bowel, and colon.

Figure 5. Immediate Postoperative Chest X-ray (POD 0). Published with Permission

Anteroposterior chest X-ray obtained on postoperative day 0, immediately following the initial diaphragmatic hernia repair
Anteroposterior chest X-ray obtained on postoperative day 0, immediately following the initial diaphragmatic hernia repair

Figure 6. Chest X-ray on Postoperative Day 4 Demonstrating Right Hemidiaphragm Elevation. Published with Permission

Anteroposterior chest X-ray obtained on POD 4. Note marked elevation of the right hemidiaphragm compared to the immediate postoperative study (Figure 5), raising suspicion for diaphragmatic hernia recurrence or repair failure
Anteroposterior chest X-ray obtained on POD 4. Note marked elevation of the right hemidiaphragm compared to the immediate postoperative study (Figure 5), raising suspicion for diaphragmatic hernia recurrence or repair failure

The patient returned to the operating room for a revision procedure, initially attempted via a right VATS approach. However, the hemithorax was found to be densely packed with the right lobe of the liver and extensive loops of small bowel, obscuring any view of the diaphragm and necessitating conversion to a right posterolateral thoracotomy. Intraoperative findings revealed that while the original Morgagni defect repair and the portion of the diaphragm adjacent to the pericardium were intact, the anterior segment of the diaphragm had completely avulsed from its costal and sternal insertions. An approximately 4 cm cuff of diaphragm remained posteriorly. The diaphragm was reconstructed using a 20 × 30 cm, 2 mm thick Gore-Tex patch. This was secured to the residual posterior diaphragmatic rim with pledgeted #1 Ethibond sutures in a horizontal mattress fashion. Anteriorly, after reducing the intra-abdominal contents, the mesh was anchored to the 9th rib using a combination of horizontal mattress sutures and a surgical drill for suture passage. The ribs were reapproximated with #2 Vicryl pericostal sutures to prevent lung herniation. The serratus anterior and latissimus dorsi muscles were reapproximated with #0 Vicryl sutures, followed by layered closure of the deep dermal (2-0 Vicryl) and subcuticular (4-0 Monocryl) layers, with Dermabond applied to the skin.

The patient’s postoperative course following the second surgery was uncomplicated. He was discharged on the third postoperative day of this admission, corresponding to a total initial hospital length of stay of nine days. At his 90-day outpatient follow-up, he was recovering well without complaints of abdominal or chest pain. However, he continued to report dyspnea on exertion and required supplemental oxygen. He is currently engaged in a pulmonary rehabilitation program to improve his respiratory endurance and breathing capacity.

Discussion

This case critically highlights the formidable challenges associated with the surgical management of large, chronic diaphragmatic hernias when complicated by significant LOD. LOD, defined by a volume of herniated viscera exceeding the functional capacity of the abdominal cavity, fundamentally compromises the ability to achieve a tension-free diaphragmatic repair. In our patient, this manifested postoperatively as a complete diaphragmatic avulsion. Retrospectively, the sudden elevation of the right hemidiaphragm on chest X-ray, concurrent with an acute drop in bladder pressure, strongly suggested that this diaphragmatic failure likely occurred during the patient’s spontaneous breathing trial or immediately following extubation. Increased intra-abdominal pressure, such as that generated by coughing or strenuous respiratory efforts against a newly reduced visceral mass, is a known risk factor for repair disruption. Normal transdiaphragmatic pressure gradients range from 7 to 20 cm H₂O, but forced inspiration can escalate this to 100 cm H₂O, and pressures between 150 to 200 cm H₂O have been implicated in diaphragmatic rupture.1 The combination of an acutely increased pressure gradient across the repaired diaphragm during extubation and the patient’s inherently high intra-abdominal pressure due to LOD likely overwhelmed the initial repair, resulting in avulsion. This experience underscores the urgent need for preoperative strategies to optimize patients with chronic diaphragmatic hernias and substantial LOD.

To date, there are no clearly defined criteria or standardized protocols for addressing LOD specifically in patients undergoing diaphragmatic hernia repair. This contrasts with the management of large complex ventral/incisional hernias, where LOD is a well-recognized challenge. In both scenarios, the reintroduction of chronically herniated viscera into an underutilized abdominal cavity can lead to acutely elevated intra-abdominal pressure, increasing the risk of abdominal compartment syndrome, fascial or repair dehiscence, respiratory compromise, and impaired bowel function. Consequently, surgical planning for large ventral hernias with LOD routinely incorporates methods to preoperatively enlarge the functional abdominal space or increase abdominal wall compliance. Techniques such as myofascial releases (e.g., component separation), progressive preoperative pneumoperitoneum (PPP), placement of tissue expanders, and chemical component separation with botulinum toxin A (BTA) injections are established adjuncts. We propose that these principles and techniques, proven effective for ventral hernias, can and should be adapted for the preoperative optimization of select patients with chronic diaphragmatic hernias and significant LOD.

Progressive preoperative pneumoperitoneum has been incorporated in the repair of complex hernias to gradually stretch the abdominal wall, thereby lengthening the anterolateral abdominal muscles and increasing the overall volume of the abdominal cavity. While clear guidelines for PPP in diaphragmatic hernia repair are lacking, its application could be considered for elective repair of large diaphragmatic hernias if there are concerns for LOD, particularly if the hernia sac volume to abdominal cavity volume (HSV/ACV) ratio is ≥25%, if a dedicated multidisciplinary team (including thoracic surgery, abdominal wall reconstruction specialists, and interventional radiology) is available, and if the transverse hernia defect width exceeds 10 cm. PPP techniques vary by institution regarding the daily volume of air administered and the duration of preoperative insufflation. Reported complications include respiratory and abdominal discomfort, subcutaneous emphysema, pneumothorax, and rarely, bowel perforation or abdominal compartment syndrome. Studies indicate that patient selection based on HSV/ACV calculations (e.g., ≥25%) can predict benefit.2 Our patient, with a calculated preoperative HSV/ACV of 37% (3.46 L / 9.315 L), would likely have benefited from PPP. Prospective studies in ventral hernia populations have demonstrated that PPP can increase mean abdominal volume significantly (e.g., from 38% to 53% of the total required volume), often permitting complete hernia reduction and primary fascial closure.3 Another study highlighted PPP (0.9 to 1 L of daily air for 12 days) as a safe tool that decreases abdominal wall tension, expands the abdominal cavity to accommodate reduced viscera, and improves organ system adaptation to the restored anatomy.4

Botulinum toxin A injection into the lateral abdominal wall musculature (external oblique, internal oblique, and transversus abdominis) offers another avenue for “chemical component separation.” This technique temporarily paralyzes these muscles, leading to their elongation and increased compliance of the abdominal wall, thereby facilitating complex hernia repairs.5 Currently, no specific guidelines exist for BTA use in diaphragmatic hernia repair. However, by analogy with ventral hernia management, BTA could be considered in patients with large transverse diaphragmatic hernia defects (e.g., >10 cm) or significant LOD (e.g., mean HSV/ACV ratio of approximately 20% or greater) (Table 1).6 BTA injections are typically performed under ultrasound guidance approximately 30 days before the planned surgery, with an average total dose of 300 units distributed across multiple injection points per side. Reported benefits include an average muscle length gain of around 5 cm per side, improved postoperative pain control, and reduced opioid requirements.6 Importantly, major complications associated with BTA injections for this indication are rare. A synergistic effect has been reported with the combination of PPP and BTA in managing hernias with severe LOD, with one study demonstrating a low recurrence rate (5.7%) after 4 weeks of BTA followed by 1-2 weeks of PPP prior to surgery.7 While our patient did not receive either PPP or BTA preoperatively, in hindsight, the incorporation of one or both techniques might have increased abdominal domain sufficiently to reduce the tension on the diaphragmatic repair and potentially mitigate the risk of avulsion.

Criteria/Factor

Concern for loss of abdominal domain in a diaphragm hernia not containing strangulated or perforated bowel

Hernia sac volume ratio to abdominal cavity ratio >25%

Transverse hernia width >10cm

Available multidisciplinary team of experts in diaphragm hernia repair, abdominal wall reconstruction, interventional radiology

Table 1. Clinical Scenarios Warranting Consideration of Preoperative PPP and BTA for Complex Diaphragmatic Hernias

Criteria/Factor

Concern for loss of abdominal domain in a diaphragm hernia not containing strangulated or perforated bowel

Hernia sac volume ratio to abdominal cavity ratio >25%

Transverse hernia width >10cm

Available multidisciplinary team of experts in diaphragm hernia repair, abdominal wall reconstruction, interventional radiology

Conclusion

Large diaphragmatic hernias and large ventral hernias share the fundamental challenge of safely reintroducing visceral contents into an abdominal cavity that has lost domain. While established criteria for managing LOD in diaphragmatic hernia repair are lacking, the principles and techniques successfully employed for complex ventral hernias, such as PPP and BTA-induced chemical component separation, warrant systematic investigation and potential incorporation into future management algorithms for chronic diaphragmatic hernias with significant LOD. Our goal should be to standardize preoperative assessment and optimize these high-risk patients to improve surgical outcomes and reduce severe complications like diaphragmatic repair failure.

Lessons Learned

This complex case critically underscores the profound impact of LOD in large diaphragmatic hernia repair, where the acute reintroduction of chronically displaced viscera into a contracted abdominal cavity can precipitate catastrophic, tension-mediated repair failure, such as the diaphragmatic avulsion observed here. A pivotal lesson, therefore, is the necessity of preoperative optimization for high-risk patients, drawing upon strategies established in complex ventral hernia management. Specifically, adjunctive techniques like PPP, to gradually expand intra-abdominal volume and stretch the abdominal wall, and chemical component separation with BTA injections, to induce temporary flaccid paralysis and elongation of the lateral abdominal wall musculature for increased compliance, warrant serious consideration and further investigation for their application in diaphragmatic hernia surgery. The judicious and tailored incorporation of such preoperative conditioning measures holds significant potential to mitigate the formidable reconstructive challenges posed by LOD, facilitate a more durable, tension-free diaphragmatic repair, and ultimately improve surgical outcomes in these demanding clinical scenarios.

Authors

Lee C; Jamil K

Author Affiliation

Department of Surgery, Corewell Health Hospital, Dearborn, MI 48124

Corresponding Author

Cecilia Lee, DO
Department of Surgery
Corewell Health Hospital
18101 Oakwood Boulevard
Dearborn, MI 48124
Email: cecilia.lee@corewellhealth.org

Disclosure Statement

The authors have no conflicts of interest to disclose.

Funding/Support

The authors have no relevant financial relationships or in-kind support to disclose.

Received: July 17, 2024
Revision received: October 29, 2024
Accepted: February 7, 2025

References

  1. Vitello DJ, Bermudez-Allende M, Vitello JM. Cough-induced rupture of the diaphragm. ACS Case Rev Surg. 2021;3(3):56-59.
  2. Tanaka EY, Yoo JH, Rodrigues AG, Utiyama EM, Birolini D, Rasslan S. A computerized tomography scan method for calculating the hernia sac and abdominal cavity volume in complex large incisional hernia with loss of domain. Hernia. 2010;14(1):63-69. doi:10.1007/s10029-009-0560-8. PMID:19756913.
  3. Renard Y, Lardière-Deguelte S, de Mestier L, et al. Management of large incisional hernias with loss of domain: a prospective series of patients prepared by progressive preoperative pneumoperitoneum. Surgery. 2016;160(2):426-435. doi:10.1016/j.surg.2016.03.033. Epub 2016 Jun 1. PMID:27262533.
  4. Mcadory RS, Cobb WS, Carbonell AM. Progressive preoperative pneumoperitoneum for hernias with loss of domain. Am Surg. 2009;75(6):504-508; discussion 508-509. PMID:19545099.
  5. Catalán-Garza V, Peña-Soria MJ, Sáez-Carlin P, Cabeza-Gómez JJ, García-Fernández A, Torres-García AJ. Long-term results of botulinum toxin type A in complex abdominal wall repair and review of the literature. Updates Surg. 2020;72(4):1201-1206. doi:10.1007/s13304-020-00775-w. Epub 2020 May 7. PMID:32382958.
  6. Seretis F, Chrysikos D, Samolis A, Troupis T. Botulinum toxin in the surgical treatment of complex abdominal hernias: a surgical anatomy approach, current evidence and outcomes. In Vivo. 2021;35(4):1913-1920. doi:10.21873/invivo.12457. PMID:34182463; PMCID:PMC8286485.
  7. Bueno-Lledó J, Torregrosa A, Jiménez R, Pastor PG. Preoperative combination of progressive pneumoperitoneum and botulinum toxin type A in patients with loss of domain hernia. Surg Endosc. 2018;32(8):3599-3608. doi:10.1007/s00464-018-6089-0. Epub 2018 Feb 15. PMID:29450631.