Unsupported Browser
The American College of Surgeons website is not compatible with Internet Explorer 11, IE 11. For the best experience please update your browser.
Menu
Become a member and receive career-enhancing benefits

Our top priority is providing value to members. Your Member Services team is here to ensure you maximize your ACS member benefits, participate in College activities, and engage with your ACS colleagues. It's all here.

Become a Member
Become a member and receive career-enhancing benefits

Our top priority is providing value to members. Your Member Services team is here to ensure you maximize your ACS member benefits, participate in College activities, and engage with your ACS colleagues. It's all here.

Become a Member
ACS
ACS Case Reviews

Severe Enteritis due to IgA Vasculitis Leading to Negative Laparotomy for Suspected Bowel Obstruction in an Adult

Abstract

Background

Immunoglobulin A (IgA) vasculitis, formerly Henoch-Schönlein purpura, is a common systemic vasculitis predominantly affecting children, classically characterized by a tetrad of palpable purpura, arthritis/arthralgias, abdominal pain, and renal disease. While gastrointestinal manifestations are frequent, severe presentations in adults mimicking acute surgical emergencies, such as closed-loop small bowel obstruction, are uncommon and pose significant diagnostic challenges. This report aims to describe such a case and review relevant literature to better inform surgeons encountering this clinical scenario.

Summary

We present the case of a 55-year-old male with a recent diagnosis of IgA vasculitis, for which he was receiving oral steroid therapy, who presented with sudden-onset, severe abdominal pain. Initial diagnostic imaging was highly concerning for a closed-loop small bowel obstruction. Consequently, the patient underwent an emergent exploratory laparotomy. Intraoperatively, no mechanical obstruction was identified; instead, extensive, diffuse vasculitic changes involving significant portions of the small bowel were the prominent finding, presumed to be the cause of his acute symptoms.

Conclusion

New-onset IgA vasculitis in the adult population is relatively uncommon, and its presentation as an acute abdomen with severe enteric inflammation mimicking a mechanical closed-loop bowel obstruction is exceptionally rare. This case underscores the diagnostic dilemma faced when such patients present with acute abdominal symptoms and concerning imaging. While IgA vasculitis should be considered in the differential diagnosis, particularly in patients with a known history, the standard of care appropriately dictates operative exploration when clinical and radiographic findings suggest an acute intra-abdominal catastrophe potentially requiring surgical intervention.

Key Words

IgA vasculitis; Henoch-Schönlein purpura; acute abdominal pain; surgical mimic


Case Description

A 55-year-old male with a pertinent past medical history of newly diagnosed Immunoglobulin A (IgA) vasculitis (Figure 1), non-insulin-dependent type 2 diabetes mellitus, obesity, a remote history of immune thrombocytopenia, hypertension, and hyperlipidemia, presented to the emergency department with acute-onset, localized abdominal pain in the left upper quadrant. He reported associated mild nausea and one episode of non-bloody, non-bilious emesis. His bowel function was reportedly normal, with his last bowel movement occurring prior to the onset of his abdominal pain. He had no prior abdominal surgical history.

Figure 1. Cutaneous Manifestations of IgA Vasculitis. Published with Permission

Clinical photographs illustrating the characteristic palpable purpuric rash associated with IgA vasculitis, distributed over the upper and lower extremities
Clinical photographs illustrating the characteristic palpable purpuric rash associated with IgA vasculitis, distributed over the upper and lower extremities

In the emergency department, a computed tomography (CT) scan of the abdomen and pelvis with intravenous contrast was obtained. The imaging revealed significant circumferential thickening of multiple small bowel loops with associated adjacent mesenteric edema and distal small bowel decompression. These findings were highly concerning for a closed-loop small bowel obstruction (Figure 2).

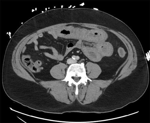
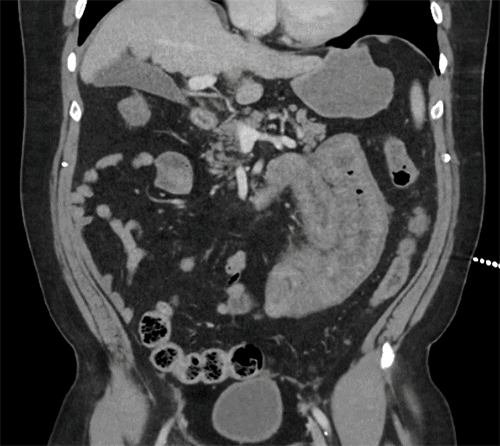
Figure 2. CT Findings of Small Bowel Vasculitis. Published with Permission

Contrast-enhanced CT scans of the abdomen. The images demonstrate diffuse, circumferential wall thickening of multiple small bowel loops accompanied by adjacent mesenteric edema and inflammatory stranding. Decompressed distal small bowel segments are also noted, features which, in this clinical context, were attributed to severe enteric vasculitis rather than mechanical obstruction
Contrast-enhanced CT scans of the abdomen. The images demonstrate diffuse, circumferential wall thickening of multiple small bowel loops accompanied by adjacent mesenteric edema and inflammatory stranding. Decompressed distal small bowel segments are also noted, features which, in this clinical context, were attributed to severe enteric vasculitis rather than mechanical obstruction

Given the acute presentation and concerning imaging findings, the decision was made for urgent operative intervention. The patient was immediately initiated on goal-directed intravenous fluid resuscitation and received preoperative antibiotics.

Abdominal access was achieved via an upper midline laparotomy. The small intestine was systematically eviscerated and inspected in its entirety from the ligament of Treitz to the ileocecal valve, followed by a similar thorough inspection of the colon. Approximately 20 cm distal to the ligament of Treitz, a 30 cm segment of proximal small bowel exhibited a striking “beefy-red” discoloration and circumferential erythema. Additionally, scattered, more discrete areas of erythema were noted extending distally along both the small bowel and the colon. Critically, no mechanical closed-loop bowel obstruction, adhesive bands, or other anatomical cause for obstruction was identified. No bowel resection was performed. A nasogastric tube was placed for ongoing gastric decompression, and the abdomen was subsequently closed in standard fashion.

The patient’s postoperative course was complicated by a prolonged ileus. He was ultimately discharged on postoperative day (POD) 5. However, he was readmitted on POD 8 due to hematochezia. Endoscopic evaluation (upper endoscopy and colonoscopy) revealed only punctate erythema in the stomach and terminal ileum (Figure 3). His gastrointestinal bleeding and abdominal symptoms resolved with continued medical management of his underlying IgA vasculitis, primarily consisting of oral steroid therapy.

Figure 3. Endoscopic Appearance of Gastric Involvement in IgA Vasculitis. Published with Permission

Upper endoscopic view of the gastric body. The image displays diffuse mucosal erythema, friability, consistent with active gastroduodenal inflammation. Subsequent biopsies from these erythematous areas confirmed underlying vasculitis
Upper endoscopic view of the gastric body. The image displays diffuse mucosal erythema, friability, consistent with active gastroduodenal inflammation. Subsequent biopsies from these erythematous areas confirmed underlying vasculitis

Discussion

Immunoglobulin A vasculitis, historically known as Henoch-Schönlein purpura, is an immune-mediated vasculitis associated with IgA and complement deposition and neutrophil recruitment.1 While the precise etiology of IgAV remains unknown, a confluence of genetic predispositions, environmental exposures, infectious agents, and chemical triggers has been implicated in its pathogenesis.2,3 IgAV predominantly manifests in the pediatric population, with a reported incidence ranging from 3 to 27 per 100,000 children.4 In contrast, adult-onset IgAV is considerably less common, occurring with an estimated annual incidence of approximately 0.8 to 5 per 1,000,000 individuals.5,6 The disease classically presents with a tetrad of clinical features: palpable purpura (typically over dependent areas), arthritis or arthralgias, abdominal pain, and renal involvement, although the complete tetrad is observed in a minority of patients.7 In pediatric cases, a seasonal predilection has been noted, with occurrences mainly in the fall, winter, and spring, and rarely in the summer.8,9

The American College of Rheumatology (ACR) established diagnostic criteria for IgAV in 1990, which include: palpable purpura (in the absence of thrombocytopenia), age at onset ≤20 years, acute abdominal pain (diffuse, colicky, often postprandial), and biopsy evidence of granulocytes in the walls of small arterioles or venules. The presence of two or more of these criteria has demonstrated a sensitivity and specificity of approximately 87% and 88%, respectively, for classifying IgAV compared to other vasculitides.10

Clinical manifestations of IgAV typically evolve over days to weeks. Cutaneous purpura and joint pain are often the initial presenting symptoms, with purpura being the first sign in approximately 75% of cases.11 Arthralgias are the second most common feature, followed by colicky abdominal pain and gastrointestinal (GI) bleeding.12,13 GI involvement is frequent and can range in severity from mild symptoms such as nausea, vague abdominal pain, and emesis, to more severe complications including significant GI hemorrhage, cholecystitis, intussusception, bowel ischemia or necrosis, and, rarely, perforation.14,15 The abdominal pain associated with IgAV is attributed to submucosal hemorrhage and edema, which can result in purpuric lesions visible on the bowel wall during operative exploration or endoscopy.

The diagnosis of IgAV is generally straightforward in children presenting with the classic constellation of palpable purpura, arthralgia, and abdominal pain. In such instances, a clinical diagnosis is often sufficient. However, for patients with atypical presentations, or in the adult population where the disease is less common and the differential diagnosis broader,5,6 a biopsy is often warranted to confirm the diagnosis.16 Skin biopsy of a purpuric lesion is the preferred initial diagnostic procedure, typically demonstrating leukocytoclastic vasculitis in postcapillary venules with IgA deposition on immunofluorescence.17

The differential diagnosis for IgAV includes other small-vessel vasculitides (e.g., hypersensitivity vasculitis), autoimmune disorders (such as juvenile idiopathic arthritis or systemic lupus erythematosus), acute rheumatic fever, and reactive arthritis. When abdominal pain is a prominent feature, the differential expands to include common surgical emergencies like appendicitis, cholecystitis, ovarian or testicular torsion, intussusception from other causes, or infectious enteritis. Distinguishing IgAV-related abdominal pain from these conditions can be particularly challenging if abdominal symptoms precede the onset of the characteristic purpuric rash.

Management of IgAV is primarily supportive, focusing on adequate hydration, symptomatic relief of pain and nausea, and rest.18 Non-steroidal anti-inflammatory drugs (NSAIDs) or acetaminophen are generally sufficient for managing arthralgias. A tapering course of corticosteroids is often employed for more significant inflammatory manifestations, particularly severe abdominal or joint pain, and for renal involvement.19 Consultation with a rheumatologist should be considered for patients with systemic or severe disease. In rare instances where severe bowel inflammation leads to hemodynamic instability, peritonitis, or suspicion of an acute surgical catastrophe (as mimicked in the presented case), emergent abdominal operative exploration is warranted to rule out perforation, infarction, or other surgically correctable pathology.

Conclusion

Immunoglobulin A vasculitis manifesting in adulthood is uncommon, and its presentation with severe enteric inflammation mimicking an acute surgical abdomen, such as a closed-loop bowel obstruction, is an exceptionally rare clinical scenario. This case report underscores the diagnostic challenges inherent in such presentations. While the standard of care for a suspected acute abdomen appropriately dictates emergent operative exploration, this case highlights that, on rare occasions, a non-mechanical, inflammatory process like vasculitis may be the underlying etiology. The operative intervention, though revealing no surgical pathology requiring correction, was crucial in excluding an immediate life-threatening condition. Reporting this experience contributes to the limited body of literature on severe gastrointestinal manifestations of adult IgAV, aiming to inform the clinical decision-making process for surgeons confronted with similar diagnostic dilemmas.

Lessons Learned

While IgAV is predominantly a pediatric disease, it can occur in adults and present with a wide spectrum of symptoms, including severe abdominal pain that mimics an acute surgical emergency. Although the mainstay of treatment for acute flares of IgAV is corticosteroids and supportive care, the presence of signs and symptoms strongly suggestive of an acute intra-abdominal catastrophe necessitates emergent surgical exploration to rule out conditions requiring immediate operative correction. Finally, a “negative” laparotomy in the context of suspected acute bowel obstruction, which instead reveals diffuse bowel wall inflammation attributable to vasculitis, should not be viewed as a diagnostic failure but rather as a critical step that excludes surgical emergencies and allows for the prompt institution or intensification of appropriate medical therapy for the underlying IgAV.

Authors

Kruithoff BCa,b; Thomas Ja,b; Massullo Ja

Author Affiliations

  1. Department of Surgery, Ohio Health Doctors Hospital, Columbus, OH 43228
  2. Department of Surgery, Ohio Health Grant Medical Center, Columbus, OH 43215

Corresponding Author

Bradley C. Kruithoff, DO
Department of Surgery
5100 W. Broad Street
Columbus, OH 43228
Email: brad.kruithoff@ohiohealth.com

Disclosure Statement

The authors have no conflicts of interest to disclose.

Funding/Support

The authors have no relevant financial relationships or in-kind support to disclose.

Received: July 3, 2024
Revision received: October 16, 2024
Accepted: December 3, 2024

References

  1. Jennette JC, Falk RJ, Bacon PA, et al. 2012 revised International Chapel Hill Consensus Conference nomenclature of vasculitides. Arthritis Rheum. 2013;65(1):1-11. doi:10.1002/art.37715
  2. Levy M, Broyer M, Arsan A, Levy-Bentolila D, Habib R. Anaphylactoid purpura nephritis in childhood: natural history and immunopathology. Adv Nephrol Necker Hosp. 1976;6:183-228. PMID:139081.
  3. Hwang HH, Lim IS, Choi BS, Yi DY. Analysis of seasonal tendencies in pediatric Henoch–Schönlein purpura and comparison with outbreak of infectious diseases. Medicine (Baltimore). 2018;97(36):e12217. doi:10.1097/md.0000000000012217
  4. Oni L, Sampath S. Childhood IgA vasculitis (Henoch Schönlein purpura)—advances and knowledge gaps. Front Pediatr. 2019;7:257. doi:10.3389/fped.2019.00257
  5. Blanco R, Martínez-Taboada VM, Rodríguez-Valverde V, García-Fuentes M, González-Gay MA. Henoch-Schönlein purpura in adulthood and childhood: two different expressions of the same syndrome. Arthritis Rheum. 1997;40(5):859-864. doi:10.1002/art.1780400513
  6. Hočevar A, Rotar Z, Ostrovršnik J, et al. Incidence of IgA vasculitis in the adult Slovenian population. Br J Dermatol. 2014;171(3):524-527. doi:10.1111/bjd.12946
  7. Gómez S, Pérez M, Pellegrini M, et al. Henoch-Schonlein purpura in pediatrics: Ten years of experience at a moderate risk office of a general hospital. Púrpura de Schonlein-Henoch en pediatría: Diez años de experiencia en un consultorio de moderado riesgo en un hospital general. Arch Argent Pediatr. 2020;118(1):31-37. doi:10.5546/aap.2020.eng.31
  8. Leung AKC, Barankin B, Leong KF. Henoch-Schönlein purpura in children: an updated review. Curr Pediatr Rev. 2020;16(4):265-276. doi:10.2174/1573396316666200508104708
  9. Piram M, Maldini C, Biscardi S, et al. Incidence of IgA vasculitis in children estimated by four-source capture–recapture analysis: a population-based study. Rheumatology (Oxford). 2017;56(8):1358-1366. doi:10.1093/rheumatology/kex158
  10. Mills JA, Michel BA, Bloch DA, et al. The American College of Rheumatology 1990 criteria for the classification of Henoch-Schönlein purpura. Arthritis Rheum. 1990;33(8):1114-1121. doi:10.1002/art.1780330809
  11. Jauhola O, Ronkainen J, Koskimies O, et al. Clinical course of extrarenal symptoms in Henoch-Schonlein purpura: a 6-month prospective study. Arch Dis Child. 2010;95(11):871-876. doi:10.1136/adc.2009.167874
  12. Trapani S, Micheli A, Grisolia F, et al. Henoch Schonlein purpura in childhood: epidemiological and clinical analysis of 150 cases over a 5-year period and review of literature. Semin Arthritis Rheum. 2005;35(3):143-153. doi:10.1016/j.semarthrit.2005.08.007
  13. Feldt RH, Stickler GB. The gastrointestinal manifestations of anaphylactoid purpura in children. Proc Staff Meet Mayo Clin. 1962;37:465-473. PMID:13892165.
  14. Chang WL, Yang YH, Lin YT, Chiang BL. Gastrointestinal manifestations in Henoch-Schönlein purpura: a review of 261 patients. Acta Paediatr. 2004;93(11):1427-1431. doi:10.1080/08035250410020181
  15. Kumon Y, Hisatake K, Chikamori M, et al. A case of vasculitic cholecystitis associated with Schönlein-Henoch purpura in an adult. Gastroenterol Jpn. 1988;23(1):68-72. doi:10.1007/BF02918859
  16. Ozen S, Marks SD, Brogan P, et al. European consensus-based recommendations for diagnosis and treatment of immunoglobulin A vasculitis—the SHARE initiative. Rheumatology (Oxford). 2019;58(9):1607-1616. doi:10.1093/rheumatology/kez041
  17. Jennette JC, Falk RJ. Small-vessel vasculitis. N Engl J Med. 1997;337(21):1512-1523. doi:10.1056/nejm199711203372106
  18. Maritati F, Canzian A, Fenaroli P, Vaglio A. Adult-onset IgA vasculitis (Henoch-Schönlein): update on therapy. Presse Med. 2020;49(3):104035. doi:10.1016/j.lpm.2020.104035
  19. Saulsbury FT. Henoch-Schönlein purpura in children: report of 100 patients and review of the literature. Medicine (Baltimore). 1999;78(6):395-409. doi:10.1097/00005792-199911000-00005