Unsupported Browser
The American College of Surgeons website is not compatible with Internet Explorer 11, IE 11. For the best experience please update your browser.
Menu
Become a member and receive career-enhancing benefits

Our top priority is providing value to members. Your Member Services team is here to ensure you maximize your ACS member benefits, participate in College activities, and engage with your ACS colleagues. It's all here.

Become a Member
Become a member and receive career-enhancing benefits

Our top priority is providing value to members. Your Member Services team is here to ensure you maximize your ACS member benefits, participate in College activities, and engage with your ACS colleagues. It's all here.

Become a Member
ACS
ACS Case Reviews

A Rare Cause of Pneumoperitoneum: Emphysematous Gastritis Leading to Portal Venous Gas Causing Liver Capsule Tear and Pneumoperitoneum

Abstract

Background

Emphysematous gastritis is a rare and highly morbid condition characterized by intramural gastric infection with gas-forming bacteria. Diagnosis is typically established via computed tomography (CT), which often reveals ominous findings such as air within the gastric wall and portal venous gas (PVG); gastric perforation, manifesting as pneumoperitoneum, is a recognized and severe complication. While a growing body of literature details the successful conservative management of select cases of emphysematous gastritis, this report describes an unusual presentation where pneumoperitoneum resulted not from gastric perforation, but from the escape of extensive PVG through a tear in the liver capsule.

Summary

A 51-year-old male with poorly controlled diabetes mellitus presented with abdominal pain, altered mental status, and lactic acidosis. Imaging confirmed emphysematous gastritis with extensive PVG and associated pneumoperitoneum. Emergent diagnostic laparoscopy and esophagogastroduodenoscopy (EGD) were performed, revealing no evidence of gastric perforation or ischemic bowel. Intraoperatively, a defect in the left liver capsule was identified, with gas observed emanating from this site, providing an explanation for the pneumoperitoneum. Following diagnostic exploration and placement of an abdominal drain, no further surgical intervention was required. The patient was successfully managed with bowel rest, intravenous antibiotics, and supportive care.

Conclusion

Emphysematous gastritis is an infrequent and often fatal infection. While current literature increasingly supports conservative management in hemodynamically stable patients without perforation, the presence of pneumoperitoneum typically necessitates surgical exploration to rule out visceral perforation. This case presents a unique etiology of pneumoperitoneum in the setting of emphysematous gastritis: rupture of the hepatic capsule due to extensive portal venous gas accumulation. Once gastric and intestinal ischemia or perforation were excluded via laparoscopy and EGD, the patient was successfully managed non-operatively, highlighting that pneumoperitoneum in this context does not invariably mandate gastric resection if a non-gastric source is identified and visceral integrity is confirmed.

Key Words

emphysematous gastritis; pneumoperitoneum; portal venous gas; hepatic capsule; rupture


Case Description

A 51-year-old male with a significant medical history, including severe heart failure (ejection fraction 10-15%) and insulin-dependent type II diabetes mellitus, presented to a community hospital with altered mental status. This was preceded by a two-week history of epigastric abdominal pain, anorexia, and non-bloody, non-bilious emesis. On initial examination, he exhibited epigastric tenderness to palpation but no signs of peritonitis. The patient was tachycardic and required a norepinephrine infusion for hemodynamic support. Laboratory data were notable for lactic acidosis (2.6 mmol/L), diabetic ketoacidosis (beta-hydroxybutyrate 45.3 mg/dL), severe hyperglycemia (780 mg/dL), elevated liver function tests, coagulopathy, and significant leukocytosis (18.0 x 10⁹/L), raising strong suspicion for sepsis. His urine drug screen was positive for cocaine.

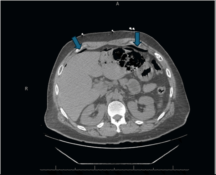
Computed Tomography (CT) of the chest, abdomen, and pelvis demonstrated gastric wall pneumatosis with associated extensive portal venous gas, complex air-filled lesions within the left hepatic lobe, and mild pneumoperitoneum. These findings were highly concerning for emphysematous gastritis, potentially with perforation (Figure 1). The patient was initiated on broad-spectrum intravenous antibiotics (piperacillin-tazobactam) and aggressively resuscitated with lactated Ringer’s solution.

Figure 1. Initial Computed Tomography Findings of Emphysematous Gastritis and its Sequelae. Published with Permission.

Axial contrast-enhanced CT scan of the abdomen on presentation. The image demonstrates extensive portal venous gas (PVG, purple arrow), gas collections within the left hepatic lobe (blue arrows) consistent with hepatic involvement, and extraluminal free air (pneumoperitoneum, green arrow), collectively indicative of severe emphysematous gastritis with associated complications
Axial contrast-enhanced CT scan of the abdomen on presentation. The image demonstrates extensive portal venous gas (PVG, purple arrow), gas collections within the left hepatic lobe (blue arrows) consistent with hepatic involvement, and extraluminal free air (pneumoperitoneum, green arrow), collectively indicative of severe emphysematous gastritis with associated complications

Following initial stabilization, the patient was transferred to our tertiary care facility and admitted to the surgical intensive care unit. A repeat CT scan of the abdomen and pelvis with oral contrast upon arrival showed no extravasation of contrast from the stomach or small bowel, though the pneumoperitoneum appeared to have increased. He continued to require low-dose norepinephrine for septic shock. Due to the persistent concern for a perforated viscus, he was taken to the operating room for an emergent esophagogastroduodenoscopy (EGD) and diagnostic laparoscopy.

The EGD revealed gastric mucosal cobblestoning, but no evidence of ulceration, necrosis, or ischemia (Figure 2). Laparoscopic examination showed no external signs of gastric necrosis or perforation; the omentum was noted to be covering the anterior gastric wall. The stomach wall itself appeared pink and well-perfused, with evidence of gastritis and some purulent exudate on the gastric mucosa. Critically, gas was observed actively escaping through a defect in the capsule of the left lobe of the liver, correlating with the location of the hepatic portal venous gas collections seen on the preoperative CT scan. The small and large bowel were thoroughly inspected and showed no signs of ischemia or perforation. No succus or fecal contamination was noted within the peritoneal cavity to suggest a hollow viscus perforation. The only identifiable source of the pneumoperitoneum was the escape of gas from the ruptured left liver lobe capsule. Laparoscopic access was obtained at the umbilicus using an open Hasson technique. A Jackson-Pratt (JP) drain was placed in the left upper quadrant, and the laparoscopic ports were removed.

Figure 2. Intraoperative EGD. Published with Permission.

Composite of intraoperative endoscopic images. (Top left and top right) Views of the gastric body and fundus showing areas of purulent exudate and mucosal cobblestoning, consistent with severe gastritis. Despite these changes, the underlying gastric mucosa appears viable and perfused. (Bottom left) Endoscopic view of a patent pylorus. (Bottom right) Endoscopic view of the proximal duodenum, appearing normal and well-perfused. No evidence of frank ulceration, necrosis, or perforation was identified
Composite of intraoperative endoscopic images. (Top left and top right) Views of the gastric body and fundus showing areas of purulent exudate and mucosal cobblestoning, consistent with severe gastritis. Despite these changes, the underlying gastric mucosa appears viable and perfused. (Bottom left) Endoscopic view of a patent pylorus. (Bottom right) Endoscopic view of the proximal duodenum, appearing normal and well-perfused. No evidence of frank ulceration, necrosis, or perforation was identified

Interventional radiology (IR) had been consulted previously and, at this juncture, did not recommend immediate percutaneous drainage of the hepatic lesions, advising instead for repeat CT imaging in the subsequent days. Postoperatively, blood cultures grew Clostridium perfringens. The patient was continued on intravenous piperacillin-tazobactam and fluconazole, along with a proton-pump inhibitor (PPI) and an insulin infusion. His clinical condition improved with medical management, and he was successfully extubated on postoperative day (POD) 2. A repeat CT scan of the abdomen and pelvis on POD 4 demonstrated resolution of the pneumoperitoneum but confirmed the presence of a developing abscess within the left hepatic lobe. IR re-evaluated the patient and performed an image-guided percutaneous placement of a 12-French catheter into this collection, draining seropurulent fluid (Figure 3); however, cultures of this fluid yielded no organismal growth.

Figure 3. Post-Intervention CT Demonstrating Hepatic Abscess and Drain Placement. Published with Permission.

Axial contrast-enhanced CT scan of the abdomen obtained POD 4. The image shows resolution of the previously noted pneumoperitoneum. A well-defined fluid collection consistent with an abscess is now evident in the left hepatic lobe. Note the presence of a newly placed percutaneous interventional radiology drain within the hepatic abscess (left-sided drain) and the surgically placed intra-abdominal drain (right-sided drain)
Axial contrast-enhanced CT scan of the abdomen obtained POD 4. The image shows resolution of the previously noted pneumoperitoneum. A well-defined fluid collection consistent with an abscess is now evident in the left hepatic lobe. Note the presence of a newly placed percutaneous interventional radiology drain within the hepatic abscess (left-sided drain) and the surgically placed intra-abdominal drain (right-sided drain)

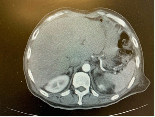
On POD 9, an upper gastrointestinal study with water-soluble contrast showed no evidence of gastric contrast extravasation or a gastro-hepatic fistula. Due to persistent or evolving hepatic collections, he subsequently required the placement of two additional percutaneous drains into left lobe liver abscesses. His diet was gradually advanced, and he eventually tolerated a regular diet. The infectious disease team transitioned his antimicrobial therapy to oral amoxicillin-clavulanate, with a plan to complete a 6-week course, to be followed by a repeat CT scan to assess for abscess resolution. The patient was discharged home on POD 16. All interventional radiology drains were subsequently removed on an outpatient basis following radiographic and clinical resolution of his hepatic abscesses (Figure 4).

Figure 4. Follow-up CT Showing Resolution of Hepatic Abscess. Published with Permission

Axial contrast-enhanced CT scan of the abdomen obtained after completion of antimicrobial therapy and outpatient drain management. Note significant interval improvement with resolution of the previously identified left hepatic lobe abscess
Axial contrast-enhanced CT scan of the abdomen obtained after completion of antimicrobial therapy and outpatient drain management. Note significant interval improvement with resolution of the previously identified left hepatic lobe abscess

Discussion

We present the management of a complex case of emphysematous gastritis complicated by pneumoperitoneum, which was ultimately attributed to the transhepatic capsular escape of portal venous gas rather than gastric perforation. The concurrent presentation of air-filled hepatic collections and gastric wall emphysema on initial CT imaging posed a diagnostic challenge in definitively ascertaining the primary nidus of the gas-forming infection—whether it originated within the stomach or resulted from hematologic seeding of the liver. While hematogenous dissemination of bacteria to multiple organs is plausible, it does not fully account for the simultaneous presence of gas within both the gastric wall and the portal venous system. A gastric origin is favored for several reasons: 1) the patient's presenting symptoms of epigastric abdominal pain and gastrointestinal distress are suggestive of primary gastric pathology, with Clostridium perfringens, a known colonizer of the gastrointestinal tract, identified as the causative organism;1 2) the portal venous system is the most common conduit for bacteria to reach the liver from intra-abdominal sources; 3) EGD revealed active gastric mucosal involvement with purulence, indicating direct infection of the gastric wall; and 4) the development of a drainable fluid-filled abscess in the left hepatic lobe was not evident until postoperative day 4, subsequent to the endoscopic visualization of gastric purulence.

Clostridium perfringens, a gram-positive, anaerobic bacillus, is well-recognized as a cause of food poisoning and trauma-associated gas gangrene but also exists as a component of the normal gastrointestinal microbiome.1 It is a known causative pathogen in emphysematous gastritis and, more rarely, can lead to pyogenic liver abscesses.1,2 While pyogenic hepatic abscesses carry a reported mortality rate of 6-14%, those specifically caused by Clostridium perfringens are associated with a significantly higher mortality, approaching 60%.2,3 This increased mortality is thought to be due to the rapid and often clinically occult progression of infection in its early stages. Furthermore, C. perfringens hepatic abscess and bacteremia can be complicated by intravascular hemolysis, a frequently fatal sequela,4 which fortunately did not occur in our patient.

Emphysematous gastritis is an exceedingly rare and severe infection of the stomach caused by gas-producing microorganisms, with reported mortality rates as high as 55%.5 Patients typically present with abdominal pain, oral intolerance, abdominal distension, tenderness, fever, and, in severe cases, an acute abdomen and shock.6,7 CT imaging is diagnostic, classically demonstrating intramural gastric gas, and may also show associated portal venous gas, intraperitoneal free air, and bowel wall thickening.6 Laboratory findings often include leukocytosis, and blood cultures may be positive if sepsis ensues. It is crucial to differentiate emphysematous gastritis from gastric emphysema, a benign condition also characterized by air in the gastric wall but without associated signs of local or systemic infection.8 Gastric emphysema generally carries an excellent prognosis and is typically secondary to mechanical injury of the gastric mucosa (e.g., from a nasogastric tube) or barotrauma, and is often self-limited.8 Patients with simple gastric emphysema are frequently asymptomatic or minimally symptomatic, without evidence of systemic toxicity,9 and CT scans usually do not show associated gastric wall thickening.10 If the diagnosis remains unclear, EGD is indicated for direct visualization of the gastric mucosa.10

Under normal physiological conditions, the stomach is well-protected against infection by its acidic environment, robust blood supply, and intact mucosal barrier. However, disruptions in these defenses—such as those caused by ingestion of corrosive substances, ischemia, or chronic NSAID use—can predispose individuals to infection.7 Immunocompromised patients, including those with diabetes mellitus, autoimmune diseases, or those on corticosteroid or immunosuppressive therapy, are also at increased risk for this rare condition.7 Given the infrequency of emphysematous gastritis, a paucity of high-level evidence exists to guide optimal management. Nevertheless, a growing body of literature, primarily case reports and series, details improved outcomes with conservative management in select patients, typically involving bowel rest, intravenous antibiotics, and intravenous proton-pump inhibitors.11,12 A retrospective case-control study involving 58 patients reported that none of the four patients who underwent total gastrectomy survived.13 Despite these trends towards non-operative management, it remains clinically challenging to refrain from surgical exploration in a patient presenting with pneumoperitoneum, due to the inherent risk of missing a visceral perforation, ischemia, or necrosis.14

The etiology of pneumoperitoneum in our patient was not a perforated viscus, which might have been anticipated given the CT findings of gastric emphysema. To the best of our knowledge, this is the first reported case of emphysematous gastritis leading to extensive portal venous gas with subsequent transhepatic capsular gas escape causing pneumoperitoneum. The left lobe of his liver was almost entirely replaced by gas and inflammatory collections, a consequence of gas-forming bacteria transported via the portal vein. The reason for the relative sparing of the right hepatic lobe, despite its typically greater portal blood flow, remains unclear. We postulate that the severity of the intrahepatic gas accumulation led to the rupture of the liver capsule, thereby producing the pneumoperitoneum observed on imaging (Figure 5). There are three published case reports detailing post-endoscopic retrograde cholangiopancreatography (ERCP) pneumoperitoneum attributed to severe pneumobilia and hepatic capsule rupture; all three of these patients were managed conservatively.15 However, given our patient's constellation of pneumoperitoneum, portal venous gas, and emphysematous gastritis, exploratory laparoscopy was deemed necessary to definitively exclude ischemic bowel or gastric perforation. Once these were ruled out laparoscopically and viable gastric mucosa was confirmed by EGD, we were reassured that conservative management with drain placement, antibiotics, and serial imaging was appropriate. If presented with a similar case in the future, obtaining a CT abdomen and pelvis with intravenous and possibly a venous phase contrast could be beneficial, potentially providing more information regarding the presence of gas in the arterial system versus confinement to the portal venous system. Furthermore, obtaining gastric mucosal biopsies at the time of EGD for additional microbiological culture and sensitivity data would have been informative.

Figure 5. CT Highlighting Pneumoperitoneum. Published with Permission

Axial follow-up CT scan of the upper abdomen, highlighting the presence of extraluminal free intraperitoneal air
Axial follow-up CT scan of the upper abdomen, highlighting the presence of extraluminal free intraperitoneal air

In addition to diagnostic EGD and laparoscopy, the patient required percutaneous drainage of his left hepatic lobe collections. Gastrectomy was not indicated given the viable appearance of the gastric mucosa. The laparoscopy revealed no evidence of intestinal ischemia that could independently explain the portal venous gas, further supporting the hypothesis that the gas-forming Clostridium perfringens infection originated in the stomach and spread hematogenously to the liver.

Conclusion

Emphysematous gastritis is an infrequent and highly morbid condition. While evolving literature suggests that conservative management can be successful in select, hemodynamically stable patients without evidence of perforation, the presence of pneumoperitoneum and PVG typically mandates surgical exploration to exclude visceral perforation or ischemia. This is particularly pertinent given that gastric resection in the setting of emphysematous gastritis carries a substantial mortality risk, as documented in existing literature. Our case demonstrates the successful application of a minimally invasive diagnostic approach, combining EGD and diagnostic laparoscopy, to definitively assess gastric mucosal viability and rule out gastric perforation. This strategy allowed us to identify an unusual cause of pneumoperitoneum—transhepatic capsular escape of PVG—and thereby avoid the significant morbidity associated with a laparotomy in a critically ill patient with multiple comorbidities.

Lessons Learned

This case highlights an atypical etiology of pneumoperitoneum. While visceral perforation is the most common cause, this patient developed pneumoperitoneum secondary to the escape of gas—produced by gas-forming bacteria—through a tear in the liver capsule, a consequence of extensive portal venous gas. The judicious use of combined EGD and diagnostic laparoscopy proved invaluable in this scenario. This minimally invasive approach allowed for direct visualization and confirmation of gastric mucosal integrity and the absence of intestinal ischemia, thereby obviating the need for a potentially morbid exploratory laparotomy, which would have carried significant risks in this physiologically compromised patient. Furthermore, this case underscores the importance of surgeons maintaining proficiency in diagnostic and therapeutic upper endoscopy, particularly in acute care settings where gastroenterology consultation might be hesitant or delayed due to concerns of iatrogenic complications in the presence of suspected perforation.

Authors

Kittle HDa; Meredith LTa; Podder Sa; Doermann Aa; Nedelcoviciu RAb

Author Affiliations

  1. Department of Surgery, Sidney Kimmel Medical College, Thomas Jefferson University, Philadelphia, PA 19107
  2. Division of Acute Care Surgery, Department of Surgery, Thomas Jefferson University, Philadelphia, PA 19107

Corresponding Author

Haley Kittle, MD
Department of Surgery
Thomas Jefferson University Hospital
1015 Walnut Street
Curtis Building Ste. 613
Philadelphia, PA 19107
Email: haley.kittle@jefferson.edu

Disclosure Statement

The authors have no conflicts of interest to disclose.

Funding/Support

The authors have no relevant financial relationships or in-kind support to disclose.

Received: August 24, 2024
Revision received: November 25, 2024
Accepted: February 5, 2025

References

  1. Sarvari KP, Vasas B, Kiss I, et al. Fatal Clostridium perfringens sepsis due to emphysematous gastritis and literature review. Anaerobe. 2016;40:31-34. doi:10.1016/j.anaerobe.2016.03.011. Epub 2016 Mar 30. PMID:27036998.
  2. Peng J, Zhai Q, Li J, et al. Clostridium perfringens liver abscess disguised as biliary disease: a report of two cases and a review of the literature. Infect Drug Resist. 2023;16:5209-5222. doi:10.2147/IDR.S415347.
  3. Paasch C, Wilczek S, Strik MW. Liver abscess and sepsis caused by Clostridium perfringens and Klebsiella oxytoca. Int J Surg Case Rep. 2017;41:180-183. doi:10.1016/j.ijscr.2017.10.033. Epub 2017 Nov 5.
  4. Qandeel H, Abudeeb H, Hammad A, Ray C, Sajid M, Mahmud S. Clostridium perfringens sepsis and liver abscess following laparoscopic cholecystectomy. J Surg Case Rep. 2012;2012(1):5. doi:10.1093/jscr/2012.1.5.
  5. Takase R, Fukuda N, Sui O, Hagiya H. Emphysematous gastritis. Clin Case Rep. 2021;9(11):e05094. Published November 16, 2021. doi:10.1002/ccr3.5094.
  6. Jenkins JK, Georgiou A, Laugharne M, Meisner S, Cook T. Emphysematous gastritis in a patient with neutropenic sepsis: a case report and literature review with comment on management. J Intensive Care Soc. 2023;24(3):328-331. doi:10.1177/17511437231153048.
  7. Al-Jundi W, Shebl A. Emphysematous gastritis: case report and literature review. Int J Surg. 2008;6(6):e63-e66. doi:10.1016/j.ijsu.2007.02.007.
  8. Ono R, Ito R, Yamamoto K, Aoki K, Kobayashi Y. Emphysematous gastritis. BMJ Case Rep. 2022;15(8):e251314. Published August 12, 2022. doi:10.1136/bcr-2022-251314.
  9. Liang G, Zeng LC, Xie MG, Zhang MX, Hou ZH. Gastric emphysema. Hong Kong Med J. 2021;27(5):373.e1-373.e2. doi:10.12809/hkmj208885.
  10. Inayat F, Zafar F, Zaman MA, Hussain Q. Gastric emphysema secondary to severe vomiting: a comparative review of 14 cases. BMJ Case Rep. 2018;2018:bcr2018226594. Published September 27, 2018. doi:10.1136/bcr-2018-226594.
  11. Nasser H, Ivanics T, Leonard-Murali S, Shakaroun D, Woodward A. Emphysematous gastritis: a case series of three patients managed conservatively. Int J Surg Case Rep. 2019;64:80-84. doi:10.1016/j.ijscr.2019.09.046.
  12. Shami A, Singhania R. Emphysematous gastritis: a case series and review of the current trend favoring conservative management. Clin J Gastroenterol. 2021;14(4):1042-1045. doi:10.1007/s12328-021-01425-3.
  13. Epin A, Passot G, Christou N, et al. Gastric pneumatosis with portal venous gas can be treated non-operatively: a retrospective multi-institutional study. World J Surg. 2022;46(4):784-790. doi:10.1007/s00268-021-06433-5.
  14. Watson A, Bul V, Staudacher J, Carroll R, Yazici C. The predictors of mortality and secular changes in management strategies in emphysematous gastritis. Clin Res Hepatol Gastroenterol. 2017;41(1):e1-e7. doi:10.1016/j.clinre.2016.02.011.
  15. Assimakopoulos SF, Thomopoulos KC, Giali S, Triantos C, Siagris D, Gogos C. A rare etiology of post-endoscopic retrograde cholangiopancreatography. World J Gastroenterol. 2008;14(39):6074-6077. doi:10.3748/wjg.14.6074.