Unsupported Browser
The American College of Surgeons website is not compatible with Internet Explorer 11, IE 11. For the best experience please update your browser.
Menu
Become a member and receive career-enhancing benefits

Our top priority is providing value to members. Your Member Services team is here to ensure you maximize your ACS member benefits, participate in College activities, and engage with your ACS colleagues. It's all here.

Become a Member
Become a member and receive career-enhancing benefits

Our top priority is providing value to members. Your Member Services team is here to ensure you maximize your ACS member benefits, participate in College activities, and engage with your ACS colleagues. It's all here.

Become a Member
ACS
ACS Case Reviews

Acute Postoperative Small Bowel Obstruction Secondary to a 6 mm Trocar Site Hernia

Abstract

Background

Port-site hernias (PSHs) are a known complication following laparoscopic surgery, though their occurrence at sites utilizing small-caliber trocars (e.g., <10 mm) is considered infrequent, particularly in the early postoperative period. We report a case of acute small bowel obstruction (SBO) due to an incarcerated PSH at a 6 mm trocar site, occurring within 48 hours of a laparoscopic adhesiolysis for a preceding SBO.

Summary

The patient, a female in her 70s, presented with a painful, indurated bulge at the left anterior axillary line 6 mm port site two days after her index laparoscopic procedure. Diagnostic imaging confirmed a high-grade SBO secondary to herniation of a jejunal segment through this small fascial defect. Emergent laparoscopic exploration revealed viable incarcerated bowel, which was successfully reduced, followed by primary suture repair of the fascial defect.

Conclusion

Although rare, an early port-site hernia at a 6mm port site should be considered as a differential diagnosis of a “bulge” on the abdominal wall in patients after minimally invasive surgery. Prompt diagnostic imaging, such as ultrasound or computed tomography, can confirm the diagnosis and expedite operative intervention. While routine fascial closure of port sites <10 mm is not standard practice, selective closure may be warranted in specific clinical scenarios. Factors such as advanced patient age, extensive manipulation of the port cannula during the index procedure, or the use of cutting trocars might increase the risk of this uncommon complication and could guide a more individualized approach to fascial closure.

Key Words

laparoscopic port; hernia; fascial defect; small bowel obstruction

 


Case Description

A woman in her 70s presented to our academic tertiary care hospital with a one-day history of acute-onset, constant, central abdominal pain radiating to her back, associated with nausea and multiple episodes of non-bilious emesis. She reported passing flatus and having a bowel movement earlier on the day of presentation and denied fevers or chills. Her relevant past medical history included Crohn’s ileocolitis in remission, a seizure disorder, hiatal hernia with gastroesophageal reflux symptoms, thoracic aortic aneurysm, hypertension, depression, and dyslipidemia. Her pertinent previous surgical history consisted of an open abdominal hysterectomy.

On physical examination, the patient’s vital signs were within normal parameters. Her weight was 53.8 kg and height 153 cm, corresponding to a BMI of 23.0 kg/m². Her abdomen was tender in the epigastrium and left lower quadrant, without distension or signs of generalized peritonitis. No abdominal wall or inguinal hernias were palpable. Laboratory investigations revealed a leukocytosis of 16.1 × 10⁹/L (normal range 4.0-11.0 × 10⁹/L) and an elevated lactate level of 3.1 mmol/L (normal range 0.5–2.2 mmol/L)

A computed tomography (CT) scan of the abdomen and pelvis with intravenous contrast demonstrated a distal small bowel obstruction (SBO) with features suggestive of closed-loop configurations and an internal hernia. Segmental thickening and decreased enhancement involving a distal ileal loop in the pelvis raised concern for bowel ischemia. Small to moderate ascites was present, but there was no evidence of pneumoperitoneum. A diagnosis of adhesive SBO with impending ischemia was made.

Following appropriate resuscitation and informed consent, the patient was taken to the operating room for exploratory laparoscopy. Abdominal access was achieved using a Veress needle in the left upper quadrant (LUQ), and pneumoperitoneum was established to 15 mmHg. A 5 mm optical trocar (Endopath Xcel, Ethicon) was introduced in the LUQ under direct vision. Three additional 6 mm ports, utilizing pyramidal bladed trocars compatible with 5mm instruments (Figure 1), were inserted in the left anterior axillary line (LAAL), left lower quadrant (LLQ), and epigastrium. Intraoperative findings confirmed a closed-loop SBO in the pelvis caused by two adhesive bands. Approximately 30 cm of distal ileum appeared dilated and dusky, concerning for ischemia, though without frank necrosis or perforation. The adhesive bands were divided using electrocautery, resolving the obstruction; bowel resection was not required. The small bowel caliber was subjectively noted to be smaller than typically expected. The LAAL 6 mm port required reinsertion on several occasions due to extensive manipulation during the procedure. At the conclusion of the operation, the three 6 mm ports were removed under direct laparoscopic vision, the abdomen was desufflated, and the remaining 5 mm optical trocar was removed. Consistent with institutional practice at the time, the fascia of the 5 mm and 6 mm port sites were not closed. Skin incisions were closed with absorbable monofilament sutures. The total operative time was 52 minutes.

Figure 1. Laparoscopic Trocar System. Published with Permission.

The Storz™ 6 mm × 10.5 cm cannula (Model 30120TX1) shown with its corresponding pyramidal bladed trocar. This system is designed to accommodate 5 mm laparoscopic instruments and telescopes
The Storz™ 6 mm × 10.5 cm cannula (Model 30120TX1) shown with its corresponding pyramidal bladed trocar. This system is designed to accommodate 5 mm laparoscopic instruments and telescopes

On postoperative day (POD) 2, after ambulating, the patient developed a firm, painful bulge at the LAAL 6 mm port site. She had not yet had a return of bowel function. Examination revealed a soft, non-distended abdomen with tenderness localized to this port-site bulge, which was initially suspected to be a hematoma. Abdominal X-rays obtained on POD 2 showed minimally dilated small bowel loops in the LUQ, no pneumoperitoneum, and diffuse subcutaneous emphysema throughout the left abdominal wall soft tissues (Figure 2). The lack of bowel function was attributed to resolving postoperative ileus, and she was continued on a full fluid diet. However, on POD 5, she began to vomit. A CT scan of the abdomen and pelvis with oral and intravenous contrast was performed, which demonstrated a high-grade SBO secondary to a port-site hernia at the LAAL 6 mm trocar site (Figure 3), with no evidence of bowel ischemia.

Figure 2. Abdominal Radiograph on Postoperative Day 2. Published with Permission.

Abdominal radiograph obtained on POD 2. The image demonstrates minimally dilated small bowel loops in the left upper quadrant (single arrow) and diffuse subcutaneous emphysema throughout the soft tissues of the left abdominal wall (double arrow)
Abdominal radiograph obtained on POD 2. The image demonstrates minimally dilated small bowel loops in the left upper quadrant (single arrow) and diffuse subcutaneous emphysema throughout the soft tissues of the left abdominal wall (double arrow)

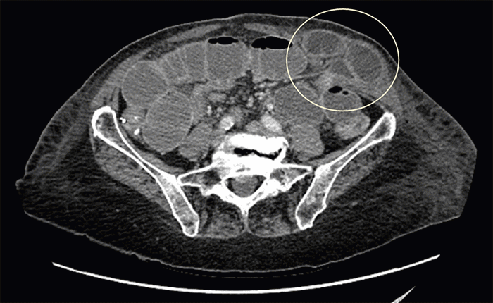
Figure 3. CT Demonstrating Port-Site Hernia and Small Bowel Obstruction. Published with Permission.

Axial contrast-enhanced CT scan of the abdomen and pelvis obtained on POD 5. This image clearly depicts a high-grade small bowel obstruction caused by a segment of jejunum herniating through the fascial defect at the site of the prior left anterior axillary line 6 mm port
Axial contrast-enhanced CT scan of the abdomen and pelvis obtained on POD 5. This image clearly depicts a high-grade small bowel obstruction caused by a segment of jejunum herniating through the fascial defect at the site of the prior left anterior axillary line 6 mm port

The patient was diagnosed with an SBO caused by an incarcerated port-site hernia. After obtaining informed consent, she returned to the operating room for laparoscopic exploration. Pneumoperitoneum was re-established via Veress needle insufflation at the prior LUQ 5 mm port site. A 5 mm optical trocar was placed in the LUQ under direct vision. Additional 5 mm optical trocars were inserted in the LLQ, epigastrium, right upper quadrant, and right lower quadrant. Exploration confirmed a segment of jejunum herniated through the LAAL 6 mm port site from the index operation, causing mechanical SBO. The fascial opening was minimally enlarged, allowing for reduction of the incarcerated jejunum, which appeared distended and hyperemic but viable, without signs of ischemia or perforation. The fascial defect at the hernia site measured approximately 15 mm and was repaired with four interrupted 0-Vicryl sutures using a fascial closure device. As a precaution, the LLQ 6 mm port site from the index operation was also closed with a single 0-Vicryl interrupted suture using a fascial closure device. All remaining 5 mm ports were removed under direct vision, and skin incisions were closed with absorbable monofilament sutures.

Following the second operation, the patient experienced a return of bowel function on POD 1. She tolerated a regular diet by POD 2 and was subsequently discharged home. At her 6-week clinic follow-up, she was doing well, tolerating a regular diet without further obstructive symptoms, and physical examination revealed no evidence of hernia recurrence.

Discussion

Early postoperative small bowel obstruction resulting from a port-site hernia (PSH) at a small-caliber (e.g., ≤8 mm) trocar site is a rare but significant complication of minimally invasive surgery with which surgeons should be familiar. While the incidence of PSH at 5 mm ports is reported to be exceedingly low (0-0.0001%) in retrospective single-center studies, this rises to approximately 0.7% for 8 mm port sites.1,2 Current surgical practice generally dictates fascial closure for ports 10 mm or larger; however, routine closure of 5 mm to 8 mm fascial defects is less common, as these are often perceived to pose a minimal risk for hernia formation.3 Despite this low overall incidence, Tonouchi et al. proposed a useful classification for PSH in 2004, categorizing them into: 1) early-onset (fascial dehiscence with a hernia sac occurring within two weeks), 2) late-onset (fascial and peritoneal dehiscence after two weeks), and 3) special type (dehiscence of the entire abdominal wall).3

The existing literature contains a limited number of case reports describing early and late PSH through 5 mm port sites (Table 1). For instance, Fuse et al. reported a PSH through a 5 mm port situated near a stoma, occurring one year after laparoscopic abdominoperineal resection.4 Chorti et al. described a Richter’s hernia containing small bowel that developed two weeks post-laparoscopic cholecystectomy through a 5 mm port in the anterior axillary line,5 and Reardon et al. documented small bowel herniation 25 days after laparoscopic hiatal hernia repair via a 5 mm left abdominal wall port.6 To our knowledge, however, there are no prior reports specifically detailing a PSH through a 6 mm port site manifesting with acute SBO within 48 hours of the index operation, as presented in our case.

Study No. Source Original Surgery Fascia Closed Clinical Presentation Duration of time after index operation Hernia Site Trocar Size (mm) Intervention for incisional hernia
1 Fuse et al. 2021¹ Abdominoperineal resection No SBO with incarcerated viable bowel 1 year 1cm from colostomy 5 Laparoscopic hernia repair with Symbotex™ mesh
2 Chorti et al. 2019⁷ Cholecystectomy with 14fr drain at right anterior axillary line port No SBO with incarcerated viable bowel, Richter's hernia 2 weeks Right anterior axillary line 5 Open primary hernia repair with Maxon suture
3 Reardon et al. 1999⁸ Hiatal hernia repair, fundoplication, posterior gastropexy No SBO with incarcerated viable bowel 25 days Left abdominal wall 5 Laparotomy and primary repair with polypropylene suture
4 Yamamoto et al. 2011¹⁰ Hysterectomy No SBO with incarcerated viable bowel in Spigelian hernia 4 days Right lateral abdominal wall, level of iliac crest 5 Open primary hernia repair with polygalactin running stitch
5 Nakajima et al. 1999¹⁹ Nissen fundoplication No Pediatric case (6 month female) incarcerated viable small bowel in Richter's hernia 6 days Not described 5 Laparoscopic repair
6 Zhao and Liu 2019¹⁶ Diagnostic laparoscopy No Nausea and vomiting 8 days Left lower abdominal wall 5 Not described
7 Buffone et al. 2017¹⁷ Cholecystectomy No Epigastric swelling, hernia containing fat and round ligament 3 months Epigastrium 5 Open repair
8 Khurshid et al. 2012²² Tubal fulgarization Yes Large bowel herniation Immediately intra-operatively at the end of the case Left lower lateral abdomen 5 Immediate fascial closure with 3-0 vicryl
9 Pellegrino et al. 2018²³ Total hysterectomy No SBO with incarcerated viable bowel 10 days Left abdomen 5 Open repair with 3-0 polyglactin running stitch
Table 1. Published Case Reports of Port-Site Hernias through 5-6 mm Trocar Sites. Published with Permission.
Study No. Source Original Surgery Fascia Closed Clinical Presentation Duration of time after index operation Hernia Site Trocar Size (mm) Intervention for incisional hernia
1 Fuse et al. 2021¹ Abdominoperineal resection No SBO with incarcerated viable bowel 1 year 1cm from colostomy 5 Laparoscopic hernia repair with Symbotex™ mesh
2 Chorti et al. 2019⁷ Cholecystectomy with 14fr drain at right anterior axillary line port No SBO with incarcerated viable bowel, Richter's hernia 2 weeks Right anterior axillary line 5 Open primary hernia repair with Maxon suture
3 Reardon et al. 1999⁸ Hiatal hernia repair, fundoplication, posterior gastropexy No SBO with incarcerated viable bowel 25 days Left abdominal wall 5 Laparotomy and primary repair with polypropylene suture
4 Yamamoto et al. 2011¹⁰ Hysterectomy No SBO with incarcerated viable bowel in Spigelian hernia 4 days Right lateral abdominal wall, level of iliac crest 5 Open primary hernia repair with polygalactin running stitch
5 Nakajima et al. 1999¹⁹ Nissen fundoplication No Pediatric case (6 month female) incarcerated viable small bowel in Richter's hernia 6 days Not described 5 Laparoscopic repair
6 Zhao and Liu 2019¹⁶ Diagnostic laparoscopy No Nausea and vomiting 8 days Left lower abdominal wall 5 Not described
7 Buffone et al. 2017¹⁷ Cholecystectomy No Epigastric swelling, hernia containing fat and round ligament 3 months Epigastrium 5 Open repair
8 Khurshid et al. 2012²² Tubal fulgarization Yes Large bowel herniation Immediately intra-operatively at the end of the case Left lower lateral abdomen 5 Immediate fascial closure with 3-0 vicryl
9 Pellegrino et al. 2018²³ Total hysterectomy No SBO with incarcerated viable bowel 10 days Left abdomen 5 Open repair with 3-0 polyglactin running stitch

Multiple patient-specific and technical factors have been hypothesized to contribute to PSH development. These include advanced age, severe obesity, active smoking, poorly controlled diabetes mellitus, port-site infection, postoperative chemotherapy, stretching of the port site during specimen extraction, multiple re-insertions or extensive manipulation of the trocar leading to fascial defect enlargement, midline trocar placement, and the placement of drains through fascial defects.3 In our patient, several factors may have contributed to the PSH: advanced age, significant manipulation and re-insertion of the 6 mm trocar during the index procedure, the use of a cutting-blade trocar, and the patient’s relatively thin abdominal wall combined with subjectively small-caliber small bowel.

Advanced age is a well-recognized risk factor for incisional hernias, generally attributed to age-related alterations in tissue elasticity and collagen synthesis that can diminish abdominal wall integrity and predispose fascia to stretching or tearing under stress.7 The extensive manipulation and multiple reinsertions of the 6 mm trocar during the 52-minute index operation likely subjected the fascial tissues at that site to repeated mechanical forces.8 Such forces can cause microtears and progressive enlargement of the initial fascial defect, thereby increasing hernia risk. This mechanism of fascial trauma through manipulation is a concern across minimally invasive platforms; for example, the wider range of motion and rotational capacity of robotic arms can also inadvertently expand fascial defects, which necessitates vigilance.9 Furthermore, the use of cutting trocars, as in this case (Figure 1), is known to create a larger and potentially more irregular fascial defect compared to dilating or conical tip trocars, which may also elevate the risk of PSH.10

Although objective measurements were not taken, the patient’s small bowel appeared subjectively small in diameter, and she possessed a thin abdominal wall. This combination might have increased the propensity for the bowel to herniate through a relatively small defect. Interestingly, while higher BMI is often correlated with increased hernia risk due to elevated intra-abdominal pressure, some observational studies11–15 support our finding and suggest a potential inverse association between obesity and hernia risk in certain contexts. In patients with normal or lower BMIs, such as ours, bowel loops may exhibit greater mobility and be less constrained by mesenteric fat, potentially increasing their ability to protrude through small fascial openings.

Several strategies may mitigate the risk of PSH. Ensuring complete desufflation of the abdomen prior to port removal is one such measure; Tonouchi et al. hypothesized that removing ports without full desufflation could create a partial vacuum, drawing omentum or bowel into the fascial defect.3 Additionally, the use of paramedian incisions, rather than midline, has been suggested to be protective due to the more substantial overlapping of muscle and fascial layers on the lateral abdominal wall.10 Consideration of these factors, and selective closure of even smaller port sites in high-risk patients or scenarios, may prevent this rare but clinically significant postoperative complication.

Conclusion

Port-site hernias are caused by a combination of technical and patient-related factors. While there is a general consensus among surgeons to close fascial defects from port sites 10 mm or larger during minimally invasive surgery, clear guidelines for managing defects smaller than 10 mm are less established.16 This case underscores that early PSH, even at a 6 mm trocar site, is an important diagnostic consideration for any new abdominal wall bulge or unexplained obstructive symptoms in the postoperative period following minimally invasive procedures. Prompt investigation with ultrasonography or computed tomography can confirm the diagnosis and facilitate timely surgical intervention.

Lessons Learned

Based on this experience and a review of potential contributing factors, we recommend a selective approach to fascial closure for port sites smaller than 10 mm. Specific circumstances that may warrant such closure include advanced patient age, a notably thin abdominal wall, instances of extensive or prolonged manipulation of the port cannula during the operation.17,18 and the use of cutting-blade (as opposed to dilating) trocars. Adopting such a tailored approach may help mitigate this uncommon but clinically significant postoperative complication.

Acknowledgements

The authors are grateful to the faculty within the Department of Surgery at Queen’s University and Kingston Health Sciences Centre for their time, effort, and support in the development of this case report. We also extend our sincere thanks to the study patient for their willingness to share their clinical information, which added depth to our research.

Authors

Fei LYNa; Nguyen Ra; Zevin Ba,b

Author Affiliations

  1. Department of Surgery, Queen’s University, Kingston, Ontario, Canada
  2. Kingston Bariatric Centre of Excellence, Kingston Health Sciences Centre, Kingston, Ontario, Canada

Corresponding Author

Linda Yi Ning Fei, BSc, MD
Department of General Surgery
Kingston General Hospital
76 Stuart Street
Kingston, ON K7L 2V7
Canada
Email: linda.fei@queensu.ca

Disclosure Statement

The authors have no conflicts of interest to disclose.

Funding/Support

The authors have no relevant financial relationships or in-kind support to disclose.

Received: July 16, 2023
Revision received: January 28, 2025
Accepted: February 15, 2025

References

  1. Diez-Barroso R, Palacio CH, Martinez JA, et al. Robotic port-site hernias after general surgical procedures. J Surg Res. 2018;230:7-12. doi:10.1016/j.jss.2018.04.032
  2. Nezhat C, Nezhat F, Seidman D, Nezhat C. Incisional hernias after operative laparoscopy. J Laparoendosc Adv Surg Tech. 1997;7(2):111-115. doi:10.1089/lap.1997.7.111
  3. Tonouchi H, Ohmori Y, Kobayashi M, Kusunoki M. Trocar site hernia. Arch Surg. 2004;139(11):1248. doi:10.1001/archsurg.139.11.1248
  4. Fuse M, Ozawa M, Sato S, et al. Five-millimeter trocar site hernia with a parastomal hernia sac: a case report. J Anus Rectum Colon. 2021;5(2):197-201. doi:10.23922/jarc.2020-078
  5. Chorti A, AbuFarha S, Michalopoulos A, Papavramidis TS. Richter’s hernia in a 5-mm trocar site. SAGE Open Med Case Rep. 2019;7:2050313X18823413. doi:10.1177/2050313x18823413
  6. Reardon P, Preciado A, Scarborough T, Matthews B, Marti JL. Hernia at 5-mm laparoscopic port site presenting as early postoperative small bowel obstruction. J Laparoendosc Adv Surg Tech. 1999;9(6):523-525. doi:10.1089/lap.1999.9.523
  7. Henriksen NA, Jensen KK, Jorgensen LN. The biology of hernia formation. In: Hope WW, Cobb WS, Adrales GL, eds. Textbook of Hernia. Springer International Publishing; 2017:1-5. doi:10.1007/978-3-319-43045-4_1
  8. de Beaux AC, East B. Thoughts on trocar site hernia prevention: a narrative review. J Abdom Wall Surg. 2022;1:11034. doi:10.3389/jaws.2022.11034
  9. Hong YH, Paik H, Kim SK, Lee JR, Suh CS. An 8-mm trocar-site hernia at a drainage insertion site after a three-port robotic myomectomy: case report and review of literature. J Surg Case Rep. 2024;2024(3):rjae189. doi:10.1093/jscr/rjae189
  10. Leibl BJ, Schmedt CG, Schwarz J, Kraft K, Bittner R. Laparoscopic surgery complications associated with trocar tip design: review of literature and own results. J Laparoendosc Adv Surg Tech. 1999;9(2):135-140. doi:10.1089/lap.1999.9.135
  11. Ruhl CE, Everhart JE. Risk factors for inguinal hernia among adults in the US population. Am J Epidemiol. 2007;165(10):1154-1161. doi:10.1093/aje/kwm011
  12. Abramson JH, Gofin J, Hopp C, Makler A, Epstein LM. The epidemiology of inguinal hernia: a survey in western Jerusalem. J Epidemiol Community Health. 1978;32(1):59-67. doi:10.1136/jech.32.1.59
  13. Rosemar A, Angerås U, Rosengren A. Body mass index and groin hernia: a 34-year follow-up study in Swedish men. Ann Surg. 2008;247(6):1064-1068. doi:10.1097/sla.0b013e31816b4399
  14. Liem MSL, van der Graaf Y, Zwart RC, Geurts I, van Vroonhoven TJMV. Risk factors for inguinal hernia in women: a case-control study. Am J Epidemiol. 1997;146(9):721-726. doi:10.1093/oxfordjournals.aje.a009347
  15. Zendejas B, Hernandez-Irizarry R, Ramirez T, Lohse CM, Grossardt BR, Farley DR. Relationship between body mass index and the incidence of inguinal hernia repairs: a population-based study in Olmsted County, MN. Hernia. 2013;18(2):283-288. doi:10.1007/s10029-013-1185-5
  16. Singal R, Zaman M, Mittal A, Singal S, Sandhu K, Mittal A. No need of fascia closure to reduce trocar site hernia rate in laparoscopic surgery: a prospective study of 200 non-obese patients. Gastroenterol Res. 2016;9(4-5):70-73. doi:10.14740/gr715w
  17. Yamamoto M, Minikel L, Zaritsky E. Laparoscopic 5-mm trocar site herniation and literature review. JSLS. 2011;15(1):122-126. doi:10.4293/108680811x13022985131697
  18. Madhavan SM, Potunru VK, Augustine AJ. Bowel herniation through 5mm port site: an unusual complication. J Clin Diagn Res. 2016;10(5):PD01-PD02. doi:10.7860/jcdr/2016/18700.7661
  19. Nakajima K, Wasa M, Kawahara H, et al. Revision laparoscopy for incarcerated hernia at a 5-mm trocar site following pediatric laparoscopic surgery. Surg Laparosc Endosc Percutan Tech. 1999;9(4):294. doi:10.1097/00129689-199908000-00014
  20. Zhao CZ, Liu LB. Richter’s hernia in a 5-mm trocar site. J Minim Invasive Gynecol. 2020;27(4):794-795. doi:10.1016/j.jmig.2019.08.033
  21. Buffone A, Bianco SL, Cavallaro D, Caglià P, Basile G, Cannizzaro M. Epigastrium: unusual site of incisional hernia from a 5 mm trocar. Ann Ital Chir. 2017;88:361-363.
  22. Khurshid N, Chung M, Horrigan T, Manahan K, Geisler JP. 5-millimeter trocar-site bowel herniation following laparoscopic surgery. JSLS. 2012;16(2):306-310. doi:10.4293/108680812x13427982376987
  23. Pellegrino A, Damiani GR, Trojano G, Stomati M. A 5-mm trocar site paramedian early onset voluminous hernia: still in doubt? Updates Surg. 2018;70(1):151-152. doi:10.1007/s13304-017-0510-4