Unsupported Browser
The American College of Surgeons website is not compatible with Internet Explorer 11, IE 11. For the best experience please update your browser.
Menu
Become a member and receive career-enhancing benefits

Our top priority is providing value to members. Your Member Services team is here to ensure you maximize your ACS member benefits, participate in College activities, and engage with your ACS colleagues. It's all here.

Become a Member
Become a member and receive career-enhancing benefits

Our top priority is providing value to members. Your Member Services team is here to ensure you maximize your ACS member benefits, participate in College activities, and engage with your ACS colleagues. It's all here.

Become a Member
ACS
ACS Case Reviews

Richter’s Hernia in Penetrating Abdominal Trauma Complicated by Delayed Small Bowel Obstruction

June 23, 2025

Abstract

Background

Richter’s hernia is a rare and potentially life-threatening condition characterized by the herniation of the antimesenteric intestinal wall through a small, rigid defect in the abdominal wall. The often insidious onset and nonspecific symptoms can lead to delayed diagnosis. This report presents a novel case of Richter’s hernia causing small bowel obstruction, resulting from bowel herniation through an abdominal wall defect secondary to penetrating trauma.

Summary

A 16-year-old male, status post-gunshot wound to the abdomen requiring emergent exploratory laparotomy and right hemicolectomy, presented with small bowel obstruction within 24 hours of hospital discharge. Contrast-enhanced CT revealed a transition point proximal to the ileocolic anastomosis, and serum electrolytes abnormalities were consistent with bowel obstruction. Emergency re-exploration revealed a strangulated small bowel Richter’s hernia protruding through a fascial defect from the prior gunshot injury. No evidence of bowel necrosis or perforation was observed, and further resection was not required.

Conclusion

Richter’s hernia is a clinically deceptive condition associated with significant morbidity and mortality. Early diagnosis and prompt surgical intervention are essential to minimize adverse outcomes. Although rare, fascial defects from penetrating injuries should be meticulously repaired to prevent postoperative Richter’s hernia.

Key Words

Richter’s hernia; small bowel obstruction; penetrating abdominal trauma


Case Description

Richter’s hernia, a rare and potentially life-threatening condition, occurs when a portion of the bowel's antimesenteric border herniates through a fascial defect. This can lead to strangulation and ischemia without initial signs of bowel obstruction, resulting in rapid gangrene and a high mortality rate (20-60%).1 Delayed diagnosis, often due to the absence of early obstructive symptoms, further contributes to the associated poor prognosis.

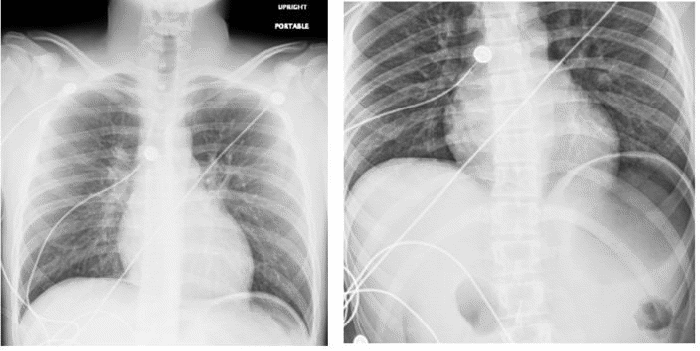
A 16-year-old male with no significant past medical or surgical history presented to the emergency department as a tier 1 trauma activation following a gunshot wound to the right lower abdomen. Primary survey revealed patent airway, normal breathing, palpable peripheral pulses, and stable vital signs. A 1 cm circular penetrating wound in the right lower quadrant was observed with minimal blood oozing. Abdominal examination revealed diffuse tenderness, distention, rigidity, and guarding. Physical exam and bedside focused assessment with sonography (FAST) were otherwise unremarkable. Upright chest and abdominal radiographs demonstrated free air under the diaphragm (Figure 1). The patient was urgently taken to the operating room for exploratory laparotomy.

Figure 1. Radiographic Evidence of Pneumoperitoneum Following Penetrating Abdominal Trauma. Published with Permission

(A) Upright chest radiograph and (B) abdominal radiograph demonstrating free air under the diaphragm, consistent with pneumoperitoneum
(A) Upright chest radiograph and (B) abdominal radiograph demonstrating free air under the diaphragm, consistent with pneumoperitoneum

Intraoperatively, a perforation of the upper third portion of the ascending colon with minimal fecal contamination was identified. No active intra-abdominal bleeding was observed. A right hemicolectomy, encompassing the terminal ileum approximately 5 cm proximal to the ileocecal valve extending through the proximal transverse colon, was performed.

The bullet tract was surveyed and found to penetrate the right psoas muscle inferior to the right kidney. A zone two retroperitoneal hematoma was drained, and the kidney was found to be intact. The abdomen was thoroughly irrigated. A two-layered, hand-sewn primary anastomosis of the bowel, using 3-0 silk and polydioxanone suture (PDS), was completed. The mesenteric defect was closed using 3-0 polyglactin suture (Vicryl), and the anastomosis was covered with omentum. The midline fascia was reapproximated, and the abdomen was closed.

On postoperative day one, the patient was started on a clear liquid diet. The following day, the patient passed flatus approximately five times. However, on postoperative day 3, the patient developed abdominal distention, nausea, and three episodes of emesis. An abdominal radiograph series revealed dilated loops of small bowel with multiple air-fluid levels but no additional intraperitoneal free air (Figure 2). Consequently, on postoperative day four, the patient’s diet was discontinued, a nasogastric tube was placed, and successful decompression of the abdomen was achieved. The following morning, the patient tolerated advancement to a full liquid diet and passed a small bowel movement. He was discharged home on postoperative day 5 with a regular diet.

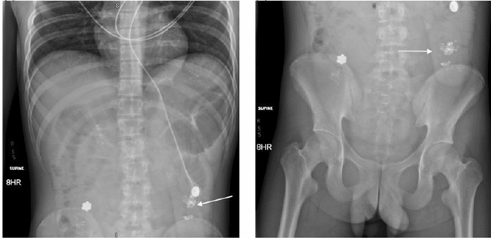
Figure 2. Radiographic Findings of Small Bowel Obstruction. Published with Permission

(Left) Supine and (right) upright abdominal radiographs demonstrating dilated loops of small bowel with multiple air-fluid levels, indicative of small bowel obstruction
(Left) Supine and (right) upright abdominal radiographs demonstrating dilated loops of small bowel with multiple air-fluid levels, indicative of small bowel obstruction

Within 24 hours following discharge, the patient returned to the emergency department with nausea, vomiting, worsening abdominal distention, and pain. He also endorsed cessation of flatus and increased belching. Laboratory workup revealed electrolyte derangements consistent with obstructive pathology, including mild hyponatremia, hypokalemia and hypochloremia (serum sodium 133 mmol/L, potassium 3.2 mmol/L, and chloride 97 mmol/L).5

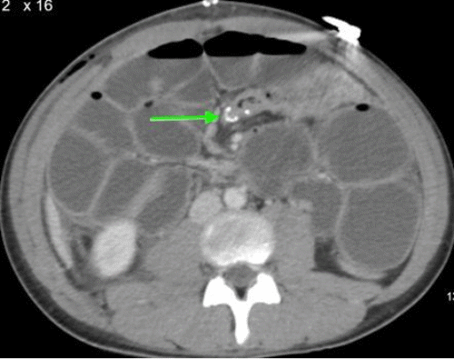
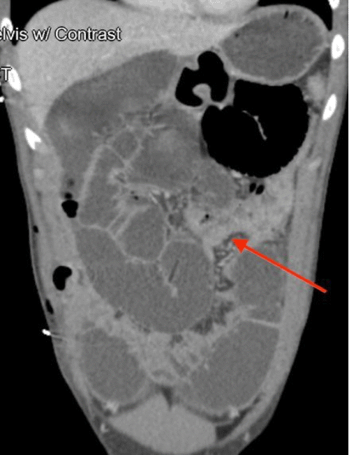
Contrast-enhanced CT scan of the abdomen and pelvis revealed findings consistent with mechanical obstruction. A transition point abutting the abdominal wall at the prior projectile injury site was noted proximal to the ileocolic anastomosis (Figure 3). A small bowel follow-through demonstrated small amounts of contrast in the distal small bowel loops at an 8-hour delay, indicating possible incomplete obstruction (Figure 4). Following discussion with the patient and guardian, a decision was made to perform a re-exploratory laparotomy.

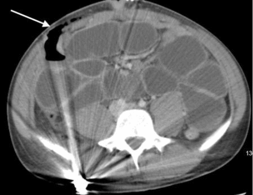
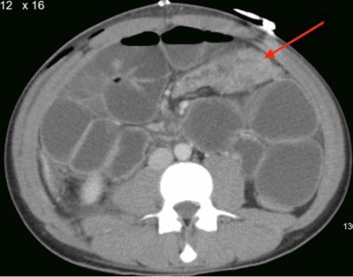
Figure 3. CT Depicting Mechanical Small Bowel Obstruction at Prior Injury Site. Published with Permission

Axial view demonstrating the transition point abutting the fascial defect in the abdominal wall
Axial view demonstrating the transition point abutting the fascial defect in the abdominal wall
(B) Axial view showing the collapsed bowel originating proximal to the ileocolic anastomosis (blue arrow)
(B) Axial view showing the collapsed bowel originating proximal to the ileocolic anastomosis (blue arrow)
(C) Axial view  of the ileocolic anastomosis (green arrow)
(C) Axial view of the ileocolic anastomosis (green arrow)
(D) Sagittal view of the ileocolic anastomosis (green arrow)
(D) Sagittal view of the ileocolic anastomosis (green arrow)
(E) Axial views showing collapsed bowel located distal to the anastomosis
(E) Axial views showing collapsed bowel located distal to the anastomosis
(F) Axial view showing collapsed bowel located proximal to the anastomosis
(F) Axial view showing collapsed bowel located proximal to the anastomosis

Figure 4. Small Bowel Follow-Through Radiographs Demonstrating Delayed Contrast Progression. Published with Permission

Small bowel follow-through radiographs, obtained after an 8-hour delay following oral contrast ingestion, revealing a trace amount of contrast in the distal small bowel (white arrow). (Left) Upper abdomen view and (right) lower abdomen view
Small bowel follow-through radiographs, obtained after an 8-hour delay following oral contrast ingestion, revealing a trace amount of contrast in the distal small bowel (white arrow). (Left) Upper abdomen view and (right) lower abdomen view

Intraoperatively, a strangulated abdominal hernia was identified. The antimesenteric wall of the distal jejunum was found protruding into the fascial defect created by the prior projectile injury. Significantly dilated bowel was observed proximal to the herniated segment, with complete collapse distally. The herniated segment was successfully reduced, and prompt decompression of the dilated bowel was noted. A 3 cm circular area of purple discoloration, mirroring the outline of the rigid fascial defect, overlaid the antimesenteric wall. This segment was closely inspected and showed no evidence of necrosis or gangrene. Additionally, extensive small bowel adhesions were observed and were freed using blunt dissection. The abdominal wall defect was closed with 0-Ethibond sutures. A 1.5 cm serosal tear at the mesenteric aspect was noted and repaired. The ileocolic anastomosis was in good repair, with no evidence of leak or obstruction. Following thorough abdominal irrigation, attention was redirected to the segment of strangulated jejunal wall to ensure adequate perfusion was regained. Upon re-examination, the antimesenteric wall appeared pink and viable, with near-complete resolution of the previous discoloration. The midline fascia was reapproximated to close the abdomen. The patient made an uneventful recovery. After tolerating a regular diet and return of bowel function, he passed three voluminous, well-formed stools and was discharged home on postoperative day 4 (postoperative day 10 from the initial laparotomy). No recurrence of the hernia or prior symptoms has occurred to date, three months postoperatively.

Discussion

The earliest documented case of Richter’s hernia was reported in 1598 by Fabricius Hildanus. However, the formal scientific description detailing the disease pathology was first defined in 1785 by the German surgeon August Gottlob Richter. In 1897, Sir Frederick Treves documented and presented Dr. Richter’s discovery, proposing the formal title “Richter’s hernia”.2 To date, Dr. Richter’s work remains the primary source of modern understanding of the disorder, supplemented by a limited collection of case studies and retrospective analyses published since that time.

Richter’s hernia is a high-risk gastrointestinal condition where the antimesenteric intestinal border becomes ensnared by a rigid and small hernia orifice. This condition is most frequently diagnosed in elderly females during the sixth and seventh decades of life.1‒3 The entrapped bowel segment typically involves the distal ileum, although any portion of the gastrointestinal tract may be affected. The most common site for hernia development is the femoral ring (36-88%), followed by the deep inguinal ring (12-36%) and lastly, the abdominal wall at incisional or laparoscopic port insertion sites.1,4 Following a systematic search of several databases, including PubMed and Cochrane Library, few cases were found that rival the novelty of the presented patient. To our knowledge, the presence of a symptomatic Richter’s hernia involving the jejunum and promptly developing through a defect in the abdominal wall fascia secondary to a projectile injury is exceedingly rare. Additionally, the adolescent male presentation deviates considerably from the typical aforementioned demographics. In cases of Richter’s hernia, morbidity and mortality commonly result from preoperative delays due to equivocal symptoms. In our patient, herniation was likely present prior to initial discharge but minimized by postoperative nasogastric tube placement. However, strangulation of the hernia was identified early, likely due to rapid development of his overt symptoms, possibly following discontinuation of enteral decompression, coupled with a heightened concern for bowel pathology given the recent small bowel resection and associated symptoms.

As previously mentioned, this unique hernia often presents with fluctuating, equivocal, or absent obstructive symptoms. It is believed that in most cases, less than two-thirds of the intestinal wall circumference is involved. This widely accepted theory, addressing the amount of herniated wall, was proposed in 1809 by Antonio Scarpa, a professor of surgery who studied the mechanism of mechanical bowel obstruction. Scarpa demonstrated in his experimental model that if two-thirds or more of the intestinal wall circumference was artificially strangulated, complete obstruction ensued when water was injected into the bowel lumen. In contrast, he reported near-complete absence of obstructive effects when one-third or less was constricted. Thus, Scarpa concluded that the amount of intestinal lumen herniated directly corresponds to the degree of intestinal obstruction. To date, no data verifies Scarpa’s research.6 Despite this, his theory regarding variable degrees of obstruction remains widely accepted due to consistencies between his observations and the well-understood pathophysiology of mechanical bowel obstructions.7

Richter’s hernia is characterized by rapid development of ischemia and prompt progression to necrosis, more so than ordinary strangulated hernias. Consequently, the condition is associated with a strikingly high rate of mortality (20-60%).2 This is attributed to two factors. First, the tight, constricting hernia ring exerts direct pressure on the entrapped bowel wall, compromising vascular supply. However, the free intestinal border, retaining adequate perfusion, offsets symptoms routinely accompanying mesenteric ischemia through collateral blood flow.1-4 Second, Scarpa’s theory and the natural course of partial bowel wall involvement leave the intestinal lumen free to transit gut contents, resulting in reduced or absent obstructive symptoms.5 The patient in this case clearly demonstrates the rapid disease progression, with equivocal, intermittent symptoms prior to discharge followed by rapid advancement to complete obstruction in under 24 hours, illustrating early partial bowel wall herniation with collateral blood supply. This rapid progression further evidences the insidious yet constant compromised bowel vasculature. Additionally, intraoperative evidence supported near-complete bowel obstruction despite only partial intestinal wall involvement, given a distinct transition point and prompt decompression of the dilated proximal bowel following reduction of the herniated bowel wall.

Certain advantageous factors contributed to the preservation of the strangulated intestine in this case of Richter’s hernia. First, the patient's mother proactively monitored his status, facilitating timely return to the emergency department for early re-evaluation. Additionally, upon readmission, the patient was instructed to take nothing by mouth. However, it was later disclosed that he continued to drink fluids, potentially exacerbating obstructive symptoms. This, combined with recent penetrating abdominal trauma, heightened concern for complete bowel obstruction secondary to anastomotic failure or missed intra-abdominal injury. These factors influenced the decision for re-exploration. Minimizing preoperative delay allowed for early identification of the strangulated hernia, preventing irreversible ischemia and necrosis requiring additional bowel resection.

Several evaluation modalities for Richter’s hernia, beyond physical examination, have been proposed, including imaging. Early and serial assessments with ultrasound and contrast-enhanced computed tomography are useful adjuncts to diagnosis. However, false negatives may occur, depending on defect size.11 Surgical exploration prior to manual reduction is the preferred treatment. In this case, the decision for re-exploration through the prior laparotomy site was clear. However, in cases with suspected bowel necrosis, laparotomy remains preferable to a laparoscopic approach.1,3

Preventative management of Richter’s hernias is an ongoing topic. With the increasing prevalence of laparoscopic and robotic surgery, the incidence of strangulated bowel obstruction may rise. Currently, closure of violated peritoneal orifices is common practice in stab wounds. However, there is no standardized approach for managing the peritoneal surface in gunshot wounds. In this case, adjustments in early postoperative management, such as delayed discharge to ensure full return of bowel function, may have expedited diagnosis. However, the only intervention to ultimately prevent reoperation remains initial closure of the fascial defect. Therefore, prompt closure and repair of fascial peritoneal hernia orifices in all penetrating abdominal injuries should be further investigated, as it may reduce adverse outcomes related to herniation, given the likely avoidance of obstruction and need for re-operation, as presented in this case.7,11

Conclusion

The morbidity and mortality associated with Richter’s hernia, including the need for bowel resection due to necrosis, can be reduced through early and accurate diagnosis followed by prompt surgical intervention. Early radiographic imaging is strongly recommended in cases of suspected Richter’s hernia, as it can overcome the insidious nature of the condition, which often complicates diagnosis and contributes to preoperative delays.10 Furthermore, we advocate for the primary closure of fascial wound defects following penetrating abdominal trauma whenever feasible.

Lessons Learned

Richter’s hernia can manifest as both an acute and chronic pathology. A low threshold for early serial imaging and re-exploration is essential in patients presenting with waxing and waning symptoms of partial bowel obstruction, particularly in the presence of known, unrepaired abdominal wall fascial defects resulting from trauma. This approach is critical for bowel preservation.

Authors

Braden L; Jones A

Author Affiliation

Division of Trauma and Acute Care Surgery, Kern Medical Center, Bakersfield, CA 93306

Corresponding Author

Lindsey Braden, MD
Department of General Surgery
Harbor-UCLA
1000 Carson Street
Torrance, CA 90506
Email: lbraden@dhs.lacounty.gov

Disclosure Statement

The authors have no conflicts of interest to disclose.

Funding/Support

The authors have no relevant financial relationships or in-kind support to disclose.

Received: September 13, 2023
Revision received: November 3, 2023
Accepted: January 2, 2024

References

  1. Steinke W, Zellweger R. Richter’s hernia and Sir Frederick Treves: an original clinical experience, review, and historical overview. Ann Surg. 2000;232(5):710-718. doi:10.1097/00000658-200011000-00014
  2. Kang CH, Tsai CY. Richter femoral hernia manifested by a progressive ileus. Formosan J Surg. 2014;47(5):193-196.
  3. Chen W, Liu L, Huang H, Jiang M, Zhang T. A case report of spontaneous umbilical enterocutaneous fistula resulting from an incarcerated Richter's hernia, with a brief literature review. BMC Surg. 2017;17(1):15. Published 2017 Feb 13. doi:10.1186/s12893-017-0216-z.
  4. Bourke JB. Small-intestinal obstruction from a Richter's hernia at the site of insertion of a laparoscope. Br Med J. 1977;2(6099):1393-1394. doi:10.1136/bmj.2.6099.1393.
  5. Cappell MS, Batke M. Mechanical obstruction of the small bowel and colon. Med Clin North Am. 2008;92(3):575-viii. doi:10.1016/j.mcna.2008.01.003.
  6. Giokas G, Karakousis CP. Richter hernia of the stomach. J Surg Oncol. 1998;69(1):51-53. doi:10.1002/(sici)1096-9098(199809)69:1<51::aid-jso10>3.0.co;2-q
  7. Meneshian A, Brooke B, Cornwell EE 3rd, Haut ER. Retroperitoneal gunshot wound hernia: an unusual cause of early postoperative small bowel obstruction after laparotomy for trauma. J Trauma. 2008;64(1):213-214. doi:10.1097/01.ta.0000224721.37451.c8.
  8. Boughey JC, Nottingham JM, Walls AC. Richter's hernia in the laparoscopic era: four case reports and review of the literature. Surg Laparosc Endosc Percutan Tech. 2003;13(1):55-58. doi:10.1097/00129689-200302000-00014.
  9. Tomohiro K, Tsurita G, Yazawa K, Shinozaki M. Ileal strangulation by a secondary perineal hernia after laparoscopic abdominoperineal rectal resection: A case report. Int J Surg Case Rep. 2017;33:107-111. doi:10.1016/j.ijscr.2017.02.005.
  10. Weerakkody Y, El-Feky M, Bell D, et al. Richter hernia. Reference article, Radiopaedia.org (Accessed on 31 May 2023). https://radiopaedia.org/articles/richter-hernia-1?lang=us
  11. Miller AN, Carroll EA, Pilson HT. Transabdominal gunshot wounds of the hip and pelvis. J Am Acad Orthop Surg. 2013;21(5):286-292. doi:10.5435/JAAOS-21-05-286.