Unsupported Browser
The American College of Surgeons website is not compatible with Internet Explorer 11, IE 11. For the best experience please update your browser.
Menu
Become a member and receive career-enhancing benefits

Our top priority is providing value to members. Your Member Services team is here to ensure you maximize your ACS member benefits, participate in College activities, and engage with your ACS colleagues. It's all here.

Become a Member
Become a member and receive career-enhancing benefits

Our top priority is providing value to members. Your Member Services team is here to ensure you maximize your ACS member benefits, participate in College activities, and engage with your ACS colleagues. It's all here.

Become a Member
ACS
ACS Case Reviews

Minimally Invasive Repair of Delayed Presentation of Incisional Hernia at PEG Site

June 23, 2025

Abstract

Background

Percutaneous endoscopic gastrostomy (PEG) tubes are a relatively common mechanism for administering nutrition to those who cannot achieve adequate intake by mouth. However, a rare, but potentially underreported complication of PEG tube removal is incisional hernia formation at the insertion site. The literature offers limited discussion of surgical repair options for these defects.

Summary

We present the case of a 56-year-old male who developed a ventral incisional hernia at the site of a previously removed PEG tube. The PEG tube had been removed one month after placement. Approximately two years after removal, the patient reported a progressively enlarging, painful bulge at the insertion site. A CT scan confirmed a 2 cm incisional hernia in the right upper quadrant. The patient underwent robotic ventral hernia repair utilizing primary closure and mesh reinforcement, with an uneventful recovery.

Conclusion

This case demonstrates a robotic approach to repairing an unusual, but likely underreported, complication of PEG tube removal. The literature currently provides limited discussion of repair options for these defects. While open and laparoscopic repairs have been described, a robotic approach to this defect has not yet been reported. Robotic repair should be considered an effective and minimally invasive alternative, particularly in high-risk patients with comorbidities.

Key Words

hernia; PEG; robotic surgery


Case Description

A 56-year-old white male presented to the general surgery clinic for evaluation of a painful bulge in the left upper quadrant of his abdomen. His medical history was significant for severe dysphagia following a stroke three years prior to his presentation, necessitating percutaneous endoscopic gastrostomy (PEG) tube placement. Approximately one month later, when he was able to obtain adequate nutrition orally, the PEG tube was removed in the outpatient clinic using the traction technique. No complications were noted at the time.

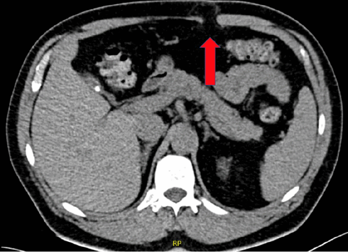
Approximately eight months after PEG tube removal, the patient noticed a bulge in the upper left abdomen that gradually increased in size and became more painful, particularly with coughing or lifting. He denied chronic constipation, cough, or urinary difficulties. Physical examination revealed a reducible bulge, prompting a CT scan of the abdomen and pelvis. The CT scan confirmed a 2 cm incisional hernia containing fat at the left upper quadrant, likely at the prior PEG tube insertion site (Figure 1).

Figure 1. Ventral Hernia on Abdominal CT Scan. Published with Permission

CT scan of the abdomen demonstrating a ventral hernia through a defect in the right upper quadrant
CT scan of the abdomen demonstrating a ventral hernia through a defect in the right upper quadrant

Following a detailed discussion of the potential risks, benefits, and treatment alternatives, the patient elected to proceed with robotic ventral hernia repair using mesh. Using the da Vinci robotic platform, the hernia sac was dissected and reduced. The 2 cm fascial defect was closed primarily, followed by mesh reinforcement using a 4.5 cm Bard Echo circular intraperitoneal onlay mesh (IPOM) (Figure 2). The patient recovered uneventfully and was discharged from the postanesthesia care unit (PACU) on the same day of surgery. A three-week follow-up clinic visit revealed good progress with no signs of complications.

Figure 2. Incisional Hernia Repair. Published with Permission

(A) Preoperative incisional hernia through a 2 cm defect at the prior PEG site. (B) Abdominal wall defect after robotic dissection and hernia reduction. (C) Primary closure of the fascial defect. (D) Defect reinforced with a 4.5 cm Bard Echo circular mesh
(A) Preoperative incisional hernia through a 2 cm defect at the prior PEG site. (B) Abdominal wall defect after robotic dissection and hernia reduction. (C) Primary closure of the fascial defect. (D) Defect reinforced with a 4.5 cm Bard Echo circular mesh

Discussion

A review of the literature revealed only five reported cases of incisional hernias developing at the site of a removed PEG tube, with two additional cases reported where the hernia occurred through an existing PEG tube.1‒6 Presentation included pain, leakage, or a bulge at the former PEG tube insertion site. Several studies have suggested risk factors that may contribute to this complication, including chronic cough (secondary to cystic fibrosis) and strenuous exercise undertaken soon after removal of the PEG tube.2,6 Notably, the majority of reported cases involved PEG tube placement through the linea alba, an established weak point in the abdominal wall, potentially predisposing patients to herniation.

In all previously reported cases, PEG tube removal was performed using the traction method, and most presented within four months following removal, with only one case presenting after about a year. While most hernias were identified as fat-containing, a case reported by Kaplan et al. described a hernia containing fat, omentum, and a small portion of the greater curvature of the stomach, highlighting the potential for Richter’s hernia in this type of defect and something to be on the lookout for.1 Management strategies were addressed only by Navarro et al., with one undergoing laparoscopic surgical repair and the other an open repair, both using a composite mesh.5

Previous recommendations for preventing PEG tube site hernias include avoiding the linea alba due to its inherent weakness, delaying PEG tube removal to allow for nutritional improvement, minimizing tension on the tube during removal, advising patients to avoid strenuous exercise post-removal, and exercising caution in patients with a history of abdominal hernias.1,2

In this case, we describe an incisional hernia at a previous PEG tube site presenting approximately two years following removal, a significantly delayed presentation compared to prior reports. Additionally, this defect was not located at the linea alba, as the PEG tube had been placed more laterally. Given the patient had no obvious risk factors for increased intra-abdominal pressure that may have increased the risk for this hernia, it is important to note that this complication can occur in the absence of identifiable risk factors. This case report offers the first description of a robotic-assisted approach for repairing a PEG site hernia.

Conclusion

Percutaneous endoscopic gastrostomy (PEG) tubes are widely used to provide enteral nutrition for patients unable to meet their nutritional needs orally. However, incisional hernia development following PEG tube removal is a rare but potentially underreported complication. The PEG site herniation in this case was repaired using a robotic approach, a technique not previously described in the literature, which represents a valuable option, particularly for higher-risk patients.

Lessons Learned

Ventral incisional hernia through a prior PEG tube placement site is a rare complication following PEG removal. Existing case reports are limited, with most lacking details on the repair process. Robotic repair using a circular mesh has been found to be an effective and minimally invasive approach for repairing this type of defect, particularly in high-risk patients with comorbid conditions.

Authors

Jasper PMa; Huettemann REb; Crookes BAb

Author Affiliations

  1. College of Medicine, Medical University of South Carolina, Charleston, SC 29425
  2. Department of Surgery, Medical University of South Carolina, Charleston, SC 29425

Corresponding Author

Polly M. Jasper, MD
College of Medicine
Medical University of South Carolina
96 Jonathan Lucas Street
Ste. 601
Charleston, SC 29425
Email: jasperp@musc.edu

Disclosure Statement

The authors have no conflicts of interest to disclose.

Funding/Support

The authors have no relevant financial relationships or in-kind support to disclose.

Received: July 24, 2022
Revision received: September 3, 2022
Accepted: September 6, 2022

References

  1. Kaplan R, Delegge M. An unusual case of a ventral Richter’s hernia at the site of a previous PEG tube. Dig Dis Sci. 2006;51(12):2389-2392. doi:10.1007/s10620-006-9357-0
  2. Boldo-Roda E, Peris-Trias A, de Lucia-Peñalver GP, Martinez-Ramos D, Miralles-Tena JM. Reflections in front of a case of ventral hernia after PEG tube removal. Gastrointest Endosc. 2005;62(2):323-324. doi:10.1016/s0016-5107(05)00555-9
  3. Chuang CH, Chen CY. Gastric herniation through PEG site. Gastrointest Endosc. 2003;58(3):416. doi:10.1067/s0016-5107(03)00018-x
  4. Kachare MD, Rossi AJ, Mahpour NY, Davidov T. Incisional Hernia After Percutaneous Endoscopic Gastrostomy Tube Placement: Importance of Avoiding the Linea Alba. ACG Case Rep J. 2019;6(7):e00120. Published 2019 Jul 16. doi:10.14309/crj.0000000000000120
  5. Navarro F, Loflin C, Diegidio P, Atwez A, Reeves J. Herniation through gastrostomy site: Case report. Int J Surg Case Rep. 2016;25:165-166. doi:10.1016/j.ijscr.2016.05.054
  6. Ozutemiz O, Oruc N, Tekin F, Ozgenc F, Yagci R. Ventral abdominal herniation through PEG site in a child with cystic fibrosis. Endoscopy. 2007;39 Suppl 1:E281. doi:10.1055/s-2007-966705