Unsupported Browser
The American College of Surgeons website is not compatible with Internet Explorer 11, IE 11. For the best experience please update your browser.
Menu
Become a member and receive career-enhancing benefits

Our top priority is providing value to members. Your Member Services team is here to ensure you maximize your ACS member benefits, participate in College activities, and engage with your ACS colleagues. It's all here.

Become a Member
Become a member and receive career-enhancing benefits

Our top priority is providing value to members. Your Member Services team is here to ensure you maximize your ACS member benefits, participate in College activities, and engage with your ACS colleagues. It's all here.

Become a Member
ACS
ACS Case Reviews

Laparoscopic Drainage after Failed Initial Management of Infected VP Shunt Pseudocyst

June 23, 2025

Abstract

Background

Abdominal pseudocyst (APC) formation represents a recognized, albeit infrequent, complication associated with ventriculoperitoneal (VP) shunting. This report details the case of an elderly female who presented with persistent abdominal pain and progressive distension attributable to a VP shunt-related APC, which was ultimately managed successfully via laparoscopic intervention following the failure of initial drainage procedures to resolve her symptoms.

Summary

A 78-year-old female presented with persistent abdominal pain and progressive abdominal distention that failed to improve after an outside hospital stay the previous month. During that prior admission, evaluation for new abdominal fluid concerning for ascites yielded negative results for malignancy, and she was discharged after empiric treatment for a suspected bowel obstruction without clinical improvement. Computed tomography (CT) found a new large abdominal pseudocyst associated with her VP shunt. Neurosurgery externalized the VP shunt and drained the pseudocyst, but the patient’s abdominal symptoms persisted. General surgery performed laparoscopic pseudocyst drainage with partial pseudocyst resection with symptom resolution. Following a course of antibiotics for presumed infection, the patient successfully underwent re-implantation of the VP shunt into the abdominal cavity.

Conclusion

This case highlights the crucial role of general surgeons in diagnosing and managing abdominal complications arising from VP shunts. It demonstrates the efficacy and potential advantages of a minimally invasive laparoscopic approach for APC management, even if initial open drainage failed. The management of infected APCs with partial cyst resection may contribute to successful VP shunt re-implantation within the preferred peritoneal site, potentially obviating the need for placement in alternative, more complex locations.

Key Words

ventriculoperitoneal shunts; abdominal pseudocysts; hydrocephalus; laparoscopy; abdominal obstruction; infected ventriculoperitoneal shunts


Case Description

A 78-year-old female with a past medical history of normal pressure hydrocephalus managed with a ventriculoperitoneal (VP) shunt presented to the emergency department with an acute exacerbation of abdominal pain, which had been persistent for the preceding month, accompanied by progressive abdominal distension. She reported regular bowel movements without signs of obstruction but endorsed increased urinary frequency, having recently received treatment for a urinary tract infection (UTI). Notably, she was admitted to an outside hospital three weeks prior with similar complaints. At that time, computed tomography (CT) of the abdomen/pelvis discovered abdominal ascites, raising concern for carcinomatosis; however, interventional radiology (IR) tapped the ascitic fluid, and cytology was negative for malignancy. She was managed conservatively for a suspected bowel obstruction and discharged, though her abdominal pain and distension persisted.

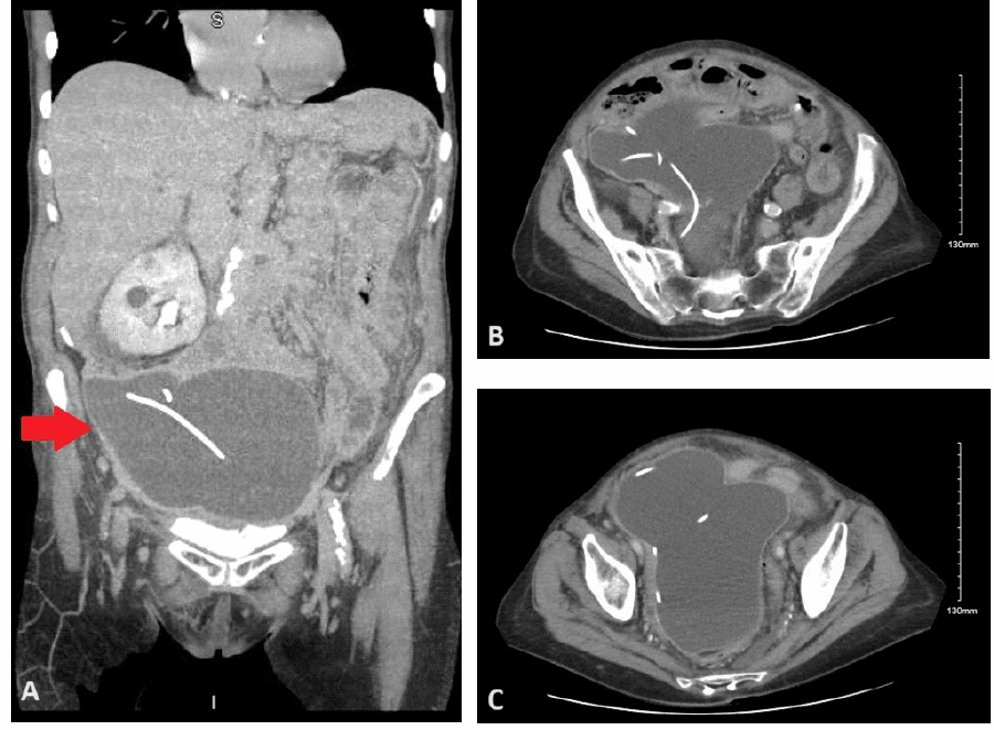
Upon presentation to our institution, the patient was hemodynamically stable and afebrile. Physical examination revealed severe abdominal distension with mild tenderness localized to the lower abdomen, but without signs of peritonitis. No focal neurological deficits were observed. Labs were significant for leukocytosis at 17.9 × 109/L and hyponatremia (128 mmol/L). A repeat CT of the abdomen/pelvis revealed a large abdominopelvic cystic collection measuring 17.0 × 14.5 × 11.0 cm, consistent with a VP shunt-associated abdominal pseudocyst (APC). This collection exerted significant mass effect upon the right ureter, resulting in moderate right-sided hydronephrosis (Figure 1). Broad-spectrum intravenous antibiotics were initiated.

Figure 1. CT Findings of Abdominal Pseudocyst. Published with Permission

(A) Coronal view highlighting the extensive nature of the pseudocyst (red arrow). (B, C) Axial views showing the large APC containing the distal VP shunt catheter tip and demonstrating significant mass effect
(A) Coronal view highlighting the extensive nature of the pseudocyst (red arrow). (B, C) Axial views showing the large APC containing the distal VP shunt catheter tip and demonstrating significant mass effect

General surgery was consulted; however, due to the lack of bowel obstruction and non-peritonitic abdominal exam, the primary concern shifted towards potential shunt infection manifesting as an APC. Following discussion with neurosurgery, the decision was made for urgent shunt externalization via a right mini-laparotomy on the day of admission, draining approximately 200cc of cerebrospinal fluid (CSF)-like fluid. Cultures obtained from this fluid subsequently grew Staphylococcus epidermidis, while CSF cultures sampled directly from the externalized shunt remained negative. The initial plan involved treating the presumed infection followed by delayed re-internalization of the distal shunt catheter.

Postoperatively, the patient’s abdominal pain and distention failed to resolve. A follow-up CT scan on hospital day 4 showed the persistence of the large pseudocyst and development of an associated ileus. Due to the lack of clinical improvement and the need for definitive source control, general surgery was re-consulted, and a laparoscopic cystectomy was planned for the following day. Intraoperatively, utilizing a 5mm optical trocar introduced at Palmer’s point (given no prior upper abdominal surgeries), the abdomen was insufflated without issue. A large, thick-walled pseudocyst was identified in the pelvis, densely adhered to adjacent bowel loops (Figure 2). The pseudocyst was opened laparoscopically, evacuating 520cc of serous fluid. A portion of the pseudocyst wall was resected to allow the bowel to fall into the pelvis. A Jackson-Pratt (JP) drain was placed in the pelvis cavity.

Figure 2. Intraoperative Laparoscopic Management of Abdominal Pseudocyst. Published with Permission

Laparoscopic views obtained during surgical drainage and fenestration of the abdominal pseudocyst. (A) Visualization of the thick-walled, fibrotic pseudocyst cavity in the pelvis after evacuation of serous fluid contents. (B) Internal view of the hollow pseudocyst cavity, demonstrating its smooth lining before partial wall resection/fenestration
Laparoscopic views obtained during surgical drainage and fenestration of the abdominal pseudocyst. (A) Visualization of the thick-walled, fibrotic pseudocyst cavity in the pelvis after evacuation of serous fluid contents. (B) Internal view of the hollow pseudocyst cavity, demonstrating its smooth lining before partial wall resection/fenestration

Postoperatively, the patient experienced immediate improvement in her abdominal symptoms. The JP drain produced minimal serous output and was removed on postoperative day 7. Infectious disease specialists tailored antibiotic therapy based on culture results, ultimately recommending a course of rifampin and cefazolin. Following seven consecutive days of negative CSF cultures from the externalized shunt system, the patient was cleared for shunt re-internalization. On hospital day 11, neurosurgery performed VP shunt replacement, and general surgery concurrently repositioned the distal catheter tip within the peritoneal cavity. Postoperatively, she recovered well and was discharged home without signs of recurrent pseudocysts or abdominal fluid. She completed a 4-week course of intravenous cefazolin and rifampin initiated from the time of her initial drainage procedure, transitioned to oral doxycycline for the final 10 days without complications.

Discussion

Abdominal pseudocyst formation is a rare complication associated with VP shunts, with reported incidences between 1% to 4.5%.1 The precise pathophysiology remains unknown, though several mechanisms have been proposed, including subclinical infection, peritoneal adhesions (potentially from prior surgeries), elevated cerebrospinal fluid (CSF) protein concentrations, multiple shunt revisions, and sterile inflammatory responses.2 Microbiologically, Staphylococcus epidermidis and Staphylococcus aureus are the organisms most frequently isolated from APC fluid cultures.3 Clinically, patients may present with neurological symptoms related to shunt malfunction or abdominal symptoms stemming from mass effect and compression; associated abdominal ascites can develop due to impaired peritoneal fluid absorption or extensive peritoneal scarring.4 Notably, infection rates are significantly higher in established pseudocysts compared to simple shunt-related ascites, potentially exceeding 15%.5 Our case demonstrates the rapid evolution of a pseudocyst, possibly from preexisting ascites, although any contribution from the antecedent paracentesis performed at the outside facility is speculative.

The APC management strategies primarily depend on the presence of symptoms and evidence of infection. Treatment modalities include percutaneous image-guided drainage, laparoscopic or open surgical drainage with or without repositioning of the distal catheter, and temporary shunt externalization followed by delayed reimplantation. The definitive presence of infection generally necessitates shunt externalization and antimicrobial therapy. Kashyap et al. proposed a treatment algorithm stratifying management based on symptoms and infection status:6 asymptomatic pseudocysts may be observed, while symptomatic cases require evaluation for infection. Non-infected pseudocysts can potentially be managed with percutaneous drainage or surgical drainage (laparoscopic or open) combined with distal catheter repositioning. Conversely, infected pseudocysts mandate shunt externalization, drainage, tailored antibiotic therapy guided by infectious disease consultation, and eventual shunt reimplantation, potentially requiring placement of the distal catheter at an alternative site.

Laparoscopy has emerged as a valuable tool in APC management since its initial description by Kim et al.,7 often involving partial cyst wall resection, fluid drainage, and potential catheter repositioning within a single procedure if infection is absent. The concern for infection determines if a single procedure is sufficient or if the VP shunt requires externalization before reimplantation. While large-scale comparative studies versus open drainage are lacking, laparoscopy offers the benefits of faster recovery and reduced postoperative pain. comprehensive visualization of the abdominal cavity, facilitation of optimal catheter placement, and potentially reduced operative time, blood loss, and length of hospital stay.8 Distal catheter reimplantation has been successful intraperitoneal or alternative sites such as the cardiac atrium, pleura space, or gallbladder.3,9

While pseudocyst wall resection is often cited as an important factor in improving CSF reabsorption for reimplantation, Gaskill et al. reported a 12-patient case series of APC treatment with CSF diversion alone where pseudocysts spontaneously reabsorbed without excision or aspiration.10 However, many advocate for partial or complete wall resection to enhance CSF reabsorption, prevent recurrence, and expedite symptom resolution, an approach supported by the outcome in our patient. Complete resection is often challenging and carries increased risk due to dense adhesions to surrounding structures, particularly bowel, potentially leading to complications such as enterotomy.11,12 Resection allowing for resolution of pseudocyst mass effect and free abdominal mobilization appears adequate for improvement as seen in our patient.

Conclusion

Although APC formation secondary to VP shunting is well-documented in pediatric populations, this complication also significantly affects adult patients. Effective management often benefits from a collaborative, multidisciplinary approach involving both neurosurgery and general surgery. As highlighted by this case and supported by emerging literature, the integration of general surgical expertise, particularly utilizing minimally invasive techniques, can substantially improve patient outcomes and mitigate morbidity associated with complex VP shunt complications.13

Lessons Learned

Laparoscopy offers a valuable minimally invasive approach for performing adhesiolysis and achieving definitive pseudocyst decompression via fenestration or partial resection. Notably, this technique can facilitate symptom resolution and help preserve the peritoneal cavity as a viable site for subsequent distal shunt reimplantation, even following successful treatment of an associated infection. While large-scale studies focusing specifically on APC management in adults are currently lacking, this case contributes to the evidence supporting the use of laparoscopy by general surgeons as an effective strategy to address challenging shunt complications, potentially avoiding more invasive interventions and aiding in the salvage of intraperitoneal CSF diversion.

Authors

Karcher BCa; Andersen SRb; Adair MJc

Author Affiliations

  1. Department of Surgery, University of Illinois at Chicago, Chicago, IL 60612
  2. University of Illinois College of Medicine Rockford, Rockford, IL 61107
  3. Department of Surgery, OSF St. Anthony Medical Center, Rockford, IL 61107

Corresponding Author

Brandon C. Karcher, MD
Department of Surgery
University of Illinois at Chicago
1740 W. Taylor Street
Chicago, IL 60612
Email: bkarch2@uic.edu

Disclosure Statement

The authors have no conflicts of interest to disclose.

Funding/Support

The authors have no relevant financial relationships or in-kind support to disclose.

Received: September 19, 2023
Revision received: January 10, 2024
Accepted: February 28, 2024

 

References

  1. Ohba S, Kinoshita Y, Tsutsui M, et al. Formation of abdominal cerebrospinal fluid pseudocyst. Neurol Med Chir (Tokyo). 2012;52(11):838-842. doi:10.2176/nmc.52.838
  2. Erşahin Y, Mutluer S, Tekeli G. Abdominal cerebrospinal fluid pseudocysts. Childs Nerv Syst. 1996;12(12):755-758. doi:10.1007/BF00261593
  3. Hamid R, Baba AA, Bhat NA, Mufti G, Mir YA, Sajad W. Post ventriculoperitoneal shunt abdominal pseudocyst: challenges posed in management. Asian J Neurosurg. 2017;12(1):13-16. doi:10.4103/1793-5482.145539
  4. Ferreira Furtado LM, Da Costa Val Filho JA, Moreira Faleiro R, Lima Vieira JA, Dantas Dos Santos AK. Abdominal complications related to ventriculoperitoneal shunt placement: a comprehensive review of literature. Cureus. 2021;13(2):e13230. doi:10.7759/cureus.13230
  5. Townsend CM Jr, Beauchamp RD, Evers BM, Mattox KL, eds. Sabiston Textbook of Surgery: The Biological Basis of Modern Surgical Practice. 17th ed. Elsevier Saunders; 2004. (Note: Assuming editors and edition for the specified year. The original entry lacked author/editor information required for full AMA book citation).
  6. Kashyap S, Ghanchi H, Minasian T, Dong F, Miulli D. Abdominal pseudocyst as a complication of ventriculoperitoneal shunt placement: review of the literature and a proposed algorithm for treatment using 4 illustrative cases. Surg Neurol Int. 2017;8:78. doi:10.4103/2152-7806.206007
  7. Kim HB, Raghavendran K, Kleinhaus S. Management of an abdominal cerebrospinal fluid pseudocyst using laparoscopic techniques. Surg Laparosc Endosc. 1995;5(2):151-154.
  8. Sebastian M, Sebastian A, Sroczyński M, Rudnicki J. Laparoscopic management of abdominal pseudocyst following ventriculoperitoneal shunt implantation in hydrocephalus. Wideochir Inne Tech Maloinwazyjne. 2018;13(2):260-265. doi:10.5114/wiitm.2018.72729
  9. Popa F, Grigorean VT, Onose G, Popescu M, Strambu V, Sandu AM. Laparoscopic treatment of abdominal complications following ventriculoperitoneal shunt. J Med Life. 2009;2(4):426-436.
  10. Gaskill SJ, Marlin AE. Spontaneous bacterial peritonitis in patients with ventriculoperitoneal shunts. Pediatr Neurosurg. 1997;26(3):115-119. doi:10.1159/000121175
  11. Achufusi TGO, Chebaya P, Rawlins S. Abdominal cerebrospinal fluid pseudocyst as a complication of ventriculoperitoneal shunt placement. Cureus. 2020;12(7):e9363. doi:10.7759/cureus.9363
  12. Karavdic K, Karamustafic A, Herenda N. Laparoscopic management of postventriculoperitoneal shunt abdominal pseudocyst in a 10-year-old girl. Surgeries. 2019;1(1).
  13. Dowlati E, Shashaty M, Carroll AH, et al. General surgery involvement with ventriculoperitoneal shunt insertions reduces revision rates. Clin Neurol Neurosurg. 2020;199:106263. doi:10.1016/j.clineuro.2020.106263