Unsupported Browser
The American College of Surgeons website is not compatible with Internet Explorer 11, IE 11. For the best experience please update your browser.
Menu
Become a member and receive career-enhancing benefits

Our top priority is providing value to members. Your Member Services team is here to ensure you maximize your ACS member benefits, participate in College activities, and engage with your ACS colleagues. It's all here.

Become a Member
Become a member and receive career-enhancing benefits

Our top priority is providing value to members. Your Member Services team is here to ensure you maximize your ACS member benefits, participate in College activities, and engage with your ACS colleagues. It's all here.

Become a Member
ACS
ACS Case Reviews

Isolated Gallbladder Rupture After Blunt Abdominal Trauma

June 23, 2025

Abstract

Background

Traumatic gallbladder rupture resulting from blunt abdominal trauma is rare and frequently associated with concomitant intra-abdominal injuries. Isolated gallbladder rupture following blunt abdominal trauma is an exceptionally rare event with high morbidity.

Summary

A 57-year-old male presented to the emergency department (ED) after a motorcycle accident with mild, diffuse abdominal tenderness. Initial CT of the chest, abdomen, and pelvis showed an unremarkable abdomen with no acute intra-abdominal process. In addition to negative chest and pelvis plain films, subsequent imaging with a CTA chest and CT abdomen/pelvis was unremarkable. On hospital day 3, the patient complained of new-onset abdominal pain, which prompted repeat imaging. This demonstrated a new perihepatic fluid collection that extended down the right paracolic gutter into the pelvis. Due to concern for potential bowel injury, an exploratory laparotomy was performed. The small bowel, colon, spleen, liver, and stomach were normal with no injuries identified. On inspection of the gallbladder, there was a large hole in the fundus. A cholecystectomy was performed using a standard top-down approach. The patient steadily improved and was discharged to acute rehabilitation for physical and cognitive therapy.

Conclusion

Isolated gallbladder perforation after blunt abdominal trauma is an extremely rare injury and often presents with a delayed diagnosis. Cholecystectomy is the definitive treatment, and laparoscopic or open approaches may be used.

Key Words

isolated gallbladder rupture; blunt abdominal trauma


Case Description

A 57-year-old male with a past medical history of hypertension, hyperlipidemia, coronary artery disease, and myocardial infarction (status post-stent placement on clopidogrel) presented to the emergency department (ED) via Emergency Medical Services (EMS) following a motorcycle accident. The patient, who was not wearing a helmet, crashed his motorcycle into a ditch while traveling at approximately 50 miles per hour.

Upon arrival at the ED, the patient was hemodynamically stable and alert but exhibited mild confusion, with a Glasgow Coma Scale (GCS) score of 14. He reported diffuse pain and demonstrated mild, diffuse abdominal tenderness. Physical examination revealed no contusions, seatbelt sign, or other overt signs of abdominal trauma. He underwent a trauma pan-computed tomography (CT) scan, including CT of the head and cervical spine, computed tomography angiography (CTA) of the chest, and CT of the abdomen and pelvis. CT of the head revealed a 1.2 × 0.9 cm subarachnoid hemorrhage (SAH). Chest radiography showed no acute pulmonary or cardiac pathology. The CT of the chest, abdomen, and pelvis revealed no acute abnormalities. Neurosurgery was consulted for the SAH, which was managed nonoperatively. Due to acute hypoxemic respiratory failure, the patient was intubated and admitted to the intensive care unit (ICU) for observation.

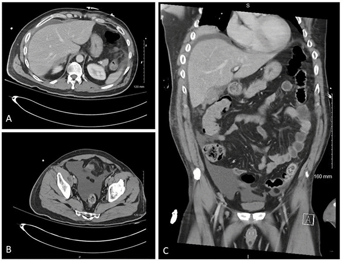
On hospital day 3, the patient’s confusion, attributed to his traumatic brain injury, persisted, but he was able to verbalize worsening abdominal pain. Physical examination revealed tenderness to palpation in the right upper quadrant. No fever or leukocytosis was present. The patient’s total bilirubin level had slightly increased from 0.6 mg/dL to 1.3 mg/dL. Repeat CT of the abdomen and pelvis demonstrated a new perihepatic fluid collection extending down the right paracolic gutter into the pelvis (Figure 1). Due to concerns for potential bowel injury, the patient was taken to the operating room for exploratory laparotomy.

Figure 1. Radiographic Evidence of Intra-abdominal Fluid Accumulation following Delayed Gallbladder Rupture. Published with Permission.

CT of the abdomen and pelvis on hospital day 3 demonstrating intra-abdominal fluid accumulation. (A) Axial view showing free fluid in the right perihepatic space. (B) Axial view showing ascites in the lower pelvis. (C) Coronal view showing free fluid in the right perihepatic space, right paracolic gutter, and lower pelvis
CT of the abdomen and pelvis on hospital day 3 demonstrating intra-abdominal fluid accumulation. (A) Axial view showing free fluid in the right perihepatic space. (B) Axial view showing ascites in the lower pelvis. (C) Coronal view showing free fluid in the right perihepatic space, right paracolic gutter, and lower pelvis

Intraoperatively, a large amount of dark green bilious fluid was encountered immediately upon opening the abdomen, raising suspicion for a proximal small bowel injury. A systematic exploration of the abdomen was performed. The small bowel was examined from the ligament of Treitz to the rectum, revealing no injuries. The spleen, liver, stomach, and visualized duodenum were normal, with no injuries identified. Upon inspection of the gallbladder, a large fundal perforation was observed, from which bile was emanating (Figure 2). The gallbladder was not avulsed from the liver, and the injury was confined to the gallbladder itself. A cholecystectomy was performed using a standard top-down approach. The gallbladder specimen was sent to pathology. A Jackson-Pratt (JP) drain was placed in the gallbladder fossa. The patient was then transported, intubated, to the ICU in stable condition, remaining intubated due to acute hypoxemic respiratory failure.

Figure 2. Intraoperative Visualization of Isolated Gallbladder Fundal Perforation. Published with Permission.

Intraoperative photograph demonstrating isolated rupture of the gallbladder. The arrow indicates the perforation of the gallbladder fundus
Intraoperative photograph demonstrating isolated rupture of the gallbladder. The arrow indicates the perforation of the gallbladder fundus

The patient was successfully extubated on postoperative day one. He remained hospitalized while his traumatic brain injury improved and awaited insurance approval for outpatient rehabilitation. The JP drain was removed on postoperative day seven after continued minimal serosanguineous drainage. The SAH was successfully managed nonoperatively. The patient’s postoperative course was uncomplicated, and he was discharged to acute rehabilitation for physical and cognitive therapy.

Discussion

Rupture of the gallbladder secondary to blunt abdominal trauma is a rare injury, occurring in approximately 2% of blunt intra-abdominal injuries.1,2 Due to its anatomic location, the gallbladder is well protected. When traumatic gallbladder rupture does occur, it is often associated with other intra-abdominal injuries and most commonly  results from penetrating trauma.1,2 The estimated incidence of isolated gallbladder rupture following blunt abdominal trauma is 0.067%, based on a retrospective review of 1449 patients with blunt intra-abdominal injuries.2

Four factors have been identified as prediposing patients to gallbladder rupture after blunt abdominal trauma: thin-walled gallbladder, degree of gallbladder filling at the time of trauma, alcohol ingestion, and cirrhosis.3 Alcohol ingestion increases gastrin and secretin secretion, which stimulates bile flow, elevates common bile duct pressure, and increases the likelihood of rupture.3 In cirrhotic patients, the firm liver no longer provides adequate cushioning to the gallbladder, increasing the risk of injury.3 Additionally, impacted gallstones, hypotension, and vasopressor use may be potential risk factors. Our patient did not exhibit any of these prediposing factors.

Diagnosing isolated traumatic gallbladder perforation is challenging and often results in delayed diagnosis, which is associated with significant morbidity.1,4,5 The initial symptoms of a ruptured gallbladder can be vague prior to the development of bile peritonitis or other systemic manifestations.2,5-7 Gallbladder rupture is frequently diagnosed during laparotomy, as radiographic evaluation often reveals nonspecific findings, such as free fluid in the peritoneal cavity or pericholecystic region.5 In this case, no evidence of gallbladder rupture was apparent until the patient developed signs of peritonitis on hospital day three. Even in retrospect, no subtle or overt radiographic signs suggested gallbladder rupture as the source of the patient’s abdominal free fluid.

The definitive treatment for gallbladder rupture is cholecystectomy. Laparoscopic approaches have been successfully utilized to manage gallbladder perforations.7,8 However, an open approach may be preferred when the diagnosis remains uncertain, as in this case. This case highlights the typical delayed presentation of isolated gallbladder rupture and underscores the importance of including this entity in the differential diagnosis of patients with blunt abdominal trauma.

Conclusion

This report presents a rare case of isolated gallbladder perforation resulting from blunt abdominal trauma. Clinicians should maintain a high index of suspicion for this infrequent injury, as its nonspecific clinical and radiographic findings can lead to delayed diagnosis and potentially life-threatening complications. Prompt surgical intervention with cholecystectomy facilitates a favorable outcome.

Lessons Learned

Isolated gallbladder rupture is an exceedingly rare, yet potentially life-threatening, injury that should be included in the differential diagnosis of patients with intra-abdominal free fluid following blunt abdominal trauma. Physical examination and imaging often fail to identify this isolated injury, and diagnosis is frequently established during laparotomy. Cholecystectomy remains the definitive treatment.

Authors

Andersen SRa; Price Pa; Masteller Ma,b

Author Affiliations

  1. University of Illinois College of Medicine Rockford, Rockford, IL 61107
  2. Department of Surgery, Mercyhealth Javon Bea Hospital, Rockford, IL 61114

Corresponding Author

Corresponding Author
Samantha R. Andersen
University of Illinois College of Medicine Rockford
1601 Parkview Avenue
Rockford, IL 61107
Email: sande25@uic.edu

Disclosure Statement

The authors have no conflicts of interest to disclose.

Funding/Support

The authors have no relevant financial relationships or in-kind support to disclose.

Received: September 14, 2023
Revision received: December 1, 2023
Accepted: January 24, 2024

References

  1. Sharma O. Blunt gallbladder injuries: presentation of twenty-two cases with review of the literature. J Trauma. 1995;39(3):576-580.
  2. Soderstrom CA, Maekawa K, DuPriest RW Jr, Cowley RA. Gallbladder injuries resulting from blunt abdominal trauma: an experience and review. Ann Surg. 1981;193(1):60-66.
  3. Su HY, Wu MC, Chuang SC. Isolated gallbladder rupture following blunt abdominal injury. Niger J Clin Pract. 2016;19(2):301-302.
  4. Jaggard MK, Johal N, Haddad M, Choudhry M. Isolated gallbladder perforation following blunt abdominal trauma in a six-year-old child. Ann R Coll Surg Engl. 2011;93(5):e29-e31.
  5. Testini V, Tupputi U, Rutigliano C, Guerra FS, Mannatrizio D, Bellitti R, Scarabino T, Guglielmi G. A rare case of isolated gallbladder rupture following blunt abdominal trauma. Acta Biomed. 2023;94(S1):e2023207. PMID: 37466840.
  6. Kwan BYM, Plantinga P, Ross I. Isolated traumatic rupture of the gallbladder. Radiol Case Rep. 2015;10(1):1029. doi:10.2484/rcr.v10i1.1029.
  7. Kohler R, Millin R, Bonner B, Louw A. Laparoscopic treatment of an isolated gallbladder rupture following blunt abdominal trauma in a schoolboy rugby player. Br J Sports Med. 2002;36(5):378-379; discussion 379.
  8. Egawa N, Ueda J, Hiraki M, Ide T, Inoue S, Sakamoto Y, Noshiro H. Traumatic Gallbladder Rupture Treated by Laparoscopic Cholecystectomy. Case Rep Gastroenterol. 2016;10(2):212-217.