Unsupported Browser
The American College of Surgeons website is not compatible with Internet Explorer 11, IE 11. For the best experience please update your browser.
Menu
Become a member and receive career-enhancing benefits

Our top priority is providing value to members. Your Member Services team is here to ensure you maximize your ACS member benefits, participate in College activities, and engage with your ACS colleagues. It's all here.

Become a Member
Become a member and receive career-enhancing benefits

Our top priority is providing value to members. Your Member Services team is here to ensure you maximize your ACS member benefits, participate in College activities, and engage with your ACS colleagues. It's all here.

Become a Member
ACS
ACS Case Reviews

Gallbladder Metastasis Originating from Renal Cell Carcinoma

June 23, 2025

Abstract

Background

Metastasis of renal cell carcinoma (RCC) to the gallbladder (GB) represents an infrequent clinical finding. Nevertheless, the early detection and accurate diagnosis of GB metastases are increasingly recognized as important factors influencing the prognosis and management strategy for patients with advanced RCC.

Summary

We present the case of a 53-year-old male diagnosed with gallbladder metastasis originating from renal cell carcinoma, identified seven years following a partial right nephrectomy for the primary tumor. The patient presented with intermittent abdominal pain, prompting routine surveillance imaging via computed tomography (CT). Radiological assessment revealed an 8 mm, non-calcified, multilobulated, polypoid soft tissue mass arising from the anterior gallbladder wall. Subsequent cholecystectomy was performed, and histopathological examination coupled with immunohistochemical staining (positive for PAX-8 and CD10) confirmed the diagnosis of metastatic RCC. This report details this case of a pedunculated, polypoid gallbladder lesion representing RCC metastasis and includes a review of pertinent literature, aiming to identify common clinical and imaging features to improve diagnostic accuracy for this rare metastatic site.

Conclusion

Gallbladder metastasis from RCC is a rare occurrence, often detected incidentally during oncologic surveillance. The identification of suspicious polypoid gallbladder lesions, particularly in patients with a history of renal cell carcinoma, mandates a high index of suspicion and thorough investigation to exclude metastatic involvement, as exemplified by this case.

Key Words

gallbladder metastasis; renal cell carcinoma; partial nephrectomy; cholecystectomy

 


Case Description

A 53-year-old male with a history of renal cell carcinoma (RCC) presented for gastroenterological consultation regarding a gallbladder mass identified during routine annual imaging surveillance. The patient had undergone a partial right nephrectomy involving the upper pole seven years prior for RCC at an external institution, without receiving subsequent adjuvant immunotherapy. Given the absence of a relevant family history and incomplete information regarding the primary tumor characteristics, hereditary RCC syndromes were not suspected, and the patient was managed with annual surveillance imaging. A surveillance computed tomography (CT) scan performed seven years post-nephrectomy demonstrated no evidence of local recurrence in the right kidney; however, it incidentally revealed a vascular, multilobulated, enhancing lesion within the gallbladder.

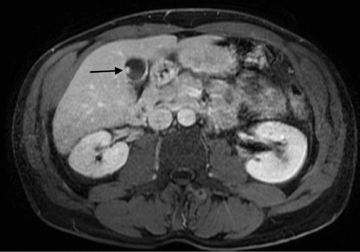
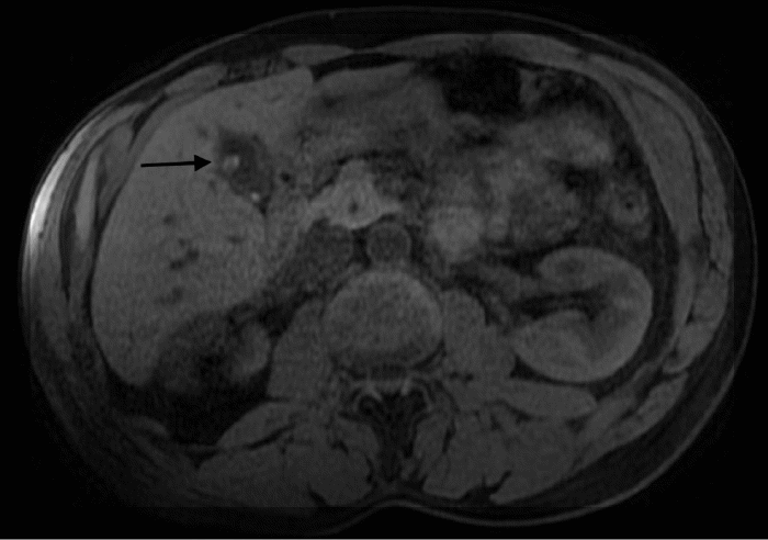
Clinically, the patient reported intermittent abdominal pain, which notably did not worsen postprandially. He denied any history of cholelithiasis, nausea, vomiting, diarrhea, melena, hematochezia, jaundice, or significant weight loss. His social history was significant for daily consumption of three to four cigars and previous heavy alcohol use (12 to 14 drinks per week). Physical examination findings were unremarkable, and laboratory investigations revealed no abnormalities. Based on the patient's symptomatology and the identified gallbladder mass, further diagnostic evaluation with magnetic resonance imaging (MRI) with and without contrast, supplemented by magnetic resonance cholangiopancreatography (MRCP), was pursued one month later. Multiplanar, multisequence MRI demonstrated an 8-millimeter, non-calcified, soft-tissue mass arising from the anterior gallbladder wall, consistent in appearance with a polyp. (Figure 1 and Figure 2). T2-weighted imaging confirmed this finding and also identified small superiorly located gallstones without overt gallbladder wall thickening. The MRCP component of the study yielded unremarkable findings regarding the biliary tree.

Figure 1. MRI without contrast with MRCP. Published with Permission

Figure 2. MRI with contrast with MRCP. Findings: Non-calcified soft tissue mass arising from the anterior wall of the gallbladder. Published with Permission

Given these findings, a cholecystectomy was recommended and subsequently performed two weeks following the MRI/MRCP. Intraoperatively, the gallbladder polyp was identified and marked, with no gross visual evidence suggestive of malignancy. Pathological examination of the specimen revealed a pedunculated polypoid lesion measuring 1.5 × 0.3 × 0.5 cm, exhibiting surface ulceration and erosion. This lesion protruded into the gallbladder fundus, located 3.0 cm from the cystic duct margin on the hepatic aspect. The gallbladder lumen contained debris mixed with black, friable calculi (largest measuring 0.7 × 0.5 × 0.4 cm). Surgical margins, including the liver bed, were negative for metastatic involvement. Although initial assessment based on preoperative imaging and intraoperative appearance favored a diagnosis of a primary gallbladder polyp, definitive histopathological analysis, including immunohistochemical staining, confirmed metastatic RCC. The tumor cells demonstrated positive staining for PAX-8 and CD10, consistent with a renal origin. Consequently, the patient was referred to medical oncology for systemic staging via positron emission tomography (PET).

Discussion

Metastasis of RCC to the gallbladder represents an infrequent clinical event. Although RCC disseminates metastatically in over one-third of affected individuals, the most commonly implicated sites remain the lungs, liver, bone, brain, and adrenal glands.1 Given the relative paucity of documented instances in the medical literature, cases of RCC metastasis to the gallbladder warrant reporting to enhance clinical understanding.

This report details the case of a 53-year-old male in whom a gallbladder lesion was incidentally discovered during routine surveillance imaging, seven years following a partial nephrectomy for RCC. Current guidelines from the American Urological Association (AUA) and the National Comprehensive Cancer Network (NCCN) advocate for routine imaging surveillance (CT or MRI) for a minimum of five years post-resection due to the significant risk of local and distant recurrence associated with RCC. Beyond this period, surveillance strategies are typically individualized, balancing recurrence risk against the potential harms of radiation exposure and healthcare costs. In this instance, surveillance was extended beyond the five-year mark due to patient preference and the unavailability of detailed original diagnostic and pathological information. Unfortunately, these original records remain inaccessible, precluding specific conclusions regarding primary tumor characteristics that might predispose to this unusual pattern of metastasis. The surveillance imaging at the seven-year follow-up identified an 8-millimeter, multilobulated, vascular mass within the gallbladder. Considering the rarity of RCC gallbladder metastasis and its anterior wall location, the lesion was initially presumed to be a primary gallbladder polyp.

Gallbladder polyps are broadly classified as either pseudopolyps (benign cholesterol polyps being the most common type) or true polyps, the latter possessing malignant potential, though constituting only about 5% of cases.2 The decision to pursue cholecystectomy for a polyp requires careful consideration of surgical risks, including bile duct injury, bile leaks, and damage to adjacent structures.3 Epidemiologically, gallbladder polyps are more prevalent in middle-aged males (male-to-female ratio approximately 1.15:1, average age 49 years).2 A significant proportion (>64%) are discovered incidentally during investigations for unrelated conditions, with the majority being asymptomatic. Literature reviews suggest that sessile morphology may confer a higher malignant potential compared to pedunculated forms; McCain et al. reported a malignancy rate of 24.8% for solitary sessile polyps, reinforcing cholecystectomy as the recommended management in such cases.3 Updated European guidelines recommend cholecystectomy for polyps ≥10 mm, or for those measuring 6-9 mm if associated with risk factors such as age >60 years, history of primary sclerosing cholangitis, Asian ethnicity, or sessile morphology with focal wall thickening >4 mm.4 In our patient, the mass size, symptomatology (despite being atypical), and underlying history of RCC prompted further characterization with contrast-enhanced MRI and MRCP, ultimately leading to a consensus decision for cholecystectomy.

To contextualize this case, a literature review was conducted via PubMed using the terms "Renal Cell Carcinoma AND Gallbladder Metastasis," yielding 88 initial results. After applying exclusion criteria (non-English language articles, cohort studies, systematic reviews, meta-analyses), 51 publications describing 57 unique patients remained for analysis.5 We performed a characteristic stratification analysis to identify potential trends, which revealed a cohort comprising 36 males and 21 females, with a mean age of 61 years. Our survey findings align with those of Patterson et al., who noted an average age of 62 years and a male predominance in their review covering the preceding decade.6 Our review indicated that RCC metastasis to the gallbladder was detected an average of 4.2 years post-nephrectomy (partial or radical). Data available for 40 patients showed that 25 (62.5%) presented symptomatically. Among the 22 patients with incidentally discovered gallbladder metastases, 6 presented concurrently with other distant metastatic sites (pancreas, lung, adrenal, stomach, contralateral kidney). All 22 incidental cases were managed with cholecystectomy. Notably, review of these cases revealed no consistent patterns regarding the depth of invasion, size, or specific location of the metastatic deposit within the gallbladder (Table 1).

Table 1. Case Literature Review. Published with Permission

Conclusion

Metastasis of RCC to the gallbladder remains an uncommon manifestation. Including the present case, cumulative data suggest a predilection for males with an average age of approximately 61 years at the time of gallbladder metastasis detection. This case underscores the importance of adhering to established guidelines for the evaluation and management of gallbladder masses, particularly emphasizing that delayed RCC metastasis should be included in the differential diagnosis whenever a polypoid gallbladder lesion is detected during surveillance following nephrectomy, irrespective of the time elapsed since initial treatment. The potential for metastatic disease to mimic benign gallbladder polyps both radiographically and symptomatically necessitates clinical vigilance.

Lessons Learned

This case reinforces the principle that management strategies for gallbladder polyps must integrate the patient’s complete medical history, specifically accounting for prior malignancies that elevate the risk profile. Surgeons and clinicians evaluating such lesions should remain cognizant of the possibility of latent RCC metastasis. Ultimately, this report highlights the critical role of sustained, long-term surveillance for all patients with a history of RCC and the necessity for meticulous risk assessment and decision-making when managing incidental gallbladder findings in this population, given the potential for delayed metastatic presentation.

Authors

Gerhart CRa; Snowden Ja; Logarajah Sb; Jeyarajah Ra,b

Author Affiliations

  1. Burnett School of Medicine at TCU, Fort Worth, TX 76107
  2. Department of Surgery, Methodist Richardson Medical Center, Richardson, TX 75082

Corresponding Author

D. Rohan Jeyarajah, MD
Methodist Richardson Medical Center
Richardson, TX 75082
Email: rohanjeyarajah@gmail.com

Disclosure Statement

The authors have no conflicts of interest to disclose.

Funding/Support

The authors have no relevant financial relationships or in-kind support to disclose.

Received: September 15, 2023
Revision received: November 13, 2023
Accepted: January 2, 2024

References

  1. Flanigan RC, Campbell SC, Clark JI, Picken MM. Metastatic renal cell carcinoma. Curr Treat Options Oncol. 2003;4(5):385-390. doi:10.1007/s11864-003-0039-2
  2. Andrén-Sandberg A. Diagnosis and management of gallbladder cancer. N Am J Med Sci. 2012;4(7):293-299. doi:10.4103/1947-2714.98586
  3. McCain RS, Diamond A, Jones C, Coleman HG. Current practices and future prospects for the management of gallbladder polyps: a topical review. World J Gastroenterol. 2018;24(26):2844-2852. doi:10.3748/wjg.v24.i26.2844
  4. Foley KG, Lahaye MJ, Thoeni RF, et al. Management and follow-up of gallbladder polyps: updated joint guidelines between the ESGAR, EAES, EFISDS and ESGE. Eur Radiol. Published online December 17, 2021. doi:10.1007/s00330-021-08384-w
  5. Kalbi DP, Bapatla A, Chaudhary AJ, Bashar S, Iqbal S. Surveillance of gallbladder polyps: a literature review. Cureus. 2021;13(7):e16113. doi:10.7759/cureus.16113
  6. Patterson GT, Ullah A, Elhelf I, Madi R, Kavuri SK, Karim NA. The unusual presentation of a single case of synchronous metastatic clear cell renal cell carcinoma to the gallbladder: a case report and literature review. Curr Health Sci J. 2021;47(3):457-461. doi:10.12865/chsj.47.03.19
  7. Kitamura H, Kurokawa M, Inaki N, Bando H. Gallbladder metastasis from renal cell carcinoma. Indian J Surg. 2018;80(3):278-280. doi:10.1007/s12262-017-1705-0
  8. White I, Smith S, Rizkalla K, Davies E. Unexpected gallbladder metastasis of clear cell renal carcinoma. Clin Pathol. 2019;12:2632010x19861112. doi:10.1177/2632010x19861112
  9. Alves Ribeiro M, Petersen da Costa Ferreira C, de Lucia Hernani B, et al. Uncommon site of metastasis from renal cell carcinoma: case report. Int J Surg Case Rep. 2019;56:45-48. doi:10.1016/j.ijscr.2019.02.013
  10. Sparwasser C, Krupienski M, Radomsky J, Pust RA. Gallbladder metastasis of renal cell carcinoma: a case report and review of the literature. Urol Int. 1997;58(4):257-258. doi:10.1159/000282998
  11. Kinoshita O, Dohi M, Horii Y, Ikai A, Kitamori T, Yamashita T. Simultaneous resection of gastric and gallbladder metastasis from renal cell carcinoma treated by laparoscopic and endoscopic cooperative surgery: a case report. Surg Case Rep. 2019;5(1):17. doi:10.1186/s40792-019-0569-x
  12. Zouari S, Ben Othmen M, Abdessayed N, et al. Metastatic renal clear cell carcinoma mimicking a gallbladder polyp: case report and literature review. Int J Surg Case Rep. 2019;64:133-138. doi:10.1016/j.ijscr.2019.09.032
  13. Castro Ruiz C, Pedrazzoli C, Bonacini S. Gallbladder's clear cell renal carcinoma metastasis: a case report. Int J Surg Case Rep. 2016;18:48-51. doi:10.1016/j.ijscr.2015.11.021
  14. Shoji S, Mukai M, Yazawa N, et al. Metastasis to gallbladder and adrenal gland of renal cell carcinoma. Oncol Lett. 2010;1(3):507-509. doi:10.3892/ol_00000089
  15. Oba T, Sato N, Tamura T, Fujimoto K, Matsuyama A, Hirata K. Gallbladder metastasis of renal cell carcinoma presenting as a hypervascular polypoid lesion: case report of two cases with immunohistochemical analysis. Surg Case Rep. 2020;6(1):86. doi:10.1186/s40792-020-00814-z
  16. Papalampros A, Davakis S, Syllaios A, et al. Late onset metastasis from renal cell carcinoma masquerading as a gallbladder polyp. Ann R Coll Surg Engl. 2021;103(1):e13-e16. doi:10.1308/rcsann.2020.0193
  17. Hisa T, Takamatsu M, Shimizu T, Gibo N. Chronological changes in the ultrasonic findings of gallbladder metastasis from renal cell carcinoma: a case report and review. J Med Ultrason (2001). 2014;41(3):371-375. doi:10.1007/s10396-013-0510-z
  18. Costa Neves M, Neofytou K, Giakoustidis A, et al. Two cases of gallbladder metastasis from renal cell carcinoma and review of literature. World J Surg Oncol. 2016;14:87. doi:10.1186/s12957-016-0843-3
  19. Takagi K, Kawase K, Minoshima K, et al. Gallbladder metastasis from renal cell carcinoma: a case report and literature review. Urol Case Rep. 2019;23:69-71. doi:10.1016/j.eucr.2019.01.006
  20. Ueda J, Makino H, Yokoyama T, et al. Rare case of synchronous cystic duct metastasis from renal cell carcinoma. J Nippon Med Sch. 2019;86(4):242-247. doi:10.1272/jnms.JNMS.2018_86-405
  21. Cho SH, Han YS, Han JR, et al. Synchronous gallbladder metastasis of renal cell carcinoma presenting as a gallbladder polyp: a case report. Medicine (Baltimore). 2021;100(3):e24037. doi:10.1097/md.0000000000024037
  22. Kamido S, Abe T, Uemura M, et al. [Renal cell carcinoma with metastasis to the gallbladder: a case report]. Hinyokika Kiyo. 2016;62(5):253-257.
  23. Kawahara T, Ohshiro H, Sekiguchi Z, et al. Gallbladder metastasis from renal cell carcinoma. Case Rep Oncol. 2010;3(1):30-34. doi:10.1159/000279308
  24. Nojima H, Cho A, Yamamoto H, et al. Renal cell carcinoma with unusual metastasis to the gallbladder. J Hepatobiliary Pancreat Surg. 2008;15(2):209-212. doi:10.1007/s00534-007-1226-5
  25. Ueda I, Aoki T, Oki H, et al. Gallbladder metastasis from renal cell carcinoma: a case report with review of the literature. Magn Reson Med Sci. 2015;14(2):133-138. doi:10.2463/mrms.2013-0130
  26. Win AZ. Correction: Renal cell carcinoma metastasis to the gallbladder detected by FDG-PET/CT. J Clin Med Res. 2015;7(5):368. doi:10.14740/jocmr2146e
  27. Decoene J, Ameye F, Lerut E, Oyen R, Van Poppel H, Joniau S. Renal cell carcinoma with synchronous metastasis to the calcaneus and metachronous metastases to the ovary and gallbladder. Case Rep Med. 2011;2011:671645. doi:10.1155/2011/671645
  28. Seeliger B, Callari C, Diana M, Mutter D, Marescaux J. Polypoid gallbladder lesion in the context of renal cell carcinoma: is laparoscopic cholecystectomy a reasonable option? J Investig Med High Impact Case Rep. 2013;1(3):2324709613499008. doi:10.1177/2324709613499008
  29. Mrak K, Lackner C, Mischinger HJ, Kornprat P. Metachronous gallbladder metastasis from renal cell carcinoma—a rare clinical manifestation. Wien Klin Wochenschr. 2016;128(17-18):669-671. doi:10.1007/s00508-016-1058-x
  30. Fang X, Gupta N, Shen SS, et al. Intraluminal polypoid metastasis of renal cell carcinoma in gallbladder mimicking gallbladder polyp. Arch Pathol Lab Med. 2010;134(7):1003-1009. doi:10.5858/2009-0453-oa.1
  31. Pierce DP, Dahmen AS, Hernandez DJ. Synchronous metastatic clear cell renal cell carcinoma to the gallbladder with metachronous contralateral recurrence. Cureus. 2021;13(5):e15007. doi:10.7759/cureus.15007
  32. Celebi I, Güzelsoy M, Yörükoğlu K, Kirkali Z. Renal cell carcinoma with gallbladder metastasis. Int J Urol. 1998;5(3):288-290. doi:10.1111/j.1442-2042.1998.tb00605.x
  33. Collin Y, Sabbagh R. An unusual case of pancreatitis revealing a metachronous renal cell carcinoma metastasis to the gallbladder. Can J Urol. 2012;19(4):6392-6394.
  34. Aoki T, Inoue K, Tsuchida A, et al. Gallbladder metastasis of renal cell carcinoma: report of two cases. Surg Today. 2002;32(1):89-92. doi:10.1007/s595-002-8123-6
  35. Kechrid M, Malik GH, Al-Mohaya S, et al. Renal cell carcinoma of contralateral kidney with secondaries in gallbladder eight years after nephrectomy. Saudi J Kidney Dis Transpl. 2000;11(4):587-592.
  36. Park JS, Chae YS, Hong SJ, Shin DH, Choi JS, Kim BR. Metastatic renal cell carcinoma of the gallbladder. Yonsei Med J. 2003;44(2):355-358. doi:10.3349/ymj.2003.44.2.355
  37. Sand M, Bechara FG, Kopp J, Krins N, Behringer D, Mann B. Gallbladder metastasis from renal cell carcinoma mimicking acute cholecystitis. Eur J Med Res. 2009;14(2):90-92. doi:10.1186/2047-783x-14-2-90
  38. Ishizawa T, Okuda J, Kawanishi T, Kitagawa T, Yakumaru K, Sekikawa T. Metastatic renal cell carcinoma of the gallbladder. Asian J Surg. 2006;29(3):145-148. doi:10.1016/s1015-9584(09)60074-9
  39. Takenaka M, Okabe Y, Kudo M. Hemorrhage from metastasis of a 5-mm renal cell carcinoma lesion to the gallbladder detected by contrast-enhanced endoscopic ultrasonography. Dig Liver Dis. 2019;51(5):743. doi:10.1016/j.dld.2018.11.010
  40. Limani K, Matos C, Hut F, Gelin M, Closset J. Metastatic carcinoma of the gallbladder after a renal cell carcinoma. Acta Chir Belg. 2003;103(2):233-234. doi:10.1080/00015458.2003.11679414
  41. Pagano S, Ruggeri P, Franzoso F, Brusamolino R. Unusual renal cell carcinoma metastasis to the gallbladder. Urology. 1995;45(5):867-869. doi:10.1016/s0090-4295(99)80097-1
  42. Liu F, Li FY, Zhou RX. Unusual case of gallstones with chronic cholecystitis revealing a metachronous gallbladder metastasis from renal clear cell carcinoma. ANZ J Surg. 2020;90(4):E87-E88. doi:10.1111/ans.15314
  43. Pandey D, Kane SV, Shukla PJ, Shrikhande SV, Tongaonkar HB. Isolated gall bladder metastasis from renal cell carcinoma. Indian J Gastroenterol. 2006;25(3):161-162.
  44. King DH, Centeno AS, Saldivar VA, Sarosdy MF. Renal cell carcinoma metastatic to the gallbladder or prostate: two case reports. Urology. 1995;46(5):722-725. doi:10.1016/s0090-4295(99)80310-0
  45. Jain D, Chopra P. Metastatic renal cell carcinoma of gall bladder. Saudi J Kidney Dis Transpl. 2013;24(1):100-104. doi:10.4103/1319-2442.106301
  46. Turner G, Flint R. Metastatic renal cell carcinoma--an unexpected finding after laparoscopic cholecystectomy. N Z Med J. 2014;127(1402):110-112.
  47. Finkelstein LH, Coffman LM. Acute cholecystitis or metastatic renal cell carcinoma? a diagnostic dilemma. J Am Osteopath Assoc. 1996;96(5):314-315. doi:10.7556/jaoa.1996.96.5.314
  48. Patel S, Zebian B, Gurjar S, et al. An unusual gall-bladder polyp--site of metastatic renal cell carcinoma: a case report. Cases J. 2009;2:172. doi:10.1186/1757-1626-2-172
  49. Zygulska AL, Wójcik A, Richter P, Krzesiwo K. Renal carcinoma metachronous metastases to the gall-bladder and pancreas--case report. Pol Przegl Chir. 2012;84(6):313-316. doi:10.2478/v10035-012-0052-x
  50. Ricci V, Carbone SF, Testi W, et al. Single gallbladder and multiple pancreatic metastases from renal cell carcinoma sixteen years after nephrectomy. Chir Ital. 2008;60(2):311-314.
  51. Lombardo FP, Hertford DE, Shanahan EM, Kazam E. Color Doppler ultrasonographic evaluation of renal cell carcinoma metastasis to the gallbladder. J Ultrasound Med. 1996;15(10):725-728. doi:10.7863/jum.1996.15.10.725
  52. Kücükakin B, Olsen CH, Gögenur I. [Renal cell carcinoma with metachronous metastases to the gallbladder after two years]. Ugeskr Laeger. 2009;171(35):2486-2487.
  53. Ditah F RBS, Wolf JS Jr. Renal cell carcinoma with synchronous gallbladder metastasis treated with laparoscopic radical nephrectomy and cholecystectomy in the same setting. Urol Today Int J. 2008;1.