Unsupported Browser
The American College of Surgeons website is not compatible with Internet Explorer 11, IE 11. For the best experience please update your browser.
Menu
Become a member and receive career-enhancing benefits

Our top priority is providing value to members. Your Member Services team is here to ensure you maximize your ACS member benefits, participate in College activities, and engage with your ACS colleagues. It's all here.

Become a Member
Become a member and receive career-enhancing benefits

Our top priority is providing value to members. Your Member Services team is here to ensure you maximize your ACS member benefits, participate in College activities, and engage with your ACS colleagues. It's all here.

Become a Member
ACS
ACS Case Reviews

Sleeve Gastrectomy after Splenic Artery Embolization

May 5, 2025

Abstract

Background

Laparoscopic sleeve gastrectomy (LSG) has emerged as the most common bariatric surgical procedure for weight loss and improvement of metabolic comorbidities. Splenic complications following LSG are uncommon and not well-characterized. This case review demonstrates a safe and systematic approach to LSG in a patient with a history of prior splenic artery embolization (SAE).

Summary

A 42-year-old female with a body mass index (BMI) of 38 sought evaluation for bariatric surgery. Her surgical history included a prior laparoscopic appendectomy and SAE for an incidentally discovered splenic artery aneurysm one year prior. Due to her history of SAE, she was counseled extensively on the potential risk of splenic devascularization during LSG due to the division of short gastric arteries, a Roux-en-Y gastric bypass (RYGB) was initially recommended. However, the patient expressed a strong preference for LSG.

A preoperative computed tomography angiography (CTA) was reviewed with a radiologist and demonstrated the presence of collateral blood supply to the spleen. The patient was extensively counseled regarding all possible outcomes: LSG alone, LSG and splenectomy if splenic infarction was noted intraoperatively, and LSG alone followed by delayed splenic infarction, which could include pain, infection, and/or delayed splenectomy. She received all indicated vaccinations two weeks prior to the case.

The patient proceeded with LSG in the standard fashion. Bipolar electrocautery was used immediately adjacent to the greater curve to avoid injuring the gastroepiploic (gastro-omental) arcade. The spleen was visualized intraoperatively, and intraoperative indocyanine green (ICG) assessment confirmed adequate splenic perfusion following division of the short gastric arteries. She was discharged the same day without issue. The patient was seen on postoperative day (POD) 1 as well as one, three, and six months postoperatively for follow-up and was recovering as expected with no concern for splenic ischemia.

Conclusion

This case represents a unique scenario where the vascular supply to the spleen had been previously compromised, increasing the risk of splenic infarction and creating a complex clinical decision-making process. In this patient, LSG was safely and feasibly performed after SAE. However, thorough risk discussion, preoperative imaging review for collateral vessels, and preoperative vaccination are essential. Intraoperative techniques to aid in preserving the spleen during LSG after SAE include preserving the gastroepiploic arcade and utilizing ICG to evaluate splenic perfusion.

Key Words

sleeve gastrectomy; bariatric; laparoscopy; splenic preservation; minimally invasive

Abbreviations


Case Description

Laparoscopic sleeve gastrectomy (LSG) has emerged as the preferred bariatric procedure1 due to its low complication rate, short operative time, and technical simplicity. It carries a notably low prevalence of splenic injury, including infarction and abscess. The splenic and gastric vascular supply are closely related via the short gastric arteries, which are necessarily divided during the LSG. Although the splenic artery remains the primary blood supply to the spleen, studies have demonstrated that division of the short gastric arteries can still contribute to splenic complications such as abscess or pseudoaneurysm formation.2 Notably, there is limited data on splenic outcomes in patients undergoing LSG when both the short gastric arteries and splenic artery have compromised flow.

While a single case report describes a splenic abscess following LSG in a patient who underwent splenic artery embolization (SAE) for trauma,3 there are no reported cases of patients undergoing LSG after SAE. Our report describes a successful LSG after SAE to demonstrate the feasibility of this procedure, while emphasizing necessary precautionary measures given the increased risk to the spleen.

A 42-year-old female with a body mass index (BMI) of 38 and a history of hypertension presented to the surgical clinic seeking information about elective bariatric surgery after completing the bariatric pathway. She had previously undergone laparoscopic appendectomy and coil embolization of a splenic artery for an incidentally discovered splenic artery aneurysm one year prior. Given the patient’s history of SAE, the potential risks of LSG, including splenic devascularization, were extensively discussed. While Roux-en-Y gastric bypass (RYGB) could mitigate this risk, the patient expressed a strong preference for LSG.

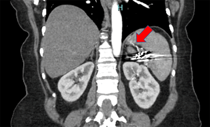
To aid in decision-making, a recent computed tomography angiography (CTA) was performed and the radiologist confirmed the presence of adequate collateral vessels (Figure 1). The patient was thoroughly counseled regarding the potential outcomes of the surgery, including the possibility of:

  • Successful LSG without splenic complications.
  • LSG with intraoperative splenic infarction requiring emergent splenectomy.
  • LSG followed by delayed splenic infarction, potentially leading to pain, infection, or the need for delayed splenectomy.

She was also instructed to receive all indicated vaccinations two weeks prior to the case.

Figure 1. Collateral Splenic Blood Flow Post-SAE. Published with Permission

CTA revealing collateral blood flow to the spleen, with artifact due to prior embolization material
CTA revealing collateral blood flow to the spleen, with artifact due to prior embolization material

The patient underwent LSG in the standard fashion. Bipolar electrocautery was used immediately adjacent to the greater curve to avoid injuring the gastroepiploic (gastro-omental) arcade. The spleen was visualized intraoperatively, and indocyanine green (ICG) was utilized to evaluate perfusion, which was noted to be normal after division of the short gastric arteries (Figure 2). The patient was discharged on postoperative day (POD) 1 with standard post-bariatric medications, including 40 mg enoxaparin administration on POD 1 only. Follow-up evaluations at POD 1 and at 1, 3, and 6 months postoperatively revealed an uneventful recovery without evidence of splenic ischemia.

Figure 2. Adequate Splenic Perfusion with ICG Fluorescence. Published with Permission

Intraoperative image of the ICG fluorescent spleen, indicating adequate perfusion after division of the short gastric arteries
Intraoperative image of the ICG fluorescent spleen, indicating adequate perfusion after division of the short gastric arteries

Discussion

The anatomic relationship of the greater curve through the gastrosplenic ligament to the spleen necessitates the division of the short gastric arteries during LSG. Preservation of the splenic artery ensures continued blood supply to the spleen. Our patient, who previously had a splenic artery coil embolization due to an unrelated, incidental splenic artery aneurysm, was placed at higher risk for splenic infarction. Consequently, RYGB was recommended. Creation of a gastric pouch should not compromise collateral circulation to the spleen or the retained fundus, as the preserved gastroepiploic arcade would serve as the primary collateral source to these structures. Despite this counseling, the patient declined RYGB.

SAE is a common interventional radiology procedure performed for both emergent and elective indications. Location of embolization can be proximal in the splenic artery, distal in branches within the parenchyma, or a combination of the two. Proximal embolization has been shown to have fewer minor complications and shorter operative times. The choice of embolic material can also differ. Coil embolization is a permanent, radio-opaque material, and gelfoam is a water-insoluble hemostatic agent. Gelfoam and coil embolization have similar primary success rates of embolization, although gelfoam has variably shown increased complications.4 In this case, coil embolization was used to treat a 2-cm mid-splenic artery aneurysm.

Given the potential need for splenectomy, the patient was instructed to receive all splenectomy vaccines two weeks prior to the case. Asplenic patients are at risk of overwhelming post-splenectomy infections (OPSI) due to encapsulated organisms, and for elective cases, the vaccination timing should ideally be two weeks before splenectomy.5

Intraoperatively, meticulous efforts were made to preserve the gastroepiploic arcade to maintain potential collateral blood flow to the spleen. Additionally, ICG was utilized to assess for gross color change in the spleen and evaluate for perfusion. ICG, an anionic, water-soluble cyanine dye that fluoresces when excited by near-infrared light, has been used for real-time organ perfusion evaluation in various clinical applications. Multiple studies have found its use can help predict splenic preservation, such as in spleen-preserving distal pancreatectomy (SPDP).5 In this case, the absence of significant color change following ICG infusion supported the decision to avoid splenectomy.

Conclusion

Prior to performing LSG after splenic artery embolization SAE, we recommend the following steps: First, preoperatively counsel the patient on potential outcomes, including splenic preservation, immediate or delayed splenic loss requiring splenectomy, and the likelihood that RYGB would pose a lower risk to the spleen. Second, review a recent CT angiogram with a radiologist to confirm adequate collateral vessel formation, enabling splenic preservation. Third, administer all indicated vaccines two weeks preoperatively. Fourth, preserve the gastroepiploic arcade by dissecting near the lateral border of the stomach to preserve potential collaterals. Additionally, assess for gross color changes in the spleen intraoperatively ICG. Lastly, provide thorough discharge instructions and ensure close-interval follow-up. This case demonstrates that LSG in a patient with prior SAE can be a safe and feasible procedure when these considerations are addressed.

Lessons Learned

When considering LSG in a patient with a history of SAE, meticulous precautions and a comprehensive discussion of potential outcomes with the patient are essential. This case represents a unique circumstance where prior SAE created a more complex decision-making process in an otherwise standard LSG. In this patient, no adverse outcomes developed, suggesting that elective sleeve gastrectomy is a safe and feasible procedure after SAE when appropriate precautions are taken.

Authors

Palmerton HM; Nakayama AO; Prey BJ; Porta CR

Author Affiliation

Department of Surgery, Madigan Army Medical Center, Joint Base Lewis-McChord, WA 98431

Corresponding Author

Hannah M. Palmerton, MD
Department of Surgery
Madigan Army Medical Center
7102 Topaz Drive SW
Lakewood, WA 98498
Email: hmpalmerton@gmail.com

Disclosure Statement

The authors have no conflicts of interest to disclose.

Funding/Support

The authors have no relevant financial relationships or in-kind support to disclose.

Received: June 27, 2023
Revision received: November 12, 2023
Accepted: January 2, 2024

References

  1. American Society for Metabolic and Bariatric Surgery [Internet]. Estimate of Bariatric Surgery Numbers, 2011-2022 [cited 2023 Jun 27]. Available from: https://asmbs.org/resources/estimate-of-bariatric-surgery-numbers-2011-2022/
  2. Mohammed MS, Sendra S, Lloret J, Bosch I. Systems and WBANs for Controlling Obesity. J Healthc Eng. 2018;2018:1564748. Published 2018 Feb 1. doi:10.1155/2018/1564748
  3. Vu T, Pilgrim C, Clements W, Ban EJ. Delayed Splenic Abscess Post Splenic Arterial Embolization for Trauma in a Patient with Previous Sleeve Gastrectomy. Clin Med Rev Case Rep. 2021;8:370. Published 2021 Nov 20. doi.org/10.23937/2378-3656/1410370.
  4. Rong JJ, Liu D, Liang M, et al. The impacts of different embolization techniques on splenic artery embolization for blunt splenic injury: a systematic review and meta-analysis. Mil Med Res. 2017;4:17. Published 2017 May 30. doi:10.1186/s40779-017-0125-6
  5. Luu S, Spelman D, Woolley IJ. Post-splenectomy sepsis: preventative strategies, challenges, and solutions. Infect Drug Resist. 2019;12:2839-2851. Published 2019 Sep 12. doi:10.2147/IDR.S179902