Unsupported Browser
The American College of Surgeons website is not compatible with Internet Explorer 11, IE 11. For the best experience please update your browser.
Menu
Become a member and receive career-enhancing benefits

Our top priority is providing value to members. Your Member Services team is here to ensure you maximize your ACS member benefits, participate in College activities, and engage with your ACS colleagues. It's all here.

Become a Member
Become a member and receive career-enhancing benefits

Our top priority is providing value to members. Your Member Services team is here to ensure you maximize your ACS member benefits, participate in College activities, and engage with your ACS colleagues. It's all here.

Become a Member
ACS
ACS Case Reviews

A Rare Occurrence of Primary Appendiceal Diffuse Large B-Cell Lymphoma: Presentation, Imaging and Management

May 5, 2025

Abstract

Background

A 78-year-old woman with a history of gastroesophageal reflux disease (GERD) and dementia presented to the emergency department with progressively worsening right-sided abdominal and flank pain and was ultimately diagnosed with primary appendiceal lymphoma following laparoscopic appendectomy.

Summary

We present the case of a 78-year-old Somali female with a history of GERD and dementia who presented to the emergency room with right-sided rib, flank, and progressively worsening abdominal pain, accompanied by an 8 kg weight loss over two months. On presentation, she was hemodynamically stable and initial laboratory tests did not show any significant abnormalities. However, a CT scan of the abdomen and pelvis demonstrated a mass involving the distal appendix (4.6 × 1.9 cm). Subsequent CT scan identified an additional finding: an enlarged lymph node in the inferior anterior mediastinum.

CT-guided biopsy of the anterior mediastinal nodule confirmed the diagnosis of diffuse large B-cell lymphoma (DLBCL), non-germinal center type. Following a multidisciplinary discussion between oncology and general surgery, the patient underwent a diagnostic laparoscopy with appendectomy and mesenteric lymph node excisional biopsy to rule out a second primary malignancy. Pathological examination of the appendix and associated lymph nodes was consistent with DLBCL, similar to the previously biopsied mediastinal node. The patient subsequently began treatment with R-mini-CHOP chemotherapy.

DLBCL is an aggressive and common type of non-Hodgkin lymphoma. Typical presentation includes a rapidly enlarging mass or lymph node, and may be accompanied by constitutional symptoms such as fever, night sweats, or weight loss. In 30 to 40% of cases, the lymphoma originates outside of the lymph nodes (extranodal disease). While the gastrointestinal tract is the most common extranodal site, with the stomach being most frequently affected, primary appendiceal lymphoma is extremely rare and usually diagnosed incidentally during appendectomy for presumed acute appendicitis.

Conclusion

Primary appendiceal lymphoma is a rare malignancy that typically presents with nonspecific symptoms and is often diagnosed incidentally during imaging studies for abdominal pain. Although rare, this entity is treatable, with good outcomes achievable using R-CHOP chemotherapy.

Key Words

primary appendiceal lymphoma; mass of appendix; gastrointestinal lymphoma; diffuse large B cell lymphoma


Case Description

The patient is a 78-year-old Somali female with a medical history of dementia and gastroesophageal reflux disease (GERD). She denied any significant family medical history, as well as personal history of smoking, alcohol, or illicit drug use. Additionally, she had never undergone any prior screening for colon cancer.

She initially presented to the emergency room with right-sided chest and flank pain and generalized abdominal pain. A CT scan of the chest, abdomen, and pelvis with intravenous contrast was obtained, revealing a mass-like enlargement in the distal appendix measuring 4.6 × 1.9 cm. The scan also identified abnormal lymph nodes in the ileocolic region, with the largest mesenteric lymph node measuring 3.7 × 2.3 × 2.3 cm. Following this initial evaluation, she was referred to a medical oncologist for outpatient management and subsequently directed to colorectal surgery for further investigation of the suspicious appendiceal mass.

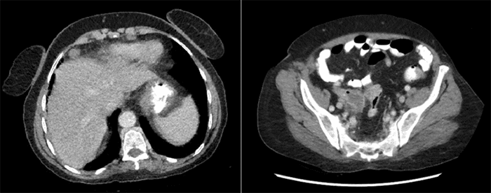
The patient missed several appointments and presented to the emergency room two months later with progressive right-sided pain, loss of appetite, and an unintentional weight loss of 8 kg. A repeat CT scan demonstrated the persistent appendiceal mass and a new finding: a soft tissue density measuring 1.7 × 1.5 cm located between the liver and the right anterior abdominal wall, consistent with a lower anterior mediastinal lymph node (Figure 1).

Figure 1. Axial CT Scans. Published with Permission

(A) Axial CT scan of the abdomen and pelvis showing a soft tissue density interposed between the liver and anterior abdominal wall; (B) Mass-like enlargement of the appendix concerning for malignancy
(A) Axial CT scan of the abdomen and pelvis showing a soft tissue density interposed between the liver and anterior abdominal wall; (B) Mass-like enlargement of the appendix concerning for malignancy

On physical examination, the patient appeared lethargic and dehydrated with dry mucous membranes. Her abdomen was moderately distended but soft, with tenderness throughout the right side. Family members reported that she had not been eating for several days. Her ECOG performance status score was assessed as 3, indicating significant limitations in her ability to perform ordinary activities. Given these concerning clinical findings, she was admitted to the inpatient general surgery service and initiated on parenteral nutrition.

Carcinoembryonic antigen (CEA) levels were within normal limits. A CT-guided biopsy performed by interventional radiology confirmed high-grade diffuse large B-cell lymphoma (DLBCL) with a Ki-67 proliferation index of 80%. Given the patient’s frail physical condition, a multidisciplinary team comprised of general surgeons and oncologists determined that obtaining a definitive diagnosis of the appendiceal mass was crucial to rule out a second primary malignancy. While percutaneous biopsy of the appendix or mesenteric lymph nodes is typically avoided due to the risk of potential small bowel injury or postbiopsy perforation, the patient’s lack of major cardiac or pulmonary comorbidities made her a suitable candidate for laparoscopic surgery. Therefore, the decision was made to perform a laparoscopic appendectomy to obtain a final tissue diagnosis. In addition, if the appendiceal mass were a second primary tumor, surgery would allow for diagnostic laparoscopy to rule out peritoneal metastasis. The patient subsequently underwent laparoscopic appendectomy and mesenteric lymphadenectomy to establish a tissue diagnosis of the appendiceal mass (Figure 2). This pathology also revealed DLBCL, consistent with primary appendiceal lymphoma (PAL). No peritoneal metastases were noted.

Figure 2. Intraoperative Images During Laparoscopic Appendectomy. Published with Permission

(A) Mass-like dilation of the tip of the appendix; (B) Enlarged ileocolic mesenteric lymph node adjacent to the appendix
(A) Mass-like dilation of the tip of the appendix; (B) Enlarged ileocolic mesenteric lymph node adjacent to the appendix

The standard R-CHOP chemotherapy regimen was deemed too aggressive for the patient due to her poor performance status with severe malnutrition and dementia. Following a comprehensive discussion with the family regarding the diagnosis, aggressive nature of the lymphoma, and potential risks and benefits of treatment, they opted for R-mini-CHOP therapy. The patient's condition rapidly improved after surgery; she regained her appetite and ability to maintain her own nutrition by postoperative day 4. R-mini-CHOP was initiated as an inpatient on postoperative day 6. She tolerated this well and was discharged with plans to continue outpatient chemotherapy. Unfortunately, the patient experienced an aspiration event two weeks later, leading to hospitalization for pneumonia and acute hypoxic respiratory failure. Following further discussion with the family, she was transitioned to comfort care due to a poor prognosis.

Discussion

Primary appendiceal lymphoma (PAL) is a rare form of non-Hodgkin lymphoma, representing only 0.015% of all gastrointestinal lymphomas.1 Diagnosing PAL can be challenging because its symptoms often mimic those of other appendicular conditions, such as appendicitis or other appendicular cancers. Common symptoms include abdominal pain, appetite loss, weight loss, and nausea. Staging lymphoma typically involves CT imaging of the neck, chest, abdomen, and pelvis to assess nodal and extra-nodal involvement. In this report, we described a case of diffuse large B-cell lymphoma (DLBCL) of the appendix, which initially presented as nonspecific abdominal pain associated with weight loss. Appendectomy was performed, despite biopsy confirmation of lymphoma in the patient’s anterior mediastinal nodule, to rule out a second primary tumor given the extremely low incidence of appendiceal lymphoma. However, final surgical pathology confirmed PAL.

A retrospective analysis by Ayub et al. reviewed the clinical characteristics and outcomes of 116 patients with PAL using the National Cancer Institute’s Surveillance, Epidemiology, and End Results (SEER) database.2 The analysis revealed diffuse large B-cell lymphoma (DLBCL) as the most prevalent tumor histology (34.5%), followed by Burkitt lymphoma (25.9%) and follicular lymphoma (17%). The average overall survival (OS) for the entire cohort was 185 months, with a 5-year survival rate of 67%. Notably, the study found no significant difference in survival between patients who underwent right hemicolectomy compared to those who received appendectomy or partial colectomy. Another study by Kim et al.3 demonstrated that patients who underwent surgical resection had a better overall survival rate compared to those who received only medical management (5-year OS 77% vs. 57%, P<0.001).

The gastrointestinal (GI) tract is the most frequent site for extranodal lymphomas. While these lymphomas can arise anywhere within the GI tract, the stomach is the most common location, followed by the small intestine and the ileocecal region.4 A large retrospective study analyzing data from 16,129 patients with primary GI non-Hodgkin lymphoma (PGINHL) revealed DLBCL to be the most prevalent histological subtype (63%), followed by follicular lymphoma (10.5%), mantle cell lymphoma (2.5%), Burkitt’s lymphoma (0.5%), and enteropathy-associated T-cell lymphoma (0.5%).5 Interestingly, PAL constituted only 0.6% of this cohort, but was associated with the longest median survival (45 months) compared to lymphomas involving other GI organs.

R-CHOP chemotherapy remains the mainstay of treatment for PGINHL. However, treatment guidelines primarily rely on retrospective analyses and continue to be a topic of debate. Historically, surgery for GI lymphoma has been indicated for diagnostic purposes and served to address any resultant bowel obstruction. However, many studies suggest a potential survival benefit when combining surgery with chemotherapy and/or radiation compared to chemotherapy and/or radiation alone.6

The largest of these studies included 345 patients with GI DLBCL. It demonstrated that patients with Lugano stage I/II disease who underwent surgical resection followed by R-CHOP chemotherapy had a lower relapse rate compared to those who received chemotherapy alone (15.3% vs. 36.8%, P <0.001). Furthermore, the study revealed a superior 3-year OS rate of 91% in the surgery plus chemotherapy group compared to 62% in the chemotherapy-only group (P <0.001).6 Whether this benefit is related to tumor debulking or removal of the primary disease site remains unclear. Importantly, the study did not reveal any OS differences in patients with Lugano stage IV disease when comparing surgery plus chemotherapy to chemotherapy only.6 Post-chemotherapy PET scans are typically performed for post-treatment evaluation, providing strong prognostic information regarding OS.

Conclusion

Primary appendiceal lymphoma (PAL) is an extremely rare entity that should be included in the differential diagnosis of mass-like enlargement of the appendix. Based on large retrospective analyses, the mainstay of treatment for Lugano stage I/II disease is surgical resection followed by six cycles of R-CHOP chemotherapy. In contrast, surgery is often avoided in Lugano stage IV disease to prioritize systemic therapy. Frequently, PAL is diagnosed incidentally after appendectomy performed for other indications. In this case, appendectomy was performed to rule out a second primary appendiceal malignancy. R-CHOP therapy carries significant side effects that must be considered before initiation. In elderly patients, R-mini-CHOP, a reduced-dose regimen, has demonstrated effectiveness while minimizing cytotoxicity. The patient described in this report was initiated on R-mini-CHOP for these reasons, but unfortunately still experienced complications from the therapy leading to her demise.

Lessons Learned

Appendiceal masses can manifest with a wide range of pathologies and often present with nonspecific clinical features. Therefore, maintaining a broad differential diagnosis is crucial when determining the cause of an appendiceal mass. Further research through large, multi-center trials is necessary to define the optimal management strategy specifically for PAL, differentiated from other forms of primary gastrointestinal non-Hodgkin lymphoma.

Authors

Guindi ARa; Zettel KRb; Yeruva SLc; Hortian VAd

Author Affiliations

  1. Department of Surgery, UPMC Harrisburg, Harrisburg, PA 17101
  2. Department of Surgery, UPMC Harrisburg, Harrisburg, PA 17101
  3. Department of Hematology/Oncology, UPMC Central Pennsylvania, Harrisburg, PA 17101
  4. Department of Surgery, UPMC Harrisburg, Harrisburg, PA 17101

Corresponding Author

Amir R. Guindi, MD
Department of Surgery
UPMC Harrisburg
205 S. Front Street
Brady 916
Harrisburg, PA 17105
Email: guindiar@upmc.edu

Disclosure Statement

The authors have no conflicts of interest to disclose.

Funding/Support

The authors have no relevant financial relationships or in-kind support to disclose.

Received: May 8, 2023
Revision received: June 27, 2023
Accepted: August 24, 2023

References

  1. Collins DC. 71,000 Human appendix specimens. A final report, summarizing forty years’ study. Am J Proctol. 1963;14:265-281.
  2. Ayub A, Santana-Rodríguez N, Raad W, Bhora FY. Primary appendiceal lymphoma: clinical characteristics and outcomes of 116 patients. J Surg Res. 2017;207:174-180. doi:10.1016/j.jss.2016.08.079
  3. Kim SJ, Choi CW, Mun YC, et al. Multicenter retrospective analysis of 581 patients with primary intestinal non-hodgkin lymphoma from the Consortium for Improving Survival of Lymphoma (CISL). BMC Cancer. 2011;11:321. Published 2011 Jul 29. doi:10.1186/1471-2407-11-321
  4. Herrmann R, Panahon AM, Barcos MP, Walsh D, Stutzman L. Gastrointestinal involvement in non-Hodgkin lymphoma. Cancer. 1980;46(1):215-222. doi:10.1002/1097-0142(19800701)46:1<215::aid-cncr2820460136>3.0.co;2-6
  5. Shannon EM, MacQueen IT, Miller JM, Maggard-Gibbons M. Management of Primary Gastrointestinal Non-Hodgkin Lymphomas: a Population-Based Survival Analysis. J Gastrointest Surg. 2016;20(6):1141-1149. doi:10.1007/s11605-016-3129-8
  6. Kim SJ, Kang HJ, Kim JS, et al. Comparison of treatment strategies for patients with intestinal diffuse large B-cell lymphoma: surgical resection followed by chemotherapy versus chemotherapy alone. Blood. 2011;117(6):1958-1965. doi:10.1182/blood-2010-06-288480