Unsupported Browser
The American College of Surgeons website is not compatible with Internet Explorer 11, IE 11. For the best experience please update your browser.
Menu
Become a member and receive career-enhancing benefits

Our top priority is providing value to members. Your Member Services team is here to ensure you maximize your ACS member benefits, participate in College activities, and engage with your ACS colleagues. It's all here.

Become a Member
Become a member and receive career-enhancing benefits

Our top priority is providing value to members. Your Member Services team is here to ensure you maximize your ACS member benefits, participate in College activities, and engage with your ACS colleagues. It's all here.

Become a Member
ACS
ACS Case Reviews

A Rare Development of Brown-Séquard Syndrome Following Thoracic Endovascular Aortic Replacement

May 5, 2025

Abstract

Background

Thoracic endovascular aortic repair (TEVAR) is a minimally invasive approach for the management of a wide variety of thoracic aortic pathologies, with thoracic aortic aneurysm being the most common. Thoracic aortic diameter greater than 6 to 6.5 cm is an indication of TEVAR. Potential complications include stroke, visceral ischemia, access site issues, and spinal cord ischemia, with complete cord ischemia being more frequent than incomplete. Here, we present a rare case of Brown-Séquard syndrome (BSS) following TEVAR.

Summary

A 79-year-old man with chronic kidney disease and a history of endovascular repair for both an abdominal aortic aneurysm and a right common iliac artery aneurysm presented as a trauma alert after a fall. Initial evaluation in the trauma bay revealed stable vital signs but decreased breath sounds on the right side, along with chest tenderness and right mid-axillary line ecchymosis. Workup confirmed a right clavicle fracture, rib fractures (ribs 2-6) on the right with a small hemothorax, and an incidentally discovered unstable thoracic aortic aneurysm. He was admitted to the trauma ICU for pain management and respiratory care. A right-sided pigtail catheter was placed for the hemothorax, followed by TEVAR for the unstable thoracic aneurysm.

On postoperative day 3, the patient developed diminished pain and temperature sensation on his right side below the eighth thoracic vertebra (T8), along with decreased proprioception and vibration sense on the left side below T8. He also exhibited weakness in his left lower extremity, with 3/5 strength on hip flexion, 4/5 on knee extension, and 2/5 on straight leg raise. These findings led to the diagnosis of T8-level left-sided BSS.

The patient was managed in the ICU with a lumbar drain and strict blood pressure control (systolic target >150 mm Hg) alongside maintaining intracranial pressure below 10 mm Hg for four days. He underwent physical therapy, and upon discharge to rehabilitation, he still had poor proprioception in his left lower extremity with some improvement in weakness, particularly in knee extension. At his most recent follow-up, he continues to experience gait abnormalities, although improved, and has developed urinary and fecal incontinence secondary to his spinal cord injury.

Conclusion

Spinal cord ischemia occurs in 0.8% to 8.6% of patients following TEVAR. While complete spinal cord ischemia is more commonly reported, there is limited data on the incidence of incomplete presentations like BSS. This case highlights the importance of close monitoring and implementing preventative measures for spinal cord ischemia in high-risk patients undergoing TEVAR, like the one presented here with a history of prior endovascular aortic repair.

Key Words

Brown-Séquard syndrome; thoracic aortic aneurysm; thoracic endovascular aortic repair; spinal cord ischemia; spinal cord ischemia prevention bundle


Case Description

A 79-year-old male with a past medical history significant for chronic kidney disease (CKD), abdominal aortic aneurysm (AAA), and right common iliac artery aneurysm (status post endovascular repairs with coil embolization of the right internal iliac artery 3 years prior) presented as a trauma activation following a fall from a 5-foot ladder without presyncope. On initial presentation, vital signs were stable, with a heart rate of 79 beats per minute, blood pressure of 131/88 mm Hg, respiratory rate of 18 breaths per minute, and oxygen saturation of 97% on room air. Physical examination revealed decreased breath sounds on the right side, chest tenderness, and ecchymosis.

Initial laboratory tests were unremarkable. A comprehensive CT scan was performed, encompassing the head, neck, chest, abdomen, and pelvis. The imaging revealed the following findings:

  • Right-sided clavicle fracture
  • Fractures of ribs 2-6 on the right side with a small hemothorax
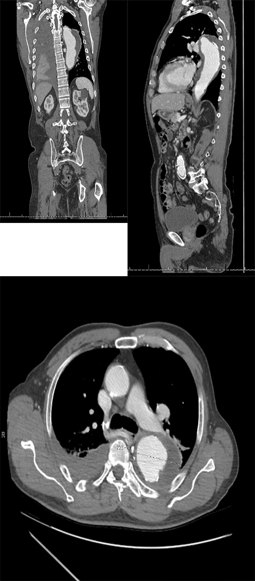
  • Thoracic aortic aneurysm (TAA) involving zones 1-5, measuring 7.3 cm in diameter and containing intramural thrombus (Figure 1)

Figure 1. CT Scan Images. Published with Permission

(Left to right) A large descending thoracic aortic aneurysm measuring up to 7.5 cm in diameter with a 2.5 cm thrombus on the left lateral aspect. Additionally, there are non-displaced fractures of the right clavicle and ribs 2-6 with associated hemothorax on the right side
(Left to right) A large descending thoracic aortic aneurysm measuring up to 7.5 cm in diameter with a 2.5 cm thrombus on the left lateral aspect. Additionally, there are non-displaced fractures of the right clavicle and ribs 2-6 with associated hemothorax on the right side

He was admitted to the trauma ICU for pain management and pulmonary hygiene assistance. A pigtail catheter was placed to drain a right hemothorax, and his fractures were managed conservatively without surgery. Due to the size of the TAA, a semi-urgent repair was considered. Risk stratification indicated a low cardiac risk for surgery. On hospital day 3, the patient underwent a thoracic endovascular aortic repair (TEVAR) with placement of a lumbar drain (Figure 2). The distal landing zone of the aortic stent-graft was positioned just proximal to the celiac arteries to ensure adequate aneurysm coverage.

Figure 2. Intraoperative Fluoroscopy Image. Published with Permission

Endovascular deployment of a stent-graft within the descending thoracic aortic aneurysm. The stent-graft extends to the level of the celiac artery. The left subclavian artery remains intentionally uncovered
Endovascular deployment of a stent-graft within the descending thoracic aortic aneurysm. The stent-graft extends to the level of the celiac artery. The left subclavian artery remains intentionally uncovered

On postoperative day (POD) 1, the lumbar drain and pigtail catheter were removed, and the patient was transferred to the general ward. However, on POD 3, he developed new neurological symptoms, including:

  • Decreased pain and temperature sensation on the right half of his body (right hemi-body)
  • Impaired proprioception and vibration sense on the left half of his body below the T8 level
  • Weakness in his left lower extremity (LLE)

Based on these findings, he was diagnosed with a T8 level left-sided Brown-Séquard syndrome (BSS). Magnetic resonance imaging (MRI) revealed hyperintensity at T6-T8, suggestive of spinal cord ischemia (SCI) (Figure 3). The patient’s lumbar drain was replaced on POD 3. Vasopressors were administered to maintain a goal systolic blood pressure above 150 mm Hg while aiming to keep the intraspinal pressure below 10 mm Hg. The lumbar drain was removed on POD 7 after minimal improvement in his symptoms.

Figure 3. T2-weighted MRI with Short Tau Inversion Recovery (STIR) Hyperintensity at T6-T8. Published with Permission

At discharge to a rehabilitation facility on POD 13, the patient still exhibited poor proprioception in his LLE with some improvement in weakness. During his most recent follow-up at 6 months post-surgery, he demonstrated improved strength of the LLE with movement against gravity. However, he continued to experience gait incoordination and incontinence, hindering his ability to walk independently.

Discussion

The spinal cord receives blood supply from three main arteries: a single anterior spinal artery and two posterolateral spinal arteries (both branches of the vertebral arteries). The anterior spinal artery receives collateral flow from the artery of Adamkiewicz, which arises from the left intercostal arteries, typically between thoracic vertebrae nine and twelve. These arteries have additional connections with other vessels, including intercostal, lumbar, and internal iliac branches. A venous system also plays a role in spinal cord circulation.

Spinal cord ischemia (SCI) can result from acquired ischemia of arterial or venous origin or even systemic hypoperfusion.1 Historically, SCI following open or endovascular aortic surgery was attributed to prolonged aortic clamping or coverage of collateral spinal vessels.2 More recent theories suggest that the etiology of SCI after TEVAR may be caused by inadequate remodeling of the collateral blood supply or atheroembolism during the procedure.3 The incidence of SCI after TEVAR is approximately 3.7%, with 1.6% being transient and 2.1% permanent. Risk factors include nonelective presentation, higher ASA class, certain comorbidities (including chronic kidney disease), prior aortic surgery, or a distal landing zone for the stent-graft (between the 5th and 10th thoracic vertebrae). The presence of SCI increases the risk of in-hospital death and other complications.4

Clinical presentations of SCI after TEVAR can vary and are generally categorized as complete or incomplete. Complete SCI results in total loss of function below the level of spinal cord ischemia, whereas incomplete SCI presents with partial loss of function, affecting sensory, motor, or proprioceptive abilities, depending on which nerve fibers remain undamaged. Autonomic dysfunction, which can include problems with bladder or bowel control, can also occur alongside other deficits and may be temporary or permanent. SCI can develop immediately following TEVAR, or it can be delayed (occurring more than 24 hours later), with the delayed presentation being more common.3 BSS is a specific type of incomplete SCI characterized by a hemitransection of the spinal cord. This results in motor and proprioception deficits on one side of the body, along with contralateral pain and temperature sensation loss. BSS can have traumatic and non-traumatic etiologies;5 it is extremely rare following TEVAR.6,7

Indications for TEVAR extend beyond aneurysmal repair as TEVAR has also been used as a stent-graft after blunt traumatic aortic injury (BTAI). BTAI is the second leading cause of death from blunt trauma, with most fatalities occurring before reaching the hospital.8 For patients who survive with more severe (grade III or IV) injuries, TEVAR can offer good outcomes. Mortality rates are directly proportional to injury grade. While SCI rates following TEVAR for BTAI vary depending on injury severity, they are generally similar to those observed in nontraumatic cases (grade I: 2.8%, grade II: 0.40%, grade III: 0.40%, grade IV: 2.7%).8 Other studies on BTAI have shown similar rates of SCI after TEVAR compared to nonoperative management, suggesting that SCI in this setting may be primarily caused by the traumatic ischemic event itself.2

Historically, bundled protocols were implemented to prevent SCI after TEVAR. These protocols included peri-operative management strategies with medications like naloxone, mannitol, and steroids, along with the use of spinal drains and target levels for maintaining mean arterial pressure (MAP) and hemoglobin (Hgb).9 Current guidelines recommend focusing on three key elements: maintaining MAP at or above 90 mm Hg, ensuring Hgb levels are at least 10 g/dL, and using prophylactic spinal drains in high-risk patients (those with prior aortic surgery or abnormal perfusion).10 Rescue maneuvers for established SCI include placement of a spinal drain (if not already present), reducing the target drain pressure to increase drainage, elevating MAP and Hgb goals, and performing spinal imaging. Maintaining a high index of suspicion and conducting serial neurological examinations are crucial for early detection of this postoperative complication, which can potentially limit permanent neurological deficits.10

Our patient was high risk based upon his altered collateral blood flow, aneurysm characteristics, and comorbidities. Unfortunately, he developed a delayed presentation of BSS despite the use of some protective factors. Rescue maneuvers and rehabilitation services allowed for partial preservation and improvement.

Conclusion

Spinal cord ischemia is a serious complication that can occur after TEVAR. This complication can manifest in various ways, including Brown-Séquard Syndrome, as seen in this case. Careful preoperative planning, adherence to established preventative measures, close neurological monitoring after surgery, and collaboration within a multidisciplinary team are all crucial elements for minimizing the risk of SCI and optimizing outcomes if it does occur.

Lessons Learned

While SCI is a relatively rare complication of TEVAR, its potential for devastating consequences necessitates a high level of awareness. Early identification through serial neurological examinations following surgery is paramount. Additionally, implementing well-supported prophylactic protocols can help prevent the worst outcomes associated with SCI after TEVAR.

Authors

Kumar V; Hwang J; Painter M; Glaser J; Cipolle M

Author Affiliation

Department of Surgery, Lehigh Valley Health Network, Allentown, PA 18103

Corresponding Author

Vishal Kumar, MBBS, MD
Department of Surgery
Lehigh Valley Health Network
1200 S. Cedar Crest Boulevard
Allentown, PA 18103
Email: vishal.vikramajit@gmail.com

Disclosure Statement

The authors have no conflicts of interest to disclose.

Funding/Support

The authors have no relevant financial relationships or in-kind support to disclose.

Received: June 18, 2023
Revision received: August 13, 2023
Accepted: September 21, 2023

References

  1. Vargas MI, Gariani J, Sztajzel R, et al. Spinal cord ischemia: practical imaging tips, pearls, and pitfalls. AJNR Am J Neuroradiol. 2015;36(5):825-830. doi:10.3174/ajnr.A4118
  2. Abdou H, Elansary NN, Darko L, et al. Postoperative complications of endovascular blunt thoracic aortic injury repair. Trauma Surg Acute Care Open. 2021;6(1):e000678. Published 2021 Jul 15. doi:10.1136/tsaco-2021-000678
  3. Awad H, Ramadan ME, El Sayed HF, Tolpin DA, Tili E, Collard CD. Spinal cord injury after thoracic endovascular aortic aneurysm repair. Lésion de la moelle épinière après réparation endovasculaire d’un anévrisme de l’aorte thoracique. Can J Anaesth. 2017;64(12):1218-1235. doi:10.1007/s12630-017-0974-1
  4. Scali ST, Giles KA, Wang GJ, et al. National incidence, mortality outcomes, and predictors of spinal cord ischemia after thoracic endovascular aortic repair. J Vasc Surg. 2020;72(1):92-104. doi:10.1016/j.jvs.2019.09.049
  5. Shams S, Davidson CL, Arain A. Brown-Séquard Syndrome. In: StatPearls. Treasure Island (FL): StatPearls Publishing; February 27, 2024.
  6. Klijn AJ, Heida J, Burger DHC, Heyligers JMM, Pouwels S. Brown-Séquard Syndrome after Thoracic Endovascular Aortic Repair for a Stanford Type B Aortic Dissection. Vasc Specialist Int. 2022;38:12. Published 2022 Jun 30. doi:10.5758/vsi.220008
  7. Ozaki N, Wakita N, Inoue K, Yamada A. Brown-Sequard syndrome after thoracic endovascular aortic repair. Interact Cardiovasc Thorac Surg. 2010;10(1):148-149. doi:10.1510/icvts.2009.219899
  8. Yadavalli SD, Romijn AC, Rastogi V, et al. Outcomes following thoracic endovascular aortic repair for blunt thoracic aortic injury stratified by Society for Vascular Surgery grade. J Vasc Surg. 2023;78(1):38-47.e2. doi:10.1016/j.jvs.2023.03.021
  9. Scali ST, Kim M, Kubilis P, et al. Implementation of a bundled protocol significantly reduces risk of spinal cord ischemia after branched or fenestrated endovascular aortic repair. J Vasc Surg. 2018;67(2):409-423.e4. doi:10.1016/j.jvs.2017.05.136
  10. Aucoin VJ, Eagleton MJ, Farber MA, et al. Spinal cord protection practices used during endovascular repair of complex aortic aneurysms by the U.S. Aortic Research Consortium. J Vasc Surg. 2021;73(1):323-330. doi:10.1016/j.jvs.2020.07.107