Unsupported Browser
The American College of Surgeons website is not compatible with Internet Explorer 11, IE 11. For the best experience please update your browser.
Menu
Become a member and receive career-enhancing benefits

Our top priority is providing value to members. Your Member Services team is here to ensure you maximize your ACS member benefits, participate in College activities, and engage with your ACS colleagues. It's all here.

Become a Member
Become a member and receive career-enhancing benefits

Our top priority is providing value to members. Your Member Services team is here to ensure you maximize your ACS member benefits, participate in College activities, and engage with your ACS colleagues. It's all here.

Become a Member
ACS
ACS Case Reviews

Preserving Future Liver Remnant in Centrally Located Hepatocellular Carcinoma: Utilizing an Accessory Inferior Right Hepatic Vein for Unconventional Liver Resection

May 5, 2025

Abstract

Background

It is technically challenging to resect large, centrally located liver tumors; this procedure often requires central hepatectomies or extended hemihepatectomies. This report describes a case in which variant vascular anatomy allowed for an unconventional resection that preserved the future liver remnant (FLR) without a two-stage hepatectomy.

Summary

A 37-year-old postpartum female  with hepatitis B presented for the first stage of associating liver partition and portal vein ligation for staged hepatectomy (ALPPS) to treat a centrally located hepatocellular carcinoma involving segments 4, 5, 7, and 8. Intraoperatively, an accessory inferior right hepatic vein (RHV) draining segment 6 into the inferior vena cava (IVC) was identified. This finding prompted a change in surgical strategy to optimize the FLR. The planned ALPPS procedure with extended right hemihepatectomy was successfully converted to a central hepatectomy with segmentectomy 7 resection (i.e., segmentectomy 4,5,7,8). Complete tumor resection and removal of segments 4A, 4B, 5, 7, and 8 were achieved while preserving the unaffected segment 6. The final FLR comprised segment 6 and the left lateral section (segments 2 and 3), connected by a partial remnant of segment 1. This operative decision significantly improved the FLR, allowing the patient to return home to her newborn after postoperative recovery.

Conclusion

Careful consideration of aberrant vascular anatomy is crucial during surgical planning. When an accessory vein drains an isolated liver segment with intact arterial supply, portal inflow, and biliary drainage, preserving that segment can be a feasible and valuable strategy to optimize the FLR.

Key Words

hepatocellular carcinoma; liver lesion; segmentectomy; variant anatomy; accessory hepatic vein

Abbreviations

ALPPS: Associating liver partition and portal vein ligation for staged hepatectomy
FLR: Future liver remnant
HBV: Hepatitis B virus
HCC: Hepatocellular carcinoma
IVC: Inferior vena cava
PHLF: Post-hepatectomy liver failure
PVE: Portal vein embolization
RHV: Right hepatic vein
RUQ: Right upper quadrant


Case Description

A 37-year-old female presented to an outside ER two weeks postpartum with severe right upper quadrant (RUQ) pain. Her past medical history was notable for chronic hepatitis B virus (HBV) infection. A CT scan revealed a 15 cm mass in the liver with evidence of intratumoral hemorrhage, primarily in the right lobe with extension into the left (Figure 1). There was no evidence of metastatic disease. Laboratory results were significant for an elevated alpha-fetoprotein (AFP) level of 521 ng/mL, a platelet count of 503,000/µL, and a total bilirubin of 0.8 mg/dL. As expected, HBV markers were positive. Percutaneous liver biopsy confirmed moderately differentiated hepatocellular carcinoma (HCC). The patient was subsequently transferred to our institution for further management.

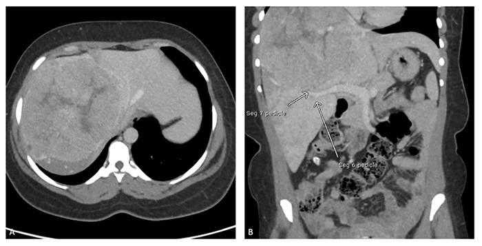
Figure 1. Preoperative CT Scan Depicting Tumor and Segment Pedicles. Published with Permission

(A) Axial view demonstrating a large, centrally located hepatocellular carcinoma. (B) Coronal view showing the vascular pedicles to segments 6 and 7 (white arrows)
(A) Axial view demonstrating a large, centrally located hepatocellular carcinoma. (B) Coronal view showing the vascular pedicles to segments 6 and 7 (white arrows)

Given her chronic HBV infection, hepatic venous pressure gradients were measured to assess the presence of cirrhosis. The results revealed an elevated portosystemic pressure gradient of 9 mm Hg, likely due to tumor compression of the right portal vein. A non-target transjugular liver biopsy showed nodular regenerative hyperplasia and obliterative portal venopathy without evidence of cirrhosis.

Embolization was not considered a suitable treatment option due to the absence of active bleeding and the risk of post-embolization syndrome and pain exacerbation. Hepatic volumetric studies demonstrated inadequate future liver remnant (FLR) volumes for segments two and three (approximately 10% to 15%) if an extended right hemihepatectomy were performed. Due to the tumor’s large size, limited access, and compression of the right portal and hepatic veins, right portal vein embolization (PVE) and hepatic venous deprivation were also considered high-risk and unsuitable for FLR hypertrophy.

Initially, delaying major hepatectomy was considered due to the patient’s recent postpartum status. While awaiting biopsy results during the COVID-19 pandemic, when hospital visitation was restricted, she was discharged to maximize her time with her newborn. However, due to persistent significant RUQ pain, the decision was made to proceed with the first stage of associating liver partition and portal vein ligation for staged hepatectomy (ALPPS) to promote FLR growth. At the time of surgery (five weeks postpartum), the patient was no longer breastfeeding, and her newborn was thriving.

Intraoperative ultrasound revealed minimal fibrosis in the left lobe, without gross cirrhosis, which was confirmed by surgical biopsy of the left lateral segment. Notably, after liver mobilization, an inferior right hepatic vein (iRHV) draining segment six directly into the inferior vena cava (IVC) was identified (Figure 2). This was not visualized on preoperative imaging due to significant tumor compression. The tumor involved segments 7, 8, 5, 4A, and 4B, but segment 6 was spared despite preoperative imaging suggesting significant perfusion abnormality in this segment.

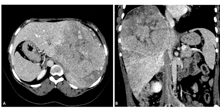
Figure 2. Preoperative CT Scan Depicting Mass Effect and Perfusion Anomaly. Published with Permission

(A) Axial view demonstrating significant tumor compression, mass effect, and perfusion anomaly in segment 6, along with a perfusion defect in the inferior vena cava. (B) Coronal view highlighting the same findings
(A) Axial view demonstrating significant tumor compression, mass effect, and perfusion anomaly in segment 6, along with a perfusion defect in the inferior vena cava. (B) Coronal view highlighting the same findings

To maximize the FLR volume, the decision was made to preserve segment 6, along with its iRHV drainage, inflow, and biliary drainage. The transection plane was developed between segments four and two-thirds, extending to the IVC. Lateral transection created a horizontal plane between segments six and seven, superior to the iRHV, preserving the vein and segment six pedicle. The right anterior pedicle, right hepatic vein, and middle hepatic vein were divided at their origins. The iRHV draining into the IVC was preserved. The majority of the transection was performed via an anterior approach to minimize iRHV injury. The final FLR consisted of segments six and two-thirds, connected by a narrow bridge of segment one. Complete tumor resection was achieved, with the removal of segments 4A, 4B, 5, 8, and 7 (Figure 3).

Figure 3. Intraoperative Images. Published with Permission

Intraoperative images following resection of segments 4A, 4B, 5, 7, and 8: (A) Preserved segment 6 (white asterisk) and left lateral section (blue asterisk). (B) Resected specimen. (C) Instrument indicating the segment 7 pedicle within the specimen
Intraoperative images following resection of segments 4A, 4B, 5, 7, and 8: (A) Preserved segment 6 (white asterisk) and left lateral section (blue asterisk). (B) Resected specimen. (C) Instrument indicating the segment 7 pedicle within the specimen

On postoperative day (POD) 7, the patient developed a right hydropneumothorax, which was treated with a pigtail chest tube and subsequently resolved. She was discharged on POD 10 and recovered well, with no complications at her six-week postoperative visit. She continues to undergo surveillance imaging (Figure 4) and follow-up with gastroenterology for management of her chronic HBV infection.

Figure 4. One-Week Postoperative CT Scan. Published with Permission

(A) Coronal view showing the inferior right hepatic vein (white arrow) and the preserved segment 6 (white asterisk). (B) Coronal view demonstrating the portal pedicle to the preserved segment 6 (white arrow) and the segment itself (white asterisk)
(A) Coronal view showing the inferior right hepatic vein (white arrow) and the preserved segment 6 (white asterisk). (B) Coronal view demonstrating the portal pedicle to the preserved segment 6 (white arrow) and the segment itself (white asterisk)

Discussion

Hepatocellular carcinoma (HCC) presents unique challenges, as its prognosis depends on both tumor stage and the extent of underlying liver disease. While several therapeutic modalities are available (including locoregional ablation, embolization, radiotherapy, and systemic therapy), liver transplantation and resection remain the only curative options.1

Not all patients are suitable candidates for surgical resection. Hepatobiliary (HPB) surgeons at high-volume tertiary centers with multidisciplinary teams carefully select patients for aggressive surgery, as experience and specialized care are associated with improved outcomes.2,3 However, complications can still arise.4

Preserving the future liver remnant (FLR) is crucial to prevent post-hepatectomy liver failure (PHLF). The extent of liver resection is determined by the FLR’s adequacy, including sufficient arterial and portal inflow, venous outflow, and biliary drainage.

Several methods exist for calculating FLR. Our measurements were based on total liver volume (TLV) minus the right liver and segment four. We do not routinely subtract tumor volume from TLV due to limitations in our imaging software. However, it is important to note that large tumors can artificially inflate TLV. To address this, tumor volume can be deducted for a more accurate FLR assessment. In this approach, FLR is calculated as the ratio of remnant liver volume to total functioning liver volume (TFLV), which is TLV (including the tumor) minus tumor volume.5

Other FLR formulas exist, including a method based on body surface area (BSA) using estimated liver volume (TELV), calculated as: TELV = –794 + 1267 × BSA. The ratio of CT-guided FLR volume to TELV provides the standardized FLR (sFLR), representing the percentage of TELV remaining after resection.6

Our patient originally demonstrated a FLR of nearly 10% to 15%. While the ideal sFLR cutoff remains debated, it is generally accepted that an FLR above 20% to 30% of total liver volume is adequate in patients with healthy livers. However, these cutoffs are higher for patients with severe steatosis or fibrosis (>30% to 40%) and cirrhosis (>40% to 50%), as these conditions compromise hepatic functional reserve.6‒9

Large (>10 cm), centrally located tumors are particularly challenging, associated with a poor prognosis,10 and may require extended hemihepatectomies (removal of Couinaud segments 2, 3, 4, 5, 8 or 4, 5, 6, 7, 8 with or without segment one) to achieve negative margins. However, these extensive resections increase the risk of PHLF in patients with inadequate FLR. Therefore, preserving functional liver segments while adhering to oncologic principles is essential.

Central hepatectomy or bisectionectomy (removal of the right anterior and left medial sections), first described in 1972 by McBride and Wallace,11 has been used to treat metastatic liver cancers, cholangiocarcinoma, and HCC.12,13 Minimally invasive approaches have also been successful for benign and malignant lesions.14 Although technically demanding, central hepatectomy is considered safe for centrally located tumors, with comparable postoperative outcomes and complication rates to extended hemihepatectomies while preserving more liver volume and reducing length of stay.12,15 This is particularly important for patients with underlying liver pathology who are at higher risk for PHLF.

For patients with inadequate FLR who are not initially suitable for resection, such as the patient described in this case, locoregional therapies and FLR-preserving strategies are considered. These include radiofrequency ablation, microwave ablation, PVE, transarterial chemoembolization (TACE), liver venous deprivation, two-stage hepatectomy, and ALPPS.1,16‒19 When combined with future resection, these strategies exploit blood flow redistribution, increased portal pressure, and the liver's regenerative capacity (driven by cytokines like hepatic growth factor and transforming growth factors alpha and beta) to induce damage in the embolized liver while promoting FLR hypertrophy before major resection.20

Our patient presented multiple challenges, including a large tumor, limited vascular access for embolization or ligation, symptomatic presentation, inadequate left lateral section FLR, chronic viral hepatitis, and postpartum status. Therefore, the decision was made to proceed with ALPPS.

This report describes an unconventional resection: a central hepatectomy with segmentectomy 7, preserving segment six. This approach, to our knowledge, has not been previously reported. The discovery of an iRHV draining segment six directly into the IVC enabled this strategy. An inferior RHV is present in approximately 34% of individuals, draining approximately 10% of the liver, and drains segment six in nearly 71% of those with this variant.21 In our patient, the iRHV facilitated a single-stage procedure without ALPPS, expediting her return home to her newborn.

Conclusion

This report describes a unique case of a postpartum woman with hepatitis B and a large, centrally located HCC involving segments four, five, seven, and eight. Preoperative studies indicated an inadequate FLR and increased risk of PHLF. While a multi-stage resection (ALPPS) was initially planned to promote FLR growth, the intraoperative discovery of an accessory vein draining segment six allowed us to modify our approach. By preserving this additional segment, we performed an unconventional resection involving a central hepatectomy with segmentectomy 7. This case highlights the importance of considering variant vascular anatomy during surgical planning. When an accessory vein drains an isolated segment with intact arterial supply, portal inflow, and biliary drainage, preserving that segment can optimize the FLR.

Lessons Learned

Large, centrally located HCCs have traditionally been treated with central hepatectomies or extended hemihepatectomies. Strategies to improve FLR, such as portal vein embolization, liver venous deprivation, two-stage hepatectomies, and ALPPS, all have limitations and may not be suitable for every patient. In this case, the presence of an accessory inferior right hepatic vein allowed us to avoid ALPPS and perform an unconventional resection, completely removing segments four, five, seven and eight while sparing segment six. This case emphasizes the importance of careful consideration and utilization of variant anatomy, such as the inferior right hepatic vein, in surgical planning, as permitted by the liver and tumor anatomy.

Authors

Zaman M; Dhir M

Author Affiliation

Department of Surgery, SUNY Upstate Medical University, Syracuse, NY 13210

Corresponding Author

Muizz Zaman, MD
Norton College of Medicine
SUNY Upstate Medical University
Syracuse, NY, 13210
Email: cay9036@nyp.org

Disclosure Statement

The authors have no conflicts of interest to disclose.

Funding/Support

The authors have no relevant financial relationships or in-kind support to disclose.

Received: May 15, 2023
Revision received: August 25, 2023
Accepted: November 28, 2023

References

  1. Dhir M, Melin AA, Douaiher J, et al. A review and update of treatment options and controversies in the management of hepatocellular carcinoma. Ann Surg. 2016;263(6):1112-1125. doi:10.1097/sla.0000000000001556
  2. Fong Y, Gonen M, Rubin D, et al. Long-term survival is superior after resection for cancer in high-volume centers. Ann Surg. 2005;242(4):540-544. doi:10.1097/01.sla.0000184190.20289.4b
  3. Nathan H, Cameron JL, Choti MA, et al. The volume-outcomes effect in hepato-pancreato-biliary surgery: hospital versus surgeon contributions and specificity of the relationship. J Am Coll Surg. 2009;208(4):528-538. doi:10.1016/j.jamcollsurg.2009.01.007
  4. Hashimoto DA, Bababekov YJ, Mehtsun WT, et al. Is annual volume enough? The role of experience and specialization on inpatient mortality after hepatectomy. Ann Surg. 2017;266(4):603-609. doi:10.1097/sla.0000000000002377
  5. Kim HJ, Kim CY, Hur YH, et al. Comparison of remnant to total functional liver volume ratio and remnant to standard liver volume ratio as a predictor of postoperative liver function after liver resection. Korean J Hepatobiliary Pancreat Surg. 2013;17(4):143-151. doi:10.14701/kjhbps.2013.17.4.143
  6. Ribero D, Chun YS, Vauthey JN. Standardized liver volumetry for portal vein embolization. Semin Intervent Radiol. 2008;25(2):104-109. doi:10.1055/s-2008-1076681
  7. Sparrelid E, Olthof PB, Dasari BVM, et al. Current evidence on posthepatectomy liver failure: comprehensive review. BJS Open. 2022;6(6). doi:10.1093/bjsopen/zrac142
  8. Memeo R, Conticchio M, Deshayes E, et al. Optimization of the future remnant liver: review of the current strategies in Europe. Hepatobiliary Surg Nutr. 2021;10(3):350-363. doi:10.21037/hbsn-20-394
  9. Kim HJ, Kim CY, Park EK, et al. Volumetric analysis and indocyanine green retention rate at 15 min as predictors of post-hepatectomy liver failure. HPB (Oxford). 2015;17(2):159-167. doi:10.1111/hpb.12295
  10. Tsoulfas G, Mekras A, Agorastou P, Kiskinis D. Surgical treatment for large hepatocellular carcinoma: does size matter? ANZ J Surg. 2012;82(7-8):510-517. doi:10.1111/j.1445-2197.2012.06079.x
  11. McBride CM, Wallace S. Cancer of the right lobe of the liver: a variety of operative procedures. Arch Surg. 1972;105(2):289-296. doi:10.1001/archsurg.1972.04180080139023
  12. Lee SY. Central hepatectomy for centrally located malignant liver tumors: a systematic review. World J Hepatol. 2014;6(5):347-357. doi:10.4254/wjh.v6.i5.347
  13. Lee JG, Choi SB, Kim KS, et al. Central bisectionectomy for centrally located hepatocellular carcinoma. Br J Surg. 2008;95(8):990-995. doi:10.1002/bjs.6130
  14. Birgin E, Hartwig V, Rasbach E, et al. Minimally invasive mesohepatectomy for centrally located liver lesions—a case series. Surg Endosc. 2022;36(12):8935-8942. doi:10.1007/s00464-022-09342-3
  15. Chan J, Perini M, Fink M, Nikfarjam M. The outcomes of central hepatectomy versus extended hepatectomy: a systematic review and meta-analysis. HPB (Oxford). 2018;20(6):487-496. doi:10.1016/j.hpb.2017.12.008
  16. Del Basso C, Gaillard M, Lainas P, et al. Current strategies to induce liver remnant hypertrophy before major liver resection. World J Hepatol. 2021;13(11):1629-1641. doi:10.4254/wjh.v13.i11.1629
  17. Ray S, Mehta NN, Golhar A, Nundy S. Post hepatectomy liver failure - a comprehensive review of current concepts and controversies. Ann Med Surg (Lond). 2018;34:4-10. doi:10.1016/j.amsu.2018.08.012
  18. Jaeck D, Oussoultzoglou E, Rosso E, et al. A two-stage hepatectomy procedure combined with portal vein embolization to achieve curative resection for initially unresectable multiple and bilobar colorectal liver metastases. Ann Surg. 2004;240(6):1037-1049. doi:10.1097/01.sla.0000145965.86383.89
  19. Fusai G, Davidson BR. Strategies to increase the resectability of liver metastases from colorectal cancer. Dig Surg. 2003;20(6):481-496. doi:10.1159/000073535
  20. van Lienden KP, van den Esschert JW, de Graaf W, et al. Portal vein embolization before liver resection: a systematic review. Cardiovasc Intervent Radiol. 2013;36(1):25-34. doi:10.1007/s00270-012-0440-y
  21. Tani K, Shindoh J, Akamatsu N, et al. Venous drainage map of the liver for complex hepatobiliary surgery and liver transplantation. HPB (Oxford). 2016;18(12):1031-1038. doi:10.1016/j.hpb.2016.08.007